JavaScript is disabled in your browser. Please enable JavaScript to view this website.
AB321792

Anti-TGN38 抗体 [EPR28143-541] - BSA and Azide free

Anti-TGN38 antibody [EPR28143-541] - BSA and Azide free

Be the first to review this product! Submit a review

|

(0 Publication)

Rabbit Recombinant Monoclonal TGON3 antibody. Carrier free. Suitable for ICC/IF, WB, IHC-P and reacts with Rat samples.

別名を表示する

Trans-Golgi network integral membrane protein TGN38

6 Images
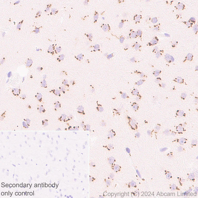
Immunohistochemistry (Formalin/PFA-fixed paraffin-embedded sections) - Anti-TGN38 antibody [EPR28143-541] - BSA and Azide free (AB321792)
  • IHC-P

Supplier Data

Immunohistochemistry (Formalin/PFA-fixed paraffin-embedded sections) - Anti-TGN38 antibody [EPR28143-541] - BSA and Azide free (AB321792)

This data was developed using ab321791, the same antibody clone in a different buffer formulation.

Immunohistochemical analysis of paraffin-embedded Rat cerebrum tissue labeling TGN38 with ab321791 at 1/5000 (0.101 ug/ml) dilution, followed by a ready to use LeicaDS9800 (Bond™ Polymer Refine Detection).

Positive staining on rat cerebrum. The section was incubated with ab321791 for 30 mins at room temperature.
The immunostaining was performed on a Leica Biosystems BOND® RX instrument

Counterstained with Hematoxylin.

Secondary antibody only control : Secondary antibody is a ready to use LeicaDS9800 (Bond™ Polymer Refine Detection).

Heat mediated antigen retrieval was performed with Citrate buffer (pH 6.0, Epitope Retrieval Solution 1) for 20 mins

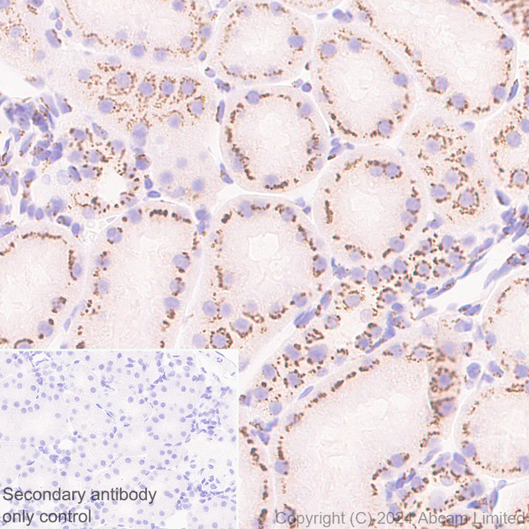
Immunohistochemistry (Formalin/PFA-fixed paraffin-embedded sections) - Anti-TGN38 antibody [EPR28143-541] - BSA and Azide free (AB321792)
  • IHC-P

Supplier Data

Immunohistochemistry (Formalin/PFA-fixed paraffin-embedded sections) - Anti-TGN38 antibody [EPR28143-541] - BSA and Azide free (AB321792)

This data was developed using ab321791, the same antibody clone in a different buffer formulation.

Immunohistochemical analysis of paraffin-embedded Rat kidney tissue labeling TGN38 with ab321791 at 1/5000 (0.101 ug/ml) dilution, followed by a ready to use LeicaDS9800 (Bond™ Polymer Refine Detection).

Positive staining on rat kidney. The section was incubated with ab321791 for 30 mins at room temperature.
The immunostaining was performed on a Leica Biosystems BOND® RX instrument

Counterstained with Hematoxylin.

Secondary antibody only control : Secondary antibody is a ready to use LeicaDS9800 (Bond™ Polymer Refine Detection).

Heat mediated antigen retrieval was performed with Citrate buffer (pH 6.0, Epitope Retrieval Solution 1) for 20 mins

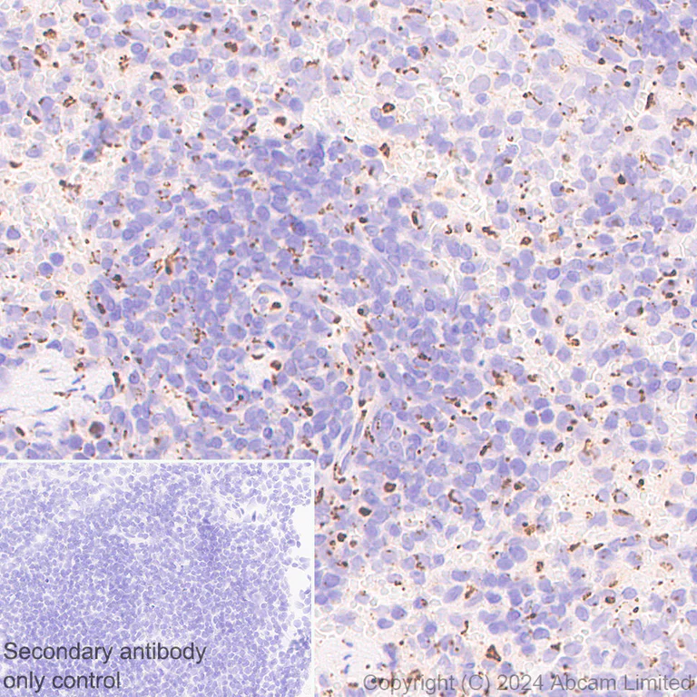
Immunohistochemistry (Formalin/PFA-fixed paraffin-embedded sections) - Anti-TGN38 antibody [EPR28143-541] - BSA and Azide free (AB321792)
  • IHC-P

Supplier Data

Immunohistochemistry (Formalin/PFA-fixed paraffin-embedded sections) - Anti-TGN38 antibody [EPR28143-541] - BSA and Azide free (AB321792)

This data was developed using ab321791, the same antibody clone in a different buffer formulation.

Immunohistochemical analysis of paraffin-embedded Rat spleen tissue labeling TGN38 with ab321791 at 1/5000 (0.101 ug/ml) dilution, followed by a ready to use LeicaDS9800 (Bond™ Polymer Refine Detection).

Positive staining on rat spleen. The section was incubated with ab321791 for 30 mins at room temperature.
The immunostaining was performed on a Leica Biosystems BOND® RX instrument

Counterstained with Hematoxylin.

Secondary antibody only control : Secondary antibody is a ready to use LeicaDS9800 (Bond™ Polymer Refine Detection).

Heat mediated antigen retrieval was performed with Citrate buffer (pH 6.0, Epitope Retrieval Solution 1) for 20 mins

Immunocytochemistry/ Immunofluorescence - Anti-TGN38 antibody [EPR28143-541] - BSA and Azide free (AB321792)
  • ICC/IF

Supplier Data

Immunocytochemistry/ Immunofluorescence - Anti-TGN38 antibody [EPR28143-541] - BSA and Azide free (AB321792)

This data was developed using ab321791, the same antibody clone in a different buffer formulation.

Immunofluorescent analysis of 4% Paraformaldehyde-fixed, 0.1% TritonX-100 permeabilized RBL-2H3 (rat Peripheral blood basophil) cells labelling TGN38 with ab321791 at 1/50 (10.1 ug/ml) dilution, followed by ab150081 Goat Anti-Rabbit IgG H&L (Alexa Fluor® 488) preadsorbed antibody at 1/1000 2 ug/ml dilution (Green).

Confocal image showing golgi staining in RBL-2H3 cell line (shown in green). The counterstain was observed in magenta. Nuclear DNA was labelled with DAPI (shown in blue). Image was taken with a confocal microscope (Leica-Microsystems, TCS SP8).

ab169276 Anti-GM130 mouse polyclonal antibody - cis-Golgi Marker was used to counterstain tubulin at 1/200 5ug/ml dilution (Magenta). The Nuclear counterstain was DAPI (Blue).

Secondary antibody only control : Secondary antibody is ab150081 Goat Anti-Rabbit IgG H&L (Alexa Fluor® 488) preadsorbed at 1/1000 2 ug/ml dilution.

-ve control 1 : ab321791 at 1/50 dilution, followed by ab150120 Goat Anti-Mouse IgG H&L (Alexa Fluor® 594) antibody at 1/1000 dilution. -ve control 2 : ab169276 at 1/200 dilution, followed by ab150081 Goat Anti-Rabbit IgG H&L (Alexa Fluor® 488) preadsorbed antibody at 1/1000 dilution.

Western blot - Anti-TGN38 antibody [EPR28143-541] - BSA and Azide free (AB321792)
  • WB

Supplier Data

Western blot - Anti-TGN38 antibody [EPR28143-541] - BSA and Azide free (AB321792)

This data was developed using ab321791, the same antibody clone in a different buffer formulation.

Blocking and diluting buffer and concentration : 5% NFDM/TBST.

The expression profiles/observed MW are consistent with what has been described in the literature (PMID : 12494998).

The identity of the lower MW band at approximately 60kDa is unknown.

The lysates are suggested freshly made and used for Western Blotting immediately to minimize protein degradation

All lanes:

Western blot - Anti-TGN38 antibody [EPR28143-541] (<a href='/products/primary-antibodies/tgn38-antibody-epr28143-541-ab321791'>ab321791</a>) at 1/1000 dilution

Lane 1:

Rat testis tissue lysate at 20 µg

Lane 2:

Rat spleen tissue lysate at 20 µg

Secondary

All lanes:

Western blot - Goat Anti-Rabbit IgG H&L (HRP) (<a href='/products/secondary-antibodies/goat-rabbit-igg-h-l-hrp-ab97051'>ab97051</a>) at 1/100000 dilution

Observed band size: 90 kDa

false

Exposure time: 37s

Western blot - Anti-TGN38 antibody [EPR28143-541] - BSA and Azide free (AB321792)
  • WB

Supplier Data

Western blot - Anti-TGN38 antibody [EPR28143-541] - BSA and Azide free (AB321792)

This data was developed using ab321791, the same antibody clone in a different buffer formulation.

Blocking and diluting buffer and concentration : 5% NFDM/TBST.

The expression profiles/observed MW are consistent with what has been described in the literature (PMID : 12494998).

In Western blot, Anti-GAPDH antibody [EPR16891] - Loading Control (ab181602) staining at 1/200000 dilution.

Exposure time : Lanes 1-2 : 91 seconds; Lane 3 : 136 seconds

All lanes:

Western blot - Anti-TGN38 antibody [EPR28143-541] (<a href='/products/primary-antibodies/tgn38-antibody-epr28143-541-ab321791'>ab321791</a>) at 1/1000 dilution

Lane 1:

RBL-2H3 (rat Peripheral blood basophil) transfected with scrambled siRNA control whole cell lysate at 20 µg

Lane 2:

RBL-2H3 transfected with siRNA specifically targeting TGN38 whole cell lysate at 20 µg

Lane 3:

PC-12 (rat adrenal gland pheochromocytoma cell) whole cell lysate at 20 µg

Secondary

All lanes:

Western blot - Goat Anti-Rabbit IgG H&L (HRP) (<a href='/products/secondary-antibodies/goat-rabbit-igg-h-l-hrp-ab97051'>ab97051</a>) at 1/100000 dilution

Observed band size: 90 kDa,36 kDa

false

Key facts

宿主種

Rabbit

クローン性

Monoclonal

クローン番号

EPR28143-541

アイソタイプ

IgG

キャリアフリー

Yes

交差種

Rat

アプリケーション

IHC-P, ICC/IF, WB

applications

免疫原

The exact immunogen used to generate this antibody is proprietary information.

Reactivity data

{ "title": "Reactivity Data", "filters": { "stats": ["", "Species", "Dilution Info", "Notes"], "tabs": { "all-applications": {"fullname" : "All Applications", "shortname": "All Applications"}, "ICCIF" : {"fullname" : "Immunocytochemistry/ Immunofluorescence", "shortname":"ICC/IF"}, "WB" : {"fullname" : "Western blot", "shortname":"WB"}, "IHCP" : {"fullname" : "Immunohistochemistry (Formalin/PFA-fixed paraffin-embedded sections)", "shortname":"IHC-P"}, "IP" : {"fullname" : "Immunoprecipitation", "shortname":"IP"} }, "product-promise": { "all": "all", "testedAndGuaranteed": "tested", "guaranteed": "expected", "predicted": "predicted", "notRecommended": "not-recommended" } }, "values": { "Mouse": { "ICCIF-species-checked": "notRecommended", "ICCIF-species-dilution-info": "", "ICCIF-species-notes": "<p></p>", "WB-species-checked": "notRecommended", "WB-species-dilution-info": "", "WB-species-notes": "<p></p>", "IHCP-species-checked": "notRecommended", "IHCP-species-dilution-info": "", "IHCP-species-notes": "<p></p>", "IP-species-checked": "notRecommended", "IP-species-dilution-info": "", "IP-species-notes": "<p></p>" }, "Rat": { "ICCIF-species-checked": "testedAndGuaranteed", "ICCIF-species-dilution-info": "", "ICCIF-species-notes": "<p></p>", "WB-species-checked": "testedAndGuaranteed", "WB-species-dilution-info": "", "WB-species-notes": "<p></p>", "IHCP-species-checked": "testedAndGuaranteed", "IHCP-species-dilution-info": "", "IHCP-species-notes": "<p></p> Perform heat-mediated antigen retrieval with citrate buffer pH 6 before commencing with IHC staining protocol.", "IP-species-checked": "notRecommended", "IP-species-dilution-info": "", "IP-species-notes": "<p></p>" } } }

製品の詳細

ab321792 is the carrier-free version of ab321791.

Patented technology
Our RabMAb® technology is a patented hybridoma-based technology for making rabbit monoclonal antibodies. For details on our patents, please refer to RabMAb® patents.

What are the advantages of a recombinant monoclonal antibody?
This product is a recombinant monoclonal antibody, which offers several advantages including:

  • - High batch-to-batch consistency and reproducibility
  • - Improved sensitivity and specificity
  • - Long-term security of supply
  • - Animal-free batch production

For more information, read more on recombinant antibodies.

Conjugation ready
Our carrier-free antibodies are typically supplied in a PBS-only formulation, purified and free of BSA, sodium azide and glycerol. This conjugation-ready format is designed for use with fluorochromes, metal isotopes, oligonucleotides, and enzymes, which makes them ideal for antibody labelling, functional and cell-based assays, flow-based assays (e.g. mass cytometry) and Multiplex Imaging applications.

Use our conjugation kits for antibody conjugates that are ready-to-use in as little as 20 minutes with 1 minute hands-on-time and 100% antibody recovery: available for fluorescent dyes, HRP, biotin and gold.

Compatibility
This product is compatible with the Maxpar® Antibody Labeling Kit from Fluidigm, without the need for antibody preparation. Maxpar® is a trademark of Fluidigm Canada Inc.

出荷温度及び保存条件

製品の状態
Liquid
精製方法
Affinity purification Protein A
バッファー組成
pH: 7.2 - 7.4 Constituents: 100% PBS
出荷温度
Blue Ice
短期保存温度
+4°C
長期保存温度
+4°C

補足情報

This supplementary information is collated from multiple sources and compiled automatically.

TGN38 also known as trans-Golgi network integral membrane protein 2 is a protein with a mass of approximately 38 kDa. It plays a role in the sorting and trafficking of proteins within the trans-Golgi network which acts as a hub for protein sorting and distribution in cells. It gets expressed mostly in the trans-Golgi network of various mammalian cells. TGN38 serves as a receptor that helps in the selection and distribution of proteins to their respective destinations maintaining intracellular protein transport efficiency.
Biological function summary

TGN38 contributes to the transport and stability of proteins within the Golgi apparatus though it does not form any known complex. The protein is involved in the retention and recycling of resident Golgi proteins helping maintain the functionality of the Golgi network. TGN38 coordinates with other cellular components to regulate the movement of proteins through secretory pathways which is essential for proper cellular function and protein distribution processes.

Pathways

TGN38 participates in the vesicular transport pathway and cisternal maturation models. It links to proteins like coated vesicle proteins and SNAREs that assist in the formation and movement of vesicles carrying proteins through cellular compartments. TGN38 helps ensure that proteins reach their correct destination interacting with these pathways to maintain efficient transport and secretion within the cell.

TGN38 shows connections with conditions related to protein trafficking and secretion defects such as hereditary spastic paraplegia. Aberrant function or expression of TGN38 can disrupt normal protein sorting contributing to these disorders. In particular it interacts with proteins like atlastin-1 which are also involved in maintaining the integrity of intracellular trafficking and are implicated in the pathogenesis of some neurological disorders.

製品プロトコール

For this product, it's our understanding that no specific protocols are required. You can visit:

ターゲットの情報

See full target information Ttgn1

Abcam product promise

当社は、高品質な試薬を通じてお客様の研究を力強くサポートすることをお約束いたします。ご使用いただく各段階で、常にお客様をサポートできる体制を整えております。万が一、製品が期待通りに機能しない場合は、「Abcam Product Promise」による当社保証制度に基づき、安心してご利用いただけます。
保証に関する詳細については利用規約をご確認ください。

Please note: All products are 'FOR RESEARCH USE ONLY. NOT FOR USE IN DIAGNOSTIC OR THERAPEUTIC PROCEDURES'.

For licensing inquiries, please contact partnerships@abcam.com