JavaScript is disabled in your browser. Please enable JavaScript to view this website.
AB228582

Anti-Telethonin 抗体

Anti-Telethonin antibody

  • JP Deleterious:医薬用外劇物

Be the first to review this product! Submit a review

|

(1 Publication)

Rabbit Polyclonal Telethonin antibody. Suitable for WB, IHC-P and reacts with Mouse, Human samples. Cited in 1 publication. Immunogen corresponding to Recombinant Full Length Protein corresponding to Human TCAP.

別名を表示する

Telethonin, Titin cap protein, TCAP

2 Images
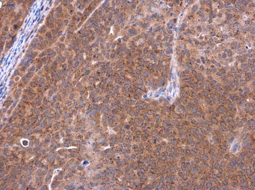
Immunohistochemistry (Formalin/PFA-fixed paraffin-embedded sections) - Anti-Telethonin antibody (AB228582)
  • IHC-P

Supplier Data

Immunohistochemistry (Formalin/PFA-fixed paraffin-embedded sections) - Anti-Telethonin antibody (AB228582)

Paraffin-embedded Huh7 (human) xenograft tissue stained for Telethonin with ab228582 at 1 : 500 dilution in immunohistochemical analysis.

Western blot - Anti-Telethonin antibody (AB228582)
  • WB

Supplier Data

Western blot - Anti-Telethonin antibody (AB228582)

15% SDS-PAGE

All lanes:

Western blot - Anti-Telethonin antibody (ab228582) at 1/500 dilution

All lanes:

Mouse muscle tissue extract at 50 µg

Predicted band size: 19 kDa,28 kDa,39 kDa,57 kDa

true

Key facts

宿主種

Rabbit

クローン性

Polyclonal

アイソタイプ

IgG

キャリアフリー

No

交差種

Mouse, Human

アプリケーション

IHC-P, WB

applications

免疫原

Recombinant Full Length Protein corresponding to Human TCAP.

O15273

Reactivity data

{ "title": "Reactivity Data", "filters": { "stats": ["", "Species", "Dilution Info", "Notes"], "tabs": { "all-applications": {"fullname" : "All Applications", "shortname": "All Applications"}, "WB" : {"fullname" : "Western blot", "shortname":"WB"}, "IHCP" : {"fullname" : "Immunohistochemistry (Formalin/PFA-fixed paraffin-embedded sections)", "shortname":"IHC-P"} }, "product-promise": { "all": "all", "testedAndGuaranteed": "tested", "guaranteed": "expected", "predicted": "predicted", "notRecommended": "not-recommended" } }, "values": { "Human": { "WB-species-checked": "guaranteed", "WB-species-dilution-info": "", "WB-species-notes": "", "IHCP-species-checked": "testedAndGuaranteed", "IHCP-species-dilution-info": "1/100 - 1/1000", "IHCP-species-notes": "<p></p>" }, "Mouse": { "WB-species-checked": "testedAndGuaranteed", "WB-species-dilution-info": "1/500 - 1/3000", "WB-species-notes": "<p></p>", "IHCP-species-checked": "guaranteed", "IHCP-species-dilution-info": "", "IHCP-species-notes": "" }, "Rat": { "WB-species-checked": "predicted", "WB-species-dilution-info": "", "WB-species-notes": "", "IHCP-species-checked": "predicted", "IHCP-species-dilution-info": "", "IHCP-species-notes": "" }, "Cow": { "WB-species-checked": "predicted", "WB-species-dilution-info": "", "WB-species-notes": "", "IHCP-species-checked": "predicted", "IHCP-species-dilution-info": "", "IHCP-species-notes": "" }, "Dog": { "WB-species-checked": "predicted", "WB-species-dilution-info": "", "WB-species-notes": "", "IHCP-species-checked": "predicted", "IHCP-species-dilution-info": "", "IHCP-species-notes": "" }, "Pig": { "WB-species-checked": "predicted", "WB-species-dilution-info": "", "WB-species-notes": "", "IHCP-species-checked": "predicted", "IHCP-species-dilution-info": "", "IHCP-species-notes": "" }, "Rhesus monkey": { "WB-species-checked": "predicted", "WB-species-dilution-info": "", "WB-species-notes": "", "IHCP-species-checked": "predicted", "IHCP-species-dilution-info": "", "IHCP-species-notes": "" } } }

出荷温度及び保存条件

製品の状態
Liquid
精製方法
Affinity purification Immunogen
バッファー組成
pH: 7 Preservative: 0.01% Thimerosal (merthiolate) Constituents: 10% Glycerol (glycerin, glycerine), 1.21% Tris, 0.75% Glycine
出荷温度
Blue Ice
短期保存期間
1-2 weeks
短期保存温度
+4°C
長期保存温度
-20°C
分注に関する情報
Upon delivery aliquot
保管に関する情報
Avoid freeze / thaw cycle

補足情報

This supplementary information is collated from multiple sources and compiled automatically.

Telethonin also known as Tcap is a small protein with a molecular mass of approximately 19 kDa. It is an important component of the sarcomere in striated muscle cells primarily expressed in the heart and skeletal muscles. Telethonin resides at the Z-disc of the sarcomere where it interacts with titin one of the largest known proteins to maintain the structural integrity and elasticity of muscle tissues. This protein supports the mechanical stability of muscle fibers during contraction and relaxation by acting as a molecular spring.
Biological function summary

The function of telethonin expands beyond simple structural support. It acts as part of the protein complex at the Z-disc important for maintaining sarcomere architecture. This complex involves interactions not only with titin but also with other structural proteins such as actin and myotilin. Telethonin's presence helps coordinate the assembly and maintenance of the Z-disc contributing to muscle strength and resilience. It also plays a role in signaling pathways that regulate muscle protein gene expression and response to mechanical stress.

Pathways

Telethonin integrates into several significant signaling cascades. One major pathway involves the titin-telethonin interaction as part of the mechanical signaling responsible for muscle function and adaptation. Through its involvement with titin telethonin influences pathways linked to muscle hypertrophy and atrophy as well as sarcomere organization. Furthermore telethonin associates with signaling proteins like myostatin an important regulator of muscle growth modulating muscle size and adaptation to workload changes.

Telethonin's malfunction often shows links with cardiomyopathies and muscular dystrophies. Mutations in the telethonin gene are associated with limb-girdle muscular dystrophy type 2G a condition where muscle weakness and degeneration occur due to defects in the muscle fiber structure. Moreover telethonin's interaction with titin connects it to dilated cardiomyopathy a condition where the heart weakens and enlarges impairing its ability to pump effectively. Understanding telethonin’s role provides insights into these muscle-related diseases and offers potential therapeutic targets for intervention.

製品プロトコール

For this product, it's our understanding that no specific protocols are required. You can visit:

ターゲットの情報

Muscle assembly regulating factor. Mediates the antiparallel assembly of titin (TTN) molecules at the sarcomeric Z-disk.
See full target information TCAP

文献 (1)

Recent publications for all applications. Explore the full list and refine your search

Oncogene 41:782-796 PubMed34853466

2021

GTF2E2 is a novel biomarker for recurrence after surgery and promotes progression of esophageal squamous cell carcinoma via miR-139-5p/GTF2E2/FUS axis.

Applications

Unspecified application

Species

Unspecified reactive species

Yujie Zhang,Yuxin Zhang,Bo Ai,Juejun Gong,Yichen Li,Shiying Yu,Xiuyu Cai,Li Zhang
View all publications

Abcam product promise

当社は、高品質な試薬を通じてお客様の研究を力強くサポートすることをお約束いたします。ご使用いただく各段階で、常にお客様をサポートできる体制を整えております。万が一、製品が期待通りに機能しない場合は、「Abcam Product Promise」による当社保証制度に基づき、安心してご利用いただけます。
保証に関する詳細については利用規約をご確認ください。

Please note: All products are 'FOR RESEARCH USE ONLY. NOT FOR USE IN DIAGNOSTIC OR THERAPEUTIC PROCEDURES'.

For licensing inquiries, please contact partnerships@abcam.com