JavaScript is disabled in your browser. Please enable JavaScript to view this website.
AB314082

Anti-TCF1/TCF7 抗体 [BLR228K] - BSA free

Anti-TCF1/TCF7 antibody [BLR228K] - BSA free

Be the first to review this product! Submit a review

|

(0 Publication)

Rabbit Recombinant Monoclonal TCF7 antibody. Suitable for ICC, IHC-P, WB and reacts with Human, Mouse samples. Immunogen corresponding to Synthetic Peptide within Human TCF7 aa 200-250.

別名を表示する

TCF1, TCF7, Transcription factor 7, TCF-7, T-cell-specific transcription factor 1, T-cell factor 1, TCF-1

7 Images
Immunohistochemistry (Formalin/PFA-fixed paraffin-embedded sections) - Anti-TCF1/TCF7 antibody [BLR228K] - BSA free (AB314082)
  • IHC-P

Supplier Data

Immunohistochemistry (Formalin/PFA-fixed paraffin-embedded sections) - Anti-TCF1/TCF7 antibody [BLR228K] - BSA free (AB314082)

Detection of human TCF1/TCF7 by immunohistochemistry. Sample : FFPE section of human lymph node. Antibody : Rabbit anti-TCF1/TCF7 recombinant monoclonal antibody [BLR228K] (A700-228CF). Secondary : HRP-conjugated goat antirabbit IgG.

Immunocytochemistry - Anti-TCF1/TCF7 antibody [BLR228K] - BSA free (AB314082)
  • ICC

Supplier Data

Immunocytochemistry - Anti-TCF1/TCF7 antibody [BLR228K] - BSA free (AB314082)

Detection of human TCF1/TCF7 by immunocytochemistry. Sample : FFPE sections of MOLT4 cells (left) and MOLT4 knock-out cells (right). Antibody : Rabbit anti-TCF1/TCF7 recombinant monoclonal antibody [BLR228K] (A700-228CF). Secondary : HRP-conjugated goat anti-rabbit IgG.

Immunocytochemistry - Anti-TCF1/TCF7 antibody [BLR228K] - BSA free (AB314082)
  • ICC

Supplier Data

Immunocytochemistry - Anti-TCF1/TCF7 antibody [BLR228K] - BSA free (AB314082)

Detection of mouse TCF1/TCF7 by immunocytochemistry Sample : FFPE section of EL4 cells. Antibody : Rabbit anti-TCF1/TCF7 recombinant monoclonal antibody [BLR228K] (A700-228CF). Secondary : HRP-conjugated goat anti-rabbit IgG.

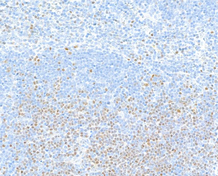
Immunohistochemistry (Formalin/PFA-fixed paraffin-embedded sections) - Anti-TCF1/TCF7 antibody [BLR228K] - BSA free (AB314082)
  • IHC-P

Supplier Data

Immunohistochemistry (Formalin/PFA-fixed paraffin-embedded sections) - Anti-TCF1/TCF7 antibody [BLR228K] - BSA free (AB314082)

Detection of mouse TCF1/TCF7 by immunohistochemistry. Sample : FFPE section of mouse spleen. Antibody : Rabbit anti-TCF1/TCF7 recombinant monoclonal antibody [BLR228K] (A700-228CF). Secondary : HRP-conjugated goat anti-rabbit IgG.

Western blot - Anti-TCF1/TCF7 antibody [BLR228K] - BSA free (AB314082)
  • WB

Supplier Data

Western blot - Anti-TCF1/TCF7 antibody [BLR228K] - BSA free (AB314082)

Samples : Whole cell lysate (50 µg) prepared using NETN lysis buffer from MOLT4 cells (WT and KO). Antibody : Rabbit antiTCF1/TCF7 recombinant monoclonal antibody [BLR228K] (A700-228CF) used at 1 : 1000. Secondary : HRP-conjugated goat anti-rabbit IgG. Detection : Chemiluminescence with an exposure time of 30 seconds. Lower Panel : Rabbit anti-Actin recombinant monoclonal antibody [BLR057F].

All lanes:

Western blot - Anti-TCF1/TCF7 antibody [BLR228K] - BSA free (ab314082) at 1/1000 dilution

Lane 1:

MOLT4 WT Whole cell lysate at 50 µg

Lane 2:

MOLT4 KO Whole cell lysate at 50 µg

Secondary

All lanes:

HRP-conjugated goat anti-rabbit IgG

false

Western blot - Anti-TCF1/TCF7 antibody [BLR228K] - BSA free (AB314082)
  • WB

Supplier Data

Western blot - Anti-TCF1/TCF7 antibody [BLR228K] - BSA free (AB314082)

Samples : Whole cell lysate (50 µg) from HeLa, Jurkat, HEK293T, MOLT-4, and U2OS cells prepared using NETN lysis buffer. Antibody : Rabbit anti-TCF1/TCF7 recombinant monoclonal antibody [BLR228K] (A700-228CF) used at 1 : 1000. Secondary : HRP-conjugated goat anti-rabbit IgG. Detection : Chemiluminescence with an exposure time of 75 seconds. Lower Panel : Rabbit anti-Actin recombinant monoclonal antibody [BLR057F].

All lanes:

Western blot - Anti-TCF1/TCF7 antibody [BLR228K] - BSA free (ab314082) at 1/1000 dilution

Lane 1:

HeLa Whole cell lysate at 50 µg

Lane 2:

Jurkat Whole cell lysate at 50 µg

Lane 3:

HEK293T Whole cell lysate at 50 µg

Lane 4:

MOLT-4 Whole cell lysate at 50 µg

Lane 5:

U2OS Whole cell lysate at 50 µg

Secondary

All lanes:

HRP-conjugated goat anti-rabbit IgG

false

Western blot - Anti-TCF1/TCF7 antibody [BLR228K] - BSA free (AB314082)
  • WB

Supplier Data

Western blot - Anti-TCF1/TCF7 antibody [BLR228K] - BSA free (AB314082)

Samples : Whole cell lysate (50 µg) from EL4, TCMK-1, and BW5147.3 cells prepared using NETN lysis buffer. Antibody : Rabbit anti-TCF1/TCF7 recombinant monoclonal antibody [BLR228K] (A700-228CF) used at 1 : 1000. Secondary : HRP-conjugated goat anti-rabbit IgG. Detection : Chemiluminescence with an exposure time of 75 seconds. Lower Panel : Rabbit anti-Actin recombinant monoclonal antibody [BLR057F].

All lanes:

Western blot - Anti-TCF1/TCF7 antibody [BLR228K] - BSA free (ab314082) at 1/1000 dilution

Lane 1:

EL4 Whole cell lysate at 50 µg

Lane 2:

TCMK-1 Whole cell lysate at 50 µg

Lane 3:

BW5147 Whole cell lysate at 50 µg

Secondary

All lanes:

HRP-conjugated goat anti-rabbit IgG

false

Key facts

宿主種

Rabbit

クローン性

Monoclonal

クローン番号

BLR228K

アイソタイプ

IgG

キャリアフリー

No

交差種

Human, Mouse

アプリケーション

WB, ICC, IHC-P

applications

免疫原

Synthetic Peptide within Human TCF7 aa 200-250. The exact immunogen used to generate this antibody is proprietary information.

P36402

Reactivity data

{ "title": "Reactivity Data", "filters": { "stats": ["", "Species", "Dilution Info", "Notes"], "tabs": { "all-applications": {"fullname" : "All Applications", "shortname": "All Applications"}, "ICC" : {"fullname" : "Immunocytochemistry", "shortname":"ICC"}, "IHCP" : {"fullname" : "Immunohistochemistry (Formalin/PFA-fixed paraffin-embedded sections)", "shortname":"IHC-P"}, "WB" : {"fullname" : "Western blot", "shortname":"WB"} }, "product-promise": { "all": "all", "testedAndGuaranteed": "tested", "guaranteed": "expected", "predicted": "predicted", "notRecommended": "not-recommended" } }, "values": { "Human": { "ICC-species-checked": "testedAndGuaranteed", "ICC-species-dilution-info": "", "ICC-species-notes": "<p></p>", "IHCP-species-checked": "testedAndGuaranteed", "IHCP-species-dilution-info": "", "IHCP-species-notes": "<p></p>", "WB-species-checked": "testedAndGuaranteed", "WB-species-dilution-info": "", "WB-species-notes": "<p></p>" }, "Mouse": { "ICC-species-checked": "testedAndGuaranteed", "ICC-species-dilution-info": "", "ICC-species-notes": "<p></p>", "IHCP-species-checked": "testedAndGuaranteed", "IHCP-species-dilution-info": "", "IHCP-species-notes": "<p></p>", "WB-species-checked": "testedAndGuaranteed", "WB-species-dilution-info": "", "WB-species-notes": "<p></p>" } } }

製品の詳細

REACH authorisation
Abcam has not and does not intend to apply for the REACH Authorisation of customers' uses of products that contain European Authorisation list (Annex XIV) substances.
It is the responsibility of our customers to check the necessity of application of REACH Authorisation, and any other relevant authorisations, for their intended uses.

出荷温度及び保存条件

製品の状態
Liquid
バッファー組成
pH: 7.8 - 8.6 Preservative: 0.09% Sodium azide Constituents: 98% Borate buffered saline
出荷温度
Blue Ice
短期保存期間
Up to 12 months
短期保存温度
+4°C
長期保存温度
+4°C

補足情報

This supplementary information is collated from multiple sources and compiled automatically.

TCF7 also known as TCF1 is a transcription factor belonging to the TCF/LEF family with a molecular mass of approximately 54 kDa. TCF7 plays a significant mechanical role in binding to DNA and regulating gene expression in cell nuclei. It interacts with beta-catenin to control the transcription of target genes. This protein is expressed in various tissues including the thymus and other parts of the immune system as well as the intestines.
Biological function summary

TCF7 regulates cell fate decisions and differentiation specifically in the T-cell lineage. It is part of a protein complex with beta-catenin and acts as a transcriptional activator. TCF7 influences the development and function of T-cells playing a critical role in adaptive immune response. It contributes to the maintenance of stem cell properties in various tissues impacting processes like cell proliferation and survival.

Pathways

TCF7 is a vital component of the Wnt/beta-catenin signaling pathway which is essential for regulating gene expression in various cellular processes. This pathway maintains homeostasis in cell proliferation differentiation and stem cell renewal. Within this signaling network beta-catenin an important mediator partners with TCF7 to modulate target gene transcription. TCF7 also interacts with other proteins such as LEF1 which similarly participates in the transcription regulation vital for cellular development.

TCF7 associates with several pathological conditions including cancers and immunodeficiencies. Abnormal activation of the Wnt/beta-catenin pathway involving TCF7 contributes to the development of colon cancer by promoting unregulated cell division. TCF7 mutations have been linked to immunodeficiency disorders given its critical role in T-cell development. These mutations may disrupt normal T-cell formation leading to impaired immune responses.

製品プロトコール

For this product, it's our understanding that no specific protocols are required. You can visit:

ターゲットの情報

Transcriptional activator involved in T-cell lymphocyte differentiation. Necessary for the survival of CD4(+) CD8(+) immature thymocytes. Isoforms lacking the N-terminal CTNNB1 binding domain cannot fulfill this role. Binds to the T-lymphocyte-specific enhancer element (5'-WWCAAAG-3') found in the promoter of the CD3E gene. Represses expression of the T-cell receptor gamma gene in alpha-beta T-cell lineages (By similarity). Required for the development of natural killer receptor-positive lymphoid tissue inducer T-cells (By similarity). TLE1, TLE2, TLE3 and TLE4 repress transactivation mediated by TCF7 and CTNNB1.May also act as feedback transcriptional repressor of CTNNB1 and TCF7L2 target genes.
See full target information TCF7

Abcam product promise

当社は、高品質な試薬を通じてお客様の研究を力強くサポートすることをお約束いたします。ご使用いただく各段階で、常にお客様をサポートできる体制を整えております。万が一、製品が期待通りに機能しない場合は、「Abcam Product Promise」による当社保証制度に基づき、安心してご利用いただけます。
保証に関する詳細については利用規約をご確認ください。

Please note: All products are 'FOR RESEARCH USE ONLY. NOT FOR USE IN DIAGNOSTIC OR THERAPEUTIC PROCEDURES'.

For licensing inquiries, please contact partnerships@abcam.com