JavaScript is disabled in your browser. Please enable JavaScript to view this website.
AB109390

Anti-Tau (phospho S396) 抗体 [EPR2731]

Anti-Tau (phospho S396) antibody [EPR2731]

  • BOND RX™ Validated
  • 20ul selling size
  • RabMAb
  • Recombinant
  • 詳細を見る

4

(13 Reviews)

|

(180 Publications)

Anti-Tau (phospho S396) antibody [EPR2731] (ab109390) is a rabbit monoclonal antibody detecting Tau in Western Blot, IP, IHC-P, IHC-Fr, Dot Blot. Suitable for Human, Mouse, Rat.

- Biophysical QC for unrivalled batch-batch consistency
- Over 120 publications

別名を表示する

MAPTL, MTBT1, TAU, MAPT, Microtubule-associated protein tau, Neurofibrillary tangle protein, Paired helical filament-tau, PHF-tau

12 Images
Immunohistochemistry (Frozen sections) - Anti-Tau (phospho S396) antibody [EPR2731] (AB109390)
  • IHC-Fr

Lab

Immunohistochemistry (Frozen sections) - Anti-Tau (phospho S396) antibody [EPR2731] (AB109390)

IHC image of Tau (phospho S396) staining in a section of frozen normal human Alzheimer brain performed on a Leica BONDTM system using the standard protocol. The section was fixed in 10% paraformaldehyde (10 min) prior to staining. The section was incubated with ab109390, 1/1000 dilution, for 15 mins at room temperature and detected using an HRP conjugated compact polymer system. DAB was used as the chromogen. The section was then counterstained with haematoxylin and mounted with DPX. The inset secondary-only control image is taken from an identical assay without primary antibody.

For other IHC staining systems (automated and non-automated) customers should optimize variable parameters such as antigen retrieval conditions, primary antibody concentration and antibody incubation times.

Immunohistochemistry (Formalin/PFA-fixed paraffin-embedded sections) - Anti-Tau (phospho S396) antibody [EPR2731] (AB109390)
  • IHC-P

Lab

Immunohistochemistry (Formalin/PFA-fixed paraffin-embedded sections) - Anti-Tau (phospho S396) antibody [EPR2731] (AB109390)

Immunohistochemical analysis of paraffin-embedded human cerebral cortex tissue* labelling Tau (phospho S396) with ab109390 at 0.1ug/ml followed by a ready to use LeicaDS9800 (Bond™ Polymer Refine Detection).

Positive staining in human cerebral cortex.

The section was incubated with ab109390 for 30 mins at room temperature. The immunostaining was performed on a Leica Biosystems BOND® RX instrument Counterstained with Hematoxylin.

Secondary antibody only control : Secondary antibody is a ready to use LeicaDS9800 (Bond™ Polymer Refine Detection). Heat mediated antigen retrieval with sodium citrate buffer (pH 6.0 epitope retrieval solution1) for 20 mins.

*Tissue obtained from the Human Research Tissue Bank, supported by the NIHR Cambridge Biomedical Research Centre.

Immunohistochemistry (Formalin/PFA-fixed paraffin-embedded sections) - Anti-Tau (phospho S396) antibody [EPR2731] (AB109390)
  • IHC-P

Supplier Data

Immunohistochemistry (Formalin/PFA-fixed paraffin-embedded sections) - Anti-Tau (phospho S396) antibody [EPR2731] (AB109390)

Immunohistochemistry analysis of paraffin-embedded human colon tissue sections labelling Tau (phospho S396) with ab109390 at 1/4000 dilution (0.026 μg/mL). The section was incubated with ab109390 for 30 mins at room temperature. Rabbit specific IHC polymer detection kit HRP/DAB (ab209101) was used as the secondary antibody. Sections were counterstained with Hematoxylin. Antigen retrieval was heat mediated using Bond™ Epitope Retrieval Solution 2 (pH 9.0) for 20 minutes. Positive staining on ganglions of human colon without alkaline phosphatase treatment (image A); No signal was detected when tissues were treated with alkaline phosphatase (image B).The immunostaining was performed on a Leica Biosystems BOND® RX instrument.

Immunohistochemistry (Formalin/PFA-fixed paraffin-embedded sections) - Anti-Tau (phospho S396) antibody [EPR2731] (AB109390)
  • IHC-P

Lab

Immunohistochemistry (Formalin/PFA-fixed paraffin-embedded sections) - Anti-Tau (phospho S396) antibody [EPR2731] (AB109390)

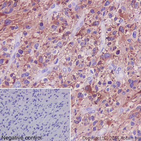
Immunohistochemical staining of paraffin embedded human glioblastoma with purified ab109390 at a dilution of 1/4000. A pre-diluted HRP polymer for rabbit/mouse IgG was used as the secondary antibody and the sample was counter-stained wirh hematoxylin. Antigen retrieval was perfomed using Tris-EDTA buffer, pH 9.0. PBS was used instead of the primary antibody as the negative control, and is shown in the inset.

Immunoprecipitation - Anti-Tau (phospho S396) antibody [EPR2731] (AB109390)
  • IP

Lab

Immunoprecipitation - Anti-Tau (phospho S396) antibody [EPR2731] (AB109390)

ab109390 at 1/20 immunoprecipitating Tau (phospho S396) in Human brain lysate.

Lane 1 (input) : Human brain lysate (10μg)

Lane 2 (+) : ab109390 + Human brain lysate.

Lane 3 (-) : Rabbit monoclonal IgG (ab172730) instead of ab109390 in Human brain lysate.

For western blotting, ab109390 at 1/1000 dilution followed by VeriBlot for IP Detection Reagent (HRP) (ab131366), was used for detection at 1/5000 dilution.

Diluting / Blocking buffer and concentration : 5% NFDM/TBST.

All lanes:

Immunoprecipitation - Anti-Tau (phospho S396) antibody [EPR2731] (ab109390) at 1/1000 dilution

Predicted band size: 78 kDa

Observed band size: 50-70 kDa

false

Exposure time: 3min

Immunohistochemistry (Frozen sections) - Anti-Tau (phospho S396) antibody [EPR2731] (AB109390)
  • IHC-Fr

Lab

Immunohistochemistry (Frozen sections) - Anti-Tau (phospho S396) antibody [EPR2731] (AB109390)

Immunohistochemistry analysis of frozen rat cerebrum tissue sections labeling Tau (phospho S396) with ab109390 at 1/100 (1 μg/mL). ab150077 Alexa Fluor®488 Goat anti-Rabbit at 1/1000 (2 μg/mL) was used as the secondary antibody. Sections were fixed with 4% PFA and permeabilised with 0.2% Triton X-100. DAPI (blue) was used as nuclear counterstain. Antigen retrieval was heat mediated using sodium citrate buffer (10mM citrate pH 6.0 + 0.05% Tween-20).

Cytoplasmic staining on rat cerebrum, the signal decreased after phosphatase treatment at 37℃ for 2h.

Immunohistochemistry (Formalin/PFA-fixed paraffin-embedded sections) - Anti-Tau (phospho S396) antibody [EPR2731] (AB109390)
  • IHC-P

AbReview39770****

Immunohistochemistry (Formalin/PFA-fixed paraffin-embedded sections) - Anti-Tau (phospho S396) antibody [EPR2731] (AB109390)

IHC image of Tau (phospho S396) staining in human Alzheimer hippocampus formalin fixed paraffin embedded tissue section. The section was pre-treated using heat mediated antigen retrieval with citrate buffer. The section was then incubated with unpurified ab109390 at 1/1000 dilution for 2 hoursat 21°C. A biotin conjugated goat-anti-rabbit antibody was used as a secondary at 1/250. The section shows clear neurofibrillary tangles in a subset of neurons.

Image courtesy of Carl Hobbs, Kings College London, U.K.

Immunohistochemistry (Frozen sections) - Anti-Tau (phospho S396) antibody [EPR2731] (AB109390)
  • IHC-Fr

Lab

Immunohistochemistry (Frozen sections) - Anti-Tau (phospho S396) antibody [EPR2731] (AB109390)

Immunohistochemistry analysis of frozen mouse cerebrum tissue sections labeling Tau (phospho S396) with ab109390 at 1/100 (1 μg/mL). ab150077 AlexaFluor®488 Goat anti-Rabbit at 1/1000 (2 μg/mL) was used as the secondary antibody. Sections were fixed with 4% PFA and permeabilised with 0.2% Triton X-100. DAPI (blue) was used as nuclear counterstain. Antigen retrieval was heat mediated using sodium citrate buffer (10mM citrate pH 6.0 + 0.05% Tween-20).

Cytoplasmic staining on mouse cerebrum, the signal decreased after phosphatase treatment at 37℃ for 2h.

Western blot - Anti-Tau (phospho S396) antibody [EPR2731] (AB109390)
  • WB

Lab

Western blot - Anti-Tau (phospho S396) antibody [EPR2731] (AB109390)

Blocking buffer : 5% NFDM/TBST

Dilution buffer : 5% NFDM/TBST

All lanes:

Western blot - Anti-Tau (phospho S396) antibody [EPR2731] (ab109390) at 1/20000 dilution

Lane 1:

Untreated SH-SY5Y at 10 µg

Lane 2:

SH-SY5Y treated with alkaline phosphatase at 10 µg

Secondary

All lanes:

HRP goat ant-rabbit (H+L) at 1/1000 dilution

Predicted band size: 78 kDa

Observed band size: 50-70 kDa

false

Western blot - Anti-Tau (phospho S396) antibody [EPR2731] (AB109390)
  • WB

Lab

Western blot - Anti-Tau (phospho S396) antibody [EPR2731] (AB109390)

Blocking/Diluting buffer and concentration 5% NFDM/TBST

Tau assembles into oligomers as described in PMID : 28382304, 32692785 and 30120733.

All lanes:

Western blot - Anti-Tau (phospho S396) antibody [EPR2731] (ab109390) at 1/1000 dilution

Lane 1:

Human brain lysate at 15 µg

Lane 2:

Human brain lysates and the membrane was incubated with alkaline phosphatase at 15 µg

Lane 3:

Human brain lysates and the membrane was incubated with lambda phosphatase at 15 µg

Secondary

All lanes:

Goat Anti-Rabbit IgG (HRP) with minimal cross-reactivity with human IgG at 1/2000 dilution

Predicted band size: 78 kDa

Observed band size: 50-79 kDa

false

Exposure time: 100s

Western blot - Anti-Tau (phospho S396) antibody [EPR2731] (AB109390)
  • WB

Lab

Western blot - Anti-Tau (phospho S396) antibody [EPR2731] (AB109390)

Diluting/Diluting buffer and concentration 5% NFDM/TBST

Tau assembles into oligomers as described in PMID : 28382304, 32692785 and 30120733..

All lanes:

Western blot - Anti-Tau (phospho S396) antibody [EPR2731] (ab109390) at 1/1000 dilution

Lane 1:

Mouse brain lysate at 15 µg

Lane 2:

Mouse brain lysates and the membrane was incubated with alkaline phosphatase at 15 µg

Lane 3:

Mouse brain lysates and the membrane was incubated with lambda phosphatase at 15 µg

Secondary

All lanes:

Goat Anti-Rabbit IgG (HRP) with minimal cross-reactivity with human IgG at 1/2000 dilution

Predicted band size: 78 kDa

Observed band size: 50-79 kDa

false

Exposure time: 10s

Dot Blot - Anti-Tau (phospho S396) antibody [EPR2731] (AB109390)
  • Dot

Lab

Dot Blot - Anti-Tau (phospho S396) antibody [EPR2731] (AB109390)

Dot blot analysis of Tau (phospho S396) phospho peptide (Lane 1) and Tau non-phospho peptide (Lane 2) labeling Tau (phospho S396) with ab109390 at a dilution of 1/1000. ab97051 (Peroxidase conjugated goat anti-rabbit IgG) (H+L) at 1/100 000 was used as the secondary antibody.

Blocking and diluting buffer : 5% NFDM/TBST.

Exposure time : 3 minutes.

関連する標識済み抗体及び組成の異なる製品 (7)

  • Carrier free

    Anti-Tau (phospho S396) antibody [EPR2731] - BSA and Azide free

  • 665 Alexa Fluor® 647

    Alexa Fluor® 647 Anti-Tau (phospho S396) antibody [EPR2731]

  • 617 Alexa Fluor® 594

    Alexa Fluor® 594 Anti-Tau (phospho S396) antibody [EPR2731]

  • 603 Alexa Fluor® 568

    Alexa Fluor® 568 Anti-Tau (phospho S396) antibody [EPR2731]

  • 565 Alexa Fluor® 555

    Alexa Fluor® 555 Anti-Tau (phospho S396) antibody [EPR2731]

  • 519 Alexa Fluor® 488

    Alexa Fluor® 488 Anti-Tau (phospho S396) antibody [EPR2731]

  • Biotin

    Biotin Anti-Tau (phospho S396) antibody [EPR2731]

Key facts

宿主種

Rabbit

クローン性

Monoclonal

クローン番号

EPR2731

アイソタイプ

IgG

キャリアフリー

No

交差種

Mouse, Rat, Human

アプリケーション

IHC-Fr, WB, Dot, IHC-P, IP

applications

免疫原

The exact immunogen used to generate this antibody is proprietary information.

特異性

The mouse and rat recommendation is based on the WB results. We do not guarantee IHC-P for mouse and rat.

The specificity of this antibody refers to P10636-8.

Reactivity data

{ "title": "Reactivity Data", "filters": { "stats": ["", "Species", "Dilution Info", "Notes"], "tabs": { "all-applications": {"fullname" : "All Applications", "shortname": "All Applications"}, "IP" : {"fullname" : "Immunoprecipitation", "shortname":"IP"}, "Dot" : {"fullname" : "Dot Blot", "shortname":"Dot"}, "WB" : {"fullname" : "Western blot", "shortname":"WB"}, "ICCIF" : {"fullname" : "Immunocytochemistry/ Immunofluorescence", "shortname":"ICC/IF"}, "IHCFr" : {"fullname" : "Immunohistochemistry (Frozen sections)", "shortname":"IHC-Fr"}, "IHCP" : {"fullname" : "Immunohistochemistry (Formalin/PFA-fixed paraffin-embedded sections)", "shortname":"IHC-P"} }, "product-promise": { "all": "all", "testedAndGuaranteed": "tested", "guaranteed": "expected", "predicted": "predicted", "notRecommended": "not-recommended" } }, "values": { "Human": { "IP-species-checked": "testedAndGuaranteed", "IP-species-dilution-info": "1/10 - 1/100", "IP-species-notes": "<p></p>", "Dot-species-checked": "guaranteed", "Dot-species-dilution-info": "", "Dot-species-notes": "", "WB-species-checked": "testedAndGuaranteed", "WB-species-dilution-info": "1/10000 - 1/50000", "WB-species-notes": "<p><strong>For unpurified, use 1/10000 - 1/50000.</strong></p>", "ICCIF-species-checked": "notRecommended", "ICCIF-species-dilution-info": "1/50", "ICCIF-species-notes": "<p></p>", "IHCFr-species-checked": "testedAndGuaranteed", "IHCFr-species-dilution-info": "1/100", "IHCFr-species-notes": "<p>Heat mediated antigen retrieval using sodium citrate buffer (10mM citrate pH 6.0 + 0.05% Tween-20)</p>", "IHCP-species-checked": "testedAndGuaranteed", "IHCP-species-dilution-info": "1/4000", "IHCP-species-notes": "<p>The mouse and rat recommendation is based on the WB results. We do not guarantee IHC-P for mouse and rat.</p> Perform heat-mediated antigen retrieval with Tris/EDTA buffer pH 9.0 before commencing with IHC staining protocol." }, "Mouse": { "IP-species-checked": "guaranteed", "IP-species-dilution-info": "", "IP-species-notes": "", "Dot-species-checked": "guaranteed", "Dot-species-dilution-info": "", "Dot-species-notes": "", "WB-species-checked": "testedAndGuaranteed", "WB-species-dilution-info": "1/10000 - 1/50000", "WB-species-notes": "<p><strong>For unpurified, use 1/10000 - 1/50000.</strong></p>", "ICCIF-species-checked": "notRecommended", "ICCIF-species-dilution-info": "", "ICCIF-species-notes": "", "IHCFr-species-checked": "testedAndGuaranteed", "IHCFr-species-dilution-info": "1/100", "IHCFr-species-notes": "<p>Heat mediated antigen retrieval using sodium citrate buffer (10mM citrate pH 6.0 + 0.05% Tween-20)</p>", "IHCP-species-checked": "notRecommended", "IHCP-species-dilution-info": "", "IHCP-species-notes": "<p></p>" }, "Rat": { "IP-species-checked": "guaranteed", "IP-species-dilution-info": "", "IP-species-notes": "", "Dot-species-checked": "guaranteed", "Dot-species-dilution-info": "", "Dot-species-notes": "", "WB-species-checked": "guaranteed", "WB-species-dilution-info": "", "WB-species-notes": "", "ICCIF-species-checked": "notRecommended", "ICCIF-species-dilution-info": "", "ICCIF-species-notes": "", "IHCFr-species-checked": "testedAndGuaranteed", "IHCFr-species-dilution-info": "1/100", "IHCFr-species-notes": "<p>Heat mediated antigen retrieval using sodium citrate buffer (10mM citrate pH 6.0 + 0.05% Tween-20)</p>", "IHCP-species-checked": "notRecommended", "IHCP-species-dilution-info": "", "IHCP-species-notes": "<p></p>" }, "Synthetic peptide": { "IP-species-checked": "notRecommended", "IP-species-dilution-info": "", "IP-species-notes": "", "Dot-species-checked": "testedAndGuaranteed", "Dot-species-dilution-info": "1/1000", "Dot-species-notes": "<p></p>", "WB-species-checked": "notRecommended", "WB-species-dilution-info": "", "WB-species-notes": "", "ICCIF-species-checked": "notRecommended", "ICCIF-species-dilution-info": "", "ICCIF-species-notes": "", "IHCFr-species-checked": "notRecommended", "IHCFr-species-dilution-info": "", "IHCFr-species-notes": "", "IHCP-species-checked": "notRecommended", "IHCP-species-dilution-info": "", "IHCP-species-notes": "" } } }

製品の詳細

Tau is a protein associated with several disease states, known collectively as tauopathies. The most well-known of these is Alzheimer's disease (AD), were tau exhibiting excessive phosphorylation, aggregating to form neurofibrillary tangles. The epitope defined by phosphorylation of S396 in tau is strongly implicated in AD-associated tau pathology, providing a valuable target for the development of therapeutic antibodies to capture tau and prevent spreading of tau pathology.

Product Specifications
Anti-Tau (phospho S396) antibody [EPR2731] (ab109390) was developed by Abcam using patented rabbit monoclonal antibody technology and is validated for use in Dot blot, IHC-Fr, IHC-P, IP, WB in human, mouse, rat samples.
Anti-Tau (phospho S396) antibody [EPR2731] (ab109390) specifically detects Tau Phospho-S396 (UniProt ID: P10636; Molecular weight: 79kDa) and is sold in a convenient trial size to enable initial testing (20 µL) and larger sizes for subsequent scaling up experiments (100 µL and 1 mL).

Quality and Validation
Abcam's high quality manufacturing and validation processes ensure Anti-Tau (phospho S396) antibody [EPR2731] (ab109390) has high sensitivity and specificity alongside high lot-to-lot consistency and reproducibility.
Anti-Tau (phospho S396) antibody [EPR2731] (ab109390) has been cited over 127 times in peer reviewed journals and is trusted by the scientific community.
Anti-Tau (phospho S396) antibody [EPR2731] (ab109390) has 12 independent reviews from customers.

Related Products
Antibody clone EPR2731 is also available pre-conjugated to a variety of labels for your convenience - Alexa Fluor® 647, Alexa Fluor® 555, Alexa Fluor® 488, Alexa Fluor® 594, Alexa Fluor® 568 (ab300748, ab302570, ab302581, ab302686, ab302804).

Patented technology
Our RabMAb® technology is a patented hybridoma-based technology for making rabbit monoclonal antibodies. For details on our patents, please refer to RabMAb® patents.

What are the advantages of a recombinant monoclonal antibody?
This product is a recombinant monoclonal antibody, which offers several advantages including:

  • - High batch-to-batch consistency and reproducibility
  • - Improved sensitivity and specificity
  • - Long-term security of supply
  • - Animal-free batch production

For more information, read more on recombinant antibodies.

出荷温度及び保存条件

製品の状態
Liquid
精製方法
Affinity purification Protein A
バッファー組成
pH: 7.2 - 7.4 Preservative: 0.01% Sodium azide Constituents: PBS, 40% Glycerol (glycerin, glycerine), 0.05% BSA
出荷温度
Blue Ice
短期保存期間
1-2 weeks
短期保存温度
+4°C
長期保存温度
-20°C
分注に関する情報
Upon delivery aliquot
保管に関する情報
Stable for 12 months at -20°C

補足情報

This supplementary information is collated from multiple sources and compiled automatically.

Tau also known as microtubule-associated protein Tau (MAPT) plays an important role in stabilizing microtubules in neuronal cells. Tau is primarily found in the central nervous system but also exists in peripheral neurons. Human Tau protein comes in six isoforms due to alternative splicing with molecular weights ranging from 48 kDa to 67 kDa. This protein predominantly locates in the axons of neurons where it maintains the stability of microtubule tracks necessary for axonal transport.
Biological function summary

Tau is involved in the assembly and stabilization of microtubules essential for maintaining neuronal structure. It interacts with microtubule-binding domains (MBD) to bind and bundle microtubules facilitating intracellular transport. Tau forms a part of the neuronal cytoskeleton complex working closely with other cytoskeletal proteins to preserve the proper axonal transport and function. Abnormally phosphorylated Tau often termed phospho-Tau disrupts this complex affecting microtubule stability.

Pathways

Tau has critical involvement in several signaling cascades such as the microtubule-binding and transport pathways. Glycogen synthase kinase 3 beta (GSK3β) and cyclin-dependent kinase 5 (CDK5) frequently phosphorylate Tau controlling its interaction with microtubules. Phosphorylated Tau accumulates leading to the formation of neurofibrillary tangles often observed in neurodegenerative conditions. Additionally Tau interacts with GAPDH impacting cellular energy regulation through potential pathway cross-talk involving oxidative stress responses.

Tau is closely associated with Alzheimer's disease and frontotemporal dementia. In Alzheimer's disease hyperphosphorylated Tau aggregates into paired helical filaments forming neurofibrillary tangles while similar aggregates are observed in frontotemporal dementia. In these conditions Tau links to amyloid precursor protein (APP) where misregulated phosphorylation-driven interactions contribute to neurodegeneration. Identifying phospho-Tau and its altered interactions with related proteins aids in understanding and potentially treating these disorders.

製品プロトコール

For this product, it's our understanding that no specific protocols are required. You can visit:

ターゲットの情報

Promotes microtubule assembly and stability, and might be involved in the establishment and maintenance of neuronal polarity (PubMed : 21985311). The C-terminus binds axonal microtubules while the N-terminus binds neural plasma membrane components, suggesting that tau functions as a linker protein between both (PubMed : 21985311, PubMed : 32961270). Axonal polarity is predetermined by TAU/MAPT localization (in the neuronal cell) in the domain of the cell body defined by the centrosome. The short isoforms allow plasticity of the cytoskeleton whereas the longer isoforms may preferentially play a role in its stabilization.
See full target information MAPT phospho S396

文献 (180)

Recent publications for all applications. Explore the full list and refine your search

Scientific reports 15:30134 PubMed40820106

2025

Regulatory role of LncRNA FMR1-AS1 in the pathogenesis of alzheimer's disease based on bioinformatics and in vitro experimental validation.

Applications

Unspecified application

Species

Unspecified reactive species

Xiang Yu,Hao Cai,Cai He,Zhong Ouyang,Yongchang Li,Liang Chen

Nature chemistry 17:1565-1575 PubMed40813616

2025

High-throughput discovery of fluoroprobes that recognize amyloid fibril polymorphs.

Applications

Unspecified application

Species

Unspecified reactive species

Emma C Carroll,Hyunjun Yang,Wyatt C Powell,Annemarie F Charvat,Abby Oehler,Julia G Jones,Kelly M Montgomery,Anthony Yung,Zoe Millbern,Alexander I P Taylor,Martin Wilkinson,Neil A Ranson,Sheena E Radford,Nelson R Vinueza,William F DeGrado,Daniel A Mordes,Carlo Condello,Jason E Gestwicki

eLife 13: PubMed40762561

2025

The novel role of Kallistatin in linking metabolic syndromes and cognitive memory deterioration by inducing amyloid-β plaques accumulation and tau protein hyperphosphorylation.

Applications

Unspecified application

Species

Unspecified reactive species

Weiwei Qi,Yanlan Long,Ziming Li,Zhen Zhao,Jinhui Shi,Wanting Xie,Laijian Wang,Yandan Tan,Ti Zhou,Minting Liang,Ping Jiang,Bin Jiang,Xia Yang,Guoquan Gao

Frontiers in behavioral neuroscience 19:1619889 PubMed40727321

2025

Examination of age- and sex-related changes in protein expression within the hippocampus and prefrontal cortex during withdrawal from a subchronic history of binge-drinking in C57BL/6J mice.

Applications

Unspecified application

Species

Unspecified reactive species

C Leonardo Jimenez Chavez,Lauren E Madory,Chris J E Denning,Edward C Lee,Dylan T Nguyen,Gavin P Scheldrup,Karen K Szumlinski

Scientific reports 15:25854 PubMed40670556

2025

Poneratoxin as a key tool for investigating the relationship between sodium channel hypersensitivity and impaired nerve cell function.

Applications

Unspecified application

Species

Unspecified reactive species

Zirui Lü,Xiandong Dai,Jianjie Xu,Mu Zhu,Bo Chen,Yongbiao Guo,Zhenhua Gao,Fanhua Meng

Journal of ginseng research 49:294-305 PubMed40453349

2025

Korean black ginseng extract alleviates Alzheimer's disease-related cognitive impairment by activating the Nrf2/HO-1 pathway and suppressing the p38 MAPK/NF-κB/STAT3 pathways and NLRP3 inflammasome via TLR2 and TLR4 modulation.

Applications

Unspecified application

Species

Unspecified reactive species

Yujeong Ha,Hyo-Sung Jo,Tae Woo Kwon,Seung Ho Jeon,Sang-Kwan Moon,Ji Hoon Jung,Min Soo Kim,Seung-Yeol Nah,Jong Kil Lee,Ik-Hyun Cho

Biomedicines 13: PubMed40426884

2025

Pharmacological Blocking of Adiponectin Receptors Induces Alzheimer's Disease-like Neuropathology and Impairs Hippocampal Function.

Applications

Unspecified application

Species

Unspecified reactive species

Hui-Hui Guo,Hai-Ning Ou,Jia-Sui Yu,Suk-Yu Yau,Hector Wing-Hong Tsang

Neurochemical research 50:169 PubMed40407938

2025

Neuroplasticity After Hypoxic-Ischemic Brain Injury in Neonatal Pigs Based on Time-Dependent Behavior of H-MRS-Tau Protein and Synaptic Associated Proteins and Synaptic Structure Analysis.

Applications

Unspecified application

Species

Unspecified reactive species

Sijia Zhao,Yang Zheng

Alzheimer's research & therapy 17:109 PubMed40394655

2025

Cannabidiol as a multifaceted therapeutic agent: mitigating Alzheimer's disease pathology and enhancing cognitive function.

Applications

Unspecified application

Species

Unspecified reactive species

Iu Raïch,Jaume Lillo,Joan Biel Rebassa,Christian Griñán-Ferré,Aina Bellver-Sanchis,Irene Reyes-Resina,Rafael Franco,Mercè Pallàs,Gemma Navarro

Neuromolecular medicine 27:34 PubMed40374872

2025

Far-Infrared Radiation Ameliorates the Cognitive Dysfunction in an Alzheimer's Disease Transgenic Mouse via Modulating Jak-2/Stat3 and Nrf-2/HO-1 Pathways.

Applications

Unspecified application

Species

Unspecified reactive species

Wen Yang,Qiuxia Yu,Nick Wang,Koon Kit Lam,Zhi-Xiu Lin,Yan-Fang Xian
View all publications

Abcam product promise

当社は、高品質な試薬を通じてお客様の研究を力強くサポートすることをお約束いたします。ご使用いただく各段階で、常にお客様をサポートできる体制を整えております。万が一、製品が期待通りに機能しない場合は、「Abcam Product Promise」による当社保証制度に基づき、安心してご利用いただけます。
保証に関する詳細については利用規約をご確認ください。

Please note: All products are 'FOR RESEARCH USE ONLY. NOT FOR USE IN DIAGNOSTIC OR THERAPEUTIC PROCEDURES'.

For licensing inquiries, please contact partnerships@abcam.com