JavaScript is disabled in your browser. Please enable JavaScript to view this website.
AB302491

Anti-Tau (phospho S396) 抗体 [E178] - Mouse IgG2a (Chimeric) - BSA and Azide free

Anti-Tau (phospho S396) antibody [E178] - Mouse IgG2a (Chimeric) - BSA and Azide free

Be the first to review this product! Submit a review

|

(0 Publication)

Mouse Recombinant Monoclonal TAU phospho S396 antibody. Carrier free. Suitable for WB, Dot, IHC-P and reacts with Human, Mouse, Rat samples.

別名を表示する

MAPTL, MTBT1, TAU, MAPT, Microtubule-associated protein tau, Neurofibrillary tangle protein, Paired helical filament-tau, PHF-tau

6 Images
Immunohistochemistry (Formalin/PFA-fixed paraffin-embedded sections) - Anti-Tau (phospho S396) antibody [E178] - Mouse IgG2a (Chimeric) - BSA and Azide free (AB302491)
  • IHC-P

Supplier Data

Immunohistochemistry (Formalin/PFA-fixed paraffin-embedded sections) - Anti-Tau (phospho S396) antibody [E178] - Mouse IgG2a (Chimeric) - BSA and Azide free (AB302491)

Immunohistochemical analysis of paraffin-embedded human cerebrum tissue labeling Tau (phospho S396) with ab302491 at 1/20000 (0.05 ug/ml) followed by a ready to use Goat Anti-Mouse IgG H&L (HRP polymer) (ab214879). Positive staining on human cerebrum without alkaline phosphatase treatment (image A). No signal was detected when tissues were treated with alkaline phosphatase (image B). The section was incubated with ab302491 for 30 mins at room temperature. The immunostaining was performed on a Leica Biosystems BOND® RX instrument. Counterstained with Hematoxylin. Secondary antibody only control : Secondary antibody is a ready to use Goat Anti-Mouse IgG H&L (HRP polymer) (ab214879). Heat mediated antigen retrieval was performed with Tris-EDTA buffer (pH 9.0, Epitope Retrieval Solution2) for 20 mins.

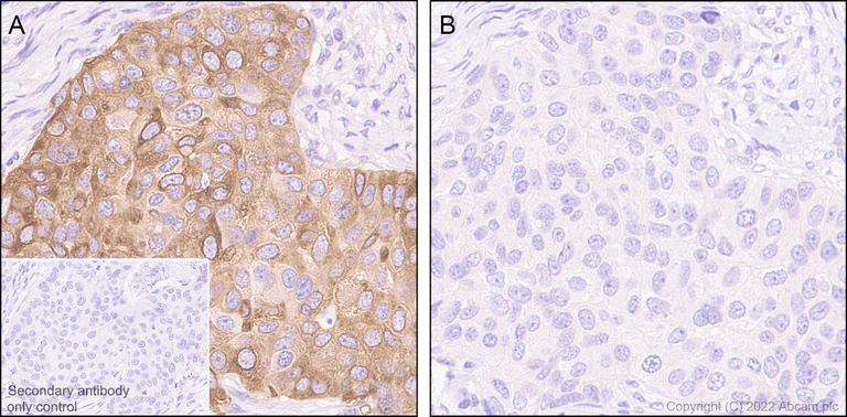
Immunohistochemistry (Formalin/PFA-fixed paraffin-embedded sections) - Anti-Tau (phospho S396) antibody [E178] - Mouse IgG2a (Chimeric) - BSA and Azide free (AB302491)
  • IHC-P

Supplier Data

Immunohistochemistry (Formalin/PFA-fixed paraffin-embedded sections) - Anti-Tau (phospho S396) antibody [E178] - Mouse IgG2a (Chimeric) - BSA and Azide free (AB302491)

Immunohistochemical analysis of paraffin-embedded human breast carcinoma tissue labeling Tau (phospho S396) with ab302491 at 1/20000 (0.05 ug/ml) followed by a ready to use Goat Anti-Mouse IgG H&L (HRP polymer) (ab214879). Positive staining on human breast carcinoma without alkaline phosphatase treatment (image A). No signal was detected when tissues were treated with alkaline phosphatase (image B). The section was incubated with ab302491 for 30 mins at room temperature. The immunostaining was performed on a Leica Biosystems BOND® RX instrument. Counterstained with Hematoxylin. Secondary antibody only control : Secondary antibody is a ready to use Goat Anti-Mouse IgG H&L (HRP polymer) (ab214879). Heat mediated antigen retrieval was performed with Tris-EDTA buffer (pH 9.0, Epitope Retrieval Solution2) for 20 mins.

Western blot - Anti-Tau (phospho S396) antibody [E178] - Mouse IgG2a (Chimeric) - BSA and Azide free (AB302491)
  • WB

Supplier Data

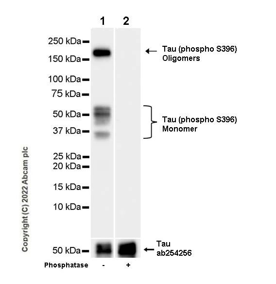
Western blot - Anti-Tau (phospho S396) antibody [E178] - Mouse IgG2a (Chimeric) - BSA and Azide free (AB302491)

Blocking and diluting buffer and concentration : 5% NFDM/TBST. Tau assembles into oligomers as described in PMID : 28382304, 32692785 and 30120733. Exposure time : 26 seconds.

All lanes:

Western blot - Anti-Tau (phospho S396) antibody [E178] - Mouse IgG2a (Chimeric) - BSA and Azide free (ab302491) at 1/1000 dilution

Lane 1:

SH-SY5Y (human neuroblastoma epithelial cell) whole lysate (untreated membrane) at 10 µg

Lane 2:

SH-SY5Y whole lysate (phosphatase treated membrane) at 10 µg

Secondary

All lanes:

Peroxidase-Conjugated Goat anti-Mouse IgG (H+L)

Observed band size: 50-60 kDa,100-260 kDa

false

Dot Blot - Anti-Tau (phospho S396) antibody [E178] - Mouse IgG2a (Chimeric) - BSA and Azide free (AB302491)
  • Dot

Supplier Data

Dot Blot - Anti-Tau (phospho S396) antibody [E178] - Mouse IgG2a (Chimeric) - BSA and Azide free (AB302491)

Dot blot analysis of Tau (phospho S396) using ab302491 at 1 : 1000 (1.013 ug/ml) followed by a Peroxidase-Conjugated Goat anti-Mouse IgG (H+L) at 1 : 5000 dilution. Lane 1 : Human Tau (phospho S396) phospho peptide Lane 2 : Human Tau non-phospho peptide Exposure time : 3 minutes. Blocking and diluting buffer and concentration : 5% NFDM/TBST.

Western blot - Anti-Tau (phospho S396) antibody [E178] - Mouse IgG2a (Chimeric) - BSA and Azide free (AB302491)
  • WB

Supplier Data

Western blot - Anti-Tau (phospho S396) antibody [E178] - Mouse IgG2a (Chimeric) - BSA and Azide free (AB302491)

Blocking and diluting buffer and concentration : 5% NFDM/TBST. In Western blot, anti-Tau antibody (ab254256) loading control staining at 1/1000 dilution. Exposure time : 3.25 seconds.

All lanes:

Western blot - Anti-Tau (phospho S396) antibody [E178] - Mouse IgG2a (Chimeric) - BSA and Azide free (ab302491) at 1/1000 dilution

Lane 1:

Mouse brain tissue lysate (untreated membrane) at 10 µg

Lane 2:

Mouse brain tissue lysate (phosphatase treated membrane) at 10 µg

Secondary

All lanes:

Peroxidase-Conjugated Goat anti-Mouse IgG (H+L) at 1/5000 dilution

Observed band size: 50-70 kDa

false

Western blot - Anti-Tau (phospho S396) antibody [E178] - Mouse IgG2a (Chimeric) - BSA and Azide free (AB302491)
  • WB

Supplier Data

Western blot - Anti-Tau (phospho S396) antibody [E178] - Mouse IgG2a (Chimeric) - BSA and Azide free (AB302491)

Blocking and diluting buffer and concentration : 5% NFDM/TBST. Tau assembles into oligomers as described in PMID : 28382304, 32692785 and 30120733. In Western blot, anti-Tau antibody (ab254256) loading control staining at 1/1000 dilution. Exposure time : 26 seconds.

All lanes:

Western blot - Anti-Tau (phospho S396) antibody [E178] - Mouse IgG2a (Chimeric) - BSA and Azide free (ab302491) at 1/1000 dilution

Lane 1:

Rat brain tissue lysate (untreated membrane) at 10 µg

Lane 2:

Rat brain tissue lysate (phosphatase treated membrane) at 10 µg

Secondary

All lanes:

Peroxidase-Conjugated Goat anti-Mouse IgG (H+L) at 1/5000 dilution

Observed band size: 50-60 kDa,200 kDa

false

関連する標識済み抗体及び組成の異なる製品 (7)

  • Unconjugated

    Anti-Tau (phospho S396) antibody [E178]

  • Carrier free

    Anti-Tau (phospho S396) antibody [E178] - BSA and Azide free

  • 617 Alexa Fluor® 594

    Alexa Fluor® 594 Anti-Tau (phospho S396) antibody [E178]

  • 565 Alexa Fluor® 555

    Alexa Fluor® 555 Anti-Tau (phospho S396) antibody [E178]

  • 603 Alexa Fluor® 568

    Alexa Fluor® 568 Anti-Tau (phospho S396) antibody [E178]

  • 775 Alexa Fluor® 750

    Alexa Fluor® 750 Anti-Tau (phospho S396) antibody [E178]

  • Biotin

    Biotin Anti-Tau (phospho S396) antibody [E178]

Key facts

宿主種

Mouse

クローン性

Monoclonal

クローン番号

E178

アイソタイプ

IgG2a

キャリアフリー

Yes

交差種

Human, Mouse, Rat

アプリケーション

IHC-P, WB, Dot

applications

免疫原

The exact immunogen used to generate this antibody is proprietary information.

特異性

Unsuitable for mouse and rat IHC-P and IHC-Fr.

Reactivity data

{ "title": "Reactivity Data", "filters": { "stats": ["", "Species", "Dilution Info", "Notes"], "tabs": { "all-applications": {"fullname" : "All Applications", "shortname": "All Applications"}, "WB" : {"fullname" : "Western blot", "shortname":"WB"}, "Dot" : {"fullname" : "Dot Blot", "shortname":"Dot"}, "IHCP" : {"fullname" : "Immunohistochemistry (Formalin/PFA-fixed paraffin-embedded sections)", "shortname":"IHC-P"}, "IHCFr" : {"fullname" : "Immunohistochemistry (Frozen sections)", "shortname":"IHC-Fr"} }, "product-promise": { "all": "all", "testedAndGuaranteed": "tested", "guaranteed": "expected", "predicted": "predicted", "notRecommended": "not-recommended" } }, "values": { "Human": { "WB-species-checked": "testedAndGuaranteed", "WB-species-dilution-info": "1/1000", "WB-species-notes": "<p></p>", "Dot-species-checked": "testedAndGuaranteed", "Dot-species-dilution-info": "1/1000", "Dot-species-notes": "<p></p>", "IHCP-species-checked": "testedAndGuaranteed", "IHCP-species-dilution-info": "1/20000", "IHCP-species-notes": "<p></p>", "IHCFr-species-checked": "notRecommended", "IHCFr-species-dilution-info": "", "IHCFr-species-notes": "" }, "Mouse": { "WB-species-checked": "testedAndGuaranteed", "WB-species-dilution-info": "1/1000", "WB-species-notes": "<p></p>", "Dot-species-checked": "guaranteed", "Dot-species-dilution-info": "", "Dot-species-notes": "", "IHCP-species-checked": "notRecommended", "IHCP-species-dilution-info": "", "IHCP-species-notes": "<p></p>", "IHCFr-species-checked": "notRecommended", "IHCFr-species-dilution-info": "", "IHCFr-species-notes": "<p></p>" }, "Rat": { "WB-species-checked": "testedAndGuaranteed", "WB-species-dilution-info": "1/1000", "WB-species-notes": "<p></p>", "Dot-species-checked": "guaranteed", "Dot-species-dilution-info": "", "Dot-species-notes": "", "IHCP-species-checked": "notRecommended", "IHCP-species-dilution-info": "", "IHCP-species-notes": "<p></p>", "IHCFr-species-checked": "notRecommended", "IHCFr-species-dilution-info": "", "IHCFr-species-notes": "<p></p>" } } }

製品の詳細

ab302491 is a mouse monoclonal chimeric antibody.

What are the advantages of a recombinant monoclonal antibody?
This product is a recombinant monoclonal antibody, which offers several advantages including:

  • - High batch-to-batch consistency and reproducibility
  • - Improved sensitivity and specificity
  • - Long-term security of supply
  • - Animal-free batch production

For more information, read more on recombinant antibodies.

Conjugation ready
Our carrier-free antibodies are typically supplied in a PBS-only formulation, purified and free of BSA, sodium azide and glycerol. This conjugation-ready format is designed for use with fluorochromes, metal isotopes, oligonucleotides, and enzymes, which makes them ideal for antibody labelling, functional and cell-based assays, flow-based assays (e.g. mass cytometry) and Multiplex Imaging applications.

Use our conjugation kits for antibody conjugates that are ready-to-use in as little as 20 minutes with 1 minute hands-on-time and 100% antibody recovery: available for fluorescent dyes, HRP, biotin and gold.

Compatibility
This product is compatible with the Maxpar® Antibody Labeling Kit from Fluidigm, without the need for antibody preparation. Maxpar® is a trademark of Fluidigm Canada Inc.

Want a custom formulation?
This antibody clone is manufactured by Abcam. If you require a custom buffer formulation or conjugation for your experiments, please contact orders@abcam.com

出荷温度及び保存条件

製品の状態
Liquid
精製方法
Affinity purification Protein A
バッファー組成
pH: 7.2 - 7.4 Constituents: PBS
出荷温度
Blue Ice
短期保存温度
+4°C
長期保存温度
+4°C

補足情報

This supplementary information is collated from multiple sources and compiled automatically.

Tau also known as microtubule-associated protein Tau (MAPT) plays an important role in stabilizing microtubules in neuronal cells. Tau is primarily found in the central nervous system but also exists in peripheral neurons. Human Tau protein comes in six isoforms due to alternative splicing with molecular weights ranging from 48 kDa to 67 kDa. This protein predominantly locates in the axons of neurons where it maintains the stability of microtubule tracks necessary for axonal transport.
Biological function summary

Tau is involved in the assembly and stabilization of microtubules essential for maintaining neuronal structure. It interacts with microtubule-binding domains (MBD) to bind and bundle microtubules facilitating intracellular transport. Tau forms a part of the neuronal cytoskeleton complex working closely with other cytoskeletal proteins to preserve the proper axonal transport and function. Abnormally phosphorylated Tau often termed phospho-Tau disrupts this complex affecting microtubule stability.

Pathways

Tau has critical involvement in several signaling cascades such as the microtubule-binding and transport pathways. Glycogen synthase kinase 3 beta (GSK3β) and cyclin-dependent kinase 5 (CDK5) frequently phosphorylate Tau controlling its interaction with microtubules. Phosphorylated Tau accumulates leading to the formation of neurofibrillary tangles often observed in neurodegenerative conditions. Additionally Tau interacts with GAPDH impacting cellular energy regulation through potential pathway cross-talk involving oxidative stress responses.

Tau is closely associated with Alzheimer's disease and frontotemporal dementia. In Alzheimer's disease hyperphosphorylated Tau aggregates into paired helical filaments forming neurofibrillary tangles while similar aggregates are observed in frontotemporal dementia. In these conditions Tau links to amyloid precursor protein (APP) where misregulated phosphorylation-driven interactions contribute to neurodegeneration. Identifying phospho-Tau and its altered interactions with related proteins aids in understanding and potentially treating these disorders.

製品プロトコール

For this product, it's our understanding that no specific protocols are required. You can visit:

ターゲットの情報

Promotes microtubule assembly and stability, and might be involved in the establishment and maintenance of neuronal polarity (PubMed : 21985311). The C-terminus binds axonal microtubules while the N-terminus binds neural plasma membrane components, suggesting that tau functions as a linker protein between both (PubMed : 21985311, PubMed : 32961270). Axonal polarity is predetermined by TAU/MAPT localization (in the neuronal cell) in the domain of the cell body defined by the centrosome. The short isoforms allow plasticity of the cytoskeleton whereas the longer isoforms may preferentially play a role in its stabilization.
See full target information MAPT phospho S396

Abcam product promise

当社は、高品質な試薬を通じてお客様の研究を力強くサポートすることをお約束いたします。ご使用いただく各段階で、常にお客様をサポートできる体制を整えております。万が一、製品が期待通りに機能しない場合は、「Abcam Product Promise」による当社保証制度に基づき、安心してご利用いただけます。
保証に関する詳細については利用規約をご確認ください。

Please note: All products are 'FOR RESEARCH USE ONLY. NOT FOR USE IN DIAGNOSTIC OR THERAPEUTIC PROCEDURES'.

For licensing inquiries, please contact partnerships@abcam.com