JavaScript is disabled in your browser. Please enable JavaScript to view this website.
AB227469

Anti-Tankyrase 抗体 - N-terminal

Anti-Tankyrase antibody - N-terminal

  • JP Deleterious:医薬用外劇物

Be the first to review this product! Submit a review

|

(1 Publication)

Rabbit Polyclonal Tankyrase antibody. N-terminal. Suitable for WB, IHC-P, ICC/IF and reacts with Human samples. Cited in 1 publication. Immunogen corresponding to Recombinant Fragment Protein within Human TNKS.

別名を表示する

PARP5A, PARPL, TIN1, TINF1, TNKS1, TNKS, Poly [ADP-ribose] polymerase tankyrase-1, ADP-ribosyltransferase diphtheria toxin-like 5, Poly [ADP-ribose] polymerase 5A, Protein poly-ADP-ribosyltransferase tankyrase-1, TNKS-1, TRF1-interacting ankyrin-related ADP-ribose polymerase, Tankyrase I, Tankyrase-1, ARTD5, TANK1

3 Images
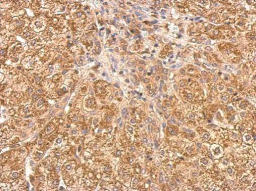
Immunohistochemistry (Formalin/PFA-fixed paraffin-embedded sections) - Anti-Tankyrase antibody - N-terminal (AB227469)
  • IHC-P

Supplier Data

Immunohistochemistry (Formalin/PFA-fixed paraffin-embedded sections) - Anti-Tankyrase antibody - N-terminal (AB227469)

Paraffin-embedded human hepatoma tissue stained for Tankyrase using ab227469 at 1/500 dilution in immunohistochemical analysis.

Immunocytochemistry/ Immunofluorescence - Anti-Tankyrase antibody - N-terminal (AB227469)
  • ICC/IF

Supplier Data

Immunocytochemistry/ Immunofluorescence - Anti-Tankyrase antibody - N-terminal (AB227469)

Paraformaldehyde-fixed MCF7 (human breast adenocarcinoma cell line) cells stained for Tankyrase (green) using ab227469 at 1/200 dilution in ICC/IF.

Counterstain : Hoechst 33342 (blue).

Western blot - Anti-Tankyrase antibody - N-terminal (AB227469)
  • WB

Supplier Data

Western blot - Anti-Tankyrase antibody - N-terminal (AB227469)

5% SDS-PAGE gel.

All lanes:

Western blot - Anti-Tankyrase antibody - N-terminal (ab227469) at 1/1000 dilution

All lanes:

U-87 MG (human glioblastoma-astrocytoma epithelial cell line) whole cell lysate at 30 µg

Predicted band size: 142 kDa

false

Key facts

宿主種

Rabbit

クローン性

Polyclonal

アイソタイプ

IgG

キャリアフリー

No

交差種

Human

アプリケーション

ICC/IF, IHC-P, WB

applications

免疫原

Recombinant Fragment Protein within Human TNKS. The exact immunogen used to generate this antibody is proprietary information.

O95271

Reactivity data

{ "title": "Reactivity Data", "filters": { "stats": ["", "Species", "Dilution Info", "Notes"], "tabs": { "all-applications": {"fullname" : "All Applications", "shortname": "All Applications"}, "WB" : {"fullname" : "Western blot", "shortname":"WB"}, "IHCP" : {"fullname" : "Immunohistochemistry (Formalin/PFA-fixed paraffin-embedded sections)", "shortname":"IHC-P"}, "ICCIF" : {"fullname" : "Immunocytochemistry/ Immunofluorescence", "shortname":"ICC/IF"} }, "product-promise": { "all": "all", "testedAndGuaranteed": "tested", "guaranteed": "expected", "predicted": "predicted", "notRecommended": "not-recommended" } }, "values": { "Human": { "WB-species-checked": "testedAndGuaranteed", "WB-species-dilution-info": "1/500 - 1/3000", "WB-species-notes": "<p></p>", "IHCP-species-checked": "testedAndGuaranteed", "IHCP-species-dilution-info": "1/100 - 1/1000", "IHCP-species-notes": "<p></p>", "ICCIF-species-checked": "testedAndGuaranteed", "ICCIF-species-dilution-info": "1/100 - 1/1000", "ICCIF-species-notes": "<p></p>" }, "Mouse": { "WB-species-checked": "predicted", "WB-species-dilution-info": "", "WB-species-notes": "", "IHCP-species-checked": "predicted", "IHCP-species-dilution-info": "", "IHCP-species-notes": "", "ICCIF-species-checked": "predicted", "ICCIF-species-dilution-info": "", "ICCIF-species-notes": "" }, "Rat": { "WB-species-checked": "predicted", "WB-species-dilution-info": "", "WB-species-notes": "", "IHCP-species-checked": "predicted", "IHCP-species-dilution-info": "", "IHCP-species-notes": "", "ICCIF-species-checked": "predicted", "ICCIF-species-dilution-info": "", "ICCIF-species-notes": "" }, "Chicken": { "WB-species-checked": "predicted", "WB-species-dilution-info": "", "WB-species-notes": "", "IHCP-species-checked": "predicted", "IHCP-species-dilution-info": "", "IHCP-species-notes": "", "ICCIF-species-checked": "predicted", "ICCIF-species-dilution-info": "", "ICCIF-species-notes": "" }, "Cow": { "WB-species-checked": "predicted", "WB-species-dilution-info": "", "WB-species-notes": "", "IHCP-species-checked": "predicted", "IHCP-species-dilution-info": "", "IHCP-species-notes": "", "ICCIF-species-checked": "predicted", "ICCIF-species-dilution-info": "", "ICCIF-species-notes": "" }, "Rhesus monkey": { "WB-species-checked": "predicted", "WB-species-dilution-info": "", "WB-species-notes": "", "IHCP-species-checked": "predicted", "IHCP-species-dilution-info": "", "IHCP-species-notes": "", "ICCIF-species-checked": "predicted", "ICCIF-species-dilution-info": "", "ICCIF-species-notes": "" }, "Xenopus laevis": { "WB-species-checked": "predicted", "WB-species-dilution-info": "", "WB-species-notes": "", "IHCP-species-checked": "predicted", "IHCP-species-dilution-info": "", "IHCP-species-notes": "", "ICCIF-species-checked": "predicted", "ICCIF-species-dilution-info": "", "ICCIF-species-notes": "" } } }

出荷温度及び保存条件

製品の状態
Liquid
精製方法
Affinity purification Immunogen
バッファー組成
pH: 7 Preservative: 0.01% Thimerosal (merthiolate) Constituents: 20% Glycerol (glycerin, glycerine), 1.21% Tris, 0.75% Glycine
出荷温度
Blue Ice
短期保存期間
1-2 weeks
短期保存温度
+4°C
長期保存温度
-20°C
分注に関する情報
Upon delivery aliquot
保管に関する情報
Avoid freeze / thaw cycle

補足情報

This supplementary information is collated from multiple sources and compiled automatically.

Tankyrase also known as TNKS and tankyrase-1 is an enzyme belonging to the poly(ADP-ribose) polymerase (PARP) family with a molecular mass of about 142 kDa. It is expressed in various tissues including brain heart and liver as well as in certain types of cancer cells. Mechanically tankyrase catalyzes the addition of ADP-ribose polymers to protein substrates a process known as poly(ADP-ribosyl)ation. This activity modulates the stability localization or interactions of target proteins.
Biological function summary

Tankyrase functions in diverse cellular processes. It participates in telomere maintenance by ADP-ribosylating TRF1 a telomere-binding protein leading to TRF1's disassembly from telomeres. Moreover tankyrase acts in the regulation of Wnt/β-catenin signaling where it associates with components like AXIN influencing the stability of the β-catenin destruction complex. Tankyrase can also be part of larger protein complexes such as the shelterin complex playing a role in safeguarding chromosome ends.

Pathways

Tankyrase integrates into key signaling networks. In the Wnt/β-catenin pathway tankyrase's interaction with AXIN controls the availability of β-catenin an important transcription co-activator in cell proliferation and differentiation. This enzyme also connects with the telomere maintenance pathway engaging TRF1 and contributing to telomere elongation and stability. Through these pathways tankyrase engages in processes vital for cell growth and genome integrity.

Tankyrase is implicated in cancer and heritable disorders of telomere dysfunction. Abnormal tankyrase activity correlates with increased β-catenin levels promoting oncogenesis in colorectal and other cancers. Additionally disruptions in tankyrase-mediated telomere regulation can lead to conditions like dyskeratosis congenita. Tankyrase links with proteins such as β-catenin in cancer while in telomere-related disorders it connects with TRF1 indicating its significance in maintaining cellular homeostasis.

製品プロトコール

For this product, it's our understanding that no specific protocols are required. You can visit:

ターゲットの情報

Poly-ADP-ribosyltransferase involved in various processes such as Wnt signaling pathway, telomere length and vesicle trafficking (PubMed : 10988299, PubMed : 11739745, PubMed : 16076287, PubMed : 19759537, PubMed : 21478859, PubMed : 22864114, PubMed : 23622245, PubMed : 25043379, PubMed : 28619731). Acts as an activator of the Wnt signaling pathway by mediating poly-ADP-ribosylation (PARsylation) of AXIN1 and AXIN2, 2 key components of the beta-catenin destruction complex : poly-ADP-ribosylated target proteins are recognized by RNF146, which mediates their ubiquitination and subsequent degradation (PubMed : 19759537, PubMed : 21478859). Also mediates PARsylation of BLZF1 and CASC3, followed by recruitment of RNF146 and subsequent ubiquitination (PubMed : 21478859). Mediates PARsylation of TERF1, thereby contributing to the regulation of telomere length (PubMed : 11739745). Involved in centrosome maturation during prometaphase by mediating PARsylation of HEPACAM2/MIKI (PubMed : 22864114). May also regulate vesicle trafficking and modulate the subcellular distribution of SLC2A4/GLUT4-vesicles (PubMed : 10988299). May be involved in spindle pole assembly through PARsylation of NUMA1 (PubMed : 16076287). Stimulates 26S proteasome activity (PubMed : 23622245).
See full target information TNKS

文献 (1)

Recent publications for all applications. Explore the full list and refine your search

Journal of virology 94: PubMed32759322

2020

Heterogeneous Nuclear Ribonucleoprotein A1 (hnRNP A1) and hnRNP A2 Inhibit Splicing to Human Papillomavirus 16 Splice Site SA409 through a UAG-Containing Sequence in the E7 Coding Region.

Applications

Unspecified application

Species

Unspecified reactive species

Yunji Zheng,Johanna Jönsson,Chengyu Hao,Shirin Shoja Chaghervand,Xiaoxu Cui,Naoko Kajitani,Lijing Gong,Chengjun Wu,Stefan Schwartz
View all publications

Abcam product promise

当社は、高品質な試薬を通じてお客様の研究を力強くサポートすることをお約束いたします。ご使用いただく各段階で、常にお客様をサポートできる体制を整えております。万が一、製品が期待通りに機能しない場合は、「Abcam Product Promise」による当社保証制度に基づき、安心してご利用いただけます。
保証に関する詳細については利用規約をご確認ください。

Please note: All products are 'FOR RESEARCH USE ONLY. NOT FOR USE IN DIAGNOSTIC OR THERAPEUTIC PROCEDURES'.

For licensing inquiries, please contact partnerships@abcam.com