JavaScript is disabled in your browser. Please enable JavaScript to view this website.
AB256125

Anti-Talin 1 抗体 [97H6] - BSA and Azide free

Anti-Talin 1 antibody [97H6] - BSA and Azide free

Be the first to review this product! Submit a review

|

(0 Publication)

Mouse Recombinant Monoclonal Talin 1 antibody. Carrier free. Suitable for IP, WB, IHC-P and reacts with Mouse, Rat, Human samples.

別名を表示する

Tln, Tln1, Talin-1

3 Images
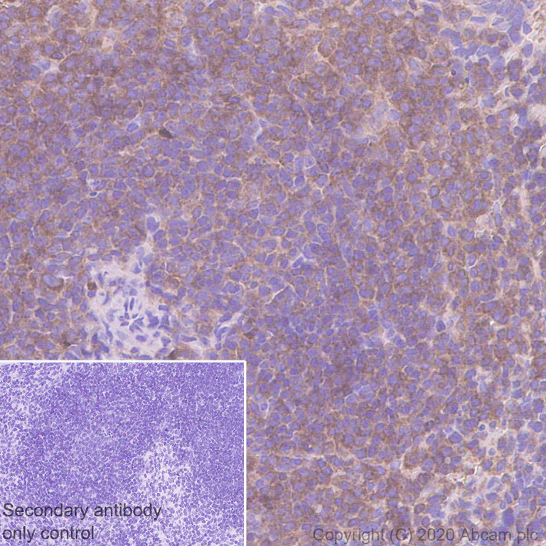
Immunohistochemistry (Formalin/PFA-fixed paraffin-embedded sections) - Anti-Talin 1 antibody [97H6] - BSA and Azide free (AB256125)
  • IHC-P

Unknown

Immunohistochemistry (Formalin/PFA-fixed paraffin-embedded sections) - Anti-Talin 1 antibody [97H6] - BSA and Azide free (AB256125)

Immunohistochemical analysis of paraffin-embedded mouse spleen tissue labeling Talin 1 with ab108480 at 1/5000 dilution (0.241μg/ml) followed by ready to use Goat Anti-mouse IgG H&L (HRP polymer) (ab214879). Cytoplasmic staining on mouse spleen. The section was incubated with ab108480 for 30 mins at room temperature. The immunostaining was performed on a Leica Biosystems BOND® RX instrument. Counterstained with Hematoxylin.

Secondary antibody only control : Secondary antibody is a ready to use Goat Anti-mouse IgG H&L (HRP polymer) (ab214879).

Heat mediated antigen retrieval with Tris-EDTA buffer (pH 9.0, epitope retrieval solution2) for 20 mins.

This data was developed using the same antibody clone in a different buffer formulation containing PBS, BSA, glycerol, and sodium azide (ab108480).

Immunoprecipitation - Anti-Talin 1 antibody [97H6] - BSA and Azide free (AB256125)
  • IP

Unknown

Immunoprecipitation - Anti-Talin 1 antibody [97H6] - BSA and Azide free (AB256125)

Talin 1 was immunoprecipitated from NIH/3T3 (mouse embryonic fibroblast), whole cell lysate with ab108480 at 1/30 dilution (2μg in 0.35mg lysates) (16.033μg/ml). Western blot was performed on the immunoprecipitate using ab108480 at 1/1000 dilution (0.481μg/ml). Mouse IgG for IP (HRP) (ab131368) was used at 1/1000 dilution.

Lane 1 : NIH/3T3 whole cell lysate 10μg.

Lane 2 : ab108480 IP in NIH/3T3 whole cell lysate.

Lane 3 : Mouse monoclonal IgG1 (ab18443) instead of ab108480 in NIH/3T3 whole cell lysate.

Blocking and dilution buffer and concentration : 5% NFDM/TBST.

Exposure time : 3 seconds.

This data was developed using the same antibody clone in a different buffer formulation containing PBS, BSA, glycerol, and sodium azide (ab108480).

All lanes:

Immunoprecipitation - Anti-Talin 1 antibody [97H6] (<a href='/products/primary-antibodies/talin-1-antibody-97h6-ab108480'>ab108480</a>)

Predicted band size: 269 kDa

false

Western blot - Anti-Talin 1 antibody [97H6] - BSA and Azide free (AB256125)
  • WB

Lab

Western blot - Anti-Talin 1 antibody [97H6] - BSA and Azide free (AB256125)

This data was developed using the same antibody clone in a different buffer formulation containing PBS, BSA, glycerol, and sodium azide (ab108480).

The expression profile/molecular weight observed is consistent with what has been described in the literature (PMID : 22306379 and 25751747).

Blocking/Dilution buffer : 5% NFDM/TBST.

All lanes:

Western blot - Anti-Talin 1 antibody [97H6] (<a href='/products/primary-antibodies/talin-1-antibody-97h6-ab108480'>ab108480</a>) at 0.481 µg/mL

Lane 1:

HUVEC (human umbilical vein endothelial cell), whole cell lysate at 10 µg

Lane 2:

HeLa (human cervix adenocarcinoma epithelial cell), whole cell lysate at 10 µg

Lane 3:

HepG2 (human hepatocellular carcinoma epithelial cell), whole cell lysate at 10 µg

Lane 4:

C6 (rat glial tumor glial cell), whole cell lysate at 10 µg

Lane 5:

NIH/3T3 (mouse embryonic fibroblast), whole cell lysate at 10 µg

Lane 6:

MEF (mouse embryonic fibroblast (immortalized)), whole cell lysate at 10 µg

Secondary

All lanes:

Peroxidase-Conjugated Goat anti-Mouse IgG (H+L) at 1/5000 dilution

Predicted band size: 269 kDa

false

Exposure time: 3s

関連する標識済み抗体及び組成の異なる製品 (1)

Key facts

宿主種

Mouse

クローン性

Monoclonal

クローン番号

97H6

アイソタイプ

IgG1

キャリアフリー

Yes

交差種

Mouse, Rat, Human

アプリケーション

WB, IP, IHC-P

applications

免疫原

The exact immunogen used to generate this antibody is proprietary information.

Reactivity data

{ "title": "Reactivity Data", "filters": { "stats": ["", "Species", "Dilution Info", "Notes"], "tabs": { "all-applications": {"fullname" : "All Applications", "shortname": "All Applications"}, "IP" : {"fullname" : "Immunoprecipitation", "shortname":"IP"}, "WB" : {"fullname" : "Western blot", "shortname":"WB"}, "IHCP" : {"fullname" : "Immunohistochemistry (Formalin/PFA-fixed paraffin-embedded sections)", "shortname":"IHC-P"} }, "product-promise": { "all": "all", "testedAndGuaranteed": "tested", "guaranteed": "expected", "predicted": "predicted", "notRecommended": "not-recommended" } }, "values": { "Human": { "IP-species-checked": "guaranteed", "IP-species-dilution-info": "", "IP-species-notes": "", "WB-species-checked": "testedAndGuaranteed", "WB-species-dilution-info": "", "WB-species-notes": "<p></p>", "IHCP-species-checked": "notRecommended", "IHCP-species-dilution-info": "", "IHCP-species-notes": "<p></p>" }, "Mouse": { "IP-species-checked": "testedAndGuaranteed", "IP-species-dilution-info": "", "IP-species-notes": "<p></p>", "WB-species-checked": "testedAndGuaranteed", "WB-species-dilution-info": "", "WB-species-notes": "<p></p>", "IHCP-species-checked": "testedAndGuaranteed", "IHCP-species-dilution-info": "", "IHCP-species-notes": "<p></p>" }, "Rat": { "IP-species-checked": "guaranteed", "IP-species-dilution-info": "", "IP-species-notes": "", "WB-species-checked": "testedAndGuaranteed", "WB-species-dilution-info": "", "WB-species-notes": "<p></p>", "IHCP-species-checked": "notRecommended", "IHCP-species-dilution-info": "", "IHCP-species-notes": "<p></p>" } } }

製品の詳細

ab256125 is the carrier-free version of ab108480.

What are the advantages of a recombinant monoclonal antibody?
This product is a recombinant monoclonal antibody, which offers several advantages including:

  • - High batch-to-batch consistency and reproducibility
  • - Improved sensitivity and specificity
  • - Long-term security of supply
  • - Animal-free batch production

For more information, read more on recombinant antibodies.

Want a custom formulation?
This antibody clone is manufactured by Abcam. If you require a custom buffer formulation or conjugation for your experiments, please contact orders@abcam.com

Conjugation ready
Our carrier-free antibodies are typically supplied in a PBS-only formulation, purified and free of BSA, sodium azide and glycerol. This conjugation-ready format is designed for use with fluorochromes, metal isotopes, oligonucleotides, and enzymes, which makes them ideal for antibody labelling, functional and cell-based assays, flow-based assays (e.g. mass cytometry) and Multiplex Imaging applications.

Use our conjugation kits for antibody conjugates that are ready-to-use in as little as 20 minutes with 1 minute hands-on-time and 100% antibody recovery: available for fluorescent dyes, HRP, biotin and gold.

Compatibility
This product is compatible with the Maxpar® Antibody Labeling Kit from Fluidigm, without the need for antibody preparation. Maxpar® is a trademark of Fluidigm Canada Inc.

出荷温度及び保存条件

製品の状態
Liquid
精製方法
Affinity purification Protein A
バッファー組成
pH: 7.2 - 7.4 Constituents: PBS
出荷温度
Blue Ice
短期保存温度
+4°C
長期保存温度
+4°C
保管に関する情報
Do Not Freeze

補足情報

This supplementary information is collated from multiple sources and compiled automatically.

Talin 1 (TLN1) is a cytoskeletal protein that mechanically links integrins to actin filaments in cells. It has a molecular weight of 270 kDa and is expressed in many tissues including muscle brain and kidney. Talin 1 contains a head domain and a tail domain which bind to integrins and actin respectively. By establishing these connections Talin 1 plays a role in cell adhesion spreading and migration. This protein also interacts with other adhesion-associated proteins reinforcing its structural function inside cells.
Biological function summary

Talin 1 is involved in facilitating integrin activation and focal adhesion formation. It is a component of a larger complex that includes proteins like vinculin and paxillin. These complexes are responsible for transmitting mechanical signals from the extracellular matrix into the intracellular environment initiating cellular responses like growth and differentiation. Talin 1 also modulates actin dynamics which contributes to changes in cell shape and motility. Its role in these processes highlights its significance in maintaining cellular architecture.

Pathways

Talin 1 participates in the integrin-mediated signaling pathway and the Rho GTPase signaling pathway. In the integrin pathway Talin 1 interacts with integrin beta subunits leading to integrin clustering and increased focal adhesion strength. In the Rho GTPase pathway Talin 1 influences actin cytoskeleton rearrangements through its interactions with proteins like RhoA and Rac1. These pathways are critical for processes such as cell proliferation and migration which are essential for proper tissue function and development.

Talin 1 has an association with cancer and cardiovascular diseases. Changes in Talin 1 expression and localization can contribute to altered cell adhesion and motility promoting cancer cell invasion and metastasis. Talin 1 has a relationship with the protein FAK (Focal Adhesion Kinase) in cancer progression. In cardiovascular diseases Talin 1 dysregulation affects cardiomyocyte adhesion and survival and it interacts with proteins such as vinculin to sustain cardiac tissue integrity. These connections highlight Talin 1's role in disease pathology.

製品プロトコール

For this product, it's our understanding that no specific protocols are required. You can visit:

ターゲットの情報

High molecular weight cytoskeletal protein concentrated at regions of cell-matrix and cell-cell contacts. Involved in connections of major cytoskeletal structures to the plasma membrane. With KANK1 co-organize the assembly of cortical microtubule stabilizing complexes (CMSCs) positioned to control microtubule-actin crosstalk at focal adhesions (FAs) rims.
See full target information Tln1

Abcam product promise

当社は、高品質な試薬を通じてお客様の研究を力強くサポートすることをお約束いたします。ご使用いただく各段階で、常にお客様をサポートできる体制を整えております。万が一、製品が期待通りに機能しない場合は、「Abcam Product Promise」による当社保証制度に基づき、安心してご利用いただけます。
保証に関する詳細については利用規約をご確認ください。

Please note: All products are 'FOR RESEARCH USE ONLY. NOT FOR USE IN DIAGNOSTIC OR THERAPEUTIC PROCEDURES'.

For licensing inquiries, please contact partnerships@abcam.com