JavaScript is disabled in your browser. Please enable JavaScript to view this website.
AB316020

Anti-TAGLN/Transgelin 抗体 [RM1076]

Anti-TAGLN/Transgelin antibody [RM1076]

  • BOND RX™ Validated
  • 20ul selling size
  • Recombinant
  • RabMAb
  • 詳細を見る

Be the first to review this product! Submit a review

|

(0 Publication)

Rabbit Recombinant Multiclonal TAGLN/Transgelin antibody. Suitable for IHC-P, IHC-Fr and reacts with Human, Mouse, Rat samples.

別名を表示する

SM22, WS3-10, TAGLN, Transgelin, 22 kDa actin-binding protein, Protein WS3-10, Smooth muscle protein 22-alpha, SM22-alpha

10 Images
Immunohistochemistry (Formalin/PFA-fixed paraffin-embedded sections) - Anti-TAGLN/Transgelin antibody [RM1076] (AB316020)
  • IHC-P

Supplier Data

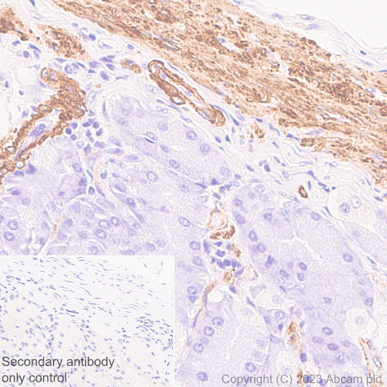
Immunohistochemistry (Formalin/PFA-fixed paraffin-embedded sections) - Anti-TAGLN/Transgelin antibody [RM1076] (AB316020)

Immunohistochemical analysis of paraffin-embedded Human stomach tissue labeling TAGLN/Transgelin with ab316020 at 1/5000 (0.103 ug/ml) dilution, followed by a ready to use LeicaDS9800 (Bond™ Polymer Refine Detection).

Positive staining on smooth muscle of human stomach.
The section was incubated with ab316020 for 30 mins at room temperature.
The immunostaining was performed on a Leica Biosystems BOND® RX instrument.

Counterstained with Hematoxylin.

Secondary antibody only control : Secondary antibody is a ready to use LeicaDS9800 (Bond™ Polymer Refine Detection).

Immunohistochemistry (Formalin/PFA-fixed paraffin-embedded sections) - Anti-TAGLN/Transgelin antibody [RM1076] (AB316020)
  • IHC-P

Supplier Data

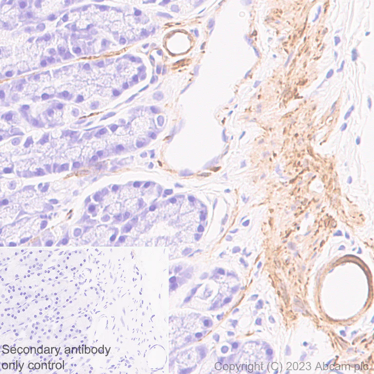
Immunohistochemistry (Formalin/PFA-fixed paraffin-embedded sections) - Anti-TAGLN/Transgelin antibody [RM1076] (AB316020)

Immunohistochemical analysis of paraffin-embedded Mouse colon tissue labeling TAGLN/Transgelin with ab316020 at 1/5000 (0.103 ug/ml) dilution, followed by a ready to use LeicaDS9800 (Bond™ Polymer Refine Detection).

Positive staining on smooth muscle of mouse colon.
The section was incubated with ab316020 for 30 mins at room temperature.
The immunostaining was performed on a Leica Biosystems BOND® RX instrument.

Counterstained with Hematoxylin.

Secondary antibody only control : Secondary antibody is a ready to use LeicaDS9800 (Bond™ Polymer Refine Detection).

Immunohistochemistry (Formalin/PFA-fixed paraffin-embedded sections) - Anti-TAGLN/Transgelin antibody [RM1076] (AB316020)
  • IHC-P

Supplier Data

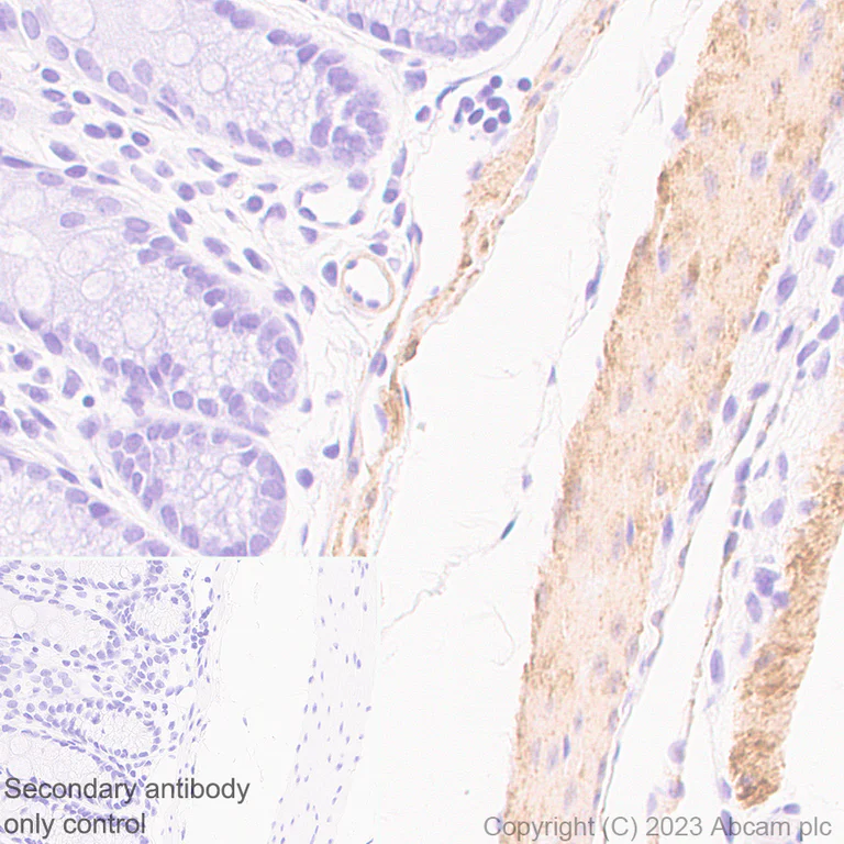
Immunohistochemistry (Formalin/PFA-fixed paraffin-embedded sections) - Anti-TAGLN/Transgelin antibody [RM1076] (AB316020)

Immunohistochemical analysis of paraffin-embedded rat stomach tissue labeling TAGLN/Transgelin with ab316020 at 1/5000 (0.103 ug/ml) dilution, followed by a ready to use LeicaDS9800 (Bond™ Polymer Refine Detection).

Positive staining on smooth muscle of rat stomach.
The section was incubated with ab316020 for 30 mins at room temperature.
The immunostaining was performed on a Leica Biosystems BOND® RX instrument.

Counterstained with Hematoxylin.

Secondary antibody only control : Secondary antibody is a ready to use LeicaDS9800 (Bond™ Polymer Refine Detection).

Immunohistochemistry (Frozen sections) - Anti-TAGLN/Transgelin antibody [RM1076] (AB316020)
  • IHC-Fr

Supplier Data

Immunohistochemistry (Frozen sections) - Anti-TAGLN/Transgelin antibody [RM1076] (AB316020)

Immunohistochemical analysis of 4% PFA-fixed, 0.2% Triton X-100 permeabilized frozen Rat stomach (fresh) tissue labeling TAGLN/Transgelin with ab316020 at 1/50 (10.26 ug/ml) dilution followed by ab150081 Goat Anti-Rabbit IgG H&L (Alexa Fluor® 488) preadsorbed at 1/1000 (2 ug/mL) dilution (Green).

Confocal image showing positive staining on smooth muscle of rat stomach. The nuclear counterstain was DAPI (Blue). The section was incubated with ab316020 for 60 mins at room temperature. The section was then mounted using Fluoromount®.The immunostaining was performed on a Leica Biosystems BOND® RX instrument. Image was taken with a confocal microscope (Leica-Microsystems, TCS SP8).

Secondary antibody control : Secondary antibody is ab150081 Goat Anti-Rabbit IgG H&L (Alexa Fluor® 488) preadsorbedat 1/1000 (2 ug/mL) dilution.

Immunohistochemistry (Frozen sections) - Anti-TAGLN/Transgelin antibody [RM1076] (AB316020)
  • IHC-Fr

Supplier Data

Immunohistochemistry (Frozen sections) - Anti-TAGLN/Transgelin antibody [RM1076] (AB316020)

Immunohistochemical analysis of 4% PFA-fixed, 0.2% Triton X-100 permeabilized frozen Mouse colon (fresh) tissue labeling TAGLN/Transgelin with ab316020 at 1/50 (10.26 ug/ml) dilution followed by ab150081 Goat Anti-Rabbit IgG H&L (Alexa Fluor® 488) preadsorbed at 1/1000 (2 ug/mL) dilution (Green).

Confocal image showing positive staining on smooth muscle of mouse colon. The nuclear counterstain was DAPI (Blue). The section was incubated with ab316020 for 60 mins at room temperature. The section was then mounted using Fluoromount®.The immunostaining was performed on a Leica Biosystems BOND® RX instrument. Image was taken with a confocal microscope (Leica-Microsystems, TCS SP8).

Secondary antibody control : Secondary antibody is ab150081 Goat Anti-Rabbit IgG H&L (Alexa Fluor® 488) preadsorbedat 1/1000 (2 ug/mL) dilution.

Immunohistochemistry (Formalin/PFA-fixed paraffin-embedded sections) - Anti-TAGLN/Transgelin antibody [RM1076] (AB316020)
  • IHC-P

Supplier Data

Immunohistochemistry (Formalin/PFA-fixed paraffin-embedded sections) - Anti-TAGLN/Transgelin antibody [RM1076] (AB316020)

Immunohistochemical analysis of paraffin-embedded Mouse skeletal muscle tissue labeling TAGLN/Transgelin with ab316020 at 1/5000 (0.103 ug/ml) dilution, followed by a ready to use LeicaDS9800 (Bond™ Polymer Refine Detection).

Negative control : no staining on mouse skeletal muscle.
The section was incubated with ab316020 for 30 mins at room temperature.
The immunostaining was performed on a Leica Biosystems BOND® RX instrument.

Counterstained with Hematoxylin.

Secondary antibody only control : Secondary antibody is a ready to use LeicaDS9800 (Bond™ Polymer Refine Detection).

Immunohistochemistry (Frozen sections) - Anti-TAGLN/Transgelin antibody [RM1076] (AB316020)
  • IHC-Fr

Supplier Data

Immunohistochemistry (Frozen sections) - Anti-TAGLN/Transgelin antibody [RM1076] (AB316020)

Immunohistochemical analysis of 4% PFA-fixed, 0.2% Triton X-100 permeabilized frozen Rat skeletal muscle (fresh) tissue labeling TAGLN/Transgelin with ab316020 at 1/50 (10.26 ug/ml) dilution followed by ab150081 Goat Anti-Rabbit IgG H&L (Alexa Fluor® 488) preadsorbed at 1/1000 (2 ug/mL) dilution (Green).

Negative control : confocal image showing no staining on rat skeletal muscle. The nuclear counterstain was DAPI (Blue). The section was incubated with ab316020 for 60 mins at room temperature. The section was then mounted using Fluoromount®.The immunostaining was performed on a Leica Biosystems BOND® RX instrument. Image was taken with a confocal microscope (Leica-Microsystems, TCS SP8).

Secondary antibody control : Secondary antibody is ab150081 Goat Anti-Rabbit IgG H&L (Alexa Fluor® 488) preadsorbedat 1/1000 (2 ug/mL) dilution.

Immunohistochemistry (Frozen sections) - Anti-TAGLN/Transgelin antibody [RM1076] (AB316020)
  • IHC-Fr

Supplier Data

Immunohistochemistry (Frozen sections) - Anti-TAGLN/Transgelin antibody [RM1076] (AB316020)

Immunohistochemical analysis of 4% PFA-fixed, 0.2% Triton X-100 permeabilized frozen Mouse skeletal muscle (fresh) tissue labeling TAGLN/Transgelin with ab316020 at 1/50 (10.26 ug/ml) dilution followed by ab150081 Goat Anti-Rabbit IgG H&L (Alexa Fluor® 488) preadsorbed at 1/1000 (2 ug/mL) dilution (Green).

Negative control : confocal image showing no staining on mouse skeletal muscle. The nuclear counterstain was DAPI (Blue). The section was incubated with ab316020 for 60 mins at room temperature. The section was then mounted using Fluoromount®.The immunostaining was performed on a Leica Biosystems BOND® RX instrument. Image was taken with a confocal microscope (Leica-Microsystems, TCS SP8).

Secondary antibody control : Secondary antibody is ab150081 Goat Anti-Rabbit IgG H&L (Alexa Fluor® 488) preadsorbedat 1/1000 (2 ug/mL) dilution.

Immunohistochemistry (Formalin/PFA-fixed paraffin-embedded sections) - Anti-TAGLN/Transgelin antibody [RM1076] (AB316020)
  • IHC-P

Supplier Data

Immunohistochemistry (Formalin/PFA-fixed paraffin-embedded sections) - Anti-TAGLN/Transgelin antibody [RM1076] (AB316020)

Immunohistochemical analysis of paraffin-embedded Rat skeletal muscle tissue labeling TAGLN/Transgelin with ab316020 at 1/5000 (0.103 ug/ml) dilution, followed by a ready to use LeicaDS9800 (Bond™ Polymer Refine Detection).

Negative control : no staining on rat skeletal muscle.
The section was incubated with ab316020 for 30 mins at room temperature.
The immunostaining was performed on a Leica Biosystems BOND® RX instrument.

Counterstained with Hematoxylin.

Secondary antibody only control : Secondary antibody is a ready to use LeicaDS9800 (Bond™ Polymer Refine Detection).

Immunohistochemistry (Formalin/PFA-fixed paraffin-embedded sections) - Anti-TAGLN/Transgelin antibody [RM1076] (AB316020)
  • IHC-P

Supplier Data

Immunohistochemistry (Formalin/PFA-fixed paraffin-embedded sections) - Anti-TAGLN/Transgelin antibody [RM1076] (AB316020)

Immunohistochemical analysis of paraffin-embedded Human skeletal muscle tissue labeling TAGLN/Transgelin with ab316020 at 1/5000 (0.103 ug/ml) dilution, followed by a ready to use LeicaDS9800 (Bond™ Polymer Refine Detection).

Negative control : no staining on human skeletal muscle.
The section was incubated with ab316020 for 30 mins at room temperature.
The immunostaining was performed on a Leica Biosystems BOND® RX instrument.

Counterstained with Hematoxylin.

Secondary antibody only control : Secondary antibody is a ready to use LeicaDS9800 (Bond™ Polymer Refine Detection).

Key facts

宿主種

Rabbit

クローン性

Multiclonal

クローン番号

RM1076

アイソタイプ

IgG

キャリアフリー

No

交差種

Human, Mouse, Rat

アプリケーション

IHC-P, IHC-Fr

applications

免疫原

The exact immunogen used to generate this antibody is proprietary information.

Reactivity data

{ "title": "Reactivity Data", "filters": { "stats": ["", "Species", "Dilution Info", "Notes"], "tabs": { "all-applications": {"fullname" : "All Applications", "shortname": "All Applications"}, "FlowCytIntra" : {"fullname" : "Flow Cytometry (Intracellular)", "shortname":"Flow Cyt (Intra)"}, "ICCIF" : {"fullname" : "Immunocytochemistry/ Immunofluorescence", "shortname":"ICC/IF"}, "IHCP" : {"fullname" : "Immunohistochemistry (Formalin/PFA-fixed paraffin-embedded sections)", "shortname":"IHC-P"}, "IHCFr" : {"fullname" : "Immunohistochemistry (Frozen sections)", "shortname":"IHC-Fr"}, "WB" : {"fullname" : "Western blot", "shortname":"WB"} }, "product-promise": { "all": "all", "testedAndGuaranteed": "tested", "guaranteed": "expected", "predicted": "predicted", "notRecommended": "not-recommended" } }, "values": { "Human": { "FlowCytIntra-species-checked": "notRecommended", "FlowCytIntra-species-dilution-info": "", "FlowCytIntra-species-notes": "<p></p>", "ICCIF-species-checked": "notRecommended", "ICCIF-species-dilution-info": "", "ICCIF-species-notes": "<p></p>", "IHCP-species-checked": "testedAndGuaranteed", "IHCP-species-dilution-info": "1/5000", "IHCP-species-notes": "<p></p>", "IHCFr-species-checked": "guaranteed", "IHCFr-species-dilution-info": "", "IHCFr-species-notes": "", "WB-species-checked": "notRecommended", "WB-species-dilution-info": "", "WB-species-notes": "<p></p>" }, "Mouse": { "FlowCytIntra-species-checked": "notRecommended", "FlowCytIntra-species-dilution-info": "", "FlowCytIntra-species-notes": "<p></p>", "ICCIF-species-checked": "notRecommended", "ICCIF-species-dilution-info": "", "ICCIF-species-notes": "<p></p>", "IHCP-species-checked": "testedAndGuaranteed", "IHCP-species-dilution-info": "1/5000", "IHCP-species-notes": "<p></p>", "IHCFr-species-checked": "testedAndGuaranteed", "IHCFr-species-dilution-info": "1/50", "IHCFr-species-notes": "<p></p>", "WB-species-checked": "notRecommended", "WB-species-dilution-info": "", "WB-species-notes": "<p></p>" }, "Rat": { "FlowCytIntra-species-checked": "notRecommended", "FlowCytIntra-species-dilution-info": "", "FlowCytIntra-species-notes": "", "ICCIF-species-checked": "notRecommended", "ICCIF-species-dilution-info": "", "ICCIF-species-notes": "", "IHCP-species-checked": "testedAndGuaranteed", "IHCP-species-dilution-info": "1/5000", "IHCP-species-notes": "<p></p>", "IHCFr-species-checked": "testedAndGuaranteed", "IHCFr-species-dilution-info": "1/50", "IHCFr-species-notes": "<p></p>", "WB-species-checked": "notRecommended", "WB-species-dilution-info": "", "WB-species-notes": "<p></p>" } } }

製品の詳細

出荷温度及び保存条件

製品の状態
Liquid
精製方法
Affinity purification Protein A
バッファー組成
pH: 7.2 - 7.4 Preservative: 0.01% Sodium azide Constituents: PBS, 40% Glycerol (glycerin, glycerine), 0.05% BSA
出荷温度
Blue Ice
短期保存期間
1-2 weeks
短期保存温度
+4°C
長期保存温度
-20°C
分注に関する情報
Upon delivery aliquot
保管に関する情報
Avoid freeze / thaw cycle

補足情報

This supplementary information is collated from multiple sources and compiled automatically.

TAGLN also known as Transgelin or SM22-alpha is a protein with a molecular weight of approximately 22 kDa. Structurally it belongs to the calponin family and contains an ACT domain which is critical for its actin-binding ability. It is expressed abundantly in smooth muscle cells where it stabilizes cytoskeletal dynamics by interacting with actin filaments. TAGLN also shows expression in fibroblasts and myofibroblasts supporting structural integrity and cellular movement.
Biological function summary

The regulatory involvement of TAGLN in smooth muscle contraction influences cellular activities essential for vascular function. This protein modulates remodeling and differentiation within smooth muscle cells. It can associate with actin and calponin to form complexes that regulate the stability of cytoskeletal structures ensuring effective cellular responses to mechanical stimuli. By linking signal transduction to cytoskeletal mechanics TAGLN facilitates the maintenance of cell shape and tension.

Pathways

TAGLN plays a role in the regulation of the RhoA/Rho kinase pathway contributing to actin cytoskeleton organization and smooth muscle contraction. Additionally it is involved in the WNT signaling pathway influencing cell proliferation and differentiation. In these pathways TAGLN works with proteins like RhoA and beta-catenin to transmit signals from the extracellular environment to the nucleus impacting gene expression and cellular responses.

Disruptions in TAGLN expression associate with vascular diseases and certain cancers. Downregulation or altered expression patterns can lead to smooth muscle cell dysfunction contributing to atherosclerosis. Similarly TAGLN interacts with proteins such as fibronectin and MMP2 in cancer where its altered expression could promote metastasis and tumor progression. Understanding these connections highlights TAGLN's potential as a target for therapeutic interventions in these diseases.

製品プロトコール

For this product, it's our understanding that no specific protocols are required. You can visit:

ターゲットの情報

Actin cross-linking/gelling protein (By similarity). Involved in calcium interactions and contractile properties of the cell that may contribute to replicative senescence.
See full target information TAGLN

Abcam product promise

当社は、高品質な試薬を通じてお客様の研究を力強くサポートすることをお約束いたします。ご使用いただく各段階で、常にお客様をサポートできる体制を整えております。万が一、製品が期待通りに機能しない場合は、「Abcam Product Promise」による当社保証制度に基づき、安心してご利用いただけます。
保証に関する詳細については利用規約をご確認ください。

関連製品

Select an associated product type
Alternative Version
Primary Antibodies

AB316021

Anti-TAGLN/Transgelin antibody [RM1076] - BSA and Azide free

primary-antibodies

tagln-transgelin-antibody-rm1076-bsa-and-azide-free-ab316021

0

(0 reviews)

Please note: All products are 'FOR RESEARCH USE ONLY. NOT FOR USE IN DIAGNOSTIC OR THERAPEUTIC PROCEDURES'.

For licensing inquiries, please contact partnerships@abcam.com