JavaScript is disabled in your browser. Please enable JavaScript to view this website.
AB308617

Anti-Synaptogyrin 1 抗体 [EPR25081-18]

Anti-Synaptogyrin 1 antibody [EPR25081-18]

  • BOND RX™ Validated
  • 20ul selling size
  • RabMAb
  • Recombinant
  • 詳細を見る

Be the first to review this product! Submit a review

|

(0 Publication)

Rabbit Recombinant Monoclonal Synaptogyrin 1 antibody. Suitable for WB, IHC-P, IP, ICC/IF, Flow Cyt (Intra) and reacts with Recombinant fragment - Human, Human, Mouse, Rat samples.

別名を表示する

Synaptogyrin-1, SYNGR1

12 Images
Immunohistochemistry (Formalin/PFA-fixed paraffin-embedded sections) - Anti-Synaptogyrin 1 antibody [EPR25081-18] (AB308617)
  • IHC-P

Supplier Data

Immunohistochemistry (Formalin/PFA-fixed paraffin-embedded sections) - Anti-Synaptogyrin 1 antibody [EPR25081-18] (AB308617)

Immunohistochemical analysis of paraffin-embedded Human hypothalamus tissue labelling Synaptogyrin 1 with ab308617 at 1/5000 (0.1 ug/ml) followed by a ready to use LeicaDS9800 (Bond™ Polymer Refine Detection). Cytoplasmic staining on human hypothalamus. The section was incubated with ab308617 for 10 mins at room temperature. The immunostaining was performed on a Leica Biosystems BOND® RX instrument. Incubate slides with 3% Hydrogen Peroxide for 10 mins at room temperature after secondary antibody incubation to reduce the background. Counterstained with Hematoxylin. Secondary antibody only control : Secondary antibody is a ready to use LeicaDS9800 (Bond™ Polymer Refine Detection). Heat mediated antigen retrieval was performed with Tris-EDTA buffer (pH 9.0, Epitope Retrieval Solution2) for 20 mins

Immunohistochemistry (Formalin/PFA-fixed paraffin-embedded sections) - Anti-Synaptogyrin 1 antibody [EPR25081-18] (AB308617)
  • IHC-P

Supplier Data

Immunohistochemistry (Formalin/PFA-fixed paraffin-embedded sections) - Anti-Synaptogyrin 1 antibody [EPR25081-18] (AB308617)

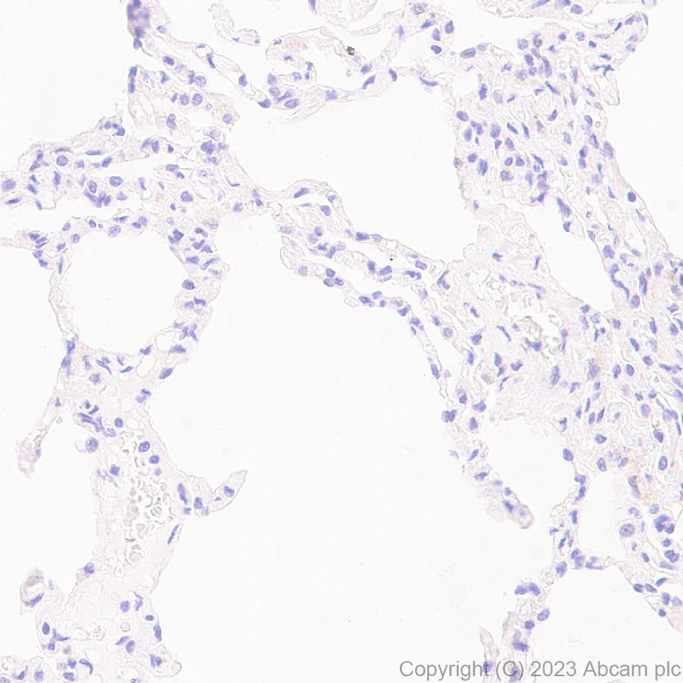
Immunohistochemical analysis of paraffin-embedded Human lung tissue labelling Synaptogyrin 1 with ab308617 at 1/5000 (0.1 ug/ml) followed by a ready to use LeicaDS9800 (Bond™ Polymer Refine Detection). Negative control : No staining on human lung. The section was incubated with ab308617 for 10 mins at room temperature. The immunostaining was performed on a Leica Biosystems BOND® RX instrument. Incubate slides with 3% Hydrogen Peroxide for 10 mins at room temperature after secondary antibody incubation to reduce the background. Counterstained with Hematoxylin. Secondary antibody only control : Secondary antibody is a ready to use LeicaDS9800 (Bond™ Polymer Refine Detection). Heat mediated antigen retrieval was performed with Tris-EDTA buffer (pH 9.0, Epitope Retrieval Solution2) for 20 mins

Immunohistochemistry (Formalin/PFA-fixed paraffin-embedded sections) - Anti-Synaptogyrin 1 antibody [EPR25081-18] (AB308617)
  • IHC-P

Supplier Data

Immunohistochemistry (Formalin/PFA-fixed paraffin-embedded sections) - Anti-Synaptogyrin 1 antibody [EPR25081-18] (AB308617)

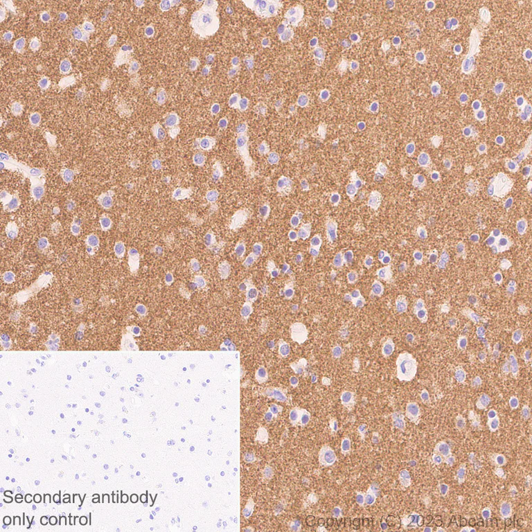
Immunohistochemical analysis of paraffin-embedded Human cerebrum tissue labelling Synaptogyrin 1 with ab308617 at 1/5000 (0.1 ug/ml) followed by a ready to use LeicaDS9800 (Bond™ Polymer Refine Detection). Cytoplasmic staining on human cerebrum (PMID : 10595519). The section was incubated with ab308617 for 10 mins at room temperature. The immunostaining was performed on a Leica Biosystems BOND® RX instrument. Incubate slides with 3% Hydrogen Peroxide for 10 mins at room temperature after secondary antibody incubation to reduce the background. Counterstained with Hematoxylin. Secondary antibody only control : Secondary antibody is a ready to use LeicaDS9800 (Bond™ Polymer Refine Detection). Heat mediated antigen retrieval was performed with Tris-EDTA buffer (pH 9.0, Epitope Retrieval Solution2) for 20 mins

Immunoprecipitation - Anti-Synaptogyrin 1 antibody [EPR25081-18] (AB308617)
  • IP

Supplier Data

Immunoprecipitation - Anti-Synaptogyrin 1 antibody [EPR25081-18] (AB308617)

Synaptogyrin 1 was immunoprecipitated from 0.35 mg Human hypothalamus tissue lysate with ab308617 at 1/30 dilution (2ug in 0.35mg lysates). Western blot was performed on the immunoprecipitate using ab308617 at 1/1000 dilution. VeriBlot for IP secondary antibody (HRP) (ab131366) was used at 1/5000 dilution.

Lane 1 : Human hypothalamus tissue lysate
Lane 2 : ab308617 IP in Human hypothalamus tissue lysate
Lane 3 : Rabbit monoclonal IgG (ab172730) instead of ab308617 in human hypothalamus tissue lysate

Blocking and dilution buffer and concentration : 5% NFDM/TBST.

Exposure time : 1 second

All lanes:

Immunoprecipitation - Anti-Synaptogyrin 1 antibody [EPR25081-18] (ab308617) at 1/1000 dilution

All lanes:

Human hypothalamus tissue lysate at 10 µg

Secondary

All lanes:

Immunoprecipitation - VeriBlot for IP Detection Reagent (HRP) (<a href='/products/reagents/veriblot-for-ip-detection-reagent-hrp-ab131366'>ab131366</a>) at 1/5000 dilution

Observed band size: 26 kDa

false

Exposure time: 1s

Flow Cytometry (Intracellular) - Anti-Synaptogyrin 1 antibody [EPR25081-18] (AB308617)
  • Flow Cyt (Intra)

Supplier Data

Flow Cytometry (Intracellular) - Anti-Synaptogyrin 1 antibody [EPR25081-18] (AB308617)

Flow cytometric analysis of 4% paraformaldehyde fixed 90% methanol permeabilized Rat primary neuron cells labelling Synaptogyrin 1 with ab308617 at 1/500 dilution (0.1 ug)/Right (Red) compared with a Rabbit monoclonal IgG (ab172730) / Left isotype control and an unlabelled control (cells without incubation with primary antibody and secondary antibody) (Blue). A Goat Anti-Rabbit IgG (Alexa Fluor® 488, ab150081) at 1/5000 dilution was used as the secondary antibody.

Flow Cytometry (Intracellular) - Anti-Synaptogyrin 1 antibody [EPR25081-18] (AB308617)
  • Flow Cyt (Intra)

Supplier Data

Flow Cytometry (Intracellular) - Anti-Synaptogyrin 1 antibody [EPR25081-18] (AB308617)

Flow cytometric analysis of 4% paraformaldehyde fixed 90% methanol permeabilized Mouse primary neuron cells labelling Synaptogyrin 1 with ab308617 at 1/500 dilution (0.1 ug)/Right (Red) compared with a Rabbit monoclonal IgG (ab172730) / Left isotype control and an unlabelled control (cells without incubation with primary antibody and secondary antibody) (Blue). A Goat Anti-Rabbit IgG (Alexa Fluor® 488, ab150081) at 1/5000 dilution was used as the secondary antibody.

Immunocytochemistry/ Immunofluorescence - Anti-Synaptogyrin 1 antibody [EPR25081-18] (AB308617)
  • ICC/IF

Supplier Data

Immunocytochemistry/ Immunofluorescence - Anti-Synaptogyrin 1 antibody [EPR25081-18] (AB308617)

Immunofluorescent analysis of 4% Paraformaldehyde-fixed, 0.1% TritonX-100 permeabilized rat primary neural/glia cell cells labelling Synaptogyrin 1 with ab308617 at 1/100 (4.985 ug/ml) dilution, followed by ab150081 Goat Anti-Rabbit IgG H&L (Alexa Fluor® 488) preadsorbed antibody at 1/1000 2 ug/ml dilution (Green). Confocal image showing positive staining in rat primary neural/glia cell. Confocal scanning Z step was set as 0.3 µm followed by image processing with maximum Z projection. Image was taken with a confocal microscope (Leica-Microsystems, TCS SP8). ab11267 Anti-MAP2 mouse monoclonal antibody was used to counterstain tubulin at 1/500 4ug/ml dilution (Red). The Nuclear counterstain was DAPI (Blue). Secondary antibody only control : Secondary antibody is ab150081 Goat Anti-Rabbit IgG H&L (Alexa Fluor® 488) preadsorbed at 1/1000 2 ug/ml dilution.

Immunocytochemistry/ Immunofluorescence - Anti-Synaptogyrin 1 antibody [EPR25081-18] (AB308617)
  • ICC/IF

Supplier Data

Immunocytochemistry/ Immunofluorescence - Anti-Synaptogyrin 1 antibody [EPR25081-18] (AB308617)

Immunofluorescent analysis of 4% Paraformaldehyde-fixed, 0.1% TritonX-100 permeabilized mouse primary neural/glia cell cells labelling Synaptogyrin 1 with ab308617 at 1/100 (4.985 ug/ml) dilution, followed by ab150081 Goat Anti-Rabbit IgG H&L (Alexa Fluor® 488) preadsorbed antibody at 1/1000 2 ug/ml dilution (Green). Confocal image showing positive staining in mouse primary neural/glia cell. Confocal scanning Z step was set as 0.3 µm followed by image processing with maximum Z projection. Image was taken with a confocal microscope (Leica-Microsystems, TCS SP8). ab11267 Anti-MAP2 mouse monoclonal antibody was used to counterstain tubulin at 1/500 4ug/ml dilution (Red). The Nuclear counterstain was DAPI (Blue). Secondary antibody only control : Secondary antibody is ab150081 Goat Anti-Rabbit IgG H&L (Alexa Fluor® 488) preadsorbed at 1/1000 2 ug/ml dilution.

Immunohistochemistry (Formalin/PFA-fixed paraffin-embedded sections) - Anti-Synaptogyrin 1 antibody [EPR25081-18] (AB308617)
  • IHC-P

Supplier Data

Immunohistochemistry (Formalin/PFA-fixed paraffin-embedded sections) - Anti-Synaptogyrin 1 antibody [EPR25081-18] (AB308617)

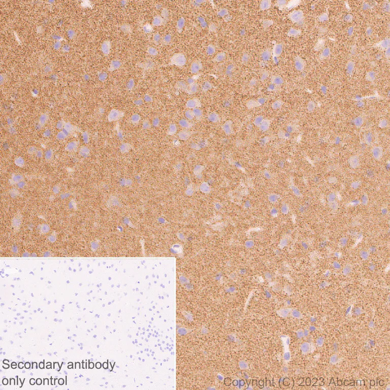
Immunohistochemical analysis of paraffin-embedded Mouse cerebrum tissue labelling Synaptogyrin 1 with ab308617 at 1/5000 (0.1 ug/ml) followed by a ready to use LeicaDS9800 (Bond™ Polymer Refine Detection). Cytoplasmic staining on mouse cerebrum.The section was incubated with ab308617 for 10 mins at room temperature. The immunostaining was performed on a Leica Biosystems BOND® RX instrument. Incubate slides with 3% Hydrogen Peroxide for 10 mins at room temperature after secondary antibody incubation to reduce the background. Counterstained with Hematoxylin. Secondary antibody only control : Secondary antibody is a ready to use LeicaDS9800 (Bond™ Polymer Refine Detection). Heat mediated antigen retrieval was performed with Tris-EDTA buffer (pH 9.0, Epitope Retrieval Solution2) for 20 mins

Immunohistochemistry (Formalin/PFA-fixed paraffin-embedded sections) - Anti-Synaptogyrin 1 antibody [EPR25081-18] (AB308617)
  • IHC-P

Supplier Data

Immunohistochemistry (Formalin/PFA-fixed paraffin-embedded sections) - Anti-Synaptogyrin 1 antibody [EPR25081-18] (AB308617)

Immunohistochemical analysis of paraffin-embedded Rat cerebrum tissue labelling Synaptogyrin 1 with ab308617 at 1/5000 (0.1 ug/ml) followed by a ready to use LeicaDS9800 (Bond™ Polymer Refine Detection). Cytoplasmic staining on rat cerebrum (PMID : 9446595). The section was incubated with ab308617 for 10 mins at room temperature. The immunostaining was performed on a Leica Biosystems BOND® RX instrument. Incubate slides with 3% Hydrogen Peroxide for 10 mins at room temperature after secondary antibody incubation to reduce the background. Counterstained with Hematoxylin. Secondary antibody only control : Secondary antibody is a ready to use LeicaDS9800 (Bond™ Polymer Refine Detection). Heat mediated antigen retrieval was performed with Tris-EDTA buffer (pH 9.0, Epitope Retrieval Solution2) for 20 mins

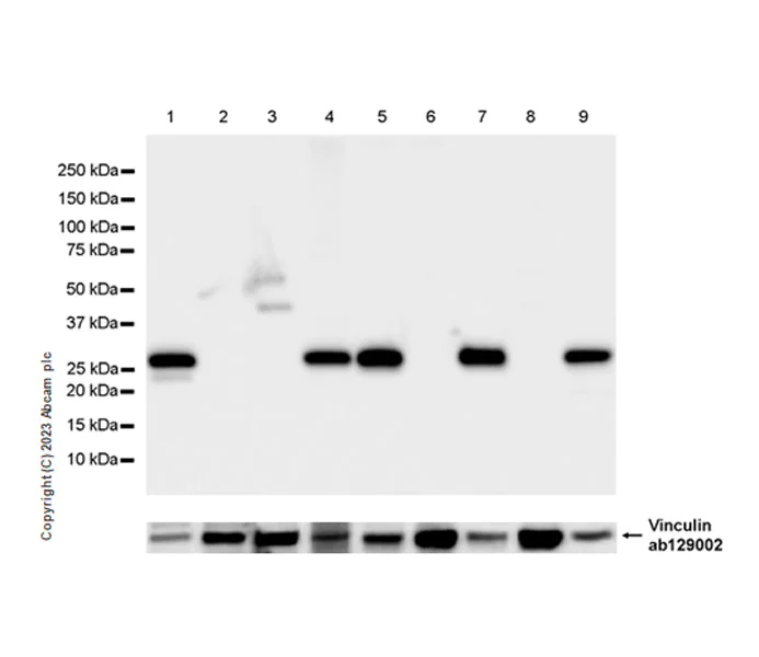
Western blot - Anti-Synaptogyrin 1 antibody [EPR25081-18] (AB308617)
  • WB

Supplier Data

Western blot - Anti-Synaptogyrin 1 antibody [EPR25081-18] (AB308617)

Blocking and diluting buffer and concentration : 5% NFDM/TBST. Negative control : lung, liver (PMID : 9446595). In Western blot, anti- Vinculin antibody (ab129002) loading control staining at 1/10, 000 dilution. Exposure time : 3 seconds

All lanes:

Western blot - Anti-Synaptogyrin 1 antibody [EPR25081-18] (ab308617) at 1/1000 dilution

Lane 1:

Human hypothalamus tissue lysate at 20 µg

Lane 2:

Human lung tissue lysate at 20 µg

Lane 3:

Human liver tissue lysate at 20 µg

Lane 4:

Mouse brain tissue lysate at 20 µg

Lane 5:

Mouse hypothalamus tissue lysate at 20 µg

Lane 6:

Mouse lung tissue lysate at 20 µg

Lane 7:

Rat brain tissue lysate at 20 µg

Lane 8:

Rat lung tissue lysate at 20 µg

Lane 9:

Rat hypothalamus tissue lysate at 20 µg

Secondary

Lanes 1 - 9:

Western blot - Goat Anti-Rabbit IgG H&L (HRP) (<a href='/products/secondary-antibodies/goat-rabbit-igg-h-l-hrp-ab97051'>ab97051</a>) at 1/2000 dilution

Lanes 1 - 9:

Goat Anti-Rabbit IgG (HRP) with minimal cross-reactivity with human IgG at 1/20000 dilution

Predicted band size: 25 kDa

Observed band size: 26 kDa

false

Exposure time: 3s

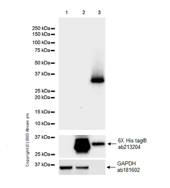
Western blot - Anti-Synaptogyrin 1 antibody [EPR25081-18] (AB308617)
  • WB

Supplier Data

Western blot - Anti-Synaptogyrin 1 antibody [EPR25081-18] (AB308617)

Blocking and diluting buffer and concentration : 5% NFDM/TBST. This antibody does not cross-react with human Synaptogyrin 2. In Western blot, anti-His antibody (ab213204) staining at 1/5000 dilution, anti-GAPDH antibody (ab181602) loading control staining at 1/200, 000 dilution. Exposure time : 10 seconds

All lanes:

Western blot - Anti-Synaptogyrin 1 antibody [EPR25081-18] (ab308617) at 1/1000 dilution

Lane 1:

HEK-293 (human embryonic kidney) transfected with an empty vector (vector control), containing a myc-His-tag®, whole cell lysate at 20 µg

Lane 2:

HEK-293 transfected with human Synaptogyrin 2 (WT) expression vector containing a myc-His-tag®, whole cell lysate at 20 µg

Lane 3:

His-tagged human Synaptogyrin 1 fragment at 10 ng

Secondary

All lanes:

Western blot - Goat Anti-Rabbit IgG H&L (HRP) (<a href='/products/secondary-antibodies/goat-rabbit-igg-h-l-hrp-ab97051'>ab97051</a>) at 1/100000 dilution

Predicted band size: 25 kDa

Observed band size: 30 kDa

false

Exposure time: 10s

関連する標識済み抗体及び組成の異なる製品 (1)

  • Carrier free

    Anti-Synaptogyrin 1 antibody [EPR25081-18] - BSA and Azide free

Key facts

宿主種

Rabbit

クローン性

Monoclonal

クローン番号

EPR25081-18

アイソタイプ

IgG

キャリアフリー

No

交差種

Human, Mouse, Rat

アプリケーション

Flow Cyt (Intra), IP, WB, ICC/IF, IHC-P

applications

免疫原

The exact immunogen used to generate this antibody is proprietary information.

Reactivity data

{ "title": "Reactivity Data", "filters": { "stats": ["", "Species", "Dilution Info", "Notes"], "tabs": { "all-applications": {"fullname" : "All Applications", "shortname": "All Applications"}, "WB" : {"fullname" : "Western blot", "shortname":"WB"}, "IHCP" : {"fullname" : "Immunohistochemistry (Formalin/PFA-fixed paraffin-embedded sections)", "shortname":"IHC-P"}, "IP" : {"fullname" : "Immunoprecipitation", "shortname":"IP"}, "ICCIF" : {"fullname" : "Immunocytochemistry/ Immunofluorescence", "shortname":"ICC/IF"}, "FlowCytIntra" : {"fullname" : "Flow Cytometry (Intracellular)", "shortname":"Flow Cyt (Intra)"}, "IHCFr" : {"fullname" : "Immunohistochemistry (Frozen sections)", "shortname":"IHC-Fr"} }, "product-promise": { "all": "all", "testedAndGuaranteed": "tested", "guaranteed": "expected", "predicted": "predicted", "notRecommended": "not-recommended" } }, "values": { "Human": { "WB-species-checked": "testedAndGuaranteed", "WB-species-dilution-info": "1/1000", "WB-species-notes": "<p></p>", "IHCP-species-checked": "testedAndGuaranteed", "IHCP-species-dilution-info": "1/5000", "IHCP-species-notes": "<p></p> Perform heat-mediated antigen retrieval with Tris/EDTA buffer pH 9.0 before commencing with IHC staining protocol.", "IP-species-checked": "testedAndGuaranteed", "IP-species-dilution-info": "1/30", "IP-species-notes": "<p></p>", "ICCIF-species-checked": "guaranteed", "ICCIF-species-dilution-info": "", "ICCIF-species-notes": "", "FlowCytIntra-species-checked": "guaranteed", "FlowCytIntra-species-dilution-info": "", "FlowCytIntra-species-notes": "", "IHCFr-species-checked": "notRecommended", "IHCFr-species-dilution-info": "", "IHCFr-species-notes": "" }, "Mouse": { "WB-species-checked": "testedAndGuaranteed", "WB-species-dilution-info": "1/1000", "WB-species-notes": "<p></p>", "IHCP-species-checked": "testedAndGuaranteed", "IHCP-species-dilution-info": "1/5000", "IHCP-species-notes": "<p></p> Perform heat-mediated antigen retrieval with Tris/EDTA buffer pH 9.0 before commencing with IHC staining protocol.", "IP-species-checked": "guaranteed", "IP-species-dilution-info": "", "IP-species-notes": "", "ICCIF-species-checked": "testedAndGuaranteed", "ICCIF-species-dilution-info": "1/100", "ICCIF-species-notes": "<p></p>", "FlowCytIntra-species-checked": "testedAndGuaranteed", "FlowCytIntra-species-dilution-info": "1/500", "FlowCytIntra-species-notes": "<p></p>", "IHCFr-species-checked": "notRecommended", "IHCFr-species-dilution-info": "", "IHCFr-species-notes": "<p></p>" }, "Rat": { "WB-species-checked": "testedAndGuaranteed", "WB-species-dilution-info": "1/1000", "WB-species-notes": "<p></p>", "IHCP-species-checked": "testedAndGuaranteed", "IHCP-species-dilution-info": "1/5000", "IHCP-species-notes": "<p></p> Perform heat-mediated antigen retrieval with Tris/EDTA buffer pH 9.0 before commencing with IHC staining protocol.", "IP-species-checked": "guaranteed", "IP-species-dilution-info": "", "IP-species-notes": "", "ICCIF-species-checked": "testedAndGuaranteed", "ICCIF-species-dilution-info": "1/100", "ICCIF-species-notes": "<p></p>", "FlowCytIntra-species-checked": "testedAndGuaranteed", "FlowCytIntra-species-dilution-info": "1/500", "FlowCytIntra-species-notes": "<p></p>", "IHCFr-species-checked": "notRecommended", "IHCFr-species-dilution-info": "", "IHCFr-species-notes": "<p></p>" }, "Recombinant fragment - Human": { "WB-species-checked": "testedAndGuaranteed", "WB-species-dilution-info": "1/1000", "WB-species-notes": "<p></p>", "IHCP-species-checked": "notRecommended", "IHCP-species-dilution-info": "", "IHCP-species-notes": "", "IP-species-checked": "notRecommended", "IP-species-dilution-info": "", "IP-species-notes": "", "ICCIF-species-checked": "notRecommended", "ICCIF-species-dilution-info": "", "ICCIF-species-notes": "", "FlowCytIntra-species-checked": "notRecommended", "FlowCytIntra-species-dilution-info": "", "FlowCytIntra-species-notes": "", "IHCFr-species-checked": "notRecommended", "IHCFr-species-dilution-info": "", "IHCFr-species-notes": "" } } }

製品の詳細

Patented technology
Our RabMAb® technology is a patented hybridoma-based technology for making rabbit monoclonal antibodies. For details on our patents, please refer to RabMAb® patents.

What are the advantages of a recombinant monoclonal antibody?
This product is a recombinant monoclonal antibody, which offers several advantages including:

  • - High batch-to-batch consistency and reproducibility
  • - Improved sensitivity and specificity
  • - Long-term security of supply
  • - Animal-free batch production

For more information, read more on recombinant antibodies.

出荷温度及び保存条件

製品の状態
Liquid
精製方法
Affinity purification Protein A
バッファー組成
pH: 7.2 - 7.4 Preservative: 0.01% Sodium azide Constituents: PBS, 40% Glycerol (glycerin, glycerine), 0.05% BSA
出荷温度
Blue Ice
短期保存期間
1-2 weeks
短期保存温度
+4°C
長期保存温度
-20°C
分注に関する情報
Upon delivery aliquot
保管に関する情報
Avoid freeze / thaw cycle

補足情報

This supplementary information is collated from multiple sources and compiled automatically.

Synaptogyrin 1 also known as SYG1 or Synaptogyrin-1 mechanically functions as an integral membrane protein involved in synaptic vesicle dynamics. It is a protein weighing approximately 29 kDa. Researchers have found SYG1 abundantly expressed within neural tissues particularly the presynaptic terminals of neurons. This protein shows involvement in the regulation of synaptic vesicle availability and neurotransmitter release implying its mechanical importance in synaptic function.
Biological function summary

Synaptogyrin 1 contributes to the modulation of synaptic vesicle cycling and neurotransmitter release. It participates in forming complexes that interact with other synaptic vesicle proteins likely supporting the organization and maintenance of synaptic vesicle pools. The presence of SYG1 in synaptic nerve terminals signifies its role in maintaining synaptic transmission efficiency and neuronal communication over synapses.

Pathways

Synaptogyrin 1 is linked to neurotransmission processes and synaptic vesicle recycling pathways. Researchers recognize its participation in the SNARE complex interplay important for vesicle fusion and neurotransmitter release. SYG1 associates with proteins like Synaptophysin and VAMP2 which all contribute to the maintenance of the synaptic vesicle life cycle ensuring proper communication between neurons.

Synaptogyrin 1 relates to neurological conditions such as schizophrenia and epilepsy. Misexpression or dysfunction of SYG1 disrupts synaptic signal transmission contributing to these disorders. Studies have shown it is associated with proteins such as NRG1 and DISC1 implicated in schizophrenia as well as alterations in glutamatergic pathways linked to epilepsy. Understanding its interaction and regulation could offer insights into therapeutic strategies for synaptic dysfunction-related diseases.

製品プロトコール

For this product, it's our understanding that no specific protocols are required. You can visit:

ターゲットの情報

May play a role in regulated exocytosis. Modulates the localization of synaptophysin/SYP into synaptic-like microvesicles and may therefore play a role in synaptic-like microvesicle formation and/or maturation (By similarity). Involved in the regulation of short-term and long-term synaptic plasticity (By similarity).
See full target information SYNGR1

Abcam product promise

当社は、高品質な試薬を通じてお客様の研究を力強くサポートすることをお約束いたします。ご使用いただく各段階で、常にお客様をサポートできる体制を整えております。万が一、製品が期待通りに機能しない場合は、「Abcam Product Promise」による当社保証制度に基づき、安心してご利用いただけます。
保証に関する詳細については利用規約をご確認ください。

Please note: All products are 'FOR RESEARCH USE ONLY. NOT FOR USE IN DIAGNOSTIC OR THERAPEUTIC PROCEDURES'.

For licensing inquiries, please contact partnerships@abcam.com