JavaScript is disabled in your browser. Please enable JavaScript to view this website.
AB228846

Anti-SWAP70 抗体 - C-terminal

Anti-SWAP70 antibody - C-terminal

  • JP Deleterious:医薬用外劇物

Be the first to review this product! Submit a review

|

(3 Publications)

Rabbit Polyclonal SWAP70 antibody. C-terminal. Suitable for WB, IHC-P, ICC/IF and reacts with Human, Mouse samples. Cited in 3 publications. Immunogen corresponding to Recombinant Fragment Protein within Human SWAP70.

別名を表示する

KIAA0640, HSPC321, SWAP70, Switch-associated protein 70, SWAP-70

3 Images
Immunocytochemistry/ Immunofluorescence - Anti-SWAP70 antibody - C-terminal (AB228846)
  • ICC/IF

Supplier Data

Immunocytochemistry/ Immunofluorescence - Anti-SWAP70 antibody - C-terminal (AB228846)

SK-N-SH (human neuroblastoma cell line) cells stained for SWAP70 (green) using ab228846 (1/500 dilution) in ICC/IF. Cells were fixed in 4% paraformaldehyde at RT for 15 minutes. Counterstain : Hoechst 33342 (blue).

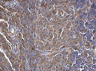
Immunohistochemistry (Formalin/PFA-fixed paraffin-embedded sections) - Anti-SWAP70 antibody - C-terminal (AB228846)
  • IHC-P

Supplier Data

Immunohistochemistry (Formalin/PFA-fixed paraffin-embedded sections) - Anti-SWAP70 antibody - C-terminal (AB228846)

Paraffin-embedded mouse spleen tissue stained for SWAP70 with ab228846 at 1/500 dilution in immunohistochemical analysis.

Western blot - Anti-SWAP70 antibody - C-terminal (AB228846)
  • WB

Supplier Data

Western blot - Anti-SWAP70 antibody - C-terminal (AB228846)

7.5% SDS-PAGE

All lanes:

Western blot - Anti-SWAP70 antibody - C-terminal (ab228846) at 1/10000 dilution

Lane 1:

Jurkat (human T cell leukemia cell line from peripheral blood) whole cell extracts at 30 µg

Lane 2:

Raji (human Burkitt's lymphoma cell line) whole cell extracts at 30 µg

Lane 3:

NCI-H1299 (human lung carcinoma cell line) whole cell extracts at 30 µg

Lane 4:

HEK-293T (human epithelial cell line from embryonic kidney transformed with large T antigen) whole cell extracts at 30 µg

Lane 5:

A431 (human epidermoid carcinoma cell line) whole cell extracts at 30 µg

Lane 6:

HeLa (human epithelial cell line from cervix adenocarcinoma) whole cell extracts at 30 µg

Lane 7:

HepG2 (human liver hepatocellular carcinoma cell line) whole cell extracts at 30 µg

Predicted band size: 69 kDa

true

Key facts

宿主種

Rabbit

クローン性

Polyclonal

アイソタイプ

IgG

キャリアフリー

No

交差種

Mouse, Human

アプリケーション

IHC-P, WB, ICC/IF

applications

免疫原

Recombinant Fragment Protein within Human SWAP70. The exact immunogen used to generate this antibody is proprietary information.

Q9UH65

Reactivity data

{ "title": "Reactivity Data", "filters": { "stats": ["", "Species", "Dilution Info", "Notes"], "tabs": { "all-applications": {"fullname" : "All Applications", "shortname": "All Applications"}, "WB" : {"fullname" : "Western blot", "shortname":"WB"}, "IHCP" : {"fullname" : "Immunohistochemistry (Formalin/PFA-fixed paraffin-embedded sections)", "shortname":"IHC-P"}, "ICCIF" : {"fullname" : "Immunocytochemistry/ Immunofluorescence", "shortname":"ICC/IF"} }, "product-promise": { "all": "all", "testedAndGuaranteed": "tested", "guaranteed": "expected", "predicted": "predicted", "notRecommended": "not-recommended" } }, "values": { "Human": { "WB-species-checked": "testedAndGuaranteed", "WB-species-dilution-info": "1/5000 - 1/20000", "WB-species-notes": "<p></p>", "IHCP-species-checked": "guaranteed", "IHCP-species-dilution-info": "", "IHCP-species-notes": "", "ICCIF-species-checked": "testedAndGuaranteed", "ICCIF-species-dilution-info": "1/100 - 1/1000", "ICCIF-species-notes": "<p></p>" }, "Mouse": { "WB-species-checked": "guaranteed", "WB-species-dilution-info": "", "WB-species-notes": "", "IHCP-species-checked": "testedAndGuaranteed", "IHCP-species-dilution-info": "1/100 - 1/1000", "IHCP-species-notes": "<p></p>", "ICCIF-species-checked": "guaranteed", "ICCIF-species-dilution-info": "", "ICCIF-species-notes": "" }, "Rat": { "WB-species-checked": "predicted", "WB-species-dilution-info": "", "WB-species-notes": "", "IHCP-species-checked": "predicted", "IHCP-species-dilution-info": "", "IHCP-species-notes": "", "ICCIF-species-checked": "predicted", "ICCIF-species-dilution-info": "", "ICCIF-species-notes": "" }, "Cow": { "WB-species-checked": "predicted", "WB-species-dilution-info": "", "WB-species-notes": "", "IHCP-species-checked": "predicted", "IHCP-species-dilution-info": "", "IHCP-species-notes": "", "ICCIF-species-checked": "predicted", "ICCIF-species-dilution-info": "", "ICCIF-species-notes": "" }, "Rhesus monkey": { "WB-species-checked": "predicted", "WB-species-dilution-info": "", "WB-species-notes": "", "IHCP-species-checked": "predicted", "IHCP-species-dilution-info": "", "IHCP-species-notes": "", "ICCIF-species-checked": "predicted", "ICCIF-species-dilution-info": "", "ICCIF-species-notes": "" } } }

出荷温度及び保存条件

製品の状態
Liquid
精製方法
Affinity purification Immunogen
バッファー組成
pH: 7 Preservative: 0.01% Thimerosal (merthiolate) Constituents: PBS, 20% Glycerol (glycerin, glycerine)
出荷温度
Blue Ice
短期保存期間
1-2 weeks
短期保存温度
+4°C
長期保存温度
-20°C
分注に関する情報
Upon delivery aliquot
保管に関する情報
Avoid freeze / thaw cycle

製品プロトコール

For this product, it's our understanding that no specific protocols are required. You can visit:

ターゲットの情報

Phosphatidylinositol 3,4,5-trisphosphate-dependent guanine nucleotide exchange factor (GEF) which, independently of RAS, transduces signals from tyrosine kinase receptors to RAC. It also mediates signaling of membrane ruffling. Regulates the actin cytoskeleton as an effector or adapter protein in response to agonist stimulated phosphatidylinositol (3,4)-bisphosphate production and cell protrusion (By similarity).
See full target information SWAP70

文献 (3)

Recent publications for all applications. Explore the full list and refine your search

Frontiers in oncology 12:977251 PubMed36727078

2023

Integrated analysis of genome-wide DNA methylation and cancer-associated fibroblasts identified prognostic biomarkers and immune checkpoint blockade in lower grade gliomas.

Applications

Unspecified application

Species

Unspecified reactive species

Jiawei Dong,Fang Wang,Xin Gao,Hongtao Zhao,Jiheng Zhang,Nan Wang,Zhihui Liu,Xiuwei Yan,Jiaqi Jin,Yixu Ba,Shuai Ma,Jianyang Du,Hang Ji,Shaoshan Hu

The Journal of cell biology 220: PubMed34287648

2021

The glycoprotein GP130 governs the surface presentation of the G protein-coupled receptor APLNR.

Applications

Unspecified application

Species

Unspecified reactive species

Kilian Trillet,Kathryn A Jacobs,Gwennan André-Grégoire,An Thys,Clément Maghe,Jonathan Cruard,Stéphane Minvielle,Sara Gonzalez Diest,Guillaume Montagnac,Nicolas Bidère,Julie Gavard

Gastric cancer : official journal of the International Gastric Cancer Association and the Japanese Gastric Cancer Association 23:449-463 PubMed31673844

2019

LBX2-AS1/miR-219a-2-3p/FUS/LBX2 positive feedback loop contributes to the proliferation of gastric cancer.

Applications

Unspecified application

Species

Unspecified reactive species

Zhen Yang,Xinhua Dong,Minglong Pu,Hongwei Yang,Weilong Chang,Feihong Ji,Tao Liu,Chongqing Wei,Xiefu Zhang,Xinguang Qiu
View all publications

Abcam product promise

当社は、高品質な試薬を通じてお客様の研究を力強くサポートすることをお約束いたします。ご使用いただく各段階で、常にお客様をサポートできる体制を整えております。万が一、製品が期待通りに機能しない場合は、「Abcam Product Promise」による当社保証制度に基づき、安心してご利用いただけます。
保証に関する詳細については利用規約をご確認ください。

Please note: All products are 'FOR RESEARCH USE ONLY. NOT FOR USE IN DIAGNOSTIC OR THERAPEUTIC PROCEDURES'.

For licensing inquiries, please contact partnerships@abcam.com