JavaScript is disabled in your browser. Please enable JavaScript to view this website.
AB254351

Anti-SV2A 抗体 [EPR23500-32]

Anti-SV2A antibody [EPR23500-32]

  • BOND RX™ Validated
  • 20ul selling size
  • Recombinant
  • Advanced Validation
  • RabMAb
  • 詳細を見る

Be the first to review this product! Submit a review

|

(5 Publications)

Anti-SV2A antibody [EPR23500-32] (ab254351) is a rabbit monoclonal antibody detecting SV2A in Western Blot, Flow Cytometry (Intra), IP, IHC-P, IHC-Fr, ICC/IF, Dot Blot. Suitable for Human, Mouse, Rat.

- Biophysical QC for unrivalled batch-batch consistency

別名を表示する

KIAA0736, PSEC0174, SV2A, Synaptic vesicle glycoprotein 2A

21 Images
Immunohistochemistry (Formalin/PFA-fixed paraffin-embedded sections) - Anti-SV2A antibody [EPR23500-32] (AB254351)
  • IHC-P

Unknown

Immunohistochemistry (Formalin/PFA-fixed paraffin-embedded sections) - Anti-SV2A antibody [EPR23500-32] (AB254351)

Immunohistochemical analysis of paraffin-embedded Human cerebrum tissue labeling SV2A with ab254351 at 1/1000 followed by a ready to use Rabbit specific IHC polymer detection kit HRP/DAB (ab209101). Cytoplasmic staining in human cerebrum (PMID : 16306227). The section was incubated with ab254351 for 30 mins at room temperature. The immunostaining was performed on a Leica Biosystems BOND® RX instrument. Counterstained with Hematoxylin.

Secondary antibody only control : Secondary antibody is a ready to use Rabbit specific IHC polymer detection kit HRP/DAB (ab209101).

Heat mediated antigen retrieval with Tris-EDTA buffer (pH 9.0, epitope retrieval solution2) for 20 mins.

Immunohistochemistry (Formalin/PFA-fixed paraffin-embedded sections) - Anti-SV2A antibody [EPR23500-32] (AB254351)
  • IHC-P

Lab

Immunohistochemistry (Formalin/PFA-fixed paraffin-embedded sections) - Anti-SV2A antibody [EPR23500-32] (AB254351)

Immunohistochemical analysis of paraffin-embedded human Alzheimer's brain tissue* labelling SV2A with ab254351 at 0.1ug/ml followed by a ready to use LeicaDS9800 (Bond Polymer Refine Detection).

Positive staining in human Alzheimer's brain.

The section was incubated with ab254351 for 30 mins at room temperature. The immunostaining was performed on a Leica Biosystems BOND® RX instrument. Counterstained with Hematoxylin.

Secondary antibody only control : Secondary antibody is a ready to use LeicaDS9800 (Bond Polymer Refine Detection).

Heat mediated antigen retrieval with sodium citrate buffer (pH 6.0 epitope retrieval solution1) for 20 mins.

*Tissue obtained from the Human Research Tissue Bank, supported by the NIHR Cambridge Biomedical Research Centre.

Immunohistochemistry (Formalin/PFA-fixed paraffin-embedded sections) - Anti-SV2A antibody [EPR23500-32] (AB254351)
  • IHC-P

Unknown

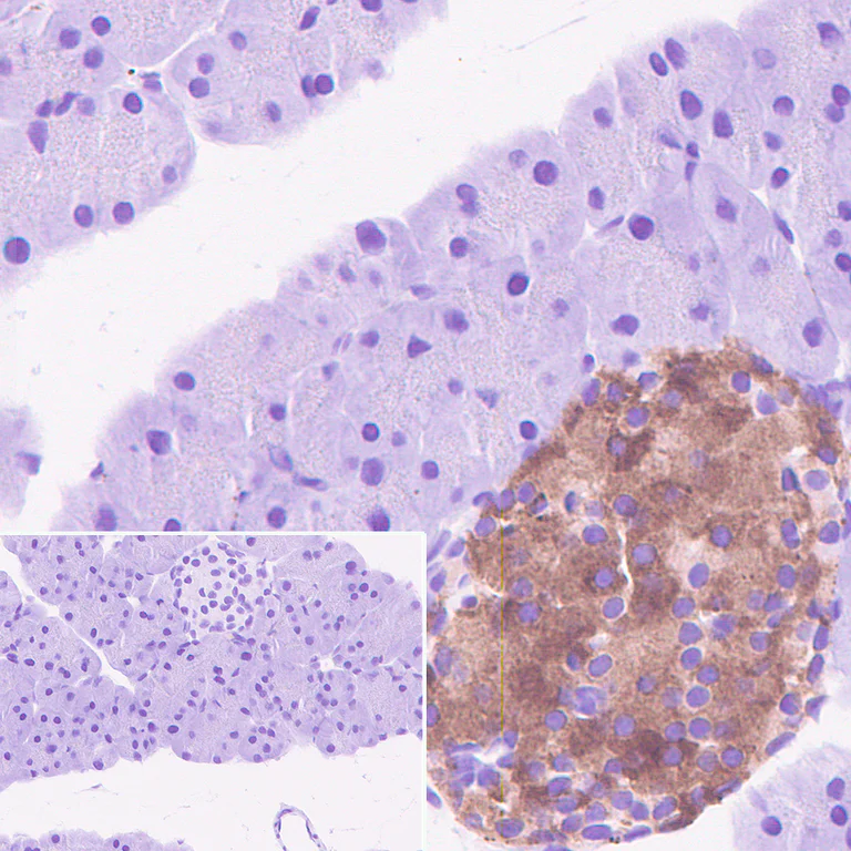
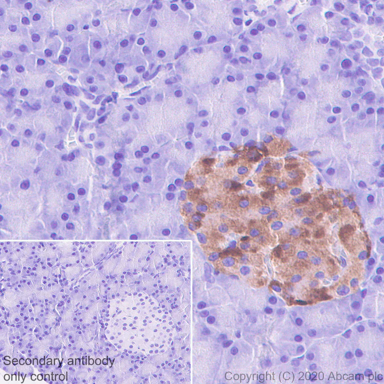
Immunohistochemistry (Formalin/PFA-fixed paraffin-embedded sections) - Anti-SV2A antibody [EPR23500-32] (AB254351)

Immunohistochemical analysis of paraffin-embedded Human pancreas tissue labeling SV2A with ab254351 at 1/1000 dilution followed by a ready to use Rabbit specific IHC polymer detection kit HRP/DAB (ab209101). Cytoplasmic staining in human pancreatic islet (PMID : 16306227). The section was incubated with ab254351 for 30 mins at room temperature. The immunostaining was performed on a Leica Biosystems BOND® RX instrument. Counterstained with Hematoxylin.

Secondary antibody only control : Secondary antibody is a ready to use Rabbit specific IHC polymer detection kit HRP/DAB (ab209101).

Heat mediated antigen retrieval with Tris-EDTA buffer (pH 9.0, epitope retrieval solution2) for 20 mins.

Flow Cytometry (Intracellular) - Anti-SV2A antibody [EPR23500-32] (AB254351)
  • Flow Cyt (Intra)

Unknown

Flow Cytometry (Intracellular) - Anti-SV2A antibody [EPR23500-32] (AB254351)

Intracellular flow cytometric analysis of 4% paraformaldehyde fixed, 90% methanol permeabilized Neuro-2a (Mouse neuroblastoma neuroblast) cells labelling SV2A with ab254351 at 1/500 dilution (0.1ug) (Red) (Red) compared with a Rabbit monoclonal IgG (ab172730) (Black) isotype control and an unlabelled control (cells without incubation with primary antibody and secondary antibody) (Blue).

A Goat anti rabbit IgG (Alexa Fluor® 488, ab150077) at 1/2000 dilution was used as the secondary antibody.

Immunohistochemistry (Frozen sections) - Anti-SV2A antibody [EPR23500-32] (AB254351)
  • IHC-Fr

Unknown

Immunohistochemistry (Frozen sections) - Anti-SV2A antibody [EPR23500-32] (AB254351)

Immunohistochemical analysis of 4% PFA-fixed, 0.2% Triton X-100 permeabilized frozen Mouse pancreas tissue labeling SV2A with ab254351 at 1/100 dilution followed by ab150077 Goat Anti-Rabbit IgG H&L (Alexa Fluor® 488) at 1/1000 dilution (Green). Positive staining on mouse pancreatic islet is observed. Insulin is counter stained using ab6995 Anti-Insulin mouse monoclonal antibody. The nuclear counterstain was DAPI (Blue).

Secondary antibody control : Secondary antibody is ab150077 Goat Anti-Rabbit IgG H&L (Alexa Fluor® 488) at 1/1000 dilution.

Heat mediated antigen retrieval using sodium citrate buffer (10mM citrate pH 6.0 + 0.05% Tween-20).

Immunohistochemistry (Frozen sections) - Anti-SV2A antibody [EPR23500-32] (AB254351)
  • IHC-Fr

Unknown

Immunohistochemistry (Frozen sections) - Anti-SV2A antibody [EPR23500-32] (AB254351)

Immunohistochemical analysis of 4% PFA-fixed, 0.2% Triton X-100 permeabilized frozen Mouse cerebrum tissue labeling SV2A with ab254351 at 1/100 dilution followed by ab150077 Goat Anti-Rabbit IgG H&L (Alexa Fluor® 488) at 1/1000 dilution (Green). Positive staining on mouse cerebrum is observed. The nuclear counterstain was DAPI (Blue).

Secondary antibody control : Secondary antibody is ab150077 Goat Anti-Rabbit IgG H&L (Alexa Fluor® 488)at 1/1000 dilution.

Heat mediated antigen retrieval using sodium citrate buffer (10mM citrate pH 6.0 + 0.05% Tween-20).

Immunohistochemistry (Formalin/PFA-fixed paraffin-embedded sections) - Anti-SV2A antibody [EPR23500-32] (AB254351)
  • IHC-P

Unknown

Immunohistochemistry (Formalin/PFA-fixed paraffin-embedded sections) - Anti-SV2A antibody [EPR23500-32] (AB254351)

Immunohistochemical analysis of paraffin-embedded Rat pancreas tissue labeling SV2A with ab254351 at 1/1000 dilution followed by a ready to use Rabbit specific IHC polymer detection kit HRP/DAB (ab209101). Cytoplasmic staining in rat pancreatic islet (PMID : 16306227). The section was incubated with ab254351 for 30 mins at room temperature. The immunostaining was performed on a Leica Biosystems BOND® RX instrument. Counterstained with Hematoxylin.

Secondary antibody only control : Secondary antibody is a ready to use Rabbit specific IHC polymer detection kit HRP/DAB (ab209101).

Heat mediated antigen retrieval with Tris-EDTA buffer (pH 9.0, epitope retrieval solution2) for 20 mins.

Immunohistochemistry (Formalin/PFA-fixed paraffin-embedded sections) - Anti-SV2A antibody [EPR23500-32] (AB254351)
  • IHC-P

Unknown

Immunohistochemistry (Formalin/PFA-fixed paraffin-embedded sections) - Anti-SV2A antibody [EPR23500-32] (AB254351)

Immunohistochemical analysis of paraffin-embedded Mouse pancreas tissue labeling SV2A with ab254351 at 1/1000 dilution followed by a ready to use Rabbit specific IHC polymer detection kit HRP/DAB (ab209101). Cytoplasmic staining in mouse pancreatic islet (PMID : 16306227). The section was incubated with ab254351 for 30 mins at room temperature. The immunostaining was performed on a Leica Biosystems BOND® RX instrument. Counterstained with Hematoxylin.

Secondary antibody only control : Secondary antibody is a ready to use Rabbit specific IHC polymer detection kit HRP/DAB (ab209101).

Heat mediated antigen retrieval with Tris-EDTA buffer (pH 9.0, epitope retrieval solution2) for 20 mins.

Immunocytochemistry/ Immunofluorescence - Anti-SV2A antibody [EPR23500-32] (AB254351)
  • ICC/IF

Unknown

Immunocytochemistry/ Immunofluorescence - Anti-SV2A antibody [EPR23500-32] (AB254351)

Immunofluorescent analysis of 4% Paraformaldehyde-fixed, 0.1% TritonX-100 permeabilized mouse primary neuron cell cells labelling SV2A with ab254351 at 1/100 dilution, followed by ab150077 Goat Anti-Rabbit IgG H&L (Alexa Fluor® 488) antibody at 1/1000 dilution (Green). Confocal image showing cytoplasmic staining in mouse primary neuron cells. ab195889 Anti-alpha Tubulin mouse monoclonal antibody - Microtubule Marker (Alexa Fluor® 594) was used to counterstain tubulin at 1/200 dilution (Red). The Nuclear counterstain was DAPI (Blue).

Secondary antibody only control : Secondary antibody is ab150077 Goat Anti-Rabbit IgG H&L (Alexa Fluor® 488) at 1000 dilution.

Immunohistochemistry (Formalin/PFA-fixed paraffin-embedded sections) - Anti-SV2A antibody [EPR23500-32] (AB254351)
  • IHC-P

Unknown

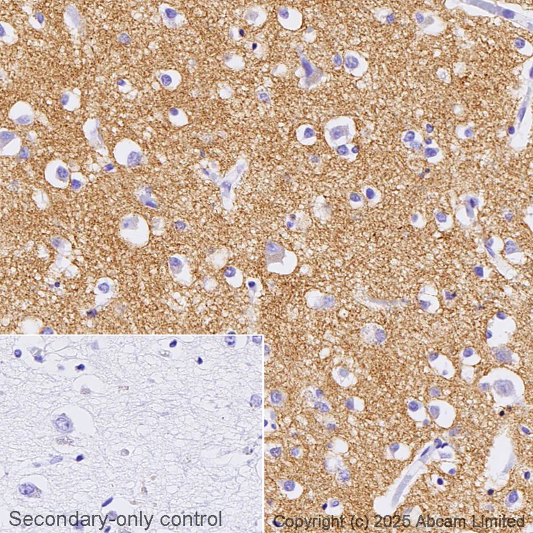
Immunohistochemistry (Formalin/PFA-fixed paraffin-embedded sections) - Anti-SV2A antibody [EPR23500-32] (AB254351)

Immunohistochemical analysis of paraffin-embedded Mouse cerebrum tissue labeling SV2A with ab254351 at 1/1000 dilution followed by a ready to use Rabbit specific IHC polymer detection kit HRP/DAB (ab209101). Cytoplasmic staining in mouse cerebrum (PMID : 16306227). The section was incubated with ab254351 for 30 mins at room temperature. The immunostaining was performed on a Leica Biosystems BOND® RX instrument. Counterstained with Hematoxylin.

Secondary antibody only control : Secondary antibody is a ready to use Rabbit specific IHC polymer detection kit HRP/DAB (ab209101).

Heat mediated antigen retrieval with Tris-EDTA buffer (pH 9.0, epitope retrieval solution2) for 20 mins.

Immunohistochemistry (Formalin/PFA-fixed paraffin-embedded sections) - Anti-SV2A antibody [EPR23500-32] (AB254351)
  • IHC-P

Unknown

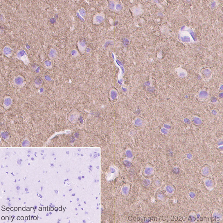
Immunohistochemistry (Formalin/PFA-fixed paraffin-embedded sections) - Anti-SV2A antibody [EPR23500-32] (AB254351)

Immunohistochemical analysis of paraffin-embedded Rat cerebrum tissue labeling SV2A with ab254351 at 1/1000 dilution followed by a ready to use Rabbit specific IHC polymer detection kit HRP/DAB (ab209101). Cytoplasmic staining in rat cerebrum (PMID : 16306227). The section was incubated with ab254351 for 30 mins at room temperature. The immunostaining was performed on a Leica Biosystems BOND® RX instrument. Counterstained with Hematoxylin.

Secondary antibody only control : Secondary antibody is a ready to use Rabbit specific IHC polymer detection kit HRP/DAB (ab209101).

Heat mediated antigen retrieval with Tris-EDTA buffer (pH 9.0, epitope retrieval solution2) for 20 mins.

Multiplex immunohistochemistry - Anti-SV2A antibody [EPR23500-32] (AB254351)
  • mIHC

Lab

Multiplex immunohistochemistry - Anti-SV2A antibody [EPR23500-32] (AB254351)

Fluorescence multiplex immunohistochemical analysis of the mouse pancreas (Formalin/PFA-fixed paraffin-embedded sections).

Panel A : merged staining of anti-SV2A (yellow; Opal™520), anti-GIP (magenta; Opal™570) and anti-Pancreatic Polypeptide (green; Opal™690) on mouse pancreas.
Panel B : anti-SV2A staining predominantly the beta cells in mouse pancreas islet.
Panel C : anti-GIP staining the alpha cells in mouse pancreas islet.
Panel D : anti-Pancreatic Polypeptide staining the PP cells in mouse pancreas islet.

Nuclear DNA was labelled with DAPI (shown in blue). The section was incubated in three rounds of staining : in the order of ab254351 at 1/1000 dilution (0.48 μg/ml), ab271989 at 1/4000 dilution (0.25 μg/ml) and ab255827 at 1/10000 dilution (0.05 μg/ml) for 30 mins at room temperature. Each round was followed by a separate fluorescent tyramide signal amplification system.

The immunostaining was performed on a Leica Biosystems BOND® RX instrument with an Opal™ 4-color kit. Image acquisition was performed with Leica SP8 confocal microscope.

Heat mediated antigen retrieval with Tris-EDTA buffer (pH 9.0, epitope retrieval solution2) for 20 mins.

Immunohistochemistry (Frozen sections) - Anti-SV2A antibody [EPR23500-32] (AB254351)
  • IHC-Fr

Unknown

Immunohistochemistry (Frozen sections) - Anti-SV2A antibody [EPR23500-32] (AB254351)

Immunohistochemical analysis of 4% PFA-fixed, 0.2% Triton X-100 permeabilized frozen Rat pancreas tissue labeling SV2A with ab254351 at 1/100 dilution followed by ab150077 Goat Anti-Rabbit IgG H&L (Alexa Fluor® 488) at 1/1000 dilution (Green). Positive staining on rat pancreatic islet is observed. Insulin is counter stained using ab6995 Anti-Insulin mouse monoclonal antibody. The nuclear counterstain was DAPI (Blue).

Secondary antibody control : Secondary antibody is ab150077 Goat Anti-Rabbit IgG H&L (Alexa Fluor® 488)at 1/1000 dilution.

Heat mediated antigen retrieval using sodium citrate buffer (10mM citrate pH 6.0 + 0.05% Tween-20).

Immunohistochemistry (Frozen sections) - Anti-SV2A antibody [EPR23500-32] (AB254351)
  • IHC-Fr

Unknown

Immunohistochemistry (Frozen sections) - Anti-SV2A antibody [EPR23500-32] (AB254351)

Immunohistochemical analysis of 4% PFA-fixed, 0.2% Triton X-100 permeabilized frozen Rat cerebrum tissue labeling SV2A with ab254351 at 1/100 dilution followed by ab150077 Goat Anti-Rabbit IgG H&L (Alexa Fluor® 488) at 1/1000 dilution (Green). Positive staining on rat cerebrum is observed. The nuclear counterstain was DAPI (Blue).

Secondary antibody control : Secondary antibody is ab150077 Goat Anti-Rabbit IgG H&L (Alexa Fluor® 488)at 1/1000 dilution.

Heat mediated antigen retrieval using sodium citrate buffer (10mM citrate pH 6.0 + 0.05% Tween-20).

Immunocytochemistry/ Immunofluorescence - Anti-SV2A antibody [EPR23500-32] (AB254351)
  • ICC/IF

Lab

Immunocytochemistry/ Immunofluorescence - Anti-SV2A antibody [EPR23500-32] (AB254351)

Composite multiplex immunofluorescence staining of ab302487, ab309493 and ab254351 staining MAP2, Synaptophysin and SV2A in Mouse Primary Neurons DIV14 cells. The cells were fixed with 4% paraformaldehyde (10 min), permeabilized with 0.1% PBS-Triton X-100 for 5 minutes and then blocked with 1% BSA/10% normal donkey serum/0.3M glycine in 0.1%PBS-Tween for 1h. The cells were then incubated overnight at 4°C with ab289874 (shown in yellow), ab309493 (shown in green) and ab254351 (shown in magenta) at 5µg/ml. Cells were then incubated with ab150136 Donkey Anti-Goat IgG H&L (Alexa Fluor® 594) preadsorbed, ab150111 Donkey Anti-Mouse IgG H&L (Alexa Fluor® 647) preadsorbed and ab150061 Donkey Anti-Rabbit IgG H&L (Alexa Fluor® 488) preadsorbed at 1/1000 dilution. Nuclear DNA was labelled with DAPI (shown in blue).

Image was acquired with a high-content analyser (Operetta CLS, Perkin Elmer) and a maximum intensity projection of confocal sections is shown.

Multiplex immunohistochemistry - Anti-SV2A antibody [EPR23500-32] (AB254351)
  • mIHC

Lab

Multiplex immunohistochemistry - Anti-SV2A antibody [EPR23500-32] (AB254351)

Fluorescence multiplex immunohistochemical analysis of the rat pancreas (Formalin/PFA-fixed paraffin-embedded sections).

Panel A : merged staining of anti-SV2A (yellow; Opal™520), anti-GIP (magenta; Opal™570) and anti-Pancreatic Polypeptide (green; Opal™690) on rat pancreas.
Panel B : anti-SV2A staining predominantly the beta cells in mouse pancreas islet.
Panel C : anti-GIP staining the alpha cells in rat pancreas islet.
Panel D : anti-Pancreatic Polypeptide staining the PP cells in rat pancreas islet.

Nuclear DNA was labelled with DAPI (shown in blue). The section was incubated in three rounds of staining : in the order of ab254351 at 1/1000 dilution (0.48 μg/ml), ab271989 at 1/4000 dilution (0.25 μg/ml) and ab255827 at 1/10000 dilution (0.05 μg/ml) for 30 mins at room temperature. Each round was followed by a separate fluorescent tyramide signal amplification system.

The immunostaining was performed on a Leica Biosystems BOND® RX instrument with an Opal™ 4-color kit. Image acquisition was performed with Leica SP8 confocal microscope.

Heat mediated antigen retrieval with Tris-EDTA buffer (pH 9.0, epitope retrieval solution2) for 20 mins.

Immunoprecipitation - Anti-SV2A antibody [EPR23500-32] (AB254351)
  • IP

Unknown

Immunoprecipitation - Anti-SV2A antibody [EPR23500-32] (AB254351)

SV2A was immunoprecipitated from 0.35 mg Mouse brain tissue lysate with ab254351 at 1/30 dilution (2ug in 0.35mg lysates). Western blot was performed on the immunoprecipitate using 254351 at 1/1000 dilution. VeriBlot for IP Detection Reagent (HRP)(ab131366) was used at 1/5000 dilution.

Lane 1 : Mouse brain tissue lysate 10 ug

Lane 2 : 254351 IP in Mouse brain tissue lysate

Lane 3 : Rabbit monoclonal IgG (ab172730) instead of ab254551 in Mouse brain tissue lysate

Blocking and dilution buffer and concentration : 5% NFDM/TBST.

Exposure time : 3.25 seconds.

Samples are non-boiled as boiling may cause protein aggregates.

All lanes:

Immunoprecipitation - Anti-SV2A antibody [EPR23500-32] (ab254351)

Predicted band size: 83 kDa

Observed band size: 100 kDa

false

Western blot - Anti-SV2A antibody [EPR23500-32] (AB254351)
  • WB

Lab

Western blot - Anti-SV2A antibody [EPR23500-32] (AB254351)

Blocking and diluting buffer and concentration : 5% NFDM/TBST.

Samples are non-boiled as boiling may cause protein aggregates.

Exposure time : 3.25 seconds.

All lanes:

Western blot - Anti-SV2A antibody [EPR23500-32] (ab254351) at 1/1000 dilution

Lane 1:

Human brain tissue lysate at 20 µg

Lane 2:

Human hippocampus tissue lysate at 20 µg

Secondary

All lanes:

Goat Anti-Rabbit IgG, (H+L), Peroxidase conjugated (<a href='/products/secondary-antibodies/goat-rabbit-igg-h-l-hrp-ab97051'>ab97051</a>) at 1/100000 dilution

Predicted band size: 83 kDa

Observed band size: 80-100 kDa

false

Western blot - Anti-SV2A antibody [EPR23500-32] (AB254351)
  • WB

Lab

Western blot - Anti-SV2A antibody [EPR23500-32] (AB254351)

Blocking and diluting buffer and concentration : 5% NFDM/TBST.

Samples are non-boiled as boiling may cause protein aggregates.

Negative control : NIH/3T3 (PMID : 16556440)

Exposure times : Lane 1 : 5.5 seconds Lane 2, 3 : 3.25.5 seconds.

All lanes:

Western blot - Anti-SV2A antibody [EPR23500-32] (ab254351) at 1/1000 dilution

Lane 1:

Mouse hippocampus tissue lysate at 20 µg

Lane 2:

Mouse brain tissue lysate at 20 µg

Lane 3:

NIH/3T3 (mouse embryonic fibroblast), whole cell lysate at 20 µg

Secondary

All lanes:

Goat Anti-Rabbit IgG, (H+L), Peroxidase conjugated (<a href='/products/secondary-antibodies/goat-rabbit-igg-h-l-hrp-ab97051'>ab97051</a>) at 1/100000 dilution

Predicted band size: 83 kDa

Observed band size: 80-100 kDa

false

Western blot - Anti-SV2A antibody [EPR23500-32] (AB254351)
  • WB

Lab

Western blot - Anti-SV2A antibody [EPR23500-32] (AB254351)

Blocking and diluting buffer and concentration : 5% NFDM/TBST.

Samples are non-boiled as boiling may cause protein aggregates.

Exposure times : Lane 1 : 5.5 seconds Lane 2 : 3.25 seconds.

All lanes:

Western blot - Anti-SV2A antibody [EPR23500-32] (ab254351) at 1/1000 dilution

Lane 1:

Rat hippocampus tissue lysate at 20 µg

Lane 2:

Rat brain tissue lysate at 20 µg

Secondary

All lanes:

Goat Anti-Rabbit IgG, (H+L), Peroxidase conjugated (<a href='/products/secondary-antibodies/goat-rabbit-igg-h-l-hrp-ab97051'>ab97051</a>) at 1/100000 dilution

Predicted band size: 83 kDa

Observed band size: 80-100 kDa

false

Dot Blot - Anti-SV2A antibody [EPR23500-32] (AB254351)
  • Dot

Unknown

Dot Blot - Anti-SV2A antibody [EPR23500-32] (AB254351)

Concentration of ab254351 : 1/1000 dilution

Secondary ab : Goat Anti-Rabbit IgG, (H+L), Peroxidase conjugated (ab97051), 1/100000 dilution

Blocking/diluting buffer and concentration : 5% NFDM/TBST

Lane 1 : SV2A immunogen peptide

Lane 2 : SV2C corresponding region of SV2A immunogen peptide

Lane 3 : SV2A non-immunogen peptide

Exposure time : 3 minutes

関連する標識済み抗体及び組成の異なる製品 (4)

  • Carrier free

    Anti-SV2A antibody [EPR23500-32] - BSA and Azide free

  • Carrier free

    Anti-SV2A antibody [EPR23500-32] - BSA and Azide free (Capture)

  • 665 Alexa Fluor® 647

    Alexa Fluor® 647 Anti-SV2A antibody [EPR23500-32]

  • 519 Alexa Fluor® 488

    Alexa Fluor® 488 Anti-SV2A antibody [EPR23500-32]

Key facts

宿主種

Rabbit

クローン性

Monoclonal

クローン番号

EPR23500-32

アイソタイプ

IgG

キャリアフリー

No

交差種

Mouse, Rat, Human

アプリケーション

IP, Dot, IHC-Fr, WB, mIHC, ICC/IF, IHC-P, Flow Cyt (Intra)

applications

免疫原

The exact immunogen used to generate this antibody is proprietary information.

Reactivity data

{ "title": "Reactivity Data", "filters": { "stats": ["", "Species", "Dilution Info", "Notes"], "tabs": { "all-applications": {"fullname" : "All Applications", "shortname": "All Applications"}, "IP" : {"fullname" : "Immunoprecipitation", "shortname":"IP"}, "Dot" : {"fullname" : "Dot Blot", "shortname":"Dot"}, "WB" : {"fullname" : "Western blot", "shortname":"WB"}, "ICCIF" : {"fullname" : "Immunocytochemistry/ Immunofluorescence", "shortname":"ICC/IF"}, "IHCFr" : {"fullname" : "Immunohistochemistry (Frozen sections)", "shortname":"IHC-Fr"}, "FlowCytIntra" : {"fullname" : "Flow Cytometry (Intracellular)", "shortname":"Flow Cyt (Intra)"}, "IHCP" : {"fullname" : "Immunohistochemistry (Formalin/PFA-fixed paraffin-embedded sections)", "shortname":"IHC-P"}, "mIHC" : {"fullname" : "Multiplex immunohistochemistry", "shortname":"mIHC"} }, "product-promise": { "all": "all", "testedAndGuaranteed": "tested", "guaranteed": "expected", "predicted": "predicted", "notRecommended": "not-recommended" } }, "values": { "Human": { "IP-species-checked": "guaranteed", "IP-species-dilution-info": "", "IP-species-notes": "", "Dot-species-checked": "guaranteed", "Dot-species-dilution-info": "", "Dot-species-notes": "", "WB-species-checked": "testedAndGuaranteed", "WB-species-dilution-info": "1/1000", "WB-species-notes": "<p></p>", "ICCIF-species-checked": "guaranteed", "ICCIF-species-dilution-info": "", "ICCIF-species-notes": "", "IHCFr-species-checked": "guaranteed", "IHCFr-species-dilution-info": "", "IHCFr-species-notes": "", "FlowCytIntra-species-checked": "guaranteed", "FlowCytIntra-species-dilution-info": "", "FlowCytIntra-species-notes": "", "IHCP-species-checked": "testedAndGuaranteed", "IHCP-species-dilution-info": "1/1000", "IHCP-species-notes": "<p></p> Perform heat-mediated antigen retrieval with Tris/EDTA buffer pH 9.0 before commencing with IHC staining protocol.", "mIHC-species-checked": "guaranteed", "mIHC-species-dilution-info": "", "mIHC-species-notes": "" }, "Mouse": { "IP-species-checked": "testedAndGuaranteed", "IP-species-dilution-info": "1/30", "IP-species-notes": "<p></p>", "Dot-species-checked": "testedAndGuaranteed", "Dot-species-dilution-info": "1/1000", "Dot-species-notes": "<p></p>", "WB-species-checked": "testedAndGuaranteed", "WB-species-dilution-info": "1/1000", "WB-species-notes": "<p></p>", "ICCIF-species-checked": "testedAndGuaranteed", "ICCIF-species-dilution-info": "1/100", "ICCIF-species-notes": "<p></p>", "IHCFr-species-checked": "testedAndGuaranteed", "IHCFr-species-dilution-info": "1/100", "IHCFr-species-notes": "<p>Heat mediated antigen retrieval using sodium citrate buffer (10mM citrate pH 6.0 + 0.05% Tween-20).</p>", "FlowCytIntra-species-checked": "testedAndGuaranteed", "FlowCytIntra-species-dilution-info": "1/500", "FlowCytIntra-species-notes": "<p></p>", "IHCP-species-checked": "testedAndGuaranteed", "IHCP-species-dilution-info": "1/1000", "IHCP-species-notes": "<p></p> Perform heat-mediated antigen retrieval with Tris/EDTA buffer pH 9.0 before commencing with IHC staining protocol.", "mIHC-species-checked": "testedAndGuaranteed", "mIHC-species-dilution-info": "1/1000", "mIHC-species-notes": "<p></p>" }, "Rat": { "IP-species-checked": "guaranteed", "IP-species-dilution-info": "", "IP-species-notes": "", "Dot-species-checked": "guaranteed", "Dot-species-dilution-info": "", "Dot-species-notes": "", "WB-species-checked": "testedAndGuaranteed", "WB-species-dilution-info": "1/1000", "WB-species-notes": "<p></p>", "ICCIF-species-checked": "notRecommended", "ICCIF-species-dilution-info": "1/100", "ICCIF-species-notes": "<p></p>", "IHCFr-species-checked": "testedAndGuaranteed", "IHCFr-species-dilution-info": "1/100", "IHCFr-species-notes": "<p>Heat mediated antigen retrieval using sodium citrate buffer (10mM citrate pH 6.0 + 0.05% Tween-20).</p>", "FlowCytIntra-species-checked": "guaranteed", "FlowCytIntra-species-dilution-info": "", "FlowCytIntra-species-notes": "", "IHCP-species-checked": "testedAndGuaranteed", "IHCP-species-dilution-info": "1/1000", "IHCP-species-notes": "<p></p> Perform heat-mediated antigen retrieval with Tris/EDTA buffer pH 9.0 before commencing with IHC staining protocol.", "mIHC-species-checked": "testedAndGuaranteed", "mIHC-species-dilution-info": "1/1000", "mIHC-species-notes": "<p></p>" } } }

製品の詳細

What is this antibody validated in?
Anti-SV2A antibody [EPR23500-32] (ab254351) is a rabbit recombinant monoclonal antibody and is validated for use in Western Blot (WB), Flow Cytometry (Intra), Flow Cytometry (Flow Cyt), Immunoprecipitation (IP), Immunohistochemistry (IHC-P), Immunohistochemistry (IHC-Fr), Immunocytochemistry/immunofluorescence (ICC/IF), Dot Blot in Human, Mouse, Rat samples.

What is the molecular weight of SV2A?
Anti-SV2A [EPR23500-32] (ab254351) specifically detects a band for SV2A (UniProt: Q9JIS5) at a molecular weight of 83kDa.

Trial sizes available!
Test your antibody or perform pre-screening before committing to a larger quantity. Sold in 10µl. Discover our selection of trial-size antibodies.

Other related products
We have a range of other formats of antibody clone [EPR23500-32] also available for your convenience: ab254351, Carrier free - ab273513, Alexa Fluor® 647 - ab317600, Alexa Fluor® 488 - ab317770

Patented technology
Our RabMAb® technology is a patented hybridoma-based technology for making rabbit monoclonal antibodies. For details on our patents, please refer to RabMAb® patents.

What are the advantages of a recombinant monoclonal antibody?
This product is a recombinant monoclonal antibody, which offers several advantages including:

  • - High batch-to-batch consistency and reproducibility
  • - Improved sensitivity and specificity
  • - Long-term security of supply
  • - Animal-free batch production

For more information, read more on recombinant antibodies.

出荷温度及び保存条件

製品の状態
Liquid
精製方法
Affinity purification Protein A
バッファー組成
pH: 7.2 - 7.4 Preservative: 0.01% Sodium azide Constituents: PBS, 40% Glycerol (glycerin, glycerine), 0.05% BSA
出荷温度
Blue Ice
短期保存期間
1-2 weeks
短期保存温度
+4°C
長期保存温度
-20°C
分注に関する情報
Upon delivery aliquot
保管に関する情報
Avoid freeze / thaw cycle

製品プロトコール

For this product, it's our understanding that no specific protocols are required. You can visit:

ターゲットの情報

Plays a role in the control of regulated secretion in neural and endocrine cells, enhancing selectively low-frequency neurotransmission. Positively regulates vesicle fusion by maintaining the readily releasable pool of secretory vesicles (By similarity).. (Microbial infection) Receptor for the C.botulinum neurotoxin type A2 (BoNT/A, botA); glycosylation is not essential but enhances the interaction (PubMed : 29649119). Probably also serves as a receptor for the closely related C.botulinum neurotoxin type A1.
See full target information SV2A

文献 (5)

Recent publications for all applications. Explore the full list and refine your search

Brain sciences 15: PubMed40867169

2025

Contralateral Structure and Molecular Response to Severe Unilateral Brain Injury.

Applications

Unspecified application

Species

Unspecified reactive species

Xixian Liao,Xiaojian Xu,Ming Li,Runfa Tian,Yuan Zhuang,Guoyi Gao

Nature communications 16:6356 PubMed40640137

2025

Synaptic loss pattern is constrained by brain connectome and modulated by phosphorylated tau in Alzheimer's disease.

Applications

Unspecified application

Species

Unspecified reactive species

Ying Luan,Weiyi Wang,Qi Huang,Yan Wang,Jana Nussbaumer,Jie Wang,Anna Steward,Sebastian N Roemer-Cassiano,Yihui Guan,Michael Ewers,Michael Schöll,Ruiqing Ni,Binyin Li,Nicolai Franzmeier,Fang Xie

Scientific reports 14:18717 PubMed39134564

2024

Multiple Transcriptomic Analyses Explore Potential Synaptic Biomarker Rabphilin-3A for Alzheimer's Disease.

Applications

Unspecified application

Species

Unspecified reactive species

Doan Phuong Quy Nguyen,Son Pham,Amadou Wurry Jallow,Nguyen-Tuong Ho,Bao Le,Hung Tran Quang,Yi-Fang Lin,Yung-Feng Lin

Psychiatry and clinical neurosciences 78:456-467 PubMed38804583

2024

Association of synaptic density and cognitive performance in temporal lobe epilepsy: Humans and animals PET imaging study with [F]SynVesT-1.

Applications

IHC

Species

Rat

Ling Xiao,Shijun Xiang,Chen Chen,Haoyue Zhu,Ming Zhou,Yongxiang Tang,Li Feng,Shuo Hu

Pharmaceuticals (Basel, Switzerland) 15: PubMed36558932

2022

A Class I HDAC Inhibitor BG45 Alleviates Cognitive Impairment through the CaMKII/ITPKA/Ca Signaling Pathway.

Applications

IHC

Species

Mouse

Jingyun Liu,Chenghong Zhang,Jiale Wang,Yufei Huang,Di Shen,Yingqiu Hu,Haiying Chu,Xuebin Yu,Liyuan Zhang,Haiying Ma
View all publications

Abcam product promise

当社は、高品質な試薬を通じてお客様の研究を力強くサポートすることをお約束いたします。ご使用いただく各段階で、常にお客様をサポートできる体制を整えております。万が一、製品が期待通りに機能しない場合は、「Abcam Product Promise」による当社保証制度に基づき、安心してご利用いただけます。
保証に関する詳細については利用規約をご確認ください。

Please note: All products are 'FOR RESEARCH USE ONLY. NOT FOR USE IN DIAGNOSTIC OR THERAPEUTIC PROCEDURES'.

For licensing inquiries, please contact partnerships@abcam.com