JavaScript is disabled in your browser. Please enable JavaScript to view this website.
AB320831

Anti-STT3A 抗体 [EPR29178-10]

Anti-STT3A antibody [EPR29178-10]

Be the first to review this product! Submit a review

|

(0 Publication)

Knockout Tested Rabbit Recombinant Monoclonal STT3A antibody. Suitable for WB, Dot, IP and reacts with Human, Mouse, Synthetic peptide - Human samples.

別名を表示する

ITM1, TMC, STT3A, Dolichyl-diphosphooligosaccharide--protein glycosyltransferase subunit STT3A, Oligosaccharyl transferase subunit STT3A, STT3-A, B5, Integral membrane protein 1, Transmembrane protein TMC

5 Images
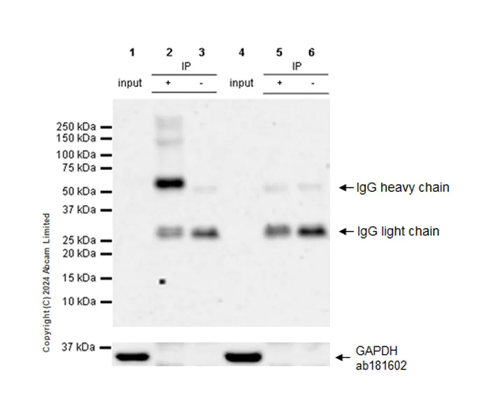
Immunoprecipitation - Anti-STT3A antibody [EPR29178-10] (AB320831)
  • IP

Lab

Immunoprecipitation - Anti-STT3A antibody [EPR29178-10] (AB320831)

STT3A was immunoprecipitated from 0.35 mg HEK-293T (human embryonic kidney epithelial cell) whole cell lysate with ab320831 at 1/30 dilution (2ug in 0.35mg lysates). Western blot was performed on the immunoprecipitate using ab320831 at 1/1000 dilution. VeriBlot for IP secondary antibody(HRP)(ab131366) was used at 1/5000 dilution.

Blocking and diluting buffer and concentration : 5% NFDM/TBST.

In Immunoprecipitation, ab320831 was shown to bind specifically to STT3A. Target of interest was enriched at 60 kDa in wild-type HEK-293T cell lysates (lane 2) with no signal observed at this size in STT3A knockout cell line (lane 5) (lane 5, knockout cell line ab266320 / knockout cell lysate ab259164).
The bands above 60kDa are likely to be aggregation, and are absent in the KO samples. Unlike the Western Blot data, these samples have been boiled. ab181602 was used as a GAPDH loading control.

All lanes:

Immunoprecipitation - Anti-STT3A antibody [EPR29178-10] (ab320831) at 1/1000 dilution

Lane 1:

Parental HEK-293T (human embryonic kidney epithelial cell) whole cell lysate at 10 µg

Lane 2:

Parental HEK-293T (human embryonic kidney epithelial cell) whole cell lysate

Lane 3:

Rabbit monoclonal IgG (<a href='/products/primary-antibodies/rabbit-igg-monoclonal-epr25a-isotype-control-ab172730'>ab172730</a>) instead of ab320831 in Parental HEK-293T whole cell lysate

Lane 4:

STT3A KO HEK-293T (human embryonic kidney epithelial cell) whole cell lysate at 10 µg

Lane 5:

Immunoprecipitation - Human STT3A knockout HEK-293T cell line (<a href='/products/cell-lines/human-stt3a-knockout-hek-293t-cell-line-ab266320'>ab266320</a>)

Lane 6:

Rabbit monoclonal IgG (<a href='/products/primary-antibodies/rabbit-igg-monoclonal-epr25a-isotype-control-ab172730'>ab172730</a>) instead of ab320831 in STT3A KO HEK-293T whole cell lysate

Secondary

All lanes:

Immunoprecipitation - VeriBlot for IP Detection Reagent (HRP) (<a href='/products/reagents/veriblot-for-ip-detection-reagent-hrp-ab131366'>ab131366</a>) at 1/5000 dilution

Observed band size: 60 kDa

false

Exposure time: 84s

Immunoprecipitation - Anti-STT3A antibody [EPR29178-10] (AB320831)
  • IP

Lab

Immunoprecipitation - Anti-STT3A antibody [EPR29178-10] (AB320831)

STT3A was immunoprecipitated from 0.35 mg MEF (mouse embryo fibroblast) whole cell lysate with ab320831 at 1/30 dilution (2ug in 0.35mg lysates). Western blot was performed on the immunoprecipitate using ab320831 at 1/1000 dilution. VeriBlot for IP secondary antibody(HRP)(ab131366) was used at 1/5000 dilution.

Blocking and diluting buffer and concentration : 5% NFDM/TBST.

The bands above 60kDa are likely to be aggregation. Unlike the Western Blot data, these samples have been boiled.

All lanes:

Immunoprecipitation - Anti-STT3A antibody [EPR29178-10] (ab320831) at 1/1000 dilution

Lane 1:

MEF (mouse embryo fibroblast) whole cell lysate at 10 µg

Lane 2:

MEF (mouse embryo fibroblast) whole cell lysate

Lane 3:

Rabbit monoclonal IgG (<a href='/products/primary-antibodies/rabbit-igg-monoclonal-epr25a-isotype-control-ab172730'>ab172730</a>) instead of ab320831 in MEF whole cell lysate

Secondary

All lanes:

Immunoprecipitation - VeriBlot for IP Detection Reagent (HRP) (<a href='/products/reagents/veriblot-for-ip-detection-reagent-hrp-ab131366'>ab131366</a>) at 1/5000 dilution

Observed band size: 60 kDa

false

Exposure time: 84s

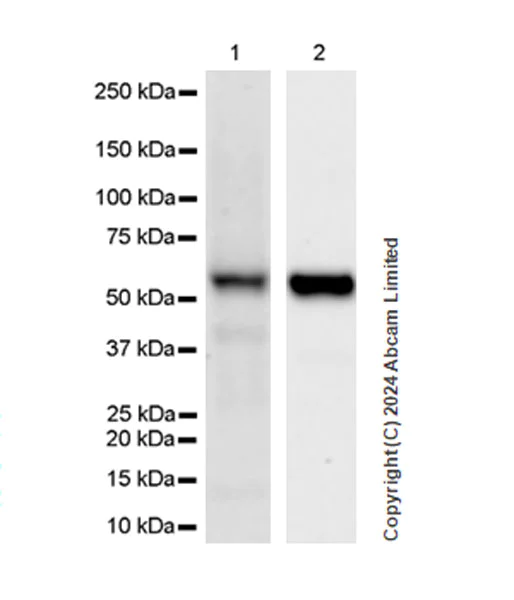
Western blot - Anti-STT3A antibody [EPR29178-10] (AB320831)
  • WB

Supplier Data

Western blot - Anti-STT3A antibody [EPR29178-10] (AB320831)

Blocking and diluting buffer and concentration : 5% NFDM/TBST.

In Western blot, ab320831 was shown to bind specifically to STT3A. Target of interest was observed at 60 kDa in wild-type HEK-293T cell lysates (lane 1) with no signal observed at this size in STT3A knockout cell line (lane 2) (lane 2, knockout cell line ab266320 / knockout cell lysate ab259164).

The molecular weight observed is consistent with what has been described in the literature (PMID : 22157935).

Samples are non-boiled as boiling may cause protein aggregation.

In Western blot, Anti-GAPDH antibody [EPR16891] - Loading Control (ab181602) staining at 1/200000 dilution.

All lanes:

Western blot - Anti-STT3A antibody [EPR29178-10] (ab320831) at 1/1000 dilution

Lane 1:

Wild-type HEK-293T (human embryonic kidney epithelial cell) whole cell lysate at 20 µg

Lane 2:

STT3A knockout HEK-293T whole cell lysate at 20 µg

Lane 3:

HepG2 (human hepatocellular carcinoma epithelial cell) whole cell lysate at 20 µg

Lane 4:

HeLa (human cervical adenocarcinoma epithelial cell) whole cell lysate at 20 µg

Secondary

All lanes:

Western blot - Goat Anti-Rabbit IgG H&L (HRP) (<a href='/products/secondary-antibodies/goat-rabbit-igg-h-l-hrp-ab97051'>ab97051</a>) at 1/20000 dilution

Observed band size: 60 kDa,36 kDa

false

Exposure time: 59s

Western blot - Anti-STT3A antibody [EPR29178-10] (AB320831)
  • WB

Supplier Data

Western blot - Anti-STT3A antibody [EPR29178-10] (AB320831)

Blocking and diluting buffer and concentration : 5% NFDM/TBST.

Samples are non-boiled as boiling may cause protein aggregation.

Exposure time : Lane 1 : 180 seconds; Lane 2 : 59 seconds.

All lanes:

Western blot - Anti-STT3A antibody [EPR29178-10] (ab320831) at 1/1000 dilution

Lane 1:

Human lung tissue lysate at 20 µg

Lane 2:

Caco-2 (human colorectal adenocarcinoma epithelial cell) whole cell lysate at 20 µg

Secondary

All lanes:

Goat Anti-Rabbit IgG (HRP) with minimal cross-reactivity with human IgG at 1/2000 dilution

Observed band size: 60 kDa

false

Dot Blot - Anti-STT3A antibody [EPR29178-10] (AB320831)
  • Dot

Supplier Data

Dot Blot - Anti-STT3A antibody [EPR29178-10] (AB320831)

Dot blot analysis of STT3A using ab320831 at 1 : 1000 (0.493 ug/ml) followed by a Goat Anti-Rabbit IgG, (H+L), Peroxidase conjugated (ab97051) at 1 : 100,000 dilution.

Lane1 : Human STT3A peptide
Lane2 : Human STT3B peptide

Exposure time : 180 seconds.

Blocking and diluting buffer and concentration : 5% NFDM/TBST.

This antibody does not cross-react with human STT3B peptide by dot blot.

Lane 1:

Human STT3A peptide

Lane 2:

Human STT3B peptide

false

Exposure time: 180s

Key facts

宿主種

Rabbit

クローン性

Monoclonal

クローン番号

EPR29178-10

アイソタイプ

IgG

キャリアフリー

No

交差種

Human, Mouse

アプリケーション

IP, Dot, WB

applications

免疫原

The exact immunogen used to generate this antibody is proprietary information.

Reactivity data

{ "title": "Reactivity Data", "filters": { "stats": ["", "Species", "Dilution Info", "Notes"], "tabs": { "all-applications": {"fullname" : "All Applications", "shortname": "All Applications"}, "WB" : {"fullname" : "Western blot", "shortname":"WB"}, "Dot" : {"fullname" : "Dot Blot", "shortname":"Dot"}, "IHCP" : {"fullname" : "Immunohistochemistry (Formalin/PFA-fixed paraffin-embedded sections)", "shortname":"IHC-P"}, "IP" : {"fullname" : "Immunoprecipitation", "shortname":"IP"} }, "product-promise": { "all": "all", "testedAndGuaranteed": "tested", "guaranteed": "expected", "predicted": "predicted", "notRecommended": "not-recommended" } }, "values": { "Human": { "WB-species-checked": "testedAndGuaranteed", "WB-species-dilution-info": "1/1000", "WB-species-notes": "<p></p>", "Dot-species-checked": "guaranteed", "Dot-species-dilution-info": "", "Dot-species-notes": "", "IHCP-species-checked": "notRecommended", "IHCP-species-dilution-info": "", "IHCP-species-notes": "<p></p>", "IP-species-checked": "testedAndGuaranteed", "IP-species-dilution-info": "", "IP-species-notes": "<p></p>" }, "Mouse": { "WB-species-checked": "testedAndGuaranteed", "WB-species-dilution-info": "1/1000", "WB-species-notes": "<p></p>", "Dot-species-checked": "guaranteed", "Dot-species-dilution-info": "", "Dot-species-notes": "", "IHCP-species-checked": "notRecommended", "IHCP-species-dilution-info": "", "IHCP-species-notes": "<p></p>", "IP-species-checked": "testedAndGuaranteed", "IP-species-dilution-info": "", "IP-species-notes": "<p></p>" }, "Synthetic peptide - Human": { "WB-species-checked": "notRecommended", "WB-species-dilution-info": "", "WB-species-notes": "", "Dot-species-checked": "testedAndGuaranteed", "Dot-species-dilution-info": "1/1000", "Dot-species-notes": "<p></p>", "IHCP-species-checked": "notRecommended", "IHCP-species-dilution-info": "", "IHCP-species-notes": "", "IP-species-checked": "notRecommended", "IP-species-dilution-info": "", "IP-species-notes": "" } } }

製品の詳細

Patented technology
Our RabMAb® technology is a patented hybridoma-based technology for making rabbit monoclonal antibodies. For details on our patents, please refer to RabMAb® patents.

What are the advantages of a recombinant monoclonal antibody?
This product is a recombinant monoclonal antibody, which offers several advantages including:

  • - High batch-to-batch consistency and reproducibility
  • - Improved sensitivity and specificity
  • - Long-term security of supply
  • - Animal-free batch production

For more information, read more on recombinant antibodies.

出荷温度及び保存条件

製品の状態
Liquid
精製方法
Affinity purification Protein A
バッファー組成
pH: 7.2 - 7.4 Preservative: 0.01% Sodium azide Constituents: PBS, 40% Glycerol (glycerin, glycerine), 0.05% BSA
出荷温度
Blue Ice
短期保存期間
1-2 weeks
短期保存温度
+4°C
長期保存温度
-20°C
分注に関する情報
Upon delivery aliquot
保管に関する情報
Avoid freeze / thaw cycle

補足情報

This supplementary information is collated from multiple sources and compiled automatically.

STT3A also known as oligosaccharyltransferase 48 kDa subunit plays an important role in the enzymatic process of N-glycosylation specifically as a catalytic subunit in the oligosaccharyltransferase (OST) complex. This protein has a mass of approximately 48 kDa. STT3A is expressed predominantly in rough endoplasmic reticulum membranes where it contributes to the transfer of oligosaccharides onto nascent polypeptide chains a critical step for protein maturation and function.
Biological function summary

STT3A is part of the OST complex which catalyzes the transfer of glycan from a lipid donor to asparagine residues on nascent polypeptides in a process known as co-translational N-glycosylation. This modification is essential for proper protein folding stability and activity. The OST complex with STT3A as a catalytic core is fundamental in eukaryotic cells affecting the function of numerous glycoproteins. It interacts with various components within the endoplasmic reticulum to ensure efficient glycosylation.

Pathways

The involvement of STT3A extends to the protein processing in endoplasmic reticulum pathway and is integral to the broader process of protein folding and quality control. This pathway ensures proper protein configuration and prevents the accumulation of misfolded proteins. STT3A functionally relates to proteins like calnexin and calreticulin which work in the calnexin/calreticulin cycle to assist in the folding of glycoproteins indicating its important role in maintaining protein homeostasis in cells.

Defects or dysregulation of STT3A have associations with congenital disorders of glycosylation (CDG) a group of rare inherited metabolic disorders affecting glycoprotein synthesis. Anomalies in STT3A activity can disrupt normal glycoprotein functions leading to a wide range of symptoms including developmental delays and neurological issues. Moreover STT3A dysfunction has connections with cancer progression as altered N-glycosylation patterns are frequently observed in tumor cells affecting proteins such as EGFR and HER2 which are often targets in oncogenesis.

製品プロトコール

For this product, it's our understanding that no specific protocols are required. You can visit:

ターゲットの情報

Catalytic subunit of the oligosaccharyl transferase (OST) complex that catalyzes the initial transfer of a defined glycan (Glc(3)Man(9)GlcNAc(2) in eukaryotes) from the lipid carrier dolichol-pyrophosphate to an asparagine residue within an Asn-X-Ser/Thr consensus motif in nascent polypeptide chains, the first step in protein N-glycosylation (PubMed : 31831667, PubMed : 34653363). N-glycosylation occurs cotranslationally and the complex associates with the Sec61 complex at the channel-forming translocon complex that mediates protein translocation across the endoplasmic reticulum (ER). All subunits are required for a maximal enzyme activity. This subunit contains the active site and the acceptor peptide and donor lipid-linked oligosaccharide (LLO) binding pockets (By similarity). STT3A is present in the majority of OST complexes and mediates cotranslational N-glycosylation of most sites on target proteins, while STT3B-containing complexes are required for efficient post-translational glycosylation and mediate glycosylation of sites that have been skipped by STT3A (PubMed : 19167329).
See full target information STT3A

Abcam product promise

当社は、高品質な試薬を通じてお客様の研究を力強くサポートすることをお約束いたします。ご使用いただく各段階で、常にお客様をサポートできる体制を整えております。万が一、製品が期待通りに機能しない場合は、「Abcam Product Promise」による当社保証制度に基づき、安心してご利用いただけます。
保証に関する詳細については利用規約をご確認ください。

Please note: All products are 'FOR RESEARCH USE ONLY. NOT FOR USE IN DIAGNOSTIC OR THERAPEUTIC PROCEDURES'.

For licensing inquiries, please contact partnerships@abcam.com