JavaScript is disabled in your browser. Please enable JavaScript to view this website.
AB52641

Anti-STK3/MST-2 抗体 [EP1466Y]

Anti-STK3/MST-2 antibody [EP1466Y]

Be the first to review this product! Submit a review

|

(49 Publications)

Rabbit Recombinant Monoclonal STK3/MST-2 antibody. Suitable for IP, WB, ICC/IF, Flow Cyt (Intra), IHC-P and reacts with Human, Rat, Mouse samples. Cited in 49 publications.

別名を表示する

KRS1, MST2, STK3, Serine/threonine-protein kinase 3, Mammalian STE20-like protein kinase 2, STE20-like kinase MST2, Serine/threonine-protein kinase Krs-1, MST-2

8 Images
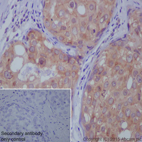
Immunohistochemistry (Formalin/PFA-fixed paraffin-embedded sections) - Anti-STK3/MST-2 antibody [EP1466Y] (AB52641)
  • IHC-P

Unknown

Immunohistochemistry (Formalin/PFA-fixed paraffin-embedded sections) - Anti-STK3/MST-2 antibody [EP1466Y] (AB52641)

Immunohistochemical staining of paraffin embedded human breast carcinoma with purified ab52641 at a working dilution of 1/50. The secondary antibody used is ab97051, a goat anti-rabbit IgG (H&L) at a dilution of 1/500. The sample is counter-stained with hematoxylin. Antigen retrieval was perfomed using Tris-EDTA buffer, pH 9.0. PBS was used instead of the primary antibody as the negative control, and is shown in the inset.

Immunocytochemistry/ Immunofluorescence - Anti-STK3/MST-2 antibody [EP1466Y] (AB52641)
  • ICC/IF

Supplier Data

Immunocytochemistry/ Immunofluorescence - Anti-STK3/MST-2 antibody [EP1466Y] (AB52641)

ab52641 staining STK3/MST-2 in wild-type HAP1 cells (top panel) and STK3/MST-2 knockout HAP1 cells (bottom panel). The cells were fixed with 4% formaldehyde (10min), permeabilized with 0.1% Triton X-100 for 5 minutes and then blocked with 1% BSA/10% normal goat serum/0.3M glycine in 0.1% PBS-Tween for 1h. The cells were then incubated with ab52641 at 5μg/ml concentration and ab195889 at 1/250 dilution (shown in pseudo colour red) overnight at +4°C, followed by a further incubation at room temperature for 1h with a goat secondary antibody to Rabbit IgG (Alexa Fluor® 488) (ab150081) at 2 μg/ml (shown in green). Nuclear DNA was labelled in blue with DAPI.

Immunocytochemistry/ Immunofluorescence - Anti-STK3/MST-2 antibody [EP1466Y] (AB52641)
  • ICC/IF

Lab

Immunocytochemistry/ Immunofluorescence - Anti-STK3/MST-2 antibody [EP1466Y] (AB52641)

Confocal image showing cytoplasmic staining of STK3/MST-2 in NIH/3T3 (mouse embryonic fibroblast) cells using ab52641 . The cells were fixed with 4% paraformaldehyde and permeabilized with 0.1% Triton X-100. The cells were then incubated with ab52641 at 1/70 dilution and counterstained with Anti-alpha Tubulin antibody [DM1A] - Microtubule Marker (Alexa Fluor® 594) (ab195889) at 1/100 dilution (red). Goat anti Rabbit IgG (Alexa Fluor® 488) (ab150077) was used as the secondary antibody at 1/1000 dilution (green). Nuclei counterstained with DAPI (blue).

Flow Cytometry (Intracellular) - Anti-STK3/MST-2 antibody [EP1466Y] (AB52641)
  • Flow Cyt (Intra)

Lab

Flow Cytometry (Intracellular) - Anti-STK3/MST-2 antibody [EP1466Y] (AB52641)

NIH/3T3 (Mouse embryonic fibroblast) cells were fixed with4% paraformaldehyde and permeabilised with 90% methanol. The primary antibody (ab52641) was used at a 1/70 dilution (1 μg) (red). A Goat anti rabbit IgG (Alexa Fluorr® 488, ab150077) was used as the secondary antibody at a 1/2000 dilution. A Rabbit monoclonal IgG (ab172730) (black) was used as an isotype control.Cells without incubation with primary antibody and secondary antibody were used as an unlabelled control (blue).

Western blot - Anti-STK3/MST-2 antibody [EP1466Y] (AB52641)
  • WB

Lab

Western blot - Anti-STK3/MST-2 antibody [EP1466Y] (AB52641)

Blocking buffer : 5% NFDM/TBST
Dilution buffer : 5% NFDM/TBST

All lanes:

Western blot - Anti-STK3/MST-2 antibody [EP1466Y] (ab52641) at 1/50000 dilution

Lane 1:

HEK293 whole cell lysate at 10 µg

Lane 2:

HeLa whole cell lysate at 10 µg

Secondary

All lanes:

Western blot - Goat Anti-Rabbit IgG H&L (HRP) (<a href='/products/secondary-antibodies/goat-rabbit-igg-h-l-hrp-ab97051'>ab97051</a>) at 1/20000 dilution

Predicted band size: 56 kDa

Observed band size: 56 kDa

false

Western blot - Anti-STK3/MST-2 antibody [EP1466Y] (AB52641)
  • WB

Lab

Western blot - Anti-STK3/MST-2 antibody [EP1466Y] (AB52641)

Lane 1 : Wild-type HAP1 cell lysate (20 μg)
Lane 2 : STK3/MST-2 knockout HAP1 cell lysate (20 μg)
Lane 3 : NIH/3T3 cell lysate (20 μg)
Lane 4 : 293T cell lysate (20 μg)
Lanes 1 - 4 : Merged signal (red and green). Green - ab52641 observed at 56 kDa. Red - loading control, ab8245, observed at 37 kDa.

ab52641 was shown to specifically react with STK3/MST-2 when STK3/MST-2 knockout samples were used. Wild-type and STK3/MST-2 knockout samples were subjected to SDS-PAGE. ab52641 and ab8245 (loading control to GAPDH) were diluted 1/10 000 and 1/2000 and incubated overnight at 4°C. Blots were developed with Goat anti-Rabbit IgG H&L (IRDye® 800CW) preadsorbed (ab216773) and Goat anti-Mouse IgG H&L (IRDye® 680RD) preadsorbed (ab216776) secondary antibodies at 1/10 000 dilution for 1 h at room temperature before imaging.

All lanes:

Western blot - Anti-STK3/MST-2 antibody [EP1466Y] (ab52641)

Predicted band size: 56 kDa

false

Western blot - Anti-STK3/MST-2 antibody [EP1466Y] (AB52641)
  • WB

Unknown

Western blot - Anti-STK3/MST-2 antibody [EP1466Y] (AB52641)

Blocking buffer : 5% NFDM/TBST
Dilution buffer : 5% NFDM/TBST

All lanes:

Western blot - Anti-STK3/MST-2 antibody [EP1466Y] (ab52641) at 1/50000 dilution

Lane 1:

C6 whole cell lysate at 10 µg

Lane 2:

NIH/3T3 whole cell lysate at 10 µg

Secondary

All lanes:

Western blot - Goat Anti-Rabbit IgG H&L (HRP) (<a href='/products/secondary-antibodies/goat-rabbit-igg-h-l-hrp-ab97051'>ab97051</a>) at 1/50000 dilution

Predicted band size: 56 kDa

Observed band size: 56 kDa

false

Immunoprecipitation - Anti-STK3/MST-2 antibody [EP1466Y] (AB52641)
  • IP

Unknown

Immunoprecipitation - Anti-STK3/MST-2 antibody [EP1466Y] (AB52641)

ab52641 (purified) at 1/50 immunoprecipitating STK3/MST-2 in 10 μg C6 cell lysate (Lanes 1 and 2, observed at 56 kDa). Lane 3 - Rabbit monoclonal IgG (ab172730). For western blotting, HRP Veriblot for IP (ab131366) was used for detection (1/10 000). Blocking buffer and concentration : 5% NFDM/TBST Dilution buffer and concentration : 5% NFDM/TBST

All lanes:

Immunoprecipitation - Anti-STK3/MST-2 antibody [EP1466Y] (ab52641)

Predicted band size: 56 kDa

false

関連する標識済み抗体及び組成の異なる製品 (10)

  • 578 PE

    PE Anti-STK3 / MST-2 antibody [EP1466Y]

  • 660 APC

    APC Anti-STK3 / MST-2 antibody [EP1466Y]

  • 617 Alexa Fluor® 594

    Alexa Fluor® 594 Anti-STK3 / MST-2 antibody [EP1466Y]

  • 519 Alexa Fluor® 488

    Alexa Fluor® 488 Anti-STK3 / MST-2 antibody [EP1466Y]

  • 665 Alexa Fluor® 647

    Alexa Fluor® 647 Anti-STK3 / MST-2 antibody [EP1466Y]

  • 603 Alexa Fluor® 568

    Alexa Fluor® 568 Anti-STK3 / MST-2 antibody [EP1466Y]

  • Carrier free

    Anti-STK3/MST-2 antibody [EP1466Y] - BSA and Azide free

  • HRP

    HRP Anti-STK3 / MST-2 antibody [EP1466Y]

  • 565 Alexa Fluor® 555

    Alexa Fluor® 555 Anti-STK3 / MST-2 antibody [EP1466Y]

  • 775 Alexa Fluor® 750

    Alexa Fluor® 750 Anti-STK3/MST-2 antibody [EP1466Y]

Key facts

宿主種

Rabbit

クローン性

Monoclonal

クローン番号

EP1466Y

アイソタイプ

IgG

キャリアフリー

No

交差種

Mouse, Rat, Human

アプリケーション

IP, Flow Cyt (Intra), WB, IHC-P, ICC/IF

applications

免疫原

The exact immunogen used to generate this antibody is proprietary information.

Reactivity data

{ "title": "Reactivity Data", "filters": { "stats": ["", "Species", "Dilution Info", "Notes"], "tabs": { "all-applications": {"fullname" : "All Applications", "shortname": "All Applications"}, "IP" : {"fullname" : "Immunoprecipitation", "shortname":"IP"}, "WB" : {"fullname" : "Western blot", "shortname":"WB"}, "ICCIF" : {"fullname" : "Immunocytochemistry/ Immunofluorescence", "shortname":"ICC/IF"}, "FlowCytIntra" : {"fullname" : "Flow Cytometry (Intracellular)", "shortname":"Flow Cyt (Intra)"}, "IHCP" : {"fullname" : "Immunohistochemistry (Formalin/PFA-fixed paraffin-embedded sections)", "shortname":"IHC-P"} }, "product-promise": { "all": "all", "testedAndGuaranteed": "tested", "guaranteed": "expected", "predicted": "predicted", "notRecommended": "not-recommended" } }, "values": { "Human": { "IP-species-checked": "testedAndGuaranteed", "IP-species-dilution-info": "1/50 - 1/100", "IP-species-notes": "<p></p>", "WB-species-checked": "testedAndGuaranteed", "WB-species-dilution-info": "1/10000 - 1/50000", "WB-species-notes": "<p></p>", "ICCIF-species-checked": "testedAndGuaranteed", "ICCIF-species-dilution-info": "5 µg/mL", "ICCIF-species-notes": "<p></p>", "FlowCytIntra-species-checked": "guaranteed", "FlowCytIntra-species-dilution-info": "", "FlowCytIntra-species-notes": "", "IHCP-species-checked": "testedAndGuaranteed", "IHCP-species-dilution-info": "1/50 - 1/100", "IHCP-species-notes": "<p>Antigen retrieval step strongly recommended for enhanced signal.</p>" }, "Mouse": { "IP-species-checked": "guaranteed", "IP-species-dilution-info": "", "IP-species-notes": "", "WB-species-checked": "guaranteed", "WB-species-dilution-info": "", "WB-species-notes": "", "ICCIF-species-checked": "testedAndGuaranteed", "ICCIF-species-dilution-info": "5 µg/mL", "ICCIF-species-notes": "<p></p>", "FlowCytIntra-species-checked": "testedAndGuaranteed", "FlowCytIntra-species-dilution-info": "1/70", "FlowCytIntra-species-notes": "<p></p>", "IHCP-species-checked": "guaranteed", "IHCP-species-dilution-info": "", "IHCP-species-notes": "" }, "Rat": { "IP-species-checked": "guaranteed", "IP-species-dilution-info": "", "IP-species-notes": "", "WB-species-checked": "testedAndGuaranteed", "WB-species-dilution-info": "1/10000 - 1/50000", "WB-species-notes": "<p></p>", "ICCIF-species-checked": "guaranteed", "ICCIF-species-dilution-info": "", "ICCIF-species-notes": "", "FlowCytIntra-species-checked": "guaranteed", "FlowCytIntra-species-dilution-info": "", "FlowCytIntra-species-notes": "", "IHCP-species-checked": "guaranteed", "IHCP-species-dilution-info": "", "IHCP-species-notes": "" } } }

製品の詳細

Patented technology
Our RabMAb® technology is a patented hybridoma-based technology for making rabbit monoclonal antibodies. For details on our patents, please refer to RabMAb® patents.

What are the advantages of a recombinant monoclonal antibody?
This product is a recombinant monoclonal antibody, which offers several advantages including:

  • - High batch-to-batch consistency and reproducibility
  • - Improved sensitivity and specificity
  • - Long-term security of supply
  • - Animal-free batch production

For more information, read more on recombinant antibodies.

出荷温度及び保存条件

製品の状態
Liquid
精製方法
Affinity purification Protein A
バッファー組成
pH: 7.2 - 7.4 Preservative: 0.01% Sodium azide Constituents: PBS, 40% Glycerol (glycerin, glycerine), 0.05% BSA
出荷温度
Blue Ice
短期保存期間
1-2 weeks
短期保存温度
+4°C
長期保存温度
-20°C
分注に関する情報
Upon delivery aliquot
保管に関する情報
Stable for 12 months at -20°C

補足情報

This supplementary information is collated from multiple sources and compiled automatically.

STK3 also known as MST-2 is a serine/threonine protein kinase with a molecular mass of around 60 kDa. It plays an integral role in cell signaling by phosphorylating and activating downstream targets. MST-2 localizes mainly in the cytoplasm and is expressed broadly across various tissues with notable activity in liver kidney and heart tissues. This kinase contributes to the regulation of cell shape and apoptosis reinforcing its importance in cellular homeostasis.
Biological function summary

STK3/MST-2 is a core component of the Hippo signaling pathway which controls organ size by regulating cell proliferation and apoptosis. MST-2 often interacts with other proteins and participates in functional complexes notably with MOB1 and LATS1/2. These interactions are essential for transmitting growth inhibitory signals. Through its kinase activity MST-2 phosphorylates and activates these molecules initiating a cascade that ultimately influences gene expression impacting cell cycle and cell death processes.

Pathways

MST-2 plays a pivotal role not only in the Hippo pathway but also in the MAPK signaling network. In the Hippo pathway MST-2 phosphorylates components like LATS1/2 subsequently affecting the translocation and activity of YAP/TAZ transcription factors which control cell proliferation and survival. In the MAPK pathway MST-2 can interact with other kinases such as ASK1 to influence stress response signaling. These interactions demonstrate how MST-2 integrates signals between pathways to mediate critical decisions in cell life and death.

MST-2 has implications in cancer and cardiac diseases. Dysregulation of the Hippo pathway involving MST-2 is frequently observed in various cancers where impaired MST-2 function contributes to unchecked cell growth and tumor progression. Moreover MST-2 connects with other proteins like YAP often overactive in cancers emphasizing its role in controlling cell division. In cardiac context alterations in MST-2 activity relate to cardiac hypertrophy as proper functioning of the kinase is necessary to maintain cardiac tissue architecture and response to stress.

製品プロトコール

For this product, it's our understanding that no specific protocols are required. You can visit:

ターゲットの情報

Stress-activated, pro-apoptotic kinase which, following caspase-cleavage, enters the nucleus and induces chromatin condensation followed by internucleosomal DNA fragmentation (PubMed : 11278283, PubMed : 8566796, PubMed : 8816758). Key component of the Hippo signaling pathway which plays a pivotal role in organ size control and tumor suppression by restricting proliferation and promoting apoptosis. The core of this pathway is composed of a kinase cascade wherein STK3/MST2 and STK4/MST1, in complex with its regulatory protein SAV1, phosphorylates and activates LATS1/2 in complex with its regulatory protein MOB1, which in turn phosphorylates and inactivates YAP1 oncoprotein and WWTR1/TAZ (PubMed : 15688006, PubMed : 16930133, PubMed : 23972470, PubMed : 28087714, PubMed : 29063833, PubMed : 30622739). Phosphorylation of YAP1 by LATS2 inhibits its translocation into the nucleus to regulate cellular genes important for cell proliferation, cell death, and cell migration (PubMed : 15688006, PubMed : 16930133, PubMed : 23972470, PubMed : 28087714). STK3/MST2 and STK4/MST1 are required to repress proliferation of mature hepatocytes, to prevent activation of facultative adult liver stem cells (oval cells), and to inhibit tumor formation. Phosphorylates NKX2-1 (By similarity). Phosphorylates NEK2 and plays a role in centrosome disjunction by regulating the localization of NEK2 to centrosome, and its ability to phosphorylate CROCC and CEP250 (PubMed : 21076410, PubMed : 21723128). In conjunction with SAV1, activates the transcriptional activity of ESR1 through the modulation of its phosphorylation (PubMed : 21104395). Positively regulates RAF1 activation via suppression of the inhibitory phosphorylation of RAF1 on 'Ser-259' (PubMed : 20212043). Phosphorylates MOBKL1A and RASSF2 (PubMed : 19525978). Phosphorylates MOBKL1B on 'Thr-74'. Acts cooperatively with MOBKL1B to activate STK38 (PubMed : 18328708, PubMed : 18362890).
See full target information STK3

文献 (49)

Recent publications for all applications. Explore the full list and refine your search

Neoplasia (New York, N.Y.) 60:101102 PubMed39674114

2024

USP20 mediates malignant phenotypic changes in bladder cancer through direct interactions with YAP1.

Applications

Unspecified application

Species

Unspecified reactive species

Wensun Chen,Siqi Wu,Yifan Chen,Weijian Li,Yiqing Cao,Yingchun Liang,Xiyu Dai,Xinan Chen,Yilin Chen,Tian Chen,Shenghua Liu,Chen Yang,Haowen Jiang

Journal of biomedical science 31:100 PubMed39497128

2024

The molecular consequences of FOXF1 missense mutations associated with alveolar capillary dysplasia with misalignment of pulmonary veins.

Applications

Unspecified application

Species

Unspecified reactive species

G G Edel,M van Kempen,A Boerema-de Munck,C N Huisman,C A P Naalden,R W W Brouwer,S Koornneef,W F J van IJcken,R M H Wijnen,R J Rottier

Breast cancer research : BCR 26:105 PubMed38937788

2024

Circular RNA HSDL2 promotes breast cancer progression via miR-7978 ZNF704 axis and regulating hippo signaling pathway.

Applications

Unspecified application

Species

Unspecified reactive species

Dandan Wang,Sujin Yang,Mengmeng Lyu,Liping Xu,Shanliang Zhong,Dandan Yu

The Journal of biological chemistry 300:107311 PubMed38657866

2024

Reactivating Hippo by drug compounds to suppress gastric cancer and enhance chemotherapy sensitivity.

Applications

Unspecified application

Species

Unspecified reactive species

Zhifa Cao,Yu Hou,Zhangting Zhao,Hui Zhang,Luyang Tian,Yiming Zhang,Chao Dong,Fenghua Guo,Lijie Tan,Yi Han,Wenjia Wang,Shi Jiao,Yang Tang,Liwei An,Zhaocai Zhou

mBio 15:e0342923 PubMed38624208

2024

The Hippo kinases control inflammatory Hippo signaling and restrict bacterial infection in phagocytes.

Applications

Unspecified application

Species

Unspecified reactive species

Brendyn M St Louis,Sydney M Quagliato,Yu-Ting Su,Gregory Dyson,Pei-Chung Lee

Cellular oncology (Dordrecht, Netherlands) 47:1295-1314 PubMed38436783

2024

STK3 kinase activation inhibits tumor proliferation through FOXO1-TP53INP1/P21 pathway in esophageal squamous cell carcinoma.

Applications

Unspecified application

Species

Unspecified reactive species

Ziying Zhao,Yuan Chu,Anqi Feng,Shihan Zhang,Hao Wu,Zhaoxing Li,Mingchuang Sun,Li Zhang,Tao Chen,Meidong Xu

Cell reports 42:113535 PubMed38060450

2023

Epinephrine inhibits PI3Kα via the Hippo kinases.

Applications

Unspecified application

Species

Unspecified reactive species

Ting-Yu Lin,Shakti Ramsamooj,Tiffany Perrier,Katarina Liberatore,Louise Lantier,Neil Vasan,Kannan Karukurichi,Seo-Kyoung Hwang,Edward A Kesicki,Edward R Kastenhuber,Thorsten Wiederhold,Tomer M Yaron,Emily M Huntsman,Mengmeng Zhu,Yilun Ma,Marcia N Paddock,Guoan Zhang,Benjamin D Hopkins,Owen McGuinness,Robert E Schwartz,Baran A Ersoy,Lewis C Cantley,Jared L Johnson,Marcus D Goncalves

Nucleic acids research 51:10568-10589 PubMed37739411

2023

The TRIM69-MST2 signaling axis regulates centrosome dynamics and chromosome segregation.

Applications

Unspecified application

Species

Unspecified reactive species

Yilin Wang,Patrik Risteski,Yang Yang,Huan Chen,Gaith Droby,Andrea Walens,Deepika Jayaprakash,Melissa Troester,Laura Herring,Jonathan Chernoff,Iva M Tolić,Jessica Bowser,Cyrus Vaziri

International journal of general medicine 16:3115-3124 PubMed37496599

2023

Serine/Threonine Protein Kinase-3 Promotes Oral Squamous Cell Carcinoma by Activating Ras-MAPK Mediated Cell Cycle Progression.

Applications

Unspecified application

Species

Unspecified reactive species

Li Yue,Yuedi Xu,Ping Lu

The EMBO journal 42:e112900 PubMed37350545

2023

Proteolytic activation of angiomotin by DDI2 promotes angiogenesis.

Applications

Unspecified application

Species

Unspecified reactive species

Yu Wang,Yuwen Zhu,Yebin Wang,Yue Chang,Fang Geng,Mingyue Ma,Yuan Gu,Aijuan Yu,Rui Zhu,Pengcheng Yu,Zhao Sha,Sixian Qi,Jian Li,Wencao Zhao,Weijun Pan,Ruilin Zhang,Fa-Xing Yu
View all publications

Abcam product promise

当社は、高品質な試薬を通じてお客様の研究を力強くサポートすることをお約束いたします。ご使用いただく各段階で、常にお客様をサポートできる体制を整えております。万が一、製品が期待通りに機能しない場合は、「Abcam Product Promise」による当社保証制度に基づき、安心してご利用いただけます。
保証に関する詳細については利用規約をご確認ください。

Please note: All products are 'FOR RESEARCH USE ONLY. NOT FOR USE IN DIAGNOSTIC OR THERAPEUTIC PROCEDURES'.

For licensing inquiries, please contact partnerships@abcam.com