JavaScript is disabled in your browser. Please enable JavaScript to view this website.
AB228806

Anti-STK16 抗体

Anti-STK16 antibody

  • JP Deleterious:医薬用外劇物

Be the first to review this product! Submit a review

|

(1 Publication)

Rabbit Polyclonal STK16 antibody. Suitable for WB, IHC-P and reacts with Human samples. Cited in 1 publication. Immunogen corresponding to Recombinant Fragment Protein within Human STK16.

別名を表示する

MPSK1, PKL12, TSF1, STK16, Serine/threonine-protein kinase 16, Myristoylated and palmitoylated serine/threonine-protein kinase, Protein kinase PKL12, TGF-beta-stimulated factor 1, Tyrosine-protein kinase STK16, hPSK, MPSK, TSF-1

2 Images
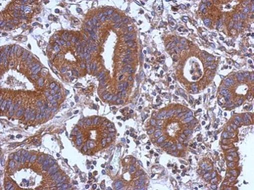
Immunohistochemistry (Formalin/PFA-fixed paraffin-embedded sections) - Anti-STK16 antibody (AB228806)
  • IHC-P

Supplier Data

Immunohistochemistry (Formalin/PFA-fixed paraffin-embedded sections) - Anti-STK16 antibody (AB228806)

Paraffin-embedded human colon carcinoma tissue stained for STK16 using ab228806 at 1/500 dilution in immunohistochemical analysis.

Western blot - Anti-STK16 antibody (AB228806)
  • WB

Supplier Data

Western blot - Anti-STK16 antibody (AB228806)

10% SDS-PAGE gel.

All lanes:

Western blot - Anti-STK16 antibody (ab228806) at 1/1000 dilution

All lanes:

U-87 MG (human glioblastoma-astrocytoma epithelial cell line) whole cell lysate at 30 µg

Predicted band size: 35 kDa

false

Key facts

宿主種

Rabbit

クローン性

Polyclonal

アイソタイプ

IgG

キャリアフリー

No

交差種

Human

アプリケーション

WB, IHC-P

applications

免疫原

Recombinant Fragment Protein within Human STK16. The exact immunogen used to generate this antibody is proprietary information.

O75716

Reactivity data

{ "title": "Reactivity Data", "filters": { "stats": ["", "Species", "Dilution Info", "Notes"], "tabs": { "all-applications": {"fullname" : "All Applications", "shortname": "All Applications"}, "WB" : {"fullname" : "Western blot", "shortname":"WB"}, "IHCP" : {"fullname" : "Immunohistochemistry (Formalin/PFA-fixed paraffin-embedded sections)", "shortname":"IHC-P"} }, "product-promise": { "all": "all", "testedAndGuaranteed": "tested", "guaranteed": "expected", "predicted": "predicted", "notRecommended": "not-recommended" } }, "values": { "Human": { "WB-species-checked": "testedAndGuaranteed", "WB-species-dilution-info": "1/500 - 1/3000", "WB-species-notes": "<p></p>", "IHCP-species-checked": "testedAndGuaranteed", "IHCP-species-dilution-info": "1/100 - 1/1000", "IHCP-species-notes": "<p></p>" }, "Mouse": { "WB-species-checked": "predicted", "WB-species-dilution-info": "", "WB-species-notes": "", "IHCP-species-checked": "predicted", "IHCP-species-dilution-info": "", "IHCP-species-notes": "" }, "Rat": { "WB-species-checked": "predicted", "WB-species-dilution-info": "", "WB-species-notes": "", "IHCP-species-checked": "predicted", "IHCP-species-dilution-info": "", "IHCP-species-notes": "" }, "Cow": { "WB-species-checked": "predicted", "WB-species-dilution-info": "", "WB-species-notes": "", "IHCP-species-checked": "predicted", "IHCP-species-dilution-info": "", "IHCP-species-notes": "" }, "Rhesus monkey": { "WB-species-checked": "predicted", "WB-species-dilution-info": "", "WB-species-notes": "", "IHCP-species-checked": "predicted", "IHCP-species-dilution-info": "", "IHCP-species-notes": "" } } }

出荷温度及び保存条件

製品の状態
Liquid
精製方法
Affinity purification Immunogen
バッファー組成
pH: 7 Preservative: 0.01% Thimerosal (merthiolate) Constituents: PBS, 20% Glycerol (glycerin, glycerine), 1% BSA
出荷温度
Blue Ice
短期保存期間
1-2 weeks
短期保存温度
+4°C
長期保存温度
-20°C
分注に関する情報
Upon delivery aliquot
保管に関する情報
Avoid freeze / thaw cycle

補足情報

This supplementary information is collated from multiple sources and compiled automatically.

STK16 also known as Serine/threonine-protein kinase 16 or KRCT is a protein kinase that has a mass of approximately 33 kDa. It phosphorylates proteins on serine and threonine residues playing a role in several cellular processes. STK16 is expressed in many body tissues with higher levels detected in the brain liver and spleen. Its widespread expression suggests it has a function in different cellular contexts.
Biological function summary

STK16 influences various processes at the cellular level. It participates in vesicular trafficking and Golgi function ensuring proper sorting and delivery of proteins within cells. Although not typically seen as part of large complexes it interacts with several other proteins to exert its biological roles. The protein’s activity affects cell cycle progression and can influence cellular growth and motility.

Pathways

STK16 integrates into key regulatory networks such as the Golgi-associated vesicle budding pathway and cell signaling pathways. These pathways are important for maintaining cellular organization and communication. STK16’s interactions with proteins like COPII in vesicle trafficking and possibly components of the MAPK signaling cascade highlight its connectivity within cellular pathways and its regulatory potential.

STK16 has been associated with conditions related to cell cycle dysregulation and tumor growth. Dysfunctions in STK16 expression or activity might contribute to the progression of cancers such as breast cancer by impacting cell proliferation and survival. Other kinases like Akt may interact with STK16 or similar pathways influencing disease pathways and offering potential therapeutic intervention points.

製品プロトコール

For this product, it's our understanding that no specific protocols are required. You can visit:

ターゲットの情報

Membrane-associated protein kinase that phosphorylates on serine and threonine residues. In vitro substrates include DRG1, ENO1 and EIF4EBP1. Also autophosphorylates. May be involved in secretory vesicle trafficking or intracellular signaling. May have a role in regulating stromal-epithelial interactions that occur during ductal morphogenesis in the mammary gland. May be involved in TGF-beta signaling. Able to autophosphorylate on Tyr residue; it is however unclear whether it has tyrosine-protein kinase toward other proteins.
See full target information STK16

文献 (1)

Recent publications for all applications. Explore the full list and refine your search

Molecular medicine (Cambridge, Mass.) 31:120 PubMed40140755

2025

Identifying nexilin as a central gene in neutrophil-driven abdominal aortic aneurysm pathogenesis.

Applications

Unspecified application

Species

Unspecified reactive species

Bohan Yang,Yiyan Xu,Fengfei Yan,Cheng Peng,Ye Song,Song Han,Haiyang Wang
View all publications

Abcam product promise

当社は、高品質な試薬を通じてお客様の研究を力強くサポートすることをお約束いたします。ご使用いただく各段階で、常にお客様をサポートできる体制を整えております。万が一、製品が期待通りに機能しない場合は、「Abcam Product Promise」による当社保証制度に基づき、安心してご利用いただけます。
保証に関する詳細については利用規約をご確認ください。

Please note: All products are 'FOR RESEARCH USE ONLY. NOT FOR USE IN DIAGNOSTIC OR THERAPEUTIC PROCEDURES'.

For licensing inquiries, please contact partnerships@abcam.com