JavaScript is disabled in your browser. Please enable JavaScript to view this website.
AB324263

Anti-STEAP1 antibody [EPR29701-75]

Anti-STEAP1 antibody [EPR29701-75]

  • BOND RX™ Validated
  • RabMAb
  • Recombinant
  • 20ul selling size
  • 詳細を見る

0

(1 Review)

|

(0 Publication)

Rabbit Recombinant Monoclonal STEAP1 antibody. Suitable for WB, IHC-P and reacts with Transfected cell lysate - Human, Human samples.

別名を表示する

PRSS24, STEAP, STEAP1, STEAP1 protein, Six-transmembrane epithelial antigen of prostate 1

7 Images
Immunohistochemistry (Formalin/PFA-fixed paraffin-embedded sections) - Anti-STEAP1 antibody [EPR29701-75] (AB324263)
  • IHC-P

Supplier Data

Immunohistochemistry (Formalin/PFA-fixed paraffin-embedded sections) - Anti-STEAP1 antibody [EPR29701-75] (AB324263)

Immunohistochemical analysis of paraffin-embedded Human prostate carcinoma tissue labeling STEAP1 with ab324263 at 1/100 (5.27 ug/ml) dilution, followed by a ready to use LeicaDS9800 (Bond™ Polymer Refine Detection).

Positive staining on human prostate carcinoma (PMID : 10588738).
The primary antibody was incubated for 30 mins at room temperature.
The immunostaining was performed on a Leica Biosystems BOND® RX instrument

Counterstained with Hematoxylin.

Secondary antibody only control : Secondary antibody is a ready to use LeicaDS9800 (Bond™ Polymer Refine Detection).

Heat mediated antigen retrieval was performed with Tris-EDTA buffer (pH 9.0, Epitope Retrieval Solution2) for 20 mins

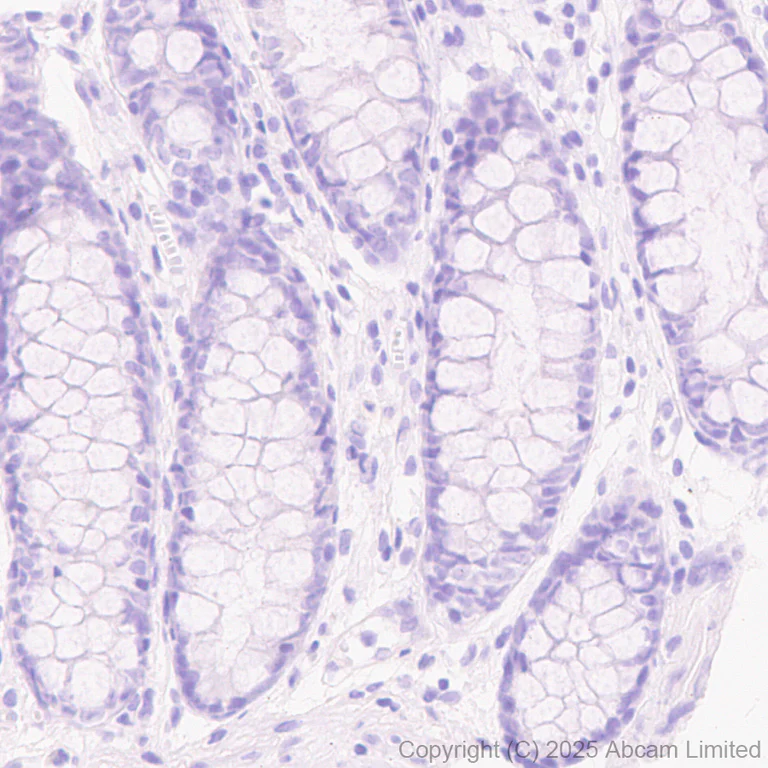
Immunohistochemistry (Formalin/PFA-fixed paraffin-embedded sections) - Anti-STEAP1 antibody [EPR29701-75] (AB324263)
  • IHC-P

Supplier Data

Immunohistochemistry (Formalin/PFA-fixed paraffin-embedded sections) - Anti-STEAP1 antibody [EPR29701-75] (AB324263)

Immunohistochemical analysis of paraffin-embedded Human colon tissue labeling STEAP1 with ab324263 at 1/100 (5.27 ug/ml) dilution, followed by a ready to use LeicaDS9800 (Bond™ Polymer Refine Detection).

Low expression tissue : No staining on human colon (PMID : 10588738).
The primary antibody was incubated for 30 mins at room temperature.
The immunostaining was performed on a Leica Biosystems BOND® RX instrument

Counterstained with Hematoxylin.

Secondary antibody only control : Secondary antibody is a ready to use LeicaDS9800 (Bond™ Polymer Refine Detection).

Heat mediated antigen retrieval was performed with Tris-EDTA buffer (pH 9.0, Epitope Retrieval Solution2) for 20 mins

Immunohistochemistry (Formalin/PFA-fixed paraffin-embedded sections) - Anti-STEAP1 antibody [EPR29701-75] (AB324263)
  • IHC-P

Supplier Data

Immunohistochemistry (Formalin/PFA-fixed paraffin-embedded sections) - Anti-STEAP1 antibody [EPR29701-75] (AB324263)

Immunohistochemical analysis of paraffin-embedded Human cerebrum tissue labeling STEAP1 with ab324263 at 1/100 (5.27 ug/ml) dilution, followed by a ready to use LeicaDS9800 (Bond™ Polymer Refine Detection).

Low expression tissue : No staining on human cerebrum (PMID : 10588738).
The primary antibody was incubated for 30 mins at room temperature.
The immunostaining was performed on a Leica BiosystemsBOND® RX instrument

Counterstained with Hematoxylin.

Secondary antibody only control : Secondary antibody is a ready to use LeicaDS9800 (Bond™ Polymer Refine Detection).

Heat mediated antigen retrieval was performed with Tris-EDTA buffer (pH 9.0, Epitope Retrieval Solution2) for 20 mins

Immunohistochemistry (Formalin/PFA-fixed paraffin-embedded sections) - Anti-STEAP1 antibody [EPR29701-75] (AB324263)
  • IHC-P

Lab

Immunohistochemistry (Formalin/PFA-fixed paraffin-embedded sections) - Anti-STEAP1 antibody [EPR29701-75] (AB324263)

Immunohistochemical analysis of paraffin-embedded HEK-293T (human embryonic kidney epithelial cell) cells labelling STEAP1 with ab324263 at 1 : 8000 (0.066 μg/ml). Positive staining on (A) HEK-293T transfected with a human STEAP1 expression vector containing a His tag, no staining on (B) HEK-293T transfected with a human STEAP1B1 expression vector containing a His tag, (C) HEK-293T transfected with a human STEAP1B2 expression vector containing a His tag, (D) HEK-293T transfected with a human STEAP2 expression vector containing a His tag, (E) HEK-293T transfected with a human STEAP3 expression vector containing a His tag, (F) HEK-293T transfected with a human STEAP4 expression vector containing a His tag, and (G) HEK-293T transfected with empty vector containing a His tag. The primary antibody was incubated for 30 mins at room temperature.

The immunostaining was performed on a Leica Biosystems BOND® RX instrument. Secondary antibody was a ready to use LeicaDS9800 (Bond™ Polymer Refine Detection) kit.

Counterstained with Hematoxylin.

Slides were incubated with 3% Hydrogen Peroxide for 10 mins at room temperature after secondary antibody incubation to reduce the background.

Heat mediated antigen retrieval was performed with Tris-EDTA buffer (pH 9.0, Epitope Retrieval Solution2) for 20 mins.

Immunohistochemistry (Formalin/PFA-fixed paraffin-embedded sections) - Anti-STEAP1 antibody [EPR29701-75] (AB324263)
  • IHC-P

Supplier Data

Immunohistochemistry (Formalin/PFA-fixed paraffin-embedded sections) - Anti-STEAP1 antibody [EPR29701-75] (AB324263)

Immunohistochemical analysis of paraffin-embedded (A) LNCaP (human prostate carcinoma epithelial cell) cell pellet. (B) PC-3 (human prostate adenocarcinoma epithelial cell) cell pellet. tissue labeling STEAP1 with ab324263 at 1/100 (5.27 ug/ml) dilution, followed by a ready to use LeicaDS9800 (Bond™ Polymer Refine Detection).

Positive staining on (A) LNCaP cell pellet, no staining on (B) PC-3 cell pellet.
The primary antibody was incubated for 30 mins at room temperature.
The immunostaining was performed on a Leica Biosystems BOND® RX instrument

Counterstained with Hematoxylin.

Secondary antibody only control : Secondary antibody is a ready to use LeicaDS9800 (Bond™ Polymer Refine Detection).

Heat mediated antigen retrieval was performed with Tris-EDTA buffer (pH 9.0, Epitope Retrieval Solution2) for 20 mins

Western blot - Anti-STEAP1 antibody [EPR29701-75] (AB324263)
  • WB

Supplier Data

Western blot - Anti-STEAP1 antibody [EPR29701-75] (AB324263)

Blocking and diluting buffer and concentration : 5% NFDM/TBST.

Low expression : PC-3, DU 145 (PMID : 37041154).

The expression profile/ molecular weight observed is consistent with what has been described in the literature (PMID : 37041154).

In Western blot, Anti-GAPDH antibody [EPR16891] - Loading Control (ab181602) staining at 1/200000 dilution.

All lanes:

Western blot - Anti-STEAP1 antibody [EPR29701-75] (ab324263) at 1/1000 dilution

Lane 1:

22Rv1 (human prostate carcinoma epithelial cell) whole cell lysate at 20 µg

Lane 2:

LNCaP (human prostate carcinoma epithelial cell) whole cell lysate at 20 µg

Lane 3:

PC-3 (human prostate adenocarcinoma epithelial cell) whole cell lysate at 20 µg

Lane 4:

DU 145 (human prostate carcinoma epithelial cell) whole cell lysate at 20 µg

Secondary

All lanes:

Western blot - Goat Anti-Rabbit IgG H&L (HRP) (<a href='/products/secondary-antibodies/goat-rabbit-igg-h-l-hrp-ab97051'>ab97051</a>) at 1/20000 dilution

Observed band size: 30 kDa,32 kDa,36 kDa

false

Exposure time: 70s

Western blot - Anti-STEAP1 antibody [EPR29701-75] (AB324263)
  • WB

Supplier Data

Western blot - Anti-STEAP1 antibody [EPR29701-75] (AB324263)

Blocking and diluting buffer and concentration : 5% NFDM/TBST.

This antibody does not cross-react with human STEAP1B1, STEAP1B2, STEAP2, STEAP3, STEAP4.

In Western blot, Anti-6X His tag® antibody [EPR20547] - ChIP Grade (ab213204) staining at 1/5000 dilution.

All lanes:

Western blot - Anti-STEAP1 antibody [EPR29701-75] (ab324263) at 1/1000 dilution

Lane 1:

293T cells transfected with an empty vector containing a His-tag, whole cell lysate at 20 µg

Lane 2:

293T cells transfected with a human STEAP1 expression vector containing a His-tag, whole cell lysate at 20 µg

Lane 3:

293T cells transfected with a human STEAP1B1 expression vector containing a His-tag, whole cell lysate at 20 µg

Lane 4:

293T cells transfected with a human STEAP1B2 expression vector containing a His-tag, whole cell lysate at 20 µg

Lane 5:

293T cells transfected with a human STEAP2 expression vector containing a His-tag, whole cell lysate at 20 µg

Lane 6:

293T cells transfected with a human STEAP3 expression vector containing a His-tag, whole cell lysate at 20 µg

Lane 7:

293T cells transfected with a human STEAP4 expression vector containing a His-tag, whole cell lysate at 20 µg

Secondary

All lanes:

Western blot - Goat Anti-Rabbit IgG H&L (HRP) (<a href='/products/secondary-antibodies/goat-rabbit-igg-h-l-hrp-ab97051'>ab97051</a>) at 1/100000 dilution

Observed band size: 30 kDa,32 kDa,15-50 kDa,15 kDa

false

Exposure time: 6s

Key facts

宿主種

Rabbit

クローン性

Monoclonal

クローン番号

EPR29701-75

アイソタイプ

IgG

キャリアフリー

No

交差種

Human

アプリケーション

WB, IHC-P

applications

免疫原

The exact immunogen used to generate this antibody is proprietary information.

Reactivity data

{ "title": "Reactivity Data", "filters": { "stats": ["", "Species", "Dilution Info", "Notes"], "tabs": { "all-applications": {"fullname" : "All Applications", "shortname": "All Applications"}, "WB" : {"fullname" : "Western blot", "shortname":"WB"}, "IHCP" : {"fullname" : "Immunohistochemistry (Formalin/PFA-fixed paraffin-embedded sections)", "shortname":"IHC-P"}, "IHCFr" : {"fullname" : "Immunohistochemistry (Frozen sections)", "shortname":"IHC-Fr"} }, "product-promise": { "all": "all", "testedAndGuaranteed": "tested", "guaranteed": "expected", "predicted": "predicted", "notRecommended": "not-recommended" } }, "values": { "Human": { "WB-species-checked": "testedAndGuaranteed", "WB-species-dilution-info": "1/1000", "WB-species-notes": "<p></p>", "IHCP-species-checked": "testedAndGuaranteed", "IHCP-species-dilution-info": "1/100", "IHCP-species-notes": "<p></p> Perform heat-mediated antigen retrieval with Tris/EDTA buffer pH 9.0 before commencing with IHC staining protocol.", "IHCFr-species-checked": "notRecommended", "IHCFr-species-dilution-info": "", "IHCFr-species-notes": "" }, "Mouse": { "WB-species-checked": "notRecommended", "WB-species-dilution-info": "", "WB-species-notes": "<p></p>", "IHCP-species-checked": "notRecommended", "IHCP-species-dilution-info": "", "IHCP-species-notes": "<p></p>", "IHCFr-species-checked": "notRecommended", "IHCFr-species-dilution-info": "", "IHCFr-species-notes": "<p></p>" }, "Transfected cell lysate - Human": { "WB-species-checked": "testedAndGuaranteed", "WB-species-dilution-info": "1/1000", "WB-species-notes": "<p></p>", "IHCP-species-checked": "notRecommended", "IHCP-species-dilution-info": "", "IHCP-species-notes": "", "IHCFr-species-checked": "notRecommended", "IHCFr-species-dilution-info": "", "IHCFr-species-notes": "" } } }

製品の詳細

Patented technology
Our RabMAb® technology is a patented hybridoma-based technology for making rabbit monoclonal antibodies. For details on our patents, please refer to RabMAb® patents.

What are the advantages of a recombinant monoclonal antibody?
This product is a recombinant monoclonal antibody, which offers several advantages including:

  • - High batch-to-batch consistency and reproducibility
  • - Improved sensitivity and specificity
  • - Long-term security of supply
  • - Animal-free batch production

For more information, read more on recombinant antibodies.

出荷温度及び保存条件

製品の状態
Liquid
精製方法
Affinity purification Protein A
バッファー組成
pH: 7.2 - 7.4 Preservative: 0.01% Sodium azide Constituents: PBS, 40% Glycerol (glycerin, glycerine), 0.05% BSA
出荷温度
Blue Ice
短期保存期間
1-2 weeks
短期保存温度
+4°C
長期保存温度
-20°C
分注に関する情報
Upon delivery aliquot
保管に関する情報
Avoid freeze / thaw cycle

製品プロトコール

For this product, it's our understanding that no specific protocols are required. You can visit:

ターゲットの情報

Does not function as a metalloreductase due to the absence of binding sites for the electron-donating substrate NADPH. Promotes Fe(3+) reduction when fused to the NADPH-binding domain of STEAP4.
See full target information STEAP1

Abcam product promise

当社は、高品質な試薬を通じてお客様の研究を力強くサポートすることをお約束いたします。ご使用いただく各段階で、常にお客様をサポートできる体制を整えております。万が一、製品が期待通りに機能しない場合は、「Abcam Product Promise」による当社保証制度に基づき、安心してご利用いただけます。
保証に関する詳細については利用規約をご確認ください。

Please note: All products are 'FOR RESEARCH USE ONLY. NOT FOR USE IN DIAGNOSTIC OR THERAPEUTIC PROCEDURES'.

For licensing inquiries, please contact partnerships@abcam.com