JavaScript is disabled in your browser. Please enable JavaScript to view this website.
AB32364

Anti-STAT5 (phospho Y694) 抗体 [E208]

Anti-STAT5 (phospho Y694) antibody [E208]

4

(11 Reviews)

|

(91 Publications)

Anti-STAT5 (phospho Y694) antibody [E208] (ab32364) is a rabbit monoclonal antibody detecting STAT5 in Western Blot, IHC-P, ELISA. Suitable for Human.

- Biophysical QC for unrivalled batch-batch consistency
- Over 70 publications
- Trusted since 2006

別名を表示する

STAT5, STAT5A, Signal transducer and activator of transcription 5A

5 Images
Immunohistochemistry (Formalin/PFA-fixed paraffin-embedded sections) - Anti-STAT5 (phospho Y694) antibody [E208] (AB32364)
  • IHC-P

Unknown

Immunohistochemistry (Formalin/PFA-fixed paraffin-embedded sections) - Anti-STAT5 (phospho Y694) antibody [E208] (AB32364)

Immunohistochemistry (Formalin/PFA-fixed paraffin-embedded sections) analysis of human breast carcinoma using unpurified ab32364 at a 1/50 dilution.

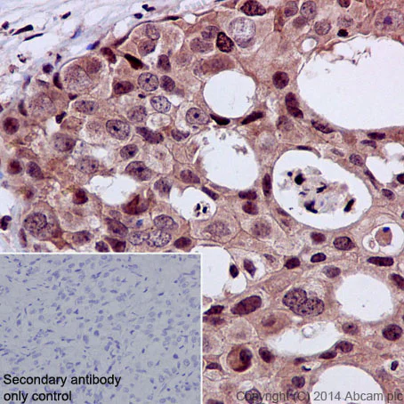
Immunohistochemistry (Formalin/PFA-fixed paraffin-embedded sections) - Anti-STAT5 (phospho Y694) antibody [E208] (AB32364)
  • IHC-P

Unknown

Immunohistochemistry (Formalin/PFA-fixed paraffin-embedded sections) - Anti-STAT5 (phospho Y694) antibody [E208] (AB32364)

Immunohistochemistry (Formalin/PFA-fixed paraffin-embedded sections) analysis of human infiltrating duct carcinoma of breast tissue labelling STAT5 (phospho Y694) with purified ab32364 at 1/50. Heat mediated antigen retrieval was performed using Tris/EDTA buffer pH 9. ab97051, a HRP-conjugated goat anti-rabbit IgG (H+L) was used as the secondary antibody (1/500). Negative control using PBS instead of primary antibody. Counterstained with hematoxylin.

Western blot - Anti-STAT5 (phospho Y694) antibody [E208] (AB32364)
  • WB

Unknown

Western blot - Anti-STAT5 (phospho Y694) antibody [E208] (AB32364)

Blocking and dilution buffer : 5% NFDM/TBST.

All lanes:

Western blot - Anti-STAT5 (phospho Y694) antibody [E208] (ab32364) at 1/1000 dilution

Lane 1:

A431 cell lysate, untreated at 10 µg

Lane 2:

A431 cell lysate, treated with Epidermal growth factor at 10 µg

Secondary

All lanes:

Peroxidase conjugated goat anti-rabbit IgG (H+L) at 1/1000 dilution

Predicted band size: 91 kDa

Observed band size: 90 kDa

false

ELISA - Anti-STAT5 (phospho Y694) antibody [E208] (AB32364)
  • ELISA

Lab

ELISA - Anti-STAT5 (phospho Y694) antibody [E208] (AB32364)

Serially diluted ab32364 was bound to immobilised phospho peptide (P) - or control peptides ((C), 1 microgram x mL-1). The antibody was detected by HRP-labelled goat anti-rabbit IgG (ab97080; diluted 1 : 50,000) and signal was developed with TMB substrate

Western blot - Anti-STAT5 (phospho Y694) antibody [E208] (AB32364)
  • WB

Unknown

Western blot - Anti-STAT5 (phospho Y694) antibody [E208] (AB32364)

All lanes:

Western blot - Anti-STAT5 (phospho Y694) antibody [E208] (ab32364) at 1/1000 dilution

Lane 1:

A431 cell lysate, untreated

Lane 2:

A431 cell lysate, treated with EGF

Lane 3:

A431 cell lysate, treated with phosphatase

Predicted band size: 91 kDa

Observed band size: 90 kDa

false

関連する標識済み抗体及び組成の異なる製品 (6)

  • Carrier free

    Anti-STAT5 (phospho Y694) antibody [E208] - BSA and Azide free

  • 565 Alexa Fluor® 555

    Alexa Fluor® 555 Anti-STAT5 (phospho Y694) antibody [E208]

  • 519 Alexa Fluor® 488

    Alexa Fluor® 488 Anti-STAT5 (phospho Y694) antibody [E208]

  • 665 Alexa Fluor® 647

    Alexa Fluor® 647 Anti-STAT5 (phospho Y694) antibody [E208]

  • 603 Alexa Fluor® 568

    Alexa Fluor® 568 Anti-STAT5 (phospho Y694) antibody [E208]

  • 617 Alexa Fluor® 594

    Alexa Fluor® 594 Anti-STAT5 (phospho Y694) antibody [E208]

Key facts

宿主種

Rabbit

クローン性

Monoclonal

クローン番号

E208

アイソタイプ

IgG

キャリアフリー

No

交差種

Human

アプリケーション

ELISA, IHC-P, WB

applications

免疫原

The exact immunogen used to generate this antibody is proprietary information.

Reactivity data

{ "title": "Reactivity Data", "filters": { "stats": ["", "Species", "Dilution Info", "Notes"], "tabs": { "all-applications": {"fullname" : "All Applications", "shortname": "All Applications"}, "IP" : {"fullname" : "Immunoprecipitation", "shortname":"IP"}, "ELISA" : {"fullname" : "ELISA", "shortname":"ELISA"}, "WB" : {"fullname" : "Western blot", "shortname":"WB"}, "ICCIF" : {"fullname" : "Immunocytochemistry/ Immunofluorescence", "shortname":"ICC/IF"}, "IHCP" : {"fullname" : "Immunohistochemistry (Formalin/PFA-fixed paraffin-embedded sections)", "shortname":"IHC-P"} }, "product-promise": { "all": "all", "testedAndGuaranteed": "tested", "guaranteed": "expected", "predicted": "predicted", "notRecommended": "not-recommended" } }, "values": { "Human": { "IP-species-checked": "notRecommended", "IP-species-dilution-info": "1/100", "IP-species-notes": "<p></p>", "ELISA-species-checked": "guaranteed", "ELISA-species-dilution-info": "", "ELISA-species-notes": "", "WB-species-checked": "testedAndGuaranteed", "WB-species-dilution-info": "1/1000", "WB-species-notes": "<p></p>", "ICCIF-species-checked": "notRecommended", "ICCIF-species-dilution-info": "1/50", "ICCIF-species-notes": "<p></p>", "IHCP-species-checked": "testedAndGuaranteed", "IHCP-species-dilution-info": "1/50", "IHCP-species-notes": "<p>Unsuitable for mouse.</p>" }, "Mouse": { "IP-species-checked": "notRecommended", "IP-species-dilution-info": "", "IP-species-notes": "", "ELISA-species-checked": "predicted", "ELISA-species-dilution-info": "", "ELISA-species-notes": "", "WB-species-checked": "predicted", "WB-species-dilution-info": "", "WB-species-notes": "", "ICCIF-species-checked": "notRecommended", "ICCIF-species-dilution-info": "", "ICCIF-species-notes": "", "IHCP-species-checked": "notRecommended", "IHCP-species-dilution-info": "1/50", "IHCP-species-notes": "<p>Unsuitable for mouse.</p>" }, "Synthetic peptide": { "IP-species-checked": "notRecommended", "IP-species-dilution-info": "", "IP-species-notes": "", "ELISA-species-checked": "testedAndGuaranteed", "ELISA-species-dilution-info": "", "ELISA-species-notes": "<p></p>", "WB-species-checked": "notRecommended", "WB-species-dilution-info": "", "WB-species-notes": "", "ICCIF-species-checked": "notRecommended", "ICCIF-species-dilution-info": "", "ICCIF-species-notes": "", "IHCP-species-checked": "notRecommended", "IHCP-species-dilution-info": "", "IHCP-species-notes": "" } } }

製品の詳細

What is this antibody validated in?
Anti-STAT5 (phospho Y694) antibody [E208] (ab32364) is a rabbit recombinant monoclonal antibody and is validated for use in Western Blot (WB), Immunohistochemistry (IHC-P), ELISA in Human samples.

What is the molecular weight of STAT5?
Anti-STAT5 (phospho Y694) [E208] (ab32364) specifically detects a band for STAT5 (UniProt: P42229) at a molecular weight of 90kDa.

Trusted by the scientific community
Anti-STAT5 (phospho Y694) [E208] (ab32364) was first used in a scientific publication in 2006 and has been cited over 70 times in peer-reviewed journals.

Reviewed by scientists
Anti-STAT5 (phospho Y694) [E208] (ab32364) has over 10 independent reviews from customers.

Trial sizes available!
Test your antibody or perform pre-screening before committing to a larger quantity. Sold in 10µl. Discover our selection of trial-size antibodies.

Other related products
We have a range of other formats of antibody clone [E208] also available for your convenience: ab32364, Carrier free - ab219607, Alexa Fluor® 488 - ab310959, Alexa Fluor® 647 - ab311076, Alexa Fluor® 594 - ab311665, Alexa Fluor® 568 - ab312939, Alexa Fluor® 555 - ab313150

Patented technology
Our RabMAb® technology is a patented hybridoma-based technology for making rabbit monoclonal antibodies. For details on our patents, please refer to RabMAb® patents.

What are the advantages of a recombinant monoclonal antibody?
This product is a recombinant monoclonal antibody, which offers several advantages including:

  • - High batch-to-batch consistency and reproducibility
  • - Improved sensitivity and specificity
  • - Long-term security of supply
  • - Animal-free batch production

For more information, read more on recombinant antibodies.

Species reactivity
Rat: We have preliminary internal testing data to indicate this antibody may not react with this species.
Please contact us for more information.

出荷温度及び保存条件

製品の状態
Liquid
精製方法
Affinity purification Protein A
バッファー組成
pH: 7.2 - 7.4 Preservative: 0.01% Sodium azide Constituents: PBS, 40% Glycerol (glycerin, glycerine), 0.05% BSA
出荷温度
Blue Ice
短期保存期間
1-2 weeks
短期保存温度
+4°C
長期保存温度
-20°C
分注に関する情報
Upon delivery aliquot
保管に関する情報
Avoid freeze / thaw cycle

補足情報

This supplementary information is collated from multiple sources and compiled automatically.

Signal Transducer and Activator of Transcription 5 commonly known as STAT5 is a member of the STAT protein family. It weighs approximately 94 kDa. STAT5 usually exists in two closely related forms STAT5a and STAT5b with both playing similar roles but having slightly different activity. This protein is widely expressed found in cells like lymphocytes epithelial cells and endothelial cells indicating its importance in various tissues.
Biological function summary

STAT5 acts as a transcription factor that modulates gene expression by binding to specific DNA sequences. It often forms part of a larger complex when activated. This complex relocation to the nucleus triggers transcriptional activities essential for cell growth differentiation and survival. As it interacts with other proteins STAT5 plays an important role in cytokine signaling particularly in response to interleukins and growth hormones.

Pathways

STAT5 is important in the JAK-STAT signaling pathway. This pathway is activated by cytokines and growth factors leading to STAT5 phosphorylation and its subsequent translocation into the nucleus. The interaction with Janus kinases (JAKs) facilitates this process. STAT5 also plays a significant role in the MAPK pathway linking it to various cellular responses and functions.

STAT5 has a strong association with oncological conditions like leukemia and lymphomas. Aberrant activation or dysregulation of STAT5 can lead to uncontrolled cell proliferation and survival contributing to cancer. Furthermore STAT5 is linked with autoimmune diseases with its malfunction affecting immune response and leading to disorders. In these conditions proteins like BCL-XL often interact with STAT5 influencing cell survival pathways.

製品プロトコール

For this product, it's our understanding that no specific protocols are required. You can visit:

ターゲットの情報

Carries out a dual function : signal transduction and activation of transcription. Mediates cellular responses to the cytokine KITLG/SCF and other growth factors. Mediates cellular responses to ERBB4. May mediate cellular responses to activated FGFR1, FGFR2, FGFR3 and FGFR4. Binds to the GAS element and activates PRL-induced transcription. Regulates the expression of milk proteins during lactation.
See full target information STAT5A phospho Y694

文献 (91)

Recent publications for all applications. Explore the full list and refine your search

Journal of neuroinflammation 22:174 PubMed40618163

2025

LAG3 limits regulatory T cell proliferation in α-synuclein gut-to-brain transmission model.

Applications

Unspecified application

Species

Unspecified reactive species

Wei-Xin Kong,Zhi-Ling Zhang,Jin Li,Si Zhu,Chong Li,Xiao-Li Dong,Ting-Ting Gan,Di Hu,Feng-Chu Liang,Ping-Yi Xu,Wen-Yuan Guo

Journal of mammary gland biology and neoplasia 30:7 PubMed40163145

2025

Disease-Associated Mutations of the STAT5B SH2 Domain Regulate Cytokine-Driven Enhancer Function and Mammary Development.

Applications

Unspecified application

Species

Unspecified reactive species

Hye Kyung Lee,Jakub Jankowski,Chengyu Liu,Lothar Hennighausen

International journal of molecular sciences 26: PubMed40003884

2025

Association of Selected STAT Inhibitors with Prolactin-Induced Protein (PIP) in Breast Cancer.

Applications

Unspecified application

Species

Unspecified reactive species

Karolina Jabłońska,Alicja Kmiecik,Katarzyna Nowińska,Aleksandra Piotrowska,Jarosław Suchański,Katarzyna Ratajczak-Wielgomas,Aleksandra Partyńska,Hanna Romanowicz,Beata Smolarz,Rafał Matkowski,Piotr Dzięgiel

Analytical cellular pathology (Amsterdam) 2024:6624283 PubMed39624161

2024

N-Acetylcysteine Treats Spinal Cord Injury by Inhibiting Astrocyte Proliferation.

Applications

Unspecified application

Species

Unspecified reactive species

Dong Zhang,Chaoxi Qin,Fei Meng,Xiaopeng Han,Xing Guo

Scientific reports 14:29278 PubMed39587118

2024

EIF4A3-induced hsa_circ_0127071 promotes human glomerular mesangial cells senescence via JAK2/STAT5 signaling pathway.

Applications

Unspecified application

Species

Unspecified reactive species

Ying Chen,Xinwang Zhu,Da Sun,Li Yao,Shuang Yang,Lining Wang

Advanced science (Weinheim, Baden-Wurttemberg, Germany) 12:e2404089 PubMed39574357

2024

Cancer Cell-Derived Exosomal miR-500a-3p Modulates Hepatic Stellate Cell Activation and the Immunosuppressive Microenvironment.

Applications

Unspecified application

Species

Unspecified reactive species

Yu Zhang,Xin Li,Huiyan Chen,Jiawei Li,Xiaohuan Guo,Yilin Fang,Linjie Chen,Kaiqiang Li,Yi Zhang,Fei Kong,Aodong Chen,Jianxin Lyu,Wei Zhang,Zhen Wang

Journal of experimental & clinical cancer research : CR 43:173 PubMed38898487

2024

The immunotoxin targeting PRLR increases tamoxifen sensitivity and enhances the efficacy of chemotherapy in breast cancer.

Applications

Unspecified application

Species

Unspecified reactive species

Jiawei Zhang,Junjun Liu,Yali Yue,Lei Wang,Qunye He,Shuyi Xu,Junyan Li,Yunji Liao,Yu Chen,Shusheng Wang,Yueqing Xie,Baohong Zhang,Yanlin Bian,Dimiter S Dimitrov,Yunsheng Yuan,Jianwei Zhu

Cell death & disease 15:128 PubMed38341429

2024

PRL-mediated STAT5B/ARRB2 pathway promotes the progression of prostate cancer through the activation of MAPK signaling.

Applications

Unspecified application

Species

Unspecified reactive species

Tao Yang,Yongnan Chi,Xin'an Wang,Chengdang Xu,Xi Chen,Ying Liu,Shengsong Huang,Xuyou Zhu,Haoyang Zhang,Hui Zhuo,Denglong Wu

Nature biotechnology 42:1417-1428 PubMed38168988

2024

Programmable protein expression using a genetically encoded mA sensor.

Applications

Unspecified application

Species

Unspecified reactive species

Bahjat F Marayati,Matthew G Thompson,Christopher L Holley,Stacy M Horner,Kate D Meyer

Immunity, inflammation and disease 11:e1071 PubMed38018587

2023

Astragalus polysaccharide ameliorates insulin resistance in HepG2 cells through activating the STAT5/IGF-1 pathway.

Applications

Unspecified application

Species

Unspecified reactive species

Xinxin Yue,Wei Hao,Min Wang,Yang Fu
View all publications

Abcam product promise

当社は、高品質な試薬を通じてお客様の研究を力強くサポートすることをお約束いたします。ご使用いただく各段階で、常にお客様をサポートできる体制を整えております。万が一、製品が期待通りに機能しない場合は、「Abcam Product Promise」による当社保証制度に基づき、安心してご利用いただけます。
保証に関する詳細については利用規約をご確認ください。

Please note: All products are 'FOR RESEARCH USE ONLY. NOT FOR USE IN DIAGNOSTIC OR THERAPEUTIC PROCEDURES'.

For licensing inquiries, please contact partnerships@abcam.com