JavaScript is disabled in your browser. Please enable JavaScript to view this website.
AB31370

Anti-STAT3 抗体

Anti-STAT3 antibody

5

(3 Reviews)

|

(25 Publications)

Rabbit Polyclonal STAT3 antibody. Suitable for ELISA, WB, IHC-P and reacts with Mouse, Rat, Human samples. Cited in 25 publications. Immunogen corresponding to Synthetic Peptide within Human STAT3.

別名を表示する

APRF, STAT3, Signal transducer and activator of transcription 3, Acute-phase response factor

5 Images
Immunohistochemistry (Formalin/PFA-fixed paraffin-embedded sections) - Anti-STAT3 antibody (AB31370)
  • IHC-P

Supplier Data

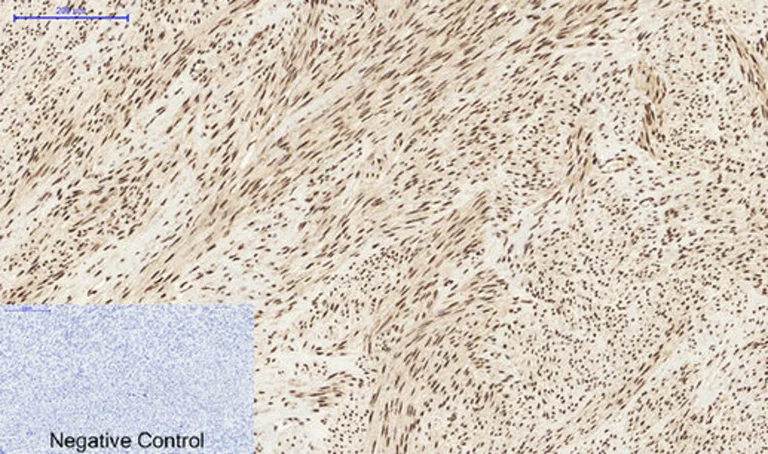
Immunohistochemistry (Formalin/PFA-fixed paraffin-embedded sections) - Anti-STAT3 antibody (AB31370)

Immunohistochemistry (Formalin/PFA-fixed paraffin-embedded sections) analysis of Human lung tissue labelling STAT3 with ab31370 at 1/200 dilution. Primary incubated overnight at 4°C.

Negative control : Secondary antibody only.

Immunohistochemistry (Formalin/PFA-fixed paraffin-embedded sections) - Anti-STAT3 antibody (AB31370)
  • IHC-P

Supplier Data

Immunohistochemistry (Formalin/PFA-fixed paraffin-embedded sections) - Anti-STAT3 antibody (AB31370)

Immunohistochemistry (Formalin/PFA-fixed paraffin-embedded sections) analysis of Human uterus tissue labelling STAT3 with ab31370 at 1/200 dilution. Primary incubated overnight at 4°C.

Negative control : Secondary antibody only.

Immunohistochemistry (Formalin/PFA-fixed paraffin-embedded sections) - Anti-STAT3 antibody (AB31370)
  • IHC-P

Supplier Data

Immunohistochemistry (Formalin/PFA-fixed paraffin-embedded sections) - Anti-STAT3 antibody (AB31370)

Immunohistochemistry (Formalin/PFA-fixed paraffin-embedded sections) analysis of Rat lung tissue labelling STAT3 with ab31370 at 1/200 dilution (red). Primary incubated overnight at 4°C. Nuclear DNA was labelled with DAPI (blue).

Immunohistochemistry (Formalin/PFA-fixed paraffin-embedded sections) - Anti-STAT3 antibody (AB31370)
  • IHC-P

Unknown

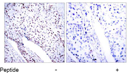
Immunohistochemistry (Formalin/PFA-fixed paraffin-embedded sections) - Anti-STAT3 antibody (AB31370)

Immunohistochemical analysis of paraffin-embedded breast carcinoma. Left : Using anti-STAT3 antibody(ab31370, diluted 1 : 100); Right : The same antibody preincubated with synthesized peptide.

Western blot - Anti-STAT3 antibody (AB31370)
  • WB

Supplier Data

Western blot - Anti-STAT3 antibody (AB31370)

All lanes:

Western blot - Anti-STAT3 antibody (ab31370) at 1/2000 dilution

All lanes:

HeLa (human epithelial cell line from cervix adenocarcinoma) whole cell lysate

Predicted band size: 88 kDa

false

Key facts

宿主種

Rabbit

クローン性

Polyclonal

アイソタイプ

IgG

キャリアフリー

No

交差種

Rat, Human, Mouse

アプリケーション

ELISA, IHC-P, WB

applications

免疫原

Synthetic Peptide within Human STAT3. The exact immunogen used to generate this antibody is proprietary information.

P40763

特異性

ab31370 detects endogenous levels of STAT3 protein around Tyrosine 705.

Reactivity data

{ "title": "Reactivity Data", "filters": { "stats": ["", "Species", "Dilution Info", "Notes"], "tabs": { "all-applications": {"fullname" : "All Applications", "shortname": "All Applications"}, "ELISA" : {"fullname" : "ELISA", "shortname":"ELISA"}, "WB" : {"fullname" : "Western blot", "shortname":"WB"}, "IHCP" : {"fullname" : "Immunohistochemistry (Formalin/PFA-fixed paraffin-embedded sections)", "shortname":"IHC-P"} }, "product-promise": { "all": "all", "testedAndGuaranteed": "tested", "guaranteed": "expected", "predicted": "predicted", "notRecommended": "not-recommended" } }, "values": { "Human": { "ELISA-species-checked": "guaranteed", "ELISA-species-dilution-info": "", "ELISA-species-notes": "<p></p>", "WB-species-checked": "testedAndGuaranteed", "WB-species-dilution-info": "1/500 - 1/1000", "WB-species-notes": "<p></p>", "IHCP-species-checked": "testedAndGuaranteed", "IHCP-species-dilution-info": "1/50 - 1/100", "IHCP-species-notes": "<p></p>" }, "Mouse": { "ELISA-species-checked": "guaranteed", "ELISA-species-dilution-info": "", "ELISA-species-notes": "<p></p>", "WB-species-checked": "predicted", "WB-species-dilution-info": "", "WB-species-notes": "", "IHCP-species-checked": "predicted", "IHCP-species-dilution-info": "", "IHCP-species-notes": "" }, "Rat": { "ELISA-species-checked": "guaranteed", "ELISA-species-dilution-info": "", "ELISA-species-notes": "<p></p>", "WB-species-checked": "guaranteed", "WB-species-dilution-info": "", "WB-species-notes": "", "IHCP-species-checked": "testedAndGuaranteed", "IHCP-species-dilution-info": "1/50 - 1/100", "IHCP-species-notes": "<p></p>" } } }

出荷温度及び保存条件

製品の状態
Liquid
精製方法
Affinity purification Immunogen
精製に関する特記事項
The antibody was affinity-purified from rabbit antiserum by affinity-chromatography using epitope-specific immunogen.
バッファー組成
pH: 7.4 Preservative: 0.02% Sodium azide Constituents: PBS, 50% Glycerol (glycerin, glycerine), 0.87% Sodium chloride
出荷温度
Blue Ice
短期保存温度
+4°C
長期保存温度
-20°C
分注に関する情報
Upon delivery aliquot
保管に関する情報
Avoid freeze / thaw cycle

補足情報

This supplementary information is collated from multiple sources and compiled automatically.

Signal Transducer and Activator of Transcription 3 (STAT3) also called p-stat3 or phospho-STAT3 is a critical transcription factor involved in various cellular processes. The molecular weight of STAT3 is approximately 92 kDa. This protein is expressed broadly across many tissues and cell types. Mechanically upon cytokine or growth factor stimulation STAT3 undergoes phosphorylation resulting in dimerization. This phosphorylated form often referred to as phospho-Stat3 or p-STAT3 translocates to the nucleus where it binds specific DNA sequences to modulate gene transcription.
Biological function summary

STAT3 is an important player in regulating cell growth and apoptosis. It functions not only as a transcription factor but also as part of a larger protein complex that operates within the cell nucleus to influence gene expression. This multifaceted role enables STAT3 to control the expression of genes related to cell proliferation survival and differentiation impacting various biological processes. These functions highlight its importance in tissue homeostasis and response to extracellular signals.

Pathways

STAT3 is actively involved in the JAK-STAT signaling pathway a principal route for many cytokines and growth factors and the MAPK pathway. STAT3 interacts with proteins such as JAK kinases which phosphorylate Stat3 and initiate the STAT3 signaling cascade. Additionally it closely associates with the protein Raf1 in the MAPK pathway linking external signals to transcriptional responses. These pathways play a significant role in immune response inflammation and growth signaling.

Researchers have implicated STAT3 in cancer and autoimmune diseases. Persistent activation of STAT3 is often observed in various cancers including breast and lung cancer promoting oncogenesis through altered gene expression. Additionally abnormal STAT3 signaling is associated with autoimmune conditions such as rheumatoid arthritis. The interplay between STAT3 and proteins like IL-6 in these diseases highlights its potential as a therapeutic target for intervention.

製品プロトコール

For this product, it's our understanding that no specific protocols are required. You can visit:

ターゲットの情報

Signal transducer and transcription activator that mediates cellular responses to interleukins, KITLG/SCF, LEP and other growth factors (PubMed : 10688651, PubMed : 12359225, PubMed : 12873986, PubMed : 15194700, PubMed : 15653507, PubMed : 16285960, PubMed : 17344214, PubMed : 18242580, PubMed : 18782771, PubMed : 22306293, PubMed : 23084476, PubMed : 28262505, PubMed : 32929201, PubMed : 38404237). Once activated, recruits coactivators, such as NCOA1 or MED1, to the promoter region of the target gene (PubMed : 15653507, PubMed : 16285960, PubMed : 17344214, PubMed : 18782771, PubMed : 28262505, PubMed : 32929201). May mediate cellular responses to activated FGFR1, FGFR2, FGFR3 and FGFR4 (PubMed : 12873986). Upon activation of IL6ST/gp130 signaling by interleukin-6 (IL6), binds to the IL6-responsive elements identified in the promoters of various acute-phase protein genes (PubMed : 12359225). Activated by IL31 through IL31RA (PubMed : 15194700). Acts as a regulator of inflammatory response by regulating differentiation of naive CD4(+) T-cells into T-helper Th17 or regulatory T-cells (Treg) : acetylation promotes its transcription activity and cell differentiation while deacetylation and oxidation of lysine residues by LOXL3 inhibits differentiation (PubMed : 28065600, PubMed : 28262505). Involved in cell cycle regulation by inducing the expression of key genes for the progression from G1 to S phase, such as CCND1 (PubMed : 17344214). Mediates the effects of LEP on melanocortin production, body energy homeostasis and lactation (By similarity). May play an apoptotic role by transctivating BIRC5 expression under LEP activation (PubMed : 18242580). Cytoplasmic STAT3 represses macroautophagy by inhibiting EIF2AK2/PKR activity (PubMed : 23084476). Plays a crucial role in basal beta cell functions, such as regulation of insulin secretion (By similarity). Following JAK/STAT signaling activation and as part of a complex with NFATC3 and NFATC4, binds to the alpha-beta E4 promoter region of CRYAB and activates transcription in cardiomyocytes (By similarity).
See full target information STAT3

文献 (25)

Recent publications for all applications. Explore the full list and refine your search

International archives of allergy and immunology 185:1154-1165 PubMed38991517

2024

γδT Cells Induce the Inflammatory Response of Human Fibroblast-Like Synoviocytes Directly or by Stimulating B Cells to Activate IL-17/STAT3 Signaling Pathway.

Applications

Unspecified application

Species

Unspecified reactive species

Fang He,Juan Yu,Sha Ma,Weiqing Zhao,Mingxing Zhang,Juan Wang,Chunpan Zhang,Jiangping Wu,Lixuan Zhu

International journal of molecular sciences 25: PubMed38612423

2024

Co-Culture of . and . Synergistically Elevates IL-6 Expression via TLR4 Signaling in Oral Keratinocytes.

Applications

Unspecified application

Species

Unspecified reactive species

Lucas Yáñez,Cristopher Soto,Héctor Tapia,Martín Pacheco,Javiera Tapia,Gabriela Osses,Daniela Salinas,Victoria Rojas-Celis,Anilei Hoare,Andrew F G Quest,Jessica Díaz-Elizondo,José Manuel Pérez-Donoso,Denisse Bravo

Immunity, inflammation and disease 12:e1135 PubMed38270316

2024

Sirtuin 3 is required for the dexmedetomidine-mediated alleviation of inflammation and oxidative stress in nephritis.

Applications

Unspecified application

Species

Unspecified reactive species

Kai Lu,Xinlong Li,Jie Wu

Brain and behavior 13:e3030 PubMed37143406

2023

Exercise preconditioning attenuates cerebral ischemia-induced neuronal apoptosis, Th17/Treg imbalance, and inflammation in rats by inhibiting the JAK2/STAT3 pathway.

Applications

Unspecified application

Species

Unspecified reactive species

Yuan Shan,Le Wang,Jingying Sun,Sha Chang,Wei Di,Hua Lv

Neoplasma 70:58-70 PubMed36637083

2023

Zerumbone combined with gefitinib alleviates lung cancer cell growth through the AKT/STAT3/SLC7A11 axis.

Applications

Unspecified application

Species

Unspecified reactive species

Jin-Guo Wang,Da-Lei Li,Rong Fan,Meng-Jun Yan

JOR spine 5:e1229 PubMed36601380

2022

Fibrotic and inflammatory characteristics of epidural fat adjacent to the ossification area in patients with ossification of the ligament flavum.

Applications

Unspecified application

Species

Unspecified reactive species

Xinyu Dou,Tianli Mao,Yunlong Ma,Fei Jia,Yu Liu,Xiaoguang Liu

Cell death & disease 13:472 PubMed35589677

2022

TGF-β1/SH2B3 axis regulates anoikis resistance and EMT of lung cancer cells by modulating JAK2/STAT3 and SHP2/Grb2 signaling pathways.

Applications

Unspecified application

Species

Unspecified reactive species

Li-Na Wang,Zi-Teng Zhang,Li Wang,Hai-Xiang Wei,Tao Zhang,Li-Ming Zhang,Hang Lin,Heng Zhang,Shao-Qiang Wang

American journal of translational research 13:12395-12409 PubMed34956461

2021

PIAS3/SOCS1-STAT3 axis responses to oxidative stress in hepatocellular cancer cells.

Applications

Unspecified application

Species

Unspecified reactive species

Honghua Sun,Yanglong Li,Xianglan Quan,Ning Chen,Xinglin Jin,Wenbiao Jin,Yongmin Jin,Xionghu Shen

Science advances 7:eabi8795 PubMed34644108

2021

Insertional activation of and by HIV-1 proviruses in T cell lymphomas.

Applications

Unspecified application

Species

Unspecified reactive species

John W Mellors,Shuang Guo,Asma Naqvi,Leah D Brandt,Ling Su,Zhonghe Sun,Kevin W Joseph,Dimiter Demirov,Elias K Halvas,Donna Butcher,Beth Scott,Aaron Hamilton,Marintha Heil,Baktiar Karim,Xiaolin Wu,Stephen H Hughes

Molecular medicine (Cambridge, Mass.) 27:113 PubMed34535085

2021

Circular RNA-0007059 protects cell viability and reduces inflammation in a nephritis cell model by inhibiting microRNA-1278/SHP-1/STAT3 signaling.

Applications

Unspecified application

Species

Unspecified reactive species

Peng-Wei Guo,Hai-Ting Huang,Jing Ma,Yao Zuo,Dan Huang,Lin-Lin He,Zi-Ming Wan,Cheng Chen,Fa-Fen Yang,Yan-Wu You
View all publications

Abcam product promise

当社は、高品質な試薬を通じてお客様の研究を力強くサポートすることをお約束いたします。ご使用いただく各段階で、常にお客様をサポートできる体制を整えております。万が一、製品が期待通りに機能しない場合は、「Abcam Product Promise」による当社保証制度に基づき、安心してご利用いただけます。
保証に関する詳細については利用規約をご確認ください。

Please note: All products are 'FOR RESEARCH USE ONLY. NOT FOR USE IN DIAGNOSTIC OR THERAPEUTIC PROCEDURES'.

For licensing inquiries, please contact partnerships@abcam.com