JavaScript is disabled in your browser. Please enable JavaScript to view this website.
AB255610

Anti-Stanniocalcin 2/STC-2 抗体 [EPR22866-10]

Anti-Stanniocalcin 2/STC-2 antibody [EPR22866-10]

5

(2 Reviews)

|

(7 Publications)

Rabbit Recombinant Monoclonal Stanniocalcin 2/STC-2 antibody. Suitable for IP, WB, ICC/IF, Flow Cyt (Intra), IHC-P and reacts with Human samples. Cited in 7 publications.

別名を表示する

Stanniocalcin-2, STC-2, Stanniocalcin-related protein, STC-related protein, STCRP, STC2

9 Images
Flow Cytometry (Intracellular) - Anti-Stanniocalcin 2/STC-2 antibody [EPR22866-10] (AB255610)
  • Flow Cyt (Intra)

Unknown

Flow Cytometry (Intracellular) - Anti-Stanniocalcin 2/STC-2 antibody [EPR22866-10] (AB255610)

Intracellular flow cytometric analysis of 4% paraformaldehyde fixed, 90% methanol permeabilized HepG2 (human hepatocellular carcinoma epithelial cell) cells labelling STC2 with ab255610 at 1/50 dilution (Red) compared with a Rabbit monoclonal IgG (ab172730) / Black isotype control and an unlabelled control (cells without incubation with primary antibody and secondary antibody) (Blue). A Goat anti rabbit IgG (Alexa Fluor® 488, ab150077) at 1/2000 dilution was used as the secondary antibody.

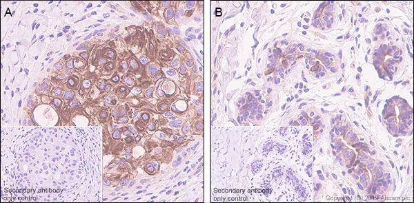
Immunohistochemistry (Formalin/PFA-fixed paraffin-embedded sections) - Anti-Stanniocalcin 2/STC-2 antibody [EPR22866-10] (AB255610)
  • IHC-P

Unknown

Immunohistochemistry (Formalin/PFA-fixed paraffin-embedded sections) - Anti-Stanniocalcin 2/STC-2 antibody [EPR22866-10] (AB255610)

Immunohistochemical analysis of paraffin-embedded Human breast cancer (A) and its adjacent noncancerous breast tissue (B) tissue labeling STC2 with ab255610 at 1/ 200 dilution (2.29ug/ml) followed by a ready to use Rabbit specific IHC polymer detection kit HRP/DAB (ab209101). Strong cytoplasmic staining in human breast cancer tissue (A) while weak staining in its adjacent noncancerous breast tissue (B) (PMID : 18492817) is observed. The section was incubated with ab255610 for 30 mins at room temperature. The immunostaining was performed on a Leica Biosystems BOND® RX instrument. Counterstained with Hematoxylin.

Secondary antibody only control : Secondary antibody is a ready to use Rabbit specific IHC polymer detection kit HRP/DAB (ab209101).

Heat mediated antigen retrieval with Tris-EDTA buffer (pH 9.0, epitope retrieval solution 2) for 20 mins.

Immunocytochemistry/ Immunofluorescence - Anti-Stanniocalcin 2/STC-2 antibody [EPR22866-10] (AB255610)
  • ICC/IF

Unknown

Immunocytochemistry/ Immunofluorescence - Anti-Stanniocalcin 2/STC-2 antibody [EPR22866-10] (AB255610)

Immunofluorescent analysis of 4% Paraformaldehyde-fixed, 0.1% TritonX-100 permeabilized HepG2 (human hepatocellular carcinoma epithelial cell) cells labelling STC2 with ab255610 at 1/50 (9 ug/ml) dilution, followed by ab150077 AlexaFluor® 488 Goat anti-Rabbit secondary antibody at 1/1000 (2 ug/ml) dilution (Green). Confocal image showing cytoplasmic staining in HepG2 cell line. ab195889 Anti-alpha Tubulin antibody [DM1A] - Microtubule Marker (Alexa Fluor® 594) was used to counterstain tubulin at 1/200 dilution (Red). The Nuclear counterstain was DAPI (Blue).

Secondary antibody only control : Secondary antibody is ab150077 AlexaFluor® 488 Goat anti-Rabbit secondary at 1/1000 (2 ug/ml) dilution.

Immunocytochemistry/ Immunofluorescence - Anti-Stanniocalcin 2/STC-2 antibody [EPR22866-10] (AB255610)
  • ICC/IF

Unknown

Immunocytochemistry/ Immunofluorescence - Anti-Stanniocalcin 2/STC-2 antibody [EPR22866-10] (AB255610)

Immunofluorescent analysis of 4% Paraformaldehyde-fixed, 0.1% TritonX-100 permeabilized T-47D (human ductal breast epithelial tumor epithelial cell) cells labelling STC2 with ab255610 at 1/50 (9 ug/ml) dilution, followed by ab150077 AlexaFluor® 488 Goat anti-Rabbit secondary antibody at 1/1000 (2 ug/ml) dilution (Green). Confocal image showing cytoplasmic staining in T-47D cell line. ab195889 Anti-alpha Tubulin antibody [DM1A] - Microtubule Marker (Alexa Fluor® 594) was used to counterstain tubulin at 1/200 dilution (Red). The Nuclear counterstain was DAPI (Blue).

Secondary antibody only control : Secondary antibody is ab255610 anti-STC2 ab150077 AlexaFluor® 488 Goat anti-Rabbit secondary at 1/1000 (2 ug/ml) dilution.

Flow Cytometry (Intracellular) - Anti-Stanniocalcin 2/STC-2 antibody [EPR22866-10] (AB255610)
  • Flow Cyt (Intra)

Unknown

Flow Cytometry (Intracellular) - Anti-Stanniocalcin 2/STC-2 antibody [EPR22866-10] (AB255610)

Intracellular flow cytometric analysis of 4% paraformaldehyde fixed, 90% methanol permeabilized T-47D (human ductal breast epithelial tumor epithelial cell) cells labelling STC2 with ab255610 at 1/500 dilution (Red) compared with a Rabbit monoclonal IgG (ab172730) / Black isotype control and an unlabelled control (cells without incubation with primary antibody and secondary antibody) (Blue). A Goat anti rabbit IgG (Alexa Fluor® 488, ab150077) at 1/2000 dilution was used as the secondary antibody.

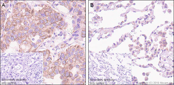
Immunohistochemistry (Formalin/PFA-fixed paraffin-embedded sections) - Anti-Stanniocalcin 2/STC-2 antibody [EPR22866-10] (AB255610)
  • IHC-P

Unknown

Immunohistochemistry (Formalin/PFA-fixed paraffin-embedded sections) - Anti-Stanniocalcin 2/STC-2 antibody [EPR22866-10] (AB255610)

Immunohistochemical analysis of paraffin-embedded Human lung cancer (A) and its adjacent noncancerous lung tissue (B) tissue labeling STC2 with ab255610 at 1/ 200 dilution (2.29ug/ml) followed by a ready to use Rabbit specific IHC polymer detection kit HRP/DAB (ab209101). Strong cytoplasmic staining in human lung cancer tissue (A) while weak staining in its adjacent noncancerous lung tissue (B) (PMID : 25463045) is observed. The section was incubated with ab255610 for 30 mins at room temperature. The immunostaining was performed on a Leica Biosystems BOND® RX instrument. Counterstained with Hematoxylin.

Secondary antibody only control : Secondary antibody is a ready to use Rabbit specific IHC polymer detection kit HRP/DAB (ab209101).

Heat mediated antigen retrieval with Tris-EDTA buffer (pH 9.0, epitope retrieval solution 2) for 20 mins.

Immunoprecipitation - Anti-Stanniocalcin 2/STC-2 antibody [EPR22866-10] (AB255610)
  • IP

Unknown

Immunoprecipitation - Anti-Stanniocalcin 2/STC-2 antibody [EPR22866-10] (AB255610)

STC2 was immunoprecipitated from 0.35 mg T-47D (human ductal breast epithelial tumor epithelial cell) whole cell lysate with ab255610 at 1/30 dilution (2ug in 0.35mg lysates). Western blot was performed on the immunoprecipitate using ab255610 at 1/1000 dilution. VeriBlot for IP Detection Reagent (HRP) (ab131366) was used at 1/5000 dilution.

Lane 1 : T-47D (human ductal breast epithelial tumor epithelial cell) whole cell lysate 10ug

Lane 2 : ab255610 IP in T-47D whole cell lysate

Lane 3 : Rabbit monoclonal IgG (ab172730) instead of ab255610 in T-47D whole cell lysate

Blocking and dilution buffer and concentration : 5% NFDM/TBST.

Exposure time : 30 seconds.

All lanes:

Immunoprecipitation - Anti-Stanniocalcin 2/STC-2 antibody [EPR22866-10] (ab255610)

Predicted band size: 33 kDa

Observed band size: 33-35 kDa

false

Western blot - Anti-Stanniocalcin 2/STC-2 antibody [EPR22866-10] (AB255610)
  • WB

Lab

Western blot - Anti-Stanniocalcin 2/STC-2 antibody [EPR22866-10] (AB255610)

Blocking and diluting buffer and concentration : 5% NFDM/TBST The expression profile observed is consistent with what has been described in the literature (PMID : 15367391, 25463045, 26361149).

Exposure time : Lane 1 : 3 minutes; Lane 2 : 48 seconds.

All lanes:

Western blot - Anti-Stanniocalcin 2/STC-2 antibody [EPR22866-10] (ab255610) at 1/1000 dilution

Lane 1:

HCT116 (human colorectal carcinoma epithelial cell), whole cell lysate at 20 µg

Lane 2:

Human breast cancer tissue lysate at 20 µg

Secondary

All lanes:

Western blot - Goat Anti-Rabbit IgG H&L (HRP) (<a href='/products/secondary-antibodies/goat-rabbit-igg-h-l-hrp-ab97051'>ab97051</a>) at 1/100000 dilution

Predicted band size: 33 kDa

Observed band size: 35 kDa

false

Western blot - Anti-Stanniocalcin 2/STC-2 antibody [EPR22866-10] (AB255610)
  • WB

Lab

Western blot - Anti-Stanniocalcin 2/STC-2 antibody [EPR22866-10] (AB255610)

Blocking and diluting buffer and concentration : 5% NFDM/TBST The expression profile observed is consistent with what has been described in the literature, the dual bands caused by different posttranslational modifications (PMID : 15367391, 25463045, 26361149).

Exposure time : Lane 1-2 : 48 seconds; Lane 3 : 26 seconds; Lane 4 : 114 seconds; Lane 5 : 15 seconds.

All lanes:

Western blot - Anti-Stanniocalcin 2/STC-2 antibody [EPR22866-10] (ab255610) at 1/1000 dilution

Lane 1:

HeLa (human cervix adenocarcinoma epithelial cell), whole cell lysate at 20 µg

Lane 2:

HepG2 (human hepatocellular carcinoma epithelial cell), whole cell lysate at 20 µg

Lane 3:

MCF7 (human breast adenocarcinoma epithelial cell), whole cell lysate at 20 µg

Lane 4:

HT-29 (human colorectal adenocarcinoma epithelial cell), whole cell lysate at 20 µg

Lane 5:

293T (human embryonic kidney epithelial cell), whole cell lysate at 20 µg

Secondary

All lanes:

Western blot - Goat Anti-Rabbit IgG H&L (HRP) (<a href='/products/secondary-antibodies/goat-rabbit-igg-h-l-hrp-ab97051'>ab97051</a>) at 1/100000 dilution

Predicted band size: 33 kDa

Observed band size: 33-35 kDa

false

関連する標識済み抗体及び組成の異なる製品 (10)

  • Carrier free

    Anti-Stanniocalcin 2/STC-2 antibody [EPR22866-10] - BSA and Azide free

  • 578 PE

    PE Anti-Stanniocalcin 2/STC-2 antibody [EPR22866-10]

  • 660 APC

    APC Anti-Stanniocalcin 2/STC-2 antibody [EPR22866-10]

  • HRP

    HRP Anti-Stanniocalcin 2/STC-2 antibody [EPR22866-10]

  • 617 Alexa Fluor® 594

    Alexa Fluor® 594 Anti-Stanniocalcin 2/STC-2 antibody [EPR22866-10]

  • 519 Alexa Fluor® 488

    Alexa Fluor® 488 Anti-Stanniocalcin 2/STC-2 antibody [EPR22866-10]

  • 565 Alexa Fluor® 555

    Alexa Fluor® 555 Anti-Stanniocalcin 2/STC-2 antibody [EPR22866-10]

  • 665 Alexa Fluor® 647

    Alexa Fluor® 647 Anti-Stanniocalcin 2/STC-2 antibody [EPR22866-10]

  • 603 Alexa Fluor® 568

    Alexa Fluor® 568 Anti-Stanniocalcin 2/STC-2 antibody [EPR22866-10]

  • 775 Alexa Fluor® 750

    Alexa Fluor® 750 Anti-Stanniocalcin 2/STC-2 antibody [EPR22866-10]

Key facts

宿主種

Rabbit

クローン性

Monoclonal

クローン番号

EPR22866-10

アイソタイプ

IgG

キャリアフリー

No

交差種

Human

アプリケーション

IHC-P, Flow Cyt (Intra), ICC/IF, WB, IP

applications

免疫原

The exact immunogen used to generate this antibody is proprietary information.

Reactivity data

{ "title": "Reactivity Data", "filters": { "stats": ["", "Species", "Dilution Info", "Notes"], "tabs": { "all-applications": {"fullname" : "All Applications", "shortname": "All Applications"}, "IP" : {"fullname" : "Immunoprecipitation", "shortname":"IP"}, "WB" : {"fullname" : "Western blot", "shortname":"WB"}, "ICCIF" : {"fullname" : "Immunocytochemistry/ Immunofluorescence", "shortname":"ICC/IF"}, "FlowCytIntra" : {"fullname" : "Flow Cytometry (Intracellular)", "shortname":"Flow Cyt (Intra)"}, "IHCP" : {"fullname" : "Immunohistochemistry (Formalin/PFA-fixed paraffin-embedded sections)", "shortname":"IHC-P"} }, "product-promise": { "all": "all", "testedAndGuaranteed": "tested", "guaranteed": "expected", "predicted": "predicted", "notRecommended": "not-recommended" } }, "values": { "Human": { "IP-species-checked": "testedAndGuaranteed", "IP-species-dilution-info": "1/30", "IP-species-notes": "<p></p>", "WB-species-checked": "testedAndGuaranteed", "WB-species-dilution-info": "1/1000", "WB-species-notes": "<p></p>", "ICCIF-species-checked": "testedAndGuaranteed", "ICCIF-species-dilution-info": "1/50", "ICCIF-species-notes": "<p></p>", "FlowCytIntra-species-checked": "testedAndGuaranteed", "FlowCytIntra-species-dilution-info": "1/50", "FlowCytIntra-species-notes": "<p></p>", "IHCP-species-checked": "testedAndGuaranteed", "IHCP-species-dilution-info": "1/200", "IHCP-species-notes": "<p></p>" } } }

製品の詳細

Patented technology
Our RabMAb® technology is a patented hybridoma-based technology for making rabbit monoclonal antibodies. For details on our patents, please refer to RabMAb® patents.

What are the advantages of a recombinant monoclonal antibody?
This product is a recombinant monoclonal antibody, which offers several advantages including:

  • - High batch-to-batch consistency and reproducibility
  • - Improved sensitivity and specificity
  • - Long-term security of supply
  • - Animal-free batch production

For more information, read more on recombinant antibodies.

出荷温度及び保存条件

製品の状態
Liquid
精製方法
Affinity purification Protein A
バッファー組成
pH: 7.2 - 7.4 Preservative: 0.01% Sodium azide Constituents: PBS, 40% Glycerol (glycerin, glycerine), 0.05% BSA
出荷温度
Blue Ice
短期保存期間
1-2 weeks
短期保存温度
+4°C
長期保存温度
-20°C
分注に関する情報
Upon delivery aliquot
保管に関する情報
Avoid freeze / thaw cycle

補足情報

This supplementary information is collated from multiple sources and compiled automatically.

Stanniocalcin 2 (STC-2) is a glycoprotein hormone known for regulating calcium and phosphate homeostasis. It has other names like STC-1-related protein and STC2. The protein has a mass of approximately 33 kDa. STC-2 expresses in various tissues with high levels in the liver kidney and thyroid gland. Its expression suggests an important role in maintaining mineral balance in these tissues.
Biological function summary

STC-2 influences metabolic and inflammatory processes by modulating cellular responses to calcium and phosphate. It operates partly by binding to receptors on cell surfaces impacting cell proliferation and survival. While not part of a known complex STC-2 interacts with signaling molecules involved in bone metabolism and endocrine function serving as a modulator of mineralized tissue homeostasis.

Pathways

In mineral homeostasis STC-2 interacts within pathways involving calcium and phosphate regulation. Its interactions include overlap with the PTH (parathyroid hormone) and vitamin D pathways each critical for calcium and bone metabolism. STC-2 shows connections with proteins like FGF23 (fibroblast growth factor 23) that also participate in these regulatory networks impacting how cells manage mineral concentrations.

Research indicates STC-2's involvement in conditions such as chronic kidney disease and some cancers. Its expression levels correlate with abnormal mineral metabolism in kidney disease where it may interact with proteins like Klotho a known regulator of phosphate transport. In oncology overexpression of STC-2 associates with cancer progression potentially linking to altered signaling pathways in tumor cells.

製品プロトコール

For this product, it's our understanding that no specific protocols are required. You can visit:

ターゲットの情報

Has an anti-hypocalcemic action on calcium and phosphate homeostasis.
See full target information Stanniocalcin-2

文献 (7)

Recent publications for all applications. Explore the full list and refine your search

Frontiers in immunology 16:1481366 PubMed40458412

2025

An immune-related signature based on molecular subtypes for predicting the prognosis and immunotherapy efficacy of hepatocellular carcinoma.

Applications

Unspecified application

Species

Unspecified reactive species

Xuhui Sun,Wenlong Jia,Huifang Liang,Henghui Cheng

Atherosclerosis plus 57:30-36 PubMed39308741

2024

The pro-atherogenic enzyme PAPP-A is active in eluates from human carotid and femoral atherosclerotic plaques.

Applications

Unspecified application

Species

Unspecified reactive species

Mette Faurholdt Gude,Rikke Hjortebjerg,Mette Bjerre,Anne Kathrine Nissen Pedersen,Claus Oxvig,Lars Melholt Rasmussen,Jan Frystyk,Lasse Steffensen

Discover oncology 15:339 PubMed39117970

2024

STC2 suppresses triple-negative breast cancer migration and invasion by inhibition on EMT and promotion on cell apoptosis.

Applications

Unspecified application

Species

Unspecified reactive species

Ruiwen Lei,Chaoling Yao,Renfeng Huang,Wanming Wu,Linyang Ou,Chuansheng Yang

The Journal of veterinary medical science 86:684-688 PubMed38644184

2024

Benign mixed mammary tumor with sebaceous differentiation in a dog.

Applications

Unspecified application

Species

Unspecified reactive species

Ying Ma,Junchao Shi,Huijun Lu,Jing Zhang,Zheng Liu,Jianwei Wei,Kui Zhao,Feng Gao,Wenqi He

Frontiers in genetics 13:1077615 PubMed36685853

2023

Transcriptome and pan-cancer system analysis identify PM2.5-induced stanniocalcin 2 as a potential prognostic and immunological biomarker for cancers.

Applications

Unspecified application

Species

Unspecified reactive species

Dong Zhu,Jiliu Liu,Junyi Wang,Lei Zhang,Manling Jiang,Yao Liu,Ying Xiong,Xiang He,Guoping Li

Scientific reports 12:1617 PubMed35102149

2022

Five hypoxia and immunity related genes as potential biomarkers for the prognosis of osteosarcoma.

Applications

Unspecified application

Species

Unspecified reactive species

Dachang Liu,Ziwei Hu,Jie Jiang,Junlei Zhang,Chunlong Hu,Jian Huang,Qingjun Wei

Cell biology and toxicology 38:259-272 PubMed33797657

2021

Stanniocalcin-2 promotes cell EMT and glycolysis via activating ITGB2/FAK/SOX6 signaling pathway in nasopharyngeal carcinoma.

Applications

Unspecified application

Species

Unspecified reactive species

Jingquan Li,Zihao Zhang,Xu Feng,Zhuqing Shen,Ji Sun,Xiuwen Zhang,Fengjiao Bu,Midie Xu,Cong Tan,Ziliang Wang
View all publications

Abcam product promise

当社は、高品質な試薬を通じてお客様の研究を力強くサポートすることをお約束いたします。ご使用いただく各段階で、常にお客様をサポートできる体制を整えております。万が一、製品が期待通りに機能しない場合は、「Abcam Product Promise」による当社保証制度に基づき、安心してご利用いただけます。
保証に関する詳細については利用規約をご確認ください。

Please note: All products are 'FOR RESEARCH USE ONLY. NOT FOR USE IN DIAGNOSTIC OR THERAPEUTIC PROCEDURES'.

For licensing inquiries, please contact partnerships@abcam.com