JavaScript is disabled in your browser. Please enable JavaScript to view this website.
AB2782

Anti-SRC3 抗体 [AX15.3] - ChIP Grade

Anti-SRC3 antibody [AX15.3] - ChIP Grade

4

(1 Review)

|

(7 Publications)

Mouse Monoclonal SRC3 antibody. Suitable for WB, IHC-P and reacts with Human samples. Cited in 7 publications. Immunogen corresponding to Recombinant Fragment Protein within Human NCOA3 aa 600-1300.

別名を表示する

AIB1, BHLHE42, RAC3, TRAM1, NCOA3, Nuclear receptor coactivator 3, NCoA-3, ACTR, Amplified in breast cancer 1 protein, CBP-interacting protein, Class E basic helix-loop-helix protein 42, Receptor-associated coactivator 3, Steroid receptor coactivator protein 3, Thyroid hormone receptor activator molecule 1, AIB-1, pCIP, bHLHe42, RAC-3, SRC-3, TRAM-1

2 Images
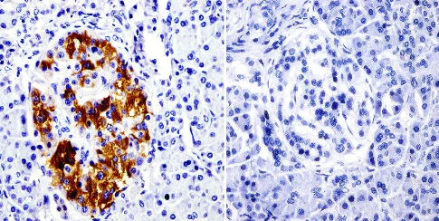
Immunohistochemistry (Formalin/PFA-fixed paraffin-embedded sections) - Anti-SRC3 antibody [AX15.3] - ChIP Grade (AB2782)
  • IHC-P

Supplier Data

Immunohistochemistry (Formalin/PFA-fixed paraffin-embedded sections) - Anti-SRC3 antibody [AX15.3] - ChIP Grade (AB2782)

Immunohistochemistry (Formalin/PFA-fixed paraffin-embedded sections) was performed on normal biopsies of deparaffinized human pancreas tissue. Heat induced antigen retrieval was performed using 10mM sodium citrate (pH6.0) buffer, microwaved for 8-15 minutes. Tissues were blocked in 3% BSA-PBS for 30 minutes at room temperature and incubated with ab2782 (1 : 20) or without primary antibody (negative control) overnight at 4°C in a humidified chamber. Tissues were washed with PBST and endogenous peroxidase activity was quenched with a peroxidase suppressor. Detection was performed using a biotin-conjugated secondary antibody and SA-HRP, followed by colorimetric detection using DAB. Tissues were counterstained with hematoxylin and prepped for mounting

Western blot - Anti-SRC3 antibody [AX15.3] - ChIP Grade (AB2782)
  • WB

Unknown

Western blot - Anti-SRC3 antibody [AX15.3] - ChIP Grade (AB2782)

Western blot of AIB1 on MCF-7 cell extract using ab2782. Western blot of AIB1 on MCF-7 cell extract using ab2782.

All lanes:

Western blot - Anti-SRC3 antibody [AX15.3] - ChIP Grade (ab2782)

Predicted band size: 155 kDa

false

Key facts

宿主種

Mouse

クローン性

Monoclonal

クローン番号

AX15.3

アイソタイプ

IgG1

キャリアフリー

No

交差種

Human

アプリケーション

WB, IHC-P

applications

免疫原

Recombinant Fragment Protein within Human NCOA3 aa 600-1300. The exact immunogen used to generate this antibody is proprietary information.

Q9Y6Q9

Reactivity data

{ "title": "Reactivity Data", "filters": { "stats": ["", "Species", "Dilution Info", "Notes"], "tabs": { "all-applications": {"fullname" : "All Applications", "shortname": "All Applications"}, "WB" : {"fullname" : "Western blot", "shortname":"WB"}, "IHCP" : {"fullname" : "Immunohistochemistry (Formalin/PFA-fixed paraffin-embedded sections)", "shortname":"IHC-P"} }, "product-promise": { "all": "all", "testedAndGuaranteed": "tested", "guaranteed": "expected", "predicted": "predicted", "notRecommended": "not-recommended" } }, "values": { "Human": { "WB-species-checked": "testedAndGuaranteed", "WB-species-dilution-info": "2 µg/mL", "WB-species-notes": "<p></p>", "IHCP-species-checked": "testedAndGuaranteed", "IHCP-species-dilution-info": "1/10 - 1/100", "IHCP-species-notes": "<p></p>" } } }

製品の詳細

Locus Link: 8202. Alternative names: ACTR, AIB1, RAC3, CTG26, p/CIP, CAGH16, TNRC14, TNRC16, TRAM-1. Alias: Amplified in breast cancer-1.

出荷温度及び保存条件

製品の状態
Liquid
精製方法
Affinity purification
バッファー組成
Preservative: 0.05% Sodium azide Constituents: PBS, 0.1% BSA
出荷温度
Blue Ice
短期保存期間
1-2 weeks
短期保存温度
+4°C
長期保存温度
-20°C
分注に関する情報
Upon delivery aliquot
保管に関する情報
Avoid freeze / thaw cycle

製品プロトコール

For this product, it's our understanding that no specific protocols are required. You can visit:

ターゲットの情報

Nuclear receptor coactivator that directly binds nuclear receptors and stimulates the transcriptional activities in a hormone-dependent fashion. Plays a central role in creating a multisubunit coactivator complex, which probably acts via remodeling of chromatin. Involved in the coactivation of different nuclear receptors, such as for steroids (GR and ER), retinoids (RARs and RXRs), thyroid hormone (TRs), vitamin D3 (VDR) and prostanoids (PPARs). Displays histone acetyltransferase activity. Also involved in the coactivation of the NF-kappa-B pathway via its interaction with the NFKB1 subunit.
See full target information NCOA3

文献 (7)

Recent publications for all applications. Explore the full list and refine your search

Molecular and cellular endocrinology 530:111282 PubMed33894309

2021

Nuclear translocation of MRTFA in MCF7 breast cancer cells shifts ERα nuclear/genomic to extra-nuclear/non genomic actions.

Applications

Unspecified application

Species

Unspecified reactive species

Charly Jehanno,Frédéric Percevault,Noureddine Boujrad,Pascale Le Goff,Coralie Fontaine,Jean-François Arnal,Michael Primig,Farzad Pakdel,Denis Michel,Raphaël Métivier,Gilles Flouriot

Cell death & disease 11:1011 PubMed33239622

2020

Targeting the NCOA3-SP1-TERT axis for tumor growth in hepatocellular carcinoma.

Applications

Unspecified application

Species

Unspecified reactive species

Wenbin Li,Yue Yan,Zongheng Zheng,Qiaohua Zhu,Qian Long,Silei Sui,Meihua Luo,Miao Chen,Yizhuo Li,Yijun Hua,Wuguo Deng,Renchun Lai,Liren Li

Molecular pharmacology 98:364-381 PubMed32788222

2020

Pharmacology and Molecular Mechanisms of Clinically Relevant Estrogen Estetrol and Estrogen Mimic BMI-135 for the Treatment of Endocrine-Resistant Breast Cancer.

Applications

Unspecified application

Species

Unspecified reactive species

Balkees Abderrahman,Philipp Y Maximov,Ramona F Curpan,Jay S Hanspal,Ping Fan,Rui Xiong,Debra A Tonetti,Gregory R J Thatcher,V Craig Jordan

BMC cancer 13:570 PubMed24304549

2013

NCOA3 is a selective co-activator of estrogen receptor α-mediated transactivation of PLAC1 in MCF-7 breast cancer cells.

Applications

ChIP

Species

Human

Meike Wagner,Michael Koslowski,Claudia Paret,Marcus Schmidt,Ozlem Türeci,Ugur Sahin

Molecular endocrinology (Baltimore, Md.) 22:287-303 PubMed17962382

2007

Differential regulation of native estrogen receptor-regulatory elements by estradiol, tamoxifen, and raloxifene.

Applications

ChIP

Species

Human

Nitzan Levy,Dierdre Tatomer,Candice B Herber,Xiaoyue Zhao,Hui Tang,Toby Sargeant,Lonnele J Ball,Jonathan Summers,Terence P Speed,Dale C Leitman

Endocrinology 148:3449-58 PubMed17395694

2007

Multiple transcription factor elements collaborate with estrogen receptor alpha to activate an inducible estrogen response element in the NKG2E gene.

Applications

ChIP

Species

Human

Nitzan Levy,Xiaoyue Zhao,Hui Tang,Robert B Jaffe,Terence P Speed,Dale C Leitman

Molecular cell 21:555-64 PubMed16483936

2006

Distinct roles of unliganded and liganded estrogen receptors in transcriptional repression.

Applications

ChIP

Species

Human

Aleksandra Cvoro,Christina Tzagarakis-Foster,Deirdre Tatomer,Sreenivasan Paruthiyil,Mark S Fox,Dale C Leitman
View all publications

Abcam product promise

当社は、高品質な試薬を通じてお客様の研究を力強くサポートすることをお約束いたします。ご使用いただく各段階で、常にお客様をサポートできる体制を整えております。万が一、製品が期待通りに機能しない場合は、「Abcam Product Promise」による当社保証制度に基づき、安心してご利用いただけます。
保証に関する詳細については利用規約をご確認ください。

Please note: All products are 'FOR RESEARCH USE ONLY. NOT FOR USE IN DIAGNOSTIC OR THERAPEUTIC PROCEDURES'.

For licensing inquiries, please contact partnerships@abcam.com