JavaScript is disabled in your browser. Please enable JavaScript to view this website.
AB204576

Anti-sPLA2-IIE 抗体

Anti-sPLA2-IIE antibody

Be the first to review this product! Submit a review

|

(1 Publication)

Rabbit Polyclonal sPLA2-IIE antibody. Suitable for IHC-P and reacts with Human samples. Cited in 1 publication. Immunogen corresponding to Recombinant Fragment Protein within Human PLA2G2E aa 1-50.

別名を表示する

Group IIE secretory phospholipase A2, GIIE sPLA2, sPLA2-IIE, Phosphatidylcholine 2-acylhydrolase 2E, PLA2G2E

1 Images
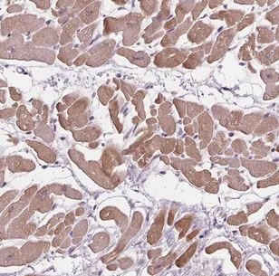
Immunohistochemistry (Formalin/PFA-fixed paraffin-embedded sections) - Anti-sPLA2-IIE antibody (AB204576)
  • IHC-P

Supplier Data

Immunohistochemistry (Formalin/PFA-fixed paraffin-embedded sections) - Anti-sPLA2-IIE antibody (AB204576)

Immunohistochemical staining of Human heart muscle tissue labeling sPLA2-IIE using ab204576 at 1/20 diluiton.

Key facts

宿主種

Rabbit

クローン性

Polyclonal

アイソタイプ

IgG

キャリアフリー

No

交差種

Human

アプリケーション

IHC-P

applications

免疫原

Recombinant Fragment Protein within Human PLA2G2E aa 1-50. The exact immunogen used to generate this antibody is proprietary information.

Q9NZK7

Reactivity data

{ "title": "Reactivity Data", "filters": { "stats": ["", "Species", "Dilution Info", "Notes"], "tabs": { "all-applications": {"fullname" : "All Applications", "shortname": "All Applications"}, "IHCP" : {"fullname" : "Immunohistochemistry (Formalin/PFA-fixed paraffin-embedded sections)", "shortname":"IHC-P"} }, "product-promise": { "all": "all", "testedAndGuaranteed": "tested", "guaranteed": "expected", "predicted": "predicted", "notRecommended": "not-recommended" } }, "values": { "Human": { "IHCP-species-checked": "testedAndGuaranteed", "IHCP-species-dilution-info": "1/20 - 1/50", "IHCP-species-notes": "<p></p> Perform heat-mediated antigen retrieval with citrate buffer pH 6 before commencing with IHC staining protocol." }, "Mouse": { "IHCP-species-checked": "predicted", "IHCP-species-dilution-info": "", "IHCP-species-notes": "" } } }

出荷温度及び保存条件

製品の状態
Liquid
精製方法
Affinity purification Immunogen
バッファー組成
pH: 7.2 Preservative: 0.02% Sodium azide Constituents: PBS, 40% Glycerol (glycerin, glycerine)
出荷温度
Blue Ice
短期保存期間
1-2 weeks
短期保存温度
+4°C
長期保存温度
-20°C
分注に関する情報
Upon delivery aliquot
保管に関する情報
Avoid freeze / thaw cycle

補足情報

This supplementary information is collated from multiple sources and compiled automatically.

Secretory phospholipase A2 group IIE (sPLA2-IIE) is an enzyme belonging to the phospholipase A2 family also known as PLA2G2E. It has a molecular mass of approximately 14 kDa. sPLA2-IIE hydrolyzes the sn-2 position of glycerophospholipids releasing free fatty acids and lysophospholipids. This enzyme shows expression in various tissues including the pancreas and inflammatory sites where it contributes to lipid metabolism and cell membrane remodeling.
Biological function summary

Secretory phospholipase A2 group IIE plays a role in inflammation and immune responses. Its activity results in the production of arachidonic acid and lysophospholipids which are precursors for eicosanoids like prostaglandins and leukotrienes. These lipid mediators regulate inflammatory processes thereby altering cellular responses. sPLA2-IIE participates in a complex network of enzymes and receptors modulating lipid signaling and affecting diverse physiological functions.

Pathways

SPLA2-IIE interacts within the arachidonic acid pathway and the eicosanoid biosynthesis pathway. In these pathways sPLA2-IIE generates bioactive lipids impacting inflammatory signaling. It functions alongside proteins such as cyclooxygenase (COX) and lipoxygenase (LOX) which further metabolize arachidonic acid into specific eicosanoids. These pathways illustrate the enzyme's contribution to finely tuning the inflammatory response and cellular signaling networks.

Secretory phospholipase A2 group IIE associates with conditions like rheumatoid arthritis and atherosclerosis. Its enzymatic activity correlates with the inflammatory components of these diseases promoting tissue damage and disease progression. Through its involvement in lipid mediator synthesis sPLA2-IIE interacts with proteins like interleukin-6 (IL-6) and tumor necrosis factor-alpha (TNF-alpha) key players in the inflammatory pathways that drive these disorders. Understanding the role of sPLA2-IIE in these diseases can help develop targeted therapies.

製品プロトコール

For this product, it's our understanding that no specific protocols are required. You can visit:

ターゲットの情報

Secretory calcium-dependent phospholipase A2 that primarily targets extracellular phospholipids (PubMed : 10681567, PubMed : 11922621, PubMed : 28883454). Hydrolyzes the ester bond of the fatty acyl group attached at sn-2 position of phospholipids (phospholipase A2 activity), releasing various unsaturated fatty acids including oleoate, linoleoate, arachidonate, docosahexaenoate and lysophosphatidylethanolamines in preference to lysophosphatidylcholines (PubMed : 10681567, PubMed : 28883454). In response to high-fat diet, hydrolyzes minor lipoprotein phospholipids including phosphatidylserines, phosphatidylinositols and phosphatidylglycerols, altering lipoprotein composition and fat storage in adipose tissue and liver (By similarity). May act in an autocrine and paracrine manner (PubMed : 11922621). Contributes to lipid remodeling of cellular membranes and generation of lipid mediators involved in pathogen clearance. Cleaves sn-2 fatty acyl chains of phosphatidylglycerols and phosphatidylethanolamines, which are major components of membrane phospholipids in bacteria (PubMed : 11922621). Acts as a hair follicle phospholipase A2. Selectively releases lysophosphatidylethanolamines (LPE) and various unsaturated fatty acids in skin to regulate hair follicle homeostasis (By similarity). May regulate the inflammatory response by releasing arachidonate, a precursor of prostaglandins and leukotrienes (PubMed : 11922621). Upon allergen exposure, may participate in allergic inflammatory response by enhancing leukotriene C4 synthesis and degranulation in mast cells (By similarity).
See full target information PLA2G2E

文献 (1)

Recent publications for all applications. Explore the full list and refine your search

Drug design, development and therapy 14:5505-5514 PubMed33363359

2020

Ulinastatin Inhibits the Proliferation, Invasion and Phenotypic Switching of PDGF-BB-Induced VSMCs via Akt/eNOS/NO/cGMP Signaling Pathway.

Applications

Unspecified application

Species

Unspecified reactive species

Cheng Huang,Weihui Huang,Rui Wang,Yongli He
View all publications

Abcam product promise

当社は、高品質な試薬を通じてお客様の研究を力強くサポートすることをお約束いたします。ご使用いただく各段階で、常にお客様をサポートできる体制を整えております。万が一、製品が期待通りに機能しない場合は、「Abcam Product Promise」による当社保証制度に基づき、安心してご利用いただけます。
保証に関する詳細については利用規約をご確認ください。

Please note: All products are 'FOR RESEARCH USE ONLY. NOT FOR USE IN DIAGNOSTIC OR THERAPEUTIC PROCEDURES'.

For licensing inquiries, please contact partnerships@abcam.com