JavaScript is disabled in your browser. Please enable JavaScript to view this website.
AB7318

Anti-Spermidine 抗体

Anti-Spermidine antibody

Be the first to review this product! Submit a review

|

(9 Publications)

Rabbit Polyclonal Spermidine antibody. Suitable for IHC-P and reacts with Chemical samples. Cited in 9 publications. Immunogen corresponding to Chemical / Small Molecule corresponding to Spermidine.
1 Images
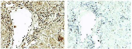
Immunohistochemistry (Formalin/PFA-fixed paraffin-embedded sections) - Anti-Spermidine antibody (AB7318)
  • IHC-P

PubMed

Immunohistochemistry (Formalin/PFA-fixed paraffin-embedded sections) - Anti-Spermidine antibody (AB7318)

ab7318 staining Spermidine in rat lungs by Immunohistochemistry (Formalin/ PFA fixed paraffin-embedded tissue sections). Tissue underwent fixation in 4% paraformaldehyde overnight and embedded in paraffin, heat mediate antigen retrieval was performed in target retrieval solution and sections were immersed in 3% hydrogen peroxide for 5 min to deplete the endogenous peroxidase activity. Sections were incubated in 1% bovine serum albumin in PBS for 30 min followed by primary antibody at room temperature for 2 h. A primary antibody Enhancer and HRP polymer were used according to the manufacturer's instructions. Left image show staining with ab7318 while the right one show staining with same procedure without primary antibody.

Image from Chung-Ping liao et. al. J. Biol. Chem., Mar 2009; 284: 8174 - 8184. (Fig 3B).

Key facts

宿主種

Rabbit

クローン性

Polyclonal

アイソタイプ

IgG

キャリアフリー

No

アプリケーション

IHC-P

applications

特異性

Reacts with spermidine and cross reacts with spermine.

Reactivity data

{ "title": "Reactivity Data", "filters": { "stats": ["", "Species", "Dilution Info", "Notes"], "tabs": { "all-applications": {"fullname" : "All Applications", "shortname": "All Applications"}, "IHCP" : {"fullname" : "Immunohistochemistry (Formalin/PFA-fixed paraffin-embedded sections)", "shortname":"IHC-P"} }, "product-promise": { "all": "all", "testedAndGuaranteed": "tested", "guaranteed": "expected", "predicted": "predicted", "notRecommended": "not-recommended" } }, "values": { "Chemical": { "IHCP-species-checked": "testedAndGuaranteed", "IHCP-species-dilution-info": "", "IHCP-species-notes": "<p></p>" } } }

出荷温度及び保存条件

製品の状態
Liquid
精製度
Whole antiserum
バッファー組成
Constituents: Whole serum
出荷温度
Blue Ice
短期保存期間
1-2 weeks
短期保存温度
+4°C
長期保存温度
-20°C
分注に関する情報
Upon delivery aliquot
保管に関する情報
Avoid freeze / thaw cycle

補足情報

This supplementary information is collated from multiple sources and compiled automatically.

Spermidine also known as SPD is a polyamine with a molecular mass of approximately 145.25 g/mol. It originates from the decarboxylation product of putrescine and is synthesized in the cytoplasm. Spermidine expresses ubiquitously in both prokaryotic and eukaryotic cells. Its mechanical role involves stabilizing the structure of the ribosome and enhancing nucleic acid functions. Through its interaction with RNA it influences cellular functions like growth and proliferation.
Biological function summary

This polyamine plays an important role in cellular processes such as autophagy where it acts as an important regulator. Spermidine is not part of a larger protein complex but it interacts directly with other cellular components to modulate cellular homeostasis and stress resistance. Additionally spermidine is involved in processes like telomerase activity and apoptosis proving its significance in cell maintenance and longevity.

Pathways

Spermidine significantly contributes to the polyamine biosynthesis and catabolism pathways. It is involved in the regulation of the mechanistic target of rapamycin (mTOR) pathway which is important for controlling cellular growth and metabolism. Spermidine functions in connection with proteins like ornithine decarboxylase (ODC) and S-adenosylmethionine decarboxylase (SAMDC) which are pivotal for the polyamine synthesis pathway and interconnected processes.

Spermidine shows relevance to conditions such as neurodegenerative disorders and certain cancers. Its ability to modulate autophagy suggests its importance in mitigating the progression of neurodegenerative diseases like Alzheimer's. Additionally spermidine's role in cell growth regulation links it to cancer as dysregulated polyamine metabolism often correlates with tumorigenesis. In these conditions spermidine interacts with proteins such as Beclin 1 in autophagy and MYC in cell growth regulation highlighting its therapeutic potential in managing these diseases.

製品プロトコール

For this product, it's our understanding that no specific protocols are required. You can visit:

ターゲットの情報

See full target information Spermidine

文献 (9)

Recent publications for all applications. Explore the full list and refine your search

Journal of Cancer 16:3684-3695 PubMed40959110

2025

Spermidine potentiates anti-tumor immune responses and immunotherapy sensitivity in breast cancer.

Applications

Unspecified application

Species

Unspecified reactive species

Xinyu Yang,Yaxin Feng,Ruxin Wang,Xin Zeng,Boying Gao,Penghan Huang,Huiping Chen,Wenfeng Zeng

International journal of molecular sciences 25: PubMed38928162

2024

Spermidine Synthase Localization in Retinal Layers: Early Age Changes.

Applications

Unspecified application

Species

Unspecified reactive species

Astrid Zayas-Santiago,Christian J Malpica-Nieves,David S Ríos,Amanda Díaz-García,Paola N Vázquez,José M Santiago,David E Rivera-Aponte,Rüdiger W Veh,Miguel Méndez-González,Misty Eaton,Serguei N Skatchkov

Communications biology 6:676 PubMed37380734

2023

Spermidine from arginine metabolism activates Nrf2 and inhibits kidney fibrosis.

Applications

Unspecified application

Species

Unspecified reactive species

Seishi Aihara,Kumiko Torisu,Yushi Uchida,Noriyuki Imazu,Toshiaki Nakano,Takanari Kitazono

Biomedicines 11: PubMed37189626

2023

Changes in the Localization of Polyamine Spermidine in the Rat Retina with Age.

Applications

Unspecified application

Species

Unspecified reactive species

David S Ríos,Christian J Malpica-Nieves,Amanda Díaz-García,Misty J Eaton,Serguei N Skatchkov

Science (New York, N.Y.) 378:eabj3510 PubMed36302005

2022

Spermidine activates mitochondrial trifunctional protein and improves antitumor immunity in mice.

Applications

Unspecified application

Species

Unspecified reactive species

Muna Al-Habsi,Kenji Chamoto,Ken Matsumoto,Norimichi Nomura,Baihao Zhang,Yuki Sugiura,Kazuhiro Sonomura,Aprilia Maharani,Yuka Nakajima,Yibo Wu,Yayoi Nomura,Rosemary Menzies,Masaki Tajima,Koji Kitaoka,Yasuharu Haku,Sara Delghandi,Keiko Yurimoto,Fumihiko Matsuda,So Iwata,Toshihiko Ogura,Sidonia Fagarasan,Tasuku Honjo

Clinical and translational medicine 11:e352 PubMed33783988

2021

AMD1 upregulates hepatocellular carcinoma cells stemness by FTO mediated mRNA demethylation.

Applications

Unspecified application

Species

Unspecified reactive species

Xinyu Bian,Dongmin Shi,Kailin Xing,Hongxin Zhou,Lili Lu,Dahai Yu,Weizhong Wu

ESC heart failure 4:563-575 PubMed29154418

2017

Measuring non-polyaminated lipocalin-2 for cardiometabolic risk assessment.

Applications

Unspecified application

Species

Unspecified reactive species

Kangmin Yang,Han-Bing Deng,Andy W C Man,Erfei Song,Jialiang Zhang,Cuiting Luo,Bernard M Y Cheung,Kwok-Yung Yuen,Pia Søndergaard Jensen,Akhmadjon Irmukhamedov,Atlanta G I M Elie,Paul M Vanhoutte,Aimin Xu,Jo G R De Mey,Yu Wang

BioMed research international 2015:172756 PubMed26550563

2015

Immunohistochemical expression of ornithine decarboxylase, diamine oxidase, putrescine, and spermine in normal canine enterocolic mucosa, in chronic colitis, and in colorectal cancer.

Applications

IHC-P

Species

Unspecified reactive species

Giacomo Rossi,Matteo Cerquetella,Graziano Pengo,Subeide Mari,Emilia Balint,Gabrio Bassotti,Nicolae Manolescu

The Journal of biological chemistry 284:8174-84 PubMed19158080

2009

Pneumocystis mediates overexpression of antizyme inhibitor resulting in increased polyamine levels and apoptosis in alveolar macrophages.

Applications

IHC-P

Species

Rat

Chung-Ping Liao,Mark E Lasbury,Shao-Hung Wang,Chen Zhang,Pamela J Durant,Yasuko Murakami,Senya Matsufuji,Chao-Hung Lee
View all publications

Abcam product promise

当社は、高品質な試薬を通じてお客様の研究を力強くサポートすることをお約束いたします。ご使用いただく各段階で、常にお客様をサポートできる体制を整えております。万が一、製品が期待通りに機能しない場合は、「Abcam Product Promise」による当社保証制度に基づき、安心してご利用いただけます。
保証に関する詳細については利用規約をご確認ください。

Please note: All products are 'FOR RESEARCH USE ONLY. NOT FOR USE IN DIAGNOSTIC OR THERAPEUTIC PROCEDURES'.

For licensing inquiries, please contact partnerships@abcam.com