JavaScript is disabled in your browser. Please enable JavaScript to view this website.
AB167605

Anti-SP100 抗体

Anti-SP100 antibody

5

(1 Review)

|

(5 Publications)

Mouse Polyclonal SP100 antibody. Suitable for WB, IHC-P and reacts with Human samples. Cited in 5 publications. Immunogen corresponding to Recombinant Full Length Protein corresponding to Human Nuclear autoantigen Sp-100.

別名を表示する

Nuclear autoantigen Sp-100, Nuclear dot-associated Sp100 protein, Speckled 100 kDa, SP100

2 Images
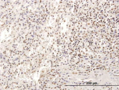
Immunohistochemistry (Formalin/PFA-fixed paraffin-embedded sections) - Anti-SP100 antibody (AB167605)
  • IHC-P

Unknown

Immunohistochemistry (Formalin/PFA-fixed paraffin-embedded sections) - Anti-SP100 antibody (AB167605)

Immunohistochemical analysis of formalin-fixed, paraffin-embedded Human spleen tissue labeling SP100 with ab167605 at 3 μg/ml.

Western blot - Anti-SP100 antibody (AB167605)
  • WB

Unknown

Western blot - Anti-SP100 antibody (AB167605)

All lanes:

Western blot - Anti-SP100 antibody (ab167605) at 1 µg/mL

Lane 1:

SP100 transfected 293T cell lysate at 15 µL

Lane 2:

Non-transfected 293T cell lysate at 15 µL

Predicted band size: 100 kDa

false

Key facts

宿主種

Mouse

クローン性

Polyclonal

アイソタイプ

IgG

キャリアフリー

No

交差種

Human

アプリケーション

WB, IHC-P

applications

免疫原

Recombinant Full Length Protein corresponding to Human Nuclear autoantigen Sp-100.

P23497

Reactivity data

{ "title": "Reactivity Data", "filters": { "stats": ["", "Species", "Dilution Info", "Notes"], "tabs": { "all-applications": {"fullname" : "All Applications", "shortname": "All Applications"}, "WB" : {"fullname" : "Western blot", "shortname":"WB"}, "IHCP" : {"fullname" : "Immunohistochemistry (Formalin/PFA-fixed paraffin-embedded sections)", "shortname":"IHC-P"} }, "product-promise": { "all": "all", "testedAndGuaranteed": "tested", "guaranteed": "expected", "predicted": "predicted", "notRecommended": "not-recommended" } }, "values": { "Human": { "WB-species-checked": "testedAndGuaranteed", "WB-species-dilution-info": "1 µg/mL", "WB-species-notes": "<p>Isoform A predicted MW 54 kDa.</p>", "IHCP-species-checked": "testedAndGuaranteed", "IHCP-species-dilution-info": "3 µg/mL", "IHCP-species-notes": "<p></p>" } } }

出荷温度及び保存条件

製品の状態
Liquid
精製方法
Affinity purification Protein A
バッファー組成
pH: 7.4 Constituents: PBS
出荷温度
Blue Ice
短期保存期間
1-2 weeks
短期保存温度
+4°C
長期保存温度
-20°C
分注に関する情報
Upon delivery aliquot

製品プロトコール

For this product, it's our understanding that no specific protocols are required. You can visit:

ターゲットの情報

Together with PML, this tumor suppressor is a major constituent of the PML bodies, a subnuclear organelle involved in a large number of physiological processes including cell growth, differentiation and apoptosis. Functions as a transcriptional coactivator of ETS1 and ETS2 according to PubMed : 11909962. Under certain conditions, it may also act as a corepressor of ETS1 preventing its binding to DNA according to PubMed : 15247905. Through the regulation of ETS1 it may play a role in angiogenesis, controlling endothelial cell motility and invasion. Through interaction with the MRN complex it may be involved in the regulation of telomeres lengthening. May also regulate TP53-mediated transcription and through CASP8AP2, regulate FAS-mediated apoptosis. Also plays a role in infection by viruses, including human cytomegalovirus and Epstein-Barr virus, through mechanisms that may involve chromatin and/or transcriptional regulation.
See full target information Nuclear autoantigen Sp-100

文献 (5)

Recent publications for all applications. Explore the full list and refine your search

Cell proliferation 57:e13566 PubMed37864298

2023

PML-mediated nuclear loosening permits immunomodulation of mesenchymal stem/stromal cells under inflammatory conditions.

Applications

Unspecified application

Species

Unspecified reactive species

Yunpeng Chu,Zishan Jiang,Zheng Gong,Xiaocao Ji,Mengting Zhu,Qianwen Shang,Pixia Gong,Lijuan Cao,Yongjing Chen,Peishan Li,Changshun Shao,Yufang Shi

Nature structural & molecular biology 29:922-931 PubMed36097294

2022

Smc5/6 silences episomal transcription by a three-step function.

Applications

Unspecified application

Species

Unspecified reactive species

Fabien Abdul,Aurélie Diman,Bastien Baechler,Dhivya Ramakrishnan,Dmytro Kornyeyev,Rudolf K Beran,Simon P Fletcher,Michel Strubin

BMC biology 20:182 PubMed35986286

2022

Modulation of macrophage inflammatory function through selective inhibition of the epigenetic reader protein SP140.

Applications

Unspecified application

Species

Unspecified reactive species

Mohammed Ghiboub,Jan Koster,Peter D Craggs,Andrew Y F Li Yim,Anthony Shillings,Sue Hutchinson,Ryan P Bingham,Kelly Gatfield,Ishtu L Hageman,Gang Yao,Heather P O'Keefe,Aaron Coffin,Amish Patel,Lisa A Sloan,Darren J Mitchell,Thomas G Hayhow,Laurent Lunven,Robert J Watson,Christopher E Blunt,Lee A Harrison,Gordon Bruton,Umesh Kumar,Natalie Hamer,John R Spaull,Danny A Zwijnenburg,Olaf Welting,Theodorus B M Hakvoort,Anje A Te Velde,Johan van Limbergen,Peter Henneman,Rab K Prinjha,Menno P J de Winther,Nicola R Harker,David F Tough,Wouter J de Jonge

Molecular cell 81:1027-1042.e4 PubMed33453166

2021

Alternative lengthening of telomeres is a self-perpetuating process in ALT-associated PML bodies.

Applications

Unspecified application

Species

Unspecified reactive species

Jia-Min Zhang,Marie-Michelle Genois,Jian Ouyang,Li Lan,Lee Zou

PLoS pathogens 13:e1006542 PubMed28750047

2017

Human cytomegalovirus IE1 downregulates Hes1 in neural progenitor cells as a potential E3 ubiquitin ligase.

Applications

Unspecified application

Species

Unspecified reactive species

Xi-Juan Liu,Bo Yang,Sheng-Nan Huang,Cong-Cong Wu,Xiao-Jun Li,Shuang Cheng,Xuan Jiang,Fei Hu,Ying-Zi Ming,Michael Nevels,William J Britt,Simon Rayner,Qiyi Tang,Wen-Bo Zeng,Fei Zhao,Min-Hua Luo
View all publications

Abcam product promise

当社は、高品質な試薬を通じてお客様の研究を力強くサポートすることをお約束いたします。ご使用いただく各段階で、常にお客様をサポートできる体制を整えております。万が一、製品が期待通りに機能しない場合は、「Abcam Product Promise」による当社保証制度に基づき、安心してご利用いただけます。
保証に関する詳細については利用規約をご確認ください。

Please note: All products are 'FOR RESEARCH USE ONLY. NOT FOR USE IN DIAGNOSTIC OR THERAPEUTIC PROCEDURES'.

For licensing inquiries, please contact partnerships@abcam.com