JavaScript is disabled in your browser. Please enable JavaScript to view this website.
AB13370

Anti-SP1 抗体

Anti-SP1 antibody

4

(13 Reviews)

|

(103 Publications)

Rabbit Polyclonal SP1 antibody. Suitable for IP, WB, IHC-P and reacts with Human samples. Cited in 103 publications. Immunogen corresponding to Synthetic Peptide within Human SP1.

別名を表示する

TSFP1, SP1, Transcription factor Sp1

5 Images
Immunohistochemistry (Formalin/PFA-fixed paraffin-embedded sections) - Anti-SP1 antibody (AB13370)
  • IHC-P

Unknown

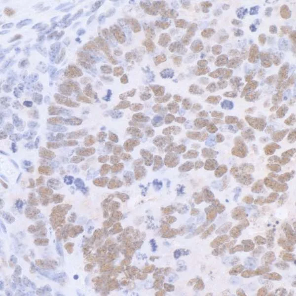
Immunohistochemistry (Formalin/PFA-fixed paraffin-embedded sections) - Anti-SP1 antibody (AB13370)

Immunohistochemistry (Formalin/PFA-fixed paraffin-embedded sections) analysis of mouse renal cell carcinoma tissue sections labeling SP1 with ab13370 at 1/5000 dilution. DAB detection.

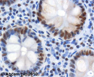
Immunohistochemistry (Formalin/PFA-fixed paraffin-embedded sections) - Anti-SP1 antibody (AB13370)
  • IHC-P

Unknown

Immunohistochemistry (Formalin/PFA-fixed paraffin-embedded sections) - Anti-SP1 antibody (AB13370)

ab13370 (2µg/ml) staining SP1 in human colon using an automated system (DAKO Autostainer Plus). Using this protocol there is nuclear staining.
Sections were rehydrated and antigen retrieved with the Dako 3 in 1 AR buffer EDTA pH 9.0 in a DAKO PT Link. Slides were peroxidase blocked in 3% H2O2 in methanol for 10 mins. They were then blocked with Dako Protein block for 10 minutes (containing casein 0.25% in PBS) then incubated with primary antibody for 20 min and detected with Dako Envision Flex amplification kit for 30 minutes. Colorimetric detection was completed with Diaminobenzidine for 5 minutes. Slides were counterstained with Haematoxylin and coverslipped under DePeX. Please note that, for manual staining, optimization of primary antibody concentration and incubation time is recommended. Signal amplification may be required.

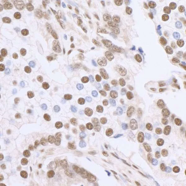
Immunohistochemistry (Formalin/PFA-fixed paraffin-embedded sections) - Anti-SP1 antibody (AB13370)
  • IHC-P

Supplier Data

Immunohistochemistry (Formalin/PFA-fixed paraffin-embedded sections) - Anti-SP1 antibody (AB13370)

Immunohistochemistry (Formalin/PFA-fixed paraffin-embedded sections) analysis of human breast carcinoma tissue sections labeling SP1 with ab13370 at 1/5000 dilution. DAB detection.

Immunoprecipitation - Anti-SP1 antibody (AB13370)
  • IP

Supplier Data

Immunoprecipitation - Anti-SP1 antibody (AB13370)

SP1 was immunoprecipitated from HeLa cells whole cell lysate with ab13370. Anti-SP1 antibody - ChIP Grade (ab13370) used at 6μg per reaction. SP1 was also immunoprecipitated by a previous lot of this antibody. For blotting immunoprecipitated SP1, ab13370 was used at 1μg/ml. Chemiluminescence with an exposure time of 10 seconds.

All lanes:

Immunoprecipitation - Anti-SP1 antibody (ab13370)

Predicted band size: 81 kDa

false

Western blot - Anti-SP1 antibody (AB13370)
  • WB

Unknown

Western blot - Anti-SP1 antibody (AB13370)

Detection of Human SP1 by Western Blot and Immunoprecipitation. Samples : A. Whole cell lysate (50 mcg for E; 10 mcg for T) from HEK 293T cells that were mock transfected (E) or transfected with a Sp1 expression construct (T). B. Whole cell lysate (700 mcg) from HEK 293T cells. Antibody : A. Affinity purified rabbit anti-Sp1 antibody (ab13370) used at the indicated concentrations. B. SP1 was immunoprecipitated using affinity purified rabbit anti-SP1 antibodies (lane 2 : ab13405, lane 3 : ab13370; lane 1 : SP-1 antibody, details unknown) using each antibody at 3.75 mcg/mg lysate. Subsequently, ab13370 was used at 0.04 mcg/ml for WB. Detection : Chemiluminescence with an exposure time of 10 seconds (A) or 1 min (B).

All lanes:

Western blot - Anti-SP1 antibody (ab13370)

Predicted band size: 81 kDa

false

Key facts

宿主種

Rabbit

クローン性

Polyclonal

アイソタイプ

IgG

キャリアフリー

No

交差種

Human

アプリケーション

IHC-P, WB, IP

applications

免疫原

Synthetic Peptide within Human SP1. The exact immunogen used to generate this antibody is proprietary information.

P08047

Reactivity data

{ "title": "Reactivity Data", "filters": { "stats": ["", "Species", "Dilution Info", "Notes"], "tabs": { "all-applications": {"fullname" : "All Applications", "shortname": "All Applications"}, "IP" : {"fullname" : "Immunoprecipitation", "shortname":"IP"}, "WB" : {"fullname" : "Western blot", "shortname":"WB"}, "IHCP" : {"fullname" : "Immunohistochemistry (Formalin/PFA-fixed paraffin-embedded sections)", "shortname":"IHC-P"} }, "product-promise": { "all": "all", "testedAndGuaranteed": "tested", "guaranteed": "expected", "predicted": "predicted", "notRecommended": "not-recommended" } }, "values": { "Human": { "IP-species-checked": "testedAndGuaranteed", "IP-species-dilution-info": "1-4 µg/mg of lysate", "IP-species-notes": "<p></p>", "WB-species-checked": "testedAndGuaranteed", "WB-species-dilution-info": "1/2500 - 1/10000", "WB-species-notes": "<p></p>", "IHCP-species-checked": "testedAndGuaranteed", "IHCP-species-dilution-info": "1/5000", "IHCP-species-notes": "<p></p>" }, "Chimpanzee": { "IP-species-checked": "predicted", "IP-species-dilution-info": "", "IP-species-notes": "", "WB-species-checked": "predicted", "WB-species-dilution-info": "", "WB-species-notes": "", "IHCP-species-checked": "predicted", "IHCP-species-dilution-info": "", "IHCP-species-notes": "" }, "Cow": { "IP-species-checked": "predicted", "IP-species-dilution-info": "", "IP-species-notes": "", "WB-species-checked": "predicted", "WB-species-dilution-info": "", "WB-species-notes": "", "IHCP-species-checked": "predicted", "IHCP-species-dilution-info": "", "IHCP-species-notes": "" }, "Dog": { "IP-species-checked": "predicted", "IP-species-dilution-info": "", "IP-species-notes": "", "WB-species-checked": "predicted", "WB-species-dilution-info": "", "WB-species-notes": "", "IHCP-species-checked": "predicted", "IHCP-species-dilution-info": "", "IHCP-species-notes": "" }, "Goat": { "IP-species-checked": "predicted", "IP-species-dilution-info": "", "IP-species-notes": "", "WB-species-checked": "predicted", "WB-species-dilution-info": "", "WB-species-notes": "", "IHCP-species-checked": "predicted", "IHCP-species-dilution-info": "", "IHCP-species-notes": "" }, "Gorilla": { "IP-species-checked": "predicted", "IP-species-dilution-info": "", "IP-species-notes": "", "WB-species-checked": "predicted", "WB-species-dilution-info": "", "WB-species-notes": "", "IHCP-species-checked": "predicted", "IHCP-species-dilution-info": "", "IHCP-species-notes": "" }, "Horse": { "IP-species-checked": "predicted", "IP-species-dilution-info": "", "IP-species-notes": "", "WB-species-checked": "predicted", "WB-species-dilution-info": "", "WB-species-notes": "", "IHCP-species-checked": "predicted", "IHCP-species-dilution-info": "", "IHCP-species-notes": "" }, "Orangutan": { "IP-species-checked": "predicted", "IP-species-dilution-info": "", "IP-species-notes": "", "WB-species-checked": "predicted", "WB-species-dilution-info": "", "WB-species-notes": "", "IHCP-species-checked": "predicted", "IHCP-species-dilution-info": "", "IHCP-species-notes": "" }, "Pig": { "IP-species-checked": "predicted", "IP-species-dilution-info": "", "IP-species-notes": "", "WB-species-checked": "predicted", "WB-species-dilution-info": "", "WB-species-notes": "", "IHCP-species-checked": "predicted", "IHCP-species-dilution-info": "", "IHCP-species-notes": "" }, "Rabbit": { "IP-species-checked": "predicted", "IP-species-dilution-info": "", "IP-species-notes": "", "WB-species-checked": "predicted", "WB-species-dilution-info": "", "WB-species-notes": "", "IHCP-species-checked": "predicted", "IHCP-species-dilution-info": "", "IHCP-species-notes": "" }, "Rhesus monkey": { "IP-species-checked": "predicted", "IP-species-dilution-info": "", "IP-species-notes": "", "WB-species-checked": "predicted", "WB-species-dilution-info": "", "WB-species-notes": "", "IHCP-species-checked": "predicted", "IHCP-species-dilution-info": "", "IHCP-species-notes": "" }, "Xenopus tropicalis": { "IP-species-checked": "predicted", "IP-species-dilution-info": "", "IP-species-notes": "", "WB-species-checked": "predicted", "WB-species-dilution-info": "", "WB-species-notes": "", "IHCP-species-checked": "predicted", "IHCP-species-dilution-info": "", "IHCP-species-notes": "" }, "Zebra finch": { "IP-species-checked": "predicted", "IP-species-dilution-info": "", "IP-species-notes": "", "WB-species-checked": "predicted", "WB-species-dilution-info": "", "WB-species-notes": "", "IHCP-species-checked": "predicted", "IHCP-species-dilution-info": "", "IHCP-species-notes": "" } } }

出荷温度及び保存条件

製品の状態
Liquid
精製方法
Affinity purification Immunogen
バッファー組成
pH: 7 - 8 Preservative: 0.09% Sodium azide Constituents: 1.815% Tris, 1.764% Sodium citrate, 0.88% Sodium chloride, 0.27% Phosphoric acid, 0.07% Sodium hydroxide
出荷温度
Blue Ice
短期保存期間
1-2 weeks
短期保存温度
+4°C
長期保存温度
-20°C
分注に関する情報
Upon delivery aliquot
保管に関する情報
Avoid freeze / thaw cycle

製品プロトコール

For this product, it's our understanding that no specific protocols are required. You can visit:

ターゲットの情報

Transcription factor that can activate or repress transcription in response to physiological and pathological stimuli. Binds with high affinity to GC-rich motifs and regulates the expression of a large number of genes involved in a variety of processes such as cell growth, apoptosis, differentiation and immune responses. Highly regulated by post-translational modifications (phosphorylations, sumoylation, proteolytic cleavage, glycosylation and acetylation). Binds also the PDGFR-alpha G-box promoter. May have a role in modulating the cellular response to DNA damage. Implicated in chromatin remodeling. Plays an essential role in the regulation of FE65 gene expression. In complex with ATF7IP, maintains telomerase activity in cancer cells by inducing TERT and TERC gene expression. Isoform 3 is a stronger activator of transcription than isoform 1. Positively regulates the transcription of the core clock component BMAL1 (PubMed : 10391891, PubMed : 11371615, PubMed : 11904305, PubMed : 14593115, PubMed : 16377629, PubMed : 16478997, PubMed : 16943418, PubMed : 17049555, PubMed : 18171990, PubMed : 18199680, PubMed : 18239466, PubMed : 18513490, PubMed : 18619531, PubMed : 19193796, PubMed : 20091743, PubMed : 21046154, PubMed : 21798247). Plays a role in the recruitment of SMARCA4/BRG1 on the c-FOS promoter. Plays a role in protecting cells against oxidative stress following brain injury by regulating the expression of RNF112 (By similarity).
See full target information SP1

文献 (103)

Recent publications for all applications. Explore the full list and refine your search

Basic research in cardiology : PubMed40932483

2025

Cardiac sodium-glucose co-transporter 1 (SGLT1) contributes to heart failure in a mouse model of diabetic cardiomyopathy.

Applications

Unspecified application

Species

Unspecified reactive species

Zhao Li,Sydney Freiberg,Meredith L Music,Lina Gu,Sarah Nacos,Joseph P Phillips,Adil Hassan,Kamel Shibbani,Sanah S Munir,Vooha K Kumar,Luke Halligan,Mia E Michel,Benjamin F London,Ngan Bui,Michael Cicha,Valerie Buffard,E Dale Abel,Ferhaan Ahmad

Nature communications 16:4055 PubMed40307206

2025

Allelic effects on KLHL17 expression underlie a pancreatic cancer genome-wide association signal at chr1p36.33.

Applications

Unspecified application

Species

Unspecified reactive species

Katelyn E Connelly,Katherine Hullin,Ehssan Abdolalizadeh,Jun Zhong,Daina Eiser,Aidan O'Brien,Irene Collins,Sudipto Das,Gerard Duncan,Stephen J Chanock,Rachael Z Stolzenberg-Solomon,Alison P Klein,Brian M Wolpin,Jason W Hoskins,Thorkell Andresson,Jill P Smith,Laufey T Amundadottir

FASEB journal : official publication of the Federation of American Societies for Experimental Biology 38:e70118 PubMed39439252

2024

m6A demethylase FTO transcriptionally activated by SP1 improves ischemia reperfusion-triggered acute kidney injury by activating Ambra1/ULK1-mediated autophagy.

Applications

Unspecified application

Species

Unspecified reactive species

Yan Chen,Yuanfei Liu,Weiping Tu,Yanxia Chen,Chengyun Xu,Chong Huang

Heliyon 10:e37366 PubMed39381104

2024

Identification of senescence-related genes for potential therapeutic biomarkers of atrial fibrillation by bioinformatics, human histological validation, and molecular docking.

Applications

Unspecified application

Species

Unspecified reactive species

Jingmeng Liu,Taojie Zhou,Yangyang Bao,Changjian Lin,Qiujing Chen,Yang Dai,Ning Zhang,Wenqi Pan,Qi Jin,Lin Lu,Qiang Zhao,Tianyou Ling,Liqun Wu

International journal of biological sciences 20:1045-1063 PubMed38322121

2024

The homeoprotein HOXB2 limits triple-negative breast carcinogenesis via extracellular matrix remodeling.

Applications

Unspecified application

Species

Unspecified reactive species

Ji Hoon Oh,Clara Yuri Kim,Da Som Jeong,Yu Cheon Kim,Myoung Hee Kim,Je-Yoel Cho

Cell proliferation 57:e13581 PubMed38095020

2023

DNA methylation regulates RNA mA modification through transcription factor SP1 during the development of porcine somatic cell nuclear transfer embryos.

Applications

Unspecified application

Species

Unspecified reactive species

Meng Zhang,Yanhui Zhai,Xinglan An,Qi Li,Daoyu Zhang,Yongfeng Zhou,Sheng Zhang,Xiangpeng Dai,Ziyi Li

Advanced science (Weinheim, Baden-Wurttemberg, Germany) 10:e2302677 PubMed37387563

2023

Small Extracellular Vesicle-Derived vWF Induces a Positive Feedback Loop between Tumor and Endothelial Cells to Promote Angiogenesis and Metastasis in Hepatocellular Carcinoma.

Applications

Unspecified application

Species

Unspecified reactive species

Samuel Wan Ki Wong,Sze Keong Tey,Xiaowen Mao,Hiu Ling Fung,Zhi-Jie Xiao,Danny Ka Ho Wong,Lung-Yi Mak,Man-Fung Yuen,Irene Oi-Lin Ng,Jing Ping Yun,Yi Gao,Judy Wai Ping Yam

FASEB journal : official publication of the Federation of American Societies for Experimental Biology 37:e22832 PubMed36826429

2023

The downregulation of HSP90-controlled CRALBP expression is associated with age-related vision attenuation.

Applications

Unspecified application

Species

Unspecified reactive species

Dan-Dan Chen,Baixue Liu,Yuxuan Wang,Mingjun Jiang,Guohui Shang,Mengjiao Xue,Xiaolin Jia,YouFei Lang,Guiling Zhou,Fengyan Zhang,Xuyan Peng,Yanzhong Hu

Antioxidants (Basel, Switzerland) 12: PubMed36670936

2022

Specificity Protein 1-Mediated Promotion of CXCL12 Advances Endothelial Cell Metabolism and Proliferation in Pulmonary Hypertension.

Applications

Unspecified application

Species

Unspecified reactive species

Evan R DeVallance,Christopher M Dustin,Daniel Simoes de Jesus,Imad Al Ghouleh,John C Sembrat,Eugenia Cifuentes-Pagano,Patrick J Pagano

Acta biochimica et biophysica Sinica 54:1441-1452 PubMed36305724

2022

Phosphorylation-mediated interaction between human E26 transcription factor 1 and specific protein 1 is required for tumor cell migration.

Applications

Unspecified application

Species

Unspecified reactive species

Xianhui Wen,Xingsheng Sun,Zheyuan Ou,Jun Jiang,Qingmei Chen,Xirong He,Zhangsheng Hu,Han Qiao,Kuan Zhou,Xin Li,Yiqun Deng,Jikai Wen
View all publications

Abcam product promise

当社は、高品質な試薬を通じてお客様の研究を力強くサポートすることをお約束いたします。ご使用いただく各段階で、常にお客様をサポートできる体制を整えております。万が一、製品が期待通りに機能しない場合は、「Abcam Product Promise」による当社保証制度に基づき、安心してご利用いただけます。
保証に関する詳細については利用規約をご確認ください。

Please note: All products are 'FOR RESEARCH USE ONLY. NOT FOR USE IN DIAGNOSTIC OR THERAPEUTIC PROCEDURES'.

For licensing inquiries, please contact partnerships@abcam.com