JavaScript is disabled in your browser. Please enable JavaScript to view this website.
AB5983

Anti-SNX5 抗体

Anti-SNX5 antibody

5

(1 Review)

|

(9 Publications)

Goat Polyclonal SNX5 antibody. Suitable for IHC-P, WB and reacts with Human samples. Cited in 9 publications. Immunogen corresponding to Synthetic Peptide within Human Sorting nexin-5 aa 350 to C-terminus.

別名を表示する

Sorting nexin-5, SNX5

3 Images
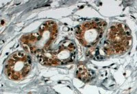
Immunohistochemistry (Formalin/PFA-fixed paraffin-embedded sections) - Anti-SNX5 antibody (AB5983)
  • IHC-P

Supplier Data

Immunohistochemistry (Formalin/PFA-fixed paraffin-embedded sections) - Anti-SNX5 antibody (AB5983)

ab5983 at 4μg/ml, staining SNX5 in Human breast tissue by Immunohistochemistry (Formalin/PFA-fixed paraffin-embedded sections). Steamed antigen retrieval with pH 6 citrate buffer was performed, and the sample was stained with HRP.

Western blot - Anti-SNX5 antibody (AB5983)
  • WB

Supplier Data

Western blot - Anti-SNX5 antibody (AB5983)

Primary incubated for 1 hour. Detected using chemiluminescence.

All lanes:

Western blot - Anti-SNX5 antibody (ab5983) at 1 µg/mL

All lanes:

Jurkat cell lysate (in RIPA buffer) at 35 µg

Predicted band size: 47 kDa

Observed band size: 47 kDa

false

Western blot - Anti-SNX5 antibody (AB5983)
  • WB

AbReview28456****

Western blot - Anti-SNX5 antibody (AB5983)

All lanes:

Western blot - Anti-SNX5 antibody (ab5983) at 1/500 dilution

All lanes:

whole cell lysate prepared from murine macrophages treated with INF gamma at 20 µg

Secondary

All lanes:

HRP conjugated rabbit anti-goat polyclonal at 1/5000 dilution

Predicted band size: 47 kDa

Observed band size: 50 kDa

true

Exposure time: 1min

Image courtesy of an anonymous Abreview.

Key facts

宿主種

Goat

クローン性

Polyclonal

アイソタイプ

IgG

キャリアフリー

No

交差種

Human

アプリケーション

IHC-P, WB

applications

免疫原

Synthetic Peptide within Human Sorting nexin-5 aa 350 to C-terminus. The exact immunogen used to generate this antibody is proprietary information.

Q9Y5X3

Reactivity data

{ "title": "Reactivity Data", "filters": { "stats": ["", "Species", "Dilution Info", "Notes"], "tabs": { "all-applications": {"fullname" : "All Applications", "shortname": "All Applications"}, "IHCP" : {"fullname" : "Immunohistochemistry (Formalin/PFA-fixed paraffin-embedded sections)", "shortname":"IHC-P"}, "WB" : {"fullname" : "Western blot", "shortname":"WB"} }, "product-promise": { "all": "all", "testedAndGuaranteed": "tested", "guaranteed": "expected", "predicted": "predicted", "notRecommended": "not-recommended" } }, "values": { "Human": { "IHCP-species-checked": "testedAndGuaranteed", "IHCP-species-dilution-info": "3-6 µg/mL", "IHCP-species-notes": "<p></p> Perform heat-mediated antigen retrieval with citrate buffer pH 6 before commencing with IHC staining protocol.", "WB-species-checked": "testedAndGuaranteed", "WB-species-dilution-info": "1-3 µg/mL", "WB-species-notes": "<p>1 hour primary incubation is recommended for this product.</p>" }, "Rat": { "IHCP-species-checked": "predicted", "IHCP-species-dilution-info": "", "IHCP-species-notes": "", "WB-species-checked": "predicted", "WB-species-dilution-info": "", "WB-species-notes": "" }, "Cow": { "IHCP-species-checked": "predicted", "IHCP-species-dilution-info": "", "IHCP-species-notes": "", "WB-species-checked": "predicted", "WB-species-dilution-info": "", "WB-species-notes": "" }, "Dog": { "IHCP-species-checked": "predicted", "IHCP-species-dilution-info": "", "IHCP-species-notes": "", "WB-species-checked": "predicted", "WB-species-dilution-info": "", "WB-species-notes": "" }, "Pig": { "IHCP-species-checked": "predicted", "IHCP-species-dilution-info": "", "IHCP-species-notes": "", "WB-species-checked": "predicted", "WB-species-dilution-info": "", "WB-species-notes": "" } } }

出荷温度及び保存条件

製品の状態
Liquid
精製方法
Affinity purification Immunogen
精製に関する特記事項
Purified from goat serum by ammonium sulphate precipitation followed by antigen affinity chromatography using the immunizing peptide.
バッファー組成
pH: 7.3 Preservative: 0.02% Sodium azide Constituents: Tris buffered saline, 0.5% BSA
出荷温度
Blue Ice
短期保存温度
+4°C
長期保存温度
-20°C
分注に関する情報
Upon delivery aliquot
保管に関する情報
Avoid freeze / thaw cycle

製品プロトコール

For this product, it's our understanding that no specific protocols are required. You can visit:

ターゲットの情報

Involved in several stages of intracellular trafficking. Interacts with membranes containing phosphatidylinositol 3-phosphate (PtdIns(3P)) or phosphatidylinositol 3,4-bisphosphate (PtdIns(3,4)P2) (PubMed : 15561769). Acts in part as component of the retromer membrane-deforming SNX-BAR subcomplex. The SNX-BAR retromer mediates retrograde transport of cargo proteins from endosomes to the trans-Golgi network (TGN) and is involved in endosome-to-plasma membrane transport for cargo protein recycling. The SNX-BAR subcomplex functions to deform the donor membrane into a tubular profile called endosome-to-TGN transport carrier (ETC) (Probable). Does not have in vitro vesicle-to-membrane remodeling activity (PubMed : 23085988). Involved in retrograde transport of lysosomal enzyme receptor IGF2R (PubMed : 17148574, PubMed : 18596235). May function as link between endosomal transport vesicles and dynactin (Probable). Plays a role in the internalization of EGFR after EGF stimulation (Probable). Involved in EGFR endosomal sorting and degradation; the function involves PIP5K1C isoform 3 and is retromer-independent (PubMed : 23602387). Together with PIP5K1C isoform 3 facilitates HGS interaction with ubiquitinated EGFR, which initiates EGFR sorting to intraluminal vesicles (ILVs) of the multivesicular body for subsequent lysosomal degradation (Probable). Involved in E-cadherin sorting and degradation; inhibits PIP5K1C isoform 3-mediated E-cadherin degradation (PubMed : 24610942). Plays a role in macropinocytosis (PubMed : 18854019, PubMed : 21048941).
See full target information Sorting nexin-5

文献 (9)

Recent publications for all applications. Explore the full list and refine your search

The EMBO journal 43:4298-4323 PubMed39160272

2024

CHC22 clathrin recruitment to the early secretory pathway requires two-site interaction with SNX5 and p115.

Applications

Unspecified application

Species

Unspecified reactive species

Joshua Greig,George T Bates,Daowen I Yin,Kit Briant,Boris Simonetti,Peter J Cullen,Frances M Brodsky

Nature communications 15:2553 PubMed38519472

2024

SNX8 enables lysosome reformation and reverses lysosomal storage disorder.

Applications

Unspecified application

Species

Unspecified reactive species

Xinran Li,Cong Xiang,Shilei Zhu,Jiansheng Guo,Chang Liu,Ailian Wang,Jin Cao,Yan Lu,Dante Neculai,Pinglong Xu,Xin-Hua Feng

Nature communications 14:4989 PubMed37591837

2023

Endothelial ERα promotes glucose tolerance by enhancing endothelial insulin transport to skeletal muscle.

Applications

Unspecified application

Species

Unspecified reactive species

Anastasia Sacharidou,Ken Chambliss,Jun Peng,Jose Barrera,Keiji Tanigaki,Katherine Luby-Phelps,İpek Özdemir,Sohaib Khan,Shashank R Sirsi,Sung Hoon Kim,Benita S Katzenellenbogen,John A Katzenellenbogen,Mohammed Kanchwala,Adwait A Sathe,Andrew Lemoff,Chao Xing,Kenneth Hoyt,Chieko Mineo,Philip W Shaul

Life (Basel, Switzerland) 12: PubMed35207596

2022

Characterization of Serum Metabolome and Proteome Profiles Identifies SNX5 Specific for Pregnancy Failure in Holstein Heifers.

Applications

Unspecified application

Species

Unspecified reactive species

Kazuya Kusama,Rulan Bai,Yuta Matsuno,Atsushi Ideta,Toshihiro Sakurai,Kentaro Nagaoka,Masatoshi Hori,Kazuhiko Imakawa

Nature 589:456-461 PubMed33328639

2020

Sorting nexin 5 mediates virus-induced autophagy and immunity.

Applications

Unspecified application

Species

Unspecified reactive species

Xiaonan Dong,Yuting Yang,Zhongju Zou,Yuting Zhao,Bo Ci,Lin Zhong,Madhura Bhave,Liwei Wang,Yi-Chun Kuo,Xiao Zang,Rui Zhong,Elizabeth R Aguilera,R Blake Richardson,Boris Simonetti,John W Schoggins,Julie K Pfeiffer,Li Yu,Xuewu Zhang,Yang Xie,Sandra L Schmid,Guanghua Xiao,Paul A Gleeson,Nicholas T Ktistakis,Peter J Cullen,Ramnik J Xavier,Beth Levine

Journal of Cancer 10:2942-2952 PubMed31281471

2019

Sorting Nexin 5 Controls Head and Neck Squamous Cell Carcinoma Progression by Modulating FBW7.

Applications

Unspecified application

Species

Unspecified reactive species

Jinyang Cai,Ming Sun,Bin Hu,Brad Windle,Xin Ge,Guoping Li,Yue Sun

Journal of nanobiotechnology 15:48 PubMed28651541

2017

The agglomeration state of nanoparticles can influence the mechanism of their cellular internalisation.

Applications

WB

Species

Human

Blanka Halamoda-Kenzaoui,Mara Ceridono,Patricia Urbán,Alessia Bogni,Jessica Ponti,Sabrina Gioria,Agnieszka Kinsner-Ovaskainen

Nature cell biology 15:461-71 PubMed23563491

2013

A global analysis of SNX27-retromer assembly and cargo specificity reveals a function in glucose and metal ion transport.

Applications

Unspecified application

Species

Human

Florian Steinberg,Matthew Gallon,Mark Winfield,Elaine C Thomas,Amanda J Bell,Kate J Heesom,Jeremy M Tavaré,Peter J Cullen

The Journal of cell biology 188:131-44 PubMed20065094

2010

The clathrin heavy chain isoform CHC22 functions in a novel endosomal sorting step.

Applications

ICC/IF

Species

Human

Christopher Esk,Chih-Ying Chen,Ludger Johannes,Frances M Brodsky
View all publications

Abcam product promise

当社は、高品質な試薬を通じてお客様の研究を力強くサポートすることをお約束いたします。ご使用いただく各段階で、常にお客様をサポートできる体制を整えております。万が一、製品が期待通りに機能しない場合は、「Abcam Product Promise」による当社保証制度に基づき、安心してご利用いただけます。
保証に関する詳細については利用規約をご確認ください。

Please note: All products are 'FOR RESEARCH USE ONLY. NOT FOR USE IN DIAGNOSTIC OR THERAPEUTIC PROCEDURES'.

For licensing inquiries, please contact partnerships@abcam.com