JavaScript is disabled in your browser. Please enable JavaScript to view this website.
AB72499

Anti-SNF2H 抗体

Anti-SNF2H antibody

4

(1 Review)

|

(19 Publications)

Rabbit Polyclonal SNF2H antibody. Suitable for IHC-P, IP, WB, ICC/IF, IHC-FrFl and reacts with Human, Mouse samples. Cited in 19 publications. Immunogen corresponding to Synthetic Peptide within Human SMARCA5.

別名を表示する

SNF2H, WCRF135, SMARCA5, SWI/SNF-related matrix-associated actin-dependent regulator of chromatin subfamily A member 5, SWI/SNF-related matrix-associated actin-dependent regulator of chromatin A5, Sucrose nonfermenting protein 2 homolog, hSNF2H

4 Images
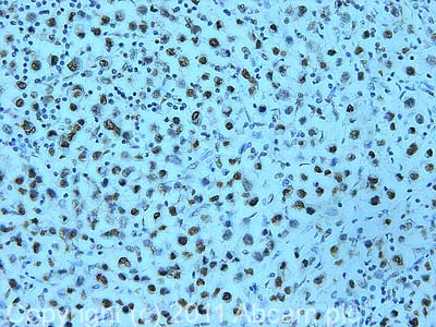
Immunohistochemistry (Formalin/PFA-fixed paraffin-embedded sections) - Anti-SNF2H antibody (AB72499)
  • IHC-P

Unknown

Immunohistochemistry (Formalin/PFA-fixed paraffin-embedded sections) - Anti-SNF2H antibody (AB72499)

IHC image of ab72499 staining in human breast cancer formalin fixed paraffin embedded tissue section, performed on a Leica BondTM system using the standard protocol F. The section was pre-treated using heat mediated antigen retrieval with sodium citrate buffer (pH6, epitope retrieval solution 1) for 20 mins. The section was then incubated with ab72499, 1µg/ml, for 15 mins at room temperature and detected using an HRP conjugated compact polymer system. DAB was used as the chromogen. The section was then counterstained with haematoxylin and mounted with DPX.

For other IHC staining systems (automated and non-automated) customers should optimize variable parameters such as antigen retrieval conditions, primary antibody concentration and antibody incubation times.

Immunocytochemistry/ Immunofluorescence - Anti-SNF2H antibody (AB72499)
  • ICC/IF

Unknown

Immunocytochemistry/ Immunofluorescence - Anti-SNF2H antibody (AB72499)

ICC/IF image of ab72499 stained HepG2 cells. The cells were 4% formaldehyde fixed (10 min) and then incubated in 1%BSA / 10% normal goat serum / 0.3M glycine in 0.1% PBS-Tween for 1h to permeabilise the cells and block non-specific protein-protein interactions. The cells were then incubated with the antibody (ab72499, 1µg/ml) overnight at +4°C. The secondary antibody (green) was Alexa Fluor® 488 goat anti-rabbit IgG (H+L) used at a 1/1000 dilution for 1h. Alexa Fluor® 594 WGA was used to label plasma membranes (red) at a 1/200 dilution for 1h. DAPI was used to stain the cell nuclei (blue) at a concentration of 1.43µM.

Immunoprecipitation - Anti-SNF2H antibody (AB72499)
  • IP

Unknown

Immunoprecipitation - Anti-SNF2H antibody (AB72499)

Detection of SNF2H by Western Blot of Immunprecipitate.
ab72499 at 1µg/ml staining SNF2H in HeLa whole cell lysate immunoprecipitated using ab72499 at 3µg/mg lysate (1 mg/IP; 20% of IP loaded/lane).
Detection : Chemiluminescence with exposure time of 10 seconds.

All lanes:

Immunoprecipitation - Anti-SNF2H antibody (ab72499)

Predicted band size: 122 kDa

false

Western blot - Anti-SNF2H antibody (AB72499)
  • WB

Unknown

Western blot - Anti-SNF2H antibody (AB72499)

All lanes:

Western blot - Anti-SNF2H antibody (ab72499) at 0.04 µg/mL

Lane 1:

HeLa whole cell lysate at 50 µg

Lane 2:

HeLa whole cell lysate at 15 µg

Lane 3:

HeLa whole cell lysate at 5 µg

Predicted band size: 122 kDa

Observed band size: 122 kDa

false

Exposure time: 3min

Key facts

宿主種

Rabbit

クローン性

Polyclonal

アイソタイプ

IgG

キャリアフリー

No

交差種

Human, Mouse

アプリケーション

WB, IP, ICC/IF, IHC-FrFl, IHC-P

applications

免疫原

Synthetic Peptide within Human SMARCA5. The exact immunogen used to generate this antibody is proprietary information.

O60264

Reactivity data

{ "title": "Reactivity Data", "filters": { "stats": ["", "Species", "Dilution Info", "Notes"], "tabs": { "all-applications": {"fullname" : "All Applications", "shortname": "All Applications"}, "IHCP" : {"fullname" : "Immunohistochemistry (Formalin/PFA-fixed paraffin-embedded sections)", "shortname":"IHC-P"}, "IP" : {"fullname" : "Immunoprecipitation", "shortname":"IP"}, "WB" : {"fullname" : "Western blot", "shortname":"WB"}, "ICCIF" : {"fullname" : "Immunocytochemistry/ Immunofluorescence", "shortname":"ICC/IF"}, "IHCFrFl" : {"fullname" : "Immunohistochemistry - Free Floating", "shortname":"IHC-FrFl"} }, "product-promise": { "all": "all", "testedAndGuaranteed": "tested", "guaranteed": "expected", "predicted": "predicted", "notRecommended": "not-recommended" } }, "values": { "Human": { "IHCP-species-checked": "testedAndGuaranteed", "IHCP-species-dilution-info": "1 µg/mL", "IHCP-species-notes": "<p></p> Perform heat-mediated antigen retrieval with citrate buffer pH 6 before commencing with IHC staining protocol.", "IP-species-checked": "testedAndGuaranteed", "IP-species-dilution-info": "2-5 µg/mg of lysate", "IP-species-notes": "<p></p>", "WB-species-checked": "testedAndGuaranteed", "WB-species-dilution-info": "1/2000 - 1/10000", "WB-species-notes": "<p></p>", "ICCIF-species-checked": "testedAndGuaranteed", "ICCIF-species-dilution-info": "1 µg/mL", "ICCIF-species-notes": "<p></p>", "IHCFrFl-species-checked": "guaranteed", "IHCFrFl-species-dilution-info": "", "IHCFrFl-species-notes": "<p></p>" }, "Mouse": { "IHCP-species-checked": "predicted", "IHCP-species-dilution-info": "", "IHCP-species-notes": "", "IP-species-checked": "predicted", "IP-species-dilution-info": "", "IP-species-notes": "", "WB-species-checked": "predicted", "WB-species-dilution-info": "", "WB-species-notes": "", "ICCIF-species-checked": "predicted", "ICCIF-species-dilution-info": "", "ICCIF-species-notes": "", "IHCFrFl-species-checked": "guaranteed", "IHCFrFl-species-dilution-info": "", "IHCFrFl-species-notes": "<p></p>" }, "Rat": { "IHCP-species-checked": "predicted", "IHCP-species-dilution-info": "", "IHCP-species-notes": "", "IP-species-checked": "predicted", "IP-species-dilution-info": "", "IP-species-notes": "", "WB-species-checked": "predicted", "WB-species-dilution-info": "", "WB-species-notes": "", "ICCIF-species-checked": "predicted", "ICCIF-species-dilution-info": "", "ICCIF-species-notes": "", "IHCFrFl-species-checked": "predicted", "IHCFrFl-species-dilution-info": "", "IHCFrFl-species-notes": "" }, "Chimpanzee": { "IHCP-species-checked": "predicted", "IHCP-species-dilution-info": "", "IHCP-species-notes": "", "IP-species-checked": "predicted", "IP-species-dilution-info": "", "IP-species-notes": "", "WB-species-checked": "predicted", "WB-species-dilution-info": "", "WB-species-notes": "", "ICCIF-species-checked": "predicted", "ICCIF-species-dilution-info": "", "ICCIF-species-notes": "", "IHCFrFl-species-checked": "predicted", "IHCFrFl-species-dilution-info": "", "IHCFrFl-species-notes": "" }, "Cow": { "IHCP-species-checked": "predicted", "IHCP-species-dilution-info": "", "IHCP-species-notes": "", "IP-species-checked": "predicted", "IP-species-dilution-info": "", "IP-species-notes": "", "WB-species-checked": "predicted", "WB-species-dilution-info": "", "WB-species-notes": "", "ICCIF-species-checked": "predicted", "ICCIF-species-dilution-info": "", "ICCIF-species-notes": "", "IHCFrFl-species-checked": "predicted", "IHCFrFl-species-dilution-info": "", "IHCFrFl-species-notes": "" }, "Dog": { "IHCP-species-checked": "predicted", "IHCP-species-dilution-info": "", "IHCP-species-notes": "", "IP-species-checked": "predicted", "IP-species-dilution-info": "", "IP-species-notes": "", "WB-species-checked": "predicted", "WB-species-dilution-info": "", "WB-species-notes": "", "ICCIF-species-checked": "predicted", "ICCIF-species-dilution-info": "", "ICCIF-species-notes": "", "IHCFrFl-species-checked": "predicted", "IHCFrFl-species-dilution-info": "", "IHCFrFl-species-notes": "" }, "Gorilla": { "IHCP-species-checked": "predicted", "IHCP-species-dilution-info": "", "IHCP-species-notes": "", "IP-species-checked": "predicted", "IP-species-dilution-info": "", "IP-species-notes": "", "WB-species-checked": "predicted", "WB-species-dilution-info": "", "WB-species-notes": "", "ICCIF-species-checked": "predicted", "ICCIF-species-dilution-info": "", "ICCIF-species-notes": "", "IHCFrFl-species-checked": "predicted", "IHCFrFl-species-dilution-info": "", "IHCFrFl-species-notes": "" }, "Guinea pig": { "IHCP-species-checked": "predicted", "IHCP-species-dilution-info": "", "IHCP-species-notes": "", "IP-species-checked": "predicted", "IP-species-dilution-info": "", "IP-species-notes": "", "WB-species-checked": "predicted", "WB-species-dilution-info": "", "WB-species-notes": "", "ICCIF-species-checked": "predicted", "ICCIF-species-dilution-info": "", "ICCIF-species-notes": "", "IHCFrFl-species-checked": "predicted", "IHCFrFl-species-dilution-info": "", "IHCFrFl-species-notes": "" }, "Horse": { "IHCP-species-checked": "predicted", "IHCP-species-dilution-info": "", "IHCP-species-notes": "", "IP-species-checked": "predicted", "IP-species-dilution-info": "", "IP-species-notes": "", "WB-species-checked": "predicted", "WB-species-dilution-info": "", "WB-species-notes": "", "ICCIF-species-checked": "predicted", "ICCIF-species-dilution-info": "", "ICCIF-species-notes": "", "IHCFrFl-species-checked": "predicted", "IHCFrFl-species-dilution-info": "", "IHCFrFl-species-notes": "" }, "Orangutan": { "IHCP-species-checked": "predicted", "IHCP-species-dilution-info": "", "IHCP-species-notes": "", "IP-species-checked": "predicted", "IP-species-dilution-info": "", "IP-species-notes": "", "WB-species-checked": "predicted", "WB-species-dilution-info": "", "WB-species-notes": "", "ICCIF-species-checked": "predicted", "ICCIF-species-dilution-info": "", "ICCIF-species-notes": "", "IHCFrFl-species-checked": "predicted", "IHCFrFl-species-dilution-info": "", "IHCFrFl-species-notes": "" }, "Pig": { "IHCP-species-checked": "predicted", "IHCP-species-dilution-info": "", "IHCP-species-notes": "", "IP-species-checked": "predicted", "IP-species-dilution-info": "", "IP-species-notes": "", "WB-species-checked": "predicted", "WB-species-dilution-info": "", "WB-species-notes": "", "ICCIF-species-checked": "predicted", "ICCIF-species-dilution-info": "", "ICCIF-species-notes": "", "IHCFrFl-species-checked": "predicted", "IHCFrFl-species-dilution-info": "", "IHCFrFl-species-notes": "" }, "Rabbit": { "IHCP-species-checked": "predicted", "IHCP-species-dilution-info": "", "IHCP-species-notes": "", "IP-species-checked": "predicted", "IP-species-dilution-info": "", "IP-species-notes": "", "WB-species-checked": "predicted", "WB-species-dilution-info": "", "WB-species-notes": "", "ICCIF-species-checked": "predicted", "ICCIF-species-dilution-info": "", "ICCIF-species-notes": "", "IHCFrFl-species-checked": "predicted", "IHCFrFl-species-dilution-info": "", "IHCFrFl-species-notes": "" }, "Rhesus monkey": { "IHCP-species-checked": "predicted", "IHCP-species-dilution-info": "", "IHCP-species-notes": "", "IP-species-checked": "predicted", "IP-species-dilution-info": "", "IP-species-notes": "", "WB-species-checked": "predicted", "WB-species-dilution-info": "", "WB-species-notes": "", "ICCIF-species-checked": "predicted", "ICCIF-species-dilution-info": "", "ICCIF-species-notes": "", "IHCFrFl-species-checked": "predicted", "IHCFrFl-species-dilution-info": "", "IHCFrFl-species-notes": "" } } }

出荷温度及び保存条件

製品の状態
Liquid
精製方法
Affinity purification Immunogen
精製に関する特記事項
ab72499 was affinity purified using an epitope specific to SNF2H immobilized on solid support.
バッファー組成
pH: 6.8 - 7.4 Preservative: 0.09% Sodium azide Constituents: Tris buffered saline, 0.1% BSA
出荷温度
Blue Ice
短期保存温度
+4°C
長期保存温度
+4°C
分注に関する情報
Upon delivery aliquot
保管に関する情報
Avoid freeze / thaw cycle|Do Not Freeze

補足情報

This supplementary information is collated from multiple sources and compiled automatically.

SNF2H also known as SMARCA5 is an ATP-dependent chromatin remodeler with a molecular mass of approximately 122 kDa. This protein belongs to the SNF2 family and functions as a motor protein utilizing the energy from ATP hydrolysis to alter chromatin structure. SNF2H expresses widely across multiple tissues with higher expression levels in the brain and reproductive organs. Its mechanical role involves sliding or repositioning nucleosomes along DNA which influences accessibility for transcription replication and repair machinery.
Biological function summary

In coordinating chromatin dynamics and nucleosome architecture SNF2H plays an important part in the ISWI (Imitation Switch) chromatin remodeling complex. This complex modulates chromatin organization to facilitate histone modification and DNA accessibility impacting gene expression regulation. SNF2H directly affects DNA replication and repair processes contributing to the maintenance of genomic stability. The structural flexibility provided by SNF2H is essential for cellular processes where timely and regulated DNA access is necessary.

Pathways

Modulation of chromatin architecture by SNF2H is key to both transcriptional regulation and DNA repair pathways. It participates in the DNA damage response pathway facilitating recruitment and assembly of repair proteins at damage sites. SNF2H also involves itself in transcriptional control through associations with transcription factors and other chromatin contractors such as NURF (Nucleosome Remodeling Factor) complex components which include proteins like BPTF. These interactions permit precise control of gene activation or repression in response to cellular signals.

Dysfunction of SNF2H impacts chromatin remodeling fidelity contributing to conditions such as cancer and developmental anomalies. Aberrations in SNF2H expression or activity can lead to genomic instability influencing cancer progression through altered transcriptional programs and impaired DNA repair mechanisms. Additionally SNF2H links to ATRX syndrome a developmental disorder associated with mutations in the related ATRX protein highlighting its involvement in maintaining chromatin integrity essential for normal development.

製品プロトコール

For this product, it's our understanding that no specific protocols are required. You can visit:

ターゲットの情報

Helicase that possesses intrinsic ATP-dependent nucleosome-remodeling activity (PubMed : 12972596, PubMed : 28801535). Catalytic subunit of ISWI chromatin-remodeling complexes, which form ordered nucleosome arrays on chromatin and facilitate access to DNA during DNA-templated processes such as DNA replication, transcription, and repair; this may require intact histone H4 tails (PubMed : 10880450, PubMed : 12198550, PubMed : 12434153, PubMed : 12972596, PubMed : 23911928, PubMed : 28801535). Within the ISWI chromatin-remodeling complexes, slides edge- and center-positioned histone octamers away from their original location on the DNA template (PubMed : 28801535). Catalytic activity and histone octamer sliding propensity is regulated and determined by components of the ISWI chromatin-remodeling complexes (PubMed : 28801535). The BAZ1A/ACF1-, BAZ1B/WSTF-, BAZ2A/TIP5- and BAZ2B-containing ISWI chromatin-remodeling complexes regulate the spacing of nucleosomes along the chromatin and have the ability to slide mononucleosomes to the center of a DNA template in an ATP-dependent manner (PubMed : 14759371, PubMed : 15543136, PubMed : 28801535). The CECR2- and RSF1-containing ISWI chromatin-remodeling complexes do not have the ability to slide mononucleosomes to the center of a DNA template (PubMed : 28801535). Binds to core histones together with RSF1, and is required for the assembly of regular nucleosome arrays by the RSF-5 ISWI chromatin-remodeling complex (PubMed : 12972596). Involved in DNA replication and together with BAZ1A/ACF1 is required for replication of pericentric heterochromatin in S-phase (PubMed : 12434153). Probably plays a role in repression of RNA polymerase I dependent transcription of the rDNA locus, through the recruitment of the SIN3/HDAC1 corepressor complex to the rDNA promoter (By similarity). Essential component of the WICH-5 ISWI chromatin-remodeling complex (also called the WICH complex), a chromatin-remodeling complex that mobilizes nucleosomes and reconfigures irregular chromatin to a regular nucleosomal array structure (PubMed : 11980720, PubMed : 15543136). The WICH-5 ISWI chromatin-remodeling complex regulates the transcription of various genes, has a role in RNA polymerase I transcription (By similarity). Within the B-WICH complex has a role in RNA polymerase III transcription (PubMed : 16603771). Mediates the histone H2AX phosphorylation at 'Tyr-142', and is involved in the maintenance of chromatin structures during DNA replication processes (By similarity). Essential component of NoRC-5 ISWI chromatin-remodeling complex, a complex that mediates silencing of a fraction of rDNA by recruiting histone-modifying enzymes and DNA methyltransferases, leading to heterochromatin formation and transcriptional silencing (By similarity).
See full target information SMARCA5

文献 (19)

Recent publications for all applications. Explore the full list and refine your search

Nature genetics 57:2250-2263 PubMed40846763

2025

Precise modulation of BRG1 levels reveals features of mSWI/SNF dosage sensitivity.

Applications

Unspecified application

Species

Unspecified reactive species

Yota Hagihara,Chao Zhang,Yi Zhang

Scientific reports 15:26091 PubMed40681754

2025

SMARCA5 is required for the development of granule cell neuron precursors and Sonic Hedgehog Medulloblastoma growth.

Applications

Unspecified application

Species

Unspecified reactive species

Foteini Tsiami,Layla Drwesh,Surender Surender,Julia Fitzgerald,Jens Schittenhelm,David J Picketts,Rosalind A Segal,Ghazaleh Tabatabai,Daniel J Merk

Nucleic acids research 52:7740-7760 PubMed38932701

2024

ONECUT2 acts as a lineage plasticity driver in adenocarcinoma as well as neuroendocrine variants of prostate cancer.

Applications

Unspecified application

Species

Unspecified reactive species

Chen Qian,Qian Yang,Mirja Rotinen,Rongrong Huang,Hyoyoung Kim,Brad Gallent,Yiwu Yan,Radu M Cadaneanu,Baohui Zhang,Salma Kaochar,Stephen J Freedland,Edwin M Posadas,Leigh Ellis,Dolores Di Vizio,Colm Morrissey,Peter S Nelson,Lauren Brady,Ramachandran Murali,Moray J Campbell,Wei Yang,Beatrice S Knudsen,Elahe A Mostaghel,Huihui Ye,Isla P Garraway,Sungyong You,Michael R Freeman

Nature communications 15:3330 PubMed38684656

2024

Atypical heat shock transcription factor HSF5 is critical for male meiotic prophase under non-stress conditions.

Applications

Unspecified application

Species

Unspecified reactive species

Saori Yoshimura,Ryuki Shimada,Koji Kikuchi,Soichiro Kawagoe,Hironori Abe,Sakie Iisaka,Sayoko Fujimura,Kei-Ichiro Yasunaga,Shingo Usuki,Naoki Tani,Takashi Ohba,Eiji Kondoh,Tomohide Saio,Kimi Araki,Kei-Ichiro Ishiguro

Nature communications 14:6890 PubMed37898641

2023

The chromatin network helps prevent cancer-associated mutagenesis at transcription-replication conflicts.

Applications

Unspecified application

Species

Unspecified reactive species

Aleix Bayona-Feliu,Emilia Herrera-Moyano,Nibal Badra-Fajardo,Iván Galván-Femenía,María Eugenia Soler-Oliva,Andrés Aguilera

Lipids in health and disease 22:156 PubMed37736721

2023

Sirt6 enhances macrophage lipophagy and improves lipid metabolism disorder by regulating the Wnt1/β-catenin pathway in atherosclerosis.

Applications

Unspecified application

Species

Unspecified reactive species

Tingting Wang,Zheng Cheng,Ran Zhao,Jin Cheng,He Ren,Pengke Zhang,Pengyun Liu,Qimeng Hao,Qian Zhang,Xiaolei Yu,Dongdong Sun,Dongwei Zhang

Molecular cell 83:507-522.e6 PubMed36630954

2023

Human SMARCA5 is continuously required to maintain nucleosome spacing.

Applications

Unspecified application

Species

Unspecified reactive species

Monica L Bomber,Jing Wang,Qi Liu,Kelly R Barnett,Hillary M Layden,Emily Hodges,Kristy R Stengel,Scott W Hiebert

Cell 185:3232-3247.e18 PubMed35952671

2022

Epigenetic reader SP140 loss of function drives Crohn's disease due to uncontrolled macrophage topoisomerases.

Applications

Unspecified application

Species

Unspecified reactive species

Hajera Amatullah,Isabella Fraschilla,Sreehaas Digumarthi,Julie Huang,Fatemeh Adiliaghdam,Gracia Bonilla,Lai Ping Wong,Marie-Eve Rivard,Claudine Beauchamp,Virginie Mercier,Philippe Goyette,Ruslan I Sadreyev,Robert M Anthony,John D Rioux,Kate L Jeffrey

Frontiers in molecular neuroscience 14:680280 PubMed34295220

2021

Impaired SNF2L Chromatin Remodeling Prolongs Accessibility at Promoters Enriched for Fos/Jun Binding Sites and Delays Granule Neuron Differentiation.

Applications

Unspecified application

Species

Unspecified reactive species

Laura R Goodwin,Gerardo Zapata,Sara Timpano,Jacob Marenger,David J Picketts

Cell systems 11:25-41.e9 PubMed32634384

2020

A Single-Cell Transcriptomics CRISPR-Activation Screen Identifies Epigenetic Regulators of the Zygotic Genome Activation Program.

Applications

Unspecified application

Species

Unspecified reactive species

Celia Alda-Catalinas,Danila Bredikhin,Irene Hernando-Herraez,Fátima Santos,Oana Kubinyecz,Mélanie A Eckersley-Maslin,Oliver Stegle,Wolf Reik
View all publications

Abcam product promise

当社は、高品質な試薬を通じてお客様の研究を力強くサポートすることをお約束いたします。ご使用いただく各段階で、常にお客様をサポートできる体制を整えております。万が一、製品が期待通りに機能しない場合は、「Abcam Product Promise」による当社保証制度に基づき、安心してご利用いただけます。
保証に関する詳細については利用規約をご確認ください。

Please note: All products are 'FOR RESEARCH USE ONLY. NOT FOR USE IN DIAGNOSTIC OR THERAPEUTIC PROCEDURES'.

For licensing inquiries, please contact partnerships@abcam.com