JavaScript is disabled in your browser. Please enable JavaScript to view this website.
AB3340

Anti-SNAP23 抗体

Anti-SNAP23 antibody

4

(7 Reviews)

|

(21 Publications)

Rabbit Polyclonal SNAP23 antibody. Suitable for IP, WB, IHC-P, ICC/IF and reacts with Recombinant fragment, Mouse, Rat, Human, Recombinant full length protein - Human samples. Cited in 21 publications. Immunogen corresponding to Synthetic Peptide within Mouse Snap23 aa 150 to C-terminus.

別名を表示する

Sndt, Synaptosomal-associated protein 23, SNAP-23, Syndet, Vesicle-membrane fusion protein SNAP-23

7 Images
Immunocytochemistry/ Immunofluorescence - Anti-SNAP23 antibody (AB3340)
  • ICC/IF

Supplier Data

Immunocytochemistry/ Immunofluorescence - Anti-SNAP23 antibody (AB3340)

Immunofluorescence analysis of SNAP-23 was performed using 90% confluent log phase U-87 MG (Human glioblastoma-astrocytoma epithelial cell line) cells with ab3340. The cells were fixed with 4% paraformaldehyde for 10 minutes, permeabilized with 0.1% Triton™ X-100 for 10 minutes, and blocked with 1% BSA for 1 hour at room temperature. The cells were labeled with ab3340 at 2μg/mL in 0.1% BSA and incubated for 3 hours at room temperature and then labeled with Goat anti-Rabbit IgG (H+L) Superclonal™ Secondary Antibody, Alexa Fluor® 488 conjugate at a dilution of 1 : 2000 for 45 minutes at room temperature (Panel a : green). Nuclei (Panel b : blue) were stained with DAPI. F-actin (Panel c : red) was stained with Alexa Fluor® 555 Rhodamine Phalloidin (Product # R415, 1 : 300). Panel d represents the merged image showing membrane localization. Panel e shows the no primary antibody control. The images were captured at 60X magnification.

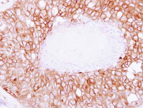
Immunohistochemistry (Formalin/PFA-fixed paraffin-embedded sections) - Anti-SNAP23 antibody (AB3340)
  • IHC-P

Lab

Immunohistochemistry (Formalin/PFA-fixed paraffin-embedded sections) - Anti-SNAP23 antibody (AB3340)

ab3340 (1ug/ml) staining SNAP23 in human tonsil using an automated system (DAKO Autostainer Plus). Using this protocol there is strong staining of cellular membrane compartments of the lymphatic nodules.
Sections were rehydrated and antigen retrieved with the Dako 3 in 1 AR buffer EDTA pH 9.0 in a DAKO PT link. Slides were peroxidase blocked in 3% H2O2 in methanol for 10 mins. They were then blocked with Dako Protein block for 10 minutes (containing casein 0.25% in PBS) then incubated with primary antibody for 20 min and detected with Dako envision flex amplification kit for 30 minutes. Colorimetric detection was completed with Diaminobenzidine for 5 minutes. Slides were counterstained with Haematoxylin and coverslipped under DePeX. Please note that, for manual staining, optimization of primary antibody concentration and incubation time is recommended. Signal amplification may be required.

Immunocytochemistry/ Immunofluorescence - Anti-SNAP23 antibody (AB3340)
  • ICC/IF

Unknown

Immunocytochemistry/ Immunofluorescence - Anti-SNAP23 antibody (AB3340)

ICC/IF image of ab3340 stained PC-12 (Rat adrenal gland pheochromocytoma cell line) cells. The cells were 4% PFA fixed (10 min) and then incubated in 1%BSA / 10% normal goat serum / 0.3M glycine in 0.1% PBS-Tween for 1h to permeabilise the cells and block non-specific protein-protein interactions. The cells were then incubated with the antibody (ab3340, 5μg/ml) overnight at +4°C. The secondary antibody (green) was Alexa Fluor® 488 goat anti-rabbit IgG (H+L) used at a 1/1000 dilution for 1h. Alexa Fluor® 594 WGA was used to label plasma membranes (red) at a 1/200 dilution for 1h. DAPI was used to stain the cell nuclei (blue) at a concentration of 1.43μM.

Western blot - Anti-SNAP23 antibody (AB3340)
  • WB

Supplier Data

Western blot - Anti-SNAP23 antibody (AB3340)

Decrease in signal upon siRNA mediated knock down confirms that antibody is specific to SNAP23.

All lanes:

Western blot - Anti-SNAP23 antibody (ab3340) at 1 µg/mL

Lane 1:

Untransfected U-87 MG (Human glioblastoma-astrocytoma epithelial cell line) whole cell lysates

Lane 2:

Non-specific scrambled siRNA transfected U-87 MG whole cell lysates

Lane 3:

SNAP23 KO U-87 MG (Human glioblastoma-astrocytoma epithelial cell line) whole cell lysates

Secondary

All lanes:

Goat anti-Rabbit IgG (H+L) Superclonal™ Secondary Antibody, HRP conjugate at 0.25 µg/mL

Predicted band size: 23 kDa

false

Western blot - Anti-SNAP23 antibody (AB3340)
  • WB

Supplier Data

Western blot - Anti-SNAP23 antibody (AB3340)

All lanes:

Western blot - Anti-SNAP23 antibody (ab3340) at 2 µg/mL

Lane 1:

U-87 MG (Human glioblastoma-astrocytoma epithelial cell line) whole cell lysate at 30 µg/mL

Lane 2:

HepG2 (Human liver hepatocellular carcinoma cell line) whole cell lysate at 30 µg/mL

Secondary

All lanes:

Goat anti-Rabbit IgG (H+L) Superclonal™ Secondary Antibody, HRP conjugate at 0.4 µg/mL

Predicted band size: 23 kDa

false

Western blot - Anti-SNAP23 antibody (AB3340)
  • WB

Unknown

Western blot - Anti-SNAP23 antibody (AB3340)

All lanes:

Western blot - Anti-SNAP23 antibody (ab3340)

All lanes:

Rat brain tissue

Predicted band size: 23 kDa

false

Western blot - Anti-SNAP23 antibody (AB3340)
  • WB

Unknown

Western blot - Anti-SNAP23 antibody (AB3340)

All lanes:

Western blot - Anti-SNAP23 antibody (ab3340) at 1 µg/mL

All lanes:

Western blot - Recombinant Human SNAP23 protein (<a href='/products/proteins-peptides/recombinant-human-snap23-protein-ab79180'>ab79180</a>) at 0.001 µg

Secondary

All lanes:

Western blot - Goat Anti-Rabbit IgG H&L (HRP) preadsorbed (<a href='/products/secondary-antibodies/goat-rabbit-igg-h-l-hrp-preadsorbed-ab97080'>ab97080</a>) at 1/5000 dilution

Predicted band size: 23 kDa

true

Exposure time: 2min

Key facts

宿主種

Rabbit

クローン性

Polyclonal

アイソタイプ

IgG

キャリアフリー

No

交差種

Rat, Human, Mouse

アプリケーション

IHC-P, WB, ICC/IF, IP

applications

免疫原

Synthetic Peptide within Mouse Snap23 aa 150 to C-terminus. The exact immunogen used to generate this antibody is proprietary information.

O09044

Reactivity data

{ "title": "Reactivity Data", "filters": { "stats": ["", "Species", "Dilution Info", "Notes"], "tabs": { "all-applications": {"fullname" : "All Applications", "shortname": "All Applications"}, "IP" : {"fullname" : "Immunoprecipitation", "shortname":"IP"}, "WB" : {"fullname" : "Western blot", "shortname":"WB"}, "IHCP" : {"fullname" : "Immunohistochemistry (Formalin/PFA-fixed paraffin-embedded sections)", "shortname":"IHC-P"}, "ICCIF" : {"fullname" : "Immunocytochemistry/ Immunofluorescence", "shortname":"ICC/IF"} }, "product-promise": { "all": "all", "testedAndGuaranteed": "tested", "guaranteed": "expected", "predicted": "predicted", "notRecommended": "not-recommended" } }, "values": { "Human": { "IP-species-checked": "guaranteed", "IP-species-dilution-info": "", "IP-species-notes": "<p>Used at a concentration of 2 ug/ml for 1 hr (see Abreview).</p>", "WB-species-checked": "testedAndGuaranteed", "WB-species-dilution-info": "1-2 µg/mL", "WB-species-notes": "<p>23kDa band represents SNAP 23 from rat brain protein extract.</p>", "IHCP-species-checked": "testedAndGuaranteed", "IHCP-species-dilution-info": "1 µg/mL", "IHCP-species-notes": "<p></p>", "ICCIF-species-checked": "testedAndGuaranteed", "ICCIF-species-dilution-info": "2 µg/mL", "ICCIF-species-notes": "<p></p>" }, "Mouse": { "IP-species-checked": "guaranteed", "IP-species-dilution-info": "", "IP-species-notes": "<p>Used at a concentration of 2 ug/ml for 1 hr (see Abreview).</p>", "WB-species-checked": "predicted", "WB-species-dilution-info": "", "WB-species-notes": "", "IHCP-species-checked": "predicted", "IHCP-species-dilution-info": "", "IHCP-species-notes": "", "ICCIF-species-checked": "predicted", "ICCIF-species-dilution-info": "", "ICCIF-species-notes": "" }, "Rat": { "IP-species-checked": "guaranteed", "IP-species-dilution-info": "", "IP-species-notes": "<p>Used at a concentration of 2 ug/ml for 1 hr (see Abreview).</p>", "WB-species-checked": "testedAndGuaranteed", "WB-species-dilution-info": "1-2 µg/mL", "WB-species-notes": "<p>23kDa band represents SNAP 23 from rat brain protein extract.</p>", "IHCP-species-checked": "guaranteed", "IHCP-species-dilution-info": "", "IHCP-species-notes": "", "ICCIF-species-checked": "testedAndGuaranteed", "ICCIF-species-dilution-info": "2 µg/mL", "ICCIF-species-notes": "<p></p>" }, "Recombinant fragment": { "IP-species-checked": "guaranteed", "IP-species-dilution-info": "", "IP-species-notes": "<p>Used at a concentration of 2 ug/ml for 1 hr (see Abreview).</p>", "WB-species-checked": "notRecommended", "WB-species-dilution-info": "", "WB-species-notes": "", "IHCP-species-checked": "notRecommended", "IHCP-species-dilution-info": "", "IHCP-species-notes": "", "ICCIF-species-checked": "notRecommended", "ICCIF-species-dilution-info": "", "ICCIF-species-notes": "" }, "Recombinant full length protein - Human": { "IP-species-checked": "notRecommended", "IP-species-dilution-info": "", "IP-species-notes": "", "WB-species-checked": "testedAndGuaranteed", "WB-species-dilution-info": "1-2 µg/mL", "WB-species-notes": "<p>23kDa band represents SNAP 23 from rat brain protein extract.</p>", "IHCP-species-checked": "notRecommended", "IHCP-species-dilution-info": "", "IHCP-species-notes": "", "ICCIF-species-checked": "notRecommended", "ICCIF-species-dilution-info": "", "ICCIF-species-notes": "" } } }

出荷温度及び保存条件

製品の状態
Liquid
精製方法
Affinity purification Immunogen
バッファー組成
Constituents: PBS, 0.1% BSA
出荷温度
Blue Ice
短期保存期間
1-2 weeks
短期保存温度
+4°C
長期保存温度
-20°C
分注に関する情報
Upon delivery aliquot
保管に関する情報
Avoid freeze / thaw cycle

補足情報

This supplementary information is collated from multiple sources and compiled automatically.

SNAP23 also known as Synaptosomal-Associated Protein 23 is an important component in the mechanism of vesicular trafficking. It has a molecular mass of approximately 23 kDa and functions as a t-SNARE (target membrane SNAP receptor) protein. SNAP23 is expressed in various tissues with high expression levels in the brain pancreas liver and adipose tissue. This protein facilitates the fusion of vesicles with target membranes by forming SNARE complexes which are essential for the exocytosis and endocytosis processes.
Biological function summary

SNAP23 plays a significant role in the regulation of membrane fusion events and intracellular transport. It forms part of the SNARE complex which includes v-SNAREs on vesicle membranes and other t-SNAREs on target membranes. This complex orchestrates the docking and fusion of vesicles enabling the release of neurotransmitters and other cargoes in neuronal and non-neuronal cells. By mediating these events SNAP23 is important for neurotransmission insulin-regulated glucose uptake and other cellular processes.

Pathways

SNAP23 functions in the exocytotic and endocytic pathways where it aids in the accurate secretion and recycling of cellular components. It interacts with proteins like Syntaxin and VAMP (vesicle-associated membrane protein) to achieve precise vesicle targeting and fusion. SNAP23 is also implicated in insulin-signaling pathways where it modulates GLUT4 translocation to the cell surface a process vital for maintaining glucose homeostasis. These interactions underline its involvement in both neural communication and metabolic regulation.

SNAP23 has been associated with metabolic conditions such as type 2 diabetes and neurological disorders. The protein's function in insulin-regulated glucose transport suggests its relevance in diabetes where impaired glucose uptake occurs. In neurological contexts alterations in SNAP23 expression or function might contribute to disorders affecting synaptic transmission. Additionally its connection with proteins like GLUT4 and VAMP highlights SNAP23's role in disease contexts providing a linkage between vesicular transport and disease pathology.

製品プロトコール

For this product, it's our understanding that no specific protocols are required. You can visit:

ターゲットの情報

Essential component of the high affinity receptor for the general membrane fusion machinery and an important regulator of transport vesicle docking and fusion.
See full target information Snap23

文献 (21)

Recent publications for all applications. Explore the full list and refine your search

Nature communications 15:2856 PubMed38565851

2024

Involution of brown adipose tissue through a Syntaxin 4 dependent pyroptosis pathway.

Applications

Unspecified application

Species

Unspecified reactive species

Xiaofan Yu,Gabrielle Benitez,Peter Tszki Wei,Sofia V Krylova,Ziyi Song,Li Liu,Meifan Zhang,Alus M Xiaoli,Henna Wei,Fenfen Chen,Simone Sidoli,Fajun Yang,Kosaku Shinoda,Jeffrey E Pessin,Daorong Feng

Virology 578:117-127 PubMed36527930

2022

SNAP23 is essential for germination of EV-D68 replication organelles.

Applications

Unspecified application

Species

Unspecified reactive species

Katelyn Miller,Michael A Wagner,Alagie Jassey,William T Jackson

Biological & pharmaceutical bulletin 45:1572-1580 PubMed36184518

2022

SNAP23-Mediated Perturbation of Cholesterol-Enriched Membrane Microdomain Promotes Extracellular Vesicle Production in Src-Activated Cancer Cells.

Applications

Unspecified application

Species

Unspecified reactive species

Fumie Mitani,Ryosuke Hayasaka,Akiyoshi Hirayama,Chitose Oneyama

eLife 10: PubMed33973520

2021

EXOC1 plays an integral role in spermatogonia pseudopod elongation and spermatocyte stable syncytium formation in mice.

Applications

Unspecified application

Species

Unspecified reactive species

Yuki Osawa,Kazuya Murata,Miho Usui,Yumeno Kuba,Hoai Thu Le,Natsuki Mikami,Toshinori Nakagawa,Yoko Daitoku,Kanako Kato,Hossam Hassan Shawki,Yoshihisa Ikeda,Akihiro Kuno,Kento Morimoto,Yoko Tanimoto,Tra Thi Huong Dinh,Ken-Ichi Yagami,Masatsugu Ema,Shosei Yoshida,Satoru Takahashi,Seiya Mizuno,Fumihiro Sugiyama

The Journal of biological chemistry 296:100268 PubMed33837726

2021

SNAP23 is essential for platelet and mast cell development and required in connective tissue mast cells for anaphylaxis.

Applications

Unspecified application

Species

Unspecified reactive species

Rodolfo A Cardenas,Ricardo Gonzalez,Elizabeth Sanchez,Marco A Ramos,Eduardo I Cardenas,Alejandro I Rodarte,Roberto J Alcazar-Felix,Alejandro Isaza,Alan R Burns,Ruth Heidelberger,Roberto Adachi

The Journal of biological chemistry 295:15045-15053 PubMed32848017

2020

ATG16L1 autophagy pathway regulates BAX protein levels and programmed cell death.

Applications

Unspecified application

Species

Unspecified reactive species

Fenfen Chen,Dulguun Amgalan,Richard N Kitsis,Jeffrey E Pessin,Daorong Feng

Nature communications 11:181 PubMed31924761

2020

O-GlcNAc transferase inhibits visceral fat lipolysis and promotes diet-induced obesity.

Applications

Unspecified application

Species

Unspecified reactive species

Yunfan Yang,Minnie Fu,Min-Dian Li,Kaisi Zhang,Bichen Zhang,Simeng Wang,Yuyang Liu,Weiming Ni,Qunxiang Ong,Jia Mi,Xiaoyong Yang

International journal of molecular sciences 20: PubMed30871020

2019

Muscle-Saturated Bioactive Lipids Are Increased with Aging and Influenced by High-Intensity Interval Training.

Applications

Unspecified application

Species

Unspecified reactive species

Ditte Søgaard,Marcin Baranowski,Steen Larsen,Michael Taulo Lund,Cathrine Munk Scheuer,Carina Vestergaard Abildskov,Sofie Greve Dideriksen,Flemming Dela,Jørn Wulff Helge

Science signaling 12: PubMed30783011

2019

Disabling the Gβγ-SNARE interaction disrupts GPCR-mediated presynaptic inhibition, leading to physiological and behavioral phenotypes.

Applications

Unspecified application

Species

Unspecified reactive species

Zack Zurawski,Analisa D Thompson Gray,Lillian J Brady,Brian Page,Emily Church,Nicholas A Harris,Michael R Dohn,Yun Young Yim,Karren Hyde,Douglas P Mortlock,Carrie K Jones,Danny G Winder,Simon Alford,Heidi E Hamm

Cancer letters 434:144-151 PubMed30036609

2018

Inhibiting Notch1 enhances immunotherapy efficacy in melanoma by preventing Notch1 dependent immune suppressive properties.

Applications

Unspecified application

Species

Unspecified reactive species

Hong Qiu,Patrick M Zmina,Alex Y Huang,David Askew,Barbara Bedogni
View all publications

Abcam product promise

当社は、高品質な試薬を通じてお客様の研究を力強くサポートすることをお約束いたします。ご使用いただく各段階で、常にお客様をサポートできる体制を整えております。万が一、製品が期待通りに機能しない場合は、「Abcam Product Promise」による当社保証制度に基づき、安心してご利用いただけます。
保証に関する詳細については利用規約をご確認ください。

Please note: All products are 'FOR RESEARCH USE ONLY. NOT FOR USE IN DIAGNOSTIC OR THERAPEUTIC PROCEDURES'.

For licensing inquiries, please contact partnerships@abcam.com