JavaScript is disabled in your browser. Please enable JavaScript to view this website.
AB228015

Anti-SMYD3 抗体

Anti-SMYD3 antibody

  • JP Deleterious:医薬用外劇物

Be the first to review this product! Submit a review

|

(7 Publications)

Rabbit Polyclonal SMYD3 antibody. Suitable for IP, ChIP, WB, IHC-P and reacts with Human samples. Cited in 7 publications. Immunogen corresponding to Recombinant Fragment Protein within Human SMYD3.

別名を表示する

ZMYND1, ZNFN3A1, SMYD3, Histone-lysine N-methyltransferase SMYD3, SET and MYND domain-containing protein 3, Zinc finger MYND domain-containing protein 1

4 Images
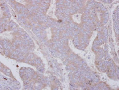
Immunohistochemistry (Formalin/PFA-fixed paraffin-embedded sections) - Anti-SMYD3 antibody (AB228015)
  • IHC-P

Supplier Data

Immunohistochemistry (Formalin/PFA-fixed paraffin-embedded sections) - Anti-SMYD3 antibody (AB228015)

Paraffin-embedded human colon cancer tissue stained for SMYD3 using ab228015 at 1/250 dilution in immunohistochemical analysis.

Immunoprecipitation - Anti-SMYD3 antibody (AB228015)
  • IP

Supplier Data

Immunoprecipitation - Anti-SMYD3 antibody (AB228015)

SMYD3 was immunoprecipitated from HEK-293T (human epithelial cell line from embryonic kidney transformed with large T antigen) whole cell lysate with 2.5 μg of ab228015. Western blot was performed from the immunoprecipitate using ab228015 at 1/1000 dilution. Anti-rabbit IgG (HRP) was used as a secondary reagent.

Lane 1 : 2.5 μg preimmune rabbit IgG instaed of ab228015 in HEK-293T whole cell lysate.

Lane 2 : ab228015 IP in HEK-293T whole cell lysate.

10% SDS-PAGE gel.

All lanes:

Immunoprecipitation - Anti-SMYD3 antibody (ab228015)

Predicted band size: 49 kDa

false

ChIP - Anti-SMYD3 antibody (AB228015)
  • ChIP

Supplier Data

ChIP - Anti-SMYD3 antibody (AB228015)

Cross-linked ChIP was performed with HepG2 (human liver hepatocellular carcinoma cell line) chromatin extract and 5 μg of either control rabbit IgG or ab228015. The precipitated DNA was detected by PCR with primer set targeting to 5' flanking region of Nkx2.8.

Western blot - Anti-SMYD3 antibody (AB228015)
  • WB

Supplier Data

Western blot - Anti-SMYD3 antibody (AB228015)

10% SDS-PAGE gel.

All lanes:

Western blot - Anti-SMYD3 antibody (ab228015) at 1/1000 dilution

All lanes:

A549 (human lung carcinoma cell line) whole cell lysate at 30 µg

Predicted band size: 49 kDa

false

Key facts

宿主種

Rabbit

クローン性

Polyclonal

アイソタイプ

IgG

キャリアフリー

No

交差種

Human

アプリケーション

WB, ChIP, IP, IHC-P

applications

免疫原

Recombinant Fragment Protein within Human SMYD3. The exact immunogen used to generate this antibody is proprietary information.

Q9H7B4

Reactivity data

{ "title": "Reactivity Data", "filters": { "stats": ["", "Species", "Dilution Info", "Notes"], "tabs": { "all-applications": {"fullname" : "All Applications", "shortname": "All Applications"}, "IP" : {"fullname" : "Immunoprecipitation", "shortname":"IP"}, "ChIP" : {"fullname" : "ChIP", "shortname":"ChIP"}, "WB" : {"fullname" : "Western blot", "shortname":"WB"}, "IHCP" : {"fullname" : "Immunohistochemistry (Formalin/PFA-fixed paraffin-embedded sections)", "shortname":"IHC-P"} }, "product-promise": { "all": "all", "testedAndGuaranteed": "tested", "guaranteed": "expected", "predicted": "predicted", "notRecommended": "not-recommended" } }, "values": { "Human": { "IP-species-checked": "testedAndGuaranteed", "IP-species-dilution-info": "1/100 - 1/500", "IP-species-notes": "<p></p>", "ChIP-species-checked": "testedAndGuaranteed", "ChIP-species-dilution-info": "", "ChIP-species-notes": "<p></p>", "WB-species-checked": "testedAndGuaranteed", "WB-species-dilution-info": "1/500 - 1/3000", "WB-species-notes": "<p></p>", "IHCP-species-checked": "testedAndGuaranteed", "IHCP-species-dilution-info": "1/100 - 1/1000", "IHCP-species-notes": "<p></p>" }, "Mouse": { "IP-species-checked": "predicted", "IP-species-dilution-info": "", "IP-species-notes": "", "ChIP-species-checked": "predicted", "ChIP-species-dilution-info": "", "ChIP-species-notes": "", "WB-species-checked": "predicted", "WB-species-dilution-info": "", "WB-species-notes": "", "IHCP-species-checked": "predicted", "IHCP-species-dilution-info": "", "IHCP-species-notes": "" }, "Rat": { "IP-species-checked": "predicted", "IP-species-dilution-info": "", "IP-species-notes": "", "ChIP-species-checked": "predicted", "ChIP-species-dilution-info": "", "ChIP-species-notes": "", "WB-species-checked": "predicted", "WB-species-dilution-info": "", "WB-species-notes": "", "IHCP-species-checked": "predicted", "IHCP-species-dilution-info": "", "IHCP-species-notes": "" }, "Pig": { "IP-species-checked": "predicted", "IP-species-dilution-info": "", "IP-species-notes": "", "ChIP-species-checked": "predicted", "ChIP-species-dilution-info": "", "ChIP-species-notes": "", "WB-species-checked": "predicted", "WB-species-dilution-info": "", "WB-species-notes": "", "IHCP-species-checked": "predicted", "IHCP-species-dilution-info": "", "IHCP-species-notes": "" }, "Rhesus monkey": { "IP-species-checked": "predicted", "IP-species-dilution-info": "", "IP-species-notes": "", "ChIP-species-checked": "predicted", "ChIP-species-dilution-info": "", "ChIP-species-notes": "", "WB-species-checked": "predicted", "WB-species-dilution-info": "", "WB-species-notes": "", "IHCP-species-checked": "predicted", "IHCP-species-dilution-info": "", "IHCP-species-notes": "" } } }

出荷温度及び保存条件

製品の状態
Liquid
精製方法
Affinity purification Immunogen
バッファー組成
pH: 7 Preservative: 0.01% Thimerosal (merthiolate) Constituents: PBS, 20% Glycerol (glycerin, glycerine), 1% BSA
出荷温度
Blue Ice
短期保存期間
1-2 weeks
短期保存温度
+4°C
長期保存温度
-20°C
分注に関する情報
Upon delivery aliquot
保管に関する情報
Avoid freeze / thaw cycle

補足情報

This supplementary information is collated from multiple sources and compiled automatically.

SMYD3 short for SET and MYND domain containing 3 is a member of the protein lysine methyltransferase family. It mainly functions as a histone methyltransferase adding methyl groups to lysine 4 on histone H3 (H3K4) and lysine 5 on histone H4 (H4K5) influencing chromatin structure and gene expression. SMYD3 has a molecular mass of approximately 56 kDa. It is widely expressed in multiple tissues but levels are higher in skeletal muscle and the heart. This broad expression indicates its potential role in various cellular functions.
Biological function summary

This methyltransferase regulates transcriptional activation by methylating histones. It acts as part of transcriptional coactivator complexes interacting with RNA polymerase II. SMYD3 modulates the expression of genes involved in cell proliferation and cancer progression. Additionally it interacts with proteins like Heat Shock Protein 90 (HSP90) and promotes the stabilization of substrate proteins. Its influence extends to non-histone proteins which suggests a wider impact on cellular signaling and structure.

Pathways

SMYD3 is involved in the MAPK (Mitogen-Activated Protein Kinase) signaling pathway an important regulator of cell differentiation proliferation and survival. It interacts with key proteins in this pathway such as ERK2 (Extracellular signal-regulated kinase 2) influencing cellular outcomes. SMYD3 also plays a role in the Wnt signaling pathway which is important for development and oncogenesis. This interaction with signaling pathways underlines its significant regulatory functions within the cell.

SMYD3 is strongly associated with cancer. Its overexpression contributes to tumorigenesis and metastasis particularly in colorectal and liver cancers. In cancer SMYD3 interacts with proteins like AKT1 promoting cancer cell survival and growth. Additionally SMYD3 has been linked to congenital heart diseases through its role in cardiac development. It interacts with cardiac transcription factors further connecting its function to heart malformations.

製品プロトコール

For this product, it's our understanding that no specific protocols are required. You can visit:

ターゲットの情報

Histone methyltransferase. Specifically methylates 'Lys-4' of histone H3, inducing di- and tri-methylation, but not monomethylation (PubMed : 15235609, PubMed : 22419068). Also methylates 'Lys-5' of histone H4 (PubMed : 22419068). Plays an important role in transcriptional activation as a member of an RNA polymerase complex (PubMed : 15235609). Binds DNA containing 5'-CCCTCC-3' or 5'-GAGGGG-3' sequences (PubMed : 15235609).
See full target information SMYD3

文献 (7)

Recent publications for all applications. Explore the full list and refine your search

The Journal of biological chemistry 301:110320 PubMed40451434

2025

The transcription factor HOXA9 induces expression of the chromatin modifier SMYD3 to drive leukemogenesis.

Applications

Unspecified application

Species

Unspecified reactive species

Liping Zhang,Jinqiu Zhong,Luo Yang,Qianyun Ye,Yanli Jin,Chang Liu,Peilong Lai,Hongle Li,Jingxuan Pan,Bei Jin

MedComm 5:e711 PubMed39286779

2024

A novel small molecule ZYZ384 targeting SMYD3 for hepatocellular carcinoma via reducing H3K4 trimethylation of the Rac1 promoter.

Applications

Unspecified application

Species

Unspecified reactive species

Qian Ding,Jianghong Cai,Li Jin,Wei Hu,Wu Song,Peter Rose,Zhiyuan Tang,Yangyang Zhan,Leilei Bao,Wei Lei,Yi Zhun Zhu

International journal of biological sciences 20:1045-1063 PubMed38322121

2024

The homeoprotein HOXB2 limits triple-negative breast carcinogenesis via extracellular matrix remodeling.

Applications

Unspecified application

Species

Unspecified reactive species

Ji Hoon Oh,Clara Yuri Kim,Da Som Jeong,Yu Cheon Kim,Myoung Hee Kim,Je-Yoel Cho

Cell death & disease 14:386 PubMed37386026

2023

SMYD3 drives the proliferation in gastric cancer cells via reducing EMP1 expression in an H4K20me3-dependent manner.

Applications

Unspecified application

Species

Unspecified reactive species

Yi Zeng,Gang Ma,Fenglin Cai,Pengliang Wang,Han Liang,Rupeng Zhang,Jingyu Deng,Yong Liu

Clinical epigenetics 15:92 PubMed37237385

2023

Histone lysine methyltransferase SMYD3 promotes oral squamous cell carcinoma tumorigenesis via H3K4me3-mediated HMGA2 transcription.

Applications

Unspecified application

Species

Unspecified reactive species

Zongcheng Yang,Fen Liu,Zongkai Li,Nianping Liu,Xinfeng Yao,Yu Zhou,Liyu Zhang,Pan Jiang,Honghong Liu,Lingming Kong,Chuandong Lang,Xin Xu,Jihui Jia,Takahito Nakajima,Wenchao Gu,Lixin Zheng,Zhihong Zhang

PLoS genetics 19:e1010724 PubMed37068079

2023

A frame-shift mutation in COMTD1 is associated with impaired pheomelanin pigmentation in chicken.

Applications

Unspecified application

Species

Unspecified reactive species

Huijuan Bi,Jonas Tranell,Dawn C Harper,Weifeng Lin,Jingyi Li,Anders R Hellström,Mårten Larsson,Carl-Johan Rubin,Chao Wang,Shumaila Sayyab,Susanne Kerje,Bertrand Bed'hom,David Gourichon,Shosuke Ito,Kazumasa Wakamatsu,Michèle Tixier-Boichard,Michael S Marks,Daniel Globisch,Leif Andersson

Translational oncology 14:101075 PubMed33773404

2021

SMYD3 confers cisplatin chemoresistance of NSCLC cells in an ANKHD1-dependent manner.

Applications

Unspecified application

Species

Unspecified reactive species

Hong-Wei Lv,Wen-Qun Xing,Yu-Feng Ba,Hao-Miao Li,Hao-Ran Wang,Yin Li
View all publications

Abcam product promise

当社は、高品質な試薬を通じてお客様の研究を力強くサポートすることをお約束いたします。ご使用いただく各段階で、常にお客様をサポートできる体制を整えております。万が一、製品が期待通りに機能しない場合は、「Abcam Product Promise」による当社保証制度に基づき、安心してご利用いただけます。
保証に関する詳細については利用規約をご確認ください。

Please note: All products are 'FOR RESEARCH USE ONLY. NOT FOR USE IN DIAGNOSTIC OR THERAPEUTIC PROCEDURES'.

For licensing inquiries, please contact partnerships@abcam.com