JavaScript is disabled in your browser. Please enable JavaScript to view this website.
AB52903

Anti-SMAD3 (pS423/425) + SMAD5 (pS463/465) + SMAD1 (pS463/465) + SMAD2 (pS465/467) 抗体 [EP823Y]

Anti-SMAD3 (pS423/425) + SMAD5 (pS463/465) + SMAD1 (pS463/465) + SMAD2 (pS465/467) antibody [EP823Y]

4

(21 Reviews)

|

(726 Publications)

Anti-SMAD3 (pS423/425) + SMAD5 (pS463/465 ) + SMAD1 (pS463/465) + SMAD2 (pS465/467) antibody [EP823Y (ab52903) is a rabbit monoclonal antibody detecting Smad1 in Western Blot, IHC-P, ICC/IF, Dot Blot. Suitable for Human, Mouse.

- Biophysical QC for unrivalled batch-batch consistency
- Over 570 publications
- Trusted since 2007

別名を表示する

MADH3, SMAD3, Mothers against decapentaplegic homolog 3, MAD homolog 3, Mad3, Mothers against DPP homolog 3, hMAD-3, JV15-2, SMAD family member 3, SMAD 3, Smad3, hSMAD3

18 Images
Immunohistochemistry (Formalin/PFA-fixed paraffin-embedded sections) - Anti-SMAD3 (pS423/425) + SMAD5 (pS463/465 ) + SMAD1 (pS463/465) + SMAD2 (pS465/467) antibody [EP823Y] (AB52903)
  • IHC-P

Unknown

Immunohistochemistry (Formalin/PFA-fixed paraffin-embedded sections) - Anti-SMAD3 (pS423/425) + SMAD5 (pS463/465 ) + SMAD1 (pS463/465) + SMAD2 (pS465/467) antibody [EP823Y] (AB52903)

Purified ab52903 staining Smad3 in Human stomach tissue sections by Immunohistochemistry (Formalin/PFA fixed paraffin embedded sections). Tissue was fixed with paraffin and antigen retrieval was by heat mediation using ab93684 (Tris/EDTA buffer, Ph9.0). Samples were incubated with primary antibody at a 1/200 dilution. A ready to use rabbit specific IHC polymer detection kit HRP/DAP (ab209101). Hematoxylin was used as a counterstain. Nuclear and weakly cytoplasmic staining on human stomach without alkaline phosphatase treatment (image A). No signal can be detected when tissues were treated with alkaline phosphatase (image B).

Immunocytochemistry/ Immunofluorescence - Anti-SMAD3 (pS423/425) + SMAD5 (pS463/465) + SMAD1 (pS463/465) + SMAD2 (pS465/467) antibody [EP823Y] (AB52903)
  • ICC/IF

Unknown

Immunocytochemistry/ Immunofluorescence - Anti-SMAD3 (pS423/425) + SMAD5 (pS463/465) + SMAD1 (pS463/465) + SMAD2 (pS465/467) antibody [EP823Y] (AB52903)

Immunocytochemistry/Immunofluorescence analysis of A549 +/- TGFβ (5ng/ml 24h) and A549 + TGFβ (5ng/ml 24h) + Lamda phosphatase (LP) cells. Smad3 (phospho S423 + S425) was labelled with purified ab52903 at a dilution of 1/100 dilution while Smad3 was labelled with ab207447 at a dilution of 1/500 dilution. Cells were fixed with 4% paraformaldehyde and permeabilized with 0.1% triton X-100. ab150077 (goat anti-rabbit IgG Alexa Fluor® 488) (1/1000 dilution) was used as the secondary antibody. The cells were co-stained with ab195889 (Anti-alpha Tubulin antibody [DM1A] - Microtubule Marker (Alexa Fluor® 594)) at 1/200 dilution. Nuclei counterstained with DAPI (blue). Control : PBS instead of the primary antibody.

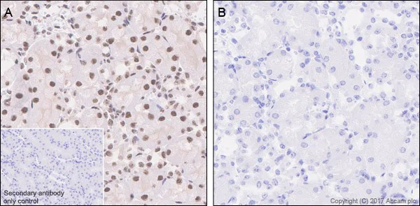
Immunohistochemistry (Formalin/PFA-fixed paraffin-embedded sections) - Anti-SMAD3 (pS423/425) + SMAD5 (pS463/465 ) + SMAD1 (pS463/465) + SMAD2 (pS465/467) antibody [EP823Y] (AB52903)
  • IHC-P

Unknown

Immunohistochemistry (Formalin/PFA-fixed paraffin-embedded sections) - Anti-SMAD3 (pS423/425) + SMAD5 (pS463/465 ) + SMAD1 (pS463/465) + SMAD2 (pS465/467) antibody [EP823Y] (AB52903)

Immunohistochemical analysis of Smad3 in paraffin embedded human liver carcinoma tissue using ab52903 at 1/100 dilution.

Immunocytochemistry/ Immunofluorescence - Anti-SMAD3 (pS423/425) + SMAD5 (pS463/465) + SMAD1 (pS463/465) + SMAD2 (pS465/467) antibody [EP823Y] (AB52903)
  • ICC/IF

AbReview16498****

Immunocytochemistry/ Immunofluorescence - Anti-SMAD3 (pS423/425) + SMAD5 (pS463/465) + SMAD1 (pS463/465) + SMAD2 (pS465/467) antibody [EP823Y] (AB52903)

ab52903 staining Smad3 (phospho S423 + S425) in human TII Pneumocyte A549 cells by Immunocytochemistry/ Immunofluorescence. Cells were fixed with paraformaldehyde and permeabilized with 0.1% Triton x100 before blocking with 3% BSA for 1 hour at RT. Samples were incubated with primary antibody (1/200 dilution in 3% BSA in 1x PBST) for 24 hours at 4°C. A TRITC-conjugated goat polyclonal to rabbit IgG was used as secondary antibody at 1/200 dilution.

This image is courtesy of an Abreview submitted by Aaron Gardner.

Immunocytochemistry/ Immunofluorescence - Anti-SMAD3 (pS423/425) + SMAD5 (pS463/465) + SMAD1 (pS463/465) + SMAD2 (pS465/467) antibody [EP823Y] (AB52903)
  • ICC/IF

AbReview40862****

Immunocytochemistry/ Immunofluorescence - Anti-SMAD3 (pS423/425) + SMAD5 (pS463/465) + SMAD1 (pS463/465) + SMAD2 (pS465/467) antibody [EP823Y] (AB52903)

ab52903 staining Smad3 in mouse primary embryonic epicardial cells by ICC/IF (Immunocytochemistry/immunofluorescence). Cells were fixed with 4% formaldehyde permeabilized with 0.5% Triton X-100 and blocked with PBS + 1% BSA + 10% goat serum + 0.1% Triton X-100 for 1 hour at 20°C. Samples were incubated with primary antibody (1/100 dilution in PBS + 1% BSA + 10% goat serum + 0.1% Triton X-100) for 16 hours at 4°C. An Alexa Fluor®488-conjugated goat anti-rabbit IgG polyclonal (1/200 dilution) was used as the secondary antibody.

This image is courtesy of an anonymous Abreview.

Immunohistochemistry (Formalin/PFA-fixed paraffin-embedded sections) - Anti-SMAD3 (pS423/425) + SMAD5 (pS463/465 ) + SMAD1 (pS463/465) + SMAD2 (pS465/467) antibody [EP823Y] (AB52903)
  • IHC-P

Unknown

Immunohistochemistry (Formalin/PFA-fixed paraffin-embedded sections) - Anti-SMAD3 (pS423/425) + SMAD5 (pS463/465 ) + SMAD1 (pS463/465) + SMAD2 (pS465/467) antibody [EP823Y] (AB52903)

Purified ab52903 staining Smad3 in Mouse kidney tissue sections by Immunohistochemistry (Formalin/PFA fixed paraffin embedded sections). Tissue was fixed with paraffin and antigen retrieval was by heat mediation using ab93684 (Tris/EDTA buffer, pH 9.0). Samples were incubated with primary antibody at a 1/200 dilution. A ready to use rabbit specific IHC polymer detection kit HRP/DAP (ab209101). Hematoxylin was used as a counterstain. Nuclear and weakly cytoplasmic staining on mouse kidney without alkaline phosphatase treatment (image A). No signal can be detected when tissues were treated with alkaline phosphatase (image B).

Immunocytochemistry/ Immunofluorescence - Anti-SMAD3 (pS423/425) + SMAD5 (pS463/465) + SMAD1 (pS463/465) + SMAD2 (pS465/467) antibody [EP823Y] (AB52903)
  • ICC/IF

PubMed

Immunocytochemistry/ Immunofluorescence - Anti-SMAD3 (pS423/425) + SMAD5 (pS463/465) + SMAD1 (pS463/465) + SMAD2 (pS465/467) antibody [EP823Y] (AB52903)

TGF-β1 signaling is impaired in NDRG1-silenced MEFs. PML+/+ mouse embryonic fibroblasts (MEFs) were transfected with either CTL-siRNAs (A & B) or NDRG1-siRNAs (C & D) and induced with100 ng/ml TGF-β1. Immunofluorescent staining revealed intense nuclear staining for phosphorylated SMAD3 (SMAD3-P ab52903) in CTL-siRNA treated MEFs (B) while only weak nuclear staining for MEFs treated with NDRG1-siRNA (D).

Image from Tang MK et al. PLoS One. 2013;8(3):e59477. Fig 12.; doi: 10.1371/journal.pone.0059477.

Western blot - Anti-SMAD3 (pS423/425) + SMAD5 (pS463/465) + SMAD1 (pS463/465) + SMAD2 (pS465/467) antibody [EP823Y] (AB52903)
  • WB

Lab

Western blot - Anti-SMAD3 (pS423/425) + SMAD5 (pS463/465) + SMAD1 (pS463/465) + SMAD2 (pS465/467) antibody [EP823Y] (AB52903)

Blocking and dilution buffer : 5% NFDM/TBST.

All lanes:

Western blot - Anti-SMAD3 (pS423/425) + SMAD5 (pS463/465) + SMAD1 (pS463/465) + SMAD2 (pS465/467) antibody [EP823Y] (ab52903) at 1/1000 dilution

Lane 1:

A549 whole cell lysate at 10 µg

Lane 2:

A549 treated with 5ng/ml TGF-β1 for 24 hours whole cell lysate at 10 µg

Lane 3:

A549 treated with 5ng/ml TGF-β1 for 24 hours whole cell lysate, the membrane was incubated with alkaline phosphatase at 10 µg

Secondary

All lanes:

Western blot - Goat Anti-Rabbit IgG H&L (HRP) (<a href='/products/secondary-antibodies/goat-rabbit-igg-h-l-hrp-ab97051'>ab97051</a>) at 1/100000 dilution

Predicted band size: 48 kDa

Observed band size: 55 kDa

false

Western blot - Anti-SMAD3 (pS423/425) + SMAD5 (pS463/465) + SMAD1 (pS463/465) + SMAD2 (pS465/467) antibody [EP823Y] (AB52903)
  • WB

Lab

Western blot - Anti-SMAD3 (pS423/425) + SMAD5 (pS463/465) + SMAD1 (pS463/465) + SMAD2 (pS465/467) antibody [EP823Y] (AB52903)

Blocking and diluting buffer and concentration : 5% NFDM/TBST.

All lanes:

Western blot - Anti-SMAD3 (pS423/425) + SMAD5 (pS463/465) + SMAD1 (pS463/465) + SMAD2 (pS465/467) antibody [EP823Y] (ab52903) at 1/1000 dilution

Lane 1:

HL-60 (human acute promyelocytic leukemia) treated with TGF-β whole cell lysates, plus Smad3 non-phospho peptide at 10 µg

Lane 2:

HL-60 (human acute promyelocytic leukemia) treated with TGF-β whole cell lysates, plus Smad3 (phospho S423/425) peptide at 10 µg

Lane 3:

HL-60 (human acute promyelocytic leukemia) treated with TGF-β whole cell lysates, plus Smad2 non-phospho peptide at 10 µg

Lane 4:

HL-60 (human acute promyelocytic leukemia) treated with TGF-β whole cell lysates, plus Smad2 (phospho S465/467) peptide at 10 µg

Lane 5:

HL-60 (human acute promyelocytic leukemia) treated with TGF-β whole cell lysates, plus Smad1 non-phospho peptide at 10 µg

Lane 6:

HL-60 (human acute promyelocytic leukemia) treated with TGF-β whole cell lysates, plus Smad1 (phospho S463/465) peptide at 10 µg

Secondary

All lanes:

Goat Anti-Rabbit IgG, (H+L), Peroxidase conjugated at 1/2000 dilution

Predicted band size: 48 kDa

Observed band size: 55 kDa

false

Exposure time: 3min

Western blot - Anti-SMAD3 (pS423/425) + SMAD5 (pS463/465) + SMAD1 (pS463/465) + SMAD2 (pS465/467) antibody [EP823Y] (AB52903)
  • WB

Unknown

Western blot - Anti-SMAD3 (pS423/425) + SMAD5 (pS463/465) + SMAD1 (pS463/465) + SMAD2 (pS465/467) antibody [EP823Y] (AB52903)

All lanes:

Western blot - Anti-SMAD3 (pS423/425) + SMAD5 (pS463/465) + SMAD1 (pS463/465) + SMAD2 (pS465/467) antibody [EP823Y] (ab52903) at 1/2000 dilution

Lane 1:

(A) HL-60 cell lysates at 10&micro;g untreated

Lane 2:

(B) HL-60 cell lysates at 10&micro;g treated with TGF.

Predicted band size: 48 kDa

Observed band size: 45 kDa,55 kDa

false

ChIC/CUT&RUN sequencing - Anti-SMAD3 (pS423/425) + SMAD5 (pS463/465) + SMAD1 (pS463/465) + SMAD2 (pS465/467) antibody [EP823Y] (AB52903)
  • ChIC/CUT&RUN-seq

Lab

ChIC/CUT&RUN sequencing - Anti-SMAD3 (pS423/425) + SMAD5 (pS463/465) + SMAD1 (pS463/465) + SMAD2 (pS465/467) antibody [EP823Y] (AB52903)

ChIC/CUT&RUN was performed using a pAG-MNase at a final concentration of 700 ng/mL, 2.5 x 10^5 A549 (Human lung carcinoma cell line) cells treated with hTGF-β1 (7 ng/mL 1 h) and 5 µg of ab52903 [EP823Y]. The resulting DNA was sequenced on the Illumina NovaSeq 6000 to a depth of 10 million reads. The negative IgG control ab172730 is also shown. The University of Geneva owns patents relevant to ChIC (Chromatin Immuno-Cleavage) methods.

Dot Blot - Anti-SMAD3 (pS423/425) + SMAD5 (pS463/465) + SMAD1 (pS463/465) + SMAD2 (pS465/467) antibody [EP823Y] (AB52903)
  • Dot

Unknown

Dot Blot - Anti-SMAD3 (pS423/425) + SMAD5 (pS463/465) + SMAD1 (pS463/465) + SMAD2 (pS465/467) antibody [EP823Y] (AB52903)

Dot blot analysis of human Smad 3 (phospho S423 + S425) phospho peptide (Lane 1), Smad 3 (phospho S423) phospho peptide (Lane 2), Smad 3 (phospho S425) phospho peptide (Lane 3) and Smad 3 non-phospho peptide (Lane 4) labelling Smad 3 (phospho S423 + S425) with ab52903 at a dilution of 1/1000. A Goat Anti-Rabbit IgG, (H+L), Peroxidase conjugated (ab97051) was used as the secondary antibody at a dilution of 1/20,000. Blocking and dilution buffer : 5% NFDM /TBST.

ChIC/CUT&RUN sequencing - Anti-SMAD3 (pS423/425) + SMAD5 (pS463/465) + SMAD1 (pS463/465) + SMAD2 (pS465/467) antibody [EP823Y] (AB52903)
  • ChIC/CUT&RUN-seq

Lab

ChIC/CUT&RUN sequencing - Anti-SMAD3 (pS423/425) + SMAD5 (pS463/465) + SMAD1 (pS463/465) + SMAD2 (pS465/467) antibody [EP823Y] (AB52903)

ChIC/CUT&RUN was performed using a pAG-MNase at a final concentration of 700 ng/mL, 2.5 x 10^5 A549 (Human lung carcinoma cell line) cells treated with hTGF-β1 (7 ng/mL 1 h) and 5 µg of ab52903 [EP823Y]. The resulting DNA was sequenced on the Illumina NovaSeq 6000 to a depth of 10 million reads. The negative IgG control ab172730 is also shown. The University of Geneva owns patents relevant to ChIC (Chromatin Immuno-Cleavage) methods.

ChIC/CUT&RUN sequencing - Anti-SMAD3 (pS423/425) + SMAD5 (pS463/465) + SMAD1 (pS463/465) + SMAD2 (pS465/467) antibody [EP823Y] (AB52903)
  • ChIC/CUT&RUN-seq

Lab

ChIC/CUT&RUN sequencing - Anti-SMAD3 (pS423/425) + SMAD5 (pS463/465) + SMAD1 (pS463/465) + SMAD2 (pS465/467) antibody [EP823Y] (AB52903)

ChIC/CUT&RUN was performed using a pAG-MNase at a final concentration of 700 ng/mL, 2.5 x 10^5 A549 (Human lung carcinoma cell line) cells treated with hTGF-β1 (7 ng/mL 1 h) and 5 µg of ab52903 [EP823Y]. The resulting DNA was sequenced on the Illumina NovaSeq 6000 to a depth of 10 million reads. The negative IgG control ab172730 is also shown. The University of Geneva owns patents relevant to ChIC (Chromatin Immuno-Cleavage) methods.

Western blot - Anti-SMAD3 (pS423/425) + SMAD5 (pS463/465) + SMAD1 (pS463/465) + SMAD2 (pS465/467) antibody [EP823Y] (AB52903)
  • WB

Lab

Western blot - Anti-SMAD3 (pS423/425) + SMAD5 (pS463/465) + SMAD1 (pS463/465) + SMAD2 (pS465/467) antibody [EP823Y] (AB52903)

All lanes:

Western blot - Anti-SMAD3 (pS423/425) + SMAD5 (pS463/465) + SMAD1 (pS463/465) + SMAD2 (pS465/467) antibody [EP823Y] (ab52903) at 1/2000 dilution

Lane 1:

F9 (Mouse embryonic testicular cancer epithelial cell) whole cell lysates at 15 µg

Lane 2:

F9 (Mouse embryonic testicular cancer epithelial cell) whole cell lysates. Then the membrane was incubated with phosphatase at 15 µg

Secondary

All lanes:

Western blot - Goat Anti-Rabbit IgG H&L (HRP) (<a href='/products/secondary-antibodies/goat-rabbit-igg-h-l-hrp-ab97051'>ab97051</a>) at 1/20000 dilution

Predicted band size: 48 kDa

Observed band size: 50 kDa

false

Exposure time: 1min

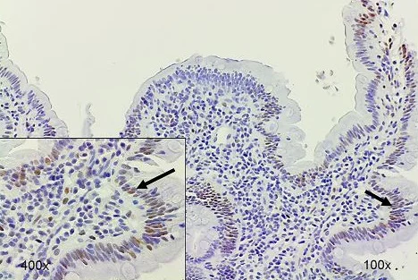
Immunohistochemistry (Formalin/PFA-fixed paraffin-embedded sections) - Anti-SMAD3 (pS423/425) + SMAD5 (pS463/465 ) + SMAD1 (pS463/465) + SMAD2 (pS465/467) antibody [EP823Y] (AB52903)
  • IHC-P

PubMed

Immunohistochemistry (Formalin/PFA-fixed paraffin-embedded sections) - Anti-SMAD3 (pS423/425) + SMAD5 (pS463/465 ) + SMAD1 (pS463/465) + SMAD2 (pS465/467) antibody [EP823Y] (AB52903)

Representative IHC photomicrographs from an Environmental enteropathy (EE) duodenal biopsy showing p-SMAD3 staining (ab52903) in only the epithelium (arrows).

Image from Syed S et al. PLoS Negl Trop Dis. 2018;12(2):e0006224. Fig 4.; doi: 10.1371/journal.pntd.0006224.

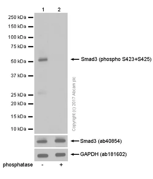
Western blot - Anti-SMAD3 (pS423/425) + SMAD5 (pS463/465) + SMAD1 (pS463/465) + SMAD2 (pS465/467) antibody [EP823Y] (AB52903)
  • WB

AbReview15966****

Western blot - Anti-SMAD3 (pS423/425) + SMAD5 (pS463/465) + SMAD1 (pS463/465) + SMAD2 (pS465/467) antibody [EP823Y] (AB52903)

All lanes:

Western blot - Anti-SMAD3 (pS423/425) + SMAD5 (pS463/465) + SMAD1 (pS463/465) + SMAD2 (pS465/467) antibody [EP823Y] (ab52903) at 1/1000 dilution

Lane 1:

Lysate prepared from untreated human A549 cells at 20 µg

Lane 2:

Lysate prepared from untreated human A549 cells for 30min at 20 µg

Lane 3:

Lysate prepared from TGF-ß1 cells at 10ng/ml for 30min at 20 µg

Lane 4:

Lysate prepared from TNF-a cells at 20ng/ml for 30min at 20 µg

Lane 5:

Lysate prepared from TGF-ß1 and TNF-a cells at above doses for 30min at 20 µg

Lane 6:

Blank DMEM media at 20 µg

Secondary

All lanes:

Western blot - Donkey Anti-Rabbit IgG H&L (HRP) (<a href='/products/secondary-antibodies/donkey-rabbit-igg-h-l-hrp-ab16284'>ab16284</a>)

Predicted band size: 48 kDa

Observed band size: 48 kDa

true

Exposure time: 1hr

This image is a courtesy of Aaron Gardner

Dot Blot - Anti-SMAD3 (pS423/425) + SMAD5 (pS463/465) + SMAD1 (pS463/465) + SMAD2 (pS465/467) antibody [EP823Y] (AB52903)
  • Dot

Lab

Dot Blot - Anti-SMAD3 (pS423/425) + SMAD5 (pS463/465) + SMAD1 (pS463/465) + SMAD2 (pS465/467) antibody [EP823Y] (AB52903)

Blocking and diluting buffer and concentration : 5% NFDM /TBST

All lanes:

Dot Blot - Anti-SMAD3 (pS423/425) + SMAD5 (pS463/465) + SMAD1 (pS463/465) + SMAD2 (pS465/467) antibody [EP823Y] (ab52903) at 1/1000 dilution

Lane 1:

Smad5 non-phospho peptide

Lane 2:

Smad5 (s463+s465) phospho peptide

Lane 3:

Smad2 non-phospho peptide

Lane 4:

Smad2 (s465+s467) phospho peptide

Lane 5:

Smad1 non-phospho peptide

Lane 6:

Smad1 (s463+s465) phospho peptide

Lane 7:

Smad3 non-phospho peptide

Lane 8:

Smad3 (s423+s435) phospho peptide

Secondary

All lanes:

Dot Blot - Goat Anti-Rabbit IgG H&L (HRP) (<a href='/products/secondary-antibodies/goat-rabbit-igg-h-l-hrp-ab97051'>ab97051</a>) at 1/20000 dilution

false

Exposure time: 59s

関連する標識済み抗体及び組成の異なる製品 (7)

  • Carrier free

    Anti-SMAD3 (pS423/425)+SMAD5&SMAD1 (pS463/465)+SMAD2 (pS465/467) antibody [EP823Y] - BSA&Azide free

  • 565 Alexa Fluor® 555

    AF555 Anti-SMAD3 (pS423/425) + SMAD5 & SMAD1 (pS463/465) + SMAD2 (pS465/467) antibody [EP823Y]

  • 617 Alexa Fluor® 594

    AF594 Anti-SMAD3 (pS423/425) + SMAD5 & SMAD1 (pS463/465) + SMAD2 (pS465/467) antibody [EP823Y]

  • 665 Alexa Fluor® 647

    AF647 Anti-SMAD3 (pS423/425) + SMAD5 & SMAD1 (pS463/465) + SMAD2 (pS465/467) antibody [EP823Y]

  • 603 Alexa Fluor® 568

    AF568 Anti-SMAD3 (pS423/425) + SMAD5 & SMAD1 (pS463/465) + SMAD2 (pS465/467) antibody [EP823Y]

  • 519 Alexa Fluor® 488

    AF488 Anti-SMAD3 (pS423/425) + SMAD5 & SMAD1 (pS463/465) + SMAD2 (pS465/467) antibody [EP823Y]

  • 775 Alexa Fluor® 750

    A750 Anti-SMAD3 (pS423/425)+SMAD5 (pS463/465)+SMAD1 (pS463/465)+SMAD2 (pS465/467) antibody [EP823Y]

Key facts

宿主種

Rabbit

クローン性

Monoclonal

クローン番号

EP823Y

アイソタイプ

IgG

キャリアフリー

No

交差種

Mouse, Human

アプリケーション

WB, ChIC/CUT&RUN-seq, Dot, IHC-P, ICC/IF

applications

免疫原

The exact immunogen used to generate this antibody is proprietary information.

特異性

This antibody detects Smad3 phosphorylated on Serine 423 and Serine 425. This Smad3 antibody may also detect Smad1, Smad2 and Smad5 phosphorylated at the equivalent sites.

Reactivity data

{ "title": "Reactivity Data", "filters": { "stats": ["", "Species", "Dilution Info", "Notes"], "tabs": { "all-applications": {"fullname" : "All Applications", "shortname": "All Applications"}, "IP" : {"fullname" : "Immunoprecipitation", "shortname":"IP"}, "FlowCyt" : {"fullname" : "Flow Cytometry", "shortname":"Flow Cyt"}, "Dot" : {"fullname" : "Dot Blot", "shortname":"Dot"}, "WB" : {"fullname" : "Western blot", "shortname":"WB"}, "ICCIF" : {"fullname" : "Immunocytochemistry/ Immunofluorescence", "shortname":"ICC/IF"}, "IHCP" : {"fullname" : "Immunohistochemistry (Formalin/PFA-fixed paraffin-embedded sections)", "shortname":"IHC-P"}, "ChICCUTRUNseq" : {"fullname" : "ChIC/CUT&RUN sequencing", "shortname":"ChIC/CUT&RUN-seq"} }, "product-promise": { "all": "all", "testedAndGuaranteed": "tested", "guaranteed": "expected", "predicted": "predicted", "notRecommended": "not-recommended" } }, "values": { "Human": { "IP-species-checked": "notRecommended", "IP-species-dilution-info": "", "IP-species-notes": "<p></p>", "FlowCyt-species-checked": "notRecommended", "FlowCyt-species-dilution-info": "", "FlowCyt-species-notes": "<p></p>", "Dot-species-checked": "testedAndGuaranteed", "Dot-species-dilution-info": "1/1000", "Dot-species-notes": "<p></p>", "WB-species-checked": "testedAndGuaranteed", "WB-species-dilution-info": "1/2000", "WB-species-notes": "<p></p>", "ICCIF-species-checked": "testedAndGuaranteed", "ICCIF-species-dilution-info": "1/100 - 1/250", "ICCIF-species-notes": "<p></p>", "IHCP-species-checked": "testedAndGuaranteed", "IHCP-species-dilution-info": "1/100 - 1/250", "IHCP-species-notes": "<p>The secondary antibody is rabbit specific IHC polymer detection kit HRP/DAB (<a href='/products/ihc-kits/rabbit-specific-ihc-polymer-detection-kit-hrp-dab-ab209101'>ab209101</a>).</p> Perform heat-mediated antigen retrieval with Tris/EDTA buffer pH 9.0 before commencing with IHC staining protocol.", "ChICCUTRUNseq-species-checked": "testedAndGuaranteed", "ChICCUTRUNseq-species-dilution-info": "", "ChICCUTRUNseq-species-notes": "<p></p>" }, "Mouse": { "IP-species-checked": "notRecommended", "IP-species-dilution-info": "", "IP-species-notes": "<p></p>", "FlowCyt-species-checked": "notRecommended", "FlowCyt-species-dilution-info": "", "FlowCyt-species-notes": "<p></p>", "Dot-species-checked": "guaranteed", "Dot-species-dilution-info": "", "Dot-species-notes": "", "WB-species-checked": "testedAndGuaranteed", "WB-species-dilution-info": "1/2000", "WB-species-notes": "<p></p>", "ICCIF-species-checked": "guaranteed", "ICCIF-species-dilution-info": "", "ICCIF-species-notes": "", "IHCP-species-checked": "testedAndGuaranteed", "IHCP-species-dilution-info": "1/100 - 1/250", "IHCP-species-notes": "<p>The secondary antibody is rabbit specific IHC polymer detection kit HRP/DAB (<a href='/products/ihc-kits/rabbit-specific-ihc-polymer-detection-kit-hrp-dab-ab209101'>ab209101</a>).</p> Perform heat-mediated antigen retrieval with Tris/EDTA buffer pH 9.0 before commencing with IHC staining protocol.", "ChICCUTRUNseq-species-checked": "guaranteed", "ChICCUTRUNseq-species-dilution-info": "", "ChICCUTRUNseq-species-notes": "" } } }

製品の詳細

Anti-SMAD3 (pS423/425) + SMAD5 (pS463/465 ) + SMAD1 (pS463/465) + SMAD2 (pS465/467) antibody [EP823Y] (ab52903) was developed by Abcam using patented rabbit monoclonal antibody technology and is validated for use in ChIC/CUT&RUN-seq, Dot Blot, ICC/IF, IHC-P and WB.

Anti-SMAD3 (pS423/425) + SMAD5 (pS463/465 ) + SMAD1 (pS463/465) + SMAD2 (pS465/467) antibody [EP823Y] (ab52903) was first used in a scientific publication in 2010 and has been cited over 576 times in peer reviewed journals. It's performance in Western Blot in human and mouse samples is trusted by the scientific community.

Abcam's high quality manufacturing and validation processes ensure Anti-SMAD3 (pS423/425) + SMAD5 (pS463/465 ) + SMAD1 (pS463/465) + SMAD2 (pS465/467) antibody [EP823Y] (ab52903) has high sensitivity and specificity alongside high lot-to-lot consistency and reproducibility.

Anti-SMAD3 (pS423/425) + SMAD5 (pS463/465 ) + SMAD1 (pS463/465) + SMAD2 (pS465/467) antibody [EP823Y] (ab52903) has 20 independent reviews from customers.

Anti-SMAD3 (pS423/425) + SMAD5 (pS463/465 ) + SMAD1 (pS463/465) + SMAD2 (pS465/467) antibody [EP823Y] (ab52903) specifically detects SMAD3 (pS423/425) + SMAD5 (pS463/465 ) + SMAD1 (pS463/465) + SMAD2 (pS465/467) (UniProt ID: P84022; Molecular weight: 48kDa) and is sold in a convenient trial size to enable initial testing (20 µL) and larger sizes for subsequent scaling up experiments (100 µL and 1 mL).

Conjugation-ready, carrier free format available for antibody clone EP823Y - ab172202.

Antibody clone EP823Y is also available pre-conjugated to a variety of labels for your convenience - Alexa Fluor® 488, Alexa Fluor® 647, Alexa Fluor® 594, Alexa Fluor® 568, Alexa Fluor® 555, Alexa Fluor® 750 (ab310954, ab311071, ab311658, ab312931, ab313143, ab321670).

Highly cited pan phospho SMAD antibody with >700 citations. Dot blot data to guarantee specificity to SMAD3 (pS423/425) + SMAD5 (pS463/465 ) + SMAD1 (pS463/465) + SMAD2 (pS465/467). Validated for CUT&RUN-seq, a key application to map protein-DNA interactions on a genome-wide scale using NGS. Phosphorylated SMAD proteins, including SMAD3 (pS423/425), SMAD5 (pS463/465), SMAD1 (pS463/465) and SMAD2 (pS465/467), play crucial roles in TGF-beta signaling pathways. These proteins are key regulators of cellular processes such as proliferation, differentiation and apoptosis. Abnormal SMAD signaling is linked to various diseases, including cancer, fibrosis and cardiovascular disorders. Monitoring these phosphorylated SMAD proteins can provide valuable insights into disease mechanisms and therapeutic targets.

Patented technology
Our RabMAb® technology is a patented hybridoma-based technology for making rabbit monoclonal antibodies. For details on our patents, please refer to RabMAb® patents.

What are the advantages of a recombinant monoclonal antibody?
This product is a recombinant monoclonal antibody, which offers several advantages including:

  • - High batch-to-batch consistency and reproducibility
  • - Improved sensitivity and specificity
  • - Long-term security of supply
  • - Animal-free batch production

For more information, read more on recombinant antibodies.

Species reactivity
Rat: We have preliminary internal testing data to indicate this antibody may not react with this species.
Please contact us for more information.

出荷温度及び保存条件

製品の状態
Liquid
精製方法
Affinity purification Protein A
バッファー組成
pH: 7.2 - 7.4 Preservative: 0.01% Sodium azide Constituents: PBS, 40% Glycerol (glycerin, glycerine), 0.05% BSA
出荷温度
Blue Ice
短期保存温度
+4°C
長期保存温度
-20°C
分注に関する情報
Upon delivery aliquot
保管に関する情報
Avoid freeze / thaw cycle

補足情報

This supplementary information is collated from multiple sources and compiled automatically.

Smad3 also known as Mothers against decapentaplegic homolog 3 is a protein involved in the TGF-β signaling pathway. This protein weighs approximately 48 kilodaltons. It is mainly expressed in various tissues including heart lung kidney and skin. Smad3 mediates signals from the TGF-β receptors to regulate gene expression in the nucleus. This function is often studied using markers like p-Smad3 phospho-Smad3 and phospho-Smad which identify the phosphorylated forms important for its activation.
Biological function summary

Smad3 plays an important role in regulating cell proliferation differentiation and apoptosis. It is a part of the Smad complex that includes Smad2 and Smad4 which translocate to the nucleus to regulate the transcription of target genes. This activity is important for maintaining cellular functions and responding to external signals. Phosphorylation of Smad3 is an important step in its activation often studied using phospho-specific antibodies some of which are conjugated with Alexa Fluor 594 or Alexa Fluor 555 to facilitate visualization in research.

Pathways

Smad3 is an essential component of the TGF-β signaling pathway and also participates in the BMP pathway. In the TGF-β pathway it collaborates with related proteins such as Smad2 and Smad4. These proteins assemble upon receptor activation propagate the signal to the nucleus and regulate gene transcription. Smad3's function in both the TGF-β and BMP pathways demonstrates its role in controlling diverse cellular processes.

Smad3 has been linked to fibrosis and cancer. In fibrosis the overactivation of Smad3 leads to excessive extracellular matrix production contributing to tissue scarring. Cancer research highlights its role in tumorigenesis where alterations in Smad3 expression or activity affect disease progression. The connection of Smad3 with other proteins like TGF-β receptors and Smad4 in these disorders emphasizes its importance in pathological processes.

製品プロトコール

For this product, it's our understanding that no specific protocols are required. You can visit:

ターゲットの情報

SMAD3 is a receptor-regulated SMAD that functions as an intracellular signal transducer and transcriptional modulator, activated by TGF-beta and activin type 1 receptor kinases. It binds to the TRE element in promoters of numerous genes regulated by TGF-beta, and upon forming a complex with SMAD4, activates transcription. Additionally, SMAD3 can form a complex with SMAD4, JUN, and FOS at the AP-1/SMAD site to regulate TGF-beta-mediated transcription. SMAD3 may inhibit wound healing by modulating the growth and migration of primary keratinocytes and altering TGF-beta-mediated monocyte chemotaxis, with this effect being potentially hormone-sensitive. Furthermore, SMAD3 is involved in regulating chondrogenesis and osteogenesis and may inhibit early bone fracture healing. It also positively regulates PDPK1 kinase activity by promoting its dissociation from the 14-3-3 protein YWHAQ, which negatively regulates it. This supplementary information is collated from multiple sources and compiled automatically.
See full target information SMAD3 phospho S423 + S425

追加のターゲット

SMAD5 phospho S463 + S465,SMAD2 phospho S465 + S467,SMAD1 phospho S463 + S465

文献 (726)

Recent publications for all applications. Explore the full list and refine your search

Oncology research 33:3041-3064 PubMed41050066

2025

3-Hydroxysterol 24-Reductase Promotes Ovarian Cancer Progression by Activating the TGF-1/Smad2/3 Signaling Pathway.

Applications

Unspecified application

Species

Unspecified reactive species

Wenjing Liao,Liaodi Wang,Zhen Huang,Ziyu Zou,Yimin Liu,Haoyue Liu,Zhaoning Duan,Liangdan Tang

BMC nephrology 26:526 PubMed41013408

2025

INHBA knockdown inhibits renal fibrosis in mice following ischemia-reperfusion injury by suppressing activation of the TGF-β/Smad signaling pathway.

Applications

Unspecified application

Species

Unspecified reactive species

Yifei Wang,Qiao Tang,Qian Sun

Neuroscience insights 20:26331055251379496 PubMed41000326

2025

The CHD Protein, Kismet, Restricts Synaptic BMP Signaling at Glutamatergic Synapses.

Applications

Unspecified application

Species

Unspecified reactive species

Rachel A Klaustermeier,Emily L Hendricks,Joshua A Preston,Faith L W Liebl

Nature 646:934-944 PubMed40903576

2025

Dynamic fibroblast-immune interactions shape recovery after brain injury.

Applications

Unspecified application

Species

Unspecified reactive species

Nathan A Ewing-Crystal,Nicholas M Mroz,Amara Larpthaveesarp,Carlos O Lizama,Remy Pennington,Pailin Chiaranunt,Jason I Dennis,Anthony A Chang,Eric Dean Merrill,Sofia E Caryotakis,Nikhita Kirthivasan,Leon Teo,Tatsuya Tsukui,Aditya Katewa,Gabriel L McKinsey,Sophia C K Nelson,Agnieszka Ciesielska,Nicole C Lummis,Lucija Pintarić,Madelene W Dahlgren,Amha Atakilit,Helena Paidassi,Saket Jain,Xiaodan Liu,Duan Xu,Manish K Aghi,James A Bourne,Jeanne T Paz,Richard Daneman,Fernando F Gonzalez,Dean Sheppard,Anna V Molofsky,Thomas D Arnold,Ari B Molofsky

Arthritis research & therapy 27:173 PubMed40890810

2025

Transforming growth factor beta (TGF-β) induces type 1 interferon signalling in systemic sclerosis keratinocytes through the chloride intracellular channel 4 (CLIC4).

Applications

Unspecified application

Species

Unspecified reactive species

Christopher W Wasson,Sophie L Dibb,Begoña Caballero-Ruiz,Ifeoluwa E Bamigbola,Stefano Di Donato,Eva M Madourie-Clavane,Rebecca Wells,Vishal Kakkar,Enrico De Lorenzis,Jessica Bryon,Emma Derrett-Smith,Christopher P Denton,Yasser El-Sherbiny,Paul J Meakin,Rebecca L Ross,Francesco Del Galdo

Chinese medicine 20:135 PubMed40883748

2025

Maimendong decoction and its active ingredient, ophiopogonin D, alleviate bleomycin-induced pulmonary fibrosis by regulating the behavior of lung fibroblasts.

Applications

Unspecified application

Species

Unspecified reactive species

Mingjie Yang,Xinyue Zhang,Shengchuan Bao,Shusen Yang,Yilin Zhang,Yushan Liu,Chengjun Li,Junbo Zou,Jingtao Li,Shuguang Yan

Iranian journal of biotechnology 23:e4098 PubMed40860053

2025

Eicosapentaenoic Acid Modulates TGF-β1/Smad3/ILK Pathway to Attenuate Renal Fibrosis: A Biotechnological Approach.

Applications

Unspecified application

Species

Unspecified reactive species

Zhiqiang Wei,Hao Ding,Haitao Li,Di Yin,Juan Cao

Frontiers in immunology 16:1571007 PubMed40852727

2025

Therapeutic potential of formononetin in cirrhotic portal hypertension: modulating hepatic fibrosis, macrophage polarization, and lymphangiogenesis.

Applications

Unspecified application

Species

Unspecified reactive species

Zhenghao Wu,Guqing Luo,Hongjie Li,Min Chen,Guangbo Wu,Qiang Fan,Chihao Zhang,Jiwei Yu,Jiayun Lin,Jinbo Zhao,Xiaoliang Qi,Haizhong Huo,Meng Luo,Lei Zheng

Scientific reports 15:27263 PubMed40715596

2025

Comparative and pharmacological investigation of bEVs from eight Lactobacillales strains.

Applications

Unspecified application

Species

Unspecified reactive species

Seoah Park,Jongsoo Mok,Hye-Min Yu,Hye-Jin An,Ga-Hyun Choi,Yeon-Seon Lee,Ki-Jin Kwon,Sung-Jun Choi,Kyung-Hee Kim,Soo-Jin Kim,Joonghoon Park

Cell death & disease 16:529 PubMed40664638

2025

Modeling oxaliplatin resistance in colorectal cancer reveals a SERPINE1-based gene signature (RESIST-M) and therapeutic strategies for pro-metastatic CMS4 subtype.

Applications

Unspecified application

Species

Unspecified reactive species

Stephen Qi Rong Wong,Mohua Das,Kenzom Tenzin,Niranjan Shirgaonkar,Huiwen Chua,Lin Xuan Chee,Ahpa Sae Yeoh,Astley Aruna Murugiah,Wei Yong Chua,Madelaine Skolastika Theardy,Ethan Jadon Subel,Matan Thangavelu Thangavelu,Jane Vin Chan,Choon Kong Yap,Iain Bee Huat Tan,Petros Tsantoulis,Sabine Tejpar,Jia Min Loo,Ramanuj DasGupta
View all publications

Abcam product promise

当社は、高品質な試薬を通じてお客様の研究を力強くサポートすることをお約束いたします。ご使用いただく各段階で、常にお客様をサポートできる体制を整えております。万が一、製品が期待通りに機能しない場合は、「Abcam Product Promise」による当社保証制度に基づき、安心してご利用いただけます。
保証に関する詳細については利用規約をご確認ください。

Please note: All products are 'FOR RESEARCH USE ONLY. NOT FOR USE IN DIAGNOSTIC OR THERAPEUTIC PROCEDURES'.

For licensing inquiries, please contact partnerships@abcam.com