JavaScript is disabled in your browser. Please enable JavaScript to view this website.
AB17157

Anti-SLPI 抗体 [31]

Anti-SLPI antibody [31]

5

(1 Review)

|

(7 Publications)

Mouse Monoclonal SLPI antibody. Suitable for IHC-Fr and reacts with Human samples. Cited in 7 publications. Immunogen corresponding to Native Full Length Protein corresponding to Human SLPI.

別名を表示する

WAP4, WFDC4, SLPI, Antileukoproteinase, ALP, BLPI, HUSI-1, Mucus proteinase inhibitor, Protease inhibitor WAP4, Secretory leukocyte protease inhibitor, Seminal proteinase inhibitor, WAP four-disulfide core domain protein 4, MPI

1 Images
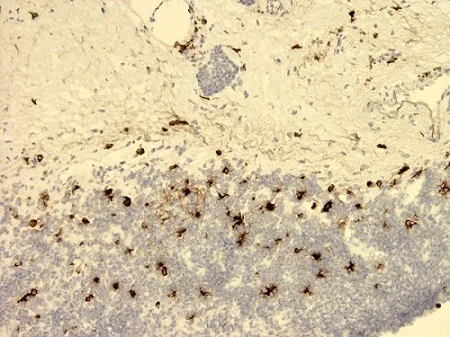
Immunohistochemistry (Frozen sections) - Anti-SLPI antibody [31] (AB17157)
  • IHC-Fr

Supplier Data

Immunohistochemistry (Frozen sections) - Anti-SLPI antibody [31] (AB17157)

Immunohistochemical analysis on human tonsil frozen sections with ab17157 at a 1 : 50 dilution.

Key facts

宿主種

Mouse

クローン性

Monoclonal

クローン番号

31

アイソタイプ

IgG1

キャリアフリー

No

交差種

Human

アプリケーション

IHC-Fr

applications

免疫原

Native Full Length Protein corresponding to Human SLPI.

P03973

特異性

The reactivity of the antibody with the isolated domains was evaluated using isolated domains of SLPI obtained by cleavage using partial acidic hydrolysis. Therefore, it is possible that the antibody will recognize other SLPI cleavage products generated by e.g. (microbial) proteases.

Reactivity data

{ "title": "Reactivity Data", "filters": { "stats": ["", "Species", "Dilution Info", "Notes"], "tabs": { "all-applications": {"fullname" : "All Applications", "shortname": "All Applications"}, "IHCFr" : {"fullname" : "Immunohistochemistry (Frozen sections)", "shortname":"IHC-Fr"} }, "product-promise": { "all": "all", "testedAndGuaranteed": "tested", "guaranteed": "expected", "predicted": "predicted", "notRecommended": "not-recommended" } }, "values": { "Human": { "IHCFr-species-checked": "testedAndGuaranteed", "IHCFr-species-dilution-info": "1/50", "IHCFr-species-notes": "<p></p>" } } }

出荷温度及び保存条件

製品の状態
Liquid
バッファー組成
Preservative: 0.02% Sodium azide Constituents: PBS, 0.1% BSA
出荷温度
Blue Ice
短期保存温度
+4°C
長期保存温度
-20°C
分注に関する情報
Upon delivery aliquot
保管に関する情報
Avoid freeze / thaw cycle

補足情報

This supplementary information is collated from multiple sources and compiled automatically.

Secretory leukocyte protease inhibitor (SLPI) also known as antileukoproteinase and neutrophil elastase inhibitor is a protein with a molecular mass of approximately 12 kDa. SLPI is found mainly in epithelial tissues and is expressed in locations such as the respiratory tract skin and cervix. Mechanically SLPI functions as a serine protease inhibitor binding to and neutralizing enzymes like neutrophil elastase cathepsin G and trypsin which helps to limit tissue damage during inflammation.
Biological function summary

SLPI serves as a protector of epithelial surfaces from proteolytic degradation and acts as an anti-inflammatory agent. It displays broad-spectrum antimicrobial properties providing protection against bacterial and viral infections. Although SLPI is not part of a complex itself its interactions with extracellular matrix proteins help modulate wound healing processes and maintain tissue integrity.

Pathways

SLPI participates in the innate immune response and inflammation regulation pathways. It interacts within pathways that involve the complement cascade and kallikrein-kinin system helping to regulate inflammation and modulate immune responses. During these processes SLPI is related to proteins such as alpha-1-antitrypsin in its role as a protease inhibitor contributing to the regulation of protease activity and inflammatory responses.

SLPI is implicated in conditions such as chronic obstructive pulmonary disease (COPD) and cystic fibrosis where excessive protease activity leads to tissue damage. In these diseases SLPI shows a protective role against lung tissue degradation. SLPI is also associated with the progression of certain cancers like ovarian cancer where its overexpression may support tumor growth and metastasis. In these contexts SLPI relates to other protease inhibitors such as tissue inhibitors of metalloproteinases (TIMPs) due to their shared function in regulating protease activity and tissue remodeling.

製品プロトコール

For this product, it's our understanding that no specific protocols are required. You can visit:

ターゲットの情報

Acid-stable proteinase inhibitor with strong affinities for trypsin, chymotrypsin, elastase, and cathepsin G (PubMed : 10702419, PubMed : 2039600, PubMed : 2110563, PubMed : 24121345, PubMed : 3462719, PubMed : 3533531). Modulates the inflammatory and immune responses after bacterial infection, and after infection by the intracellular parasite L.major. Down-regulates responses to bacterial lipopolysaccharide (LPS) (By similarity). Plays a role in regulating the activation of NF-kappa-B and inflammatory responses (PubMed : 10702419, PubMed : 24352879). Has antimicrobial activity against mycobacteria, but not against salmonella. Contributes to normal resistance against infection by M.tuberculosis. Required for normal resistance to infection by L.major. Required for normal wound healing, probably by preventing tissue damage by limiting protease activity (By similarity). Together with ELANE, required for normal differentiation and proliferation of bone marrow myeloid cells (PubMed : 24352879).
See full target information SLPI

文献 (7)

Recent publications for all applications. Explore the full list and refine your search

Discover. Oncology 14:1 PubMed36595102

2023

Inhibition of secretory leukocyte protease inhibitor (SLPI) promotes the PUMA-mediated apoptosis and chemosensitivity to cisplatin in colorectal cancer cells.

Applications

Unspecified application

Species

Unspecified reactive species

Zhijiang Wei,Guiying Liu,Rufu Jia,Wei Zhang,Li Li,Yuanyuan Zhang,Zhijing Wang,Xiyong Bai

EBioMedicine 77:103894 PubMed35217407

2022

Protease-anti-protease compartmentalization in SARS-CoV-2 ARDS: Therapeutic implications.

Applications

Unspecified application

Species

Unspecified reactive species

Oisin F McElvaney,Takanori Asakura,Suzanne L Meinig,Jose L Torres-Castillo,Robert S Hagan,Claudie Gabillard-Lefort,Mark P Murphy,Leigh B Thorne,Alain Borczuk,Emer P Reeves,Ross E Zumwalt,Yu Mikami,Tomas P Carroll,Kenichi Okuda,Grace Hogan,Oliver J McElvaney,Jennifer Clarke,Natalie L McEvoy,Patrick W Mallon,Cormac McCarthy,Ger Curley,Matthew C Wolfgang,Richard C Boucher,Noel G McElvaney

Nature communications 12:4384 PubMed34282151

2021

Myofibroblast transcriptome indicates SFRP2 fibroblast progenitors in systemic sclerosis skin.

Applications

Unspecified application

Species

Unspecified reactive species

Tracy Tabib,Mengqi Huang,Nina Morse,Anna Papazoglou,Rithika Behera,Minxue Jia,Melissa Bulik,Daisy E Monier,Panayiotis V Benos,Wei Chen,Robyn Domsic,Robert Lafyatis

Journal of immunology research 2021:1057186 PubMed33506054

2021

Reduced Expression of Antimicrobial Protein Secretory Leukoprotease Inhibitor and Clusterin in Chronic Rhinosinusitis with Nasal Polyps.

Applications

Unspecified application

Species

Unspecified reactive species

Yanran Huang,Ming Wang,Yu Hong,Xiangting Bu,Ge Luan,Yang Wang,Ying Li,Hongfei Lou,Chengshuo Wang,Luo Zhang

Cancer cell international 19:220 PubMed31462893

2019

Secretory leukocyte protease inhibitor suppresses HPV E6-expressing HNSCC progression by mediating NF-κB and Akt pathways.

Applications

Unspecified application

Species

Unspecified reactive species

Yu Jin,Yuexiu Li,Xin Wang,Ya Yang

Journal of cellular biochemistry 120:10830-10846 PubMed30706537

2019

microRNA-539 functions as a tumor suppressor in papillary thyroid carcinoma via the transforming growth factor β1/Smads signaling pathway by targeting secretory leukocyte protease inhibitor.

Applications

Unspecified application

Species

Unspecified reactive species

Cheng-Bi Xu,Xue-Shi-Bo-Jie Liu,Jin-Qiu Li,Xue Zhao,Ding Xin,Dan Yu

Oncology reports 39:1793-1804 PubMed29436667

2018

Secretory leukocyte peptidase inhibitor expression and apoptosis effect in oral leukoplakia and oral squamous cell carcinoma.

Applications

Unspecified application

Species

Unspecified reactive species

Xin Wang,Yu Jin,Yue-Xiu Li,Ya Yang
View all publications

Abcam product promise

当社は、高品質な試薬を通じてお客様の研究を力強くサポートすることをお約束いたします。ご使用いただく各段階で、常にお客様をサポートできる体制を整えております。万が一、製品が期待通りに機能しない場合は、「Abcam Product Promise」による当社保証制度に基づき、安心してご利用いただけます。
保証に関する詳細については利用規約をご確認ください。

Please note: All products are 'FOR RESEARCH USE ONLY. NOT FOR USE IN DIAGNOSTIC OR THERAPEUTIC PROCEDURES'.

For licensing inquiries, please contact partnerships@abcam.com