JavaScript is disabled in your browser. Please enable JavaScript to view this website.
AB238793

Anti-SLC34A2 抗体 [SP322] - BSA and Azide free

Anti-SLC34A2 antibody [SP322] - BSA and Azide free

  • BOND RX™ Validated
  • RabMAb
  • Advanced Validation
  • Recombinant
  • 詳細を見る

Be the first to review this product! Submit a review

|

(1 Publication)

Rabbit Recombinant Monoclonal SLC34A2 antibody. Carrier free. Suitable for mIHC, IHC-P, ICC/IF, Flow Cyt (Intra) and reacts with Human samples. Cited in 1 publication.

別名を表示する

Sodium-dependent phosphate transport protein 2B, Sodium-phosphate transport protein 2B, Na(+)-dependent phosphate cotransporter 2B, NaPi3b, Sodium/phosphate cotransporter 2B, Solute carrier family 34 member 2, Na(+)/Pi cotransporter 2B, NaPi-2b, SLC34A2

11 Images
Immunohistochemistry (Formalin/PFA-fixed paraffin-embedded sections) - Anti-SLC34A2 antibody [SP322] - BSA and Azide free (AB238793)
  • IHC-P

Unknown

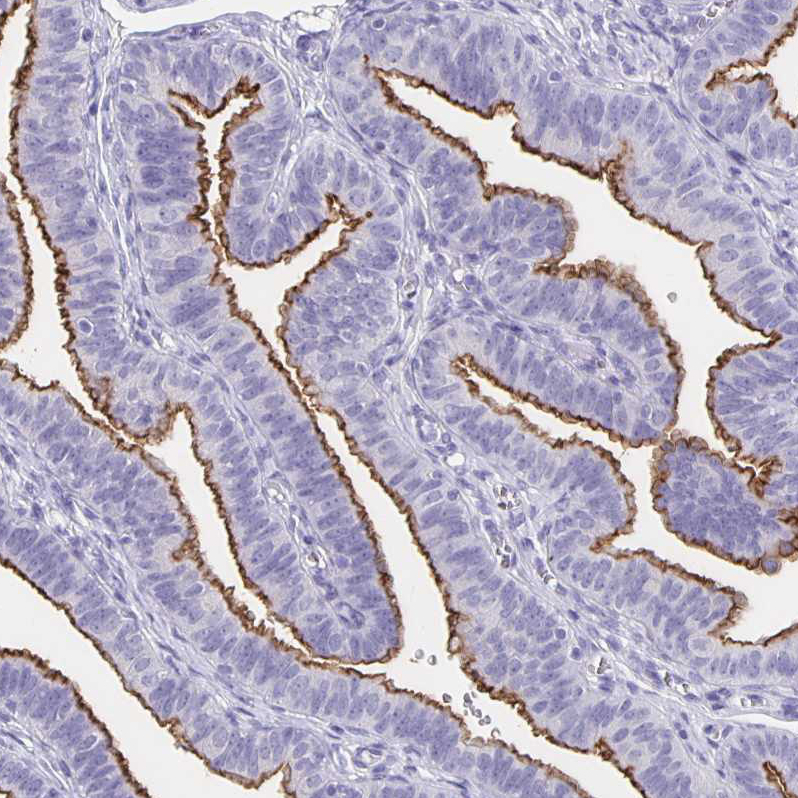
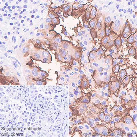
Immunohistochemistry (Formalin/PFA-fixed paraffin-embedded sections) - Anti-SLC34A2 antibody [SP322] - BSA and Azide free (AB238793)

Immunohistochemistry (Formalin/PFA-fixed paraffin-embedded sections) analysis of Human endometrial carcinoma tissue sections labeling SLC34A2 with ab228474 at 1/100 dilution (2.37 μg/ml). Heat mediated antigen retrieval with Tris-EDTA buffer (pH 9.0, epitope retrieval solution 2) for 10mins. Rabbit specific IHC polymer detection kit HRP/DAB (ab209101) was used as the secondary antibody. Hematoxylin was used as a counterstain. Positive staining on the luminal surface of human endometrial carcinoma, performed on a Leica Biosystems BOND™ RX instrument.
The section was incubated with ab228474 for 10 mins at room temperature. This image was generated using ab228474, the same clone, but with a different buffer formulation.

Immunohistochemistry (Formalin/PFA-fixed paraffin-embedded sections) - Anti-SLC34A2 antibody [SP322] - BSA and Azide free (AB238793)
  • IHC-P

Supplier Data

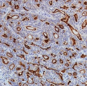
Immunohistochemistry (Formalin/PFA-fixed paraffin-embedded sections) - Anti-SLC34A2 antibody [SP322] - BSA and Azide free (AB238793)

Formalin-fixed, paraffin-embedded human lung adenocarcinoma tissue stained for SLC34A2 using ab228474 at 1/100 dilution in immunohistochemical analysis.

This data was developed using the same antibody clone in a different buffer formulation containing PBS, BSA, and sodium azide (ab228474).

Immunocytochemistry/ Immunofluorescence - Anti-SLC34A2 antibody [SP322] - BSA and Azide free (AB238793)
  • ICC/IF

Unknown

Immunocytochemistry/ Immunofluorescence - Anti-SLC34A2 antibody [SP322] - BSA and Azide free (AB238793)

Immunocytochemistry/ Immunofluorescence analysis of NIH/OVCAR-3 (human ovary adenocarcinoma epithelial cell) cells labeling SLC34A2 with purified ab228474 at 1/100 (2.4 μg/ml). Cells were fixed in 4% paraformaldehyde and permeabilized with 0.1% Triton X-100. Cells were counterstained with ab195889 Anti-alpha Tubulin antibody [DM1A] - Microtubule Marker (Alexa Fluor® 594) 1/200 (2.5 μg/ml). Goat anti rabbit IgG (Alexa Fluor® 488, ab150077) was used as the secondary antibody at 1/1000 (2 μg/ml) dilution. DAPI was used as nuclear counterstain. PBS instead of the primary antibody was used as the secondary antibody only control.

This data was developed using the same antibody clone in a different buffer formulation containing PBS, BSA, glycerol, and sodium azide (ab228474).

Immunohistochemistry (Formalin/PFA-fixed paraffin-embedded sections) - Anti-SLC34A2 antibody [SP322] - BSA and Azide free (AB238793)
  • IHC-P

Supplier Data

Immunohistochemistry (Formalin/PFA-fixed paraffin-embedded sections) - Anti-SLC34A2 antibody [SP322] - BSA and Azide free (AB238793)

Formalin-fixed, paraffin-embedded human uterus tissue stained for SLC34A2 using ab228474 at 1/100 dilution in immunohistochemical analysis.

This data was developed using the same antibody clone in a different buffer formulation containing PBS, BSA, glycerol, and sodium azide (ab228474).

Immunohistochemistry (Formalin/PFA-fixed paraffin-embedded sections) - Anti-SLC34A2 antibody [SP322] - BSA and Azide free (AB238793)
  • IHC-P

Supplier Data

Immunohistochemistry (Formalin/PFA-fixed paraffin-embedded sections) - Anti-SLC34A2 antibody [SP322] - BSA and Azide free (AB238793)

Formalin-fixed, paraffin-embedded human lung adenocarcinoma tissue stained for SLC34A2 using ab228474 at 1/100 dilution in immunohistochemical analysis.

This data was developed using the same antibody clone in a different buffer formulation containing PBS, BSA, glycerol, and sodium azide (ab228474).

Immunohistochemistry (Formalin/PFA-fixed paraffin-embedded sections) - Anti-SLC34A2 antibody [SP322] - BSA and Azide free (AB238793)
  • IHC-P

Supplier Data

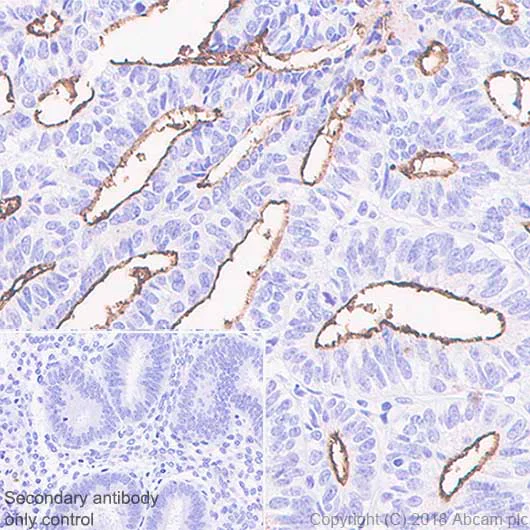
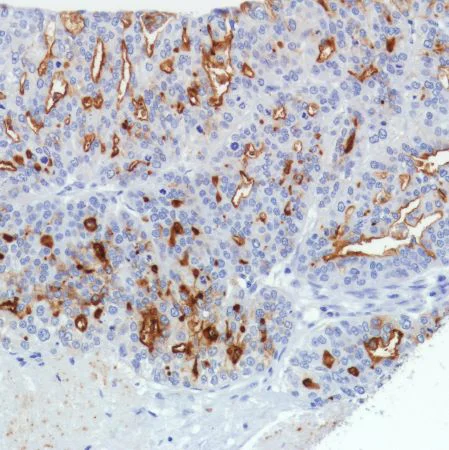
Immunohistochemistry (Formalin/PFA-fixed paraffin-embedded sections) - Anti-SLC34A2 antibody [SP322] - BSA and Azide free (AB238793)

Formalin-fixed, paraffin-embedded human fallopian tube tissue stained for SLC34A2 using ab228474 at 1/100 dilution in immunohistochemical analysis.

This data was developed using the same antibody clone in a different buffer formulation containing PBS, BSA, glycerol, and sodium azide (ab228474).

Immunohistochemistry (Formalin/PFA-fixed paraffin-embedded sections) - Anti-SLC34A2 antibody [SP322] - BSA and Azide free (AB238793)
  • IHC-P

Supplier Data

Immunohistochemistry (Formalin/PFA-fixed paraffin-embedded sections) - Anti-SLC34A2 antibody [SP322] - BSA and Azide free (AB238793)

Formalin-fixed, paraffin-embedded human ovarian adenocarcinoma tissue stained for SLC34A2 using ab228474 at 1/100 dilution in immunohistochemical analysis.

This data was developed using the same antibody clone in a different buffer formulation containing PBS, BSA, glycerol, and sodium azide (ab228474).

Immunohistochemistry (Formalin/PFA-fixed paraffin-embedded sections) - Anti-SLC34A2 antibody [SP322] - BSA and Azide free (AB238793)
  • IHC-P

Unknown

Immunohistochemistry (Formalin/PFA-fixed paraffin-embedded sections) - Anti-SLC34A2 antibody [SP322] - BSA and Azide free (AB238793)

Immunohistochemistry (Formalin/PFA-fixed paraffin-embedded sections) analysis of Human lung carcinoma tissue sections labeling SLC34A2 with ab228474 at 1/100 dilution (2.37 μg/ml). Heat mediated antigen retrieval with Tris-EDTA buffer (pH 9.0, epitope retrieval solution 2) for 10mins. Rabbit specific IHC polymer detection kit HRP/DAB (ab209101) was used as the secondary antibody. Hematoxylin was used as a counterstain. Positive staining on the human lung carcinoma, performed on a Leica Biosystems BOND™ RX instrument.
The section was incubated with ab228474 for 10 mins at room temperature. This image was generated using ab228474, the same clone, but with a different buffer formulation.

Flow Cytometry (Intracellular) - Anti-SLC34A2 antibody [SP322] - BSA and Azide free (AB238793)
  • Flow Cyt (Intra)

Unknown

Flow Cytometry (Intracellular) - Anti-SLC34A2 antibody [SP322] - BSA and Azide free (AB238793)

Intracellular Flow Cytometry analysis of OvCAR-3 (human ovary adenocarcinoma) labeling SLC34A2 with purified ab228474 at 1/20 dilution (11.85μg/ml) (red). Cells were fixed with 4% paraformaldehyde and permeabilised with 90% methanol. Goat anti rabbit IgG (Alexa Fluor® 488, ab150077) at 1/2000 dilution was used as a secondary antibody. Isotypecontrol - Rabbit monoclonal IgG (ab172730) (black). Unlableled control - Unlabelled cells (blue).

This data was developed using the same antibody clone in a different buffer formulation containing PBS, BSA, glycerol, and sodium azide (ab228474).

Immunohistochemistry (Formalin/PFA-fixed paraffin-embedded sections) - Anti-SLC34A2 antibody [SP322] - BSA and Azide free (AB238793)
  • IHC-P

Supplier Data

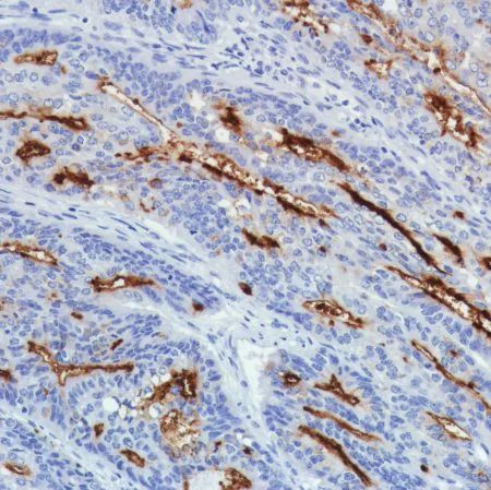
Immunohistochemistry (Formalin/PFA-fixed paraffin-embedded sections) - Anti-SLC34A2 antibody [SP322] - BSA and Azide free (AB238793)

Formalin-fixed, paraffin-embedded human endometrial adenocarcinoma tissue stained for SLC34A2 using ab228474 at 1/100 dilution in immunohistochemical analysis.

This data was developed using the same antibody clone in a different buffer formulation containing PBS, BSA, glycerol, and sodium azide (ab228474).

Multiplex immunohistochemistry - Anti-SLC34A2 antibody [SP322] - BSA and Azide free (AB238793)
  • mIHC

Supplier Data

Multiplex immunohistochemistry - Anti-SLC34A2 antibody [SP322] - BSA and Azide free (AB238793)

Fluorescence multiplex immunohistochemical analysis of the human endometrium (Formalin/PFA-fixed paraffin-embedded sections). Panel A : merged staining of anti-E Cadherin (ab256580, red; Opal™690), anti-SLC34A2 (ab238793, green; Opal™520) and anti-CD10 (ab255609, cyan; Opal™570) on human endometrium. Panel B : anti-CD10 stained on stromal cells. Panel C : anti-E Cadherin stained on glandular cells. Panel D : anti-SLC34A2 stained on apical membrane of glandular cells. Opal Polymer HRP Ms + Rb was used as a secondary antibody. The section was incubated in three rounds of staining : in the order of ab256580 at 1/3000 dilution  (0.324 μg/ml) for 30mins, ab238793 at 1/1000 dilution (2.26 μg/ml) for 10mins and ab255609 at 1/1000 dilution (0.615 μg/ml) for 30 mins at room temperature. Each round was followed by a separate fluorescent tyramide signal amplification system. The immunostaining was performed on a Leica Biosystems BOND® RX instrument with an Opal™ 4-color kit. Image acquisition was performed with Leica SP8 confocal microscope. Heat mediated antigen retrieval with Tris-EDTA buffer (pH 9.0, epitope retrieval solution2) for 20 mins. DAPI (blue) was used as a nuclear counter stain.

関連する標識済み抗体及び組成の異なる製品 (4)

  • Unconjugated

    Anti-SLC34A2 antibody [SP322] - N-terminal

  • 665 Alexa Fluor® 647

    Alexa Fluor® 647 Anti-SLC34A2 - N-terminal antibody [SP322]

  • 519 Alexa Fluor® 488

    Alexa Fluor® 488 Anti-SLC34A2 - N-terminal antibody [SP322]

  • 578 PE

    PE Anti-SLC34A2 antibody [SP322] - N-terminal

Key facts

宿主種

Rabbit

クローン性

Monoclonal

クローン番号

SP322

アイソタイプ

IgG

キャリアフリー

Yes

交差種

Human

アプリケーション

mIHC, Flow Cyt (Intra), ICC/IF, IHC-P

applications

免疫原

The exact immunogen used to generate this antibody is proprietary information.

Reactivity data

{ "title": "Reactivity Data", "filters": { "stats": ["", "Species", "Dilution Info", "Notes"], "tabs": { "all-applications": {"fullname" : "All Applications", "shortname": "All Applications"}, "mIHC" : {"fullname" : "Multiplex immunohistochemistry", "shortname":"mIHC"}, "IHCP" : {"fullname" : "Immunohistochemistry (Formalin/PFA-fixed paraffin-embedded sections)", "shortname":"IHC-P"}, "ICCIF" : {"fullname" : "Immunocytochemistry/ Immunofluorescence", "shortname":"ICC/IF"}, "FlowCytIntra" : {"fullname" : "Flow Cytometry (Intracellular)", "shortname":"Flow Cyt (Intra)"} }, "product-promise": { "all": "all", "testedAndGuaranteed": "tested", "guaranteed": "expected", "predicted": "predicted", "notRecommended": "not-recommended" } }, "values": { "Human": { "mIHC-species-checked": "testedAndGuaranteed", "mIHC-species-dilution-info": "1/1000", "mIHC-species-notes": "<p></p>", "IHCP-species-checked": "testedAndGuaranteed", "IHCP-species-dilution-info": "", "IHCP-species-notes": "<p>Perform heat mediated antigen retrieval with EDTA buffer pH 8.0 before commencing with IHC staining protocol.</p><p>Primary antibody incubation for 10 minutes at room temperature.</p>", "ICCIF-species-checked": "testedAndGuaranteed", "ICCIF-species-dilution-info": "", "ICCIF-species-notes": "<p></p>", "FlowCytIntra-species-checked": "testedAndGuaranteed", "FlowCytIntra-species-dilution-info": "", "FlowCytIntra-species-notes": "<p></p>" } } }

製品の詳細

ab238793 is the carrier-free version of ab228474.

What are the advantages of a recombinant monoclonal antibody?
This product is a recombinant monoclonal antibody, which offers several advantages including:

  • - High batch-to-batch consistency and reproducibility
  • - Improved sensitivity and specificity
  • - Long-term security of supply
  • - Animal-free batch production

For more information, read more on recombinant antibodies.

Conjugation ready
Our carrier-free antibodies are typically supplied in a PBS-only formulation, purified and free of BSA, sodium azide and glycerol. This conjugation-ready format is designed for use with fluorochromes, metal isotopes, oligonucleotides, and enzymes, which makes them ideal for antibody labelling, functional and cell-based assays, flow-based assays (e.g. mass cytometry) and Multiplex Imaging applications.

Use our conjugation kits for antibody conjugates that are ready-to-use in as little as 20 minutes with 1 minute hands-on-time and 100% antibody recovery: available for fluorescent dyes, HRP, biotin and gold.

Compatibility
This product is compatible with the Maxpar® Antibody Labeling Kit from Fluidigm, without the need for antibody preparation. Maxpar® is a trademark of Fluidigm Canada Inc.

出荷温度及び保存条件

製品の状態
Liquid
精製方法
Affinity purification Protein A/G
精製に関する特記事項
Purified from TCS by protein A/G.
バッファー組成
pH: 7.2 - 7.4 Constituents: PBS
出荷温度
Blue Ice
短期保存温度
+4°C
長期保存温度
+4°C
保管に関する情報
Do Not Freeze

製品プロトコール

For this product, it's our understanding that no specific protocols are required. You can visit:

ターゲットの情報

Involved in actively transporting phosphate into cells via Na(+) cotransport.
See full target information SLC34A2

文献 (1)

Recent publications for all applications. Explore the full list and refine your search

Frontiers in immunology 14:1162669 PubMed37207208

2023

Naproxen chemoprevention induces proliferation of cytotoxic lymphocytes in Lynch Syndrome colorectal mucosa.

Applications

Unspecified application

Species

Unspecified reactive species

Charles M Bowen,Nan Deng,Laura Reyes-Uribe,Edwin Roger Parra,Pedro Rocha,Luisa M Solis,Ignacio I Wistuba,Valerie O Sepeda,Lana Vornik,Marjorie Perloff,Eva Szabo,Asad Umar,Krishna M Sinha,Powel H Brown,Eduardo Vilar
View all publications

Abcam product promise

当社は、高品質な試薬を通じてお客様の研究を力強くサポートすることをお約束いたします。ご使用いただく各段階で、常にお客様をサポートできる体制を整えております。万が一、製品が期待通りに機能しない場合は、「Abcam Product Promise」による当社保証制度に基づき、安心してご利用いただけます。
保証に関する詳細については利用規約をご確認ください。

Please note: All products are 'FOR RESEARCH USE ONLY. NOT FOR USE IN DIAGNOSTIC OR THERAPEUTIC PROCEDURES'.

For licensing inquiries, please contact partnerships@abcam.com