JavaScript is disabled in your browser. Please enable JavaScript to view this website.
AB228604

Anti-SLC25A15 抗体

Anti-SLC25A15 antibody

  • JP Deleterious:医薬用外劇物

Be the first to review this product! Submit a review

|

(3 Publications)

Rabbit Polyclonal SLC25A15 antibody. Suitable for WB, IHC-P and reacts with Human, Mouse samples. Cited in 3 publications. Immunogen corresponding to Recombinant Fragment Protein within Human SLC25A15.

別名を表示する

ORC1, ORNT1, SP1855, SLC25A15, Mitochondrial ornithine transporter 1, Solute carrier family 25 member 15

2 Images
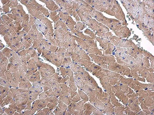
Immunohistochemistry (Formalin/PFA-fixed paraffin-embedded sections) - Anti-SLC25A15 antibody (AB228604)
  • IHC-P

Supplier Data

Immunohistochemistry (Formalin/PFA-fixed paraffin-embedded sections) - Anti-SLC25A15 antibody (AB228604)

Paraffin-embedded mouse heart tissue stained for SLC25A15 using ab228604 at 1/500 dilution in immunohistochemical analysis.

Western blot - Anti-SLC25A15 antibody (AB228604)
  • WB

Supplier Data

Western blot - Anti-SLC25A15 antibody (AB228604)

12% SDS-PAGE gel.

All lanes:

Western blot - Anti-SLC25A15 antibody (ab228604) at 1/1000 dilution

All lanes:

Raji (human Burkitt's lymphoma cell line) whole cell lysate at 30 µg

Predicted band size: 32 kDa

false

Key facts

宿主種

Rabbit

クローン性

Polyclonal

アイソタイプ

IgG

キャリアフリー

No

交差種

Mouse, Human

アプリケーション

IHC-P, WB

applications

免疫原

Recombinant Fragment Protein within Human SLC25A15. The exact immunogen used to generate this antibody is proprietary information.

Q9Y619

Reactivity data

{ "title": "Reactivity Data", "filters": { "stats": ["", "Species", "Dilution Info", "Notes"], "tabs": { "all-applications": {"fullname" : "All Applications", "shortname": "All Applications"}, "WB" : {"fullname" : "Western blot", "shortname":"WB"}, "IHCP" : {"fullname" : "Immunohistochemistry (Formalin/PFA-fixed paraffin-embedded sections)", "shortname":"IHC-P"} }, "product-promise": { "all": "all", "testedAndGuaranteed": "tested", "guaranteed": "expected", "predicted": "predicted", "notRecommended": "not-recommended" } }, "values": { "Human": { "WB-species-checked": "testedAndGuaranteed", "WB-species-dilution-info": "1/500 - 1/3000", "WB-species-notes": "<p></p>", "IHCP-species-checked": "guaranteed", "IHCP-species-dilution-info": "", "IHCP-species-notes": "" }, "Mouse": { "WB-species-checked": "guaranteed", "WB-species-dilution-info": "", "WB-species-notes": "", "IHCP-species-checked": "testedAndGuaranteed", "IHCP-species-dilution-info": "1/100 - 1/1000", "IHCP-species-notes": "<p></p>" }, "Rat": { "WB-species-checked": "predicted", "WB-species-dilution-info": "", "WB-species-notes": "", "IHCP-species-checked": "predicted", "IHCP-species-dilution-info": "", "IHCP-species-notes": "" }, "Cow": { "WB-species-checked": "predicted", "WB-species-dilution-info": "", "WB-species-notes": "", "IHCP-species-checked": "predicted", "IHCP-species-dilution-info": "", "IHCP-species-notes": "" }, "Pig": { "WB-species-checked": "predicted", "WB-species-dilution-info": "", "WB-species-notes": "", "IHCP-species-checked": "predicted", "IHCP-species-dilution-info": "", "IHCP-species-notes": "" }, "Sheep": { "WB-species-checked": "predicted", "WB-species-dilution-info": "", "WB-species-notes": "", "IHCP-species-checked": "predicted", "IHCP-species-dilution-info": "", "IHCP-species-notes": "" } } }

出荷温度及び保存条件

製品の状態
Liquid
精製方法
Affinity purification Immunogen
バッファー組成
pH: 7 Preservative: 0.01% Thimerosal (merthiolate) Constituents: 20% Glycerol (glycerin, glycerine), 1.21% Tris, 0.75% Glycine
出荷温度
Blue Ice
短期保存期間
1-2 weeks
短期保存温度
+4°C
長期保存温度
-20°C
分注に関する情報
Upon delivery aliquot
保管に関する情報
Avoid freeze / thaw cycle

製品プロトコール

For this product, it's our understanding that no specific protocols are required. You can visit:

ターゲットの情報

Mitochondrial ornithine-citrulline antiporter (Probable) (PubMed : 12807890, PubMed : 22262851). Catalyzes the exchange between cytosolic ornithine and mitochondrial citrulline plus an H(+), the proton compensates the positive charge of ornithine thus leading to an electroneutral transport. Plays a crucial role in the urea cycle, by connecting the cytosolic and the intramitochondrial reactions of the urea cycle (Probable) (PubMed : 12807890, PubMed : 22262851). Lysine and arginine are also transported by the antiport mechanism (Probable) (PubMed : 12807890). In addition, catalyzes an electroneutral exchange of ornithine or lysine for H(+), a reaction driven by the pH gradient across the inner membrane (By similarity).
See full target information SLC25A15

文献 (3)

Recent publications for all applications. Explore the full list and refine your search

Nature metabolism 5:2148-2168 PubMed38066114

2023

Phenotypic profiling of solute carriers characterizes serine transport in cancer.

Applications

Unspecified application

Species

Unspecified reactive species

Vasileios Papalazarou,Alice C Newman,Alejandro Huerta-Uribe,Nathalie M Legrave,Mattia Falcone,Tong Zhang,Lynn McGarry,Dimitris Athineos,Emma Shanks,Karen Blyth,Karen H Vousden,Oliver D K Maddocks

The journal of obstetrics and gynaecology research 48:456-466 PubMed34877750

2021

Inhibition of monoacylglycerol lipase restrains proliferation, migration, invasion, tumor growth and induces apoptosis in cervical cancer.

Applications

Unspecified application

Species

Unspecified reactive species

Chao Wang,Zhoulei Li,Linlin Zhong,Youguo Chen

Journal of Cancer 12:5439-5453 PubMed34405007

2021

SLC34A2 Up-regulation And SLC4A4 Down-regulation Correlates With Invasion, Metastasis, And The MAPK Signaling Pathway In Papillary Thyroid Carcinomas.

Applications

Unspecified application

Species

Unspecified reactive species

Fengyan Huang,Haitao Wang,Juan Xiao,Chunchun Shao,Yong Zhou,Wei Cong,Maosong Gong,Jingfu Sun,Liqun Shan,Zhanyu Hao,Lihua Wang,Shouluan Ding,Zhigang Yu,Jianing Liu,Hongying Jia
View all publications

Abcam product promise

当社は、高品質な試薬を通じてお客様の研究を力強くサポートすることをお約束いたします。ご使用いただく各段階で、常にお客様をサポートできる体制を整えております。万が一、製品が期待通りに機能しない場合は、「Abcam Product Promise」による当社保証制度に基づき、安心してご利用いただけます。
保証に関する詳細については利用規約をご確認ください。

Please note: All products are 'FOR RESEARCH USE ONLY. NOT FOR USE IN DIAGNOSTIC OR THERAPEUTIC PROCEDURES'.

For licensing inquiries, please contact partnerships@abcam.com