JavaScript is disabled in your browser. Please enable JavaScript to view this website.
AB313640

Anti-SLC12A1/NKCC2 抗体 [EPR28176-90]

Anti-SLC12A1/NKCC2 antibody [EPR28176-90]

  • BOND RX™ Validated
  • 20ul selling size
  • RabMAb
  • Recombinant
  • 詳細を見る

Be the first to review this product! Submit a review

|

(0 Publication)

Rabbit Recombinant Monoclonal SLC12A1/NKCC2 antibody. Suitable for WB, IHC-P and reacts with Human, Mouse, Rat, Recombinant fragment - Mouse samples.

別名を表示する

Nkcc2, Slc12a1, Solute carrier family 12 member 1, Bumetanide-sensitive sodium-(potassium)-chloride cotransporter 1, Kidney-specific Na-K-Cl symporter, Na-K-2Cl cotransporter 2, BSC1, mNKCC2

12 Images
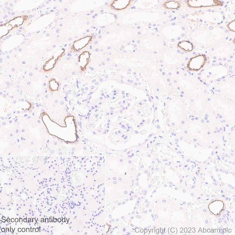
Immunohistochemistry (Formalin/PFA-fixed paraffin-embedded sections) - Anti-SLC12A1/NKCC2 antibody [EPR28176-90] (AB313640)
  • IHC-P

Supplier Data

Immunohistochemistry (Formalin/PFA-fixed paraffin-embedded sections) - Anti-SLC12A1/NKCC2 antibody [EPR28176-90] (AB313640)

Immunohistochemical analysis of paraffin-embedded Human kidney tissue labeling SLC12A1/NKCC2 with ab313640 at 1/2000 (0.253 ug/ml) followed by a ready to use LeicaDS9800 (Bond™ Polymer Refine Detection). Positive staining on the distal tubules of human kidney. The section was incubated with ab313640 for 30 mins at room temperature.The immunostaining was performed on a Leica Biosystems BOND® RX instrument Counterstained with Hematoxylin. Secondary antibody only control : Secondary antibody is a ready to use LeicaDS9800 (Bond™ Polymer Refine Detection). Heat mediated antigen retrieval was performed with Tris-EDTA buffer (pH 9.0, Epitope Retrieval Solution2) for 20 mins

Immunohistochemistry (Formalin/PFA-fixed paraffin-embedded sections) - Anti-SLC12A1/NKCC2 antibody [EPR28176-90] (AB313640)
  • IHC-P

Supplier Data

Immunohistochemistry (Formalin/PFA-fixed paraffin-embedded sections) - Anti-SLC12A1/NKCC2 antibody [EPR28176-90] (AB313640)

Immunohistochemical analysis of paraffin-embedded Rat kidney tissue labeling SLC12A1/NKCC2 with ab313640 at 1/2000 (0.253 ug/ml) followed by a ready to use LeicaDS9800 (Bond™ Polymer Refine Detection). Positive staining on the distal tubules of rat kidney. The section was incubated with ab313640 for 30 mins at room temperature.The immunostaining was performed on a Leica Biosystems BOND® RX instrument Counterstained with Hematoxylin. Secondary antibody only control : Secondary antibody is a ready to use LeicaDS9800 (Bond™ Polymer Refine Detection). Heat mediated antigen retrieval was performed with Tris-EDTA buffer (pH 9.0, Epitope Retrieval Solution2) for 20 mins

Multiplex immunohistochemistry - Anti-SLC12A1/NKCC2 antibody [EPR28176-90] (AB313640)
  • mIHC

Supplier Data

Multiplex immunohistochemistry - Anti-SLC12A1/NKCC2 antibody [EPR28176-90] (AB313640)

Multiplex immunohistochemistry analysis of formalin/PFA-fixed paraffin-embedded mouse kidney tissue staining GLEPP1/PTPRO with ab322047 at a 1 : 2000 (0.261 ug/ml) dilution, ab313640 anti-SLC12A1 used at 1 : 2000 (0.253 ug/ml) dilution and ab254222 anti-Angiotensin Converting Enzyme 1 used at a 1 : 4000 (0.141 ug/ml) dilution.

Panel A : merged staining of anti-PTPRO (magenta; Opal™690), anti-SCL12A1 (green; Opal™520) and anti-Angiotensin Converting Enzyme 1 (gray; Opal™570) on mouse kidney.
Panel B : anti-PTPRO staining glomerulus in mouse kidney.
Panel C : anti-SCL12A1 staining distal tubules in mouse kidney.
Panel D : anti-Angiotensin Converting Enzyme 1 staining proximal tubules in mouse kidney.
Nuclear DNA was labeled with DAPI (shown in blue).

The section was incubated in three rounds of staining : in the order of ab322047, ab313640 and ab254222 for 30 mins at room temperature. Each round was followed by a separate fluorescent tyramide signal amplification system.

The immunostaining was performed on a Leica Biosystems BOND® RX instrument with an Opal™ 4-color kit. Image acquisition was performed with Leica SP8 confocal microscope.

Nuclear counter stain with DAPI.

Heat mediated antigen retrieval with Tris-EDTA buffer (pH 9.0, epitope retrieval solution2) for 20 mins.

Immunohistochemistry (Formalin/PFA-fixed paraffin-embedded sections) - Anti-SLC12A1/NKCC2 antibody [EPR28176-90] (AB313640)
  • IHC-P

Supplier Data

Immunohistochemistry (Formalin/PFA-fixed paraffin-embedded sections) - Anti-SLC12A1/NKCC2 antibody [EPR28176-90] (AB313640)

Immunohistochemical analysis of paraffin-embedded Mouse kidney tissue labeling SLC12A1/NKCC2 with ab313640 at 1/2000 (0.253 ug/ml) followed by a ready to use LeicaDS9800 (Bond™ Polymer Refine Detection). Positive staining on the distal tubules of mouse kidney (PMID : 20385770, PMID : 29993276). The section was incubated with ab313640 for 30 mins at room temperature.The immunostaining was performed on a Leica Biosystems BOND® RX instrument Counterstained with Hematoxylin. Secondary antibody only control : Secondary antibody is a ready to use LeicaDS9800 (Bond™ Polymer Refine Detection). Heat mediated antigen retrieval was performed with Tris-EDTA buffer (pH 9.0, Epitope Retrieval Solution2) for 20 mins

Western blot - Anti-SLC12A1/NKCC2 antibody [EPR28176-90] (AB313640)
  • WB

Supplier Data

Western blot - Anti-SLC12A1/NKCC2 antibody [EPR28176-90] (AB313640)

Blocking and diluting buffer and concentration : 5% NFDM/TBST.

Negative control : liver, lung (PMID : 7573490).

The expression profile/ molecular weight observed is consistent with what has been described in literature (PMID : 22759959).

Samples are non-boiled as boiling may cause protein aggregation.

In Western blot, anti- Vinculin antibody (ab129002) loading control staining at 1/10000 dilution.

All lanes:

Western blot - Anti-SLC12A1/NKCC2 antibody [EPR28176-90] (ab313640) at 1/1000 dilution

Lane 1:

Human kidney tissue lysate at 20 µg

Lane 2:

Human liver tissue lysate at 20 µg

Lane 3:

Human lung tissue lysate at 20 µg

Secondary

All lanes:

Western blot - Goat Anti-Rabbit IgG H&L (HRP) (<a href='/products/secondary-antibodies/goat-rabbit-igg-h-l-hrp-ab97051'>ab97051</a>) at 1/100000 dilution

Observed band size: 150 kDa,270 kDa

false

Exposure time: 180s

Western blot - Anti-SLC12A1/NKCC2 antibody [EPR28176-90] (AB313640)
  • WB

Supplier Data

Western blot - Anti-SLC12A1/NKCC2 antibody [EPR28176-90] (AB313640)

Blocking and diluting buffer and concentration : 5% NFDM/TBST Negative control : liver (PMID : 7573490). The expression profile/ molecular weight observed is consistent with what has been described in literature (PMID : 22759959). Samples are non-boiled as boiling may cause protein aggregation. In Western blot, anti- Vinculin antibody (ab129002) loading control staining at 1/10000 dilution. Exposure time : 48 seconds

All lanes:

Western blot - Anti-SLC12A1/NKCC2 antibody [EPR28176-90] (ab313640) at 1/1000 dilution

Lane 1:

Rat kidney tissue lysate at 20 µg

Lane 2:

Rat liver tissue lysate at 20 µg

Secondary

All lanes:

Western blot - Goat Anti-Rabbit IgG H&L (HRP) (<a href='/products/secondary-antibodies/goat-rabbit-igg-h-l-hrp-ab97051'>ab97051</a>) at 1/100000 dilution

Observed band size: 150 kDa

false

Exposure time: 48s

Western blot - Anti-SLC12A1/NKCC2 antibody [EPR28176-90] (AB313640)
  • WB

Supplier Data

Western blot - Anti-SLC12A1/NKCC2 antibody [EPR28176-90] (AB313640)

Blocking and diluting buffer and concentration : 5% NFDM/TBST.

Negative control : liver, lung, spleen (PMID : 7573490).

The expression profile/ molecular weight observed is consistent with what has been described in literature (PMID : 22759959).

In Western blot, anti- Vinculin antibody (ab129002) loading control staining at 1/10000 dilution.

Samples are non-boiled as boiling may cause protein aggregation.

All lanes:

Western blot - Anti-SLC12A1/NKCC2 antibody [EPR28176-90] (ab313640) at 1/1000 dilution

Lane 1:

Mouse kidney tissue lysate at 20 µg

Lane 2:

Mouse liver tissue lysate at 20 µg

Lane 3:

Mouse spleen tissue lysate at 20 µg

Lane 4:

Mouse lung tissue lysate at 20 µg

Secondary

All lanes:

Western blot - Goat Anti-Rabbit IgG H&L (HRP) (<a href='/products/secondary-antibodies/goat-rabbit-igg-h-l-hrp-ab97051'>ab97051</a>) at 1/100000 dilution

Observed band size: 150 kDa,270 kDa

false

Exposure time: 180s

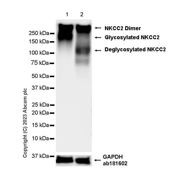
Western blot - Anti-SLC12A1/NKCC2 antibody [EPR28176-90] (AB313640)
  • WB

Supplier Data

Western blot - Anti-SLC12A1/NKCC2 antibody [EPR28176-90] (AB313640)

Blocking and diluting buffer and concentration : 5% NFDM/TBST.

SLC12A1/NKCC2 is a glycoprotein of approximately 150 kDa and detected as a 135-kDa band after treated with deglycosylation treatment.

The expression profile/ molecular weight observed is consistent with what has been described in literature (PMID : 22759959).

Samples are non-boiled as boiling may cause protein aggregation.

In Western blot, anti-GAPDH antibody (ab181602) loading control staining at 1/200000 dilution.

All lanes:

Western blot - Anti-SLC12A1/NKCC2 antibody [EPR28176-90] (ab313640) at 1/1000 dilution

Lane 1:

Untreated Mouse kidney tissue lysate at 20 µg

Lane 2:

Mouse kidney tissue lysate treated with Peptide:N-glycosidase F (PNGase F) at 20 µg

Secondary

All lanes:

Western blot - Goat Anti-Rabbit IgG H&L (HRP) (<a href='/products/secondary-antibodies/goat-rabbit-igg-h-l-hrp-ab97051'>ab97051</a>) at 1/100000 dilution

Observed band size: 135 kDa,150 kDa,270 kDa

false

Exposure time: 15s

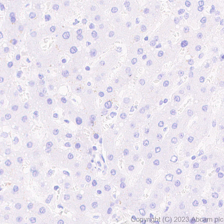
Immunohistochemistry (Formalin/PFA-fixed paraffin-embedded sections) - Anti-SLC12A1/NKCC2 antibody [EPR28176-90] (AB313640)
  • IHC-P

Supplier Data

Immunohistochemistry (Formalin/PFA-fixed paraffin-embedded sections) - Anti-SLC12A1/NKCC2 antibody [EPR28176-90] (AB313640)

Immunohistochemical analysis of paraffin-embedded Human liver tissue labeling SLC12A1/NKCC2 with ab313640 at 1/2000 (0.253 ug/ml) followed by a ready to use LeicaDS9800 (Bond™ Polymer Refine Detection). Negative control : No staining on human liver. The section was incubated with ab313640 for 30 mins at room temperature.The immunostaining was performed on a Leica Biosystems BOND® RX instrument Counterstained with Hematoxylin. Secondary antibody only control : Secondary antibody is a ready to use LeicaDS9800 (Bond™ Polymer Refine Detection). Heat mediated antigen retrieval was performed with Tris-EDTA buffer (pH 9.0, Epitope Retrieval Solution2) for 20 mins

Immunohistochemistry (Formalin/PFA-fixed paraffin-embedded sections) - Anti-SLC12A1/NKCC2 antibody [EPR28176-90] (AB313640)
  • IHC-P

Supplier Data

Immunohistochemistry (Formalin/PFA-fixed paraffin-embedded sections) - Anti-SLC12A1/NKCC2 antibody [EPR28176-90] (AB313640)

Immunohistochemical analysis of paraffin-embedded Rat liver tissue labeling SLC12A1/NKCC2 with ab313640 at 1/2000 (0.253 ug/ml) followed by a ready to use LeicaDS9800 (Bond™ Polymer Refine Detection). Negative control : No staining on rat liver. The section was incubated with ab313640 for 30 mins at room temperature.The immunostaining was performed on a Leica Biosystems BOND® RX instrument Counterstained with Hematoxylin. Secondary antibody only control : Secondary antibody is a ready to use LeicaDS9800 (Bond™ Polymer Refine Detection). Heat mediated antigen retrieval was performed with Tris-EDTA buffer (pH 9.0, Epitope Retrieval Solution2) for 20 mins

Immunohistochemistry (Formalin/PFA-fixed paraffin-embedded sections) - Anti-SLC12A1/NKCC2 antibody [EPR28176-90] (AB313640)
  • IHC-P

Supplier Data

Immunohistochemistry (Formalin/PFA-fixed paraffin-embedded sections) - Anti-SLC12A1/NKCC2 antibody [EPR28176-90] (AB313640)

Immunohistochemical analysis of paraffin-embedded Mouse liver tissue labeling SLC12A1/NKCC2 with ab313640 at 1/2000 (0.253 ug/ml) followed by a ready to use LeicaDS9800 (Bond™ Polymer Refine Detection). Negative control : No staining on mouse liver (PMID : 8621642). The section was incubated with ab313640 for 30 mins at room temperature.The immunostaining was performed on a Leica Biosystems BOND® RX instrument Counterstained with Hematoxylin. Secondary antibody only control : Secondary antibody is a ready to use LeicaDS9800 (Bond™ Polymer Refine Detection). Heat mediated antigen retrieval was performed with Tris-EDTA buffer (pH 9.0, Epitope Retrieval Solution2) for 20 mins

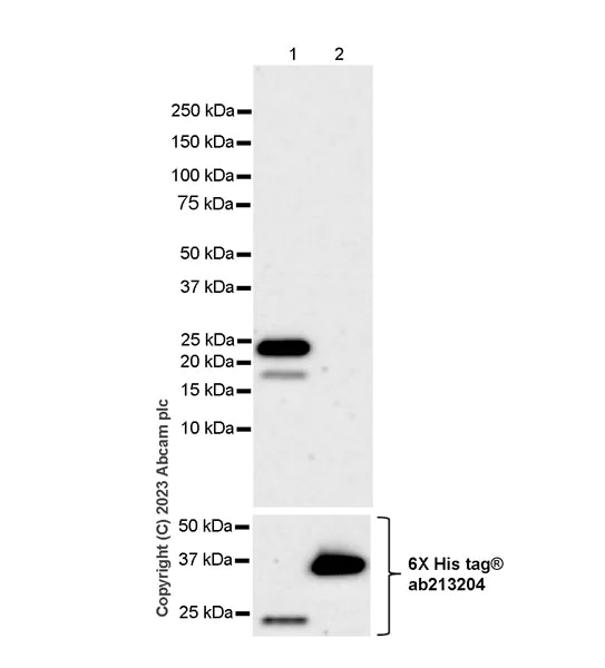
Western blot - Anti-SLC12A1/NKCC2 antibody [EPR28176-90] (AB313640)
  • WB

Supplier Data

Western blot - Anti-SLC12A1/NKCC2 antibody [EPR28176-90] (AB313640)

Blocking and diluting buffer and concentration : 5% NFDM/TBST This antibody does not cross-react with SLC12A2. In Western blot, anti-His antibody (ab213204) staining at 1/5000 dilution. Exposure time : 180 seconds

All lanes:

Western blot - Anti-SLC12A1/NKCC2 antibody [EPR28176-90] (ab313640) at 1/1000 dilution

Lane 1:

His-tagged mouse SLC12A1/NKCC2 fragment at 2 ng

Lane 2:

His-tagged mouse SLC12A2 fragment at 30 ng

Secondary

All lanes:

Western blot - Goat Anti-Rabbit IgG H&L (HRP) (<a href='/products/secondary-antibodies/goat-rabbit-igg-h-l-hrp-ab97051'>ab97051</a>) at 1/100000 dilution

Observed band size: 25 kDa

false

Exposure time: 180s

Key facts

宿主種

Rabbit

クローン性

Monoclonal

クローン番号

EPR28176-90

アイソタイプ

IgG

キャリアフリー

No

交差種

Human, Mouse, Rat

アプリケーション

WB, IHC-P

applications

免疫原

The exact immunogen used to generate this antibody is proprietary information.

Reactivity data

{ "title": "Reactivity Data", "filters": { "stats": ["", "Species", "Dilution Info", "Notes"], "tabs": { "all-applications": {"fullname" : "All Applications", "shortname": "All Applications"}, "WB" : {"fullname" : "Western blot", "shortname":"WB"}, "IHCP" : {"fullname" : "Immunohistochemistry (Formalin/PFA-fixed paraffin-embedded sections)", "shortname":"IHC-P"}, "ICCIF" : {"fullname" : "Immunocytochemistry/ Immunofluorescence", "shortname":"ICC/IF"}, "FlowCytIntra" : {"fullname" : "Flow Cytometry (Intracellular)", "shortname":"Flow Cyt (Intra)"}, "IP" : {"fullname" : "Immunoprecipitation", "shortname":"IP"} }, "product-promise": { "all": "all", "testedAndGuaranteed": "tested", "guaranteed": "expected", "predicted": "predicted", "notRecommended": "not-recommended" } }, "values": { "Human": { "WB-species-checked": "testedAndGuaranteed", "WB-species-dilution-info": "1/1000", "WB-species-notes": "<p></p>", "IHCP-species-checked": "testedAndGuaranteed", "IHCP-species-dilution-info": "1/2000", "IHCP-species-notes": "<p></p> Perform heat-mediated antigen retrieval with Tris/EDTA buffer pH 9.0 before commencing with IHC staining protocol.", "ICCIF-species-checked": "notRecommended", "ICCIF-species-dilution-info": "", "ICCIF-species-notes": "<p></p>", "FlowCytIntra-species-checked": "notRecommended", "FlowCytIntra-species-dilution-info": "", "FlowCytIntra-species-notes": "<p></p>", "IP-species-checked": "notRecommended", "IP-species-dilution-info": "", "IP-species-notes": "" }, "Mouse": { "WB-species-checked": "testedAndGuaranteed", "WB-species-dilution-info": "1/1000", "WB-species-notes": "<p></p>", "IHCP-species-checked": "testedAndGuaranteed", "IHCP-species-dilution-info": "1/2000", "IHCP-species-notes": "<p></p> Perform heat-mediated antigen retrieval with Tris/EDTA buffer pH 9.0 before commencing with IHC staining protocol.", "ICCIF-species-checked": "notRecommended", "ICCIF-species-dilution-info": "", "ICCIF-species-notes": "<p></p>", "FlowCytIntra-species-checked": "notRecommended", "FlowCytIntra-species-dilution-info": "", "FlowCytIntra-species-notes": "<p></p>", "IP-species-checked": "notRecommended", "IP-species-dilution-info": "", "IP-species-notes": "<p></p>" }, "Rat": { "WB-species-checked": "testedAndGuaranteed", "WB-species-dilution-info": "1/1000", "WB-species-notes": "<p></p>", "IHCP-species-checked": "testedAndGuaranteed", "IHCP-species-dilution-info": "1/2000", "IHCP-species-notes": "<p></p> Perform heat-mediated antigen retrieval with Tris/EDTA buffer pH 9.0 before commencing with IHC staining protocol.", "ICCIF-species-checked": "notRecommended", "ICCIF-species-dilution-info": "", "ICCIF-species-notes": "", "FlowCytIntra-species-checked": "notRecommended", "FlowCytIntra-species-dilution-info": "", "FlowCytIntra-species-notes": "", "IP-species-checked": "notRecommended", "IP-species-dilution-info": "", "IP-species-notes": "" }, "Recombinant fragment - Mouse": { "WB-species-checked": "testedAndGuaranteed", "WB-species-dilution-info": "1/1000", "WB-species-notes": "<p></p>", "IHCP-species-checked": "notRecommended", "IHCP-species-dilution-info": "", "IHCP-species-notes": "", "ICCIF-species-checked": "notRecommended", "ICCIF-species-dilution-info": "", "ICCIF-species-notes": "", "FlowCytIntra-species-checked": "notRecommended", "FlowCytIntra-species-dilution-info": "", "FlowCytIntra-species-notes": "", "IP-species-checked": "notRecommended", "IP-species-dilution-info": "", "IP-species-notes": "" } } }

製品の詳細

Patented technology
Our RabMAb® technology is a patented hybridoma-based technology for making rabbit monoclonal antibodies. For details on our patents, please refer to RabMAb® patents.

What are the advantages of a recombinant monoclonal antibody?
This product is a recombinant monoclonal antibody, which offers several advantages including:

  • - High batch-to-batch consistency and reproducibility
  • - Improved sensitivity and specificity
  • - Long-term security of supply
  • - Animal-free batch production

For more information, read more on recombinant antibodies.

出荷温度及び保存条件

製品の状態
Liquid
精製方法
Affinity purification Protein A
バッファー組成
pH: 7.2 - 7.4 Preservative: 0.01% Sodium azide Constituents: PBS, 40% Glycerol (glycerin, glycerine), 0.05% BSA
出荷温度
Blue Ice
短期保存期間
1-2 weeks
短期保存温度
+4°C
長期保存温度
-20°C
分注に関する情報
Upon delivery aliquot
保管に関する情報
Avoid freeze / thaw cycle

補足情報

This supplementary information is collated from multiple sources and compiled automatically.

The SLC12A1 protein also known as the NKCC2 transporter is an important player in ion transport within renal physiology. With a molecular weight of around 120 kDa NKCC2 functions in the reabsorption of sodium potassium and chloride ions a function facilitated by its location in the thick ascending limb of the loop of Henle in the kidneys. This location and functionality are critical for renal concentration mechanisms and contribute to the maintenance of electrolyte and fluid balance.
Biological function summary

This transporter plays an essential role in concentrating urine and regulating blood pressure. NKCC2 is a part of the larger solute carrier family and does not usually form complexes with other proteins. It facilitates the trans-epithelial movement of Na+ K+ and 2Cl- ions from the lumen into renal epithelial cells which is fundamental for the creation of an osmotic gradient essential for water reabsorption.

Pathways

The SLC12A1 protein is a significant component of renal electrolyte transport and blood pressure regulation pathways. It is intricately involved in the renin-angiotensin-aldosterone system (RAAS) which regulates blood volume and systemic vascular resistance. In these pathways NKCC2's activity tightly connects it to other ion channel proteins and transporters such as ENaC which also play roles in blood pressure regulation by influencing sodium handling in the nephron.

Dysregulation of NKCC2 function can result in Bartter syndrome and hypertension. Bartter syndrome a rare disorder characterized by salt wasting and electrolyte imbalances stems from mutations affecting NKCC2. This transporter also impacts hypertension where its dysregulation can alter sodium reabsorption processes linking it to other proteins involved in blood pressure control such as the mineralocorticoid receptor. Understanding the role of NKCC2 provides insight into potential therapeutic targets for these conditions.

製品プロトコール

For this product, it's our understanding that no specific protocols are required. You can visit:

ターゲットの情報

Renal sodium, potassium and chloride ion cotransporter that mediates the transepithelial NaCl reabsorption in the thick ascending limb and plays an essential role in the urinary concentration and volume regulation. Electrically silent transporter system.. Isoform A. High affinity, high capacity cotransporter for sodium, potassium and chloride ions, with a coupling ratio 1Na(+) : 1K(+) : 2Cl(-).. Isoform B. High affinity, low capacity cotransporter for sodium, potassium and chloride ions, with a coupling ratio 1Na(+) : 1K(+) : 2Cl(-).. Isoform F. Low affinity, low capacity cotransporter for sodium, potassium and chloride ions, with a coupling ratio 1Na(+) : 1K(+) : 2Cl(-).
See full target information Slc12a1

Abcam product promise

当社は、高品質な試薬を通じてお客様の研究を力強くサポートすることをお約束いたします。ご使用いただく各段階で、常にお客様をサポートできる体制を整えております。万が一、製品が期待通りに機能しない場合は、「Abcam Product Promise」による当社保証制度に基づき、安心してご利用いただけます。
保証に関する詳細については利用規約をご確認ください。

関連製品

Select an associated product type
Alternative Version
Primary Antibodies

AB313641

Anti-SLC12A1/NKCC2 antibody [EPR28176-90] - BSA and Azide free

primary-antibodies

slc12a1-nkcc2-antibody-epr28176-90-bsa-and-azide-free-ab313641

0

(0 reviews)

Please note: All products are 'FOR RESEARCH USE ONLY. NOT FOR USE IN DIAGNOSTIC OR THERAPEUTIC PROCEDURES'.

For licensing inquiries, please contact partnerships@abcam.com