JavaScript is disabled in your browser. Please enable JavaScript to view this website.
AB239838

Anti-SIRT2 抗体 [EP1668Y] - BSA and Azide free

Anti-SIRT2 antibody [EP1668Y] - BSA and Azide free

Be the first to review this product! Submit a review

|

(1 Publication)

Rabbit Recombinant Monoclonal SIRT2 antibody. Carrier free. Suitable for IP, WB, Flow Cyt (Intra) and reacts with Human samples. Cited in 1 publication.

別名を表示する

SIR2L, SIR2L2, SIRT2, NAD-dependent protein deacetylase sirtuin-2, NAD-dependent protein defatty-acylase sirtuin-2, Regulatory protein SIR2 homolog 2, SIR2-like protein 2

3 Images
Flow Cytometry (Intracellular) - Anti-SIRT2 antibody [EP1668Y] - BSA and Azide free (AB239838)
  • Flow Cyt (Intra)

Unknown

Flow Cytometry (Intracellular) - Anti-SIRT2 antibody [EP1668Y] - BSA and Azide free (AB239838)

Intracellular Flow Cytometry analysis of permeabilized Hela cells using anti-SIR2/SIRT2 (red) (ab51023) or a rabbit IgG (negative) (green). This data was developed using the same antibody clone in a different buffer formulation containing PBS, BSA, glycerol, and sodium azide (ab51023).

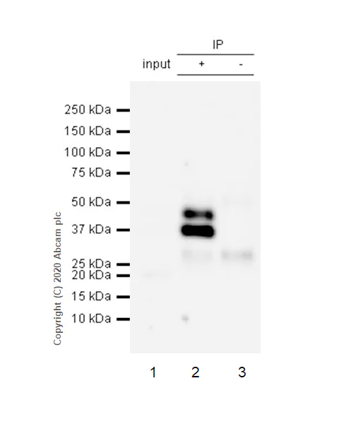
Immunoprecipitation - Anti-SIRT2 antibody [EP1668Y] - BSA and Azide free (AB239838)
  • IP

Lab

Immunoprecipitation - Anti-SIRT2 antibody [EP1668Y] - BSA and Azide free (AB239838)

This data was developed using ab51023, the same antibody clone in a different buffer formulation.
Purified ab51023 at 1/50 dilution (2μg) immunoprecipitating SIRT2 in HeLa whole cell lysate.
Lane 1 (input) : HeLa (Human cervix adenocarcinoma epithelial cell) whole cell lysate 10μg
Lane 2 (+) : ab51023 + HeLa whole cell lysate.
Lane 3 (-) : Rabbit monoclonal IgG (ab172730) instead of ab51023 in HeLa whole cell lysate.
VeriBlot for IP Detection Reagent (HRP) (ab131366) (1/1000 dilution) was used for Western blotting.
Blocking Buffer and concentration : 5% NFDM/TBST.
Diluting buffer and concentration : 5% NFDM/TBST.
Observed band size : 36-43 kDa

All lanes:

Immunoprecipitation - Anti-SIRT2 antibody [EP1668Y] (<a href='/products/primary-antibodies/sirt2-antibody-ep1668y-ab51023'>ab51023</a>)

Predicted band size: 43 kDa

false

Western blot - Anti-SIRT2 antibody [EP1668Y] - BSA and Azide free (AB239838)
  • WB

Lab

Western blot - Anti-SIRT2 antibody [EP1668Y] - BSA and Azide free (AB239838)

This data was developed using the same antibody clone in a different buffer formulation containing PBS, BSA, glycerol, and sodium azide (ab51023).

Western blot : Anti-SIRT2 antibody [EP1668Y] ab51023 staining at 1/1000 dilution, shown in green; Mouse anti-CANX ab238078 loading control staining at 1/20000 dilution, shown in magenta. A band was observed at 23, 36, 40, 45 kDa in Wild-type MCF7 cell lysates with no signal observed at this size in SIRT2 knockout MCF7 cell line. To generate this image, samples were run on an SDS-PAGE gel then transferred onto a nitrocellulose membrane. Membranes were blocked in 5pc Milk in TBS-0.1 % Tween 20 (TBS-T) before incubation with primary antibodies overnight at 4 °C. Blots were washed four times in TBS-T, incubated with secondary antibodies for 1 h at room temperature, washed again four times then imaged. Secondary antibodies used were Goat anti-Rabbit 800CW and Goat anti-Mouse 680RD at 1/20,000 dilution.

All lanes:

Western blot - Anti-SIRT2 antibody [EP1668Y] (<a href='/products/primary-antibodies/sirt2-antibody-ep1668y-ab51023'>ab51023</a>) at 1/1000 dilution

Lane 1:

Wild-type MCF7 whole cell lysate at 20 µg

Lane 2:

Western blot - Human SIRT2 knockout MCF7 cell line (ab289308) at 20 µg

Lane 3:

THP-1 whole cell lysate at 20 µg

Lane 4:

HeLa whole cell lysate at 20 µg

Lane 5:

U-2 OS whole cell lysate at 20 µg

Secondary

All lanes:

Goat anti-Rabbit 800CW & Goat anti-Mouse 680RD at 1/20000 dilution

Predicted band size: 43 kDa

Observed band size: 23 kDa,36 kDa,40 kDa,45 kDa

false

関連する標識済み抗体及び組成の異なる製品 (1)

Key facts

宿主種

Rabbit

クローン性

Monoclonal

クローン番号

EP1668Y

アイソタイプ

IgG

キャリアフリー

Yes

交差種

Human

アプリケーション

WB, IP, Flow Cyt (Intra)

applications

免疫原

The exact immunogen used to generate this antibody is proprietary information.

Reactivity data

{ "title": "Reactivity Data", "filters": { "stats": ["", "Species", "Dilution Info", "Notes"], "tabs": { "all-applications": {"fullname" : "All Applications", "shortname": "All Applications"}, "IP" : {"fullname" : "Immunoprecipitation", "shortname":"IP"}, "WB" : {"fullname" : "Western blot", "shortname":"WB"}, "IHCP" : {"fullname" : "Immunohistochemistry (Formalin/PFA-fixed paraffin-embedded sections)", "shortname":"IHC-P"}, "FlowCytIntra" : {"fullname" : "Flow Cytometry (Intracellular)", "shortname":"Flow Cyt (Intra)"} }, "product-promise": { "all": "all", "testedAndGuaranteed": "tested", "guaranteed": "expected", "predicted": "predicted", "notRecommended": "not-recommended" } }, "values": { "Human": { "IP-species-checked": "testedAndGuaranteed", "IP-species-dilution-info": "", "IP-species-notes": "<p></p>", "WB-species-checked": "testedAndGuaranteed", "WB-species-dilution-info": "", "WB-species-notes": "<p></p>", "IHCP-species-checked": "notRecommended", "IHCP-species-dilution-info": "", "IHCP-species-notes": "<p></p>", "FlowCytIntra-species-checked": "testedAndGuaranteed", "FlowCytIntra-species-dilution-info": "", "FlowCytIntra-species-notes": "<p><a href='/products/primary-antibodies/rabbit-igg-monoclonal-epr25a-isotype-control-low-endotoxin-azide-free-ab199376'>ab199376</a> - Rabbit monoclonal IgG, is suitable for use as an isotype control with this antibody.</p>" } } }

製品の詳細

ab239838 is the carrier-free version of ab51023.

Patented technology
Our RabMAb® technology is a patented hybridoma-based technology for making rabbit monoclonal antibodies. For details on our patents, please refer to RabMAb® patents.

What are the advantages of a recombinant monoclonal antibody?
This product is a recombinant monoclonal antibody, which offers several advantages including:

  • - High batch-to-batch consistency and reproducibility
  • - Improved sensitivity and specificity
  • - Long-term security of supply
  • - Animal-free batch production

For more information, read more on recombinant antibodies.

Conjugation ready
Our carrier-free antibodies are typically supplied in a PBS-only formulation, purified and free of BSA, sodium azide and glycerol. This conjugation-ready format is designed for use with fluorochromes, metal isotopes, oligonucleotides, and enzymes, which makes them ideal for antibody labelling, functional and cell-based assays, flow-based assays (e.g. mass cytometry) and Multiplex Imaging applications.

Use our conjugation kits for antibody conjugates that are ready-to-use in as little as 20 minutes with 1 minute hands-on-time and 100% antibody recovery: available for fluorescent dyes, HRP, biotin and gold.

Compatibility
This product is compatible with the Maxpar® Antibody Labeling Kit from Fluidigm, without the need for antibody preparation. Maxpar® is a trademark of Fluidigm Canada Inc.

出荷温度及び保存条件

製品の状態
Liquid
精製方法
Affinity purification Protein A
バッファー組成
pH: 7.2 - 7.4 Constituents: PBS
出荷温度
Blue Ice
短期保存温度
+4°C
長期保存温度
+4°C
保管に関する情報
Do Not Freeze

補足情報

This supplementary information is collated from multiple sources and compiled automatically.

SIRT2 also known as Sirtuin 2 is a member of the sirtuin family of proteins which are NAD+-dependent deacetylases known for regulating various cellular processes. SIRT2 has a molecular mass of approximately 43 kDa. Its expression is prominent in the cytoplasm but can also be found in the nucleus of cells particularly in the brain and liver tissues. The protein deacetylates various substrates influencing cellular processes including aging metabolism and neurodegeneration.
Biological function summary

SIRT2 contributes to the regulation of cellular homeostasis and stress responses. This protein acts as a deacetylase modulating the acetylation status of key proteins and participates in various signaling pathways. It functions as part of a larger protein complex and interacts with substrates that include tubulin and histones. These interactions help SIRT2 control processes such as cell cycle differentiation and proliferation indicating its importance in maintaining normal cellular function.

Pathways

SIRT2 plays an essential role in the insulin signaling pathway and the FoxO transcription factor pathway. In these pathways SIRT2 interacts with other sirtuins like SIRT1 which helps regulate metabolic homeostasis and oxidative stress responses. SIRT2's activity in deacetylating proteins such as p53 impacts cellular responses to DNA damage and genomic stability further integrating it into critical regulatory networks within the cell.

SIRT2 relates to neurodegenerative diseases like Parkinson's disease and metabolic disorders such as obesity. Its involvement in deacetylating alpha-synuclein links SIRT2 to Parkinson's disease pathogenesis. In metabolic disorders abnormalities in SIRT2 activity can affect glucose and lipid metabolism connecting it with proteins like acetyl-CoA carboxylase. Understanding SIRT2's function offers potential therapeutic targets for these conditions and highlights its importance in disease regulation.

製品プロトコール

For this product, it's our understanding that no specific protocols are required. You can visit:

ターゲットの情報

NAD-dependent protein deacetylase, which deacetylates internal lysines on histone and alpha-tubulin as well as many other proteins such as key transcription factors (PubMed : 12620231, PubMed : 16648462, PubMed : 18249187, PubMed : 18332217, PubMed : 18995842, PubMed : 20543840, PubMed : 20587414, PubMed : 21081649, PubMed : 21726808, PubMed : 21949390, PubMed : 22014574, PubMed : 22771473, PubMed : 23468428, PubMed : 23908241, PubMed : 24177535, PubMed : 24681946, PubMed : 24769394, PubMed : 24940000). Participates in the modulation of multiple and diverse biological processes such as cell cycle control, genomic integrity, microtubule dynamics, cell differentiation, metabolic networks, and autophagy (PubMed : 12620231, PubMed : 16648462, PubMed : 18249187, PubMed : 18332217, PubMed : 18995842, PubMed : 20543840, PubMed : 20587414, PubMed : 21081649, PubMed : 21726808, PubMed : 21949390, PubMed : 22014574, PubMed : 22771473, PubMed : 23468428, PubMed : 23908241, PubMed : 24177535, PubMed : 24681946, PubMed : 24769394, PubMed : 24940000). Plays a major role in the control of cell cycle progression and genomic stability (PubMed : 12697818, PubMed : 16909107, PubMed : 17488717, PubMed : 17726514, PubMed : 19282667, PubMed : 23468428). Functions in the antephase checkpoint preventing precocious mitotic entry in response to microtubule stress agents, and hence allowing proper inheritance of chromosomes (PubMed : 12697818, PubMed : 16909107, PubMed : 17488717, PubMed : 17726514, PubMed : 19282667, PubMed : 23468428). Positively regulates the anaphase promoting complex/cyclosome (APC/C) ubiquitin ligase complex activity by deacetylating CDC20 and FZR1, then allowing progression through mitosis (PubMed : 22014574). Associates both with chromatin at transcriptional start sites (TSSs) and enhancers of active genes (PubMed : 23468428). Plays a role in cell cycle and chromatin compaction through epigenetic modulation of the regulation of histone H4 'Lys-20' methylation (H4K20me1) during early mitosis (PubMed : 23468428). Specifically deacetylates histone H4 at 'Lys-16' (H4K16ac) between the G2/M transition and metaphase enabling H4K20me1 deposition by KMT5A leading to ulterior levels of H4K20me2 and H4K20me3 deposition throughout cell cycle, and mitotic S-phase progression (PubMed : 23468428). Deacetylates KMT5A modulating KMT5A chromatin localization during the mitotic stress response (PubMed : 23468428). Deacetylates also histone H3 at 'Lys-57' (H3K56ac) during the mitotic G2/M transition (PubMed : 20587414). Upon bacterium Listeria monocytogenes infection, deacetylates 'Lys-18' of histone H3 in a receptor tyrosine kinase MET- and PI3K/Akt-dependent manner, thereby inhibiting transcriptional activity and promoting late stages of listeria infection (PubMed : 23908241). During oocyte meiosis progression, may deacetylate histone H4 at 'Lys-16' (H4K16ac) and alpha-tubulin, regulating spindle assembly and chromosome alignment by influencing microtubule dynamics and kinetochore function (PubMed : 24940000). Deacetylates histone H4 at 'Lys-16' (H4K16ac) at the VEGFA promoter and thereby contributes to regulate expression of VEGFA, a key regulator of angiogenesis (PubMed : 24940000). Deacetylates alpha-tubulin at 'Lys-40' and hence controls neuronal motility, oligodendroglial cell arbor projection processes and proliferation of non-neuronal cells (PubMed : 18332217, PubMed : 18995842). Phosphorylation at Ser-368 by a G1/S-specific cyclin E-CDK2 complex inactivates SIRT2-mediated alpha-tubulin deacetylation, negatively regulating cell adhesion, cell migration and neurite outgrowth during neuronal differentiation (PubMed : 17488717). Deacetylates PARD3 and participates in the regulation of Schwann cell peripheral myelination formation during early postnatal development and during postinjury remyelination (PubMed : 21949390). Involved in several cellular metabolic pathways (PubMed : 20543840, PubMed : 21726808, PubMed : 24769394). Plays a role in the regulation of blood glucose homeostasis by deacetylating and stabilizing phosphoenolpyruvate carboxykinase PCK1 activity in response to low nutrient availability (PubMed : 21726808). Acts as a key regulator in the pentose phosphate pathway (PPP) by deacetylating and activating the glucose-6-phosphate G6PD enzyme, and therefore, stimulates the production of cytosolic NADPH to counteract oxidative damage (PubMed : 24769394). Maintains energy homeostasis in response to nutrient deprivation as well as energy expenditure by inhibiting adipogenesis and promoting lipolysis (PubMed : 20543840). Attenuates adipocyte differentiation by deacetylating and promoting FOXO1 interaction to PPARG and subsequent repression of PPARG-dependent transcriptional activity (PubMed : 20543840). Plays a role in the regulation of lysosome-mediated degradation of protein aggregates by autophagy in neuronal cells (PubMed : 20543840). Deacetylates FOXO1 in response to oxidative stress or serum deprivation, thereby negatively regulating FOXO1-mediated autophagy (PubMed : 20543840). Deacetylates a broad range of transcription factors and co-regulators regulating target gene expression. Deacetylates transcriptional factor FOXO3 stimulating the ubiquitin ligase SCF(SKP2)-mediated FOXO3 ubiquitination and degradation (By similarity). Deacetylates HIF1A and therefore promotes HIF1A degradation and inhibition of HIF1A transcriptional activity in tumor cells in response to hypoxia (PubMed : 24681946). Deacetylates RELA in the cytoplasm inhibiting NF-kappaB-dependent transcription activation upon TNF-alpha stimulation (PubMed : 21081649). Inhibits transcriptional activation by deacetylating p53/TP53 and EP300 (PubMed : 18249187, PubMed : 18995842). Deacetylates also EIF5A (PubMed : 22771473). Functions as a negative regulator on oxidative stress-tolerance in response to anoxia-reoxygenation conditions (PubMed : 24769394). Plays a role as tumor suppressor (PubMed : 22014574). In addition to protein deacetylase activity, also has activity toward long-chain fatty acyl groups and mediates protein-lysine demyristoylation and depalmitoylation of target proteins, such as ARF6 and KRAS, thereby regulating their association with membranes (PubMed : 25704306, PubMed : 29239724, PubMed : 32103017).. Isoform 1. Deacetylates EP300, alpha-tubulin and histone H3 and H4.. Isoform 2. Deacetylates EP300, alpha-tubulin and histone H3 and H4.. Isoform 5. Lacks deacetylation activity, at least toward known SIRT2 targets.
See full target information SIRT2

文献 (1)

Recent publications for all applications. Explore the full list and refine your search

Nature communications 13:7307 PubMed36435852

2022

Kinetochore- and chromosome-driven transition of microtubules into bundles promotes spindle assembly.

Applications

Unspecified application

Species

Unspecified reactive species

Jurica Matković,Subhadip Ghosh,Mateja Ćosić,Susana Eibes,Marin Barišić,Nenad Pavin,Iva M Tolić
View all publications

Abcam product promise

当社は、高品質な試薬を通じてお客様の研究を力強くサポートすることをお約束いたします。ご使用いただく各段階で、常にお客様をサポートできる体制を整えております。万が一、製品が期待通りに機能しない場合は、「Abcam Product Promise」による当社保証制度に基づき、安心してご利用いただけます。
保証に関する詳細については利用規約をご確認ください。

Please note: All products are 'FOR RESEARCH USE ONLY. NOT FOR USE IN DIAGNOSTIC OR THERAPEUTIC PROCEDURES'.

For licensing inquiries, please contact partnerships@abcam.com