JavaScript is disabled in your browser. Please enable JavaScript to view this website.
AB228868

Anti-SIL1 抗体

Anti-SIL1 antibody

  • JP Deleterious:医薬用外劇物

Be the first to review this product! Submit a review

|

(3 Publications)

Rabbit Polyclonal SIL1 antibody. Suitable for WB, IHC-P and reacts with Rat, Human samples. Cited in 3 publications. Immunogen corresponding to Recombinant Fragment Protein within Human SIL1.

別名を表示する

UNQ545/PRO836, SIL1, Nucleotide exchange factor SIL1, BiP-associated protein, BAP

3 Images
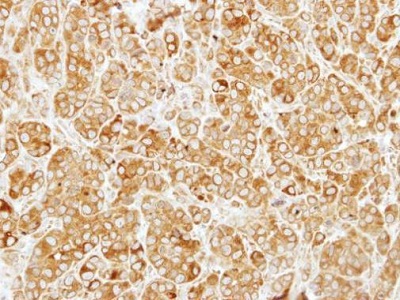
Immunohistochemistry (Formalin/PFA-fixed paraffin-embedded sections) - Anti-SIL1 antibody (AB228868)
  • IHC-P

Supplier Data

Immunohistochemistry (Formalin/PFA-fixed paraffin-embedded sections) - Anti-SIL1 antibody (AB228868)

Paraffin-embedded human colon carcinoma tisue stained for SIL1 using ab228868 at 1/250 dilution in immunohistochemical analysis.

Western blot - Anti-SIL1 antibody (AB228868)
  • WB

Supplier Data

Western blot - Anti-SIL1 antibody (AB228868)

10% SDS-PAGE gel.

All lanes:

Western blot - Anti-SIL1 antibody (ab228868) at 1/5000 dilution

All lanes:

A431 (human epidermoid carcinoma cell line) whole cell lysate at 30 µg

Predicted band size: 52 kDa

false

Western blot - Anti-SIL1 antibody (AB228868)
  • WB

Supplier Data

Western blot - Anti-SIL1 antibody (AB228868)

10% SDS-PAGE gel.

All lanes:

Western blot - Anti-SIL1 antibody (ab228868) at 1/5000 dilution

All lanes:

Rat liver tissue extract at 50 µg

Predicted band size: 52 kDa

false

Key facts

宿主種

Rabbit

クローン性

Polyclonal

アイソタイプ

IgG

キャリアフリー

No

交差種

Rat, Human

アプリケーション

WB, IHC-P

applications

免疫原

Recombinant Fragment Protein within Human SIL1. The exact immunogen used to generate this antibody is proprietary information.

Q9H173

Reactivity data

{ "title": "Reactivity Data", "filters": { "stats": ["", "Species", "Dilution Info", "Notes"], "tabs": { "all-applications": {"fullname" : "All Applications", "shortname": "All Applications"}, "WB" : {"fullname" : "Western blot", "shortname":"WB"}, "IHCP" : {"fullname" : "Immunohistochemistry (Formalin/PFA-fixed paraffin-embedded sections)", "shortname":"IHC-P"} }, "product-promise": { "all": "all", "testedAndGuaranteed": "tested", "guaranteed": "expected", "predicted": "predicted", "notRecommended": "not-recommended" } }, "values": { "Human": { "WB-species-checked": "testedAndGuaranteed", "WB-species-dilution-info": "1/1000 - 1/10000", "WB-species-notes": "<p></p>", "IHCP-species-checked": "testedAndGuaranteed", "IHCP-species-dilution-info": "1/100 - 1/1000", "IHCP-species-notes": "<p></p>" }, "Mouse": { "WB-species-checked": "predicted", "WB-species-dilution-info": "", "WB-species-notes": "", "IHCP-species-checked": "predicted", "IHCP-species-dilution-info": "", "IHCP-species-notes": "" }, "Rat": { "WB-species-checked": "testedAndGuaranteed", "WB-species-dilution-info": "1/1000 - 1/10000", "WB-species-notes": "<p></p>", "IHCP-species-checked": "guaranteed", "IHCP-species-dilution-info": "", "IHCP-species-notes": "" }, "Chimpanzee": { "WB-species-checked": "predicted", "WB-species-dilution-info": "", "WB-species-notes": "", "IHCP-species-checked": "predicted", "IHCP-species-dilution-info": "", "IHCP-species-notes": "" }, "Cow": { "WB-species-checked": "predicted", "WB-species-dilution-info": "", "WB-species-notes": "", "IHCP-species-checked": "predicted", "IHCP-species-dilution-info": "", "IHCP-species-notes": "" } } }

出荷温度及び保存条件

製品の状態
Liquid
精製方法
Affinity purification Immunogen
バッファー組成
pH: 7 Preservative: 0.01% Thimerosal (merthiolate) Constituents: 20% Glycerol (glycerin, glycerine), 1.21% Tris, 0.75% Glycine
出荷温度
Blue Ice
短期保存期間
1-2 weeks
短期保存温度
+4°C
長期保存温度
-20°C
分注に関する情報
Upon delivery aliquot
保管に関する情報
Avoid freeze / thaw cycle

補足情報

This supplementary information is collated from multiple sources and compiled automatically.

The SIL1 protein known also as nucleotide exchange factor SIL1 or BAP plays a mechanical role as an endoplasmic reticulum (ER)-localized nucleotide exchange factor for BiP a heat shock protein. SIL1 has a molecular mass of approximately 53 kDa. The expression of SIL1 occurs mainly in tissues with high secretory demand such as the pancreas and liver. It exists prominently within the lumen of the ER where it stabilizes protein folding by facilitating nucleotide exchange on BiP.
Biological function summary

SIL1 operates as a critical component for ER homeostasis and proteostasis. It assists the chaperone function of BiP by promoting ADP/ATP exchange which is an essential step in the protein folding cycle. SIL1 forms part of a complex network of proteins within the ER that regulate protein biosynthesis folding and degradation. Its interactive network ensures efficient ER functioning affecting the maturation and stability of secretory and membrane proteins.

Pathways

SIL1 interacts within both the unfolded protein response (UPR) and ER-associated degradation (ERAD) pathways. In the UPR SIL1's role in BiP activity ensures proper folding of nascent polypeptides reducing ER stress. In ERAD SIL1's actions facilitate misfolded protein processing and clearance. SIL1 is closely related to other chaperones and co-chaperones like GRP78 with whom it collaboratively maintains ER function under stress conditions ensuring cellular homeostasis.

SIL1 mutations associate with Marinesco-Sjögren syndrome a rare autosomal recessive disorder. The syndrome results from disrupted protein homeostasis in the ER leading to multisystem clinical symptoms such as muscle weakness and cataracts. SIL1 also connects to neurodegenerative diseases often characterized by ER stress and faulty proteostasis implicating proteins such as BiP whose impairment also results from SIL1 malfunctions. Understanding these connections is essential for identifying potential therapeutic targets for these disorders.

製品プロトコール

For this product, it's our understanding that no specific protocols are required. You can visit:

ターゲットの情報

Required for protein translocation and folding in the endoplasmic reticulum (ER). Functions as a nucleotide exchange factor for the ER lumenal chaperone HSPA5.
See full target information SIL1

文献 (3)

Recent publications for all applications. Explore the full list and refine your search

International journal of molecular sciences 26: PubMed40565035

2025

Peptidylarginine Deiminase 4 Deficiency Suppresses Neutrophil Extracellular Trap Formation and Ameliorates Elastase-Induced Emphysema in Mouse Lung.

Applications

Unspecified application

Species

Unspecified reactive species

Megumi Katsumata,Jun Ikari,Akira Urano,Eiko Suzuki,Kazuto Kugou,Yoshinori Hasegawa,Koichiro Tatsumi,Takuji Suzuki

Bio-protocol 15:e5206 PubMed39959296

2025

Cell-Sonar, an Easy and Low-cost Method to Track a Target Protein by Expression Changes of Specific Protein Markers.

Applications

Unspecified application

Species

Unspecified reactive species

Sabrina Brockmöller,Lara Maria Molitor,Franz Worek,Simone Rothmiller

Zoological research 45:845-856 PubMed39004862

2024

SIL1 improves cognitive impairment in APP23/PS45 mice by regulating amyloid precursor protein processing and Aβ generation.

Applications

Unspecified application

Species

Unspecified reactive species

Qunxian Wang,Yanshuang Jiang,Zijun Meng,Xiangjun Dong,Dongjie Hu,Liangye Ji,Weihui Zhou,Weihong Song
View all publications

Abcam product promise

当社は、高品質な試薬を通じてお客様の研究を力強くサポートすることをお約束いたします。ご使用いただく各段階で、常にお客様をサポートできる体制を整えております。万が一、製品が期待通りに機能しない場合は、「Abcam Product Promise」による当社保証制度に基づき、安心してご利用いただけます。
保証に関する詳細については利用規約をご確認ください。

Please note: All products are 'FOR RESEARCH USE ONLY. NOT FOR USE IN DIAGNOSTIC OR THERAPEUTIC PROCEDURES'.

For licensing inquiries, please contact partnerships@abcam.com