JavaScript is disabled in your browser. Please enable JavaScript to view this website.
AB307549

Anti-Sigma1-receptor 抗体 [EPR25145-11] - BSA and Azide free

Anti-Sigma1-receptor antibody [EPR25145-11] - BSA and Azide free

Be the first to review this product! Submit a review

|

(0 Publication)

Rabbit Recombinant Monoclonal Sigma1-receptor antibody. Carrier free. Suitable for Flow Cyt (Intra), IHC-P, WB and reacts with Rat, Mouse, Human samples.

別名を表示する

OPRS1, SRBP, AAG8, SIGMAR1, Sigma non-opioid intracellular receptor 1, Aging-associated gene 8 protein, SR31747-binding protein, Sigma 1-type opioid receptor, SR-BP, SIG-1R, Sigma1-receptor, Sigma1R, hSigmaR1

10 Images
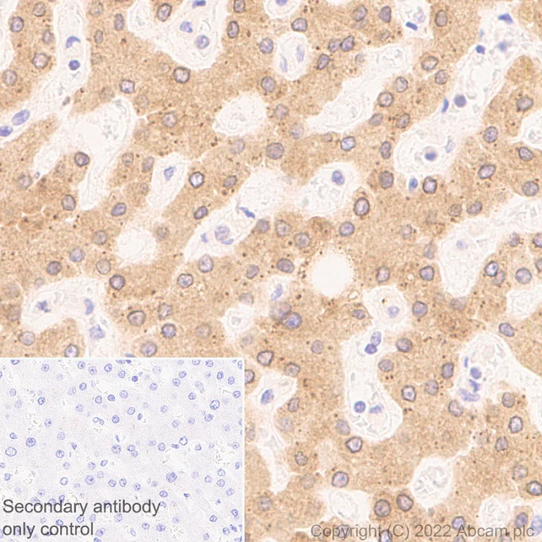
Immunohistochemistry (Formalin/PFA-fixed paraffin-embedded sections) - Anti-Sigma1-receptor antibody [EPR25145-11] - BSA and Azide free (AB307549)
  • IHC-P

Supplier Data

Immunohistochemistry (Formalin/PFA-fixed paraffin-embedded sections) - Anti-Sigma1-receptor antibody [EPR25145-11] - BSA and Azide free (AB307549)

This data was developed using ab307548, the same antibody clone in a different buffer formulation. Immunohistochemical analysis of paraffin-embedded Human liver tissue labeling Sigma1-receptor with ab307548 at 1/1000 (0.533 ug/ml) followed by a ready to use LeicaDS9800 (Bond? Polymer Refine Detection) was used. Positive staining on human liver (PMID : 29399701).The section was incubated with ab307548 for 30 mins at room temperature.The immunostaining was performed on a Leica Biosystems BOND? RX instrument Counterstained with Hematoxylin. Secondary antibody only control : Secondary antibody is a ready to use LeicaDS9800 (Bond? Polymer Refine Detection) was used. Heat mediated antigen retrieval was performed with Tris-EDTA buffer (pH 9.0, Epitope Retrieval Solution2) for 20 mins

Immunohistochemistry (Formalin/PFA-fixed paraffin-embedded sections) - Anti-Sigma1-receptor antibody [EPR25145-11] - BSA and Azide free (AB307549)
  • IHC-P

Supplier Data

Immunohistochemistry (Formalin/PFA-fixed paraffin-embedded sections) - Anti-Sigma1-receptor antibody [EPR25145-11] - BSA and Azide free (AB307549)

This data was developed using ab307548, the same antibody clone in a different buffer formulation. Immunohistochemical analysis of paraffin-embedded (A) Wild-type HEK-29 tissue labeling Sigma1-receptor with ab307548 at 1/1000 (0.533 ug/ml) followed by a ready to use LeicaDS9800 (Bond? Polymer Refine Detection) was used. Positive staining on (A) Wild-type HEK-293T cell pellet, no staining on (B) SIGMAR1 knockout HEK-293T (ab266619) cell pellet.The section was incubated with ab307548 for 30 mins at room temperature.The immunostaining was performed on a Leica Biosystems BOND? RX instrument Counterstained with Hematoxylin. Secondary antibody only control : Secondary antibody is a ready to use LeicaDS9800 (Bond? Polymer Refine Detection) was used. Heat mediated antigen retrieval was performed with Tris-EDTA buffer (pH 9.0, Epitope Retrieval Solution2) for 20 mins

Flow Cytometry (Intracellular) - Anti-Sigma1-receptor antibody [EPR25145-11] - BSA and Azide free (AB307549)
  • Flow Cyt (Intra)

Supplier Data

Flow Cytometry (Intracellular) - Anti-Sigma1-receptor antibody [EPR25145-11] - BSA and Azide free (AB307549)

This data was developed using ab307548, the same antibody clone in a different buffer formulation.

Flow cytometric analysis of 4% paraformaldehyde fixed 90% methanol permeabilized Wild-type 293T (human embryonic kidney epithelial cell, Right) / Sigma1-receptor knockout 293T (Left) cells labelling Sigma1-receptor with ab307548 at 1/500 dilution (0.1ug) (Red) compared with a Rabbit monoclonal IgG (ab172730) (Black) isotype control and an unlabelled control (cells without incubation with primary antibody and secondary antibody) (Blue). A Goat Anti-Rabbit IgG (Alexa Fluor® 488, ab150081) at 1/2000 dilution was used as the secondary antibody. Positive staining on 293T cells (ab255449), while no staining on Sigma1-receptor knockout 293T cells (ab266619).

Immunohistochemistry (Formalin/PFA-fixed paraffin-embedded sections) - Anti-Sigma1-receptor antibody [EPR25145-11] - BSA and Azide free (AB307549)
  • IHC-P

Supplier Data

Immunohistochemistry (Formalin/PFA-fixed paraffin-embedded sections) - Anti-Sigma1-receptor antibody [EPR25145-11] - BSA and Azide free (AB307549)

This data was developed using ab307548, the same antibody clone in a different buffer formulation. Immunohistochemical analysis of paraffin-embedded Rat liver tissue labeling Sigma1-receptor with ab307548 at 1/1000 (0.533 ug/ml) followed by a ready to use LeicaDS9800 (Bond? Polymer Refine Detection) was used. Positive staining on rat liver.The section was incubated with ab307548 for 30 mins at room temperature.The immunostaining was performed on a Leica Biosystems BOND? RX instrument Counterstained with Hematoxylin. Secondary antibody only control : Secondary antibody is a ready to use LeicaDS9800 (Bond? Polymer Refine Detection) was used. Heat mediated antigen retrieval was performed with Tris-EDTA buffer (pH 9.0, Epitope Retrieval Solution2) for 20 mins

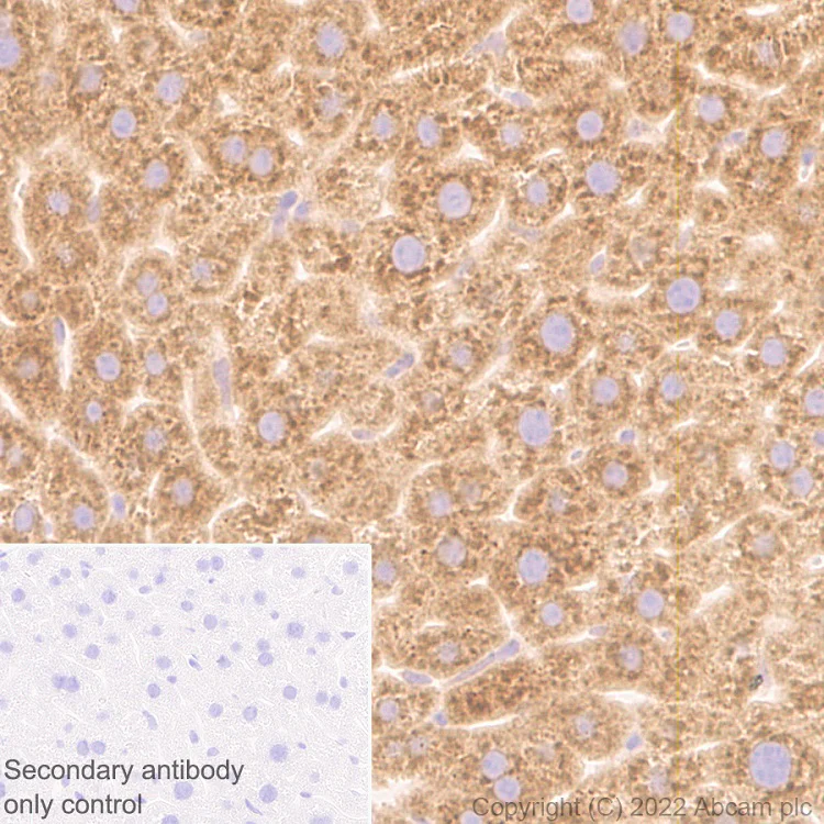
Immunohistochemistry (Formalin/PFA-fixed paraffin-embedded sections) - Anti-Sigma1-receptor antibody [EPR25145-11] - BSA and Azide free (AB307549)
  • IHC-P

Supplier Data

Immunohistochemistry (Formalin/PFA-fixed paraffin-embedded sections) - Anti-Sigma1-receptor antibody [EPR25145-11] - BSA and Azide free (AB307549)

This data was developed using ab307548, the same antibody clone in a different buffer formulation. Immunohistochemical analysis of paraffin-embedded Mouse cerebrum tissue labeling Sigma1-receptor with ab307548 at 1/1000 (0.533 ug/ml) followed by a ready to use LeicaDS9800 (Bond? Polymer Refine Detection) was used. Positive staining on mouse cerebrum (PMID : 31596232).The section was incubated with ab307548 for 30 mins at room temperature.The immunostaining was performed on a Leica Biosystems BOND? RX instrument Counterstained with Hematoxylin. Secondary antibody only control : Secondary antibody is a ready to use LeicaDS9800 (Bond? Polymer Refine Detection) was used. Heat mediated antigen retrieval was performed with Tris-EDTA buffer (pH 9.0, Epitope Retrieval Solution2) for 20 mins

Flow Cytometry (Intracellular) - Anti-Sigma1-receptor antibody [EPR25145-11] - BSA and Azide free (AB307549)
  • Flow Cyt (Intra)

Supplier Data

Flow Cytometry (Intracellular) - Anti-Sigma1-receptor antibody [EPR25145-11] - BSA and Azide free (AB307549)

This data was developed using ab307548, the same antibody clone in a different buffer formulation.

Flow cytometric analysis of 4% paraformaldehyde fixed 90% methanol permeabilized C6 (rat glial tumor glial cell) cells labelling Sigma1-receptor with ab307548 at 1/50 dilution (1ug) (Red) compared with a Rabbit monoclonal IgG (ab172730) (Black) isotype control and an unlabelled control (cells without incubation with primary antibody and secondary antibody) (Blue). A Goat Anti-Rabbit IgG (Alexa Fluor® 488, ab150081) at 1/2000 dilution was used as the secondary antibody.

Flow Cytometry (Intracellular) - Anti-Sigma1-receptor antibody [EPR25145-11] - BSA and Azide free (AB307549)
  • Flow Cyt (Intra)

Supplier Data

Flow Cytometry (Intracellular) - Anti-Sigma1-receptor antibody [EPR25145-11] - BSA and Azide free (AB307549)

This data was developed using ab307548, the same antibody clone in a different buffer formulation.

Flow cytometric analysis of 4% paraformaldehyde fixed 90% methanol permeabilized NIH/3T3 (mouse embryonic fibroblast) cells labelling Sigma1-receptor with ab307548 at 1/50 dilution (1ug) (Red) compared with a Rabbit monoclonal IgG (ab172730) (Black) isotype control and an unlabelled control (cells without incubation with primary antibody and secondary antibody) (Blue). A Goat Anti-Rabbit IgG (Alexa Fluor® 488, ab150081) at 1/2000 dilution was used as the secondary antibody.

Immunohistochemistry (Formalin/PFA-fixed paraffin-embedded sections) - Anti-Sigma1-receptor antibody [EPR25145-11] - BSA and Azide free (AB307549)
  • IHC-P

Supplier Data

Immunohistochemistry (Formalin/PFA-fixed paraffin-embedded sections) - Anti-Sigma1-receptor antibody [EPR25145-11] - BSA and Azide free (AB307549)

This data was developed using ab307548, the same antibody clone in a different buffer formulation. Immunohistochemical analysis of paraffin-embedded Mouse liver tissue labeling Sigma1-receptor with ab307548 at 1/1000 (0.533 ug/ml) followed by a ready to use LeicaDS9800 (Bond? Polymer Refine Detection) was used. Positive staining on mouse liver.The section was incubated with ab307548 for 30 mins at room temperature.The immunostaining was performed on a Leica Biosystems BOND? RX instrument Counterstained with Hematoxylin. Secondary antibody only control : Secondary antibody is a ready to use LeicaDS9800 (Bond? Polymer Refine Detection) was used. Heat mediated antigen retrieval was performed with Tris-EDTA buffer (pH 9.0, Epitope Retrieval Solution2) for 20 mins

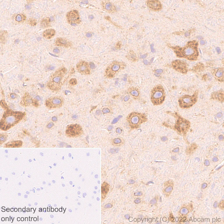
Western blot - Anti-Sigma1-receptor antibody [EPR25145-11] - BSA and Azide free (AB307549)
  • WB

Supplier Data

Western blot - Anti-Sigma1-receptor antibody [EPR25145-11] - BSA and Azide free (AB307549)

This data was developed using 307548, the same antibody clone in a different buffer formulation. Blocking and diluting buffer and concentration : Low expression : brain (PMID : 28350844), spleen (PMID : 28350844). Exposure time :

All lanes:

Western blot - Anti-Sigma1-receptor antibody [EPR25145-11] (<a href='/products/primary-antibodies/sigma1-receptor-antibody-epr25145-11-ab307548'>ab307548</a>) at 1/1000 dilution

Lane 1:

Mouse liver tissue lysate 20 μg

Lane 2:

Mouse brain tissue lysate 20 μg

Lane 3:

Rat liver tissue lysate 20 μg

Lane 4:

Rat brain tissue lysate 20 μg

Lane 5:

Human liver tissue lysate 20 μg

Lane 6:

Human spleen tissue lysate 20 μg

Secondary

All lanes:

Western blot - Goat Anti-Rabbit IgG H&L (HRP) (<a href='/products/secondary-antibodies/goat-rabbit-igg-h-l-hrp-ab97051'>ab97051</a>) at 1/20000 dilution

Observed band size: 26 kDa

false

Exposure time: 8s

Western blot - Anti-Sigma1-receptor antibody [EPR25145-11] - BSA and Azide free (AB307549)
  • WB

Supplier Data

Western blot - Anti-Sigma1-receptor antibody [EPR25145-11] - BSA and Azide free (AB307549)

This data was developed using 307548, the same antibody clone in a different buffer formulation. Blocking and diluting buffer and concentration : Lysates at 20 ?g per lane. Performed under reducing conditions. In Western blot, ab307548 was shown to bind specifically to SIGMAR1. A band was observed at 26 kDa in wild-type 293T cell lysates with whereas no signal observed at this size in SIGMAR1 knockout cell line ab266619 (knockout cell lysate ab258666). Lanes 1-2 : 180 seconds; Lane 3 : 136 seconds. Exposure time :

All lanes:

Western blot - Anti-Sigma1-receptor antibody [EPR25145-11] (<a href='/products/primary-antibodies/sigma1-receptor-antibody-epr25145-11-ab307548'>ab307548</a>) at 1/1000 dilution

Lane 1:

Wild-type HEK293T (human embryonic kidney epithelial cell) whole cell lysate 20 μg

Lane 2:

SIGMAR1 knockout HEK293T whole cell lysate 20 μg

Lane 3:

HeLa (human cervix adenocarcinoma epithelial cell) whole cell lysate 20 μg

Lane 4:

NIH/3T3 (mouse embryonic fibroblast) whole cell lysate 20 μg

Lane 5:

Neuro-2a (mouse neuroblastoma neuroblast) whole cell lysate 20 μg

Lane 6:

C6 (rat glial tumor glial cell) whole cell lysate 20 μg

Secondary

All lanes:

Western blot - Goat Anti-Rabbit IgG H&L (HRP) (<a href='/products/secondary-antibodies/goat-rabbit-igg-h-l-hrp-ab97051'>ab97051</a>) at 1/100000 dilution

Observed band size: 26 kDa

false

Exposure time: 180s

関連する標識済み抗体及び組成の異なる製品 (1)

Key facts

宿主種

Rabbit

クローン性

Monoclonal

クローン番号

EPR25145-11

アイソタイプ

IgG

キャリアフリー

Yes

交差種

Mouse, Rat, Human

アプリケーション

Flow Cyt (Intra), WB, IHC-P

applications

免疫原

The exact immunogen used to generate this antibody is proprietary information.

Reactivity data

{ "title": "Reactivity Data", "filters": { "stats": ["", "Species", "Dilution Info", "Notes"], "tabs": { "all-applications": {"fullname" : "All Applications", "shortname": "All Applications"}, "IP" : {"fullname" : "Immunoprecipitation", "shortname":"IP"}, "FlowCytIntra" : {"fullname" : "Flow Cytometry (Intracellular)", "shortname":"Flow Cyt (Intra)"}, "ICCIF" : {"fullname" : "Immunocytochemistry/ Immunofluorescence", "shortname":"ICC/IF"}, "IHCFr" : {"fullname" : "Immunohistochemistry (Frozen sections)", "shortname":"IHC-Fr"}, "IHCP" : {"fullname" : "Immunohistochemistry (Formalin/PFA-fixed paraffin-embedded sections)", "shortname":"IHC-P"}, "WB" : {"fullname" : "Western blot", "shortname":"WB"} }, "product-promise": { "all": "all", "testedAndGuaranteed": "tested", "guaranteed": "expected", "predicted": "predicted", "notRecommended": "not-recommended" } }, "values": { "Human": { "IP-species-checked": "notRecommended", "IP-species-dilution-info": "", "IP-species-notes": "", "FlowCytIntra-species-checked": "testedAndGuaranteed", "FlowCytIntra-species-dilution-info": "", "FlowCytIntra-species-notes": "<p></p>", "ICCIF-species-checked": "notRecommended", "ICCIF-species-dilution-info": "", "ICCIF-species-notes": "<p></p>", "IHCFr-species-checked": "notRecommended", "IHCFr-species-dilution-info": "", "IHCFr-species-notes": "<p></p>", "IHCP-species-checked": "testedAndGuaranteed", "IHCP-species-dilution-info": "", "IHCP-species-notes": "<p></p>", "WB-species-checked": "testedAndGuaranteed", "WB-species-dilution-info": "", "WB-species-notes": "<p></p>" }, "Mouse": { "IP-species-checked": "notRecommended", "IP-species-dilution-info": "", "IP-species-notes": "<p></p>", "FlowCytIntra-species-checked": "testedAndGuaranteed", "FlowCytIntra-species-dilution-info": "", "FlowCytIntra-species-notes": "<p></p>", "ICCIF-species-checked": "notRecommended", "ICCIF-species-dilution-info": "", "ICCIF-species-notes": "<p></p>", "IHCFr-species-checked": "notRecommended", "IHCFr-species-dilution-info": "", "IHCFr-species-notes": "<p></p>", "IHCP-species-checked": "testedAndGuaranteed", "IHCP-species-dilution-info": "", "IHCP-species-notes": "<p></p>", "WB-species-checked": "testedAndGuaranteed", "WB-species-dilution-info": "", "WB-species-notes": "<p></p>" }, "Rat": { "IP-species-checked": "notRecommended", "IP-species-dilution-info": "", "IP-species-notes": "", "FlowCytIntra-species-checked": "testedAndGuaranteed", "FlowCytIntra-species-dilution-info": "", "FlowCytIntra-species-notes": "<p></p>", "ICCIF-species-checked": "notRecommended", "ICCIF-species-dilution-info": "", "ICCIF-species-notes": "<p></p>", "IHCFr-species-checked": "notRecommended", "IHCFr-species-dilution-info": "", "IHCFr-species-notes": "<p></p>", "IHCP-species-checked": "testedAndGuaranteed", "IHCP-species-dilution-info": "", "IHCP-species-notes": "<p></p>", "WB-species-checked": "testedAndGuaranteed", "WB-species-dilution-info": "", "WB-species-notes": "<p></p>" } } }

製品の詳細

Patented technology
Our RabMAb® technology is a patented hybridoma-based technology for making rabbit monoclonal antibodies. For details on our patents, please refer to RabMAb® patents.

What are the advantages of a recombinant monoclonal antibody?
This product is a recombinant monoclonal antibody, which offers several advantages including:

  • - High batch-to-batch consistency and reproducibility
  • - Improved sensitivity and specificity
  • - Long-term security of supply
  • - Animal-free batch production

For more information, read more on recombinant antibodies.

Conjugation ready
Our carrier-free antibodies are typically supplied in a PBS-only formulation, purified and free of BSA, sodium azide and glycerol. This conjugation-ready format is designed for use with fluorochromes, metal isotopes, oligonucleotides, and enzymes, which makes them ideal for antibody labelling, functional and cell-based assays, flow-based assays (e.g. mass cytometry) and Multiplex Imaging applications.

Use our conjugation kits for antibody conjugates that are ready-to-use in as little as 20 minutes with 1 minute hands-on-time and 100% antibody recovery: available for fluorescent dyes, HRP, biotin and gold.

Compatibility
This product is compatible with the Maxpar® Antibody Labeling Kit from Fluidigm, without the need for antibody preparation. Maxpar® is a trademark of Fluidigm Canada Inc.

出荷温度及び保存条件

製品の状態
Liquid
精製方法
Affinity purification Protein A
バッファー組成
pH: 7.2 - 7.4 Constituents: PBS
出荷温度
Blue Ice
短期保存温度
+4°C
長期保存温度
+4°C

製品プロトコール

For this product, it's our understanding that no specific protocols are required. You can visit:

ターゲットの情報

Functions in lipid transport from the endoplasmic reticulum and is involved in a wide array of cellular functions probably through regulation of the biogenesis of lipid microdomains at the plasma membrane. Involved in the regulation of different receptors it plays a role in BDNF signaling and EGF signaling. Also regulates ion channels like the potassium channel and could modulate neurotransmitter release. Plays a role in calcium signaling through modulation together with ANK2 of the ITP3R-dependent calcium efflux at the endoplasmic reticulum. Plays a role in several other cell functions including proliferation, survival and death. Originally identified for its ability to bind various psychoactive drugs it is involved in learning processes, memory and mood alteration (PubMed : 16472803, PubMed : 9341151). Necessary for proper mitochondrial axonal transport in motor neurons, in particular the retrograde movement of mitochondria. Plays a role in protecting cells against oxidative stress-induced cell death via its interaction with RNF112 (By similarity).
See full target information SIGMAR1

Abcam product promise

当社は、高品質な試薬を通じてお客様の研究を力強くサポートすることをお約束いたします。ご使用いただく各段階で、常にお客様をサポートできる体制を整えております。万が一、製品が期待通りに機能しない場合は、「Abcam Product Promise」による当社保証制度に基づき、安心してご利用いただけます。
保証に関する詳細については利用規約をご確認ください。

Please note: All products are 'FOR RESEARCH USE ONLY. NOT FOR USE IN DIAGNOSTIC OR THERAPEUTIC PROCEDURES'.

For licensing inquiries, please contact partnerships@abcam.com