JavaScript is disabled in your browser. Please enable JavaScript to view this website.
AB305177

Anti-SI-CLP 抗体 [1B8] - BSA and Azide free

Anti-SI-CLP antibody [1B8] - BSA and Azide free

Be the first to review this product! Submit a review

|

(0 Publication)

Rat Recombinant Monoclonal SI-CLP antibody. Carrier free. Suitable for WB and reacts with Human, Mouse samples.

別名を表示する

GL008, PSEC0104, SB139, CHID1, Chitinase domain-containing protein 1, Stabilin-1-interacting chitinase-like protein, SI-CLP

2 Images
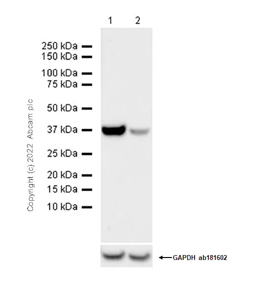
Western blot - Anti-SI-CLP antibody [1B8] - BSA and Azide free (AB305177)
  • WB

Supplier Data

Western blot - Anti-SI-CLP antibody [1B8] - BSA and Azide free (AB305177)

This data was developed using ab305176, the same antibody clone in a different buffer formulation. Blocking and diluting buffer and concentration : 5% NFDM/TBST. Exposure time : 62 seconds.

All lanes:

Western blot - Anti-SI-CLP antibody [1B8] (<a href='/products/primary-antibodies/si-clp-antibody-1b8-ab305176'>ab305176</a>) at 1/1000 dilution

Lane 1:

THP-1 (human monocytic leukemia monocyte) transfected with scrambled siRNA control, whole cell lysate at 20 µg

Lane 2:

THP-1 transfected with siRNA specifically targeti SI-CLP, whole cell lysate at 20 µg

Secondary

All lanes:

Western blot - Goat Anti-Rat IgG H&L (HRP) (<a href='/products/secondary-antibodies/goat-rat-igg-h-l-hrp-ab205720'>ab205720</a>) at 1/10000 dilution

Observed band size: 44 kDa

false

Exposure time: 62s

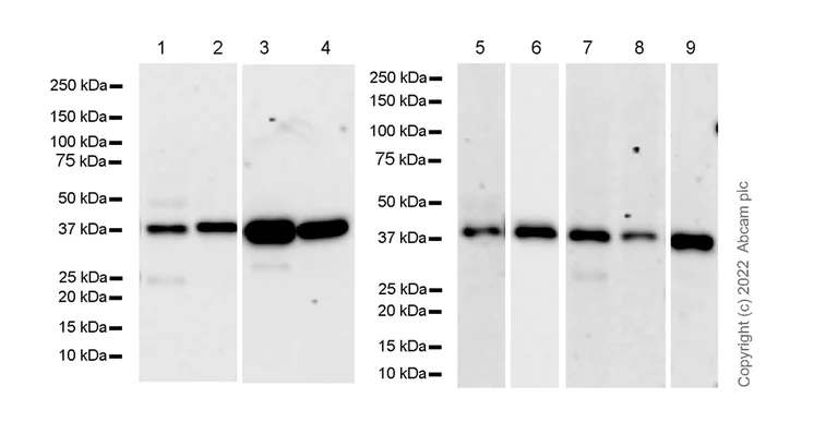
Western blot - Anti-SI-CLP antibody [1B8] - BSA and Azide free (AB305177)
  • WB

Supplier Data

Western blot - Anti-SI-CLP antibody [1B8] - BSA and Azide free (AB305177)

This data was developed using ab305176, the same antibody clone in a different buffer formulation. Blocking and diluting buffer and concentration : 5% NFDM/TBST Exposure time : Lanes 1-4 : 92 seconds Lanes 5/7-9 : 3 minutes Lane 6 : 10 seconds

All lanes:

Western blot - Anti-SI-CLP antibody [1B8] (<a href='/products/primary-antibodies/si-clp-antibody-1b8-ab305176'>ab305176</a>) at 1/1000 dilution

Lane 1:

Mouse spleen lysate at 20 µg

Lane 2:

Raji (human Burkitts lymphoma B lymphocyte), whole cell lysate at 20 µg

Lane 3:

THP-1 (human monocytic leukemia monocyte), whole cell lysate at 20 µg

Lane 4:

U937 (human histiocytic lymphoma monocyte), whole cell lysate at 20 µg

Lane 5:

Mouse pancreas lysate at 20 µg

Lane 6:

Mouse testis lysate at 20 µg

Lane 7:

A20 (mouse reticum sarcoma B lymphocyte), whole cell lysate 20 at 20 µg

Lane 8:

EL4 (mouse lymphoma T lymphocyte), whole cell lysate at 20 µg

Lane 9:

EL4.IL-2 (mouse lymphoma T lymphocyte), whole cell lysate at 20 µg

Secondary

All lanes:

Western blot - Goat Anti-Rat IgG H&L (HRP) (<a href='/products/secondary-antibodies/goat-rat-igg-h-l-hrp-ab205720'>ab205720</a>) at 1/10000 dilution

Observed band size: 44 kDa

false

関連する標識済み抗体及び組成の異なる製品 (1)

Key facts

宿主種

Rat

クローン性

Monoclonal

クローン番号

1B8

アイソタイプ

IgG2a

キャリアフリー

Yes

交差種

Human, Mouse

アプリケーション

WB

applications

免疫原

The exact immunogen used to generate this antibody is proprietary information.

Reactivity data

{ "title": "Reactivity Data", "filters": { "stats": ["", "Species", "Dilution Info", "Notes"], "tabs": { "all-applications": {"fullname" : "All Applications", "shortname": "All Applications"}, "WB" : {"fullname" : "Western blot", "shortname":"WB"}, "IHCP" : {"fullname" : "Immunohistochemistry (Formalin/PFA-fixed paraffin-embedded sections)", "shortname":"IHC-P"}, "ICCIF" : {"fullname" : "Immunocytochemistry/ Immunofluorescence", "shortname":"ICC/IF"}, "IP" : {"fullname" : "Immunoprecipitation", "shortname":"IP"} }, "product-promise": { "all": "all", "testedAndGuaranteed": "tested", "guaranteed": "expected", "predicted": "predicted", "notRecommended": "not-recommended" } }, "values": { "Human": { "WB-species-checked": "testedAndGuaranteed", "WB-species-dilution-info": "", "WB-species-notes": "<p></p>", "IHCP-species-checked": "notRecommended", "IHCP-species-dilution-info": "", "IHCP-species-notes": "<p></p>", "ICCIF-species-checked": "notRecommended", "ICCIF-species-dilution-info": "", "ICCIF-species-notes": "<p></p>", "IP-species-checked": "notRecommended", "IP-species-dilution-info": "", "IP-species-notes": "<p></p>" }, "Mouse": { "WB-species-checked": "testedAndGuaranteed", "WB-species-dilution-info": "", "WB-species-notes": "<p></p>", "IHCP-species-checked": "notRecommended", "IHCP-species-dilution-info": "", "IHCP-species-notes": "<p></p>", "ICCIF-species-checked": "notRecommended", "ICCIF-species-dilution-info": "", "ICCIF-species-notes": "<p></p>", "IP-species-checked": "notRecommended", "IP-species-dilution-info": "", "IP-species-notes": "<p></p>" }, "Rat": { "WB-species-checked": "notRecommended", "WB-species-dilution-info": "", "WB-species-notes": "", "IHCP-species-checked": "notRecommended", "IHCP-species-dilution-info": "", "IHCP-species-notes": "<p></p>", "ICCIF-species-checked": "notRecommended", "ICCIF-species-dilution-info": "", "ICCIF-species-notes": "", "IP-species-checked": "notRecommended", "IP-species-dilution-info": "", "IP-species-notes": "" } } }

製品の詳細

ab305177 is the carrier-free version of ab305176.

What are the advantages of a recombinant monoclonal antibody?
This product is a recombinant monoclonal antibody, which offers several advantages including:

  • - High batch-to-batch consistency and reproducibility
  • - Improved sensitivity and specificity
  • - Long-term security of supply
  • - Animal-free batch production

For more information, read more on recombinant antibodies.

Want a custom formulation?
This antibody clone is manufactured by Abcam. If you require a custom buffer formulation or conjugation for your experiments, please contact orders@abcam.com

Conjugation ready
Our carrier-free antibodies are typically supplied in a PBS-only formulation, purified and free of BSA, sodium azide and glycerol. This conjugation-ready format is designed for use with fluorochromes, metal isotopes, oligonucleotides, and enzymes, which makes them ideal for antibody labelling, functional and cell-based assays, flow-based assays (e.g. mass cytometry) and Multiplex Imaging applications.

Use our conjugation kits for antibody conjugates that are ready-to-use in as little as 20 minutes with 1 minute hands-on-time and 100% antibody recovery: available for fluorescent dyes, HRP, biotin and gold.

Compatibility
This product is compatible with the Maxpar® Antibody Labeling Kit from Fluidigm, without the need for antibody preparation. Maxpar® is a trademark of Fluidigm Canada Inc.

出荷温度及び保存条件

製品の状態
Liquid
精製方法
Affinity purification Protein A
バッファー組成
pH: 7.2 - 7.4 Constituents: PBS
出荷温度
Blue Ice
短期保存温度
+4°C
長期保存温度
+4°C
保管に関する情報
Do Not Freeze

補足情報

This supplementary information is collated from multiple sources and compiled automatically.

SI-CLP also known as ClpB or Caseinolytic Peptidase B is an ATP-dependent protease with a molecular mass of approximately 95 kDa. It plays a critical role in disaggregating proteins facilitating their refolding in stress conditions. The target is mainly expressed in prokaryotic organisms and some eukaryotic mitochondria. Its mechanism involves using energy derived from ATP hydrolysis to remodel protein aggregates making it essential for maintaining cellular protein homeostasis.
Biological function summary

SI-CLP proteins interact with other chaperone systems to assist in the recovery of proteins from aggregates. It forms part of a larger Clp/Hsp100 chaperone complex working together with co-chaperones like DnaK and GroEL to efficiently manage protein misfolding. This association with other molecular chaperones allows SI-CLP to execute its role in cellular stress response ensuring damaged or misfolded proteins are effectively processed or refolded.

Pathways

SI-CLP contributes significantly within the cellular protein quality control and stress response pathways. In these pathways it closely associates with DnaK facilitating protein quality control under stress conditions. Related proteins such as Hsp70 also engage in similar pathways highlighting their coordinated roles in preserving cellular function especially during stress.

SI-CLP proteins have associations with neurodegenerative diseases like Alzheimer’s disease where protein aggregation occurs. It connects with proteins involved in managing protein aggregates such as Hsp70. Furthermore its role in cellular stress responses implicates it in some infectious diseases where pathogens hijack host protein quality control systems. The involvement of SI-CLP in these disorders highlights its potential as a therapeutic target to modulate protein aggregation-related pathologies.

製品プロトコール

For this product, it's our understanding that no specific protocols are required. You can visit:

ターゲットの情報

Saccharide- and LPS-binding protein with possible roles in pathogen sensing and endotoxin neutralization. Ligand-binding specificity relates to the length of the oligosaccharides, with preference for chitotetraose (in vitro).
See full target information CHID1

Abcam product promise

当社は、高品質な試薬を通じてお客様の研究を力強くサポートすることをお約束いたします。ご使用いただく各段階で、常にお客様をサポートできる体制を整えております。万が一、製品が期待通りに機能しない場合は、「Abcam Product Promise」による当社保証制度に基づき、安心してご利用いただけます。
保証に関する詳細については利用規約をご確認ください。

Please note: All products are 'FOR RESEARCH USE ONLY. NOT FOR USE IN DIAGNOSTIC OR THERAPEUTIC PROCEDURES'.

For licensing inquiries, please contact partnerships@abcam.com