JavaScript is disabled in your browser. Please enable JavaScript to view this website.
AB317836

Anti-SH3GL1/Endophilin A2 抗体 [K51/1] - BSA and Azide free

Anti-SH3GL1/Endophilin A2 antibody [K51/1] - BSA and Azide free

Be the first to review this product! Submit a review

|

(0 Publication)

Mouse Recombinant Monoclonal SH3G1 antibody. Carrier free. Suitable for WB, IHC-P, IP and reacts with Rat samples.

別名を表示する

Sh3p8, Endophilin-A2, Endophilin-2, SH3 domain protein 2B, SH3 domain-containing GRB2-like protein 1, SH3p8

6 Images
Immunohistochemistry (Formalin/PFA-fixed paraffin-embedded sections) - Anti-SH3GL1/Endophilin A2 antibody [K51/1] - BSA and Azide free (AB317836)
  • IHC-P

Supplier Data

Immunohistochemistry (Formalin/PFA-fixed paraffin-embedded sections) - Anti-SH3GL1/Endophilin A2 antibody [K51/1] - BSA and Azide free (AB317836)

This data was developed using ab317835, the same antibody clone in a different buffer formulation.

Immunohistochemical analysis of paraffin-embedded Rat cardiac muscle tissue labeling SH3GL1/Endophilin A2 with ab317835 at 1/1000 (1.094 ug/ml) dilution, followed by a ready to use LeicaDS9800 (Bond™ Polymer Refine Detection).

Low expression : weak staining on rat cardiac muscle.
The section was incubated with ab317835 for 30 mins at room temperature, followed by anti-mouse IgG1 antibody (ab125913) for 8 mins during the LeicaDS9800 kit staining procedure.
The immunostaining was performed on a Leica Biosystems BOND® RX instrument

Counterstained with Hematoxylin.

Secondary antibody only control : Secondary antibody is a ready to use LeicaDS9800 (Bond™ Polymer Refine Detection).

Heat mediated antigen retrieval was performed with Tris-EDTA buffer (pH 9.0, Epitope Retrieval Solution2) for 20 mins

Immunohistochemistry (Formalin/PFA-fixed paraffin-embedded sections) - Anti-SH3GL1/Endophilin A2 antibody [K51/1] - BSA and Azide free (AB317836)
  • IHC-P

Supplier Data

Immunohistochemistry (Formalin/PFA-fixed paraffin-embedded sections) - Anti-SH3GL1/Endophilin A2 antibody [K51/1] - BSA and Azide free (AB317836)

This data was developed using ab317835, the same antibody clone in a different buffer formulation.

Immunohistochemical analysis of paraffin-embedded Rat cerebrum tissue labeling SH3GL1/Endophilin A2 with ab317835 at 1/1000 (1.094 ug/ml) dilution, followed by a ready to use LeicaDS9800 (Bond™ Polymer Refine Detection).

Cytoplasmic staining on rat cerebrum.
The section was incubated with ab317835 for 30 mins at room temperature, followed by anti-mouse IgG1 antibody (ab125913) for 8 mins during the LeicaDS9800 kit staining procedure.
The immunostaining was performed on a Leica Biosystems BOND® RX instrument

Counterstained with Hematoxylin.

Secondary antibody only control : Secondary antibody is a ready to use LeicaDS9800 (Bond™ Polymer Refine Detection).

Heat mediated antigen retrieval was performed with Tris-EDTA buffer (pH 9.0, Epitope Retrieval Solution2) for 20 mins

Immunoprecipitation - Anti-SH3GL1/Endophilin A2 antibody [K51/1] - BSA and Azide free (AB317836)
  • IP

Supplier Data

Immunoprecipitation - Anti-SH3GL1/Endophilin A2 antibody [K51/1] - BSA and Azide free (AB317836)

This data was developed using ab317835, the same antibody clone in a different buffer formulation.

SH3GL1/Endophilin A2 was immunoprecipitated from 0.35 mg Rat testis tissue lysate with ab317835 at 1/30 dilution (2ug in 0.35mg lysates). Western blot was performed on the immunoprecipitate using ab317835 at 1/1000 dilution. VeriBlot for IP secondary antibody(HRP)(ab131366) was used at 1/5000 dilution.

Lane 1 : Rat testis tissue lysate
Lane 2 : ab317835 IP in Rat testis tissue lysate
Lane 3 : Mouse monoclonal IgG (ab18443) instead of ab317835 in rat testis tissue lysate

All lanes:

Immunoprecipitation - Anti-SH3GL1/Endophilin A2 antibody [K51/1] (<a href='/products/primary-antibodies/sh3gl1-endophilin-a2-antibody-k51-1-ab317835'>ab317835</a>) at 1/30 dilution

All lanes:

Rat testis tissue lysate

Secondary

All lanes:

Immunoprecipitation - VeriBlot for IP Detection Reagent (HRP) (<a href='/products/reagents/veriblot-for-ip-detection-reagent-hrp-ab131366'>ab131366</a>) at 1/5000 dilution

false

Exposure time: 41s

Immunoprecipitation - Anti-SH3GL1/Endophilin A2 antibody [K51/1] - BSA and Azide free (AB317836)
  • IP

Supplier Data

Immunoprecipitation - Anti-SH3GL1/Endophilin A2 antibody [K51/1] - BSA and Azide free (AB317836)

This data was developed using ab317835, the same antibody clone in a different buffer formulation.

SH3GL1/Endophilin A2 was immunoprecipitated from 0.35 mg Rat brain tissue lysate with ab317835 at 1/30 dilution (2ug in 0.35mg lysates). Western blot was performed on the immunoprecipitate using ab317835 at 1/1000 dilution. VeriBlot for IP secondary antibody(HRP)(ab131366) was used at 1/5000 dilution.

Lane 1 : Rat brain tissue lysate
Lane 2 : ab317835 IP in Rat brain tissue lysate
Lane 3 : Mouse monoclonal IgG (ab18443) instead of ab317835 in rat testis tissue lysate

All lanes:

Immunoprecipitation - Anti-SH3GL1/Endophilin A2 antibody [K51/1] (<a href='/products/primary-antibodies/sh3gl1-endophilin-a2-antibody-k51-1-ab317835'>ab317835</a>) at 1/30 dilution

All lanes:

Rat brain tissue lysate at 0.35 mg

Secondary

All lanes:

Immunoprecipitation - VeriBlot for IP Detection Reagent (HRP) (<a href='/products/reagents/veriblot-for-ip-detection-reagent-hrp-ab131366'>ab131366</a>) at 1/5000 dilution

false

Exposure time: 41s

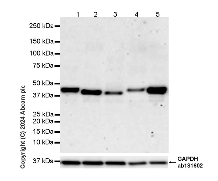
Western blot - Anti-SH3GL1/Endophilin A2 antibody [K51/1] - BSA and Azide free (AB317836)
  • WB

Supplier Data

Western blot - Anti-SH3GL1/Endophilin A2 antibody [K51/1] - BSA and Azide free (AB317836)

This data was developed using ab317835, the same antibody clone in a different buffer formulation.

In Western blot, Anti-GAPDH antibody [EPR16891] - Loading Control (ab181602) staining at 1/200000 dilution.

All lanes:

Western blot - Anti-SH3GL1/Endophilin A2 antibody [K51/1] (<a href='/products/primary-antibodies/sh3gl1-endophilin-a2-antibody-k51-1-ab317835'>ab317835</a>) at 1/1000 dilution

Lane 1:

PC-12 (rat adrenal gland pheochromocytoma cell) whole cell lysate at 20 µg

Lane 2:

C6 (rat glial tumor glial cell) whole cell lysate at 20 µg

Lane 3:

L6 (rat skeletal muscle myoblast) whole cell lysate at 20 µg

Lane 4:

AR42J (rat pancreatic tumor epithelial cell) whole cell lysate at 20 µg

Lane 5:

H9c2(2-1) (rat cardiomyoblast) whole cell lysate at 20 µg

Secondary

All lanes:

Peroxidase-Conjugated Goat anti-Mouse IgG (H+L) at 1/10000 dilution

Observed band size: 41 kDa,36 kDa

false

Exposure time: 180s

Western blot - Anti-SH3GL1/Endophilin A2 antibody [K51/1] - BSA and Azide free (AB317836)
  • WB

Supplier Data

Western blot - Anti-SH3GL1/Endophilin A2 antibody [K51/1] - BSA and Azide free (AB317836)

This data was developed using ab317835, the same antibody clone in a different buffer formulation.

Low expression : heart and kidney (PMID : 11518713).

In Western blot, Anti-GAPDH antibody [EPR16891] - Loading Control (ab181602) staining at 1/200000 dilution.

All lanes:

Western blot - Anti-SH3GL1/Endophilin A2 antibody [K51/1] (<a href='/products/primary-antibodies/sh3gl1-endophilin-a2-antibody-k51-1-ab317835'>ab317835</a>) at 1/1000 dilution

Lane 1:

Rat brain tissue lysate at 20 µg

Lane 2:

Rat heart tissue lysate at 20 µg

Lane 3:

Rat kidney tissue lysate at 20 µg

Lane 4:

Rat spleen tissue lysate at 20 µg

Secondary

All lanes:

Peroxidase-Conjugated Goat anti-Mouse IgG (H+L) at 1/10000 dilution

Observed band size: 41 kDa,36 kDa

false

Exposure time: 180s

関連する標識済み抗体及び組成の異なる製品 (1)

Key facts

宿主種

Mouse

クローン性

Monoclonal

クローン番号

K51/1

アイソタイプ

IgG1

キャリアフリー

Yes

交差種

Rat

アプリケーション

WB, IHC-P, IP

applications

免疫原

The exact immunogen used to generate this antibody is proprietary information.

Reactivity data

{ "title": "Reactivity Data", "filters": { "stats": ["", "Species", "Dilution Info", "Notes"], "tabs": { "all-applications": {"fullname" : "All Applications", "shortname": "All Applications"}, "WB" : {"fullname" : "Western blot", "shortname":"WB"}, "IHCP" : {"fullname" : "Immunohistochemistry (Formalin/PFA-fixed paraffin-embedded sections)", "shortname":"IHC-P"}, "IP" : {"fullname" : "Immunoprecipitation", "shortname":"IP"} }, "product-promise": { "all": "all", "testedAndGuaranteed": "tested", "guaranteed": "expected", "predicted": "predicted", "notRecommended": "not-recommended" } }, "values": { "Human": { "WB-species-checked": "notRecommended", "WB-species-dilution-info": "", "WB-species-notes": "<p></p>", "IHCP-species-checked": "notRecommended", "IHCP-species-dilution-info": "", "IHCP-species-notes": "<p></p>", "IP-species-checked": "notRecommended", "IP-species-dilution-info": "", "IP-species-notes": "" }, "Mouse": { "WB-species-checked": "notRecommended", "WB-species-dilution-info": "", "WB-species-notes": "<p></p>", "IHCP-species-checked": "notRecommended", "IHCP-species-dilution-info": "", "IHCP-species-notes": "<p></p>", "IP-species-checked": "notRecommended", "IP-species-dilution-info": "", "IP-species-notes": "" }, "Rat": { "WB-species-checked": "testedAndGuaranteed", "WB-species-dilution-info": "", "WB-species-notes": "<p></p>", "IHCP-species-checked": "testedAndGuaranteed", "IHCP-species-dilution-info": "", "IHCP-species-notes": "<p></p>", "IP-species-checked": "testedAndGuaranteed", "IP-species-dilution-info": "", "IP-species-notes": "<p></p>" } } }

製品の詳細

ab317836 is the carrier-free version of ab317835.

What are the advantages of a recombinant monoclonal antibody?
This product is a recombinant monoclonal antibody, which offers several advantages including:

  • - High batch-to-batch consistency and reproducibility
  • - Improved sensitivity and specificity
  • - Long-term security of supply
  • - Animal-free batch production

For more information, read more on recombinant antibodies.

Want a custom formulation?
This antibody clone is manufactured by Abcam. If you require a custom buffer formulation or conjugation for your experiments, please contact orders@abcam.com

Conjugation ready
Our carrier-free antibodies are typically supplied in a PBS-only formulation, purified and free of BSA, sodium azide and glycerol. This conjugation-ready format is designed for use with fluorochromes, metal isotopes, oligonucleotides, and enzymes, which makes them ideal for antibody labelling, functional and cell-based assays, flow-based assays (e.g. mass cytometry) and Multiplex Imaging applications.

Use our conjugation kits for antibody conjugates that are ready-to-use in as little as 20 minutes with 1 minute hands-on-time and 100% antibody recovery: available for fluorescent dyes, HRP, biotin and gold.

Compatibility
This product is compatible with the Maxpar® Antibody Labeling Kit from Fluidigm, without the need for antibody preparation. Maxpar® is a trademark of Fluidigm Canada Inc.

出荷温度及び保存条件

製品の状態
Liquid
精製方法
Affinity purification Protein A
バッファー組成
pH: 7.2 - 7.4 Constituents: PBS
出荷温度
Blue Ice
短期保存温度
+4°C
長期保存温度
+4°C

補足情報

This supplementary information is collated from multiple sources and compiled automatically.

SH3GL1 also known as Endophilin A2 is a protein that facilitates membrane curvature during endocytosis through its BAR domain. It weighs approximately 42 kDa. Endophilin A2 is widely expressed in various tissues with notable abundance in the brain. It functions by binding to membrane lipids and interacting with other endocytic proteins. This contributes to the formation of vesicles that ferry molecules into cells vital for nutrient uptake and receptor recycling.
Biological function summary

SH3GL1/Endophilin A2 participates in synaptic vesicle endocytosis a process critical for neurotransmission and proper brain function. It works in association with other proteins in a complex such as dynamin to mediate rapid membrane invagination and fission. By assisting in vesicle formation and release at synaptic terminals it plays a role in maintaining synaptic efficacy and neuronal communication.

Pathways

This protein plays a significant role in the clathrin-mediated endocytosis and synaptic vesicle cycle pathways. In these contexts Endophilin A2 interacts with proteins like clathrin and amphiphysin to enable efficient vesicle budding and release. Its activities connect to the recycling of synaptic vesicles essential for the preservation of synaptic transmission and cell signaling.

SH3GL1/Endophilin A2 associates with neurodegenerative diseases like Alzheimer's disease. Dysfunctional endocytosis resulting from its altered expression or activity can impair synaptic function contributing to disease progression. Other disorders involving this protein include certain types of cancer where its interactions with proteins such as c-Cbl may impact cell proliferation and survival influencing tumorigenesis.

製品プロトコール

For this product, it's our understanding that no specific protocols are required. You can visit:

ターゲットの情報

Implicated in endocytosis. May recruit other proteins to membranes with high curvature (By similarity).
See full target information Sh3gl1

Abcam product promise

当社は、高品質な試薬を通じてお客様の研究を力強くサポートすることをお約束いたします。ご使用いただく各段階で、常にお客様をサポートできる体制を整えております。万が一、製品が期待通りに機能しない場合は、「Abcam Product Promise」による当社保証制度に基づき、安心してご利用いただけます。
保証に関する詳細については利用規約をご確認ください。

Please note: All products are 'FOR RESEARCH USE ONLY. NOT FOR USE IN DIAGNOSTIC OR THERAPEUTIC PROCEDURES'.

For licensing inquiries, please contact partnerships@abcam.com