JavaScript is disabled in your browser. Please enable JavaScript to view this website.
AB14715

Anti-SDHA 抗体 [2E3GC12FB2AE2]

Anti-SDHA antibody [2E3GC12FB2AE2]

5

(25 Reviews)

|

(562 Publications)

Anti-SDHA antibody [2E3GC12FB2AE2] (ab14715) is a mouse monoclonal antibody detecting SDHA in Western Blot, Flow Cytometry, IHC-P, IHC-Fr. Suitable for Cow, Human, Mouse, Rat.

- Clone 2E3GC12FB2AE2 is the most cited clone to SDHA
- KO validated for confirmed specificity
- Over 460 publications
- Trusted since 2004

別名を表示する

SDH2, SDHF, SDHA, Flavoprotein subunit of complex II, Malate dehydrogenase [quinone] flavoprotein subunit, Fp

9 Images
Western blot - Anti-SDHA antibody [2E3GC12FB2AE2] (AB14715)
  • WB

Lab

Western blot - Anti-SDHA antibody [2E3GC12FB2AE2] (AB14715)

This data was developed using the same antibody clone in a different format (HRP conjugated) (ab198493).

Lanes 1 - 4 : Merged signal (red and green). Green - ab198493 observed at 72 kDa. Red - loading control, ab181602, observed at 37 kDa.

ab198493 was shown to recognize in wild-type HEK-293 cells as signal was lost at the expected MW in SDHA knockout cells. Additional cross-reactive bands were observed in the wild-type and knockout cells. Wild-type and SDHA knockout samples were subjected to SDS-PAGE. The membrane was blocked with 3% Milk. ab198493 and ab181602 (Rabbit anti-GAPDH loading control) were incubated overnight at 4°C at 1/5000 dilution and 1/20000 dilution respectively. Blots were developed with Goat anti-Rabbit IgG H&L (IRDye® 800CW) preabsorbed ab216773 and Goat anti-Rabbit IgG H&L (IRDye® 680RD) preabsorbed ab216777 secondary antibodies at 1/20000 dilution for 1 hour at room temperature before imaging.

All lanes:

Western blot - Anti-SDHA antibody [2E3GC12FB2AE2] (ab14715) at 1/5000 dilution

Lane 1:

Wild-type HEK-293 (human epithelial cell line from embryonic kidney) whole cell lysate at 20 µg

Lane 2:

SDHA knockout HEK-293 whole cell lysate at 20 µg

Lane 3:

MCF7 (human breast adenocarcinoma cell line) whole cell lysate at 20 µg

Lane 4:

HepG2 (human liver hepatocellular carcinoma cell line) whole cell lysate at 20 µg

Predicted band size: 72 kDa

false

Immunohistochemistry (Formalin/PFA-fixed paraffin-embedded sections) - Anti-SDHA antibody [2E3GC12FB2AE2] (AB14715)
  • IHC-P

Lab

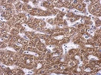
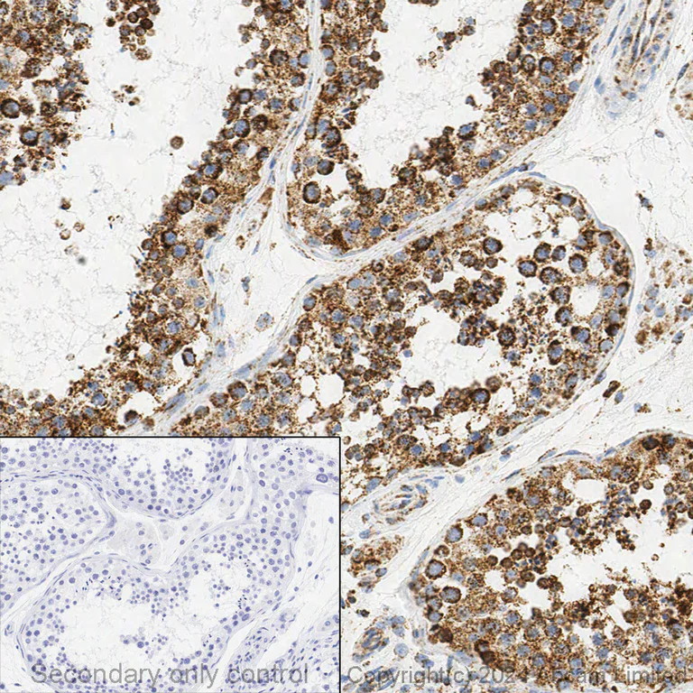
Immunohistochemistry (Formalin/PFA-fixed paraffin-embedded sections) - Anti-SDHA antibody [2E3GC12FB2AE2] (AB14715)

Immunohistochemical analysis of formalin fixed paraffin embedded human testis labelling SDHA with ab14715 at a concentration of 0.1µg/ml. The immunostaining was performed on a Ventana DISCOVERY ULTRA (Roche Tissue Diagnostics) instrument with a OptiView DAB IHC Detection Kit. Heat mediated antigen retrieval was performed with DISCOVERY cell conditioning solution (CC1) 100°C, pH8.5 for 32mins.

ab14715 Anti-SDHA antibody [2E3GC12FB2AE2] was incubated for 16mins at 37°C. Sections were counterstained with Hematoxylin II. Image inset shows absence of staining in secondary antibody only control.

Customers are encouraged to optimise antigen retrieval conditions, antibody concentration, incubation times and temperature for best results in their own IHC assay workflow (automated and manual).

Immunohistochemistry (Frozen sections) - Anti-SDHA antibody [2E3GC12FB2AE2] (AB14715)
  • IHC-Fr

Supplier Data

Immunohistochemistry (Frozen sections) - Anti-SDHA antibody [2E3GC12FB2AE2] (AB14715)

Human skeletal muscle immunohistochemistry using ab14715. Fixed frozen tissue sections from a patient with a single large deletion of the mtDNA were used. All muscle fibers exhibit complex II immunoreactivity, consistent with the nuclear DNA-encoded expression pattern of this and all other subunits of complex II.

Immunocytochemistry - Anti-SDHA antibody [2E3GC12FB2AE2] (AB14715)
  • ICC

Lab

Immunocytochemistry - Anti-SDHA antibody [2E3GC12FB2AE2] (AB14715)

ICC/IF image of ab14715 stained human HeLa cells. The cells were 4% PFA fixed (10 min) and then incubated in 0.1% PBS-tween diluted 1%BSA (OR 10% goat serum OR 0.3M glycine) for 1h to permeabilise the cells and block non-specific protein-protein interactions. The cells were then incubated with the antibody (ab14715, 5μg/ml) overnight at +4°C. The secondary antibody (green) was Alexa Fluor® 488 goat anti-mouse IgG (H+L) used at a 1/1000 dilution for 1h. Alexa Fluor® 594 WGA was used to label plasma membranes (red) at a 1/200 dilution for 1h. DAPI was used to stain the cell nuclei (blue). This antibody also gave a positive IF result in Hek293, HepG2 and MCF7 cells.

Immunohistochemistry (Formalin/PFA-fixed paraffin-embedded sections) - Anti-SDHA antibody [2E3GC12FB2AE2] (AB14715)
  • IHC-P

Lab

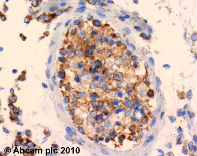
Immunohistochemistry (Formalin/PFA-fixed paraffin-embedded sections) - Anti-SDHA antibody [2E3GC12FB2AE2] (AB14715)

ab14715 (2µg/ml) staining SDHA in human testis using an automated system (DAKO Autostainer Plus). Using this protocol there is cytoplasmic and mitochondrial staining within the seminal vesicles.
Sections were rehydrated and antigen retrieved with the Dako 3 in 1 AR buffer EDTA pH 9.0 in a DAKO PT link. Slides were peroxidase blocked in 3% H2O2 in methanol for 10 mins. They were then blocked with Dako Protein block for 10 minutes (containing casein 0.25% in PBS) then incubated with primary antibody for 20 min and detected with Dako envision flex amplification kit for 30 minutes. Colorimetric detection was completed with Diaminobenzidine for 5 minutes. Slides were counterstained with Haematoxylin and coverslipped under DePeX. Please note that, for manual staining, optimization of primary antibody concentration and incubation time is recommended. Signal amplification may be required.

Flow Cytometry - Anti-SDHA antibody [2E3GC12FB2AE2] (AB14715)
  • Flow Cyt

Unknown

Flow Cytometry - Anti-SDHA antibody [2E3GC12FB2AE2] (AB14715)

HL-60 (human promyelocytic leukemia cell line) cells were stained with 1 μg/mL ab14715 (blue) or an equal amount of an isotype control antibody (red) and analyzed by flow cytometry.

Immunocytochemistry - Anti-SDHA antibody [2E3GC12FB2AE2] (AB14715)
  • ICC

Supplier Data

Immunocytochemistry - Anti-SDHA antibody [2E3GC12FB2AE2] (AB14715)

Mitochondrial localization of complex II visualized by immunocytochemistry using ab14715. Cultured human embryonic lung-derived fibroblasts (strain MRC5) were fixed, permeabilized and then labeled with ab14715 (0.2 μg/ml) followed by an AlexaFluor® 488-conjugated-goat-anti-mouse IgG2a isotype specific secondary antibody (2 μg/ml).

Immunohistochemistry (Formalin/PFA-fixed paraffin-embedded sections) - Anti-SDHA antibody [2E3GC12FB2AE2] (AB14715)
  • IHC-P

Lab

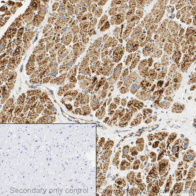
Immunohistochemistry (Formalin/PFA-fixed paraffin-embedded sections) - Anti-SDHA antibody [2E3GC12FB2AE2] (AB14715)

Immunohistochemical analysis of formalin fixed paraffin embedded human heart labelling SDHA with ab14715 at a concentration of 0.1µg/ml. The immunostaining was performed on a Ventana DISCOVERY ULTRA (Roche Tissue Diagnostics) instrument with a OptiView DAB IHC Detection Kit. Heat mediated antigen retrieval was performed with DISCOVERY cell conditioning solution (CC1) 100°C, pH8.5 for 32mins.

ab14715 Anti-SDHA antibody [2E3GC12FB2AE2] was incubated for 16mins at 37°C. Sections were counterstained with Hematoxylin II. Image inset shows absence of staining in secondary antibody only control.

Customers are encouraged to optimise antigen retrieval conditions, antibody concentration, incubation times and temperature for best results in their own IHC assay workflow (automated and manual).

Western blot - Anti-SDHA antibody [2E3GC12FB2AE2] (AB14715)
  • WB

Unknown

Western blot - Anti-SDHA antibody [2E3GC12FB2AE2] (AB14715)

All lanes:

Western blot - Anti-SDHA antibody [2E3GC12FB2AE2] (ab14715)

Lane 1:

Isolated mitochondria from Human heart at 5 µg

Lane 2:

Isolated mitochondria from Bovine heart at 4 µg

Lane 3:

Isolated mitochondria from Rat heart at 10 µg

Lane 4:

Isolated mitochondria from Mouse heart at 10 µg

Lane 5:

Isolated mitochondria from HepG2 (human liver hepatocellular carcinoma cell line) at 20 µg

Predicted band size: 72 kDa

Observed band size: 70 kDa

false

関連する標識済み抗体及び組成の異なる製品 (3)

  • 519 Alexa Fluor® 488

    Alexa Fluor® 488 Anti-SDHA antibody [2E3GC12FB2AE2]

  • 617 Alexa Fluor® 594

    Alexa Fluor® 594 Anti-SDHA antibody [2E3GC12FB2AE2]

  • HRP

    HRP Anti-SDHA antibody [2E3GC12FB2AE2]

Key facts

宿主種

Mouse

クローン性

Monoclonal

クローン番号

2E3GC12FB2AE2

アイソタイプ

IgG1

軽鎖のタイプ

kappa

キャリアフリー

No

交差種

Mouse, Rat, Cow, Human

アプリケーション

WB, IHC-P, IHC-Fr, Flow Cyt, ICC

applications

免疫原

The exact immunogen used to generate this antibody is proprietary information.

Reactivity data

{ "title": "Reactivity Data", "filters": { "stats": ["", "Species", "Dilution Info", "Notes"], "tabs": { "all-applications": {"fullname" : "All Applications", "shortname": "All Applications"}, "ICC" : {"fullname" : "Immunocytochemistry", "shortname":"ICC"}, "FlowCyt" : {"fullname" : "Flow Cytometry", "shortname":"Flow Cyt"}, "WB" : {"fullname" : "Western blot", "shortname":"WB"}, "IHCP" : {"fullname" : "Immunohistochemistry (Formalin/PFA-fixed paraffin-embedded sections)", "shortname":"IHC-P"}, "IHCFr" : {"fullname" : "Immunohistochemistry (Frozen sections)", "shortname":"IHC-Fr"} }, "product-promise": { "all": "all", "testedAndGuaranteed": "tested", "guaranteed": "expected", "predicted": "predicted", "notRecommended": "not-recommended" } }, "values": { "Human": { "ICC-species-checked": "testedAndGuaranteed", "ICC-species-dilution-info": "", "ICC-species-notes": "<p></p>", "FlowCyt-species-checked": "testedAndGuaranteed", "FlowCyt-species-dilution-info": "1 µg/mL", "FlowCyt-species-notes": "<p><a href='/products/primary-antibodies/mouse-igg1-kappa-monoclonal-15-6e10a7-isotype-control-ab170190'>ab170190</a> - Mouse monoclonal IgG1, is suitable for use as an isotype control with this antibody.</p>", "WB-species-checked": "testedAndGuaranteed", "WB-species-dilution-info": "0.1 µg/mL", "WB-species-notes": "<p></p>", "IHCP-species-checked": "testedAndGuaranteed", "IHCP-species-dilution-info": "", "IHCP-species-notes": "<p></p>", "IHCFr-species-checked": "testedAndGuaranteed", "IHCFr-species-dilution-info": "", "IHCFr-species-notes": "<p></p>" }, "Mouse": { "ICC-species-checked": "guaranteed", "ICC-species-dilution-info": "", "ICC-species-notes": "", "FlowCyt-species-checked": "guaranteed", "FlowCyt-species-dilution-info": "", "FlowCyt-species-notes": "", "WB-species-checked": "testedAndGuaranteed", "WB-species-dilution-info": "0.1 µg/mL", "WB-species-notes": "<p></p>", "IHCP-species-checked": "guaranteed", "IHCP-species-dilution-info": "", "IHCP-species-notes": "", "IHCFr-species-checked": "guaranteed", "IHCFr-species-dilution-info": "", "IHCFr-species-notes": "" }, "Rat": { "ICC-species-checked": "guaranteed", "ICC-species-dilution-info": "", "ICC-species-notes": "", "FlowCyt-species-checked": "guaranteed", "FlowCyt-species-dilution-info": "", "FlowCyt-species-notes": "", "WB-species-checked": "testedAndGuaranteed", "WB-species-dilution-info": "0.1 µg/mL", "WB-species-notes": "<p></p>", "IHCP-species-checked": "guaranteed", "IHCP-species-dilution-info": "", "IHCP-species-notes": "", "IHCFr-species-checked": "guaranteed", "IHCFr-species-dilution-info": "", "IHCFr-species-notes": "" }, "Cow": { "ICC-species-checked": "guaranteed", "ICC-species-dilution-info": "", "ICC-species-notes": "", "FlowCyt-species-checked": "guaranteed", "FlowCyt-species-dilution-info": "", "FlowCyt-species-notes": "", "WB-species-checked": "testedAndGuaranteed", "WB-species-dilution-info": "0.1 µg/mL", "WB-species-notes": "<p></p>", "IHCP-species-checked": "guaranteed", "IHCP-species-dilution-info": "", "IHCP-species-notes": "", "IHCFr-species-checked": "guaranteed", "IHCFr-species-dilution-info": "", "IHCFr-species-notes": "" }, "Dog": { "ICC-species-checked": "predicted", "ICC-species-dilution-info": "", "ICC-species-notes": "", "FlowCyt-species-checked": "predicted", "FlowCyt-species-dilution-info": "", "FlowCyt-species-notes": "", "WB-species-checked": "predicted", "WB-species-dilution-info": "", "WB-species-notes": "", "IHCP-species-checked": "predicted", "IHCP-species-dilution-info": "", "IHCP-species-notes": "", "IHCFr-species-checked": "predicted", "IHCFr-species-dilution-info": "", "IHCFr-species-notes": "" } } }

製品の詳細

Anti-SDHA antibody [2E3GC12FB2AE2] (ab14715) is a House Mouse Monoclonal antibody and is validated for use in Flow Cyt, ICC, IHC-Fr, IHC-P, WB in human, rat samples.

Anti-SDHA antibody [2E3GC12FB2AE2] (ab14715) has been cited over 460 times in peer reviewed journals and is trusted by the scientific community.

Abcams high quality validation processes ensure Anti-SDHA antibody [2E3GC12FB2AE2] (ab14715) has high sensitivity and specificity.

The specificity of Anti-SDHA antibody [2E3GC12FB2AE2] (ab14715) has been confirmed by testing in knockout samples.

Anti-SDHA antibody [2E3GC12FB2AE2] (ab14715) has 23 independent reviews from customers.

Anti-SDHA antibody [2E3GC12FB2AE2] (ab14715) specifically detects SDHA (UniProt ID: P31039; Molecular weight: 68kDa) and is sold in 100 ug selling sizes.

Antibody clone 2E3GC12FB2AE2 is also available pre-conjugated to a variety of labels for your convenience - Alexa Fluor® 488, Alexa Fluor® 594, HRP (ab154473, ab17172, ab198493).

SDHA (FP), a subunit of succinate dehydrogenase, is a crucial mitochondrial enzyme involved in the Krebs cycle and electron transport chain. The SDHA molecular weight is approximately 72 kDa, and it plays a vital role in cellular energy production. The FP antibody is essential for studying SDHA's function and its role as a tumor suppressor. Abnormal SDHA levels are linked to various diseases, including hereditary paragangliomas, pheochromocytomas, and certain cancers. Monitoring SDHA can provide valuable insights into disease mechanisms and potential therapeutic targets.

Want a custom formulation?
This antibody clone is manufactured by Abcam. If you require a custom buffer formulation or conjugation for your experiments, please contact orders@abcam.com

出荷温度及び保存条件

製品の状態
Liquid
精製度
IgG fraction
精製に関する特記事項
Near homogeneity as judged by SDS-PAGE. The antibody was produced invitro using hybridomas grown in serum-free medium, and then purified bybiochemical fractionation.
バッファー組成
pH: 7.5 Preservative: 0.02% Sodium azide Constituents: HEPES buffered saline
出荷温度
Blue Ice
短期保存温度
+4°C
長期保存温度
+4°C

補足情報

This supplementary information is collated from multiple sources and compiled automatically.

Succinate dehydrogenase complex flavoprotein subunit A (SDHA) also known as complex II Fp or SDH2 plays an important role in the mitochondrial electron transport chain and the tricarboxylic acid (TCA) cycle. It functions as a flavoprotein oxidoreductase catalyzing the oxidation of succinate to fumarate. With a molecular mass of approximately 72 kDa SDHA is expressed in the inner mitochondrial membrane of eukaryotic cells where it is a core component of the succinate dehydrogenase complex (SDHC). The complex is essential for cellular respiration and energy production.
Biological function summary

SDHA participates in the TCA cycle by accepting electrons from succinate which it donates to the coenzyme Q in the electron transport chain. This essential role connects SDHA to the regulation of ATP production in cells. SDHA operates as part of the larger succinate dehydrogenase (SDH) complex which includes other subunits such as SDHB SDHC and SDHD. This structurally integrated multisubunit complex influences mitochondrial integrity and cellular energy homeostasis.

Pathways

SDHA is deeply involved in the TCA cycle and oxidative phosphorylation pathway. As a part of these pathways it links to other critical enzymes such as fumarase and aconitase working in concert to drive the conversion of biochemical fuel into usable cellular energy. Its interactions with coenzyme Q and cytochrome complex enzymes are important for electron flow and proton gradient formation across the mitochondrial membrane. Such interactions are central to cellular respiration and energy generation.

Mutations in SDHA correlate with various mitochondrial diseases and cancer syndromes. Specifically SDHA mutations have an association with Leigh syndrome and certain types of mitochondrial complex II deficiency. These mutations disrupt the function of the SDH complex causing metabolic imbalances and energy production issues. Furthermore the integral interaction of SDHA with other SDH subunits means that alterations can impact this entire enzymatic complex with implications for cellular respiration and disease progression.

製品プロトコール

For this product, it's our understanding that no specific protocols are required. You can visit:

ターゲットの情報

Flavoprotein (FP) subunit of succinate dehydrogenase (SDH) that is involved in complex II of the mitochondrial electron transport chain and is responsible for transferring electrons from succinate to ubiquinone (coenzyme Q) (PubMed : 10746566, PubMed : 24781757). SDH also oxidizes malate to the non-canonical enol form of oxaloacetate, enol-oxaloacetate (By similarity). Enol-oxaloacetate, which is a potent inhibitor of the succinate dehydrogenase activity, is further isomerized into keto-oxaloacetate (By similarity). Can act as a tumor suppressor (PubMed : 20484225).
See full target information SDHA

文献 (562)

Recent publications for all applications. Explore the full list and refine your search

Science advances 11:eadw4153 PubMed41061082

2025

TRAF6 integrates innate immune signals to regulate glucose homeostasis via Parkin-dependent and Parkin-independent mitophagy.

Applications

Unspecified application

Species

Unspecified reactive species

Elena Levi-D'Ancona,Emily M Walker,Jie Zhu,Yamei Deng,Vaibhav Sidarala,Ava M Stendahl,Emma C Reck,Belle A Henry-Kanarek,Anne C Lietzke,Biaoxin Chai,Mabelle B Pasmooij,Dre L Hubers,Venkatesha Basrur,Sankar Ghosh,Linsey Stiles,Alexey I Nesvizhskii,Orian S Shirihai,Scott A Soleimanpour

Communications biology 8:1249 PubMed40830221

2025

A robust method for assessing mitochondrial function in healthy and diseased frozen cardiac tissue.

Applications

Unspecified application

Species

Unspecified reactive species

Liangyu Hu,Alexia van Rinsum,Rocco Caliandro,Xi Qi,Shuxiu Fan,Xinyi Jiang,Jur Massop,Melissa Bekkenkamp-Grovenstein,Christiane Ott,Tilman Grune,Melissa A E van de Wal,Werner J H Koopman,Marcel Giesbers,Monika Gladka,Jaap Keijer,Deli Zhang

Advanced science (Weinheim, Baden-Wurttemberg, Germany) 12:e11873 PubMed40832885

2025

Succinate Dehydrogenase Subunit A (SDHA) Mediated Microglia Extracellular Traps Formation Participating in Cerebral Ischemic Reperfusion Injury.

Applications

Unspecified application

Species

Unspecified reactive species

Lili Zhao,Tao Li,Meijuan Dang,Ye Li,Jialiang Lu,Ziwei Lu,Zhiyang Chen,Qiao Huang,Yujie Chen,Yang Yang,Yuxuan Feng,Xiaoya Wang,Yating Jian,Heying Wang,Yingying Guo,Lei Zhang,Yu Jiang,Songhua Fan,Shengxi Wu,Hong Fan,Fang Kuang,Guilian Zhang

Science advances 11:eadr6012 PubMed40815660

2025

Complex II assembly drives metabolic adaptation to OXPHOS dysfunction.

Applications

Unspecified application

Species

Unspecified reactive species

Roopasingam Kugapreethan,Sheik Nadeem Elahee Doomun,Joanna Sacharz,Ann E Frazier,Tanavi Sharma,Yau Chung Low,Shuai Nie,Michael G Leeming,Linden Muellner-Wong,Karena Last,Tegan Stait,David P De Souza,David R Thorburn,Malcolm J McConville,David A Stroud

Biomolecules 15: PubMed40723830

2025

The Proteomic Landscape of Parkin-Deficient and Parkin-Overexpressing Rat Nucleus Accumbens: An Insight into the Role of Parkin in Methamphetamine Use Disorder.

Applications

Unspecified application

Species

Unspecified reactive species

Akhil Sharma,Tarek Atasi,Florine Collin,Weiwei Wang,TuKiet T Lam,Rolando Garcia-Milian,Tasnim Arroum,Lucynda Pham,Maik Hüttemann,Anna Moszczynska

PLoS biology 23:e3003261 PubMed40700448

2025

Legionella effector LpPIP recruits protein phosphatase 1 to the mitochondria to induce dephosphorylation of outer membrane proteins.

Applications

Unspecified application

Species

Unspecified reactive species

Kai-Qi Yek,Evie R Hodgson,Ching-Seng Ang,Catherine S Palmer,Ann E Frazier,Hayley J Newton,Diana Stojanovski

Nature metabolism 7:1570-1592 PubMed40691304

2025

LONP1 regulation of mitochondrial protein folding provides insight into beta cell failure in type 2 diabetes.

Applications

Unspecified application

Species

Unspecified reactive species

Jin Li,Yamei Deng,Marie Gasser,Jie Zhu,Emily M Walker,Vaibhav Sidarala,Emma C Reck,Dre L Hubers,Mabelle B Pasmooij,Chun-Shik Shin,Khushdeep Bandesh,Eftyhmios Motakis,Siddhi Nargund,Romy Kursawe,Venkatesha Basrur,Alexey I Nesvizhskii,Michael L Stitzel,David C Chan,Guy A Rutter,Scott A Soleimanpour

Cancer cell international 25:272 PubMed40684193

2025

The DRP1 receptor FIS1 is critical to the expansion of triple-negative breast cancer tumor-initiating cells.

Applications

Unspecified application

Species

Unspecified reactive species

Tetiana Katrii,Tanya Freywald,Malkon G Estrada,Amr El Zawily,Behzad Toosi,Frederick S Vizeacoumar,Franco J Vizeacoumar,Andrew Freywald,Scot C Leary

Nature communications 16:6668 PubMed40683882

2025

Cardiomyocyte OTUD1 drives diabetic cardiomyopathy via directly deubiquitinating AMPKα2 and inducing mitochondrial dysfunction.

Applications

Unspecified application

Species

Unspecified reactive species

Xue Han,Ruyi Zheng,Jiajia Zhang,Yanan Liu,Ze Li,Guoxuan Liu,Jianing Zheng,Weiqi Li,Zijun Liang,Mengyang Wang,Jie Yu,Qiaojuan Shi,Huazhong Ying,Guang Liang

Clinical and translational medicine 15:e70404 PubMed40681476

2025

PDK4 and nutrient responses explain muscle specific manifestation in mitochondrial disease.

Applications

Unspecified application

Species

Unspecified reactive species

Swagat Pradhan,Takayuki Mito,Nahid A Khan,Sofiia Olander,Aleksandra Zhaivoron,Thomas G McWilliams,Anu Suomalainen
View all publications

Abcam product promise

当社は、高品質な試薬を通じてお客様の研究を力強くサポートすることをお約束いたします。ご使用いただく各段階で、常にお客様をサポートできる体制を整えております。万が一、製品が期待通りに機能しない場合は、「Abcam Product Promise」による当社保証制度に基づき、安心してご利用いただけます。
保証に関する詳細については利用規約をご確認ください。

Please note: All products are 'FOR RESEARCH USE ONLY. NOT FOR USE IN DIAGNOSTIC OR THERAPEUTIC PROCEDURES'.

For licensing inquiries, please contact partnerships@abcam.com