JavaScript is disabled in your browser. Please enable JavaScript to view this website.
AB15090

Anti-SCP1 抗体

Anti-SCP1 antibody

4

(3 Reviews)

|

(121 Publications)

Anti-SCP1 antibody (ab15090) is a rabbit polyclonal antibody detecting SCP1 in IHC-P, IHC-Fr, ICC/IF. Suitable for Mouse.

- Over 110 publications
- Trusted since 2004

別名を表示する

Scp1, Sycp1, Synaptonemal complex protein 1, SCP-1

4 Images
Immunocytochemistry/ Immunofluorescence - Anti-SCP1 antibody (AB15090)
  • ICC/IF

Unknown

Immunocytochemistry/ Immunofluorescence - Anti-SCP1 antibody (AB15090)

SCP1 labeled in mouse pachytene preparation (red), using ab15090. CDK2 staining, near teleomeres, is also present (green).

Immunohistochemistry (Formalin/PFA-fixed paraffin-embedded sections) - Anti-SCP1 antibody (AB15090)
  • IHC-P

Supplier Data

Immunohistochemistry (Formalin/PFA-fixed paraffin-embedded sections) - Anti-SCP1 antibody (AB15090)

Immunohistochemical analysis of paraffin-embedded Rat testis tissue labeling SCP1 with ab322067 at 1/200 (2.44 ug/ml) dilution, followed by a ready to use LeicaDS9800 (Bond™ Polymer Refine Detection).

Nuclear staining on rat testis.
The image on (A) ab322067 is applied with Anti-SCP1 antibody at 1/200 dilution and (B) ab15090 is applied with Anti-SCP1 antibody at 1/800 dilution.
The section was incubated with ab322067 or ab15090 for 30 mins at room temperature.
The immunostaining was performed on a Leica Biosystems BOND® RX instrument

Counterstained with Hematoxylin.

Secondary antibody only control : Secondary antibody is a ready to use LeicaDS9800 (Bond™ Polymer Refine Detection).

Heat mediated antigen retrieval was performed with Citrate buffer (pH 6.0, Epitope Retrieval Solution 1) for 20 mins

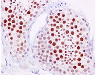
Immunohistochemistry (Formalin/PFA-fixed paraffin-embedded sections) - Anti-SCP1 antibody (AB15090)
  • IHC-P

Supplier Data

Immunohistochemistry (Formalin/PFA-fixed paraffin-embedded sections) - Anti-SCP1 antibody (AB15090)

Immunohistochemical analysis of paraffin-embedded Mouse testis tissue labeling SCP1 with ab322067 at 1/200 (2.44 ug/ml) dilution, followed by a ready to use LeicaDS9800 (Bond™ Polymer Refine Detection).

Nuclear staining on mouse testis.
The image on (A) ab322067 is applied with Anti-SCP1 antibody at 1/200 dilution and (B) ab15090 is applied with Anti-SCP1 antibody at 1/800 dilution.
The section was incubated with ab322067 or ab15090 for 30 mins at room temperature.
The immunostaining was performed on a Leica Biosystems BOND® RX instrument

Counterstained with Hematoxylin.

Secondary antibody only control : Secondary antibody is a ready to use LeicaDS9800 (Bond™ Polymer Refine Detection).

Heat mediated antigen retrieval was performed with Citrate buffer (pH 6.0, Epitope Retrieval Solution 1) for 20 mins

Immunohistochemistry (Formalin/PFA-fixed paraffin-embedded sections) - Anti-SCP1 antibody (AB15090)
  • IHC-P

Unknown

Immunohistochemistry (Formalin/PFA-fixed paraffin-embedded sections) - Anti-SCP1 antibody (AB15090)

Paraffin embeded IHC image of Murine SCP1 in mouse ovary using ab15090 at 1 : 750 dilution and secondary at 1 : 400.

Key facts

宿主種

Rabbit

クローン性

Polyclonal

アイソタイプ

IgG

キャリアフリー

No

交差種

Mouse

アプリケーション

ICC/IF, IHC-P, IHC-Fr

applications

免疫原

Synthetic Peptide within Mouse Sycp1. The exact immunogen used to generate this antibody is proprietary information.

Q62209

Reactivity data

{ "title": "Reactivity Data", "filters": { "stats": ["", "Species", "Dilution Info", "Notes"], "tabs": { "all-applications": {"fullname" : "All Applications", "shortname": "All Applications"}, "IHCP" : {"fullname" : "Immunohistochemistry (Formalin/PFA-fixed paraffin-embedded sections)", "shortname":"IHC-P"}, "ICCIF" : {"fullname" : "Immunocytochemistry/ Immunofluorescence", "shortname":"ICC/IF"}, "IHCFr" : {"fullname" : "Immunohistochemistry (Frozen sections)", "shortname":"IHC-Fr"} }, "product-promise": { "all": "all", "testedAndGuaranteed": "tested", "guaranteed": "expected", "predicted": "predicted", "notRecommended": "not-recommended" } }, "values": { "Mouse": { "IHCP-species-checked": "testedAndGuaranteed", "IHCP-species-dilution-info": "1/750", "IHCP-species-notes": "<p></p>", "ICCIF-species-checked": "testedAndGuaranteed", "ICCIF-species-dilution-info": "1/100 - 1/750", "ICCIF-species-notes": "<p></p>", "IHCFr-species-checked": "guaranteed", "IHCFr-species-dilution-info": "", "IHCFr-species-notes": "<p></p>" } } }

製品の詳細

What is this antibody validated in?
Anti-SCP1 antibody (ab15090) is a rabbit polyclonal antibody and is validated for use in Immunohistochemistry (IHC-P), Immunohistochemistry (IHC-Fr), Immunocytochemistry/immunofluorescence (ICC/IF) in Mouse samples.

Trusted by the scientific community
Anti-SCP1 (ab15090) was first used in a scientific publication in 2004 and has been cited over 110 times in peer-reviewed journals.

出荷温度及び保存条件

製品の状態
Liquid
精製方法
Affinity purification Immunogen
バッファー組成
pH: 7.4 Preservative: 0.1% Sodium azide Constituents: Tris citrate/phosphate
出荷温度
Blue Ice
短期保存期間
1-2 weeks
短期保存温度
+4°C
長期保存温度
-20°C
保管に関する情報
Avoid freeze / thaw cycle

補足情報

This supplementary information is collated from multiple sources and compiled automatically.

SCP1 also known as Small Cajal body-specific phosphatase 1 is a protein that acts as a phosphatase. This protein weighs approximately 33 kDa and is expressed in various tissues particularly in the Golgi apparatus and nucleolar regions. SCP1 functions primarily by removing phosphate groups from phosphoserine or phosphothreonine residues on various substrates which regulates their activity and function.
Biological function summary

SCP1 plays a role in RNA synthesis and processing. It is closely associated with the Cajal body a nuclear organelle involved in RNA biogenesis. Within this complex SCP1 contributes to the maturation of small nuclear ribonucleoproteins (snRNPs) which are essential components of the spliceosomal machinery. This influences how genetic information gets translated into proteins impacting cellular function and responses.

Pathways

SCP1 is integral to both RNA processing and DNA repair mechanisms. Specifically SCP1 participates in the spliceosome pathway interacting with proteins like SMN and coilin which are vital for spliceosome assembly. SCP1 is also linked to the DNA damage response pathway involving other proteins such as ATM and ATR which signal and repair DNA damage to maintain genomic stability.

SCP1 has shown connections to neurological disorders and cancer. In neurodegenerative conditions such as spinal muscular atrophy SCP1 dysregulation affects the SMN protein impacting snRNP assembly. In cancer altered SCP1 activity has been linked to changes in ATM signaling which can lead to unchecked cell growth and division. Understanding SCP1 interactions in these diseases could provide insights into novel therapeutic targets.

製品プロトコール

For this product, it's our understanding that no specific protocols are required. You can visit:

ターゲットの情報

Major component of the transverse filaments of synaptonemal complexes, formed between homologous chromosomes during meiotic prophase (PubMed : 16717126). Required for normal assembly of the central element of the synaptonemal complexes (PubMed : 15937223). Required for normal centromere pairing during meiosis (PubMed : 22761579). Required for normal meiotic chromosome synapsis during oocyte and spermatocyte development and for normal male and female fertility (PubMed : 15937223).
See full target information Sycp1

文献 (121)

Recent publications for all applications. Explore the full list and refine your search

Nature communications 14:6443 PubMed37880249

2023

STRA8-RB interaction is required for timely entry of meiosis in mouse female germ cells.

Applications

ICC/IF

Species

Mouse

Ryuki Shimada,Yuzuru Kato,Naoki Takeda,Sayoko Fujimura,Kei-Ichiro Yasunaga,Shingo Usuki,Hitoshi Niwa,Kimi Araki,Kei-Ichiro Ishiguro

Nature communications 14:5267 PubMed37644029

2023

The non-redundant functions of PIWI family proteins in gametogenesis in golden hamsters.

Applications

Unspecified application

Species

Unspecified reactive species

Xiaolong Lv,Wen Xiao,Yana Lai,Zhaozhen Zhang,Hongdao Zhang,Chen Qiu,Li Hou,Qin Chen,Duanduan Wang,Yun Gao,Yuanyuan Song,Xinjia Shui,Qinghua Chen,Ruixin Qin,Shuang Liang,Wentao Zeng,Aimin Shi,Jianmin Li,Ligang Wu

Nature communications 14:3729 PubMed37349316

2023

Maternal NAT10 orchestrates oocyte meiotic cell-cycle progression and maturation in mice.

Applications

Unspecified application

Species

Unspecified reactive species

Xue Jiang,Yu Cheng,Yuzhang Zhu,Caoling Xu,Qiaodan Li,Xuemei Xing,Wenqing Li,Jiaqi Zou,Lan Meng,Muhammad Azhar,Yuzhu Cao,Xianhong Tong,Weibing Qin,Xiaoli Zhu,Jianqiang Bao

Development (Cambridge, England) 150: PubMed37082953

2023

The DOT1L-MLLT10 complex regulates male fertility and promotes histone removal during spermiogenesis.

Applications

Unspecified application

Species

Unspecified reactive species

Huijuan Lin,Isabella G Cossu,N Adrian Leu,Aniruddha J Deshpande,Kathrin M Bernt,Mengcheng Luo,P Jeremy Wang

Genes 14: PubMed37239382

2023

Chromosome Asynapsis Is the Main Cause of Male Sterility in the Interspecies Hybrids of East Asian Voles (, Rodentia, Arvicolinae).

Applications

Unspecified application

Species

Unspecified reactive species

Tatiana Bikchurina,Marina Pavlenko,Elena Kizilova,Daria Rubtsova,Irina Sheremetyeva,Irina Kartavtseva,Anna Torgasheva,Pavel Borodin

Nature communications 14:2499 PubMed37120627

2023

Single-cell RNA-seq uncovers dynamic processes orchestrated by RNA-binding protein DDX43 in chromatin remodeling during spermiogenesis.

Applications

Unspecified application

Species

Unspecified reactive species

Huanhuan Tan,Weixu Wang,Congjin Zhou,Yanfeng Wang,Shu Zhang,Pinglan Yang,Rui Guo,Wei Chen,Jinwen Zhang,Lan Ye,Yiqiang Cui,Ting Ni,Ke Zheng

Nature communications 14:1715 PubMed36973253

2023

Distinct dynein complexes defined by DYNLRB1 and DYNLRB2 regulate mitotic and male meiotic spindle bipolarity.

Applications

Unspecified application

Species

Unspecified reactive species

Shuwen He,John P Gillies,Juliana L Zang,Carmen M Córdoba-Beldad,Io Yamamoto,Yasuhiro Fujiwara,Julie Grantham,Morgan E DeSantis,Hiroki Shibuya

Nucleic acids research 51:3855-3868 PubMed36938872

2023

SPIDR is required for homologous recombination during mammalian meiosis.

Applications

Unspecified application

Species

Unspecified reactive species

Tao Huang,Xinyue Wu,Shiyu Wang,Ziyou Bao,Yanling Wan,Ziqi Wang,Mengjing Li,Xiaochen Yu,Yue Lv,Zhaojian Liu,Xiangfeng Chen,Wai-Yee Chan,Fei Gao,Gang Lu,Zi-Jiang Chen,Hongbin Liu

eLife 12: PubMed36942942

2023

The Slingshot phosphatase 2 is required for acrosome biogenesis during spermatogenesis in mice.

Applications

Unspecified application

Species

Unspecified reactive species

Ke Xu,Xianwei Su,Kailun Fang,Yue Lv,Tao Huang,Mengjing Li,Ziqi Wang,Yingying Yin,Tahir Muhammad,Shangming Liu,Xiangfeng Chen,Jing Jiang,Jinsong Li,Wai-Yee Chan,Jinlong Ma,Gang Lu,Zi-Jiang Chen,Hongbin Liu

Protein & cell 14:51-63 PubMed36726756

2023

RBM46 is essential for gametogenesis and functions in post-transcriptional roles affecting meiotic cohesin subunits.

Applications

Unspecified application

Species

Unspecified reactive species

Yue Lv,Gang Lu,Yuling Cai,Ruibao Su,Liang Liang,Xin Wang,Wenyu Mu,Xiuqing He,Tao Huang,Jinlong Ma,Yueran Zhao,Zi-Jiang Chen,Yuanchao Xue,Hongbin Liu,Wai-Yee Chan
View all publications

Abcam product promise

当社は、高品質な試薬を通じてお客様の研究を力強くサポートすることをお約束いたします。ご使用いただく各段階で、常にお客様をサポートできる体制を整えております。万が一、製品が期待通りに機能しない場合は、「Abcam Product Promise」による当社保証制度に基づき、安心してご利用いただけます。
保証に関する詳細については利用規約をご確認ください。

Please note: All products are 'FOR RESEARCH USE ONLY. NOT FOR USE IN DIAGNOSTIC OR THERAPEUTIC PROCEDURES'.

For licensing inquiries, please contact partnerships@abcam.com