JavaScript is disabled in your browser. Please enable JavaScript to view this website.
AB316326

Anti-SCN11A 抗体 [EPR28603-86]

Anti-SCN11A antibody [EPR28603-86]

  • BOND RX™ Validated
  • 20ul selling size
  • Recombinant
  • RabMAb
  • 詳細を見る

Be the first to review this product! Submit a review

|

(0 Publication)

Rabbit Recombinant Monoclonal SCNBA antibody. Suitable for IHC-P and reacts with Human samples.

別名を表示する

SCN12A, SNS2, SCN11A, Sodium channel protein type 11 subunit alpha, Peripheral nerve sodium channel 5, Sensory neuron sodium channel 2, Sodium channel protein type XI subunit alpha, Voltage-gated sodium channel subunit alpha Nav1.9, hNaN, PN5

3 Images
Immunohistochemistry (Formalin/PFA-fixed paraffin-embedded sections) - Anti-SCN11A antibody [EPR28603-86] (AB316326)
  • IHC-P

Supplier Data

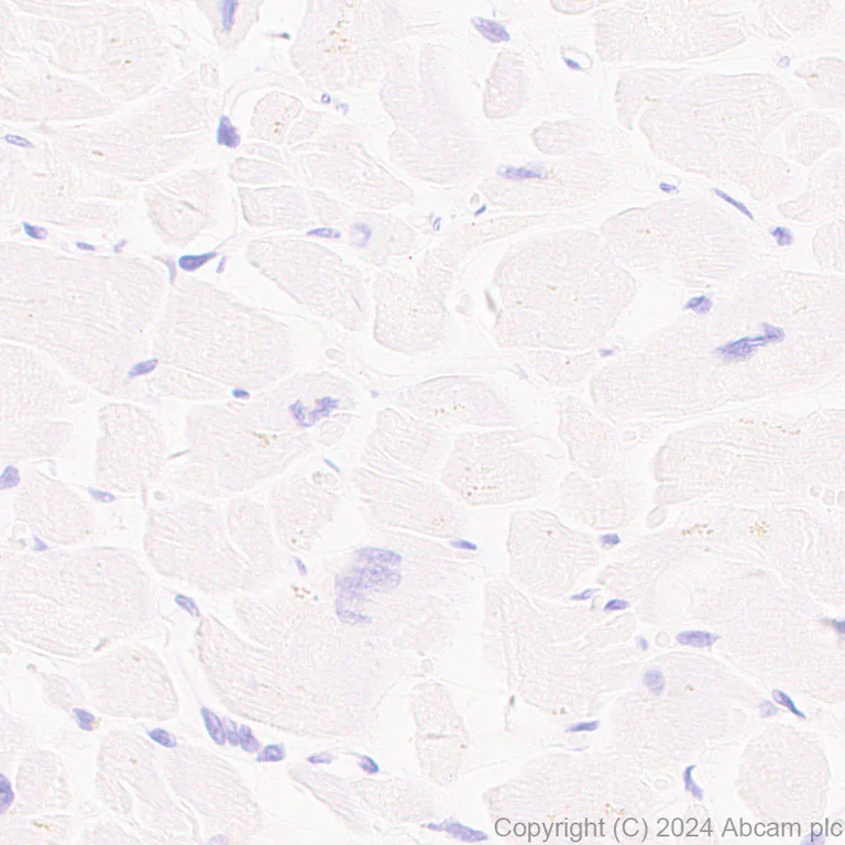
Immunohistochemistry (Formalin/PFA-fixed paraffin-embedded sections) - Anti-SCN11A antibody [EPR28603-86] (AB316326)

Immunohistochemical analysis of paraffin-embedded Human cardiac muscle tissue labeling SCN11A with ab316326 at 1/1000 (0.49 ug/ml) dilution, followed by a ready to use LeicaDS9800 (Bond™ Polymer Refine Detection).

Negative control : No staining on human cardiac muscle.
The section was incubated with ab316326 for 30 mins at room temperature.
The immunostaining was performed on a Leica Biosystems BOND® RX instrument

Counterstained with Hematoxylin.

Secondary antibody only control : Secondary antibody is a ready to use LeicaDS9800 (Bond™ Polymer Refine Detection).

Heat mediated antigen retrieval was performed with Tris-EDTA buffer (pH 9.0, Epitope Retrieval Solution2) for 20 mins

Immunohistochemistry (Formalin/PFA-fixed paraffin-embedded sections) - Anti-SCN11A antibody [EPR28603-86] (AB316326)
  • IHC-P

Supplier Data

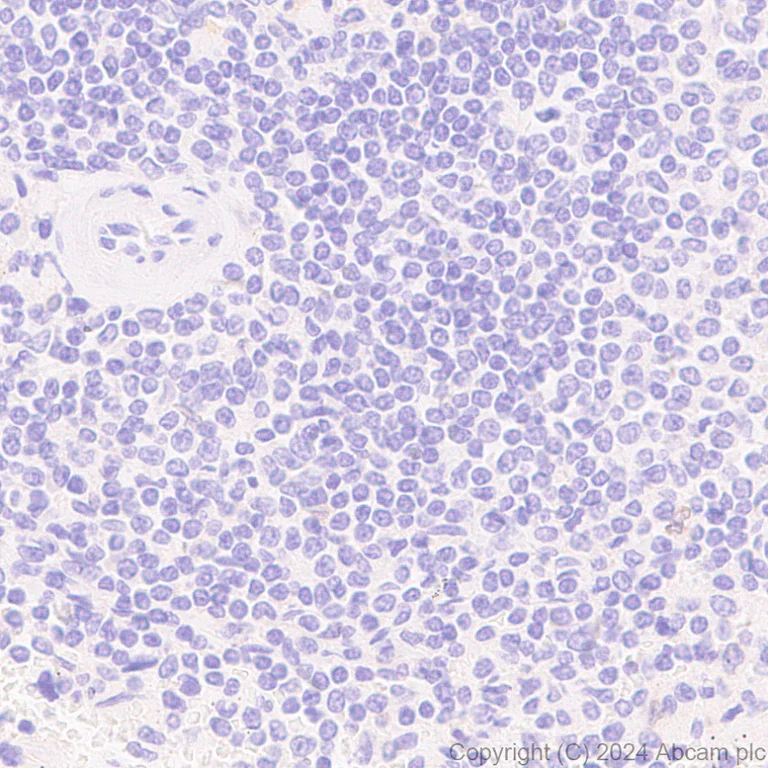
Immunohistochemistry (Formalin/PFA-fixed paraffin-embedded sections) - Anti-SCN11A antibody [EPR28603-86] (AB316326)

Immunohistochemical analysis of paraffin-embedded Human spleen tissue labeling SCN11A with ab316326 at 1/1000 (0.49 ug/ml) dilution, followed by a ready to use LeicaDS9800 (Bond™ Polymer Refine Detection).

Negative control : No staining on human spleen.
The section was incubated with ab316326 for 30 mins at room temperature.
The immunostaining was performed on a Leica Biosystems BOND® RX instrument

Counterstained with Hematoxylin.

Secondary antibody only control : Secondary antibody is a ready to use LeicaDS9800 (Bond™ Polymer Refine Detection).

Heat mediated antigen retrieval was performed with Tris-EDTA buffer (pH 9.0, Epitope Retrieval Solution2) for 20 mins

Immunohistochemistry (Formalin/PFA-fixed paraffin-embedded sections) - Anti-SCN11A antibody [EPR28603-86] (AB316326)
  • IHC-P

Supplier Data

Immunohistochemistry (Formalin/PFA-fixed paraffin-embedded sections) - Anti-SCN11A antibody [EPR28603-86] (AB316326)

Immunohistochemical analysis of paraffin-embedded Human dorsal root ganglion tissue labeling SCN11A with ab316326 at 1/1000 (0.49 ug/ml) dilution, followed by a ready to use LeicaDS9800 (Bond™ Polymer Refine Detection).

Positive staining on small-sized neurons of human dorsal root ganglion (PMID : 31293388).
The section was incubated with ab316326 for 30 mins at room temperature.
The immunostaining was performed on a Leica Biosystems BOND® RX instrument

Counterstained with Hematoxylin.

Secondary antibody only control : Secondary antibody is a ready to use LeicaDS9800 (Bond™ Polymer Refine Detection).

Heat mediated antigen retrieval was performed with Tris-EDTA buffer (pH 9.0, Epitope Retrieval Solution2) for 20 mins

関連する標識済み抗体及び組成の異なる製品 (1)

  • Carrier free

    Anti-SCN11A antibody [EPR28603-86] - BSA and Azide free

Key facts

宿主種

Rabbit

クローン性

Monoclonal

クローン番号

EPR28603-86

アイソタイプ

IgG

キャリアフリー

No

交差種

Human

アプリケーション

IHC-P

applications

免疫原

The exact immunogen used to generate this antibody is proprietary information.

Reactivity data

{ "title": "Reactivity Data", "filters": { "stats": ["", "Species", "Dilution Info", "Notes"], "tabs": { "all-applications": {"fullname" : "All Applications", "shortname": "All Applications"}, "IHCP" : {"fullname" : "Immunohistochemistry (Formalin/PFA-fixed paraffin-embedded sections)", "shortname":"IHC-P"}, "WB" : {"fullname" : "Western blot", "shortname":"WB"}, "ICCIF" : {"fullname" : "Immunocytochemistry/ Immunofluorescence", "shortname":"ICC/IF"}, "FlowCyt" : {"fullname" : "Flow Cytometry", "shortname":"Flow Cyt"}, "IP" : {"fullname" : "Immunoprecipitation", "shortname":"IP"}, "IHCFr" : {"fullname" : "Immunohistochemistry (Frozen sections)", "shortname":"IHC-Fr"} }, "product-promise": { "all": "all", "testedAndGuaranteed": "tested", "guaranteed": "expected", "predicted": "predicted", "notRecommended": "not-recommended" } }, "values": { "Human": { "IHCP-species-checked": "testedAndGuaranteed", "IHCP-species-dilution-info": "1/1000", "IHCP-species-notes": "<p></p> Perform heat-mediated antigen retrieval with Tris/EDTA buffer pH 9.0 before commencing with IHC staining protocol.", "WB-species-checked": "notRecommended", "WB-species-dilution-info": "", "WB-species-notes": "<p></p>", "ICCIF-species-checked": "notRecommended", "ICCIF-species-dilution-info": "", "ICCIF-species-notes": "<p></p>", "FlowCyt-species-checked": "notRecommended", "FlowCyt-species-dilution-info": "", "FlowCyt-species-notes": "<p></p>", "IP-species-checked": "notRecommended", "IP-species-dilution-info": "", "IP-species-notes": "<p></p>", "IHCFr-species-checked": "notRecommended", "IHCFr-species-dilution-info": "", "IHCFr-species-notes": "" }, "Mouse": { "IHCP-species-checked": "notRecommended", "IHCP-species-dilution-info": "", "IHCP-species-notes": "<p></p>", "WB-species-checked": "notRecommended", "WB-species-dilution-info": "", "WB-species-notes": "<p></p>", "ICCIF-species-checked": "notRecommended", "ICCIF-species-dilution-info": "", "ICCIF-species-notes": "", "FlowCyt-species-checked": "notRecommended", "FlowCyt-species-dilution-info": "", "FlowCyt-species-notes": "", "IP-species-checked": "notRecommended", "IP-species-dilution-info": "", "IP-species-notes": "", "IHCFr-species-checked": "notRecommended", "IHCFr-species-dilution-info": "", "IHCFr-species-notes": "<p></p>" }, "Rat": { "IHCP-species-checked": "notRecommended", "IHCP-species-dilution-info": "", "IHCP-species-notes": "<p></p>", "WB-species-checked": "notRecommended", "WB-species-dilution-info": "", "WB-species-notes": "<p></p>", "ICCIF-species-checked": "notRecommended", "ICCIF-species-dilution-info": "", "ICCIF-species-notes": "", "FlowCyt-species-checked": "notRecommended", "FlowCyt-species-dilution-info": "", "FlowCyt-species-notes": "", "IP-species-checked": "notRecommended", "IP-species-dilution-info": "", "IP-species-notes": "", "IHCFr-species-checked": "notRecommended", "IHCFr-species-dilution-info": "", "IHCFr-species-notes": "" } } }

製品の詳細

Patented technology
Our RabMAb® technology is a patented hybridoma-based technology for making rabbit monoclonal antibodies. For details on our patents, please refer to RabMAb® patents.

What are the advantages of a recombinant monoclonal antibody?
This product is a recombinant monoclonal antibody, which offers several advantages including:

  • - High batch-to-batch consistency and reproducibility
  • - Improved sensitivity and specificity
  • - Long-term security of supply
  • - Animal-free batch production

For more information, read more on recombinant antibodies.

出荷温度及び保存条件

製品の状態
Liquid
精製方法
Affinity purification Protein A
バッファー組成
pH: 7.2 - 7.4 Preservative: 0.01% Sodium azide Constituents: PBS, 40% Glycerol (glycerin, glycerine), 0.05% BSA
出荷温度
Blue Ice
短期保存期間
1-2 weeks
短期保存温度
+4°C
長期保存温度
-20°C
分注に関する情報
Upon delivery aliquot
保管に関する情報
Avoid freeze / thaw cycle

補足情報

This supplementary information is collated from multiple sources and compiled automatically.

SCN11A also known as Nav1.9 is a voltage-gated sodium channel expressed in peripheral sensory neurons particularly in the dorsal root ganglion and trigeminal ganglion. The protein has an approximate mass of 207 kDa. SCN11A plays an important role in generating and propagating action potentials by allowing sodium ions to enter the cell. This ion influx is important for neuronal excitability and pain signal transmission. Expression of SCN11A is known to be increased in response to certain inflammatory processes and may contribute to pain perception.
Biological function summary

SCN11A contributes to the modulation of neuronal excitability and pain pathways. The channel participates in adjusting the resting membrane potential and firing threshold of neurons. It is hypothesized to function independently rather than as part of a larger protein complex. SCN11A influences the intensity and duration of pain signals affecting the perception of both acute and chronic pain. Its regulation is essential for proper sensory neuron functioning.

Pathways

SCN11A is involved in the nociceptive pain pathway which is responsible for the sensation of pain due to tissue injury. It interacts with other sodium channels such as Nav1.8 to fine-tune pain signaling under various physiological and pathological conditions. Additionally SCN11A is linked to the inflammatory response pathway where its expression can be modulated by pro-inflammatory cytokines. This interaction underlines the channel’s role in mediating neuropathic and inflammatory pain.

SCN11A is associated with neuropathic pain and familial episodic pain syndrome. Mutations in SCN11A can lead to altered channel function resulting in enhanced pain sensitivity or spontaneous pain episodes. The channel's dysfunction is also observed in conditions involving Nav1.7 another sodium channel implicated in pain disorders. Understanding the role of SCN11A in these conditions can provide insights into therapeutic targets for pain management and relief.

製品プロトコール

For this product, it's our understanding that no specific protocols are required. You can visit:

ターゲットの情報

Sodium channel mediating the voltage-dependent sodium ion permeability of excitable membranes. Assuming opened or closed conformations in response to the voltage difference across the membrane, the protein forms a sodium-selective channel through which sodium ions may pass in accordance with their electrochemical gradient (PubMed : 10580103, PubMed : 12384689, PubMed : 24036948, PubMed : 24776970, PubMed : 25791876, PubMed : 26645915). Involved in membrane depolarization during action potential in nociceptors which function as key relay stations for the electrical transmission of pain signals from the periphery to the central nervous system (PubMed : 24036948, PubMed : 24776970, PubMed : 25791876, PubMed : 26645915). Also involved in rapid BDNF-evoked neuronal depolarization (PubMed : 12384689).
See full target information SCN11A

Abcam product promise

当社は、高品質な試薬を通じてお客様の研究を力強くサポートすることをお約束いたします。ご使用いただく各段階で、常にお客様をサポートできる体制を整えております。万が一、製品が期待通りに機能しない場合は、「Abcam Product Promise」による当社保証制度に基づき、安心してご利用いただけます。
保証に関する詳細については利用規約をご確認ください。

Please note: All products are 'FOR RESEARCH USE ONLY. NOT FOR USE IN DIAGNOSTIC OR THERAPEUTIC PROCEDURES'.

For licensing inquiries, please contact partnerships@abcam.com