JavaScript is disabled in your browser. Please enable JavaScript to view this website.
AB211362

Anti-SCGN/Secretagogin 抗体

Anti-SCGN/Secretagogin antibody

Be the first to review this product! Submit a review

|

(1 Publication)

Rabbit Polyclonal SCGN/Secretagogin antibody. Suitable for IHC-P, WB and reacts with Mouse, Human samples. Cited in 1 publication. Immunogen corresponding to Recombinant Fragment Protein within Human SCGN aa 100 to C-terminus.

別名を表示する

SECRET, SCGN, Secretagogin

8 Images
Immunohistochemistry (Formalin/PFA-fixed paraffin-embedded sections) - Anti-SCGN/Secretagogin antibody (AB211362)
  • IHC-P

Supplier Data

Immunohistochemistry (Formalin/PFA-fixed paraffin-embedded sections) - Anti-SCGN/Secretagogin antibody (AB211362)

Immunohistochemical analysis of human cerebellum tissue labeling SCGN/Secretagogin in the nucleus of cells in molecular layer with ab211362 at a 1/500 dilution.

Performed heat mediated antigen retrieval with citrate buffer pH 6 before commencing with IHC staining protocol.

Immunohistochemistry (Formalin/PFA-fixed paraffin-embedded sections) - Anti-SCGN/Secretagogin antibody (AB211362)
  • IHC-P

Supplier Data

Immunohistochemistry (Formalin/PFA-fixed paraffin-embedded sections) - Anti-SCGN/Secretagogin antibody (AB211362)

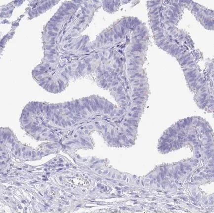
Immunohistochemical analysis of human Fallopian tube tissue labeling SCGN/Secretagogin with ab211362 at a 1/500 dilution. No positivity as expected.

Performed heat mediated antigen retrieval with citrate buffer pH 6 before commencing with IHC staining protocol.

Immunohistochemistry (Formalin/PFA-fixed paraffin-embedded sections) - Anti-SCGN/Secretagogin antibody (AB211362)
  • IHC-P

Supplier Data

Immunohistochemistry (Formalin/PFA-fixed paraffin-embedded sections) - Anti-SCGN/Secretagogin antibody (AB211362)

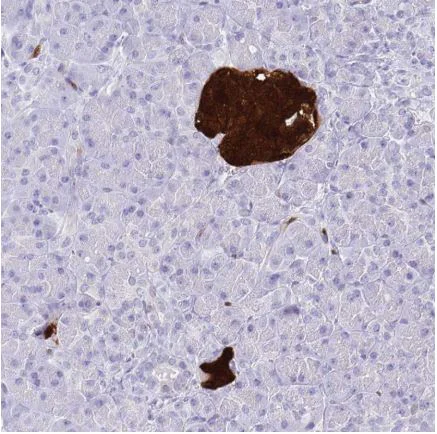
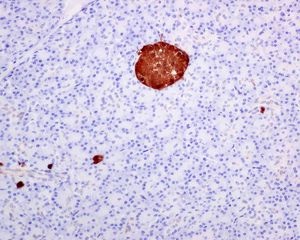
Immunohistochemical analysis of human pancreas tissue labeling SCGN/Secretagogin in the cytoplasm and nucleus of Langerhans islets with ab211362 at a 1/500 dilution.

Performed heat mediated antigen retrieval with citrate buffer pH 6 before commencing with IHC staining protocol.

Immunohistochemistry (Formalin/PFA-fixed paraffin-embedded sections) - Anti-SCGN/Secretagogin antibody (AB211362)
  • IHC-P

Supplier Data

Immunohistochemistry (Formalin/PFA-fixed paraffin-embedded sections) - Anti-SCGN/Secretagogin antibody (AB211362)

Immunohistochemical analysis of mouse hypothalamus tissue labeling SCGN/Secretagogin in the paraventricular hypothalamic nucleus with ab211362 at a 1/500 dilution, followed by a fluorescent secondary antibody.

Performed heat mediated antigen retrieval with citrate buffer pH 6 before commencing with IHC staining protocol.

Immunohistochemistry (Formalin/PFA-fixed paraffin-embedded sections) - Anti-SCGN/Secretagogin antibody (AB211362)
  • IHC-P

Supplier Data

Immunohistochemistry (Formalin/PFA-fixed paraffin-embedded sections) - Anti-SCGN/Secretagogin antibody (AB211362)

Immunohistochemical analysis of mouse olfactory bulb tissue labeling SCGN/Secretagogin in the glomerular layer nucleus with ab211362 at a 1/500 dilution, followed by a fluorescent secondary antibody.

Performed heat mediated antigen retrieval with citrate buffer pH 6 before commencing with IHC staining protocol.

Western blot - Anti-SCGN/Secretagogin antibody (AB211362)
  • WB

Supplier Data

Western blot - Anti-SCGN/Secretagogin antibody (AB211362)

All lanes:

Western blot - Anti-SCGN/Secretagogin antibody (ab211362) at 0.4 µg/mL

All lanes:

Human cerebellum tissue

Predicted band size: 32 kDa

false

Immunohistochemistry (Formalin/PFA-fixed paraffin-embedded sections) - Anti-SCGN/Secretagogin antibody (AB211362)
  • IHC-P

Supplier Data

Immunohistochemistry (Formalin/PFA-fixed paraffin-embedded sections) - Anti-SCGN/Secretagogin antibody (AB211362)

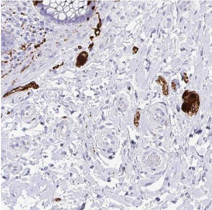
Immunohistochemical analysis of human rectum tissue labeling SCGN/Secretagogin in the cytoplasm of peripheral nerve/ganglion with ab211362 at a 1/500 dilution.

Performed heat mediated antigen retrieval with citrate buffer pH 6 before commencing with IHC staining protocol.

Immunohistochemistry (Formalin/PFA-fixed paraffin-embedded sections) - Anti-SCGN/Secretagogin antibody (AB211362)
  • IHC-P

Supplier Data

Immunohistochemistry (Formalin/PFA-fixed paraffin-embedded sections) - Anti-SCGN/Secretagogin antibody (AB211362)

Immunohistochemical analysis of mouse brain tissue labeling SCGN/Secretagogin in the fasciola cinereum with ab211362 at a 1/500 dilution, followed by a fluorescent secondary antibody.

Performed heat mediated antigen retrieval with citrate buffer pH 6 before commencing with IHC staining protocol.

Key facts

宿主種

Rabbit

クローン性

Polyclonal

アイソタイプ

IgG

キャリアフリー

No

交差種

Mouse, Human

アプリケーション

WB, IHC-P

applications

免疫原

Recombinant Fragment Protein within Human SCGN aa 100 to C-terminus. The exact immunogen used to generate this antibody is proprietary information.

O76038

Reactivity data

{ "title": "Reactivity Data", "filters": { "stats": ["", "Species", "Dilution Info", "Notes"], "tabs": { "all-applications": {"fullname" : "All Applications", "shortname": "All Applications"}, "IHCP" : {"fullname" : "Immunohistochemistry (Formalin/PFA-fixed paraffin-embedded sections)", "shortname":"IHC-P"}, "WB" : {"fullname" : "Western blot", "shortname":"WB"} }, "product-promise": { "all": "all", "testedAndGuaranteed": "tested", "guaranteed": "expected", "predicted": "predicted", "notRecommended": "not-recommended" } }, "values": { "Human": { "IHCP-species-checked": "testedAndGuaranteed", "IHCP-species-dilution-info": "1/500 - 1/1000", "IHCP-species-notes": "<p></p> Perform heat-mediated antigen retrieval with citrate buffer pH 6 before commencing with IHC staining protocol.", "WB-species-checked": "testedAndGuaranteed", "WB-species-dilution-info": "0.04-0.4 µg/mL", "WB-species-notes": "<p></p>" }, "Mouse": { "IHCP-species-checked": "testedAndGuaranteed", "IHCP-species-dilution-info": "1/500 - 1/1000", "IHCP-species-notes": "<p></p> Perform heat-mediated antigen retrieval with citrate buffer pH 6 before commencing with IHC staining protocol.", "WB-species-checked": "guaranteed", "WB-species-dilution-info": "", "WB-species-notes": "" }, "Rat": { "IHCP-species-checked": "predicted", "IHCP-species-dilution-info": "", "IHCP-species-notes": "", "WB-species-checked": "predicted", "WB-species-dilution-info": "", "WB-species-notes": "" }, "Cow": { "IHCP-species-checked": "predicted", "IHCP-species-dilution-info": "", "IHCP-species-notes": "", "WB-species-checked": "predicted", "WB-species-dilution-info": "", "WB-species-notes": "" }, "Pig": { "IHCP-species-checked": "predicted", "IHCP-species-dilution-info": "", "IHCP-species-notes": "", "WB-species-checked": "predicted", "WB-species-dilution-info": "", "WB-species-notes": "" } } }

出荷温度及び保存条件

製品の状態
Liquid
精製方法
Affinity purification Immunogen
バッファー組成
pH: 7.2 Preservative: 0.02% Sodium azide Constituents: PBS, 40% Glycerol (glycerin, glycerine)
出荷温度
Blue Ice
短期保存期間
1-2 weeks
短期保存温度
+4°C
長期保存温度
-20°C
分注に関する情報
Upon delivery aliquot
保管に関する情報
Avoid freeze / thaw cycle

補足情報

This supplementary information is collated from multiple sources and compiled automatically.

SCGN also known as Secretagogin is a calcium-binding protein with a molecular weight of approximately 33 kDa. It belongs to the family of EF-hand superfamily proteins which is known for its role in various cellular processes. Secretagogin predominantly expresses in neuroendocrine tissues such as the pancreas and central nervous system where it binds calcium and possibly modulates its signaling. It has drawn interest due to its distinctive expression pattern and potential role in regulated secretion.
Biological function summary

The role of Secretagogin extends beyond simple calcium binding. It participates in managing cytoskeleton dynamics through its ability to bind calcium impacting processes like vesicle trafficking. Although not part of a standard protein complex Secretagogin interacts with other cytoskeletal proteins and may influence the release of hormones. Its role in neurotransmission and insulin secretion showcases its significance in both the nervous and endocrine systems.

Pathways

Secretagogin interacts within signaling networks such as the calcium-signaling and insulin-secretion pathways. It has established relationships with other proteins like actin influencing cellular architecture and trafficking. Through these pathways Secretagogin appears instrumental in processes involving rapid response times such as neurotransmitter release or hormone secretion often acting in conjunction with or supporting other calcium-binding proteins.

Secretagogin has connections to diabetes and certain neuroendocrine tumors. Its involvement in insulin secretion makes it relevant in the context of diabetes where it might interact with malfunctioning insulin-related proteins. Additionally in neuroendocrine tumors altered Secretagogin expression could be linked with oncogenic processes as it shares pathways with proteins involved in cell-cycle regulation. Understanding these associations can aid in identifying potential therapeutic targets or biomarkers for these diseases.

製品プロトコール

For this product, it's our understanding that no specific protocols are required. You can visit:

ターゲットの情報

See full target information SCGN

文献 (1)

Recent publications for all applications. Explore the full list and refine your search

Cell biology and toxicology 37:35-49 PubMed32399910

2020

Short-form RON (sf-RON) enhances glucose metabolism to promote cell proliferation via activating β-catenin/SIX1 signaling pathway in gastric cancer.

Applications

Unspecified application

Species

Unspecified reactive species

Ziliang Wang,Yufei Yang,Shuang Hu,Jian He,Zheng Wu,Zihao Qi,Mingzhu Huang,Rujiao Liu,Ying Lin,Cong Tan,Midie Xu,Zhe Zhang
View all publications

Abcam product promise

当社は、高品質な試薬を通じてお客様の研究を力強くサポートすることをお約束いたします。ご使用いただく各段階で、常にお客様をサポートできる体制を整えております。万が一、製品が期待通りに機能しない場合は、「Abcam Product Promise」による当社保証制度に基づき、安心してご利用いただけます。
保証に関する詳細については利用規約をご確認ください。

Please note: All products are 'FOR RESEARCH USE ONLY. NOT FOR USE IN DIAGNOSTIC OR THERAPEUTIC PROCEDURES'.

For licensing inquiries, please contact partnerships@abcam.com