JavaScript is disabled in your browser. Please enable JavaScript to view this website.
AB68167

Anti-Sarcomeric Alpha Actinin 抗体 [EP2529Y]

Anti-Sarcomeric Alpha Actinin antibody [EP2529Y]

5

(9 Reviews)

|

(100 Publications)

Anti-Sarcomeric Alpha Actinin antibody [EP2529Y] (ab68167) is a rabbit monoclonal antibody detecting Sarcomeric Alpha Actinin in Western Blot, IP, IHC-P. Suitable for Human, Mouse, Rat.

- Biophysical QC for unrivalled batch-batch consistency
- Over 60 publications
- Trusted since 2008

別名を表示する

Alpha-actinin-2, Alpha-actinin skeletal muscle isoform 2, F-actin cross-linking protein, ACTN2

10 Images
Immunohistochemistry (Formalin/PFA-fixed paraffin-embedded sections) - Anti-Sarcomeric Alpha Actinin antibody [EP2529Y] (AB68167)
  • IHC-P

Unknown

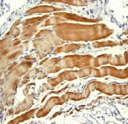
Immunohistochemistry (Formalin/PFA-fixed paraffin-embedded sections) - Anti-Sarcomeric Alpha Actinin antibody [EP2529Y] (AB68167)

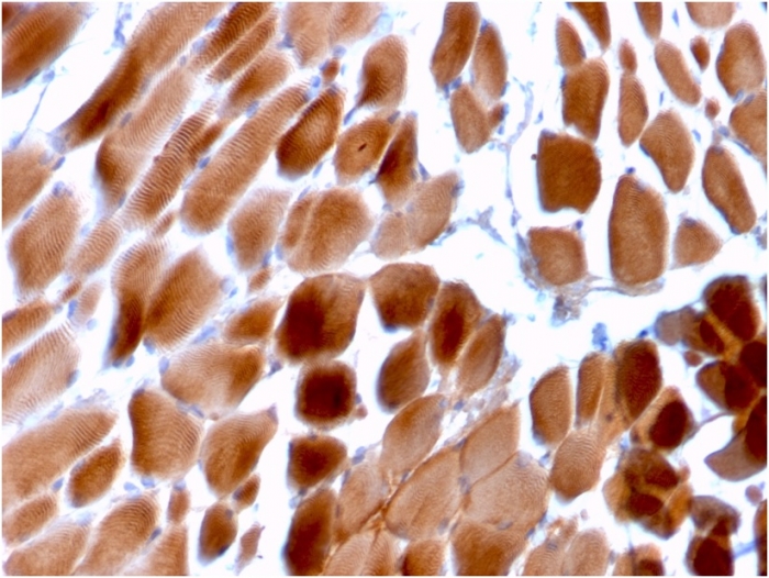
Immunohistochemistry (Formalin/PFA-fixed paraffin-embedded sections) analysis of human muscle tissue labelling Sarcomeric Alpha Actin with unpurified ab68167 at a dilution of 1/100.

Perform heat mediated antigen retrieval before commencing with IHC staining protocol.

Immunohistochemistry (Formalin/PFA-fixed paraffin-embedded sections) - Anti-Sarcomeric Alpha Actinin antibody [EP2529Y] (AB68167)
  • IHC-P

Lab

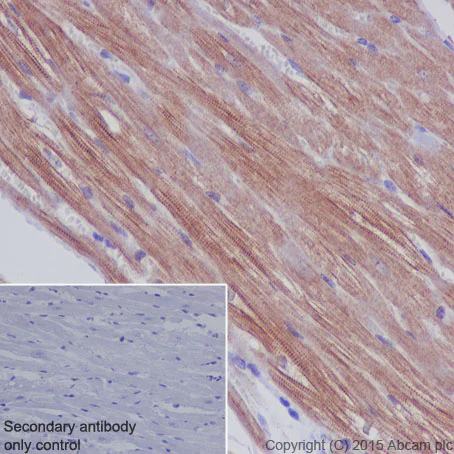
Immunohistochemistry (Formalin/PFA-fixed paraffin-embedded sections) - Anti-Sarcomeric Alpha Actinin antibody [EP2529Y] (AB68167)

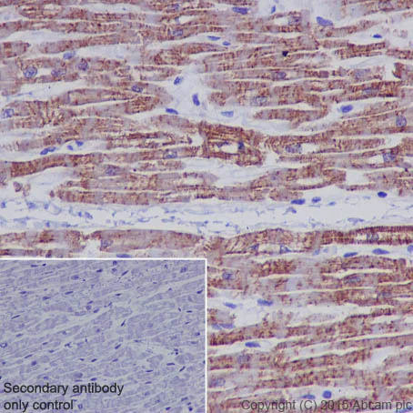
Immunohistochemical analysis of formalin fixed paraffin embedded human heart labelling sarcomeric alpha actinin with ab68167 at a concentration of 0.1µg/ml. The immunostaining was performed on a Ventana DISCOVERY ULTRA (Roche Tissue Diagnostics) instrument with a OptiView DAB IHC Detection Kit. Heat mediated antigen retrieval was performed with DISCOVERY cell conditioning solution (CC1) 100°C, pH8.5 for 32mins.

ab68167 anti-sarcomeric alpha actinin antibody [EP2529Y] was incubated for 16mins at 37°C. Sections were counterstained with Hematoxylin II. Image inset shows absence of staining in secondary antibody only control.

Customers are encouraged to optimise antigen retrieval conditions, antibody concentration, incubation times and temperature for best results in their own IHC assay workflow (automated and manual)

Immunohistochemistry (Formalin/PFA-fixed paraffin-embedded sections) - Anti-Sarcomeric Alpha Actinin antibody [EP2529Y] (AB68167)
  • IHC-P

Unknown

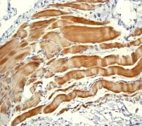
Immunohistochemistry (Formalin/PFA-fixed paraffin-embedded sections) - Anti-Sarcomeric Alpha Actinin antibody [EP2529Y] (AB68167)

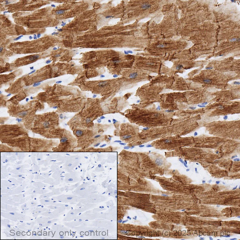
Immunohistochemistry (Formalin/PFA-fixed paraffin-embedded sections) analysis of human cardiac muscle tissue labelling Sarcomeric Alpha Actinin with purified ab68167 at 1/100. Heat mediated antigen retrieval was performed using Tris/EDTA buffer pH 9. ab97051, a HRP-conjugated goat anti-rabbit IgG (H+L) was used as the secondary antibody (1/500). Negative control using PBS instead of primary antibody. Counterstained with hematoxylin.

Immunoprecipitation - Anti-Sarcomeric Alpha Actinin antibody [EP2529Y] (AB68167)
  • IP

Unknown

Immunoprecipitation - Anti-Sarcomeric Alpha Actinin antibody [EP2529Y] (AB68167)

ab68167 (purified) at 1/20 immunoprecipitating Sarcomeric Alpha Actinin in HepG2 whole cell lysate.

Lane 1 (input) : HepG2 whole cell lysate (10μg)

Lane 2 (+) : ab68167 + HepG2 whole cell lysate.

Lane 3 (-) : Rabbit monoclonal IgG (ab172730) instead of ab68167 in HepG2 whole cell lysate.

For western blotting, VeriBlot for IP Detection Reagent (HRP) (ab131366), was used for detection at 1/10,000 dilution.

Blocking buffer and concentration : 5% NFDM/TBST.

Diluting buffer and concentration : 5% NFDM /TBST.

All lanes:

Immunoprecipitation - Anti-Sarcomeric Alpha Actinin antibody [EP2529Y] (ab68167) at 1/20 dilution

Lane 1:

HepG2 whole cell lysate at 10 µg

Lane 2:

ab68167 + HepG2 whole cell lysate at 10 µg

Lane 3:

Rabbit monoclonal IgG (<a href='/products/primary-antibodies/rabbit-igg-monoclonal-epr25a-isotype-control-ab172730'>ab172730</a>) instead of ab68167 in HepG2 whole cell lysate

Predicted band size: 103 kDa

Observed band size: 103 kDa

false

Immunohistochemistry (Formalin/PFA-fixed paraffin-embedded sections) - Anti-Sarcomeric Alpha Actinin antibody [EP2529Y] (AB68167)
  • IHC-P

Unknown

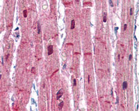
Immunohistochemistry (Formalin/PFA-fixed paraffin-embedded sections) - Anti-Sarcomeric Alpha Actinin antibody [EP2529Y] (AB68167)

Immunohistochemistry (Formalin/PFA-fixed paraffin-embedded sections) analysis of mouse cardiac muscle tissue labelling Sarcomeric Alpha Actinin with purified ab68167 at 1/100. Heat mediated antigen retrieval was performed using Tris/EDTA buffer pH 9. ab97051, a HRP-conjugated goat anti-rabbit IgG (H+L) was used as the secondary antibody (1/500). Negative control using PBS instead of primary antibody. Counterstained with hematoxylin.

Western blot - Anti-Sarcomeric Alpha Actinin antibody [EP2529Y] (AB68167)
  • WB

Lab

Western blot - Anti-Sarcomeric Alpha Actinin antibody [EP2529Y] (AB68167)

Blocking and dilution buffer : 5% NFDM /TBST.

All lanes:

Western blot - Anti-Sarcomeric Alpha Actinin antibody [EP2529Y] (ab68167) at 1/20000 dilution

All lanes:

Human fetal heart tissue lysate at 10 µg

Secondary

All lanes:

Western blot - Goat Anti-Rabbit IgG H&L (HRP) (<a href='/products/secondary-antibodies/goat-rabbit-igg-h-l-hrp-ab97051'>ab97051</a>) at 1/100000 dilution

Predicted band size: 103 kDa

Observed band size: 103 kDa

false

Western blot - Anti-Sarcomeric Alpha Actinin antibody [EP2529Y] (AB68167)
  • WB

Lab

Western blot - Anti-Sarcomeric Alpha Actinin antibody [EP2529Y] (AB68167)

Blocking and dilution buffer : 5% NFDM /TBST.

All lanes:

Western blot - Anti-Sarcomeric Alpha Actinin antibody [EP2529Y] (ab68167) at 1/20000 dilution

All lanes:

Mouse heart tissue lysate at 10 µg

Secondary

All lanes:

Western blot - Goat Anti-Rabbit IgG H&L (HRP) (<a href='/products/secondary-antibodies/goat-rabbit-igg-h-l-hrp-ab97051'>ab97051</a>) at 1/100000 dilution

Predicted band size: 103 kDa

Observed band size: 103 kDa

false

Western blot - Anti-Sarcomeric Alpha Actinin antibody [EP2529Y] (AB68167)
  • WB

Lab

Western blot - Anti-Sarcomeric Alpha Actinin antibody [EP2529Y] (AB68167)

Blocking and dilution buffer : 5% NFDM /TBST.

All lanes:

Western blot - Anti-Sarcomeric Alpha Actinin antibody [EP2529Y] (ab68167) at 1/10000 dilution

Lane 1:

Mouse brain tissue lysate at 10 µg

Lane 2:

Rat brain tissue lysate at 10 µg

Secondary

All lanes:

Western blot - Goat Anti-Rabbit IgG H&L (HRP) (<a href='/products/secondary-antibodies/goat-rabbit-igg-h-l-hrp-ab97051'>ab97051</a>) at 1/100000 dilution

Predicted band size: 103 kDa

Observed band size: 103 kDa

false

Western blot - Anti-Sarcomeric Alpha Actinin antibody [EP2529Y] (AB68167)
  • WB

Unknown

Western blot - Anti-Sarcomeric Alpha Actinin antibody [EP2529Y] (AB68167)

All lanes:

Western blot - Anti-Sarcomeric Alpha Actinin antibody [EP2529Y] (ab68167) at 1/20000 dilution

Lane 1:

Human skeletal muscle lysate at 10 µg

Lane 2:

Rat heart lysate at 10 µg

Lane 3:

Human heart lysate at 10 µg

Secondary

All lanes:

HRP-conjugated goat anti-rabbit IgG at 1/2000 dilution

Predicted band size: 103 kDa

Observed band size: 103 kDa

false

Western blot - Anti-Sarcomeric Alpha Actinin antibody [EP2529Y] (AB68167)
  • WB

CiteAb

Western blot - Anti-Sarcomeric Alpha Actinin antibody [EP2529Y] (AB68167)

Sarcomeric Alpha Actinin western blot using anti-Sarcomeric Alpha Actinin antibody [EP2529Y] ab68167. Publication image and figure legend from Hodges, J. L., Vilchez, S. M., et al., 2014, PLoS One, PubMed 25007055.

ab68167 was used in this publication in western blot. This may not be the same as the application(s) guaranteed by Abcam. For a full list of applications guaranteed by Abcam for ab68167 please see the product overview.

α-actinin-2 localizes to post-synaptic sites in dendritic spines on hippocampal neurons.A) An anti-α-actinin antibody (ab68167) recognizes α-actinin-2 and not α-actinin-1 or α-actinin-4. CHO-K1 cells were transfected with human α-actinin-1-GFP, α-actinin-2-GFP, or α-actinin-4-GFP. Cells were lysed and immunoblotted for α-actinin-2 and GFP. B) α-Actinin-2 is enriched in hippocampal neurons but not in glia cells or COS-7 cells, which lacks α-actinin-2. Cells were lysed and immunoblotted for α-actinin-2. Actin is the loading control. C) α-Actinin-2 localizes to dendritic spines. Hippocampal neurons were transfected at DIV 17 with GFP (green), and fixed, and immunostained for endogenous α-actinin-2 (magenta) at DIV 21. D) α-Actinin-2 co-localizes with post-synaptic markers, but not with a pre-synaptic marker. Hippocampal neurons were fixed at DIV 16 or 21 and immunostained for endogenous α-actinin-2 (green) and either endogenous synaptophysin, PSD-95, or the NR1 subunit of the NMDA receptor (magenta). E–G) The siRNA is specific for α-actinin-2. Hippocampal neurons were co-transfected at DIV 17 with GFP and either a control empty vector (pSUPER), or a vector containing siRNA against α-actinin-2 (pSUPER-α-actinin-2), or the α-actinin-2 siRNA-containing vector plus a α-actinin-2 vector conferring resistance to RNAi (pSUPER-α-actinin-2+ α-actinin-2-SS). The cells were fixed at DIV 21 and immunostained for endogenous α-actinin-2. Arrows point to the neurons co-expressing GFP and its immunostaining for α-actinin-2. For each condition (55 control cells and 46 α-actinin-2 knockdown cells), the integrated density of the cell body and dendrites were measured from the transfected neuron and adjacent untransfected neuron of the same image and the percent change was plotted, F. Error bars represent SEM. p-values were derived using the paired t-test. G) CHO-K1 cells were co-transfected with GFP, pSUPER or pSUPER-α-actinin-2, plus either α-actinin-2-Flag or α-actinin-2-SS-Flag. Transfection efficiency was close to 100% as >95% of the cells in each condition exhibited GFP fluorescence (data not shown). Cells were lysed 72 hours after transfection and immunoblotted for α-actinin-2 and α-actinin-4. Tubulin is the loading control.

false

関連する標識済み抗体及び組成の異なる製品 (2)

  • Carrier free

    Anti-Sarcomeric Alpha Actinin antibody [EP2529Y] - BSA and Azide free

  • HRP

    HRP Anti-Sarcomeric Alpha Actinin antibody [EP2529Y]

Key facts

宿主種

Rabbit

クローン性

Monoclonal

クローン番号

EP2529Y

アイソタイプ

IgG

キャリアフリー

No

交差種

Mouse, Rat, Human

アプリケーション

WB, IHC-P, IP

applications

免疫原

The exact immunogen used to generate this antibody is proprietary information.

Reactivity data

{ "title": "Reactivity Data", "filters": { "stats": ["", "Species", "Dilution Info", "Notes"], "tabs": { "all-applications": {"fullname" : "All Applications", "shortname": "All Applications"}, "IHCP" : {"fullname" : "Immunohistochemistry (Formalin/PFA-fixed paraffin-embedded sections)", "shortname":"IHC-P"}, "IP" : {"fullname" : "Immunoprecipitation", "shortname":"IP"}, "FlowCyt" : {"fullname" : "Flow Cytometry", "shortname":"Flow Cyt"}, "WB" : {"fullname" : "Western blot", "shortname":"WB"}, "ICCIF" : {"fullname" : "Immunocytochemistry/ Immunofluorescence", "shortname":"ICC/IF"} }, "product-promise": { "all": "all", "testedAndGuaranteed": "tested", "guaranteed": "expected", "predicted": "predicted", "notRecommended": "not-recommended" } }, "values": { "Human": { "IHCP-species-checked": "testedAndGuaranteed", "IHCP-species-dilution-info": "1/100 - 1/250", "IHCP-species-notes": "<p></p> Perform heat-mediated antigen retrieval before commencing with IHC staining protocol.", "IP-species-checked": "testedAndGuaranteed", "IP-species-dilution-info": "1/20 - 1/40", "IP-species-notes": "<p></p>", "FlowCyt-species-checked": "notRecommended", "FlowCyt-species-dilution-info": "1/20", "FlowCyt-species-notes": "<p><a href='/products/primary-antibodies/rabbit-igg-monoclonal-epr25a-isotype-control-ab172730'>ab172730</a> - Rabbit monoclonal IgG, is suitable for use as an isotype control with this antibody.</p>", "WB-species-checked": "testedAndGuaranteed", "WB-species-dilution-info": "1/1000 - 1/10000", "WB-species-notes": "<p></p>", "ICCIF-species-checked": "notRecommended", "ICCIF-species-dilution-info": "", "ICCIF-species-notes": "<p></p>" }, "Mouse": { "IHCP-species-checked": "testedAndGuaranteed", "IHCP-species-dilution-info": "1/100 - 1/250", "IHCP-species-notes": "<p></p> Perform heat-mediated antigen retrieval before commencing with IHC staining protocol.", "IP-species-checked": "guaranteed", "IP-species-dilution-info": "", "IP-species-notes": "", "FlowCyt-species-checked": "notRecommended", "FlowCyt-species-dilution-info": "1/20", "FlowCyt-species-notes": "<p><a href='/products/primary-antibodies/rabbit-igg-monoclonal-epr25a-isotype-control-ab172730'>ab172730</a> - Rabbit monoclonal IgG, is suitable for use as an isotype control with this antibody.</p>", "WB-species-checked": "testedAndGuaranteed", "WB-species-dilution-info": "1/1000 - 1/10000", "WB-species-notes": "<p></p>", "ICCIF-species-checked": "notRecommended", "ICCIF-species-dilution-info": "", "ICCIF-species-notes": "<p></p>" }, "Rat": { "IHCP-species-checked": "guaranteed", "IHCP-species-dilution-info": "", "IHCP-species-notes": "", "IP-species-checked": "guaranteed", "IP-species-dilution-info": "", "IP-species-notes": "", "FlowCyt-species-checked": "notRecommended", "FlowCyt-species-dilution-info": "1/20", "FlowCyt-species-notes": "<p><a href='/products/primary-antibodies/rabbit-igg-monoclonal-epr25a-isotype-control-ab172730'>ab172730</a> - Rabbit monoclonal IgG, is suitable for use as an isotype control with this antibody.</p>", "WB-species-checked": "testedAndGuaranteed", "WB-species-dilution-info": "1/1000 - 1/10000", "WB-species-notes": "<p></p>", "ICCIF-species-checked": "notRecommended", "ICCIF-species-dilution-info": "", "ICCIF-species-notes": "<p></p>" } } }

製品の詳細

What is this antibody validated in?
Anti-Sarcomeric Alpha Actinin antibody [EP2529Y] (ab68167) is a rabbit recombinant monoclonal antibody and is validated for use in Western Blot (WB), Immunoprecipitation (IP), Immunohistochemistry (IHC-P) in Human, Mouse, Rat samples.

What is the molecular weight of Sarcomeric Alpha Actinin?
Anti-Sarcomeric Alpha Actinin [EP2529Y] (ab68167) specifically detects a band for Sarcomeric Alpha Actinin (UniProt: P35609) at a molecular weight of 103kDa.

Trusted by the scientific community
Anti-Sarcomeric Alpha Actinin [EP2529Y] (ab68167) was first used in a scientific publication in 2008 and has been cited over 60 times in peer-reviewed journals.

Reviewed by scientists
Anti-Sarcomeric Alpha Actinin [EP2529Y] (ab68167) has over 5 independent reviews from customers.

Trial sizes available!
Test your antibody or perform pre-screening before committing to a larger quantity. Sold in 10µl. Discover our selection of trial-size antibodies.

Other related products
We have a range of other formats of antibody clone [EP2529Y] also available for your convenience: ab68167, Carrier free - ab220817, HRP - ab314407

Patented technology
Our RabMAb® technology is a patented hybridoma-based technology for making rabbit monoclonal antibodies. For details on our patents, please refer to RabMAb® patents.

What are the advantages of a recombinant monoclonal antibody?
This product is a recombinant monoclonal antibody, which offers several advantages including:

  • - High batch-to-batch consistency and reproducibility
  • - Improved sensitivity and specificity
  • - Long-term security of supply
  • - Animal-free batch production

For more information, read more on recombinant antibodies.

Shipping conditions update: ambient shipping

This product will be delivered at ambient temperature instead of chilled – this is by design. Extensive stability testing confirmed that our products are suitable for shipment under ambient conditions and maintain expected quality.

Why the change?

It’s part of our commitment to more sustainable packaging solutions, with ambient deliveries using eco-friendly materials such as recyclable cardboard instead of polystyrene.

What you need to know

  • Ambient shipments come with a flyer explaining the below.
  • No ice will be included in ambient shipments, but mixed orders (ambient and cold-chain items) will still arrive with ice packs to protect temperature-sensitive products.
  • Warranty coverage remains fully valid, aligned with our validated shipping method.
  • Please store the product as per the datasheet instructions upon receipt.

Find out more - https://www.abcam.com/en-us/support/shipping-storage-support/ambient-shipping

出荷温度及び保存条件

製品の状態
Liquid
精製方法
Affinity purification Protein A
バッファー組成
pH: 7.2 - 7.4 Preservative: 0.01% Sodium azide Constituents: PBS, 40% Glycerol (glycerin, glycerine), 0.05% BSA
出荷温度
Conditional Ambient
短期保存期間
1-2 weeks
短期保存温度
+4°C
長期保存温度
-20°C
分注に関する情報
Upon delivery aliquot
保管に関する情報
Stable for 12 months at -20°C

補足情報

This supplementary information is collated from multiple sources and compiled automatically.

Sarcomeric Alpha Actinin often referred to as alpha-actinin or A-actinin is a protein that functions mechanically as a cross-linker of actin filaments in the sarcomere. It plays a critical role in organizing the actin cytoskeleton providing structural integrity and facilitating muscle contraction. The protein typically has a molecular mass of approximately 100 kDa. It is expressed in a variety of tissues including skeletal and cardiac muscle where it establishes the architecture of the Z-disc by anchoring actin filaments.
Biological function summary

Sarcomeric alpha actinin associates with multiple proteins to form a complex that coordinates muscle function. It not only serves as a structural component but also participates in signaling processes influencing muscle repair and growth. Alpha actinin connects to other cytoskeletal proteins and adaptors coordinating with integrin pathways to transmit external mechanical signals into cellular responses. The ability of alpha actinin to interact with a range of proteins like filamin and spectrin enhances its role in maintaining cellular architecture.

Pathways

Alpha actinin is critical in both the integrin and dystrophin-glycoprotein complex pathways facilitating signal transduction and maintaining muscle stability. Its interaction with actin filaments is important for pathways involving cell adhesion and motility. Within these pathways actin-related proteins such as ACTN2 and titin partner with alpha actinin to sustain cellular structure and function during dynamic processes including muscle contraction and relaxation.

Mutations or defects in alpha actinin have implications in muscular dystrophy and cardiomyopathy. These conditions often involve disruptions in the muscle's structural framework and mechanical signaling where alpha actinin's interaction with dystrophin becomes significant. Additionally such disorders may showcase altered connectivity between alpha actinin and spectrin further affecting muscle integrity and function in pathological conditions.

製品プロトコール

For this product, it's our understanding that no specific protocols are required. You can visit:

ターゲットの情報

F-actin cross-linking protein which is thought to anchor actin to a variety of intracellular structures. This is a bundling protein.
See full target information ACTN2

文献 (100)

Recent publications for all applications. Explore the full list and refine your search

Frontiers in cell and developmental biology 13:1569185 PubMed40977892

2025

Syndecan-4 interacts directly with β-parvin and regulates the ILK-PINCH-β-parvin complex, the β-parvin-β-PIX-Rac1 axis, and cardiomyocyte geometry in a sex-dependent manner.

Applications

Unspecified application

Species

Unspecified reactive species

Sabrina Bech Mathiesen,Thea Parsberg Støle,Andreas Romaine,Marianne Lunde,Marita Martinsen,Jan Magnus Aronsen,Ivar Sjaastad,William E Louch,Geir Christensen,Cathrine Rein Carlson

Molecular therapy. Nucleic acids 36:102665 PubMed40896584

2025

A combinatorial oligonucleotide therapy to improve dystrophin restoration and dystrophin-deficient muscle health.

Applications

Unspecified application

Species

Unspecified reactive species

Young Jae Moon,Ravi Hindupur,Iteoluwakishi H Gamu,Nikki M McCormack,Fatima Shaikh,James S Novak,Jyoti K Jaiswal

Science advances 11:eadw1059 PubMed40864710

2025

genotype influences androgen response in developing murine skeletal muscle.

Applications

Unspecified application

Species

Unspecified reactive species

Kelly N Roeszler,Michael See,Lyra R Meehan,Giscard Lima,Alexander Kolliari-Turner,Sarah E Alexander,Shanie Landen,Harrison D Wood,Chrystal F Tiong,Weiyi Chen,Tomris Mustafa,Peter J Houweling,Nir Eynon,Severine Lamon,Yannis Pitsiladis,David J Handelsman,Fernando J Rossello,Mirana Ramialison,Kathryn N North,Jane T Seto

Metabolic engineering communications 21:e00266 PubMed40704293

2025

Substrate stiffness-dependent metabolic reprogramming of iPSC-derived cardiomyocytes on physiological PDMS polymers.

Applications

Unspecified application

Species

Unspecified reactive species

Leena Patel,Bryan P Marzullo,Jonathan Barlow,Himani Rana,Amar J Azad,Patricia Thomas,Daniel A Tennant,Katja Gehmlich

Science advances 11:eadu8634 PubMed40668908

2025

A forward-engineered, muscle-driven soft robotic swimmer.

Applications

Unspecified application

Species

Unspecified reactive species

William Cartwright Drennan,Onur Aydin,Bashar Emon,Zhengwei Li,Md Saddam Hossain Joy,Alexandra Barishman,Yelim Kim,Margaret Wei,Danette Denham,Annika Carrillo,M Taher A Saif

Frontiers in bioengineering and biotechnology 13:1546483 PubMed40486207

2025

hiPSC-derived cardiac fibroblasts dynamically enhance the mechanical function of hiPSC-derived cardiomyocytes on an engineered substrate.

Applications

Unspecified application

Species

Unspecified reactive species

Mitchell Josvai,Jodi Lawson,Harshal Kanade,Meghana Kalluri,Corey L Anderson,Jianhua Zhang,Alana Stempien,Lee L Eckhardt,Timothy J Kamp,Wendy C Crone

BMC research notes 18:235 PubMed40426261

2025

Optimization of a thermochemical antibody stripping method for enhanced tyramide signal amplification-based opal multiplex immunohistochemistry in fragile tissues.

Applications

Unspecified application

Species

Unspecified reactive species

Xiaotong Yu,Yan Song,Li Chen,Lixiang Xue,Jianling Yang,Chen Huang

Cell reports 44:115377 PubMed40048433

2025

Mitochondrial fusion and cristae reorganization facilitate acquisition of cardiomyocyte identity during reprogramming of murine fibroblasts.

Applications

Unspecified application

Species

Unspecified reactive species

Brian M Spurlock,Yifang Xie,Yiran Song,Shea N Ricketts,James Rock Hua,Haley R Chi,Meenakshi Nishtala,Rustem Salmenov,Jiandong Liu,Li Qian

Molecular therapy. Nucleic acids 35:102390 PubMed39720701

2024

Direct cardiac reprogramming via combined CRISPRa-mediated endogenous Gata4 activation and exogenous Mef2c and Tbx5 expression.

Applications

Unspecified application

Species

Unspecified reactive species

Peisen Huang,Jun Xu,Benjamin Keepers,Yifang Xie,David Near,Yangxi Xu,James Rock Hua,Brian Spurlock,Shea Ricketts,Jiandong Liu,Li Wang,Li Qian

Redox biology 79:103442 PubMed39637598

2024

Redox-dependent purine degradation triggers postnatal loss of cardiac regeneration potential.

Applications

Unspecified application

Species

Unspecified reactive species

Yuichi Saito,Yuki Sugiura,Akane Sakaguchi,Tai Sada,Chihiro Nishiyama,Rae Maeda,Mari Kaneko,Hiroshi Kiyonari,Wataru Kimura
View all publications

Abcam product promise

当社は、高品質な試薬を通じてお客様の研究を力強くサポートすることをお約束いたします。ご使用いただく各段階で、常にお客様をサポートできる体制を整えております。万が一、製品が期待通りに機能しない場合は、「Abcam Product Promise」による当社保証制度に基づき、安心してご利用いただけます。
保証に関する詳細については利用規約をご確認ください。

Please note: All products are 'FOR RESEARCH USE ONLY. NOT FOR USE IN DIAGNOSTIC OR THERAPEUTIC PROCEDURES'.

For licensing inquiries, please contact partnerships@abcam.com