JavaScript is disabled in your browser. Please enable JavaScript to view this website.
AB300482

Anti-SAP97 抗体 [EPR26467-123] (BSA and Azide free)

Anti-SAP97 antibody [EPR26467-123] (BSA and Azide free)

Be the first to review this product! Submit a review

|

(0 Publication)

Rabbit Recombinant Monoclonal SAP97 antibody. Carrier free. Suitable for IP, IHC-Fr, IHC-P, WB and reacts with Mouse, Human, Rat samples.

別名を表示する

Disks large homolog 1, Synapse-associated protein 97, hDlg, SAP-97, SAP97, DLG1

11 Images
Immunohistochemistry (Formalin/PFA-fixed paraffin-embedded sections) - Anti-SAP97 antibody [EPR26467-123] (BSA and Azide free) (AB300482)
  • IHC-P

Supplier Data

Immunohistochemistry (Formalin/PFA-fixed paraffin-embedded sections) - Anti-SAP97 antibody [EPR26467-123] (BSA and Azide free) (AB300482)

This data was developed using ab300481, the same antibody clone in a different buffer formulation. Immunohistochemical analysis of paraffin-embedded Human colon tissue labeling SAP97 with ab300481 at 1/2000 (0.234 ug/ml) followed by a ready to use LeicaDS9800 (Bond™ Polymer Refine Detection) was used. Positive staining on human colon (PMID : 7891172). The section was incubated with ab300481 for 30 mins at room temperature.The immunostaining was performed on a Leica Biosystems BOND® RX instrument Counterstained with Hematoxylin. Secondary antibody only control : Secondary antibody is a ready to use LeicaDS9800 (Bond™ Polymer Refine Detection) was used. Heat mediated antigen retrieval with Tris-EDTA buffer (pH 9.0, epitope retrieval solution2) for 20 mins

Immunoprecipitation - Anti-SAP97 antibody [EPR26467-123] (BSA and Azide free) (AB300482)
  • IP

Lab

Immunoprecipitation - Anti-SAP97 antibody [EPR26467-123] (BSA and Azide free) (AB300482)

This data was developed using ab300481, the same antibody clone in a different buffer formulation. SAP97 was immunoprecipitated from 0.35 mg SH-SY5Y (human neuroblastoma epithelial cell), whole cell lysate 10 µg with ab300481 at 1/30 dilution (2µg in 0.35mg lysates). Western blot was performed on the immunoprecipitate using ab300481 at 1/1000 dilution. VeriBlot for IP secondary antibody(HRP)(ab131366) was used at 1/5000 dilution. Lane 1 : SH-SY5Y (human neuroblastoma epithelial cell), whole cell lysate 10 µg (Inset) Lane 2 : ab300481 IP in SH-SY5Y whole cell lysate Lane 3 : Rabbit monoclonal IgG (ab172730) instead of ab300481 in SH-SY5Y whole cell lysate Blocking and dilution buffer and concentration : 5% NFDM/TBST. Exposure time : 5.5 seconds

All lanes:

Immunoprecipitation - Anti-SAP97 antibody [EPR26467-123] (<a href='/products/primary-antibodies/sap97-antibody-epr26467-123-ab300481'>ab300481</a>) at 1/30 dilution

Lane 1:

SH-SY5Y (human neuroblastoma epithelial cell), whole cell lysate (Inset) at 10 µg

Lane 2:

<a href='/products/primary-antibodies/sap97-antibody-epr26467-123-ab300481'>ab300481</a> IP in SH-SY5Y whole cell lysate

Lane 3:

Immunoprecipitation - Rabbit IgG, monoclonal [EPR25A] - Isotype Control (<a href='/products/primary-antibodies/rabbit-igg-monoclonal-epr25a-isotype-control-ab172730'>ab172730</a>)

Secondary

All lanes:

Immunoprecipitation - VeriBlot for IP Detection Reagent (HRP) (<a href='/products/reagents/veriblot-for-ip-detection-reagent-hrp-ab131366'>ab131366</a>) at 1/5000 dilution

Observed band size: 100 kDa

false

Exposure time: 5.5s

Immunohistochemistry (Formalin/PFA-fixed paraffin-embedded sections) - Anti-SAP97 antibody [EPR26467-123] (BSA and Azide free) (AB300482)
  • IHC-P

Supplier Data

Immunohistochemistry (Formalin/PFA-fixed paraffin-embedded sections) - Anti-SAP97 antibody [EPR26467-123] (BSA and Azide free) (AB300482)

This data was developed using ab300481, the same antibody clone in a different buffer formulation. Immunohistochemical analysis of paraffin-embedded Mouse liver tissue labeling SAP97 with ab300481 at 1/4000 (0.117 ug/ml) followed by a ready to use LeicaDS9800 (Bond™ Polymer Refine Detection) was used. Positive staining on mouse liver (PMID : 11181181). The section was incubated with ab300481 for 30 mins at room temperature.The immunostaining was performed on a Leica Biosystems BOND® RX instrument Counterstained with Hematoxylin. Secondary antibody only control : Secondary antibody is a ready to use LeicaDS9800 (Bond™ Polymer Refine Detection) was used. Heat mediated antigen retrieval with Tris-EDTA buffer (pH 9.0, epitope retrieval solution2) for 20 mins

Immunohistochemistry (Formalin/PFA-fixed paraffin-embedded sections) - Anti-SAP97 antibody [EPR26467-123] (BSA and Azide free) (AB300482)
  • IHC-P

Supplier Data

Immunohistochemistry (Formalin/PFA-fixed paraffin-embedded sections) - Anti-SAP97 antibody [EPR26467-123] (BSA and Azide free) (AB300482)

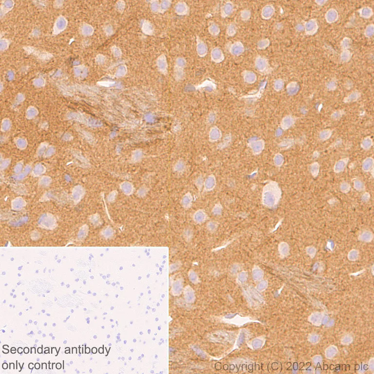
This data was developed using ab300481, the same antibody clone in a different buffer formulation. Immunohistochemical analysis of paraffin-embedded Mouse cerebrum tissue labeling SAP97 with ab300481 at 1/4000 (0.117 ug/ml) followed by a ready to use LeicaDS9800 (Bond™ Polymer Refine Detection) was used. Positive staining on mouse cerebrum (PMID : 7891172, PMID : 11181181). The section was incubated with ab300481 for 30 mins at room temperature.The immunostaining was performed on a Leica Biosystems BOND® RX instrument Counterstained with Hematoxylin. Secondary antibody only control : Secondary antibody is a ready to use LeicaDS9800 (Bond™ Polymer Refine Detection) was used. Heat mediated antigen retrieval with Tris-EDTA buffer (pH 9.0, epitope retrieval solution2) for 20 mins

Immunohistochemistry (Formalin/PFA-fixed paraffin-embedded sections) - Anti-SAP97 antibody [EPR26467-123] (BSA and Azide free) (AB300482)
  • IHC-P

Supplier Data

Immunohistochemistry (Formalin/PFA-fixed paraffin-embedded sections) - Anti-SAP97 antibody [EPR26467-123] (BSA and Azide free) (AB300482)

This data was developed using ab300481, the same antibody clone in a different buffer formulation. Immunohistochemical analysis of paraffin-embedded Rat cerebrum tissue labeling SAP97 with ab300481 at 1/4000 (0.117 ug/ml) followed by a ready to use LeicaDS9800 (Bond™ Polymer Refine Detection) was used. Positive staining on rat cerebrum (PMID : 7891172, PMID : 11181181). The section was incubated with ab300481 for 30 mins at room temperature.The immunostaining was performed on a Leica Biosystems BOND® RX instrument Counterstained with Hematoxylin. Secondary antibody only control : Secondary antibody is a ready to use LeicaDS9800 (Bond™ Polymer Refine Detection) was used. Heat mediated antigen retrieval with Tris-EDTA buffer (pH 9.0, epitope retrieval solution2) for 20 mins

Immunohistochemistry (Frozen sections) - Anti-SAP97 antibody [EPR26467-123] (BSA and Azide free) (AB300482)
  • IHC-Fr

Supplier Data

Immunohistochemistry (Frozen sections) - Anti-SAP97 antibody [EPR26467-123] (BSA and Azide free) (AB300482)

This data was developed using ab300481, the same antibody clone in a different buffer formulation. Immunohistochemical analysis of 4% PFA-fixed, 0.2% Triton X-100 permeabilized frozen Rat cerebrum (fresh) tissue labeling SAP97 with ab300481 at 1/100 (4.67 ug/ml) dilution followed by ab150081 Goat Anti-Rabbit IgG H&L (Alexa Fluor® 488) preadsorbed at 1/1000 2 ug/mL dilution (Green). Positive staining on rat cerebrum is observed. The nuclear counterstain was DAPI (Blue). Secondary antibody control : Secondary antibody is ab150081 Goat Anti-Rabbit IgG H&L (Alexa Fluor® 488) preadsorbedat 1/1000 2 ug/mL dilution. .

Immunohistochemistry (Frozen sections) - Anti-SAP97 antibody [EPR26467-123] (BSA and Azide free) (AB300482)
  • IHC-Fr

Supplier Data

Immunohistochemistry (Frozen sections) - Anti-SAP97 antibody [EPR26467-123] (BSA and Azide free) (AB300482)

This data was developed using ab300481, the same antibody clone in a different buffer formulation. Immunohistochemical analysis of 4% PFA-fixed, 0.2% Triton X-100 permeabilized frozen Mouse cerebrum (fresh) tissue labeling SAP97 with ab300481 at 1/100 (4.67 ug/ml) dilution followed by ab150081 Goat Anti-Rabbit IgG H&L (Alexa Fluor® 488) preadsorbed at 1/1000 2 ug/mL dilution (Green). Positive staining on mouse cerebrum is observed. The nuclear counterstain was DAPI (Blue). Secondary antibody control : Secondary antibody is ab150081 Goat Anti-Rabbit IgG H&L (Alexa Fluor® 488) preadsorbedat 1/1000 2 ug/mL dilution. .

Immunoprecipitation - Anti-SAP97 antibody [EPR26467-123] (BSA and Azide free) (AB300482)
  • IP

Lab

Immunoprecipitation - Anti-SAP97 antibody [EPR26467-123] (BSA and Azide free) (AB300482)

This data was developed using ab300481, the same antibody clone in a different buffer formulation. SAP97 was immunoprecipitated from 0.35 mg Mouse brain tissue lysate 10 µg with ab300481 at 1/30 dilution (2µg in 0.35mg lysates). Western blot was performed on the immunoprecipitate using ab300481 at 1/1000 dilution. VeriBlot for IP secondary antibody(HRP)(ab131366) was used at 1/5000 dilution. Lane 1 : Mouse brain tissue lysate 10 µg (Inset) Lane 2 : ab300481 IP in Mouse brain tissue lysate Lane 3 : Rabbit monoclonal IgG (ab172730) instead of ab300481 in mouse brain tissue lysate Blocking and dilution buffer and concentration : 5% NFDM/TBST. Exposure time : 5.5 seconds

All lanes:

Immunoprecipitation - Anti-SAP97 antibody [EPR26467-123] (<a href='/products/primary-antibodies/sap97-antibody-epr26467-123-ab300481'>ab300481</a>) at 1/30 dilution

Lane 1:

Mouse brain tissue lysate (Inset) at 10 µg

Lane 2:

Immunoprecipitation - Anti-SAP97 antibody [EPR26467-123] (<a href='/products/primary-antibodies/sap97-antibody-epr26467-123-ab300481'>ab300481</a>)

Lane 3:

Immunoprecipitation - Rabbit IgG, monoclonal [EPR25A] - Isotype Control (<a href='/products/primary-antibodies/rabbit-igg-monoclonal-epr25a-isotype-control-ab172730'>ab172730</a>)

Secondary

All lanes:

Immunoprecipitation - VeriBlot for IP Detection Reagent (HRP) (<a href='/products/reagents/veriblot-for-ip-detection-reagent-hrp-ab131366'>ab131366</a>) at 1/5000 dilution

Observed band size: 100 kDa

false

Exposure time: 5.5s

Western blot - Anti-SAP97 antibody [EPR26467-123] (BSA and Azide free) (AB300482)
  • WB

Supplier Data

Western blot - Anti-SAP97 antibody [EPR26467-123] (BSA and Azide free) (AB300482)

This data was developed using ab300481, the same antibody clone in a different buffer formulation. Blocking and diluting buffer and concentration : 5% NFDM/TBST

All lanes:

Western blot - Anti-SAP97 antibody [EPR26467-123] (<a href='/products/primary-antibodies/sap97-antibody-epr26467-123-ab300481'>ab300481</a>) at 1/1000 dilution

Lane 1:

HepG2 (human hepatocellar carcinoma epithelial cell) transfected with scrambled siRNA control, whole cell lysate 20 µg

Lane 2:

HepG2 transfected with siRNAs specifically targeti DLG1, whole cell lysate 20 µg

Secondary

All lanes:

Western blot - Goat Anti-Rabbit IgG H&L (HRP) (<a href='/products/secondary-antibodies/goat-rabbit-igg-h-l-hrp-ab97051'>ab97051</a>) at 1/100000 dilution

Observed band size: 130 kDa

false

Exposure time: 15s

Western blot - Anti-SAP97 antibody [EPR26467-123] (BSA and Azide free) (AB300482)
  • WB

Supplier Data

Western blot - Anti-SAP97 antibody [EPR26467-123] (BSA and Azide free) (AB300482)

This data was developed using ab300481, the same antibody clone in a different buffer formulation.

Blocking and diluting buffer and concentration : 5% NFDM/TBST.

This blot was developed using a high sensitivity ECL substrate. The high-sensitivity ECL substrate used allows for the detection of proteins in the mid-femtogram range.

All lanes:

Western blot - Anti-SAP97 antibody [EPR26467-123] (<a href='/products/primary-antibodies/sap97-antibody-epr26467-123-ab300481'>ab300481</a>) at 1/1000 dilution

Lane 1:

HeLa (human epithelial cell line from cervix adenocarcinoma), whole cell lysate at 20 µg

Lane 2:

293T (human embryonic kidney epithelial cell), whole cell lysate at 20 µg

Secondary

All lanes:

Western blot - Goat Anti-Rabbit IgG H&L (HRP) (<a href='/products/secondary-antibodies/goat-rabbit-igg-h-l-hrp-ab97051'>ab97051</a>) at 1/100000 dilution

Observed band size: 130 kDa

true

Western blot - Anti-SAP97 antibody [EPR26467-123] (BSA and Azide free) (AB300482)
  • WB

Supplier Data

Western blot - Anti-SAP97 antibody [EPR26467-123] (BSA and Azide free) (AB300482)

This data was developed using ab300481, the same antibody clone in a different buffer formulation. Blocking and diluting buffer and concentration : 5% NFDM/TBST The blot of lane 6 was developed using a high sensitivity ECL substrate.The expression profile/ molecular weight observed is consistent with what has been described in the literature (PMID : 8755482).

All lanes:

Western blot - Anti-SAP97 antibody [EPR26467-123] (<a href='/products/primary-antibodies/sap97-antibody-epr26467-123-ab300481'>ab300481</a>) at 1/1000 dilution

Lane 1:

U-87 MG (human glioblastoma-astrocytoma epithelial cell), whole cell lysate 20 µg

Lane 2:

SH-SY5Y (human neuroblastoma epithelial cell), whole cell lysate 20 µg

Lane 3:

Mouse brain tissue lysate 20 µg

Lane 4:

Mouse liver tissue lysate 20 µg

Lane 5:

Rat brain tissue lysate 20 µg

Lane 6:

Human cerebellum tissue lysate 20 µg

Secondary

All lanes:

Western blot - Goat Anti-Rabbit IgG H&L (HRP) (<a href='/products/secondary-antibodies/goat-rabbit-igg-h-l-hrp-ab97051'>ab97051</a>) at 1/100000 dilution

Observed band size: 130 kDa

false

関連する標識済み抗体及び組成の異なる製品 (1)

Key facts

宿主種

Rabbit

クローン性

Monoclonal

クローン番号

EPR26467-123

アイソタイプ

IgG

キャリアフリー

Yes

交差種

Mouse, Rat, Human

アプリケーション

IHC-Fr, IHC-P, IP, WB

applications

免疫原

The exact immunogen used to generate this antibody is proprietary information.

Reactivity data

{ "title": "Reactivity Data", "filters": { "stats": ["", "Species", "Dilution Info", "Notes"], "tabs": { "all-applications": {"fullname" : "All Applications", "shortname": "All Applications"}, "IP" : {"fullname" : "Immunoprecipitation", "shortname":"IP"}, "IHCFr" : {"fullname" : "Immunohistochemistry (Frozen sections)", "shortname":"IHC-Fr"}, "IHCP" : {"fullname" : "Immunohistochemistry (Formalin/PFA-fixed paraffin-embedded sections)", "shortname":"IHC-P"}, "WB" : {"fullname" : "Western blot", "shortname":"WB"}, "ICCIF" : {"fullname" : "Immunocytochemistry/ Immunofluorescence", "shortname":"ICC/IF"}, "FlowCytIntra" : {"fullname" : "Flow Cytometry (Intracellular)", "shortname":"Flow Cyt (Intra)"} }, "product-promise": { "all": "all", "testedAndGuaranteed": "tested", "guaranteed": "expected", "predicted": "predicted", "notRecommended": "not-recommended" } }, "values": { "Human": { "IP-species-checked": "testedAndGuaranteed", "IP-species-dilution-info": "", "IP-species-notes": "<p></p>", "IHCFr-species-checked": "guaranteed", "IHCFr-species-dilution-info": "", "IHCFr-species-notes": "", "IHCP-species-checked": "testedAndGuaranteed", "IHCP-species-dilution-info": "", "IHCP-species-notes": "<p></p>", "WB-species-checked": "testedAndGuaranteed", "WB-species-dilution-info": "", "WB-species-notes": "<p></p>", "ICCIF-species-checked": "notRecommended", "ICCIF-species-dilution-info": "", "ICCIF-species-notes": "<p></p>", "FlowCytIntra-species-checked": "notRecommended", "FlowCytIntra-species-dilution-info": "", "FlowCytIntra-species-notes": "<p></p>" }, "Mouse": { "IP-species-checked": "testedAndGuaranteed", "IP-species-dilution-info": "", "IP-species-notes": "<p></p>", "IHCFr-species-checked": "testedAndGuaranteed", "IHCFr-species-dilution-info": "", "IHCFr-species-notes": "<p></p>", "IHCP-species-checked": "testedAndGuaranteed", "IHCP-species-dilution-info": "", "IHCP-species-notes": "<p></p>", "WB-species-checked": "testedAndGuaranteed", "WB-species-dilution-info": "", "WB-species-notes": "<p></p>", "ICCIF-species-checked": "notRecommended", "ICCIF-species-dilution-info": "", "ICCIF-species-notes": "<p></p>", "FlowCytIntra-species-checked": "notRecommended", "FlowCytIntra-species-dilution-info": "", "FlowCytIntra-species-notes": "<p></p>" }, "Rat": { "IP-species-checked": "guaranteed", "IP-species-dilution-info": "", "IP-species-notes": "", "IHCFr-species-checked": "testedAndGuaranteed", "IHCFr-species-dilution-info": "", "IHCFr-species-notes": "<p></p>", "IHCP-species-checked": "testedAndGuaranteed", "IHCP-species-dilution-info": "", "IHCP-species-notes": "<p></p>", "WB-species-checked": "testedAndGuaranteed", "WB-species-dilution-info": "", "WB-species-notes": "<p></p>", "ICCIF-species-checked": "notRecommended", "ICCIF-species-dilution-info": "", "ICCIF-species-notes": "<p></p>", "FlowCytIntra-species-checked": "notRecommended", "FlowCytIntra-species-dilution-info": "", "FlowCytIntra-species-notes": "<p></p>" } } }

製品の詳細

Want a custom formulation?
This antibody clone is manufactured by Abcam. If you require a custom buffer formulation or conjugation for your experiments, please contact orders@abcam.com

Patented technology
Our RabMAb® technology is a patented hybridoma-based technology for making rabbit monoclonal antibodies. For details on our patents, please refer to RabMAb® patents.

What are the advantages of a recombinant monoclonal antibody?
This product is a recombinant monoclonal antibody, which offers several advantages including:

  • - High batch-to-batch consistency and reproducibility
  • - Improved sensitivity and specificity
  • - Long-term security of supply
  • - Animal-free batch production

For more information, read more on recombinant antibodies.

Conjugation ready
Our carrier-free antibodies are typically supplied in a PBS-only formulation, purified and free of BSA, sodium azide and glycerol. This conjugation-ready format is designed for use with fluorochromes, metal isotopes, oligonucleotides, and enzymes, which makes them ideal for antibody labelling, functional and cell-based assays, flow-based assays (e.g. mass cytometry) and Multiplex Imaging applications.

Use our conjugation kits for antibody conjugates that are ready-to-use in as little as 20 minutes with 1 minute hands-on-time and 100% antibody recovery: available for fluorescent dyes, HRP, biotin and gold.

Compatibility
This product is compatible with the Maxpar® Antibody Labeling Kit from Fluidigm, without the need for antibody preparation. Maxpar® is a trademark of Fluidigm Canada Inc.

出荷温度及び保存条件

製品の状態
Liquid
精製方法
Affinity purification Protein A
バッファー組成
pH: 7.2 - 7.4 Constituents: PBS
出荷温度
Blue Ice
短期保存温度
+4°C
長期保存温度
+4°C
分注に関する情報
Upon delivery aliquot
保管に関する情報
Avoid freeze / thaw cycle

補足情報

This supplementary information is collated from multiple sources and compiled automatically.

SAP97 also known as Synapse-associated protein 97 or DLG1 is a member of the membrane-associated guanylate kinase (MAGUK) family. It has a molecular mass of approximately 97 kDa. This protein is well-expressed in several tissues with high levels observed within the brain and cardiac muscles. SAP97 plays an essential role in organizing synaptic proteins and maintaining cell polarity by aiding in the trafficking and localization of certain ion channels and receptors across the plasma membrane.
Biological function summary

The function of SAP97 is closely linked to synaptic plasticity and signal transduction. This protein forms part of larger protein complexes that include ion channels and receptors helping regulate the transmission of signals between neurons. In the brain SAP97 facilitates the clustering of neurotransmitter receptors at synapses including AMPA receptors which are vital for excitatory synaptic transmission. Its role extends to modulating the structural organization and functional regulation of these protein complexes at synaptic junctions.

Pathways

SAP97 is involved in key signaling processes particularly the glutamatergic synapse pathway where it influences the trafficking and surface expression of glutamate receptors. It interacts with other MAGUK family members like PSD-95 to regulate the assembly of the postsynaptic density. This protein also plays a role in the cardiac signaling cascade particularly in interactions involving potassium channels impacting the cardiac action potential.

SAP97 has associations with neurological and cardiac conditions. Abnormal expression or mutation in SAP97 can contribute to disorders such as schizophrenia and arrhythmias. In schizophrenia disruption in SAP97 function affects synaptic communication with related proteins like PSD-95 implicated in the disease's pathology. In cardiac arrhythmias the misregulation of SAP97 interaction with ion channels might result in altered cardiac electrical activity impacting the role of proteins such as Kv4.2 in the heart's electrophysiological stability.

製品プロトコール

For this product, it's our understanding that no specific protocols are required. You can visit:

ターゲットの情報

Essential multidomain scaffolding protein required for normal development (By similarity). Recruits channels, receptors and signaling molecules to discrete plasma membrane domains in polarized cells. Promotes epithelial cell layer barrier function via maintaining cell-cell adhesion (By similarity). May also play a role in adherens junction assembly, signal transduction, cell proliferation, synaptogenesis and lymphocyte activation. Regulates the excitability of cardiac myocytes by modulating the functional expression of Kv4 channels. Functional regulator of Kv1.5 channel. During long-term depression in hippocampal neurons, it recruits ADAM10 to the plasma membrane (PubMed : 23676497).
See full target information DLG1_HUMAN

Abcam product promise

当社は、高品質な試薬を通じてお客様の研究を力強くサポートすることをお約束いたします。ご使用いただく各段階で、常にお客様をサポートできる体制を整えております。万が一、製品が期待通りに機能しない場合は、「Abcam Product Promise」による当社保証制度に基づき、安心してご利用いただけます。
保証に関する詳細については利用規約をご確認ください。

Please note: All products are 'FOR RESEARCH USE ONLY. NOT FOR USE IN DIAGNOSTIC OR THERAPEUTIC PROCEDURES'.

For licensing inquiries, please contact partnerships@abcam.com