JavaScript is disabled in your browser. Please enable JavaScript to view this website.
AB41974

Anti-SALL1 抗体 [K9814]

Anti-SALL1 antibody [K9814]

5

(2 Reviews)

|

(8 Publications)

Mouse Monoclonal SALL1 antibody. Suitable for IHC-P and reacts with Mouse samples. Cited in 8 publications. Immunogen corresponding to Recombinant Fragment Protein within Human SALL1 aa 250-500.

別名を表示する

SAL1, ZNF794, SALL1, Sal-like protein 1, Spalt-like transcription factor 1, Zinc finger protein 794, Zinc finger protein SALL1, Zinc finger protein Spalt-1, HSal1, Sal-1

2 Images
Immunohistochemistry (Formalin/PFA-fixed paraffin-embedded sections) - Anti-SALL1 antibody [K9814] (AB41974)
  • IHC-P

AbReview50606****

Immunohistochemistry (Formalin/PFA-fixed paraffin-embedded sections) - Anti-SALL1 antibody [K9814] (AB41974)

ab41974 staining SALL1 in Mouse embryonic kidney at tissue sections by Immunohistochemistry (IHC- P- paraformaldehyde-fixed, paraffin- embedded sections). Tissue was fixed with paraformaldehyde and blocked with 10μg/ml BSA for 1 hour at 25oC; antigen retrieval was by heat mediation in a Tris/EDTA (pH9). Samples were incubated with primary antibody (1/100 with 6% Horse serum in PBST) for 16hours at 4oC. An Alexa Fluor® 568 donkey anti-mouse polyclonal (1/500 dilution) was used as the secondary antibody.

This image was generated using the ascites version of the product.

Image courtesy of an anonymous Abreview

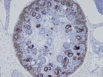
Immunohistochemistry (Formalin/PFA-fixed paraffin-embedded sections) - Anti-SALL1 antibody [K9814] (AB41974)
  • IHC-P

Supplier Data

Immunohistochemistry (Formalin/PFA-fixed paraffin-embedded sections) - Anti-SALL1 antibody [K9814] (AB41974)

ab41974 staining SALL1 in Mouse embryo kidnet tissue sections by Immunohistochemistry (IHC-P - paraformaldehyde-fixed, paraffin-embedded sections).

This image was generated using the ascites version of the product.

Key facts

宿主種

Mouse

クローン性

Monoclonal

クローン番号

K9814

アイソタイプ

IgG2a

キャリアフリー

No

交差種

Mouse

アプリケーション

IHC-P

applications

免疫原

Recombinant Fragment Protein within Human SALL1 aa 250-500. The exact immunogen used to generate this antibody is proprietary information.

Q9NSC2

Reactivity data

{ "title": "Reactivity Data", "filters": { "stats": ["", "Species", "Dilution Info", "Notes"], "tabs": { "all-applications": {"fullname" : "All Applications", "shortname": "All Applications"}, "IHCP" : {"fullname" : "Immunohistochemistry (Formalin/PFA-fixed paraffin-embedded sections)", "shortname":"IHC-P"} }, "product-promise": { "all": "all", "testedAndGuaranteed": "tested", "guaranteed": "expected", "predicted": "predicted", "notRecommended": "not-recommended" } }, "values": { "Mouse": { "IHCP-species-checked": "testedAndGuaranteed", "IHCP-species-dilution-info": "", "IHCP-species-notes": "<p></p>" } } }

製品の詳細

This product was changed from ascites to tissue culture supernatant on 3rd April 2019. Please note that the dilutions may need to be adjusted accordingly. If you have any questions, please do not hesitate to contact our scientific support team.

出荷温度及び保存条件

製品の状態
Liquid
精製方法
Affinity purification Protein A
バッファー組成
pH: 7 Preservative: 0.1% Sodium azide Constituents: PBS
出荷温度
Blue Ice
短期保存期間
1-2 weeks
短期保存温度
+4°C
長期保存温度
-20°C
分注に関する情報
Upon delivery aliquot
保管に関する情報
Avoid freeze / thaw cycle

補足情報

This supplementary information is collated from multiple sources and compiled automatically.

SALL1 also known as Sal-like protein 1 is a zinc-finger transcription factor involved in the regulation of gene expression. It has a mass of about 132 kDa and is expressed in many tissues during embryonic development including the kidney brain and limb buds. SALL1 contains multiple zinc finger domains which help it bind to DNA and control the transcription of target genes.
Biological function summary

SALL1 plays an important role in the maintenance of stem cell pluripotency and tissue differentiation. It is not known for being part of any complex but interacts with other transcription factors to regulate the expression of genes necessary for normal development. Disruption in the function of SALL1 can lead to developmental defects due to improper gene regulation.

Pathways

SALL1 is involved in the Wnt signaling pathway important for developmental processes and cell fate determination. In this pathway it interacts with proteins such as β-catenin to influence cell behavior. SALL1 is also associated with the Hedgehog signaling pathway which helps in patterning and growth during embryogenesis. Through these interactions SALL1 helps coordinate complex genetic programs necessary for organismal development.

Alterations in SALL1 function are linked to Townes-Brocks syndrome a genetic condition characterized by limb ear and renal anomalies. Mutations in the SALL1 gene disrupt its ability to regulate developmental genes and lead to the phenotypic manifestations of the syndrome. Additionally SALL1 disruptions can associate with renal cancer possibly through interactions with other transcription factors like p53 which play a role in tumor suppression.

製品プロトコール

For this product, it's our understanding that no specific protocols are required. You can visit:

ターゲットの情報

Transcriptional repressor involved in organogenesis. Plays an essential role in ureteric bud invasion during kidney development.
See full target information SALL1

文献 (8)

Recent publications for all applications. Explore the full list and refine your search

Development (Cambridge, England) 150: PubMed37519269

2023

Induction of kidney-related gene programs through co-option of SALL1 in mole ovotestes.

Applications

Unspecified application

Species

Unspecified reactive species

Magdalena Schindler,Marco Osterwalder,Izabela Harabula,Lars Wittler,Athanasia C Tzika,Dina K N Dechmann,Martin Vingron,Axel Visel,Stefan A Haas,Francisca M Real

Nature immunology 24:1188-1199 PubMed37322178

2023

SALL1 enforces microglia-specific DNA binding and function of SMADs to establish microglia identity.

Applications

Unspecified application

Species

Unspecified reactive species

Bethany R Fixsen,Claudia Z Han,Yi Zhou,Nathanael J Spann,Payam Saisan,Zeyang Shen,Christopher Balak,Mashito Sakai,Isidoro Cobo,Inge R Holtman,Anna S Warden,Gabriela Ramirez,Jana G Collier,Martina P Pasillas,Miao Yu,Rong Hu,Bin Li,Sarah Belhocine,David Gosselin,Nicole G Coufal,Bing Ren,Christopher K Glass

EMBO reports 24:e55843 PubMed36573342

2022

A congenital hydrocephalus-causing mutation in Trim71 induces stem cell defects via inhibiting Lsd1 mRNA translation.

Applications

Unspecified application

Species

Unspecified reactive species

Qiuying Liu,Mariah K Novak,Rachel M Pepin,Katharine R Maschhoff,Kailey Worner,Xiaoli Chen,Shaojie Zhang,Wenqian Hu

Frontiers in immunology 13:960906 PubMed36353631

2022

The significance of glycolysis index and its correlations with immune infiltrates in Alzheimer's disease.

Applications

Unspecified application

Species

Unspecified reactive species

Zhiqiang Qiu,Xuanyang Bai,Xiangwen Ji,Xiang Wang,Xinye Han,Duo Wang,Fenjun Jiang,Yihua An

Nature communications 12:6496 PubMed34764250

2021

A tissue-bioengineering strategy for modeling rare human kidney diseases in vivo.

Applications

Unspecified application

Species

Unspecified reactive species

J O R Hernandez,X Wang,M Vazquez-Segoviano,M Lopez-Marfil,M F Sobral-Reyes,A Moran-Horowich,M Sundberg,D O Lopez-Cantu,C K Probst,G U Ruiz-Esparza,K Giannikou,R Abdi,E P Henske,D J Kwiatkowski,M Sahin,D R Lemos

Pathology oncology research : POR 27:587130 PubMed34257535

2021

Hsa_circ_0043265 Restrains Cell Proliferation, Migration and Invasion of Tongue Squamous Cell Carcinoma via Targeting the miR-1243/SALL1 Axis.

Applications

Unspecified application

Species

Unspecified reactive species

Cuijuan Qian,Yisheng Yang,Tianchen Lan,Yichao Wang,Jun Yao

Molecular cell 81:845-858.e8 PubMed33406384

2021

SALL4 controls cell fate in response to DNA base composition.

Applications

Unspecified application

Species

Unspecified reactive species

Raphaël Pantier,Kashyap Chhatbar,Timo Quante,Konstantina Skourti-Stathaki,Justyna Cholewa-Waclaw,Grace Alston,Beatrice Alexander-Howden,Heng Yang Lee,Atlanta G Cook,Cornelia G Spruijt,Michiel Vermeulen,Jim Selfridge,Adrian Bird

Oncotarget 9:7442-7452 PubMed29484122

2018

expression in acute myeloid leukemia.

Applications

Unspecified application

Species

Unspecified reactive species

Huda Salman,Xiao Shuai,Anh Thu Nguyen-Lefebvre,Banabihari Giri,Mingqiang Ren,Michael Rauchman,Lynn Robbins,Wei Hou,Hasan Korkaya,Yupo Ma
View all publications

Abcam product promise

当社は、高品質な試薬を通じてお客様の研究を力強くサポートすることをお約束いたします。ご使用いただく各段階で、常にお客様をサポートできる体制を整えております。万が一、製品が期待通りに機能しない場合は、「Abcam Product Promise」による当社保証制度に基づき、安心してご利用いただけます。
保証に関する詳細については利用規約をご確認ください。

Please note: All products are 'FOR RESEARCH USE ONLY. NOT FOR USE IN DIAGNOSTIC OR THERAPEUTIC PROCEDURES'.

For licensing inquiries, please contact partnerships@abcam.com