JavaScript is disabled in your browser. Please enable JavaScript to view this website.
AB14708

Anti-S6K1 抗体

Anti-S6K1 antibody

Be the first to review this product! Submit a review

|

(4 Publications)

Goat Polyclonal KS6B1 antibody. Suitable for IHC-P, WB and reacts with Human, Mouse samples. Cited in 4 publications. Immunogen corresponding to Synthetic Peptide within Human S6K1 aa 450 to C-terminus.

別名を表示する

STK14A, Ribosomal protein S6 kinase beta-1, S6K-beta-1, S6K1, 70 kDa ribosomal protein S6 kinase 1, Ribosomal protein S6 kinase I, Serine/threonine-protein kinase 14A, p70 ribosomal S6 kinase alpha, P70S6K1, p70-S6K 1, p70 S6 kinase alpha, p70 S6K-alpha, p70 S6KA

3 Images
Western blot - Anti-S6K1 antibody (AB14708)
  • WB

Supplier Data

Western blot - Anti-S6K1 antibody (AB14708)

Detected by chemiluminescence.

All lanes:

Western blot - Anti-S6K1 antibody (ab14708) at 0.3 µg/mL

All lanes:

Human Placenta lysate (in RIPA buffer) at 35 µg

Predicted band size: 59 kDa

false

Western blot - Anti-S6K1 antibody (AB14708)
  • WB

Supplier Data

Western blot - Anti-S6K1 antibody (AB14708)

Detected by chemiluminescence.

All lanes:

Western blot - Anti-S6K1 antibody (ab14708) at 1 µg/mL

All lanes:

NIH3T3 cell lysate (in RIPA buffer). at 35 µg

Predicted band size: 59 kDa

false

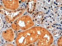
Immunohistochemistry (Formalin/PFA-fixed paraffin-embedded sections) - Anti-S6K1 antibody (AB14708)
  • IHC-P

Supplier Data

Immunohistochemistry (Formalin/PFA-fixed paraffin-embedded sections) - Anti-S6K1 antibody (AB14708)

ab14708 (2μg/ml) staining of paraffin embedded Human Kidney shows staining in the cytoplasm-rich PCT while less so in the DCT and no signals in the glomerulus. following steamed antigen retrieval with citrate buffer pH 6 and HRP-staining.

Key facts

宿主種

Goat

クローン性

Polyclonal

アイソタイプ

IgG

キャリアフリー

No

交差種

Mouse, Human

アプリケーション

IHC-P, WB

applications

免疫原

Synthetic Peptide within Human S6K1 aa 450 to C-terminus. The exact immunogen used to generate this antibody is proprietary information.

P23443

Reactivity data

{ "title": "Reactivity Data", "filters": { "stats": ["", "Species", "Dilution Info", "Notes"], "tabs": { "all-applications": {"fullname" : "All Applications", "shortname": "All Applications"}, "IHCP" : {"fullname" : "Immunohistochemistry (Formalin/PFA-fixed paraffin-embedded sections)", "shortname":"IHC-P"}, "WB" : {"fullname" : "Western blot", "shortname":"WB"} }, "product-promise": { "all": "all", "testedAndGuaranteed": "tested", "guaranteed": "expected", "predicted": "predicted", "notRecommended": "not-recommended" } }, "values": { "Human": { "IHCP-species-checked": "testedAndGuaranteed", "IHCP-species-dilution-info": "2-4 µg/mL", "IHCP-species-notes": "<p></p> Perform heat-mediated antigen retrieval with citrate buffer pH 6 before commencing with IHC staining protocol.", "WB-species-checked": "testedAndGuaranteed", "WB-species-dilution-info": "0.05-0.1 µg/mL", "WB-species-notes": "<p>A 1 hour primary incubation is recommended for this product.</p>" }, "Mouse": { "IHCP-species-checked": "guaranteed", "IHCP-species-dilution-info": "", "IHCP-species-notes": "", "WB-species-checked": "testedAndGuaranteed", "WB-species-dilution-info": "0.05-0.1 µg/mL", "WB-species-notes": "<p>A 1 hour primary incubation is recommended for this product.</p>" }, "Rat": { "IHCP-species-checked": "predicted", "IHCP-species-dilution-info": "", "IHCP-species-notes": "", "WB-species-checked": "predicted", "WB-species-dilution-info": "", "WB-species-notes": "" }, "Cow": { "IHCP-species-checked": "predicted", "IHCP-species-dilution-info": "", "IHCP-species-notes": "", "WB-species-checked": "predicted", "WB-species-dilution-info": "", "WB-species-notes": "" }, "Dog": { "IHCP-species-checked": "predicted", "IHCP-species-dilution-info": "", "IHCP-species-notes": "", "WB-species-checked": "predicted", "WB-species-dilution-info": "", "WB-species-notes": "" }, "Rabbit": { "IHCP-species-checked": "predicted", "IHCP-species-dilution-info": "", "IHCP-species-notes": "", "WB-species-checked": "predicted", "WB-species-dilution-info": "", "WB-species-notes": "" }, "Xenopus laevis": { "IHCP-species-checked": "predicted", "IHCP-species-dilution-info": "", "IHCP-species-notes": "", "WB-species-checked": "predicted", "WB-species-dilution-info": "", "WB-species-notes": "" } } }

出荷温度及び保存条件

製品の状態
Liquid
精製方法
Affinity purification Immunogen
精製に関する特記事項
Purified from goat serum by ammonium sulphate precipitation followed by antigen affinity chromatography using the immunizing peptide.
バッファー組成
pH: 7.3 Preservative: 0.02% Sodium azide Constituents: Tris buffered saline, 0.5% BSA
出荷温度
Blue Ice
短期保存温度
+4°C
長期保存温度
-20°C
分注に関する情報
Upon delivery aliquot
保管に関する情報
Avoid freeze / thaw cycle

補足情報

This supplementary information is collated from multiple sources and compiled automatically.

S6K1 also known as p70S6K is a serine/threonine kinase involved in protein synthesis. The protein has a molecular weight of approximately 70 kDa. Scientists often examine the presence of S6K1 in various tissues as it is expressed ubiquitously in eukaryotic cells. This kinase plays an instrumental role in the regulation of cell growth proliferation and survival by phosphorylating ribosomal protein S6 and other targets. Researchers explore various cellular contexts where S6K1 activity is implicated due to its widespread expression and function.
Biological function summary

S6K1 functions as a downstream effector of the mammalian target of rapamycin (mTOR) complex specifically mTORC1. S6K1 interacts with several protein complexes enhancing its regulatory capacity in cellular activities. It modulates protein synthesis by phosphorylating substrates involved in translation. By controlling these processes S6K1 aids in cell size regulation and energy metabolism which are critical for maintaining cellular homeostasis and adaptation to nutrient availability.

Pathways

S6K1 plays an essential role in the mTOR signaling pathway a central regulator of cell growth and metabolism. S6K1 functions in close connection with proteins such as mTOR and Raptor within this pathway. Additionally it is involved in the insulin signaling pathway where it works with proteins like insulin receptor substrate (IRS). Both pathways highlight S6K1's role in nutrient sensing and response emphasizing its significance in energy and protein homeostasis.

S6K1 is associated with conditions such as cancer and type 2 diabetes. Dysregulation of S6K1 activity can lead to abnormal cell proliferation contributing to oncogenesis in various cancer types. Specifically altered signaling through pathways involving mTOR and Akt proteins connects S6K1 to cancer progression. In type 2 diabetes S6K1 affects insulin sensitivity where overactive S6K1 signaling leads to insulin resistance. Here interactions with insulin receptor substrate proteins highlight its influence on metabolic disorders underlining its critical role in disease pathology.

製品プロトコール

For this product, it's our understanding that no specific protocols are required. You can visit:

ターゲットの情報

Serine/threonine-protein kinase that acts downstream of mTOR signaling in response to growth factors and nutrients to promote cell proliferation, cell growth and cell cycle progression (PubMed : 11500364, PubMed : 12801526, PubMed : 14673156, PubMed : 15071500, PubMed : 15341740, PubMed : 16286006, PubMed : 17052453, PubMed : 17053147, PubMed : 17936702, PubMed : 18952604, PubMed : 19085255, PubMed : 19720745, PubMed : 19935711, PubMed : 19995915, PubMed : 22017876, PubMed : 23429703, PubMed : 28178239). Regulates protein synthesis through phosphorylation of EIF4B, RPS6 and EEF2K, and contributes to cell survival by repressing the pro-apoptotic function of BAD (PubMed : 11500364, PubMed : 12801526, PubMed : 14673156, PubMed : 15071500, PubMed : 15341740, PubMed : 16286006, PubMed : 17052453, PubMed : 17053147, PubMed : 17936702, PubMed : 18952604, PubMed : 19085255, PubMed : 19720745, PubMed : 19935711, PubMed : 19995915, PubMed : 22017876, PubMed : 23429703, PubMed : 28178239). Under conditions of nutrient depletion, the inactive form associates with the EIF3 translation initiation complex (PubMed : 16286006). Upon mitogenic stimulation, phosphorylation by the mechanistic target of rapamycin complex 1 (mTORC1) leads to dissociation from the EIF3 complex and activation (PubMed : 16286006). The active form then phosphorylates and activates several substrates in the pre-initiation complex, including the EIF2B complex and the cap-binding complex component EIF4B (PubMed : 16286006). Also controls translation initiation by phosphorylating a negative regulator of EIF4A, PDCD4, targeting it for ubiquitination and subsequent proteolysis (PubMed : 17053147). Promotes initiation of the pioneer round of protein synthesis by phosphorylating POLDIP3/SKAR (PubMed : 15341740). In response to IGF1, activates translation elongation by phosphorylating EEF2 kinase (EEF2K), which leads to its inhibition and thus activation of EEF2 (PubMed : 11500364). Also plays a role in feedback regulation of mTORC2 by mTORC1 by phosphorylating RICTOR, resulting in the inhibition of mTORC2 and AKT1 signaling (PubMed : 19720745, PubMed : 19935711, PubMed : 19995915). Also involved in feedback regulation of mTORC1 and mTORC2 by phosphorylating DEPTOR (PubMed : 22017876). Mediates cell survival by phosphorylating the pro-apoptotic protein BAD and suppressing its pro-apoptotic function (By similarity). Phosphorylates mitochondrial URI1 leading to dissociation of a URI1-PPP1CC complex (PubMed : 17936702). The free mitochondrial PPP1CC can then dephosphorylate RPS6KB1 at Thr-412, which is proposed to be a negative feedback mechanism for the RPS6KB1 anti-apoptotic function (PubMed : 17936702). Mediates TNF-alpha-induced insulin resistance by phosphorylating IRS1 at multiple serine residues, resulting in accelerated degradation of IRS1 (PubMed : 18952604). In cells lacking functional TSC1-2 complex, constitutively phosphorylates and inhibits GSK3B (PubMed : 17052453). May be involved in cytoskeletal rearrangement through binding to neurabin (By similarity). Phosphorylates and activates the pyrimidine biosynthesis enzyme CAD, downstream of MTOR (PubMed : 23429703). Following activation by mTORC1, phosphorylates EPRS and thereby plays a key role in fatty acid uptake by adipocytes and also most probably in interferon-gamma-induced translation inhibition (PubMed : 28178239).
See full target information S6K1

文献 (4)

Recent publications for all applications. Explore the full list and refine your search

Life sciences 226:33-46 PubMed30898646

2019

Silence of long non-coding RNA UCA1 inhibits hemangioma cells growth, migration and invasion by up-regulation of miR-200c.

Applications

Unspecified application

Species

Unspecified reactive species

Jing Zhang,Chuanguang Zhang

Molecular cell 73:446-457.e6 PubMed30612880

2019

Multisite Phosphorylation of S6K1 Directs a Kinase Phospho-code that Determines Substrate Selection.

Applications

Unspecified application

Species

Unspecified reactive species

Abul Arif,Jie Jia,Belinda Willard,Xiaoxia Li,Paul L Fox

Oncology letters 14:7970-7976 PubMed29250185

2017

Inhibition of Gli1-mediated prostate cancer cell proliferation by inhibiting the mTOR/S6K1 signaling pathway.

Applications

Unspecified application

Species

Unspecified reactive species

Hong Yang,Libing Hu,Zhimin Liu,Yang Qin,Ruiqian Li,Guoying Zhang,Bin Zhao,Chengwei Bi,Yonghong Lei,Yu Bai

Developmental biology 420:67-78 PubMed27789228

2016

Vascular development in the vertebrate pancreas.

Applications

Unspecified application

Species

Unspecified reactive species

D Berfin Azizoglu,Diana C Chong,Alethia Villasenor,Judith Magenheim,David M Barry,Simon Lee,Leilani Marty-Santos,Stephen Fu,Yuval Dor,Ondine Cleaver
View all publications

Abcam product promise

当社は、高品質な試薬を通じてお客様の研究を力強くサポートすることをお約束いたします。ご使用いただく各段階で、常にお客様をサポートできる体制を整えております。万が一、製品が期待通りに機能しない場合は、「Abcam Product Promise」による当社保証制度に基づき、安心してご利用いただけます。
保証に関する詳細については利用規約をご確認ください。

Please note: All products are 'FOR RESEARCH USE ONLY. NOT FOR USE IN DIAGNOSTIC OR THERAPEUTIC PROCEDURES'.

For licensing inquiries, please contact partnerships@abcam.com