JavaScript is disabled in your browser. Please enable JavaScript to view this website.
AB227571

Anti-S100A9 抗体 [EPR3556] - BSA and Azide free

Anti-S100A9 antibody [EPR3556] - BSA and Azide free

3

(1 Review)

|

(1 Publication)

Rabbit Recombinant Monoclonal S100A9 antibody. Carrier free. Suitable for IHC-P and reacts with Human samples. Cited in 1 publication.

別名を表示する

CAGB, CFAG, MRP14, S100A9, Protein S100-A9, Calgranulin-B, Calprotectin L1H subunit, Leukocyte L1 complex heavy chain, Migration inhibitory factor-related protein 14, S100 calcium-binding protein A9, MRP-14, p14

1 Images
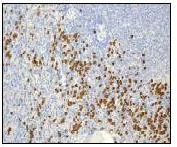
Immunohistochemistry (Formalin/PFA-fixed paraffin-embedded sections) - Anti-S100A9 antibody [EPR3556] - BSA and Azide free (AB227571)
  • IHC-P

Unknown

Immunohistochemistry (Formalin/PFA-fixed paraffin-embedded sections) - Anti-S100A9 antibody [EPR3556] - BSA and Azide free (AB227571)

This IHC data was generated using the same anti-S100A9 antibody clone, EPR3556, in a different buffer formulation (cat# ab92468).

ab92468, at a 1/100 dilution, staining S100A9 in paraffin embedded Human spleen tissue by Immunohistochemistry.

Perform heat mediated antigen retrieval before commencing with IHC staining protocol.

関連する標識済み抗体及び組成の異なる製品 (1)

Key facts

宿主種

Rabbit

クローン性

Monoclonal

クローン番号

EPR3556

アイソタイプ

IgG

キャリアフリー

Yes

交差種

Human

アプリケーション

IHC-P

applications

免疫原

The exact immunogen used to generate this antibody is proprietary information.

Reactivity data

{ "title": "Reactivity Data", "filters": { "stats": ["", "Species", "Dilution Info", "Notes"], "tabs": { "all-applications": {"fullname" : "All Applications", "shortname": "All Applications"}, "IHCP" : {"fullname" : "Immunohistochemistry (Formalin/PFA-fixed paraffin-embedded sections)", "shortname":"IHC-P"}, "IP" : {"fullname" : "Immunoprecipitation", "shortname":"IP"}, "WB" : {"fullname" : "Western blot", "shortname":"WB"}, "ICCIF" : {"fullname" : "Immunocytochemistry/ Immunofluorescence", "shortname":"ICC/IF"} }, "product-promise": { "all": "all", "testedAndGuaranteed": "tested", "guaranteed": "expected", "predicted": "predicted", "notRecommended": "not-recommended" } }, "values": { "Human": { "IHCP-species-checked": "testedAndGuaranteed", "IHCP-species-dilution-info": "", "IHCP-species-notes": "<p></p>", "IP-species-checked": "notRecommended", "IP-species-dilution-info": "", "IP-species-notes": "<p></p>", "WB-species-checked": "notRecommended", "WB-species-dilution-info": "", "WB-species-notes": "<p></p>", "ICCIF-species-checked": "notRecommended", "ICCIF-species-dilution-info": "", "ICCIF-species-notes": "<p></p>" } } }

製品の詳細

ab227571 is the carrier-free version of ab92468.

Species reactivity
Mouse, Rat: We have preliminary internal testing data to indicate this antibody may not react with these species.
Please contact us for more information.

Conjugation ready
Our carrier-free antibodies are typically supplied in a PBS-only formulation, purified and free of BSA, sodium azide and glycerol. This conjugation-ready format is designed for use with fluorochromes, metal isotopes, oligonucleotides, and enzymes, which makes them ideal for antibody labelling, functional and cell-based assays, flow-based assays (e.g. mass cytometry) and Multiplex Imaging applications.

Use our conjugation kits for antibody conjugates that are ready-to-use in as little as 20 minutes with 1 minute hands-on-time and 100% antibody recovery: available for fluorescent dyes, HRP, biotin and gold.

Compatibility
This product is compatible with the Maxpar® Antibody Labeling Kit from Fluidigm, without the need for antibody preparation. Maxpar® is a trademark of Fluidigm Canada Inc.

出荷温度及び保存条件

製品の状態
Liquid
精製方法
Affinity purification Protein A
バッファー組成
pH: 7.2 - 7.4 Constituents: PBS
出荷温度
Blue Ice
短期保存温度
+4°C
長期保存温度
+4°C
保管に関する情報
Do Not Freeze

補足情報

This supplementary information is collated from multiple sources and compiled automatically.

S100A9 also known as calgranulin B or MRP-14 is a calcium-binding protein with a molecular weight of approximately 13 kDa. It belongs to the S100 family and forms part of a heterodimeric complex with S100A8. S100A9 is largely found in myeloid cells such as neutrophils and monocytes. It plays a significant role in the cytosol and can be secreted to the extracellular space under specific stress conditions.
Biological function summary

S100A9 impacts inflammatory responses and immune regulation. It partners with S100A8 to form the calprotectin complex which acts as a strong pro-inflammatory mediator. This complex binds to receptors like RAGE and TLR4 initiating signaling pathways that promote inflammation. S100A9 also participates in leukocyte recruitment and has antimicrobial properties blocking the growth of bacteria and fungi by chelating essential metal ions.

Pathways

Several are influenced by S100A9 including the NF-kB and MAPK signaling pathways. Through its interaction with RAGE and TLR4 receptors S100A9 influences the activation of these pathways which are important in the regulation of inflammatory and immune responses. Other proteins involved in these pathways include MyD88 for TLR4 signaling and various kinases for MAPK signaling positioning S100A9 as an important regulator within the inflammatory networks.

S100A9 links to various inflammatory and autoimmune conditions such as rheumatoid arthritis and inflammatory bowel disease. Increased levels of S100A9 have been observed in these conditions where it augments the inflammatory response. In rheumatoid arthritis for example S100A9 upregulation correlates with increased joint inflammation and damage. The protein’s interaction with S100A8 in these diseases highlights its contribution to the pathogenesis and progression of inflammation-related conditions.

製品プロトコール

For this product, it's our understanding that no specific protocols are required. You can visit:

ターゲットの情報

S100A9 is a calcium- and zinc-binding protein which plays a prominent role in the regulation of inflammatory processes and immune response (PubMed : 12626582, PubMed : 15331440, PubMed : 16258195, PubMed : 19122197, PubMed : 20103766, PubMed : 21325622, PubMed : 8423249). It can induce neutrophil chemotaxis, adhesion, can increase the bactericidal activity of neutrophils by promoting phagocytosis via activation of SYK, PI3K/AKT, and ERK1/2 and can induce degranulation of neutrophils by a MAPK-dependent mechanism (PubMed : 12626582, PubMed : 15331440, PubMed : 20103766). Predominantly found as calprotectin (S100A8/A9) which has a wide plethora of intra- and extracellular functions (PubMed : 16258195, PubMed : 19122197, PubMed : 8423249). The intracellular functions include : facilitating leukocyte arachidonic acid trafficking and metabolism, modulation of the tubulin-dependent cytoskeleton during migration of phagocytes and activation of the neutrophilic NADPH-oxidase (PubMed : 15331440, PubMed : 21325622). Participates also in regulatory T-cell differentiation together with CD69 (PubMed : 26296369). Activates NADPH-oxidase by facilitating the enzyme complex assembly at the cell membrane, transferring arachidonic acid, an essential cofactor, to the enzyme complex and S100A8 contributes to the enzyme assembly by directly binding to NCF2/P67PHOX (PubMed : 15642721, PubMed : 22808130). The extracellular functions involve pro-inflammatory, antimicrobial, oxidant-scavenging and apoptosis-inducing activities (PubMed : 19534726, PubMed : 8423249). Its pro-inflammatory activity includes recruitment of leukocytes, promotion of cytokine and chemokine production, and regulation of leukocyte adhesion and migration (PubMed : 15598812, PubMed : 21487906). Acts as an alarmin or a danger associated molecular pattern (DAMP) molecule and stimulates innate immune cells via binding to pattern recognition receptors such as Toll-like receptor 4 (TLR4) and receptor for advanced glycation endproducts (AGER) (PubMed : 19402754). Binding to TLR4 and AGER activates the MAP-kinase and NF-kappa-B signaling pathways resulting in the amplification of the pro-inflammatory cascade (PubMed : 19402754, PubMed : 22804476). Has antimicrobial activity towards bacteria and fungi and exerts its antimicrobial activity probably via chelation of Zn(2+) which is essential for microbial growth (PubMed : 19087201). Can induce cell death via autophagy and apoptosis and this occurs through the cross-talk of mitochondria and lysosomes via reactive oxygen species (ROS) and the process involves BNIP3 (PubMed : 19935772). Can regulate neutrophil number and apoptosis by an anti-apoptotic effect; regulates cell survival via ITGAM/ITGB and TLR4 and a signaling mechanism involving MEK-ERK (PubMed : 22363402). Its role as an oxidant scavenger has a protective role in preventing exaggerated tissue damage by scavenging oxidants (PubMed : 21912088, PubMed : 22489132). Can act as a potent amplifier of inflammation in autoimmunity as well as in cancer development and tumor spread (PubMed : 16258195). Has transnitrosylase activity; in oxidatively-modified low-densitity lipoprotein (LDL(ox))-induced S-nitrosylation of GAPDH on 'Cys-247' proposed to transfer the NO moiety from NOS2/iNOS to GAPDH via its own S-nitrosylated Cys-3 (PubMed : 25417112). The iNOS-S100A8/A9 transnitrosylase complex is proposed to also direct selective inflammatory stimulus-dependent S-nitrosylation of multiple targets such as ANXA5, EZR, MSN and VIM by recognizing a [IL]-x-C-x-x-[DE] motif (PubMed : 25417112).
See full target information S100A9

文献 (1)

Recent publications for all applications. Explore the full list and refine your search

PloS one 6:e21867 PubMed21760917

2011

Stage-related alterations in renal cell carcinoma--comprehensive quantitative analysis by 2D-DIGE and protein network analysis.

Applications

WB, IHC-P

Species

Human, Human

Heike Junker,Simone Venz,Uwe Zimmermann,Andrea Thiele,Christian Scharf,Reinhard Walther
View all publications

Abcam product promise

当社は、高品質な試薬を通じてお客様の研究を力強くサポートすることをお約束いたします。ご使用いただく各段階で、常にお客様をサポートできる体制を整えております。万が一、製品が期待通りに機能しない場合は、「Abcam Product Promise」による当社保証制度に基づき、安心してご利用いただけます。
保証に関する詳細については利用規約をご確認ください。

Please note: All products are 'FOR RESEARCH USE ONLY. NOT FOR USE IN DIAGNOSTIC OR THERAPEUTIC PROCEDURES'.

For licensing inquiries, please contact partnerships@abcam.com