JavaScript is disabled in your browser. Please enable JavaScript to view this website.
AB15521

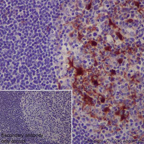
Anti-S100 抗体, prediluted

Anti-S100 antibody, prediluted

Be the first to review this product! Submit a review

|

(1 Publication)

Rabbit Polyclonal S10A1 antibody. Suitable for IHC-P and reacts with Human samples. Cited in 1 publication.

別名を表示する

S100A, S100A1, Protein S100-A1, S-100 protein alpha chain, S-100 protein subunit alpha, S100 calcium-binding protein A1

Key facts

宿主種

Rabbit

クローン性

Polyclonal

アイソタイプ

IgG

キャリアフリー

No

交差種

Human

アプリケーション

IHC-P

applications

免疫原

The exact immunogen used to generate this antibody is proprietary information.

Reactivity data

{ "title": "Reactivity Data", "filters": { "stats": ["", "Species", "Dilution Info", "Notes"], "tabs": { "all-applications": {"fullname" : "All Applications", "shortname": "All Applications"}, "IHCP" : {"fullname" : "Immunohistochemistry (Formalin/PFA-fixed paraffin-embedded sections)", "shortname":"IHC-P"} }, "product-promise": { "all": "all", "testedAndGuaranteed": "tested", "guaranteed": "expected", "predicted": "predicted", "notRecommended": "not-recommended" } }, "values": { "Human": { "IHCP-species-checked": "testedAndGuaranteed", "IHCP-species-dilution-info": "1/1", "IHCP-species-notes": "<p>Pre-diluted / ready to use</p>" } } }

出荷温度及び保存条件

製品の状態
Liquid
精製方法
Affinity purification Immunogen
バッファー組成
pH: 7.6 Preservative: 0.1% Sodium azide Constituents: Tris buffered saline, 1% BSA
出荷温度
Blue Ice
長期保存温度
+4°C
保管に関する情報
Do Not Freeze

補足情報

This supplementary information is collated from multiple sources and compiled automatically.

The S100 protein family consists of low-molecular-weight proteins with individual members like S100B and S100A4 each having distinct roles. S100 proteins range typically between 9 to 13 kDa in mass. They are expressed broadly but especially in the central nervous system where glial cells are an important source and in several epithelial tissues including melanocytes. These proteins are noted for their calcium-binding properties facilitated by EF-hand motifs influencing both intracellular and extracellular processes.
Biological function summary

S100 proteins drive diverse cellular functions such as regulation of cell cycle differentiation and motility. They often operate as dimers and participate in the formation of protein complexes impacting cellular signaling networks. By binding calcium S100 proteins undergo conformational changes that allow interaction with target proteins modulating processes like cytoskeleton dynamics and neuronal survival.

Pathways

S100 proteins are significant in the regulation of the MAPK/ERK and NF-kB pathways. These pathways are critical for cell proliferation apoptosis and response to environmental stress. S100B in particular interacts with the receptor for advanced glycation end-products (RAGE) influencing downstream signaling cascades and amplifying the cellular response to inflammatory stimuli.

S100 proteins are implicated in the progression of conditions such as melanoma and Alzheimer's disease. In melanoma S100B levels serve as a biomarker reflecting disease progression potentially interacting with p53 to diminish its tumor suppressor function. In Alzheimer's disease S100B overexpression correlates with neuroinflammation and neuronal damage highlighting its association with disease through pathways involving amyloid-beta and tau proteins.

製品プロトコール

For this product, it's our understanding that no specific protocols are required. You can visit:

ターゲットの情報

Small calcium binding protein that plays important roles in several biological processes such as Ca(2+) homeostasis, chondrocyte biology and cardiomyocyte regulation (PubMed : 12804600). In response to an increase in intracellular Ca(2+) levels, binds calcium which triggers conformational changes (PubMed : 23351007). These changes allow interactions with specific target proteins and modulate their activity (PubMed : 22399290). Regulates a network in cardiomyocytes controlling sarcoplasmic reticulum Ca(2+) cycling and mitochondrial function through interaction with the ryanodine receptors RYR1 and RYR2, sarcoplasmic reticulum Ca(2+)-ATPase/ATP2A2 and mitochondrial F1-ATPase (PubMed : 12804600). Facilitates diastolic Ca(2+) dissociation and myofilament mechanics in order to improve relaxation during diastole (PubMed : 11717446).
See full target information S100A1

文献 (1)

Recent publications for all applications. Explore the full list and refine your search

Investigative and clinical urology 65:180-188 PubMed38454828

2024

Histological and morphological development of the prepuce from birth to prepubertal age.

Applications

Unspecified application

Species

Unspecified reactive species

Erim Erdem,Mustafa Kaplan Caliskan,Meryem Ilkay Karagul,Erdem Akbay,Banu Coskun Yilmaz,Yuksel Cem Aygun
View all publications

Abcam product promise

当社は、高品質な試薬を通じてお客様の研究を力強くサポートすることをお約束いたします。ご使用いただく各段階で、常にお客様をサポートできる体制を整えております。万が一、製品が期待通りに機能しない場合は、「Abcam Product Promise」による当社保証制度に基づき、安心してご利用いただけます。
保証に関する詳細については利用規約をご確認ください。

Please note: All products are 'FOR RESEARCH USE ONLY. NOT FOR USE IN DIAGNOSTIC OR THERAPEUTIC PROCEDURES'.

For licensing inquiries, please contact partnerships@abcam.com