JavaScript is disabled in your browser. Please enable JavaScript to view this website.
AB227580

Anti-S100 alpha 抗体 [EPR19013] - BSA and Azide free

Anti-S100 alpha antibody [EPR19013] - BSA and Azide free

Be the first to review this product! Submit a review

|

(1 Publication)

Rabbit Recombinant Monoclonal S10A1 antibody. Carrier free. Suitable for IP, WB, IHC-Fr, Flow Cyt (Intra), IHC-P and reacts with Mouse, Human samples. Cited in 1 publication.

別名を表示する

S100A, S100A1, Protein S100-A1, S-100 protein alpha chain, S-100 protein subunit alpha, S100 calcium-binding protein A1

7 Images
Immunohistochemistry (Formalin/PFA-fixed paraffin-embedded sections) - Anti-S100 alpha antibody [EPR19013] - BSA and Azide free (AB227580)
  • IHC-P

Supplier Data

Immunohistochemistry (Formalin/PFA-fixed paraffin-embedded sections) - Anti-S100 alpha antibody [EPR19013] - BSA and Azide free (AB227580)

Immunohistochemical analysis of paraffin-embedded Human cerebrum tissue labeling S100 alpha with ab183979 at 1/1000 dilution, followed by Goat Anti-Rabbit IgG H&L (HRP) (ab97051) at 1/500 dilution. Positive staining on glial cells and negative on neuron cells of Human cerebrum was observed. Counter stained with Hematoxylin.

Secondary antibody only control : Used PBS instead of primary antibody, secondary antibody is ab97051 at 1/500 dilution.

This data was developed using the same antibody clone in a different buffer formulation containing PBS, BSA, glycerol, and sodium azide (ab183979).

Perform heat mediated antigen retrieval with Tris/EDTA buffer pH 9.0 before commencing with IHC staining protocol.

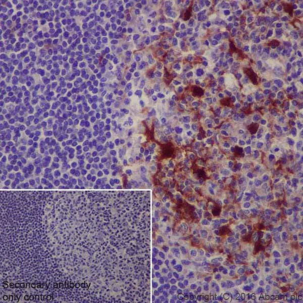
Immunohistochemistry (Formalin/PFA-fixed paraffin-embedded sections) - Anti-S100 alpha antibody [EPR19013] - BSA and Azide free (AB227580)
  • IHC-P

Supplier Data

Immunohistochemistry (Formalin/PFA-fixed paraffin-embedded sections) - Anti-S100 alpha antibody [EPR19013] - BSA and Azide free (AB227580)

This IHC data was generated using the same anti-S100 alpha antibody clone, EPR19013, in a different buffer formulation (cat# ab183979).

Immunohistochemical analysis of paraffin-embedded Human tonsil tissue labeling S100 with ab183979 at 1/1000 dilution, followed by Goat Anti-Rabbit IgG H&L (HRP) (ab97051) at 1/500 dilution. Positive on germinal center of Human tonsil. Counter stained with Hematoxylin.

Secondary antibody only control : Used PBS instead of primary antibody, secondary antibody is ab97051 at 1/500 dilution.

Perform heat mediated antigen retrieval with Tris/EDTA buffer pH 9.0 before commencing with IHC staining protocol.

Immunohistochemistry (Formalin/PFA-fixed paraffin-embedded sections) - Anti-S100 alpha antibody [EPR19013] - BSA and Azide free (AB227580)
  • IHC-P

Supplier Data

Immunohistochemistry (Formalin/PFA-fixed paraffin-embedded sections) - Anti-S100 alpha antibody [EPR19013] - BSA and Azide free (AB227580)

This IHC data was generated using the same anti-S100 alpha antibody clone, EPR19013, in a different buffer formulation (cat# ab183979).

Immunohistochemical analysis of paraffin-embedded Human kidney tissue labeling S100 with ab183979 at 1/1000 dilution, followed by Goat Anti-Rabbit IgG H&L (HRP) (ab97051) at 1/500 dilution. Part of kidney tubules were strongly staining. Counter stained with Hematoxylin.

Secondary antibody only control : Used PBS instead of primary antibody, secondary antibody is ab97051 at 1/500 dilution.

Perform heat mediated antigen retrieval with Tris/EDTA buffer pH 9.0 before commencing with IHC staining protocol.

Immunohistochemistry (Frozen sections) - Anti-S100 alpha antibody [EPR19013] - BSA and Azide free (AB227580)
  • IHC-Fr

Supplier Data

Immunohistochemistry (Frozen sections) - Anti-S100 alpha antibody [EPR19013] - BSA and Azide free (AB227580)

Immunohistochemical analysis of 4% paraformaldehyde-fixed, 0.2% Triton X-100 permeabilized frozen Mouse kidney tissue labeling S100 alpha with ab183979 at 1/500 dilution, followed by Goat Anti-Rabbit IgG (Alexa Fluor® 488) (ab150077) secondary antibody at 1/1000 dilution (green). The result showed positive staining on mouse kidney. The nuclear counterstain is DAPI (blue).

Secondary antibody only control : Used PBS instead of primary antibody, secondary antibody is ab150077 secondary antibody at 1/1000 dilution.

This data was developed using the same antibody clone in a different buffer formulation containing PBS, BSA, glycerol, and sodium azide (ab183979).

Immunohistochemistry (Frozen sections) - Anti-S100 alpha antibody [EPR19013] - BSA and Azide free (AB227580)
  • IHC-Fr

Supplier Data

Immunohistochemistry (Frozen sections) - Anti-S100 alpha antibody [EPR19013] - BSA and Azide free (AB227580)

Immunohistochemical analysis of 4% paraformaldehyde-fixed, 0.2% Triton X-100 permeabilized frozen Mouse brain tissue labeling S100 alpha with ab183979 at 1/500 dilution, followed by Goat Anti-Rabbit IgG (Alexa Fluor® 488) (ab150077) secondary antibody at 1/1000 dilution (green). The result showed positive staining on glial cells of mouse cortex. The nuclear counterstain is DAPI (blue).

Secondary antibody only control : Used PBS instead of primary antibody, secondary antibody is ab150077 secondary antibody at 1/1000 dilution.

This data was developed using the same antibody clone in a different buffer formulation containing PBS, BSA, glycerol, and sodium azide (ab183979).

Immunohistochemistry (Frozen sections) - Anti-S100 alpha antibody [EPR19013] - BSA and Azide free (AB227580)
  • IHC-Fr

Supplier Data

Immunohistochemistry (Frozen sections) - Anti-S100 alpha antibody [EPR19013] - BSA and Azide free (AB227580)

Immunohistochemical analysis of 4% paraformaldehyde-fixed, 0.2% Triton X-100 permeabilized frozen Mouse spleen tissue labeling S100 alpha with ab183979 at 1/500 dilution, followed by Goat Anti-Rabbit IgG (Alexa Fluor® 488) (ab150077) secondary antibody at 1/1000 dilution (green). The result showed positive staining on mouse spleen. The nuclear counterstain is DAPI (blue).

Secondary antibody only control : Used PBS instead of primary antibody, secondary antibody is ab150077 secondary antibody at 1/1000 dilution.

This data was developed using the same antibody clone in a different buffer formulation containing PBS, BSA, glycerol, and sodium azide (ab183979).

Immunoprecipitation - Anti-S100 alpha antibody [EPR19013] - BSA and Azide free (AB227580)
  • IP

Supplier Data

Immunoprecipitation - Anti-S100 alpha antibody [EPR19013] - BSA and Azide free (AB227580)

S100 alpha was immunoprecipitated from RAW 264.7 (Mouse macrophage cell line transformed with Abelson murine leukemia virus) whole cell lysate with ab183979 at 1/40 dilution. Western blot was performed from the immunoprecipitate using ab183979 at 1/1000 dilution. VeriBlot for IP Detection Reagent (HRP) (ab131366), was used for detection at 1/10000 dilution.

Lane 1 : RAW 264.7 whole cell lysate, 10μg (Input).

Lane 2 : ab183979 IP in RAW 264.7 whole cell lysate.

Lane 3 : Rabbit IgG, monoclonal [EPR25A] - Isotype Control (ab172730) instead of ab183979 in RAW 264.7 whole cell lysate.

Blocking and dilution buffer and concentration : 5% NFDM/TBST.

Exposure time : 30 seconds.

This data was developed using the same antibody clone in a different buffer formulation containing PBS, BSA, glycerol, and sodium azide (ab183979).

All lanes:

Immunoprecipitation - Anti-S100 alpha antibody [EPR19013] (<a href='/products/primary-antibodies/s100-alpha-antibody-epr19013-ab183979'>ab183979</a>)

Predicted band size: 11 kDa

false

関連する標識済み抗体及び組成の異なる製品 (1)

Key facts

宿主種

Rabbit

クローン性

Monoclonal

クローン番号

EPR19013

アイソタイプ

IgG

キャリアフリー

Yes

交差種

Mouse, Human

アプリケーション

IHC-Fr, WB, Flow Cyt (Intra), IP, IHC-P

applications

免疫原

The exact immunogen used to generate this antibody is proprietary information.

Reactivity data

{ "title": "Reactivity Data", "filters": { "stats": ["", "Species", "Dilution Info", "Notes"], "tabs": { "all-applications": {"fullname" : "All Applications", "shortname": "All Applications"}, "IP" : {"fullname" : "Immunoprecipitation", "shortname":"IP"}, "WB" : {"fullname" : "Western blot", "shortname":"WB"}, "IHCFr" : {"fullname" : "Immunohistochemistry (Frozen sections)", "shortname":"IHC-Fr"}, "FlowCytIntra" : {"fullname" : "Flow Cytometry (Intracellular)", "shortname":"Flow Cyt (Intra)"}, "IHCP" : {"fullname" : "Immunohistochemistry (Formalin/PFA-fixed paraffin-embedded sections)", "shortname":"IHC-P"} }, "product-promise": { "all": "all", "testedAndGuaranteed": "tested", "guaranteed": "expected", "predicted": "predicted", "notRecommended": "not-recommended" } }, "values": { "Human": { "IP-species-checked": "guaranteed", "IP-species-dilution-info": "", "IP-species-notes": "", "WB-species-checked": "guaranteed", "WB-species-dilution-info": "", "WB-species-notes": "<p></p>", "IHCFr-species-checked": "guaranteed", "IHCFr-species-dilution-info": "", "IHCFr-species-notes": "", "FlowCytIntra-species-checked": "guaranteed", "FlowCytIntra-species-dilution-info": "", "FlowCytIntra-species-notes": "<p><a href='/products/primary-antibodies/rabbit-igg-monoclonal-epr25a-isotype-control-low-endotoxin-azide-free-ab199376'>ab199376</a> - Rabbit monoclonal IgG (Low endotoxin, Azide free), is suitable for use as an isotype control with this antibody.</p>", "IHCP-species-checked": "testedAndGuaranteed", "IHCP-species-dilution-info": "", "IHCP-species-notes": "<p></p>" }, "Mouse": { "IP-species-checked": "testedAndGuaranteed", "IP-species-dilution-info": "", "IP-species-notes": "<p></p>", "WB-species-checked": "guaranteed", "WB-species-dilution-info": "", "WB-species-notes": "<p></p>", "IHCFr-species-checked": "testedAndGuaranteed", "IHCFr-species-dilution-info": "", "IHCFr-species-notes": "<p>Antigen retrieval: Heated citrate solution (10mM citrate pH 6.0 + 0.05% Tween-20). Weak positive staining was observed in mouse with minimal background.</p>", "FlowCytIntra-species-checked": "guaranteed", "FlowCytIntra-species-dilution-info": "", "FlowCytIntra-species-notes": "<p><a href='/products/primary-antibodies/rabbit-igg-monoclonal-epr25a-isotype-control-low-endotoxin-azide-free-ab199376'>ab199376</a> - Rabbit monoclonal IgG (Low endotoxin, Azide free), is suitable for use as an isotype control with this antibody.</p>", "IHCP-species-checked": "guaranteed", "IHCP-species-dilution-info": "", "IHCP-species-notes": "" } } }

製品の詳細

ab227580 is the carrier-free version of ab183979.

Conjugation ready
Our carrier-free antibodies are typically supplied in a PBS-only formulation, purified and free of BSA, sodium azide and glycerol. This conjugation-ready format is designed for use with fluorochromes, metal isotopes, oligonucleotides, and enzymes, which makes them ideal for antibody labelling, functional and cell-based assays, flow-based assays (e.g. mass cytometry) and Multiplex Imaging applications.

Use our conjugation kits for antibody conjugates that are ready-to-use in as little as 20 minutes with 1 minute hands-on-time and 100% antibody recovery: available for fluorescent dyes, HRP, biotin and gold.

Compatibility
This product is compatible with the Maxpar® Antibody Labeling Kit from Fluidigm, without the need for antibody preparation. Maxpar® is a trademark of Fluidigm Canada Inc.

出荷温度及び保存条件

製品の状態
Liquid
精製方法
Affinity purification Protein A
バッファー組成
pH: 7.2 - 7.4 Constituents: PBS
出荷温度
Blue Ice
短期保存温度
+4°C
長期保存温度
+4°C
保管に関する情報
Do Not Freeze

補足情報

This supplementary information is collated from multiple sources and compiled automatically.

S100 alpha also known as S100A1 among other S100 family proteins plays a role in calcium ion binding which influences various cellular processes. It is a small protein with a molecular mass around 10-12 kDa. S100 alpha expresses abundantly in the brain heart and skeletal muscle indicating its functional importance in these tissues.
Biological function summary

The S100 calcium-binding proteins like S100 alpha modulate the function of target proteins through interactions dependent on the calcium bound state. S100 alpha does not commonly form larger complexes but instead interacts directly with other proteins to exert its effects. Importantly it regulates activities such as phosphorylation enzyme activity and cellular proliferation and differentiation.

Pathways

S100 alpha integrates into the intracellular pathways that mediate calcium signaling and respond to oxidative stress. Notably it is involved in the regulation of the RAGE (Receptor for Advanced Glycation End-products) pathway and related NF-kB pathway both of which lead to inflammatory responses. Through these pathways S100 alpha is related to several proteins like p53 and those involved in cytoskeletal dynamics.

S100 alpha demonstrates relevance in conditions linked to aberrant calcium signaling and inflammation such as cardiomyopathy and certain neurodegenerative disorders. In cardiomyopathy alterations of S100 alpha affect cardiac contractility and contribute to heart failure. In neurodegenerative disorders the protein's interaction with RAGE and subsequent pathways possibly accelerates neuronal damage. The protein links with other S100 family members such as S100B further influencing disease progression.

製品プロトコール

For this product, it's our understanding that no specific protocols are required. You can visit:

ターゲットの情報

Small calcium binding protein that plays important roles in several biological processes such as Ca(2+) homeostasis, chondrocyte biology and cardiomyocyte regulation (PubMed : 12804600). In response to an increase in intracellular Ca(2+) levels, binds calcium which triggers conformational changes (PubMed : 23351007). These changes allow interactions with specific target proteins and modulate their activity (PubMed : 22399290). Regulates a network in cardiomyocytes controlling sarcoplasmic reticulum Ca(2+) cycling and mitochondrial function through interaction with the ryanodine receptors RYR1 and RYR2, sarcoplasmic reticulum Ca(2+)-ATPase/ATP2A2 and mitochondrial F1-ATPase (PubMed : 12804600). Facilitates diastolic Ca(2+) dissociation and myofilament mechanics in order to improve relaxation during diastole (PubMed : 11717446).
See full target information S100A1

文献 (1)

Recent publications for all applications. Explore the full list and refine your search

Molecular cancer therapeutics 15:2521-2529 PubMed27496134

2016

Preclinical Modeling of KIF5B-RET Fusion Lung Adenocarcinoma.

Applications

Unspecified application

Species

Unspecified reactive species

Qingling Huang,Valentina E Schneeberger,Noreen Luetteke,Chengliu Jin,Roha Afzal,Mikalai M Budzevich,Rikesh J Makanji,Gary V Martinez,Tao Shen,Lichao Zhao,Kar-Ming Fung,Eric B Haura,Domenico Coppola,Jie Wu
View all publications

Abcam product promise

当社は、高品質な試薬を通じてお客様の研究を力強くサポートすることをお約束いたします。ご使用いただく各段階で、常にお客様をサポートできる体制を整えております。万が一、製品が期待通りに機能しない場合は、「Abcam Product Promise」による当社保証制度に基づき、安心してご利用いただけます。
保証に関する詳細については利用規約をご確認ください。

Please note: All products are 'FOR RESEARCH USE ONLY. NOT FOR USE IN DIAGNOSTIC OR THERAPEUTIC PROCEDURES'.

For licensing inquiries, please contact partnerships@abcam.com