JavaScript is disabled in your browser. Please enable JavaScript to view this website.
AB192256

Anti-RUNX2 抗体 [EPR14334]

Anti-RUNX2 antibody [EPR14334]

5

(8 Reviews)

|

(190 Publications)

Anti-RUNX2 antibody [EPR14334] (ab192256) is a rabbit monoclonal antibody detecting RUNX2 in Western Blot, Flow Cytometry (Intra), Flow Cytometry, IHC-P, ICC/IF. Suitable for Human, Mouse, Rat.

- Biophysical QC for unrivalled batch-batch consistency
- Over 110 publications

別名を表示する

AML3, CBFA1, OSF2, PEBP2A, RUNX2, Runt-related transcription factor 2, Acute myeloid leukemia 3 protein, Core-binding factor subunit alpha-1, Oncogene AML-3, Osteoblast-specific transcription factor 2, Polyomavirus enhancer-binding protein 2 alpha A subunit, SL3-3 enhancer factor 1 alpha A subunit, SL3/AKV core-binding factor alpha A subunit, CBF-alpha-1, OSF-2, PEA2-alpha A, PEBP2-alpha A

11 Images
Immunohistochemistry (Formalin/PFA-fixed paraffin-embedded sections) - Anti-RUNX2 antibody [EPR14334] (AB192256)
  • IHC-P

Supplier Data

Immunohistochemistry (Formalin/PFA-fixed paraffin-embedded sections) - Anti-RUNX2 antibody [EPR14334] (AB192256)

Immunohistochemical analysis of paraffin-embedded Human osteosarcoma tissue labeling RUNX2 with ab192256 at 1/1000 dilution. A ready to use HRP Polymer for Rabbit IgG was used as the secondary. Hematoxylin counterstain.

Perform heat mediated antigen retrieval with Tris/EDTA buffer pH 9.0 before commencing with IHC staining protocol.

Immunocytochemistry/ Immunofluorescence - Anti-RUNX2 antibody [EPR14334] (AB192256)
  • ICC/IF

Supplier Data

Immunocytochemistry/ Immunofluorescence - Anti-RUNX2 antibody [EPR14334] (AB192256)

Immunofluorescent analysis of 4% formaldehyde fixed PC3 cells labeling RUNX2 using ab192256 at a 1/500 dilution. A Goat anti rabbit IgG (Alexa Fluor®488) ab150077 was used as the secondary at a 1/200 dilution. Counterstain DAPI. Permeabilized using 0.1% Triton X-100. The two negative controls : 1. Primary ab concentration (anti-RUNX2) is 1 : 500 dilution, Secondary ab (Goat anti mouse IgG (Alexa Fluor®594)) is 1 : 500 dilution; 2. Primary ab concentration (anti-RUNX2) is 1 : 500 dilution, Secondary ab (Goat anti mouse IgG (Alexa Fluor®594)) is 1 : 500 dilution.

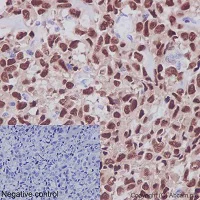
Immunohistochemistry (Formalin/PFA-fixed paraffin-embedded sections) - Anti-RUNX2 antibody [EPR14334] (AB192256)
  • IHC-P

Supplier Data

Immunohistochemistry (Formalin/PFA-fixed paraffin-embedded sections) - Anti-RUNX2 antibody [EPR14334] (AB192256)

Immunohistochemical analysis of paraffin-embedded Human tonsil tissue labeling RUNX2 with ab192256 at 1/1000 dilution. A ready to use HRP Polymer for Rabbit IgG was used as the secondary. Hematoxylin counterstain.

Perform heat mediated antigen retrieval with Tris/EDTA buffer pH 9.0 before commencing with IHC staining protocol.

Flow Cytometry (Intracellular) - Anti-RUNX2 antibody [EPR14334] (AB192256)
  • Flow Cyt (Intra)

Unknown

Flow Cytometry (Intracellular) - Anti-RUNX2 antibody [EPR14334] (AB192256)

ab192256 staining RUNX2 in PC-3 (human prostate adenocarcinoma) by intracellular flow cytometry. Cells were fixed with 4% paraformaldehyde, permabilised with 90% methanol and the sample was incubated with the primary antibody at a dilution of 1/50. A goat anti rabbit IgG (Alexa Fluorr® 488) at a dilution of 1/2000 was used as the secondary antibody.

Isoytype control : Rabbit monoclonal IgG (Black)

Unlabelled control : Cell without incubation with primary antibody and secondary antibody (Blue)

Immunocytochemistry/ Immunofluorescence - Anti-RUNX2 antibody [EPR14334] (AB192256)
  • ICC/IF

Unknown

Immunocytochemistry/ Immunofluorescence - Anti-RUNX2 antibody [EPR14334] (AB192256)

Immunocytochemistry/Immunofluorescence analysis of Saos-2 (Human osteosarcoma cell line) labeling RUNX2 with purified ab192256 at 1/1000 dilution. Cells were fixed with 4% PFA and permeabilized with 0.1% tritonX-100. ab150077 Goat anti rabbit IgG (Alexa Fluor®488) at 1/1000 was used as the secondary antibody. Nuclei were counterstained with DAPI. PBS was used instead of the primary antibody as the negative control.

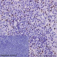
Immunohistochemistry (Formalin/PFA-fixed paraffin-embedded sections) - Anti-RUNX2 antibody [EPR14334] (AB192256)
  • IHC-P

Supplier Data

Immunohistochemistry (Formalin/PFA-fixed paraffin-embedded sections) - Anti-RUNX2 antibody [EPR14334] (AB192256)

Immunohistochemical analysis of paraffin-embedded Mouse spleen tissue labeling RUNX2 with ab192256 at 1/1000 dilution. A ready to use HRP Polymer for Rabbit IgG was used as the secondary. Hematoxylin counterstain.

Perform heat mediated antigen retrieval with Tris/EDTA buffer pH 9.0 before commencing with IHC staining protocol.

Western blot - Anti-RUNX2 antibody [EPR14334] (AB192256)
  • WB

Lab

Western blot - Anti-RUNX2 antibody [EPR14334] (AB192256)

Blocking and diluting buffer and concentration : 5% NFDM/TBST

ab181602 was used as a GAPDH loading control

Below the target band, there are multi bands may be caused by protein degradation. We suggest customer to use freshly lysate to minimize protein degradation in western blot.
Low express : MCF-7 (PMID : 32509221, 16166639, 20591170)

All lanes:

Western blot - Anti-RUNX2 antibody [EPR14334] (ab192256) at 1/1000 dilution

Lane 1:

PC-3 (human prostate adenocarcinoma epithelial cell), whole cell lysate at 20 µg

Lane 2:

MDA-MB-231 (human breast adenocarcinoma epithelial cell), whole cell lysate at 20 µg

Lane 3:

MCF7 (human breast adenocarcinoma epithelial cell), whole cell lysate at 20 µg

Lane 4:

MEF (mouse embryonic fibroblast (immortalized)), whole cell lysate at 20 µg

Lane 5:

NIH/3T3 (Mouse embryonic fibroblast) whole cell lysate at 20 µg

Lane 6:

C2C12 (Mouse myoblasts myoblast) whole cell lysate at 20 µg

Lane 7:

C6 (rat glial tumor glial cell), whole cell lysate at 20 µg

Secondary

All lanes:

Western blot - Goat Anti-Rabbit IgG H&L (HRP) (<a href='/products/secondary-antibodies/goat-rabbit-igg-h-l-hrp-ab97051'>ab97051</a>) at 1/20000 dilution

Observed band size: 60 kDa

false

Exposure time: 10s

ChIC/CUT&RUN sequencing - Anti-RUNX2 antibody [EPR14334] (AB192256)
  • ChIC/CUT&RUN-seq

Lab

ChIC/CUT&RUN sequencing - Anti-RUNX2 antibody [EPR14334] (AB192256)

ChIC/CUT&RUN was performed using a pAG-MNAse at a final concentration of 700 ng/mL, 2.5 x 105 Saos-2 cells and 5 µg of ab192256 [EPR14334]. The resulting DNA was sequenced on the Illumina NovaSeq 6000 to a depth of 10 million reads. The negative IgG control ab172730 is also shown. The University of Geneva owns patents relevant to ChIC (Chromatin Immuno-Cleavage) methods.

ChIC/CUT&RUN sequencing - Anti-RUNX2 antibody [EPR14334] (AB192256)
  • ChIC/CUT&RUN-seq

Lab

ChIC/CUT&RUN sequencing - Anti-RUNX2 antibody [EPR14334] (AB192256)

ChIC/CUT&RUN was performed using a pAG-MNAse at a final concentration of 700 ng/mL, 2.5 x 105 Saos-2 cells and 5 µg of ab192256 [EPR14334]. The resulting DNA was sequenced on the Illumina NovaSeq 6000 to a depth of 10 million reads. The negative IgG control ab172730 is also shown. The University of Geneva owns patents relevant to ChIC (Chromatin Immuno-Cleavage) methods.

ChIC/CUT&RUN sequencing - Anti-RUNX2 antibody [EPR14334] (AB192256)
  • ChIC/CUT&RUN-seq

Lab

ChIC/CUT&RUN sequencing - Anti-RUNX2 antibody [EPR14334] (AB192256)

ChIC/CUT&RUN was performed using a pAG-MNAse at a final concentration of 700 ng/mL, 2.5 x 105 Saos-2 cells and 5 µg of ab192256 [EPR14334]. The resulting DNA was sequenced on the Illumina NovaSeq 6000 to a depth of 10 million reads. The negative IgG control ab172730 is also shown. The University of Geneva owns patents relevant to ChIC (Chromatin Immuno-Cleavage) methods.

Western blot - Anti-RUNX2 antibody [EPR14334] (AB192256)
  • WB

Lab

Western blot - Anti-RUNX2 antibody [EPR14334] (AB192256)

Western blot : Anti-RUNX2 antibody [EPR14334] (ab192256) staining at 1/1000 dilution, shown in green; Mouse anti-CANX [CANX/1543] (ab238078) loading control staining at 1/20000 dilution, shown in magenta. In Western blot, ab192256 was shown to bind specifically to RUNX2. First, samples were run on an SDS-PAGE gel then transferred onto a nitrocellulose membrane. Membranes were blocked in 5 % milk in TBS-0.1 % Tween® 20 (TBS-T) before incubation with primary antibodies overnight at 4 °C. Blots were washed four times in TBS-T, incubated with secondary antibodies for 1 h at room temperature, washed again four times then imaged. Secondary antibodies used were Goat anti-Rabbit IgG H&L 800CW and Goat anti-Mouse IgG H&L 680RD at 1/20000 dilution

All lanes:

Western blot - Anti-RUNX2 antibody [EPR14334] (ab192256)

Lane 1:

Saos-2 cell lysate

Lane 2:

MC3T3-E1 undifferentiated cell lysate

Lane 3:

MC3T3-E1 7-day Osteogenic differentiation cell lysate

Lane 4:

MC3T3-E1 14-day Osteogenic differentiation cell lysate

Lane 5:

MC3T3-E1 28-day Osteogenic differentiation cell lysate

Lane 6:

C2C12 cell lysate

Lane 7:

SH-SY5Y cell lysate

Lane 8:

NIH/3T3 cell lysate

Lane 9:

LNCaP cell lysate

false

関連する標識済み抗体及び組成の異なる製品 (3)

Key facts

宿主種

Rabbit

クローン性

Monoclonal

クローン番号

EPR14334

アイソタイプ

IgG

キャリアフリー

No

交差種

Mouse, Rat, Human

アプリケーション

ChIC/CUT&RUN-seq, WB, Flow Cyt (Intra), ICC/IF, IHC-P

applications

免疫原

The exact immunogen used to generate this antibody is proprietary information.

特異性

Below the target band, there are multi bands may be caused by protein degradation. We suggest customer to use freshly lysate to minimize protein degradation in western blot.

Reactivity data

{ "title": "Reactivity Data", "filters": { "stats": ["", "Species", "Dilution Info", "Notes"], "tabs": { "all-applications": {"fullname" : "All Applications", "shortname": "All Applications"}, "ChICCUTRUNseq" : {"fullname" : "ChIC/CUT&RUN sequencing", "shortname":"ChIC/CUT&RUN-seq"}, "ICCIF" : {"fullname" : "Immunocytochemistry/ Immunofluorescence", "shortname":"ICC/IF"}, "FlowCytIntra" : {"fullname" : "Flow Cytometry (Intracellular)", "shortname":"Flow Cyt (Intra)"}, "IHCP" : {"fullname" : "Immunohistochemistry (Formalin/PFA-fixed paraffin-embedded sections)", "shortname":"IHC-P"}, "WB" : {"fullname" : "Western blot", "shortname":"WB"} }, "product-promise": { "all": "all", "testedAndGuaranteed": "tested", "guaranteed": "expected", "predicted": "predicted", "notRecommended": "not-recommended" } }, "values": { "Human": { "ChICCUTRUNseq-species-checked": "testedAndGuaranteed", "ChICCUTRUNseq-species-dilution-info": "", "ChICCUTRUNseq-species-notes": "<p></p>", "ICCIF-species-checked": "testedAndGuaranteed", "ICCIF-species-dilution-info": "1/1000", "ICCIF-species-notes": "<p><strong>For unpurified use at 1/500.</strong></p>", "FlowCytIntra-species-checked": "testedAndGuaranteed", "FlowCytIntra-species-dilution-info": "1/50", "FlowCytIntra-species-notes": "<p></p>", "IHCP-species-checked": "testedAndGuaranteed", "IHCP-species-dilution-info": "1/1000", "IHCP-species-notes": "<p></p> Perform heat-mediated antigen retrieval with Tris/EDTA buffer pH 9.0 before commencing with IHC staining protocol.", "WB-species-checked": "testedAndGuaranteed", "WB-species-dilution-info": "", "WB-species-notes": "<p></p>" }, "Mouse": { "ChICCUTRUNseq-species-checked": "guaranteed", "ChICCUTRUNseq-species-dilution-info": "", "ChICCUTRUNseq-species-notes": "", "ICCIF-species-checked": "guaranteed", "ICCIF-species-dilution-info": "", "ICCIF-species-notes": "", "FlowCytIntra-species-checked": "guaranteed", "FlowCytIntra-species-dilution-info": "", "FlowCytIntra-species-notes": "", "IHCP-species-checked": "testedAndGuaranteed", "IHCP-species-dilution-info": "1/1000", "IHCP-species-notes": "<p></p> Perform heat-mediated antigen retrieval with Tris/EDTA buffer pH 9.0 before commencing with IHC staining protocol.", "WB-species-checked": "testedAndGuaranteed", "WB-species-dilution-info": "", "WB-species-notes": "<p></p>" }, "Rat": { "ChICCUTRUNseq-species-checked": "guaranteed", "ChICCUTRUNseq-species-dilution-info": "", "ChICCUTRUNseq-species-notes": "", "ICCIF-species-checked": "guaranteed", "ICCIF-species-dilution-info": "", "ICCIF-species-notes": "", "FlowCytIntra-species-checked": "guaranteed", "FlowCytIntra-species-dilution-info": "", "FlowCytIntra-species-notes": "", "IHCP-species-checked": "guaranteed", "IHCP-species-dilution-info": "", "IHCP-species-notes": "", "WB-species-checked": "testedAndGuaranteed", "WB-species-dilution-info": "", "WB-species-notes": "<p></p>" } } }

製品の詳細

Product Specifications
Anti-RUNX2 antibody [EPR14334] (ab192256) was developed by Abcam using patented rabbit monoclonal antibody technology and is validated for use in ChIC/CUT&RUN-seq, Flow Cyt (Intra), ICC/IF, IHC-P and WB in human, mouse and rat samples.
Anti-RUNX2 antibody [EPR14334] (ab192256) specifically detects RUNX2 (UniProt ID: Q13950; Molecular weight: 57kDa) and is sold in 100 µL and 1 mL selling sizes.

Quality and Validation
Abcam's high quality manufacturing and validation processes ensure Anti-RUNX2 antibody [EPR14334] (ab192256) has high sensitivity and specificity alongside high lot-to-lot consistency and reproducibility.
Anti-RUNX2 antibody [EPR14334] (ab192256) has been cited over 114 times in peer reviewed journals and is trusted by the scientific community.
Anti-RUNX2 antibody [EPR14334] (ab192256) has 8 independent reviews from customers.

Related Products
Antibody clone EPR14334 is also available pre-conjugated to a variety of labels for your convenience - Alexa Fluor® 488, Alexa Fluor® 647 (ab215954, ab215955).

Patented technology
Our RabMAb® technology is a patented hybridoma-based technology for making rabbit monoclonal antibodies. For details on our patents, please refer to RabMAb® patents.

What are the advantages of a recombinant monoclonal antibody?
This product is a recombinant monoclonal antibody, which offers several advantages including:

  • - High batch-to-batch consistency and reproducibility
  • - Improved sensitivity and specificity
  • - Long-term security of supply
  • - Animal-free batch production

For more information, read more on recombinant antibodies.

出荷温度及び保存条件

製品の状態
Liquid
精製方法
Affinity purification Protein A
バッファー組成
pH: 7.2 - 7.4 Preservative: 0.01% Sodium azide Constituents: PBS, 40% Glycerol (glycerin, glycerine), 0.05% BSA
出荷温度
Blue Ice
短期保存期間
1-2 weeks
短期保存温度
+4°C
長期保存温度
-20°C
分注に関する情報
Upon delivery aliquot
保管に関する情報
Avoid freeze / thaw cycle

補足情報

This supplementary information is collated from multiple sources and compiled automatically.

RUNX2 also known as core-binding factor subunit alpha-1 (CBFA1) is a transcription factor with a molecular weight of approximately 56 kDa. It plays a pivotal role in regulating osteoblast differentiation and skeletal morphogenesis. This protein resides mainly in the nucleus and shows a high expression in bone tissue. RUNX2 binds to DNA sequences to control transcription of genes essential for bone development and maturation. The protein also possesses a Runt-homology domain enabling it to attach to specific DNA sequences.
Biological function summary

This protein orchestrates bone formation by influencing the expression of genes involved in osteoblast differentiation. RUNX2 operates as part of the larger transcriptional complex that includes other proteins that modulate its activity. It maintains bone homeostasis by regulating the expression of osteogenic markers including bone sialoprotein and osteocalcin. The ability of RUNX2 to drive osteoblast lineage commitment highlights its importance in skeletal health and development.

Pathways

RUNX2 shows significant involvement in both the Wnt signaling and TGF-beta signaling pathways. Within the Wnt signaling pathway RUNX2 interacts with beta-catenin to facilitate osteoblastogenesis and support bone matrix deposition. In the TGF-beta signaling pathway RUNX2 modulates Smad-dependent transcriptional activity important for extracellular matrix production and bone remodeling. These interactions illustrate RUNX2's central role in mediating bone development and maintenance.

RUNX2 mutations and dysregulation link to cleidocranial dysplasia a condition characterized by delayed closure of sutures in the skull and other skeletal anomalies. Additionally RUNX2 is related to osteosarcoma a type of bone cancer where its abnormal expression often contributes to tumor progression. In these contexts RUNX2 interacts with proteins like p53 an important regulator of cell cycle highlighting its influence on tumor suppressor networks and osteogenic pathways.

製品プロトコール

For this product, it's our understanding that no specific protocols are required. You can visit:

ターゲットの情報

Transcription factor involved in osteoblastic differentiation and skeletal morphogenesis (PubMed : 28505335, PubMed : 28703881, PubMed : 28738062). Essential for the maturation of osteoblasts and both intramembranous and endochondral ossification. CBF binds to the core site, 5'-PYGPYGGT-3', of a number of enhancers and promoters, including murine leukemia virus, polyomavirus enhancer, T-cell receptor enhancers, osteocalcin, osteopontin, bone sialoprotein, alpha 1(I) collagen, LCK, IL-3 and GM-CSF promoters. In osteoblasts, supports transcription activation : synergizes with SPEN/MINT to enhance FGFR2-mediated activation of the osteocalcin FGF-responsive element (OCFRE) (By similarity). Inhibits KAT6B-dependent transcriptional activation.
See full target information RUNX2

文献 (190)

Recent publications for all applications. Explore the full list and refine your search

Journal of dental sciences 20:2399-2406 PubMed41040543

2025

Lunar life drives jawbone formation.

Applications

Unspecified application

Species

Unspecified reactive species

Kotaro Sato,Naoka Kouyama,Shinya Akatsuka,Yashiro Motooka,Qinhong Wang,Hideharu Hibi,Shinya Toyokuni

Frontiers in cell and developmental biology 13:1627763 PubMed41041663

2025

Oxygen concentration modulates HDAC1-Mediated regulation of osteogenic signaling pathways in dental pulp cells.

Applications

Unspecified application

Species

Unspecified reactive species

Ci Song,Ping Li,Lin Lin,Ge Cao,Zhao Liu,Fei Liu,Ling Peng,Jingxing Dai,Buling Wu,Ting Chen

Materials today. Bio 35:102272 PubMed40994624

2025

An injectable phosphocreatine-grafted hydrogel incorporating hierarchically structured teriparatide/SrZnP-functionalized Zn-Cu particles for osteogenesis-angiogenesis coupling and osteoporotic bone regeneration.

Applications

Unspecified application

Species

Unspecified reactive species

Haotian Qin,Zhiping Guan,Yuanhao Wang,Jin Zhao,Zhenhai Xie,Huaiyu Li,Chen Zhang,Weibei Sheng,Fei Yu,Jian Weng,Yingqi Chen,Deli Wang,Hui Zeng,Junyu Qian

BMC biology 23:268 PubMed40859304

2025

Cranial base synostosis in mice caused by upregulation of Wnt following partial inhibition of Shh.

Applications

Unspecified application

Species

Unspecified reactive species

Jiangping Chen,Chengyan Ren,Chuanqing Mao,Yongzhen Lai,Meng Lu,Yuanjing Jiang,Weihui Chen

Frontiers in oncology 15:1633464 PubMed40837015

2025

Chorordin-like 1 inhibits pancreatic cancer cell migration and invasion: involvement of the BMP4/SMAD pathway.

Applications

Unspecified application

Species

Unspecified reactive species

Wei Li,Yalan Zhong,Yuqiao Song,Hongmei Wang,Zheng Jiang

Hereditas 162:138 PubMed40696462

2025

miR-370-3p affects the progression of postmenopausal osteoporosis through targeting INO80.

Applications

Unspecified application

Species

Unspecified reactive species

Zhen Yang,Yuqi Sheng,Xiangjie Liu,Meini Cen,Yong Xu

iScience 28:112395 PubMed40641560

2025

Pyroptosis of periodontal ligament stem cells aggravates periodontitis via Piezo1 channel.

Applications

Unspecified application

Species

Unspecified reactive species

Peng Chen,Duo Liu,Yi-Kun Zhou,Jiu-Hui Jiang,Rui-Li Yang

Journal of cellular and molecular medicine 29:e70703 PubMed40629256

2025

Hypoxia-Driven Regulation of Osteogenic Differentiation in Human Periosteal Stem Cells via the HIF-1α/miR-129-5p/BMP2 Axis.

Applications

Unspecified application

Species

Unspecified reactive species

Jiajia Lu,Xinyu Wang,Nan Lu,Aimin Chen,Lianbo Xiao

Journal of orthopaedic translation 53:82-98 PubMed40547193

2025

Construction of cartilaginous organoids based on cartilage extracellular matrix microcarriers to promote articular cartilage regeneration through immune regulation.

Applications

Unspecified application

Species

Unspecified reactive species

Hongyu Jiang,Wei Liu,Jiajie Chen,Yue Tian,Zhibo Jia,Yanbin Wu,Yanjun Guan,Leijia Chen,Wenjing Xu,Haoye Meng,Yingjie Xiong,Jianting Ye,Cheng Huang,Ruichao He,Sice Wang,Yufei Ding,Wei Fan,Yunkang Yang,Jiang Peng,Aiyuan Wang

Journal of orthopaedic surgery and research 20:571 PubMed40474233

2025

Sympathetic cholinergic nerve fibres promote BMSC differentiation into osteoblasts via NRTN secretion: a potential treatment for osteoporosis.

Applications

Unspecified application

Species

Unspecified reactive species

Yuechun Chen,Zhenyu Zhang,Huibo Ti,Junjie Wu,Feng-Lai Yuan,Xia Li
View all publications

Abcam product promise

当社は、高品質な試薬を通じてお客様の研究を力強くサポートすることをお約束いたします。ご使用いただく各段階で、常にお客様をサポートできる体制を整えております。万が一、製品が期待通りに機能しない場合は、「Abcam Product Promise」による当社保証制度に基づき、安心してご利用いただけます。
保証に関する詳細については利用規約をご確認ください。

Please note: All products are 'FOR RESEARCH USE ONLY. NOT FOR USE IN DIAGNOSTIC OR THERAPEUTIC PROCEDURES'.

For licensing inquiries, please contact partnerships@abcam.com