JavaScript is disabled in your browser. Please enable JavaScript to view this website.
AB10695

Anti-RSK1 p90 (phospho S221) 抗体

Anti-RSK1 p90 (phospho S221) antibody

Be the first to review this product! Submit a review

|

(7 Publications)

Rabbit Polyclonal RSK1 p90 phospho S221 antibody. Suitable for WB, IHC-P and reacts with Human samples. Cited in 7 publications. Immunogen corresponding to Synthetic Peptide within Human RPS6KA1 phospho S221.

別名を表示する

MAPKAPK1A, RSK1, RPS6KA1, Ribosomal protein S6 kinase alpha-1, S6K-alpha-1, 90 kDa ribosomal protein S6 kinase 1, MAP kinase-activated protein kinase 1a, Ribosomal S6 kinase 1, p90-RSK 1, p90RSK1, p90S6K, MAPK-activated protein kinase 1a, MAPKAP kinase 1a, MAPKAPK-1a, RSK-1

2 Images
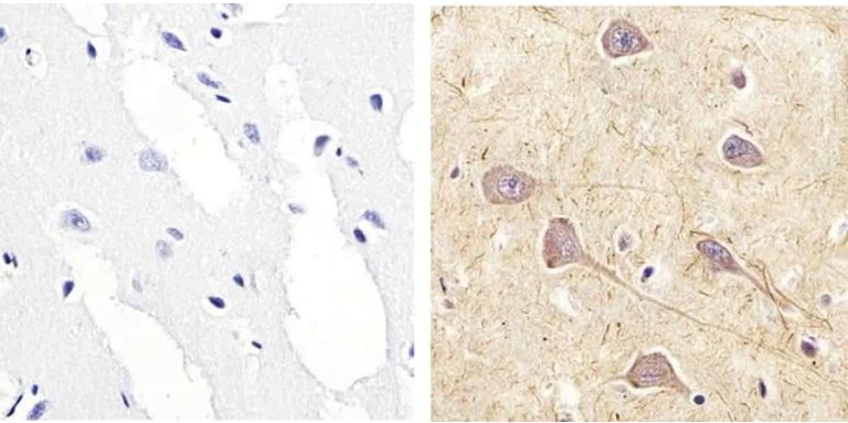
Immunohistochemistry (Formalin/PFA-fixed paraffin-embedded sections) - Anti-RSK1 p90 (phospho S221) antibody (AB10695)
  • IHC-P

Supplier Data

Immunohistochemistry (Formalin/PFA-fixed paraffin-embedded sections) - Anti-RSK1 p90 (phospho S221) antibody (AB10695)

Paraffin embedded human brain tissue (right) stained for RSK1 using ab10695 at 1/20 dilution in immunohistochemical analysis. Negative control without primary antibody (left).

Western blot - Anti-RSK1 p90 (phospho S221) antibody (AB10695)
  • WB

Unknown

Western blot - Anti-RSK1 p90 (phospho S221) antibody (AB10695)

Peptide Competition - Lysates prepared from A431 cells left unstimulated (1) or stimulated with 100 ng/mL PMA for 30 minutes at 37oC (2-5) were resolved by SDS-PAGE on a 10% polyacrylamide gel and transferred to PVDF. Membranes were blocked with a 3% non-fat dried milk-TBST buffer for one hour at room temperature and incubated with ab10695 for one hour at room temperature in a 1% non-fat dried milk-TBST buffer, following prior incubation with : no peptide (1, 2), the non-phosphopeptide corresponding to the immunogen (3), a generic phosphoserine-containing peptide (4), or, the phosphopeptide immunogen (5). After washing, membranes were incubated with goat F(ab’)2 anti-rabbit IgG HRP conjugate in 1% non-fat dried milk-TBST buffer, and bands were detected by chemiluminescence. The data show induction of ab10695 signal by PMA treatment and that the peptide corresponding to this site blocks the antibody signal, thereby demonstrating the specificity of the antibody. Peptide Co

All lanes:

Western blot - Anti-RSK1 p90 (phospho S221) antibody (ab10695)

Predicted band size: 82 kDa

false

Key facts

宿主種

Rabbit

クローン性

Polyclonal

アイソタイプ

IgG

キャリアフリー

No

交差種

Human

アプリケーション

IHC-P, WB

applications

免疫原

Synthetic Peptide within Human RPS6KA1 phospho S221. The exact immunogen used to generate this antibody is proprietary information.

Q15418

Reactivity data

{ "title": "Reactivity Data", "filters": { "stats": ["", "Species", "Dilution Info", "Notes"], "tabs": { "all-applications": {"fullname" : "All Applications", "shortname": "All Applications"}, "WB" : {"fullname" : "Western blot", "shortname":"WB"}, "IHCP" : {"fullname" : "Immunohistochemistry (Formalin/PFA-fixed paraffin-embedded sections)", "shortname":"IHC-P"} }, "product-promise": { "all": "all", "testedAndGuaranteed": "tested", "guaranteed": "expected", "predicted": "predicted", "notRecommended": "not-recommended" } }, "values": { "Human": { "WB-species-checked": "testedAndGuaranteed", "WB-species-dilution-info": "1/1000", "WB-species-notes": "<p></p>", "IHCP-species-checked": "testedAndGuaranteed", "IHCP-species-dilution-info": "1/10 - 1/100", "IHCP-species-notes": "<p></p>" }, "Rat": { "WB-species-checked": "predicted", "WB-species-dilution-info": "", "WB-species-notes": "", "IHCP-species-checked": "predicted", "IHCP-species-dilution-info": "", "IHCP-species-notes": "" } } }

出荷温度及び保存条件

製品の状態
Liquid
精製方法
Affinity purification Immunogen
精製に関する特記事項
Purified from rabbit serum by epitope-specific affinity chromatography.
バッファー組成
pH: 7.3 Preservative: 0.05% Sodium azide Constituents: PBS, 50% Glycerol (glycerin, glycerine), 0.1% BSA
出荷温度
Blue Ice
短期保存温度
+4°C
長期保存温度
-20°C
分注に関する情報
Upon delivery aliquot
保管に関する情報
Avoid freeze / thaw cycle

補足情報

This supplementary information is collated from multiple sources and compiled automatically.

RSK1 also known as p90 ribosomal S6 kinase 1 or p90RSK is a serine/threonine kinase with an approximate mass of 90 kDa. It belongs to the family of proteins that integrate signals from various extracellular stimuli. This kinase is expressed in diverse tissues including brain lung liver and skeletal muscle. At the molecular level RSK1 phosphorylates various target proteins that are involved in regulating cellular growth and survival. Its activity is regulated by phosphorylation events that occur at specific sites such as Serine 238 (E238 in some literature) which are critical for its function.
Biological function summary

RSK1 plays a fundamental role in cell proliferation and differentiation in the context of the p90 protein weight. It is an important component of the mitogen-activated protein kinase (MAPK) signaling pathway and forms part of multi-protein complexes that facilitate its activation and function. RSK1 influences various biological processes by phosphorylating transcription factors histone proteins and other kinases thereby regulating gene expression and protein synthesis. These actions highlight its influence in maintaining cellular homeostasis.

Pathways

RSK1 p90 interacts significantly with the MAPK/ERK and PI3K/AKT pathways. It acts downstream of ERK where it receives activating signals that enable it to phosphorylate substrates within the cell. This role supports its interaction with proteins like Akt and mTOR which are critical mediators of cell growth signals. The interplay between these pathways enables cells to respond to growth factors and stress contributing to the regulation of development and metabolism.

RSK1 is implicated in the progression of cancer and neurological disorders. In cancer abnormal RSK1 signaling can lead to unchecked cell growth and survival where it often interfaces with proteins such as C-RAF and BCL-2 to promote oncogenic pathways. In neurological disorders RSK1 influences pathways that regulate neuron survival and plasticity connecting it to proteins like CREB. Understanding RSK1's role in these conditions can provide insight into targeted therapies that may mitigate these diseases.

製品プロトコール

For this product, it's our understanding that no specific protocols are required. You can visit:

ターゲットの情報

Serine/threonine-protein kinase that acts downstream of ERK (MAPK1/ERK2 and MAPK3/ERK1) signaling and mediates mitogenic and stress-induced activation of the transcription factors CREB1, ETV1/ER81 and NR4A1/NUR77, regulates translation through RPS6 and EIF4B phosphorylation, and mediates cellular proliferation, survival, and differentiation by modulating mTOR signaling and repressing pro-apoptotic function of BAD and DAPK1 (PubMed : 10679322, PubMed : 12213813, PubMed : 15117958, PubMed : 16223362, PubMed : 17360704, PubMed : 18722121, PubMed : 26158630, PubMed : 35772404, PubMed : 9430688). In fibroblast, is required for EGF-stimulated phosphorylation of CREB1, which results in the subsequent transcriptional activation of several immediate-early genes (PubMed : 18508509, PubMed : 18813292). In response to mitogenic stimulation (EGF and PMA), phosphorylates and activates NR4A1/NUR77 and ETV1/ER81 transcription factors and the cofactor CREBBP (PubMed : 12213813, PubMed : 16223362). Upon insulin-derived signal, acts indirectly on the transcription regulation of several genes by phosphorylating GSK3B at 'Ser-9' and inhibiting its activity (PubMed : 18508509, PubMed : 18813292). Phosphorylates RPS6 in response to serum or EGF via an mTOR-independent mechanism and promotes translation initiation by facilitating assembly of the pre-initiation complex (PubMed : 17360704). In response to insulin, phosphorylates EIF4B, enhancing EIF4B affinity for the EIF3 complex and stimulating cap-dependent translation (PubMed : 16763566). Is involved in the mTOR nutrient-sensing pathway by directly phosphorylating TSC2 at 'Ser-1798', which potently inhibits TSC2 ability to suppress mTOR signaling, and mediates phosphorylation of RPTOR, which regulates mTORC1 activity and may promote rapamycin-sensitive signaling independently of the PI3K/AKT pathway (PubMed : 15342917). Also involved in feedback regulation of mTORC1 and mTORC2 by phosphorylating DEPTOR (PubMed : 22017876). Mediates cell survival by phosphorylating the pro-apoptotic proteins BAD and DAPK1 and suppressing their pro-apoptotic function (PubMed : 10679322, PubMed : 16213824). Promotes the survival of hepatic stellate cells by phosphorylating CEBPB in response to the hepatotoxin carbon tetrachloride (CCl4) (PubMed : 11684016). Mediates induction of hepatocyte prolifration by TGFA through phosphorylation of CEBPB (PubMed : 18508509, PubMed : 18813292). Is involved in cell cycle regulation by phosphorylating the CDK inhibitor CDKN1B, which promotes CDKN1B association with 14-3-3 proteins and prevents its translocation to the nucleus and inhibition of G1 progression (PubMed : 18508509, PubMed : 18813292). Phosphorylates EPHA2 at 'Ser-897', the RPS6KA-EPHA2 signaling pathway controls cell migration (PubMed : 26158630). In response to mTORC1 activation, phosphorylates EIF4B at 'Ser-406' and 'Ser-422' which stimulates bicarbonate cotransporter SLC4A7 mRNA translation, increasing SLC4A7 protein abundance and function (PubMed : 35772404).. (Microbial infection) Promotes the late transcription and translation of viral lytic genes during Kaposi's sarcoma-associated herpesvirus/HHV-8 infection, when constitutively activated.
See full target information RPS6KA1 phospho S221

文献 (7)

Recent publications for all applications. Explore the full list and refine your search

Oncology letters 13:1370-1378 PubMed28454264

2017

Luteolin, a novel p90 ribosomal S6 kinase inhibitor, suppresses proliferation and migration in leukemia cells.

Applications

WB

Species

Human

Lan Deng,Ling Jiang,Xianghua Lin,Kuo-Fu Tseng,Zhigang Lu,Xiuju Wang

The Journal of biological chemistry 289:16006-15 PubMed24755224

2014

Two p90 ribosomal S6 kinase isoforms are involved in the regulation of mitotic and meiotic arrest in Artemia.

Applications

Unspecified application

Species

Unspecified reactive species

Ru-Bing Duan,Li Zhang,Dian-Fu Chen,Fan Yang,Jin-Shu Yang,Wei-Jun Yang

The Journal of biological chemistry 288:31165-76 PubMed24036112

2013

Insulin activates RSK (p90 ribosomal S6 kinase) to trigger a new negative feedback loop that regulates insulin signaling for glucose metabolism.

Applications

WB

Species

Human

Nicolas Smadja-Lamère,Michael Shum,Paul Déléris,Philippe P Roux,Jun-Ichi Abe,André Marette

The Journal of biological chemistry 287:16748-58 PubMed22447936

2012

The C-terminal kinase and ERK-binding domains of Drosophila S6KII (RSK) are required for phosphorylation of the protein and modulation of circadian behavior.

Applications

WB

Species

Drosophila melanogaster

Michelle M Tangredi,Fanny S Ng,F Rob Jackson

PloS one 7:e32129 PubMed22363807

2012

Involvement of cyclin K posttranscriptional regulation in the formation of Artemia diapause cysts.

Applications

WB

Species

Owl

Yang Zhao,Xia Ding,Xiang Ye,Zhong-Min Dai,Jin-Shu Yang,Wei-Jun Yang

The Journal of biological chemistry 286:1147-56 PubMed21075852

2010

Regulatory effects of ribosomal S6 kinase 1 (RSK1) in IFNλ signaling.

Applications

WB

Species

Human

Barbara Kroczynska,Sonali Joshi,Elizabeth A Eklund,Amit Verma,Sergei V Kotenko,Eleanor N Fish,Leonidas C Platanias

Cellular signalling 21:1984-93 PubMed19765648

2009

Differential regulation of NHE1 phosphorylation and glucose uptake by inhibitors of the ERK pathway and p90RSK in 3T3-L1 adipocytes.

Applications

WB

Species

Mouse

Shuai Chen,Carol Mackintosh
View all publications

Abcam product promise

当社は、高品質な試薬を通じてお客様の研究を力強くサポートすることをお約束いたします。ご使用いただく各段階で、常にお客様をサポートできる体制を整えております。万が一、製品が期待通りに機能しない場合は、「Abcam Product Promise」による当社保証制度に基づき、安心してご利用いただけます。
保証に関する詳細については利用規約をご確認ください。

Please note: All products are 'FOR RESEARCH USE ONLY. NOT FOR USE IN DIAGNOSTIC OR THERAPEUTIC PROCEDURES'.

For licensing inquiries, please contact partnerships@abcam.com